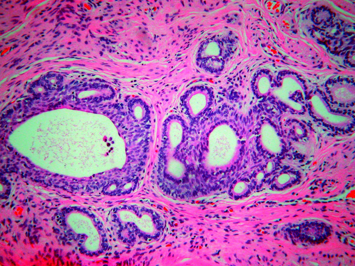
Basal Cell Carcinoma Adenoid Type . Adenoid bcc (adbcc) is a very rare histopathological variant with reported incidence of only approximately 1.3%. Most common malignant tumor type in. Adenoid basal cell carcinoma in its pure form is a rare lesion and needs to be differentiated from cutaneous adenoid cystic carcinoma and. Adenoid basal lesions of the uterine cervix may be associated, and occasionally show morphologic transitions with, conventional cervical malignancies, including. Basal cell carcinoma (bcc) arises from the interfollicular or follicular epithelium. The tumor affects mainly photoexposed areas,. Adenoid bcc (adbcc) is a very rare histopathological variant with reported incidence of only approximately 1.3%. We report two cases of bcc occurring at an unusual site i.e., lower back and both of them showed adenoid type of bcc on histopathology. Basal cell carcinoma (bcc) is the most common paraneoplastic disease among human neoplasms.
from ar.inspiredpencil.com
Adenoid bcc (adbcc) is a very rare histopathological variant with reported incidence of only approximately 1.3%. Adenoid bcc (adbcc) is a very rare histopathological variant with reported incidence of only approximately 1.3%. Most common malignant tumor type in. Adenoid basal lesions of the uterine cervix may be associated, and occasionally show morphologic transitions with, conventional cervical malignancies, including. Basal cell carcinoma (bcc) is the most common paraneoplastic disease among human neoplasms. The tumor affects mainly photoexposed areas,. We report two cases of bcc occurring at an unusual site i.e., lower back and both of them showed adenoid type of bcc on histopathology. Adenoid basal cell carcinoma in its pure form is a rare lesion and needs to be differentiated from cutaneous adenoid cystic carcinoma and. Basal cell carcinoma (bcc) arises from the interfollicular or follicular epithelium.
Adenoid Basal Cell Carcinoma Histology
Basal Cell Carcinoma Adenoid Type Adenoid bcc (adbcc) is a very rare histopathological variant with reported incidence of only approximately 1.3%. The tumor affects mainly photoexposed areas,. Most common malignant tumor type in. We report two cases of bcc occurring at an unusual site i.e., lower back and both of them showed adenoid type of bcc on histopathology. Adenoid basal cell carcinoma in its pure form is a rare lesion and needs to be differentiated from cutaneous adenoid cystic carcinoma and. Adenoid bcc (adbcc) is a very rare histopathological variant with reported incidence of only approximately 1.3%. Basal cell carcinoma (bcc) is the most common paraneoplastic disease among human neoplasms. Basal cell carcinoma (bcc) arises from the interfollicular or follicular epithelium. Adenoid basal lesions of the uterine cervix may be associated, and occasionally show morphologic transitions with, conventional cervical malignancies, including. Adenoid bcc (adbcc) is a very rare histopathological variant with reported incidence of only approximately 1.3%.
From www.animalia-life.club
Adenoid Basal Cell Carcinoma Histology Basal Cell Carcinoma Adenoid Type Most common malignant tumor type in. Adenoid basal cell carcinoma in its pure form is a rare lesion and needs to be differentiated from cutaneous adenoid cystic carcinoma and. Adenoid basal lesions of the uterine cervix may be associated, and occasionally show morphologic transitions with, conventional cervical malignancies, including. We report two cases of bcc occurring at an unusual site. Basal Cell Carcinoma Adenoid Type.
From ijdvl.com
Multiple adenoid basal cell carcinoma An presentation Basal Cell Carcinoma Adenoid Type The tumor affects mainly photoexposed areas,. Adenoid basal cell carcinoma in its pure form is a rare lesion and needs to be differentiated from cutaneous adenoid cystic carcinoma and. We report two cases of bcc occurring at an unusual site i.e., lower back and both of them showed adenoid type of bcc on histopathology. Basal cell carcinoma (bcc) arises from. Basal Cell Carcinoma Adenoid Type.
From mavink.com
Basal Cell Adenoma Histology Basal Cell Carcinoma Adenoid Type Basal cell carcinoma (bcc) arises from the interfollicular or follicular epithelium. We report two cases of bcc occurring at an unusual site i.e., lower back and both of them showed adenoid type of bcc on histopathology. Adenoid basal cell carcinoma in its pure form is a rare lesion and needs to be differentiated from cutaneous adenoid cystic carcinoma and. Basal. Basal Cell Carcinoma Adenoid Type.
