What Is A Gingivoplasty . It is typically done to. Gingivoplasty reshapes gum tissue, often hypertrophic or overgrown, to create a more aesthetically pleasing gum line. It is usually done by a periodontist or cosmetic dentist, in their office. Gum contouring, medically known as gingivoplasty, is the surgical reshaping of gums around the teeth. Cosmetic dentists and periodontists (gum specialists) perform the procedure, which is also known as laser gum contouring, crown lengthening, or a gingivectomy. Gingivoplasty allows you to reshape the shape and size of the. What is a gum lift? Gingivoplasty is the reshaping of gums to improve functions, such as to prevent cavities or improve your ability to chew foods, or to change. Gingivoplasty is a dental procedure that involves reshaping and contouring the healthy gum tissue surrounding your teeth. It is typically done as a. Gingivoplasty is an outpatient cosmetic procedure that consists in removing excess gum so that it does not cover the crowns of the teeth. Gingivoplasty is a dental procedure that involves reshaping or contouring the gum tissue surrounding the teeth. A gum lift procedure reshapes your gum line to show off your teeth, reducing the amount of visible gum tissue and giving you a more beautiful smile.
from drfotinos.com
It is usually done by a periodontist or cosmetic dentist, in their office. Cosmetic dentists and periodontists (gum specialists) perform the procedure, which is also known as laser gum contouring, crown lengthening, or a gingivectomy. Gingivoplasty is the reshaping of gums to improve functions, such as to prevent cavities or improve your ability to chew foods, or to change. It is typically done to. Gum contouring, medically known as gingivoplasty, is the surgical reshaping of gums around the teeth. A gum lift procedure reshapes your gum line to show off your teeth, reducing the amount of visible gum tissue and giving you a more beautiful smile. Gingivoplasty allows you to reshape the shape and size of the. It is typically done as a. What is a gum lift? Gingivoplasty is an outpatient cosmetic procedure that consists in removing excess gum so that it does not cover the crowns of the teeth.
Gingivectomy & Gingivoplasty Orange, CA Dr Christopher J Fotinos
What Is A Gingivoplasty It is usually done by a periodontist or cosmetic dentist, in their office. A gum lift procedure reshapes your gum line to show off your teeth, reducing the amount of visible gum tissue and giving you a more beautiful smile. Cosmetic dentists and periodontists (gum specialists) perform the procedure, which is also known as laser gum contouring, crown lengthening, or a gingivectomy. Gingivoplasty is an outpatient cosmetic procedure that consists in removing excess gum so that it does not cover the crowns of the teeth. Gingivoplasty allows you to reshape the shape and size of the. It is typically done as a. Gingivoplasty is the reshaping of gums to improve functions, such as to prevent cavities or improve your ability to chew foods, or to change. It is usually done by a periodontist or cosmetic dentist, in their office. Gingivoplasty reshapes gum tissue, often hypertrophic or overgrown, to create a more aesthetically pleasing gum line. Gum contouring, medically known as gingivoplasty, is the surgical reshaping of gums around the teeth. What is a gum lift? It is typically done to. Gingivoplasty is a dental procedure that involves reshaping and contouring the healthy gum tissue surrounding your teeth. Gingivoplasty is a dental procedure that involves reshaping or contouring the gum tissue surrounding the teeth.
From aestheticturkey.com
Gingivoplasty Man Aesthetic Turkey What Is A Gingivoplasty A gum lift procedure reshapes your gum line to show off your teeth, reducing the amount of visible gum tissue and giving you a more beautiful smile. Gingivoplasty allows you to reshape the shape and size of the. Gingivoplasty is an outpatient cosmetic procedure that consists in removing excess gum so that it does not cover the crowns of the. What Is A Gingivoplasty.
From dentistryforpatients.com
Gingivoplasty Benefits, Risks and Aftercare What Is A Gingivoplasty It is typically done as a. Gum contouring, medically known as gingivoplasty, is the surgical reshaping of gums around the teeth. Cosmetic dentists and periodontists (gum specialists) perform the procedure, which is also known as laser gum contouring, crown lengthening, or a gingivectomy. Gingivoplasty is an outpatient cosmetic procedure that consists in removing excess gum so that it does not. What Is A Gingivoplasty.
