Metaphyseal Screw Synthes . Original instruments and implants of the association for the study of internal fixation — ao asif synthes screw reference chart reference chart screws, drill bits, taps locking screws, guide. 6 synthes lcp locking compression plate ordering information basic lcp plates lcp metaphyseal plates 3.5 steel. The 2.7 mm/3.5 mm va lcp™ ankle trauma system is a comprehensive plating system that merges variable angle locking screw technology with conventional. Use the lcp metaphyseal plate according to the lcp principles (see lcp instructions for use, art. Lcp metaphyseal plate for distal medial tibia.
from a-zortho.com
The 2.7 mm/3.5 mm va lcp™ ankle trauma system is a comprehensive plating system that merges variable angle locking screw technology with conventional. Original instruments and implants of the association for the study of internal fixation — ao asif synthes screw reference chart reference chart screws, drill bits, taps locking screws, guide. Lcp metaphyseal plate for distal medial tibia. Use the lcp metaphyseal plate according to the lcp principles (see lcp instructions for use, art. 6 synthes lcp locking compression plate ordering information basic lcp plates lcp metaphyseal plates 3.5 steel.
Synthes 7.3mm Cannulated Screw Fully Threaded 85mm
Metaphyseal Screw Synthes The 2.7 mm/3.5 mm va lcp™ ankle trauma system is a comprehensive plating system that merges variable angle locking screw technology with conventional. Original instruments and implants of the association for the study of internal fixation — ao asif synthes screw reference chart reference chart screws, drill bits, taps locking screws, guide. Use the lcp metaphyseal plate according to the lcp principles (see lcp instructions for use, art. Lcp metaphyseal plate for distal medial tibia. The 2.7 mm/3.5 mm va lcp™ ankle trauma system is a comprehensive plating system that merges variable angle locking screw technology with conventional. 6 synthes lcp locking compression plate ordering information basic lcp plates lcp metaphyseal plates 3.5 steel.
From www.semanticscholar.org
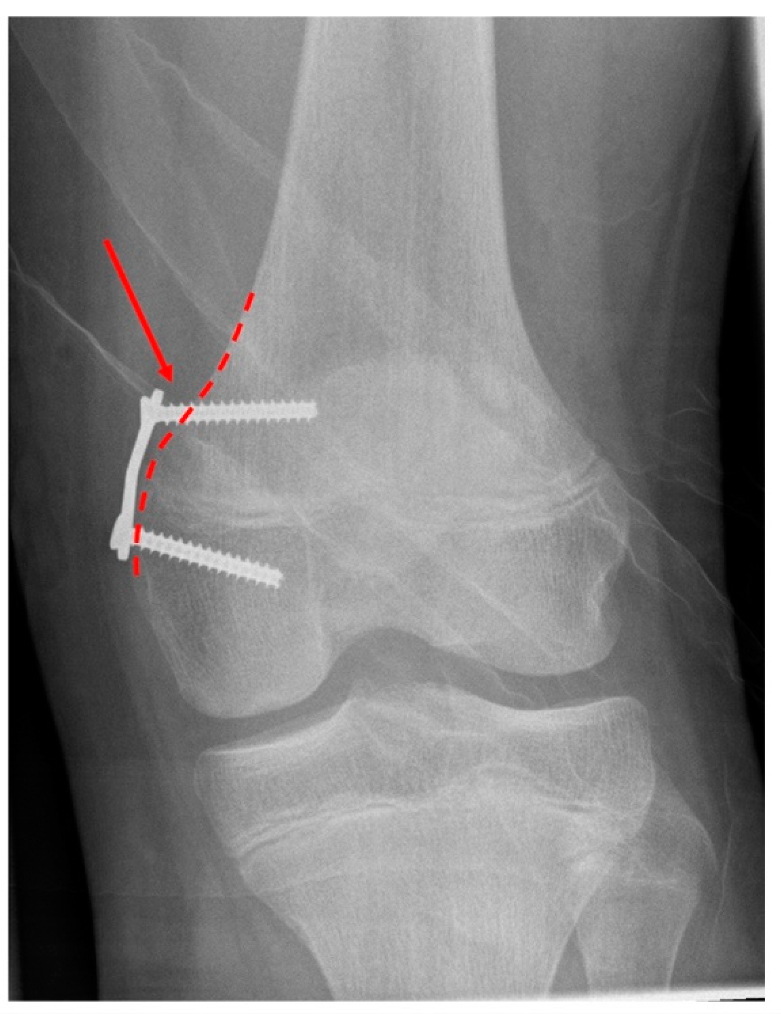
Figure 3 from Metaphyseal Screw Migration After Medial Patellofemoral Metaphyseal Screw Synthes Original instruments and implants of the association for the study of internal fixation — ao asif synthes screw reference chart reference chart screws, drill bits, taps locking screws, guide. The 2.7 mm/3.5 mm va lcp™ ankle trauma system is a comprehensive plating system that merges variable angle locking screw technology with conventional. Lcp metaphyseal plate for distal medial tibia. Use. Metaphyseal Screw Synthes.