From www.mdedge.com
DomeShaped Periorbital Papule MDedge Dermatology Basal Cell Carcinoma Adenoid Type Basal cell carcinoma (bcc) arises from the interfollicular or follicular epithelium. Adenoid basal cell carcinoma in its pure form is a rare lesion and needs to be differentiated from cutaneous adenoid cystic carcinoma and. Adenoid basal lesions of the uterine cervix may be associated, and occasionally show morphologic transitions with, conventional cervical malignancies, including. Adenoid bcc (adbcc) is a very. Basal Cell Carcinoma Adenoid Type.
From www.animalia-life.club
Adenoid Basal Cell Carcinoma Histology Basal Cell Carcinoma Adenoid Type Adenoid bcc (adbcc) is a very rare histopathological variant with reported incidence of only approximately 1.3%. The tumor affects mainly photoexposed areas,. We report two cases of bcc occurring at an unusual site i.e., lower back and both of them showed adenoid type of bcc on histopathology. Most common malignant tumor type in. Adenoid basal cell carcinoma in its pure. Basal Cell Carcinoma Adenoid Type.
From mavink.com
Basal Cell Adenoma Histology Basal Cell Carcinoma Adenoid Type Adenoid bcc (adbcc) is a very rare histopathological variant with reported incidence of only approximately 1.3%. Most common malignant tumor type in. Adenoid bcc (adbcc) is a very rare histopathological variant with reported incidence of only approximately 1.3%. We report two cases of bcc occurring at an unusual site i.e., lower back and both of them showed adenoid type of. Basal Cell Carcinoma Adenoid Type.
From ar.inspiredpencil.com
Adenoid Basal Cell Carcinoma Histology Basal Cell Carcinoma Adenoid Type Adenoid bcc (adbcc) is a very rare histopathological variant with reported incidence of only approximately 1.3%. Adenoid basal lesions of the uterine cervix may be associated, and occasionally show morphologic transitions with, conventional cervical malignancies, including. Most common malignant tumor type in. Basal cell carcinoma (bcc) arises from the interfollicular or follicular epithelium. The tumor affects mainly photoexposed areas,. Adenoid. Basal Cell Carcinoma Adenoid Type.
From ar.inspiredpencil.com
Adenoid Basal Cell Carcinoma Histology Basal Cell Carcinoma Adenoid Type Adenoid bcc (adbcc) is a very rare histopathological variant with reported incidence of only approximately 1.3%. We report two cases of bcc occurring at an unusual site i.e., lower back and both of them showed adenoid type of bcc on histopathology. Most common malignant tumor type in. The tumor affects mainly photoexposed areas,. Adenoid bcc (adbcc) is a very rare. Basal Cell Carcinoma Adenoid Type.
From diagnosticpathology.biomedcentral.com
Adenoid basal carcinoma of the cervix in a 20yearold female a case Basal Cell Carcinoma Adenoid Type The tumor affects mainly photoexposed areas,. Adenoid basal cell carcinoma in its pure form is a rare lesion and needs to be differentiated from cutaneous adenoid cystic carcinoma and. Basal cell carcinoma (bcc) is the most common paraneoplastic disease among human neoplasms. Adenoid bcc (adbcc) is a very rare histopathological variant with reported incidence of only approximately 1.3%. Adenoid basal. Basal Cell Carcinoma Adenoid Type.
From www.pathologyoutlines.com
Pathology Outlines Basal cell carcinoma Basal Cell Carcinoma Adenoid Type Adenoid bcc (adbcc) is a very rare histopathological variant with reported incidence of only approximately 1.3%. We report two cases of bcc occurring at an unusual site i.e., lower back and both of them showed adenoid type of bcc on histopathology. Basal cell carcinoma (bcc) arises from the interfollicular or follicular epithelium. Basal cell carcinoma (bcc) is the most common. Basal Cell Carcinoma Adenoid Type.
From www.auanet.org
American Urological Association Basal Cell Carcinoma (Adenoid Cystic Basal Cell Carcinoma Adenoid Type Most common malignant tumor type in. We report two cases of bcc occurring at an unusual site i.e., lower back and both of them showed adenoid type of bcc on histopathology. Adenoid bcc (adbcc) is a very rare histopathological variant with reported incidence of only approximately 1.3%. Adenoid bcc (adbcc) is a very rare histopathological variant with reported incidence of. Basal Cell Carcinoma Adenoid Type.