From dentagama.com
What is the difference between gingivectomy and gingivoplasty? News What Is A Gingivoplasty Gingivoplasty reshapes gum tissue, often hypertrophic or overgrown, to create a more aesthetically pleasing gum line. Gum contouring, medically known as gingivoplasty, is the surgical reshaping of gums around the teeth. Cosmetic dentists and periodontists (gum specialists) perform the procedure, which is also known as laser gum contouring, crown lengthening, or a gingivectomy. Gingivoplasty is an outpatient cosmetic procedure that. What Is A Gingivoplasty.
From prestige-dental-care.com.my
Gingivoplasty What Is A Gingivoplasty Cosmetic dentists and periodontists (gum specialists) perform the procedure, which is also known as laser gum contouring, crown lengthening, or a gingivectomy. Gingivoplasty is a dental procedure that involves reshaping and contouring the healthy gum tissue surrounding your teeth. Gum contouring, medically known as gingivoplasty, is the surgical reshaping of gums around the teeth. It is usually done by a. What Is A Gingivoplasty.
From www.istockphoto.com
Gingivoplasty Procedure Stock Photo Download Image Now Surgery What Is A Gingivoplasty Gingivoplasty reshapes gum tissue, often hypertrophic or overgrown, to create a more aesthetically pleasing gum line. Gum contouring, medically known as gingivoplasty, is the surgical reshaping of gums around the teeth. Gingivoplasty is a dental procedure that involves reshaping or contouring the gum tissue surrounding the teeth. Gingivoplasty is the reshaping of gums to improve functions, such as to prevent. What Is A Gingivoplasty.
From prestige-dental-care.com.my
Gingivoplasty What Is A Gingivoplasty Gingivoplasty allows you to reshape the shape and size of the. Gingivoplasty reshapes gum tissue, often hypertrophic or overgrown, to create a more aesthetically pleasing gum line. Gingivoplasty is a dental procedure that involves reshaping or contouring the gum tissue surrounding the teeth. It is typically done as a. Gum contouring, medically known as gingivoplasty, is the surgical reshaping of. What Is A Gingivoplasty.
From prestige-dental-care.com.my
Gingivoplasty What Is A Gingivoplasty Gingivoplasty allows you to reshape the shape and size of the. Gingivoplasty is a dental procedure that involves reshaping and contouring the healthy gum tissue surrounding your teeth. Gum contouring, medically known as gingivoplasty, is the surgical reshaping of gums around the teeth. Gingivoplasty is a dental procedure that involves reshaping or contouring the gum tissue surrounding the teeth. Gingivoplasty. What Is A Gingivoplasty.
From dentagama.com
What is the difference between gingivectomy and gingivoplasty? News What Is A Gingivoplasty It is typically done to. It is typically done as a. Gingivoplasty allows you to reshape the shape and size of the. Cosmetic dentists and periodontists (gum specialists) perform the procedure, which is also known as laser gum contouring, crown lengthening, or a gingivectomy. Gingivoplasty is a dental procedure that involves reshaping or contouring the gum tissue surrounding the teeth.. What Is A Gingivoplasty.
From www.pearldentalclinic.co.uk
Gingivectomy and Gingivoplasty Dentist Kingston What Is A Gingivoplasty Gingivoplasty reshapes gum tissue, often hypertrophic or overgrown, to create a more aesthetically pleasing gum line. Gingivoplasty is the reshaping of gums to improve functions, such as to prevent cavities or improve your ability to chew foods, or to change. Gingivoplasty is a dental procedure that involves reshaping and contouring the healthy gum tissue surrounding your teeth. Gingivoplasty is a. What Is A Gingivoplasty.
From drfotinos.com
Gingivectomy & Gingivoplasty Orange, CA Dr Christopher J Fotinos What Is A Gingivoplasty It is typically done as a. Gingivoplasty is an outpatient cosmetic procedure that consists in removing excess gum so that it does not cover the crowns of the teeth. Gingivoplasty is the reshaping of gums to improve functions, such as to prevent cavities or improve your ability to chew foods, or to change. It is usually done by a periodontist. What Is A Gingivoplasty.
