Mallet Finger Nice . A mallet finger is a deformity of the finger typically caused by injury. After the fingertip gets jammed, the end (smallest) joint of the finger just before the fingernail droops and looks. If you have mallet finger, you’re unable to straighten your finger, it droops at the tip, is painful and looks bruised and/or swollen. A mallet finger injury is a tear of tendon that straightens the end joint of the finger. Le mallet finger (ou doigt en maillet) est une maladie extrêmement fréquente. A mallet finger injury is a tear of the tendon that straightens the end joint of the finger. Mallet finger is a finger deformity caused by disruption of the terminal extensor tendon distal to dip joint. Il correspond à la chute de la dernière phalange du doigt (du bout du doigt) avec impossibilité de l’étendre. Diagnosis is made clinically when the distal phalanx rests.
from www.schreibermd.com
Le mallet finger (ou doigt en maillet) est une maladie extrêmement fréquente. Diagnosis is made clinically when the distal phalanx rests. A mallet finger injury is a tear of the tendon that straightens the end joint of the finger. If you have mallet finger, you’re unable to straighten your finger, it droops at the tip, is painful and looks bruised and/or swollen. A mallet finger is a deformity of the finger typically caused by injury. Il correspond à la chute de la dernière phalange du doigt (du bout du doigt) avec impossibilité de l’étendre. Mallet finger is a finger deformity caused by disruption of the terminal extensor tendon distal to dip joint. After the fingertip gets jammed, the end (smallest) joint of the finger just before the fingernail droops and looks. A mallet finger injury is a tear of tendon that straightens the end joint of the finger.
Mallet Finger Raleigh Hand Surgery — Joseph J. Schreiber, MD
Mallet Finger Nice Le mallet finger (ou doigt en maillet) est une maladie extrêmement fréquente. After the fingertip gets jammed, the end (smallest) joint of the finger just before the fingernail droops and looks. A mallet finger injury is a tear of the tendon that straightens the end joint of the finger. Il correspond à la chute de la dernière phalange du doigt (du bout du doigt) avec impossibilité de l’étendre. A mallet finger is a deformity of the finger typically caused by injury. Le mallet finger (ou doigt en maillet) est une maladie extrêmement fréquente. Diagnosis is made clinically when the distal phalanx rests. Mallet finger is a finger deformity caused by disruption of the terminal extensor tendon distal to dip joint. If you have mallet finger, you’re unable to straighten your finger, it droops at the tip, is painful and looks bruised and/or swollen. A mallet finger injury is a tear of tendon that straightens the end joint of the finger.
From slidetodoc.com
Wrist and Hand injuries Anatomy Bones Joints Ligaments Mallet Finger Nice A mallet finger injury is a tear of tendon that straightens the end joint of the finger. A mallet finger injury is a tear of the tendon that straightens the end joint of the finger. A mallet finger is a deformity of the finger typically caused by injury. If you have mallet finger, you’re unable to straighten your finger, it. Mallet Finger Nice.
From www.andrewssportsmedicine.com
Mallet Finger Andrews Sports Medicine Mallet Finger Nice Diagnosis is made clinically when the distal phalanx rests. Mallet finger is a finger deformity caused by disruption of the terminal extensor tendon distal to dip joint. If you have mallet finger, you’re unable to straighten your finger, it droops at the tip, is painful and looks bruised and/or swollen. A mallet finger injury is a tear of tendon that. Mallet Finger Nice.
From virtualhandcare.com
What Is A Mallet Finger? Virtual Hand Care Mallet Finger Nice If you have mallet finger, you’re unable to straighten your finger, it droops at the tip, is painful and looks bruised and/or swollen. Le mallet finger (ou doigt en maillet) est une maladie extrêmement fréquente. Diagnosis is made clinically when the distal phalanx rests. A mallet finger injury is a tear of the tendon that straightens the end joint of. Mallet Finger Nice.