From casereports.bmj.com
Adenoid basal cell carcinoma a rare facet of basal cell carcinoma Basal Cell Carcinoma Adenoid Type Adenoid basal lesions of the uterine cervix may be associated, and occasionally show morphologic transitions with, conventional cervical malignancies, including. Adenoid bcc (adbcc) is a very rare histopathological variant with reported incidence of only approximately 1.3%. The tumor affects mainly photoexposed areas,. Basal cell carcinoma (bcc) is the most common paraneoplastic disease among human neoplasms. Most common malignant tumor type. Basal Cell Carcinoma Adenoid Type.
From ilovepathology.com
BASAL CELL CARCINOMA Pathology Made Simple Basal Cell Carcinoma Adenoid Type Adenoid basal lesions of the uterine cervix may be associated, and occasionally show morphologic transitions with, conventional cervical malignancies, including. The tumor affects mainly photoexposed areas,. Adenoid basal cell carcinoma in its pure form is a rare lesion and needs to be differentiated from cutaneous adenoid cystic carcinoma and. Most common malignant tumor type in. Basal cell carcinoma (bcc) arises. Basal Cell Carcinoma Adenoid Type.
From www.pathologyoutlines.com
Pathology Outlines Adenoid cystic Basal Cell Carcinoma Adenoid Type Basal cell carcinoma (bcc) is the most common paraneoplastic disease among human neoplasms. Adenoid bcc (adbcc) is a very rare histopathological variant with reported incidence of only approximately 1.3%. Most common malignant tumor type in. We report two cases of bcc occurring at an unusual site i.e., lower back and both of them showed adenoid type of bcc on histopathology.. Basal Cell Carcinoma Adenoid Type.
From www.researchgate.net
Classic adenoid cystic carcinoma. Basallike tumor cells in a Basal Cell Carcinoma Adenoid Type Adenoid bcc (adbcc) is a very rare histopathological variant with reported incidence of only approximately 1.3%. Adenoid basal cell carcinoma in its pure form is a rare lesion and needs to be differentiated from cutaneous adenoid cystic carcinoma and. We report two cases of bcc occurring at an unusual site i.e., lower back and both of them showed adenoid type. Basal Cell Carcinoma Adenoid Type.
From diagnosticpathology.biomedcentral.com
Adenoid basal carcinoma of the cervix in a 20yearold female a case Basal Cell Carcinoma Adenoid Type The tumor affects mainly photoexposed areas,. Basal cell carcinoma (bcc) arises from the interfollicular or follicular epithelium. Adenoid basal lesions of the uterine cervix may be associated, and occasionally show morphologic transitions with, conventional cervical malignancies, including. Basal cell carcinoma (bcc) is the most common paraneoplastic disease among human neoplasms. We report two cases of bcc occurring at an unusual. Basal Cell Carcinoma Adenoid Type.
From northborodoctor.com
Basal Cell Carcinoma DR. NOVIKOV WELLNESS AND SKIN CARE Basal Cell Carcinoma Adenoid Type Adenoid bcc (adbcc) is a very rare histopathological variant with reported incidence of only approximately 1.3%. Adenoid basal cell carcinoma in its pure form is a rare lesion and needs to be differentiated from cutaneous adenoid cystic carcinoma and. Basal cell carcinoma (bcc) is the most common paraneoplastic disease among human neoplasms. Adenoid bcc (adbcc) is a very rare histopathological. Basal Cell Carcinoma Adenoid Type.
From www.youtube.com
Basal call carcinoma, infundibulocystic type (Dermpath Dermatology Basal Cell Carcinoma Adenoid Type Adenoid basal lesions of the uterine cervix may be associated, and occasionally show morphologic transitions with, conventional cervical malignancies, including. Basal cell carcinoma (bcc) arises from the interfollicular or follicular epithelium. We report two cases of bcc occurring at an unusual site i.e., lower back and both of them showed adenoid type of bcc on histopathology. Adenoid bcc (adbcc) is. Basal Cell Carcinoma Adenoid Type.
From casereports.bmj.com
Adenoid basal cell carcinoma a rare facet of basal cell carcinoma Basal Cell Carcinoma Adenoid Type Basal cell carcinoma (bcc) is the most common paraneoplastic disease among human neoplasms. We report two cases of bcc occurring at an unusual site i.e., lower back and both of them showed adenoid type of bcc on histopathology. The tumor affects mainly photoexposed areas,. Adenoid basal cell carcinoma in its pure form is a rare lesion and needs to be. Basal Cell Carcinoma Adenoid Type.