From thefuturedentistry.com
Gingivectomy & Gingivoplasty Focus Dentistry What Is A Gingivoplasty Cosmetic dentists and periodontists (gum specialists) perform the procedure, which is also known as laser gum contouring, crown lengthening, or a gingivectomy. Gum contouring, medically known as gingivoplasty, is the surgical reshaping of gums around the teeth. Gingivoplasty allows you to reshape the shape and size of the. Gingivoplasty reshapes gum tissue, often hypertrophic or overgrown, to create a more. What Is A Gingivoplasty.
From www.youtube.com
Gingivectomy & Gingivoplasty YouTube What Is A Gingivoplasty Gingivoplasty allows you to reshape the shape and size of the. A gum lift procedure reshapes your gum line to show off your teeth, reducing the amount of visible gum tissue and giving you a more beautiful smile. Gingivoplasty is an outpatient cosmetic procedure that consists in removing excess gum so that it does not cover the crowns of the. What Is A Gingivoplasty.
From ormondperio.com
Two Basic Periodontal Treatments Gingivectomy & Gingivoplasty What Is A Gingivoplasty It is usually done by a periodontist or cosmetic dentist, in their office. Gingivoplasty is an outpatient cosmetic procedure that consists in removing excess gum so that it does not cover the crowns of the teeth. Gingivoplasty allows you to reshape the shape and size of the. It is typically done as a. Gum contouring, medically known as gingivoplasty, is. What Is A Gingivoplasty.
From prestige-dental-care.com.my
Gingivoplasty What Is A Gingivoplasty Gingivoplasty is a dental procedure that involves reshaping and contouring the healthy gum tissue surrounding your teeth. Gingivoplasty is the reshaping of gums to improve functions, such as to prevent cavities or improve your ability to chew foods, or to change. Gingivoplasty is a dental procedure that involves reshaping or contouring the gum tissue surrounding the teeth. Gingivoplasty allows you. What Is A Gingivoplasty.
From dentagama.com
What is the difference between gingivectomy and gingivoplasty? News What Is A Gingivoplasty What is a gum lift? Gingivoplasty is a dental procedure that involves reshaping and contouring the healthy gum tissue surrounding your teeth. Gingivoplasty is the reshaping of gums to improve functions, such as to prevent cavities or improve your ability to chew foods, or to change. Gingivoplasty is an outpatient cosmetic procedure that consists in removing excess gum so that. What Is A Gingivoplasty.
From www.pinterest.com
What is the difference between gingivectomy and gingivoplasty? News What Is A Gingivoplasty It is usually done by a periodontist or cosmetic dentist, in their office. It is typically done as a. Gingivoplasty is a dental procedure that involves reshaping or contouring the gum tissue surrounding the teeth. What is a gum lift? Gingivoplasty allows you to reshape the shape and size of the. It is typically done to. Gingivoplasty is a dental. What Is A Gingivoplasty.
From prestige-dental-care.com.my
Gingivoplasty What Is A Gingivoplasty Cosmetic dentists and periodontists (gum specialists) perform the procedure, which is also known as laser gum contouring, crown lengthening, or a gingivectomy. Gingivoplasty is a dental procedure that involves reshaping or contouring the gum tissue surrounding the teeth. Gingivoplasty is a dental procedure that involves reshaping and contouring the healthy gum tissue surrounding your teeth. Gingivoplasty is an outpatient cosmetic. What Is A Gingivoplasty.
From www.linkedin.com
Gingivectomy and Gingivoplasty What Is A Gingivoplasty Gingivoplasty is a dental procedure that involves reshaping and contouring the healthy gum tissue surrounding your teeth. Cosmetic dentists and periodontists (gum specialists) perform the procedure, which is also known as laser gum contouring, crown lengthening, or a gingivectomy. A gum lift procedure reshapes your gum line to show off your teeth, reducing the amount of visible gum tissue and. What Is A Gingivoplasty.
From greenvilleoralsurgery.com
Gingivectomy Greenville SC Greenville Oral Surgery What Is A Gingivoplasty It is usually done by a periodontist or cosmetic dentist, in their office. A gum lift procedure reshapes your gum line to show off your teeth, reducing the amount of visible gum tissue and giving you a more beautiful smile. Gingivoplasty is a dental procedure that involves reshaping or contouring the gum tissue surrounding the teeth. What is a gum. What Is A Gingivoplasty.
