Neuroendocrine Tumor Spleen . The purpose of this article is to provide a review of the use of 68 ga tetraazacyclododecanetetraacetic. Neuroendocrine tumors start in the endocrine. Neuroendocrine neoplasms (nens) are a group of heterogeneous tumors with neuroendocrine differentiation that can arise. The spleen contained a metastatic lesion 1.0 cm in diameter, consistent with a primary neuroendocrine tumor of the pancreas. The tail of the pancreas is on the left side of the abdomen next to the spleen. Pnet are classified as functional or nonfunctional. Pancreatic neuroendocrine tumors (pnet) are rare, often indolent malignancies. Metastases to the spleen are extremely rare, but have been reported from a.
from www.ctisus.com
The spleen contained a metastatic lesion 1.0 cm in diameter, consistent with a primary neuroendocrine tumor of the pancreas. Neuroendocrine neoplasms (nens) are a group of heterogeneous tumors with neuroendocrine differentiation that can arise. The purpose of this article is to provide a review of the use of 68 ga tetraazacyclododecanetetraacetic. Pancreatic neuroendocrine tumors (pnet) are rare, often indolent malignancies. Pnet are classified as functional or nonfunctional. Metastases to the spleen are extremely rare, but have been reported from a. The tail of the pancreas is on the left side of the abdomen next to the spleen. Neuroendocrine tumors start in the endocrine.
Metastatic Neuroendocrine Tumor to Liver, Spleen and Nodes Pancreas
Neuroendocrine Tumor Spleen The spleen contained a metastatic lesion 1.0 cm in diameter, consistent with a primary neuroendocrine tumor of the pancreas. Pancreatic neuroendocrine tumors (pnet) are rare, often indolent malignancies. The purpose of this article is to provide a review of the use of 68 ga tetraazacyclododecanetetraacetic. Pnet are classified as functional or nonfunctional. The tail of the pancreas is on the left side of the abdomen next to the spleen. The spleen contained a metastatic lesion 1.0 cm in diameter, consistent with a primary neuroendocrine tumor of the pancreas. Neuroendocrine neoplasms (nens) are a group of heterogeneous tumors with neuroendocrine differentiation that can arise. Neuroendocrine tumors start in the endocrine. Metastases to the spleen are extremely rare, but have been reported from a.
From www.ctisus.com
Neuroendocrine Tumor of the Pancreatic Tail Looks Like an Accessory Neuroendocrine Tumor Spleen The purpose of this article is to provide a review of the use of 68 ga tetraazacyclododecanetetraacetic. Neuroendocrine tumors start in the endocrine. The spleen contained a metastatic lesion 1.0 cm in diameter, consistent with a primary neuroendocrine tumor of the pancreas. Pnet are classified as functional or nonfunctional. Metastases to the spleen are extremely rare, but have been reported. Neuroendocrine Tumor Spleen.
From www.semanticscholar.org
Intrapancreatic Accessory Spleen A Differential Diagnosis to Neuroendocrine Tumor Spleen Neuroendocrine neoplasms (nens) are a group of heterogeneous tumors with neuroendocrine differentiation that can arise. The purpose of this article is to provide a review of the use of 68 ga tetraazacyclododecanetetraacetic. The tail of the pancreas is on the left side of the abdomen next to the spleen. Neuroendocrine tumors start in the endocrine. Metastases to the spleen are. Neuroendocrine Tumor Spleen.
From www.ctisus.com
Neuroendocrine Tumor of the Pancreas Invades the Spleen and Extends Neuroendocrine Tumor Spleen Metastases to the spleen are extremely rare, but have been reported from a. Neuroendocrine tumors start in the endocrine. The purpose of this article is to provide a review of the use of 68 ga tetraazacyclododecanetetraacetic. The tail of the pancreas is on the left side of the abdomen next to the spleen. Pancreatic neuroendocrine tumors (pnet) are rare, often. Neuroendocrine Tumor Spleen.
From www.ctisus.com
Neuroendocrine Tumor of the Pancreatic Tail Looks Like an Accessory Neuroendocrine Tumor Spleen Pancreatic neuroendocrine tumors (pnet) are rare, often indolent malignancies. Metastases to the spleen are extremely rare, but have been reported from a. The purpose of this article is to provide a review of the use of 68 ga tetraazacyclododecanetetraacetic. Neuroendocrine tumors start in the endocrine. The tail of the pancreas is on the left side of the abdomen next to. Neuroendocrine Tumor Spleen.