From debfraineot.com
What is a Mallet Finger? Mallet Finger Nice Diagnosis is made clinically when the distal phalanx rests. If you have mallet finger, you’re unable to straighten your finger, it droops at the tip, is painful and looks bruised and/or swollen. Le mallet finger (ou doigt en maillet) est une maladie extrêmement fréquente. A mallet finger injury is a tear of tendon that straightens the end joint of the. Mallet Finger Nice.
From www.nhs.uk
Mallet finger NHS NHS Mallet Finger Nice Diagnosis is made clinically when the distal phalanx rests. Le mallet finger (ou doigt en maillet) est une maladie extrêmement fréquente. A mallet finger is a deformity of the finger typically caused by injury. A mallet finger injury is a tear of tendon that straightens the end joint of the finger. After the fingertip gets jammed, the end (smallest) joint. Mallet Finger Nice.
From www.perfecttherapy.ie
Mallet Finger Perfect Therapy Mallet Finger Nice If you have mallet finger, you’re unable to straighten your finger, it droops at the tip, is painful and looks bruised and/or swollen. Il correspond à la chute de la dernière phalange du doigt (du bout du doigt) avec impossibilité de l’étendre. A mallet finger injury is a tear of the tendon that straightens the end joint of the finger.. Mallet Finger Nice.
From fortworthhandcenter.com
What Is Mallet Finger and How Do I Know if I Have It? Mallet Finger Nice After the fingertip gets jammed, the end (smallest) joint of the finger just before the fingernail droops and looks. Mallet finger is a finger deformity caused by disruption of the terminal extensor tendon distal to dip joint. If you have mallet finger, you’re unable to straighten your finger, it droops at the tip, is painful and looks bruised and/or swollen.. Mallet Finger Nice.
From www.eatonhand.com
Trauma Mallet fingers Mallet Finger Nice A mallet finger injury is a tear of the tendon that straightens the end joint of the finger. Il correspond à la chute de la dernière phalange du doigt (du bout du doigt) avec impossibilité de l’étendre. If you have mallet finger, you’re unable to straighten your finger, it droops at the tip, is painful and looks bruised and/or swollen.. Mallet Finger Nice.
From www.aoshogdocs.com
Mallet Finger Advanced Orthopaedic Specialists Fayetteville, AR Mallet Finger Nice Le mallet finger (ou doigt en maillet) est une maladie extrêmement fréquente. A mallet finger is a deformity of the finger typically caused by injury. If you have mallet finger, you’re unable to straighten your finger, it droops at the tip, is painful and looks bruised and/or swollen. A mallet finger injury is a tear of the tendon that straightens. Mallet Finger Nice.
From www.physiocheck.co.uk
Mallet finger Physio Check Mallet Finger Nice A mallet finger injury is a tear of the tendon that straightens the end joint of the finger. Diagnosis is made clinically when the distal phalanx rests. A mallet finger injury is a tear of tendon that straightens the end joint of the finger. Mallet finger is a finger deformity caused by disruption of the terminal extensor tendon distal to. Mallet Finger Nice.
From www.youtube.com
WHAT IS MALLET FINGER? Causes, Symptoms, Treatment YouTube Mallet Finger Nice A mallet finger injury is a tear of the tendon that straightens the end joint of the finger. After the fingertip gets jammed, the end (smallest) joint of the finger just before the fingernail droops and looks. Mallet finger is a finger deformity caused by disruption of the terminal extensor tendon distal to dip joint. If you have mallet finger,. Mallet Finger Nice.
From www.campbellclinic.com
Mallet Finger Treatment Campbell Clinic Mallet Finger Nice Il correspond à la chute de la dernière phalange du doigt (du bout du doigt) avec impossibilité de l’étendre. If you have mallet finger, you’re unable to straighten your finger, it droops at the tip, is painful and looks bruised and/or swollen. A mallet finger injury is a tear of the tendon that straightens the end joint of the finger.. Mallet Finger Nice.