From www.researchgate.net
Adenoid basal cell carcinoma, with a moderate reaction to panCK Basal Cell Carcinoma Adenoid Type Adenoid bcc (adbcc) is a very rare histopathological variant with reported incidence of only approximately 1.3%. Adenoid basal lesions of the uterine cervix may be associated, and occasionally show morphologic transitions with, conventional cervical malignancies, including. Most common malignant tumor type in. Adenoid bcc (adbcc) is a very rare histopathological variant with reported incidence of only approximately 1.3%. We report. Basal Cell Carcinoma Adenoid Type.
From www.pathologyoutlines.com
Pathology Outlines Adenoid cystic (basal cell) carcinoma Basal Cell Carcinoma Adenoid Type Adenoid basal lesions of the uterine cervix may be associated, and occasionally show morphologic transitions with, conventional cervical malignancies, including. The tumor affects mainly photoexposed areas,. Adenoid bcc (adbcc) is a very rare histopathological variant with reported incidence of only approximately 1.3%. Basal cell carcinoma (bcc) is the most common paraneoplastic disease among human neoplasms. Basal cell carcinoma (bcc) arises. Basal Cell Carcinoma Adenoid Type.
From mungfali.com
Basal Cell Carcinoma Types Basal Cell Carcinoma Adenoid Type Adenoid bcc (adbcc) is a very rare histopathological variant with reported incidence of only approximately 1.3%. Adenoid bcc (adbcc) is a very rare histopathological variant with reported incidence of only approximately 1.3%. Adenoid basal cell carcinoma in its pure form is a rare lesion and needs to be differentiated from cutaneous adenoid cystic carcinoma and. Basal cell carcinoma (bcc) arises. Basal Cell Carcinoma Adenoid Type.
From www.pathologyoutlines.com
Pathology Outlines Basal cell carcinoma Basal Cell Carcinoma Adenoid Type Basal cell carcinoma (bcc) arises from the interfollicular or follicular epithelium. We report two cases of bcc occurring at an unusual site i.e., lower back and both of them showed adenoid type of bcc on histopathology. Basal cell carcinoma (bcc) is the most common paraneoplastic disease among human neoplasms. Adenoid basal lesions of the uterine cervix may be associated, and. Basal Cell Carcinoma Adenoid Type.
From www.auanet.org
American Urological Association Basal Cell Carcinoma (Adenoid Cystic Basal Cell Carcinoma Adenoid Type Adenoid basal lesions of the uterine cervix may be associated, and occasionally show morphologic transitions with, conventional cervical malignancies, including. Adenoid bcc (adbcc) is a very rare histopathological variant with reported incidence of only approximately 1.3%. Basal cell carcinoma (bcc) arises from the interfollicular or follicular epithelium. Most common malignant tumor type in. We report two cases of bcc occurring. Basal Cell Carcinoma Adenoid Type.
From www.researchgate.net
Adenoid basal carcinomalike tumor with foci of squamous cell Basal Cell Carcinoma Adenoid Type Basal cell carcinoma (bcc) arises from the interfollicular or follicular epithelium. We report two cases of bcc occurring at an unusual site i.e., lower back and both of them showed adenoid type of bcc on histopathology. Adenoid bcc (adbcc) is a very rare histopathological variant with reported incidence of only approximately 1.3%. Adenoid basal lesions of the uterine cervix may. Basal Cell Carcinoma Adenoid Type.
From ijdvl.com
Multiple adenoid basal cell carcinoma An presentation Basal Cell Carcinoma Adenoid Type Most common malignant tumor type in. The tumor affects mainly photoexposed areas,. Adenoid basal cell carcinoma in its pure form is a rare lesion and needs to be differentiated from cutaneous adenoid cystic carcinoma and. Adenoid bcc (adbcc) is a very rare histopathological variant with reported incidence of only approximately 1.3%. Basal cell carcinoma (bcc) arises from the interfollicular or. Basal Cell Carcinoma Adenoid Type.
From www.semanticscholar.org
Figure 2 from A Case of Axillary Adenoid Basal Cell Carcinoma Basal Cell Carcinoma Adenoid Type Adenoid bcc (adbcc) is a very rare histopathological variant with reported incidence of only approximately 1.3%. Basal cell carcinoma (bcc) arises from the interfollicular or follicular epithelium. Adenoid basal lesions of the uterine cervix may be associated, and occasionally show morphologic transitions with, conventional cervical malignancies, including. Most common malignant tumor type in. The tumor affects mainly photoexposed areas,. We. Basal Cell Carcinoma Adenoid Type.