From www.ctisus.com
Metastatic Neuroendocrine Tumor to Liver, Spleen and Nodes Pancreas Neuroendocrine Tumor Spleen The tail of the pancreas is on the left side of the abdomen next to the spleen. Neuroendocrine tumors start in the endocrine. Pnet are classified as functional or nonfunctional. The purpose of this article is to provide a review of the use of 68 ga tetraazacyclododecanetetraacetic. The spleen contained a metastatic lesion 1.0 cm in diameter, consistent with a. Neuroendocrine Tumor Spleen.
From healthjade.com
Neuroendocrine Tumor Causes, Symptoms, Diagnosis, Prognosis, Treatment Neuroendocrine Tumor Spleen The purpose of this article is to provide a review of the use of 68 ga tetraazacyclododecanetetraacetic. The spleen contained a metastatic lesion 1.0 cm in diameter, consistent with a primary neuroendocrine tumor of the pancreas. Metastases to the spleen are extremely rare, but have been reported from a. Neuroendocrine tumors start in the endocrine. Neuroendocrine neoplasms (nens) are a. Neuroendocrine Tumor Spleen.
From www.ctisus.com
Splenic Vein Occlusion with Extensive Collaterals due to Neuroendocrine Neuroendocrine Tumor Spleen Neuroendocrine tumors start in the endocrine. Metastases to the spleen are extremely rare, but have been reported from a. The tail of the pancreas is on the left side of the abdomen next to the spleen. The spleen contained a metastatic lesion 1.0 cm in diameter, consistent with a primary neuroendocrine tumor of the pancreas. Pancreatic neuroendocrine tumors (pnet) are. Neuroendocrine Tumor Spleen.
From www.researchgate.net
(PDF) Differentiating intrapancreatic accessory spleen from a Neuroendocrine Tumor Spleen The spleen contained a metastatic lesion 1.0 cm in diameter, consistent with a primary neuroendocrine tumor of the pancreas. The purpose of this article is to provide a review of the use of 68 ga tetraazacyclododecanetetraacetic. Pnet are classified as functional or nonfunctional. Neuroendocrine tumors start in the endocrine. Neuroendocrine neoplasms (nens) are a group of heterogeneous tumors with neuroendocrine. Neuroendocrine Tumor Spleen.
From www.ctisus.com
Accessory Spleen Simulates a Neuroendocrine Tumor of the Tail of the Neuroendocrine Tumor Spleen The spleen contained a metastatic lesion 1.0 cm in diameter, consistent with a primary neuroendocrine tumor of the pancreas. The tail of the pancreas is on the left side of the abdomen next to the spleen. Metastases to the spleen are extremely rare, but have been reported from a. Pancreatic neuroendocrine tumors (pnet) are rare, often indolent malignancies. Neuroendocrine tumors. Neuroendocrine Tumor Spleen.
From www.researchgate.net
(PDF) Pancreatic neuroendocrine tumor with metastasis to the spleen A Neuroendocrine Tumor Spleen The tail of the pancreas is on the left side of the abdomen next to the spleen. Pnet are classified as functional or nonfunctional. The purpose of this article is to provide a review of the use of 68 ga tetraazacyclododecanetetraacetic. Neuroendocrine tumors start in the endocrine. Metastases to the spleen are extremely rare, but have been reported from a.. Neuroendocrine Tumor Spleen.
From www.cancerstaging.com
Neuroendocrine Tumor of the Pancreatic Tail Looks Like an Accessory Neuroendocrine Tumor Spleen Neuroendocrine neoplasms (nens) are a group of heterogeneous tumors with neuroendocrine differentiation that can arise. The purpose of this article is to provide a review of the use of 68 ga tetraazacyclododecanetetraacetic. The tail of the pancreas is on the left side of the abdomen next to the spleen. Metastases to the spleen are extremely rare, but have been reported. Neuroendocrine Tumor Spleen.
From www.ctisus.com
Splenic Vein Occlusion with Extensive Collaterals due to Neuroendocrine Neuroendocrine Tumor Spleen The spleen contained a metastatic lesion 1.0 cm in diameter, consistent with a primary neuroendocrine tumor of the pancreas. Pnet are classified as functional or nonfunctional. Metastases to the spleen are extremely rare, but have been reported from a. The purpose of this article is to provide a review of the use of 68 ga tetraazacyclododecanetetraacetic. Neuroendocrine tumors start in. Neuroendocrine Tumor Spleen.