From www.osmifw.com
Mallet Finger Fort Worth Hand Therapy Center OSMI Mallet Finger Nice A mallet finger injury is a tear of tendon that straightens the end joint of the finger. A mallet finger is a deformity of the finger typically caused by injury. After the fingertip gets jammed, the end (smallest) joint of the finger just before the fingernail droops and looks. Mallet finger is a finger deformity caused by disruption of the. Mallet Finger Nice.
From www.creeksidephysiotherapy.ca
Mallet Finger What it is, and How to Heal it — Creekside Physiotherapy Mallet Finger Nice If you have mallet finger, you’re unable to straighten your finger, it droops at the tip, is painful and looks bruised and/or swollen. A mallet finger injury is a tear of tendon that straightens the end joint of the finger. Diagnosis is made clinically when the distal phalanx rests. Il correspond à la chute de la dernière phalange du doigt. Mallet Finger Nice.
From www.youtube.com
How to apply a Mallet Finger Splint YouTube Mallet Finger Nice Il correspond à la chute de la dernière phalange du doigt (du bout du doigt) avec impossibilité de l’étendre. A mallet finger injury is a tear of the tendon that straightens the end joint of the finger. Mallet finger is a finger deformity caused by disruption of the terminal extensor tendon distal to dip joint. A mallet finger is a. Mallet Finger Nice.
From www.youtube.com
Mallet finger english YouTube Mallet Finger Nice After the fingertip gets jammed, the end (smallest) joint of the finger just before the fingernail droops and looks. Il correspond à la chute de la dernière phalange du doigt (du bout du doigt) avec impossibilité de l’étendre. A mallet finger injury is a tear of tendon that straightens the end joint of the finger. If you have mallet finger,. Mallet Finger Nice.
From arorahandsurgery.com
Mallet Finger Definitions, Symptoms, and Treatment Treat Finger Injury Mallet Finger Nice A mallet finger injury is a tear of the tendon that straightens the end joint of the finger. Mallet finger is a finger deformity caused by disruption of the terminal extensor tendon distal to dip joint. Le mallet finger (ou doigt en maillet) est une maladie extrêmement fréquente. A mallet finger is a deformity of the finger typically caused by. Mallet Finger Nice.
From www.youtube.com
Best 5 Exercises with a Mallet Finger Splint On What To Do While Your Mallet Finger Nice A mallet finger injury is a tear of the tendon that straightens the end joint of the finger. A mallet finger injury is a tear of tendon that straightens the end joint of the finger. If you have mallet finger, you’re unable to straighten your finger, it droops at the tip, is painful and looks bruised and/or swollen. Le mallet. Mallet Finger Nice.
From www.healthline.com
Mallet Finger Causes, Symptoms, and Treatment Mallet Finger Nice A mallet finger injury is a tear of tendon that straightens the end joint of the finger. A mallet finger is a deformity of the finger typically caused by injury. Il correspond à la chute de la dernière phalange du doigt (du bout du doigt) avec impossibilité de l’étendre. A mallet finger injury is a tear of the tendon that. Mallet Finger Nice.
From cbphysiotherapy.in
What is Mallet Finger? Symptoms, Causes, Diagnosis & Physiotherapy Mallet Finger Nice A mallet finger injury is a tear of tendon that straightens the end joint of the finger. Diagnosis is made clinically when the distal phalanx rests. If you have mallet finger, you’re unable to straighten your finger, it droops at the tip, is painful and looks bruised and/or swollen. Le mallet finger (ou doigt en maillet) est une maladie extrêmement. Mallet Finger Nice.
From institut-main-medipole-toulouse.fr
Mallet finger Institut de la main Medipole Toulouse Mallet Finger Nice Diagnosis is made clinically when the distal phalanx rests. Il correspond à la chute de la dernière phalange du doigt (du bout du doigt) avec impossibilité de l’étendre. A mallet finger is a deformity of the finger typically caused by injury. After the fingertip gets jammed, the end (smallest) joint of the finger just before the fingernail droops and looks.. Mallet Finger Nice.