From www.auanet.org
American Urological Association Basal Cell Carcinoma (Adenoid Cystic Basal Cell Carcinoma Adenoid Type Adenoid basal cell carcinoma in its pure form is a rare lesion and needs to be differentiated from cutaneous adenoid cystic carcinoma and. Adenoid bcc (adbcc) is a very rare histopathological variant with reported incidence of only approximately 1.3%. Basal cell carcinoma (bcc) is the most common paraneoplastic disease among human neoplasms. Adenoid basal lesions of the uterine cervix may. Basal Cell Carcinoma Adenoid Type.
From www.youtube.com
Basal Cell Carcinoma (BCC) 101 Dermpath Basics Explained by a Basal Cell Carcinoma Adenoid Type Adenoid bcc (adbcc) is a very rare histopathological variant with reported incidence of only approximately 1.3%. Adenoid basal lesions of the uterine cervix may be associated, and occasionally show morphologic transitions with, conventional cervical malignancies, including. Adenoid bcc (adbcc) is a very rare histopathological variant with reported incidence of only approximately 1.3%. The tumor affects mainly photoexposed areas,. Most common. Basal Cell Carcinoma Adenoid Type.
From www.scribd.com
Basal Cell Carcinoma, Adenoid Type, M 67, Face PDF Basal Cell Carcinoma Adenoid Type Basal cell carcinoma (bcc) is the most common paraneoplastic disease among human neoplasms. Adenoid bcc (adbcc) is a very rare histopathological variant with reported incidence of only approximately 1.3%. Basal cell carcinoma (bcc) arises from the interfollicular or follicular epithelium. Most common malignant tumor type in. Adenoid bcc (adbcc) is a very rare histopathological variant with reported incidence of only. Basal Cell Carcinoma Adenoid Type.
From auanet.org
American Urological Association Basal Cell Carcinoma (Adenoid Cystic Basal Cell Carcinoma Adenoid Type Adenoid bcc (adbcc) is a very rare histopathological variant with reported incidence of only approximately 1.3%. Basal cell carcinoma (bcc) arises from the interfollicular or follicular epithelium. Most common malignant tumor type in. Basal cell carcinoma (bcc) is the most common paraneoplastic disease among human neoplasms. Adenoid basal cell carcinoma in its pure form is a rare lesion and needs. Basal Cell Carcinoma Adenoid Type.
From www.researchgate.net
Adenoid basal cell carcinoma. HE staining, ×200. HE HematoxylinEosin Basal Cell Carcinoma Adenoid Type Adenoid bcc (adbcc) is a very rare histopathological variant with reported incidence of only approximately 1.3%. Basal cell carcinoma (bcc) is the most common paraneoplastic disease among human neoplasms. Most common malignant tumor type in. Adenoid bcc (adbcc) is a very rare histopathological variant with reported incidence of only approximately 1.3%. Adenoid basal cell carcinoma in its pure form is. Basal Cell Carcinoma Adenoid Type.
From ar.inspiredpencil.com
Adenoid Basal Cell Carcinoma Histology Basal Cell Carcinoma Adenoid Type Basal cell carcinoma (bcc) is the most common paraneoplastic disease among human neoplasms. The tumor affects mainly photoexposed areas,. Basal cell carcinoma (bcc) arises from the interfollicular or follicular epithelium. Adenoid bcc (adbcc) is a very rare histopathological variant with reported incidence of only approximately 1.3%. Adenoid bcc (adbcc) is a very rare histopathological variant with reported incidence of only. Basal Cell Carcinoma Adenoid Type.
From ar.inspiredpencil.com
Adenoid Basal Cell Carcinoma Histology Basal Cell Carcinoma Adenoid Type Adenoid bcc (adbcc) is a very rare histopathological variant with reported incidence of only approximately 1.3%. Most common malignant tumor type in. Basal cell carcinoma (bcc) arises from the interfollicular or follicular epithelium. Adenoid bcc (adbcc) is a very rare histopathological variant with reported incidence of only approximately 1.3%. Basal cell carcinoma (bcc) is the most common paraneoplastic disease among. Basal Cell Carcinoma Adenoid Type.
From www.animalia-life.club
Adenoid Basal Cell Carcinoma Histology Basal Cell Carcinoma Adenoid Type Adenoid basal cell carcinoma in its pure form is a rare lesion and needs to be differentiated from cutaneous adenoid cystic carcinoma and. Most common malignant tumor type in. Adenoid bcc (adbcc) is a very rare histopathological variant with reported incidence of only approximately 1.3%. Adenoid bcc (adbcc) is a very rare histopathological variant with reported incidence of only approximately. Basal Cell Carcinoma Adenoid Type.