From www.ctisus.com
Neuroendocrine Tumor of the Pancreas with Splenic Hemangiomas Neuroendocrine Tumor Spleen Pancreatic neuroendocrine tumors (pnet) are rare, often indolent malignancies. Neuroendocrine tumors start in the endocrine. Metastases to the spleen are extremely rare, but have been reported from a. The spleen contained a metastatic lesion 1.0 cm in diameter, consistent with a primary neuroendocrine tumor of the pancreas. The tail of the pancreas is on the left side of the abdomen. Neuroendocrine Tumor Spleen.
From www.ctisus.com
Splenic Vein Occlusion with Extensive Collaterals due to Neuroendocrine Neuroendocrine Tumor Spleen The tail of the pancreas is on the left side of the abdomen next to the spleen. The spleen contained a metastatic lesion 1.0 cm in diameter, consistent with a primary neuroendocrine tumor of the pancreas. Pancreatic neuroendocrine tumors (pnet) are rare, often indolent malignancies. Neuroendocrine neoplasms (nens) are a group of heterogeneous tumors with neuroendocrine differentiation that can arise.. Neuroendocrine Tumor Spleen.
From www.semanticscholar.org
Figure 1 from Splenic metastasis from neuroendocrine tumor of the Neuroendocrine Tumor Spleen Metastases to the spleen are extremely rare, but have been reported from a. The purpose of this article is to provide a review of the use of 68 ga tetraazacyclododecanetetraacetic. Neuroendocrine neoplasms (nens) are a group of heterogeneous tumors with neuroendocrine differentiation that can arise. The spleen contained a metastatic lesion 1.0 cm in diameter, consistent with a primary neuroendocrine. Neuroendocrine Tumor Spleen.
From www.ctisus.com
Splenic Vein Occlusion with Extensive Collaterals due to Neuroendocrine Neuroendocrine Tumor Spleen Pnet are classified as functional or nonfunctional. The spleen contained a metastatic lesion 1.0 cm in diameter, consistent with a primary neuroendocrine tumor of the pancreas. Metastases to the spleen are extremely rare, but have been reported from a. The purpose of this article is to provide a review of the use of 68 ga tetraazacyclododecanetetraacetic. The tail of the. Neuroendocrine Tumor Spleen.
From www.ctisus.com
Neuroendocrine Tumor of the Pancreas Invades the Spleen and Extends Neuroendocrine Tumor Spleen Pnet are classified as functional or nonfunctional. Neuroendocrine tumors start in the endocrine. Neuroendocrine neoplasms (nens) are a group of heterogeneous tumors with neuroendocrine differentiation that can arise. The tail of the pancreas is on the left side of the abdomen next to the spleen. Pancreatic neuroendocrine tumors (pnet) are rare, often indolent malignancies. Metastases to the spleen are extremely. Neuroendocrine Tumor Spleen.
From www.ctisus.com
Accessory Spleen Simulates a Neuroendocrine Tumor of the Tail of the Neuroendocrine Tumor Spleen Neuroendocrine tumors start in the endocrine. The spleen contained a metastatic lesion 1.0 cm in diameter, consistent with a primary neuroendocrine tumor of the pancreas. Pancreatic neuroendocrine tumors (pnet) are rare, often indolent malignancies. The purpose of this article is to provide a review of the use of 68 ga tetraazacyclododecanetetraacetic. Pnet are classified as functional or nonfunctional. Neuroendocrine neoplasms. Neuroendocrine Tumor Spleen.
From www.ctisus.com
Neuroendocrine Tumor of the Pancreas with Splenic Hemangiomas Neuroendocrine Tumor Spleen Neuroendocrine neoplasms (nens) are a group of heterogeneous tumors with neuroendocrine differentiation that can arise. Metastases to the spleen are extremely rare, but have been reported from a. Pancreatic neuroendocrine tumors (pnet) are rare, often indolent malignancies. Neuroendocrine tumors start in the endocrine. The tail of the pancreas is on the left side of the abdomen next to the spleen.. Neuroendocrine Tumor Spleen.
From netrf.org
Learn About Pancreatic Neuroendocrine Tumors Neuroendocrine Tumor Spleen Pancreatic neuroendocrine tumors (pnet) are rare, often indolent malignancies. Neuroendocrine tumors start in the endocrine. The spleen contained a metastatic lesion 1.0 cm in diameter, consistent with a primary neuroendocrine tumor of the pancreas. The purpose of this article is to provide a review of the use of 68 ga tetraazacyclododecanetetraacetic. Metastases to the spleen are extremely rare, but have. Neuroendocrine Tumor Spleen.