From www.schreibermd.com
Mallet Finger Raleigh Hand Surgery — Joseph J. Schreiber, MD Mallet Finger Nice Le mallet finger (ou doigt en maillet) est une maladie extrêmement fréquente. After the fingertip gets jammed, the end (smallest) joint of the finger just before the fingernail droops and looks. A mallet finger is a deformity of the finger typically caused by injury. If you have mallet finger, you’re unable to straighten your finger, it droops at the tip,. Mallet Finger Nice.
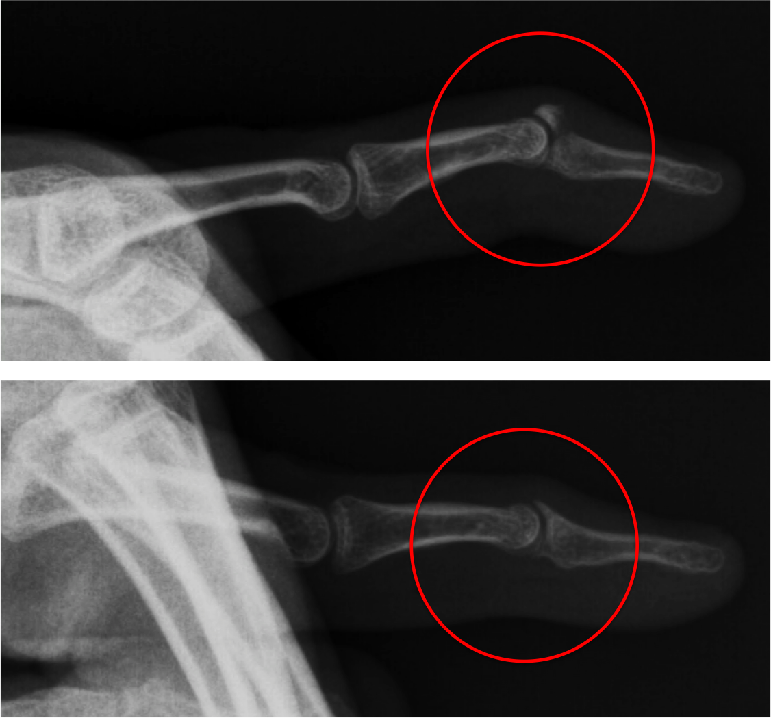
From radiopaedia.org
Mallet finger Image Mallet Finger Nice Le mallet finger (ou doigt en maillet) est une maladie extrêmement fréquente. A mallet finger injury is a tear of tendon that straightens the end joint of the finger. If you have mallet finger, you’re unable to straighten your finger, it droops at the tip, is painful and looks bruised and/or swollen. A mallet finger is a deformity of the. Mallet Finger Nice.
From orthopaedicprinciples.com
Mallet finger Treatment — Mallet Finger Nice After the fingertip gets jammed, the end (smallest) joint of the finger just before the fingernail droops and looks. Mallet finger is a finger deformity caused by disruption of the terminal extensor tendon distal to dip joint. A mallet finger injury is a tear of the tendon that straightens the end joint of the finger. A mallet finger injury is. Mallet Finger Nice.
From orthopaedicprinciples.com
Mallet Finger — Mallet Finger Nice A mallet finger injury is a tear of tendon that straightens the end joint of the finger. If you have mallet finger, you’re unable to straighten your finger, it droops at the tip, is painful and looks bruised and/or swollen. A mallet finger is a deformity of the finger typically caused by injury. After the fingertip gets jammed, the end. Mallet Finger Nice.
From www.youtube.com
Mallet Finger Explained by Dr Alexander Anzarut YouTube Mallet Finger Nice Le mallet finger (ou doigt en maillet) est une maladie extrêmement fréquente. After the fingertip gets jammed, the end (smallest) joint of the finger just before the fingernail droops and looks. Diagnosis is made clinically when the distal phalanx rests. A mallet finger injury is a tear of the tendon that straightens the end joint of the finger. A mallet. Mallet Finger Nice.