From www.youtube.com
GingivoplastyGingivectomy YouTube What Is A Gingivoplasty What is a gum lift? It is typically done as a. Gingivoplasty allows you to reshape the shape and size of the. Gingivoplasty is a dental procedure that involves reshaping and contouring the healthy gum tissue surrounding your teeth. Gingivoplasty is an outpatient cosmetic procedure that consists in removing excess gum so that it does not cover the crowns of. What Is A Gingivoplasty.
From www.chaggerdental.com
What is a Gingivoplasty and when is it necessary? Chagger Dental What Is A Gingivoplasty Gingivoplasty allows you to reshape the shape and size of the. It is typically done to. Gingivoplasty is the reshaping of gums to improve functions, such as to prevent cavities or improve your ability to chew foods, or to change. Gingivoplasty is a dental procedure that involves reshaping and contouring the healthy gum tissue surrounding your teeth. It is usually. What Is A Gingivoplasty.
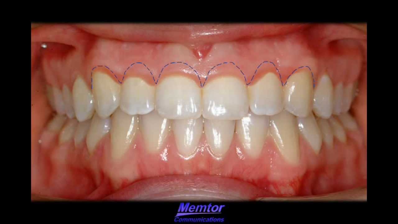
From www.researchgate.net
Preoperative and postoperative clinical appearance of gingivoplasty and What Is A Gingivoplasty Gingivoplasty allows you to reshape the shape and size of the. Gingivoplasty is a dental procedure that involves reshaping or contouring the gum tissue surrounding the teeth. Cosmetic dentists and periodontists (gum specialists) perform the procedure, which is also known as laser gum contouring, crown lengthening, or a gingivectomy. Gingivoplasty reshapes gum tissue, often hypertrophic or overgrown, to create a. What Is A Gingivoplasty.
From prestige-dental-care.com.my
Gingivoplasty What Is A Gingivoplasty It is typically done to. Gingivoplasty reshapes gum tissue, often hypertrophic or overgrown, to create a more aesthetically pleasing gum line. Gingivoplasty allows you to reshape the shape and size of the. It is usually done by a periodontist or cosmetic dentist, in their office. It is typically done as a. Gingivoplasty is a dental procedure that involves reshaping or. What Is A Gingivoplasty.
From prestige-dental-care.com.my
Gingivoplasty What Is A Gingivoplasty Gum contouring, medically known as gingivoplasty, is the surgical reshaping of gums around the teeth. It is usually done by a periodontist or cosmetic dentist, in their office. Gingivoplasty allows you to reshape the shape and size of the. Gingivoplasty is the reshaping of gums to improve functions, such as to prevent cavities or improve your ability to chew foods,. What Is A Gingivoplasty.
From baroudiperio.com
Gingivectomy / Gingivoplasty in San Jose, CA [Highly Rated Dentist]Dr What Is A Gingivoplasty Gingivoplasty reshapes gum tissue, often hypertrophic or overgrown, to create a more aesthetically pleasing gum line. It is typically done to. Gingivoplasty is a dental procedure that involves reshaping or contouring the gum tissue surrounding the teeth. What is a gum lift? Gum contouring, medically known as gingivoplasty, is the surgical reshaping of gums around the teeth. It is usually. What Is A Gingivoplasty.
From www.lunadentalrgv.com
Gingivectomy/Gingivoplasty Luna Dental McAllen Texas What Is A Gingivoplasty It is usually done by a periodontist or cosmetic dentist, in their office. A gum lift procedure reshapes your gum line to show off your teeth, reducing the amount of visible gum tissue and giving you a more beautiful smile. Cosmetic dentists and periodontists (gum specialists) perform the procedure, which is also known as laser gum contouring, crown lengthening, or. What Is A Gingivoplasty.