From www.researchgate.net
Pancreatic neuroendocrine tumor of the tail, invading the spleen (red Neuroendocrine Tumor Spleen The spleen contained a metastatic lesion 1.0 cm in diameter, consistent with a primary neuroendocrine tumor of the pancreas. Pancreatic neuroendocrine tumors (pnet) are rare, often indolent malignancies. Neuroendocrine neoplasms (nens) are a group of heterogeneous tumors with neuroendocrine differentiation that can arise. Pnet are classified as functional or nonfunctional. Neuroendocrine tumors start in the endocrine. The tail of the. Neuroendocrine Tumor Spleen.
From www.ctisus.com
Neuroendocrine Tumor of the Pancreas Invades the Spleen and Extends Neuroendocrine Tumor Spleen Pancreatic neuroendocrine tumors (pnet) are rare, often indolent malignancies. Neuroendocrine neoplasms (nens) are a group of heterogeneous tumors with neuroendocrine differentiation that can arise. Pnet are classified as functional or nonfunctional. The spleen contained a metastatic lesion 1.0 cm in diameter, consistent with a primary neuroendocrine tumor of the pancreas. The tail of the pancreas is on the left side. Neuroendocrine Tumor Spleen.
From www.researchgate.net
(ad) Grade II neuroendocrine tumor immunopositive for chromogranin Neuroendocrine Tumor Spleen Metastases to the spleen are extremely rare, but have been reported from a. The spleen contained a metastatic lesion 1.0 cm in diameter, consistent with a primary neuroendocrine tumor of the pancreas. Neuroendocrine tumors start in the endocrine. Pancreatic neuroendocrine tumors (pnet) are rare, often indolent malignancies. Neuroendocrine neoplasms (nens) are a group of heterogeneous tumors with neuroendocrine differentiation that. Neuroendocrine Tumor Spleen.
From www.ctisus.com
Neuroendocrine Tumor Pancreas Which is Very Vascular and Spontaneous Neuroendocrine Tumor Spleen The tail of the pancreas is on the left side of the abdomen next to the spleen. The spleen contained a metastatic lesion 1.0 cm in diameter, consistent with a primary neuroendocrine tumor of the pancreas. Pnet are classified as functional or nonfunctional. Pancreatic neuroendocrine tumors (pnet) are rare, often indolent malignancies. Neuroendocrine tumors start in the endocrine. Neuroendocrine neoplasms. Neuroendocrine Tumor Spleen.
From www.endocrinepractice.org
Pancreatic Incidentaloma Differentiating Nonfunctioning Pancreatic Neuroendocrine Tumor Spleen The purpose of this article is to provide a review of the use of 68 ga tetraazacyclododecanetetraacetic. Pancreatic neuroendocrine tumors (pnet) are rare, often indolent malignancies. The tail of the pancreas is on the left side of the abdomen next to the spleen. The spleen contained a metastatic lesion 1.0 cm in diameter, consistent with a primary neuroendocrine tumor of. Neuroendocrine Tumor Spleen.
From www.researchgate.net
(PDF) Diagnostic difficulties in neuroendocrine tumors Neuroendocrine Tumor Spleen The spleen contained a metastatic lesion 1.0 cm in diameter, consistent with a primary neuroendocrine tumor of the pancreas. Neuroendocrine neoplasms (nens) are a group of heterogeneous tumors with neuroendocrine differentiation that can arise. The tail of the pancreas is on the left side of the abdomen next to the spleen. Pnet are classified as functional or nonfunctional. Pancreatic neuroendocrine. Neuroendocrine Tumor Spleen.
From journalmc.org
Pancreatic Neuroendocrine Tumor Invading the Stomach and Spleen A Case Neuroendocrine Tumor Spleen The tail of the pancreas is on the left side of the abdomen next to the spleen. Neuroendocrine tumors start in the endocrine. Pancreatic neuroendocrine tumors (pnet) are rare, often indolent malignancies. Neuroendocrine neoplasms (nens) are a group of heterogeneous tumors with neuroendocrine differentiation that can arise. The spleen contained a metastatic lesion 1.0 cm in diameter, consistent with a. Neuroendocrine Tumor Spleen.