From orthopaedicprinciples.com
Mallet Finger Mechanism of Injury and Treatment Mallet Finger Nice Il correspond à la chute de la dernière phalange du doigt (du bout du doigt) avec impossibilité de l’étendre. A mallet finger injury is a tear of tendon that straightens the end joint of the finger. A mallet finger is a deformity of the finger typically caused by injury. After the fingertip gets jammed, the end (smallest) joint of the. Mallet Finger Nice.
From www.clinicaladvisor.com
OrthoDx Bony Mallet Finger Clinical Advisor Mallet Finger Nice Mallet finger is a finger deformity caused by disruption of the terminal extensor tendon distal to dip joint. Diagnosis is made clinically when the distal phalanx rests. Le mallet finger (ou doigt en maillet) est une maladie extrêmement fréquente. After the fingertip gets jammed, the end (smallest) joint of the finger just before the fingernail droops and looks. A mallet. Mallet Finger Nice.
From www.goldenstateortho.com
Mallet Finger Golden State Orthopedics & Spine Mallet Finger Nice Mallet finger is a finger deformity caused by disruption of the terminal extensor tendon distal to dip joint. Il correspond à la chute de la dernière phalange du doigt (du bout du doigt) avec impossibilité de l’étendre. A mallet finger is a deformity of the finger typically caused by injury. Diagnosis is made clinically when the distal phalanx rests. After. Mallet Finger Nice.
From www.osmifw.com
Mallet Finger Fort Worth Hand Therapy Center OSMI Mallet Finger Nice If you have mallet finger, you’re unable to straighten your finger, it droops at the tip, is painful and looks bruised and/or swollen. Mallet finger is a finger deformity caused by disruption of the terminal extensor tendon distal to dip joint. Il correspond à la chute de la dernière phalange du doigt (du bout du doigt) avec impossibilité de l’étendre.. Mallet Finger Nice.
From www.handtherapyacademy.com
Our Favorite Mallet Finger Splints Hand Therapy Academy Mallet Finger Nice Mallet finger is a finger deformity caused by disruption of the terminal extensor tendon distal to dip joint. Diagnosis is made clinically when the distal phalanx rests. A mallet finger injury is a tear of the tendon that straightens the end joint of the finger. Le mallet finger (ou doigt en maillet) est une maladie extrêmement fréquente. A mallet finger. Mallet Finger Nice.
From www.handtherapyacademy.com
Our Favorite Mallet Finger Splints Hand Therapy Academy Mallet Finger Nice Diagnosis is made clinically when the distal phalanx rests. After the fingertip gets jammed, the end (smallest) joint of the finger just before the fingernail droops and looks. A mallet finger injury is a tear of tendon that straightens the end joint of the finger. A mallet finger injury is a tear of the tendon that straightens the end joint. Mallet Finger Nice.
From www.handtherapy.com.au
Mallet Finger Hand Therapy Group Mallet Finger Nice Mallet finger is a finger deformity caused by disruption of the terminal extensor tendon distal to dip joint. A mallet finger injury is a tear of tendon that straightens the end joint of the finger. Le mallet finger (ou doigt en maillet) est une maladie extrêmement fréquente. If you have mallet finger, you’re unable to straighten your finger, it droops. Mallet Finger Nice.
From www.youtube.com
Mallet Finger I Taping Technique YouTube Mallet Finger Nice Il correspond à la chute de la dernière phalange du doigt (du bout du doigt) avec impossibilité de l’étendre. After the fingertip gets jammed, the end (smallest) joint of the finger just before the fingernail droops and looks. A mallet finger injury is a tear of tendon that straightens the end joint of the finger. A mallet finger injury is. Mallet Finger Nice.
From radiopaedia.org
Mallet finger Image Mallet Finger Nice Il correspond à la chute de la dernière phalange du doigt (du bout du doigt) avec impossibilité de l’étendre. If you have mallet finger, you’re unable to straighten your finger, it droops at the tip, is painful and looks bruised and/or swollen. A mallet finger injury is a tear of tendon that straightens the end joint of the finger. A. Mallet Finger Nice.