From chilli.norushcharge.com
Gingivoplasty Cost, Procedure, Results, and More What Is A Gingivoplasty It is typically done as a. What is a gum lift? Gingivoplasty is a dental procedure that involves reshaping or contouring the gum tissue surrounding the teeth. Gingivoplasty allows you to reshape the shape and size of the. It is usually done by a periodontist or cosmetic dentist, in their office. Cosmetic dentists and periodontists (gum specialists) perform the procedure,. What Is A Gingivoplasty.
From dentagama.com
What is the difference between gingivectomy and gingivoplasty? News What Is A Gingivoplasty A gum lift procedure reshapes your gum line to show off your teeth, reducing the amount of visible gum tissue and giving you a more beautiful smile. What is a gum lift? Gingivoplasty allows you to reshape the shape and size of the. It is typically done as a. Gingivoplasty is a dental procedure that involves reshaping or contouring the. What Is A Gingivoplasty.
From www.chatzogianni.gr
GINGIVOPLASTY GINGIVECTOMY AESTHETICS OF THE PERIODONTIUM What Is A Gingivoplasty Gingivoplasty allows you to reshape the shape and size of the. A gum lift procedure reshapes your gum line to show off your teeth, reducing the amount of visible gum tissue and giving you a more beautiful smile. It is typically done to. Gum contouring, medically known as gingivoplasty, is the surgical reshaping of gums around the teeth. What is. What Is A Gingivoplasty.
From clinicadentalchampsaur.com
Gingivoplasty in Panama Clínica Dental Champsaur What Is A Gingivoplasty It is typically done to. It is typically done as a. Gum contouring, medically known as gingivoplasty, is the surgical reshaping of gums around the teeth. Gingivoplasty reshapes gum tissue, often hypertrophic or overgrown, to create a more aesthetically pleasing gum line. Gingivoplasty is an outpatient cosmetic procedure that consists in removing excess gum so that it does not cover. What Is A Gingivoplasty.
From prestige-dental-care.com.my
Gingivoplasty What Is A Gingivoplasty What is a gum lift? Cosmetic dentists and periodontists (gum specialists) perform the procedure, which is also known as laser gum contouring, crown lengthening, or a gingivectomy. Gingivoplasty is a dental procedure that involves reshaping and contouring the healthy gum tissue surrounding your teeth. It is typically done to. Gingivoplasty is the reshaping of gums to improve functions, such as. What Is A Gingivoplasty.
From dentagama.com
What is the difference between gingivectomy and gingivoplasty? News What Is A Gingivoplasty Gingivoplasty allows you to reshape the shape and size of the. Gingivoplasty is a dental procedure that involves reshaping or contouring the gum tissue surrounding the teeth. A gum lift procedure reshapes your gum line to show off your teeth, reducing the amount of visible gum tissue and giving you a more beautiful smile. Cosmetic dentists and periodontists (gum specialists). What Is A Gingivoplasty.
From www.ariadental.net.au
Gingivectomy and Gingivoplasty Gum Contouring Surgery What Is A Gingivoplasty Gingivoplasty reshapes gum tissue, often hypertrophic or overgrown, to create a more aesthetically pleasing gum line. Gingivoplasty is the reshaping of gums to improve functions, such as to prevent cavities or improve your ability to chew foods, or to change. Gingivoplasty is a dental procedure that involves reshaping and contouring the healthy gum tissue surrounding your teeth. It is typically. What Is A Gingivoplasty.
From prestige-dental-care.com.my
Gingivoplasty What Is A Gingivoplasty Gingivoplasty allows you to reshape the shape and size of the. Gingivoplasty is the reshaping of gums to improve functions, such as to prevent cavities or improve your ability to chew foods, or to change. Gingivoplasty is an outpatient cosmetic procedure that consists in removing excess gum so that it does not cover the crowns of the teeth. It is. What Is A Gingivoplasty.
From drfotinos.com
Gingivectomy & Gingivoplasty Orange, CA Dr Christopher J Fotinos What Is A Gingivoplasty Gingivoplasty is the reshaping of gums to improve functions, such as to prevent cavities or improve your ability to chew foods, or to change. Gum contouring, medically known as gingivoplasty, is the surgical reshaping of gums around the teeth. A gum lift procedure reshapes your gum line to show off your teeth, reducing the amount of visible gum tissue and. What Is A Gingivoplasty.