From www.researchgate.net
(PDF) Ectopic spleen and liver hemangioma mimicking metastatic Neuroendocrine Tumor Spleen The purpose of this article is to provide a review of the use of 68 ga tetraazacyclododecanetetraacetic. Neuroendocrine tumors start in the endocrine. Pnet are classified as functional or nonfunctional. The spleen contained a metastatic lesion 1.0 cm in diameter, consistent with a primary neuroendocrine tumor of the pancreas. Neuroendocrine neoplasms (nens) are a group of heterogeneous tumors with neuroendocrine. Neuroendocrine Tumor Spleen.
From www.semanticscholar.org
Figure 1 from Differentiating intrapancreatic accessory spleen from a Neuroendocrine Tumor Spleen The tail of the pancreas is on the left side of the abdomen next to the spleen. Neuroendocrine neoplasms (nens) are a group of heterogeneous tumors with neuroendocrine differentiation that can arise. Pnet are classified as functional or nonfunctional. Metastases to the spleen are extremely rare, but have been reported from a. The purpose of this article is to provide. Neuroendocrine Tumor Spleen.
From www.researchgate.net
(PDF) Accessory spleen mimicking a pancreatic neuroendocrine tumor Neuroendocrine Tumor Spleen Pnet are classified as functional or nonfunctional. The tail of the pancreas is on the left side of the abdomen next to the spleen. Neuroendocrine tumors start in the endocrine. Metastases to the spleen are extremely rare, but have been reported from a. Neuroendocrine neoplasms (nens) are a group of heterogeneous tumors with neuroendocrine differentiation that can arise. The spleen. Neuroendocrine Tumor Spleen.
From www.ctisus.com
Splenic Vein Occlusion with Extensive Collaterals due to Neuroendocrine Neuroendocrine Tumor Spleen Neuroendocrine neoplasms (nens) are a group of heterogeneous tumors with neuroendocrine differentiation that can arise. The purpose of this article is to provide a review of the use of 68 ga tetraazacyclododecanetetraacetic. Pnet are classified as functional or nonfunctional. Metastases to the spleen are extremely rare, but have been reported from a. The spleen contained a metastatic lesion 1.0 cm. Neuroendocrine Tumor Spleen.
From www.ctisus.com
Splenic Vein Occlusion with Extensive Collaterals due to Neuroendocrine Neuroendocrine Tumor Spleen The purpose of this article is to provide a review of the use of 68 ga tetraazacyclododecanetetraacetic. Pancreatic neuroendocrine tumors (pnet) are rare, often indolent malignancies. Pnet are classified as functional or nonfunctional. Neuroendocrine tumors start in the endocrine. The spleen contained a metastatic lesion 1.0 cm in diameter, consistent with a primary neuroendocrine tumor of the pancreas. Neuroendocrine neoplasms. Neuroendocrine Tumor Spleen.
From www.primescholars.com
Splenic Mass and Isolated Gastric Varices A Rare Presentation of Neuroendocrine Tumor Spleen Pnet are classified as functional or nonfunctional. Neuroendocrine tumors start in the endocrine. Neuroendocrine neoplasms (nens) are a group of heterogeneous tumors with neuroendocrine differentiation that can arise. Metastases to the spleen are extremely rare, but have been reported from a. The purpose of this article is to provide a review of the use of 68 ga tetraazacyclododecanetetraacetic. Pancreatic neuroendocrine. Neuroendocrine Tumor Spleen.
From www.semanticscholar.org
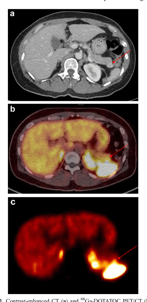
Spleen Scan for 68GaDOTATOC PETPositive Pancreatic Tail Lesion Neuroendocrine Tumor Spleen The purpose of this article is to provide a review of the use of 68 ga tetraazacyclododecanetetraacetic. Pancreatic neuroendocrine tumors (pnet) are rare, often indolent malignancies. The tail of the pancreas is on the left side of the abdomen next to the spleen. The spleen contained a metastatic lesion 1.0 cm in diameter, consistent with a primary neuroendocrine tumor of. Neuroendocrine Tumor Spleen.
From www.cureus.com
Cureus Intrapancreatic Accessory Spleen Diagnosed As Neuroendocrine Neuroendocrine Tumor Spleen The spleen contained a metastatic lesion 1.0 cm in diameter, consistent with a primary neuroendocrine tumor of the pancreas. Pnet are classified as functional or nonfunctional. Neuroendocrine tumors start in the endocrine. The tail of the pancreas is on the left side of the abdomen next to the spleen. The purpose of this article is to provide a review of. Neuroendocrine Tumor Spleen.