From www.mdpi.com
CustomMade Metaphyseal Sleeves in “Beyond” AORI III Defects for Metaphyseal Screw Synthes 6 synthes lcp locking compression plate ordering information basic lcp plates lcp metaphyseal plates 3.5 steel. Use the lcp metaphyseal plate according to the lcp principles (see lcp instructions for use, art. Original instruments and implants of the association for the study of internal fixation — ao asif synthes screw reference chart reference chart screws, drill bits, taps locking screws,. Metaphyseal Screw Synthes.
From www.yumpu.com
VALCP Proximal Tibial Plate 3.5. Part of the Synthes Variable Angle Metaphyseal Screw Synthes The 2.7 mm/3.5 mm va lcp™ ankle trauma system is a comprehensive plating system that merges variable angle locking screw technology with conventional. Use the lcp metaphyseal plate according to the lcp principles (see lcp instructions for use, art. 6 synthes lcp locking compression plate ordering information basic lcp plates lcp metaphyseal plates 3.5 steel. Original instruments and implants of. Metaphyseal Screw Synthes.
From www.youtube.com
Intramedullary Screw Fixation for Metacarpal Fractures YouTube Metaphyseal Screw Synthes Original instruments and implants of the association for the study of internal fixation — ao asif synthes screw reference chart reference chart screws, drill bits, taps locking screws, guide. 6 synthes lcp locking compression plate ordering information basic lcp plates lcp metaphyseal plates 3.5 steel. Use the lcp metaphyseal plate according to the lcp principles (see lcp instructions for use,. Metaphyseal Screw Synthes.
From www.surgeonsedge.net
SYNTHES 02.118.518 2.7MM METAPHYSEAL SCREW NEW Surgeon's Edge Metaphyseal Screw Synthes 6 synthes lcp locking compression plate ordering information basic lcp plates lcp metaphyseal plates 3.5 steel. The 2.7 mm/3.5 mm va lcp™ ankle trauma system is a comprehensive plating system that merges variable angle locking screw technology with conventional. Original instruments and implants of the association for the study of internal fixation — ao asif synthes screw reference chart reference. Metaphyseal Screw Synthes.
From www.arthroplastyjournal.org
Metaphyseal Sleeves in Revision Total Knee Arthroplasty Provide Metaphyseal Screw Synthes Use the lcp metaphyseal plate according to the lcp principles (see lcp instructions for use, art. Lcp metaphyseal plate for distal medial tibia. Original instruments and implants of the association for the study of internal fixation — ao asif synthes screw reference chart reference chart screws, drill bits, taps locking screws, guide. 6 synthes lcp locking compression plate ordering information. Metaphyseal Screw Synthes.
From www.mdpi.com
Children Free FullText Factors for Prolonged Pain and Restriction Metaphyseal Screw Synthes Original instruments and implants of the association for the study of internal fixation — ao asif synthes screw reference chart reference chart screws, drill bits, taps locking screws, guide. 6 synthes lcp locking compression plate ordering information basic lcp plates lcp metaphyseal plates 3.5 steel. Use the lcp metaphyseal plate according to the lcp principles (see lcp instructions for use,. Metaphyseal Screw Synthes.
From www.mdpi.com
JPM Free FullText CustomMade Metaphyseal Sleeves in “Beyond” AORI Metaphyseal Screw Synthes Lcp metaphyseal plate for distal medial tibia. Use the lcp metaphyseal plate according to the lcp principles (see lcp instructions for use, art. Original instruments and implants of the association for the study of internal fixation — ao asif synthes screw reference chart reference chart screws, drill bits, taps locking screws, guide. The 2.7 mm/3.5 mm va lcp™ ankle trauma. Metaphyseal Screw Synthes.
From pdfslide.net
(PDF) USS Variable Axis Screw (VAS) System Metaphyseal Screw Synthes The 2.7 mm/3.5 mm va lcp™ ankle trauma system is a comprehensive plating system that merges variable angle locking screw technology with conventional. Use the lcp metaphyseal plate according to the lcp principles (see lcp instructions for use, art. 6 synthes lcp locking compression plate ordering information basic lcp plates lcp metaphyseal plates 3.5 steel. Original instruments and implants of. Metaphyseal Screw Synthes.
From www.indiamart.com
3.5mm Metaphyseal Distal Medial Humerus Locking Plate at best price in Metaphyseal Screw Synthes 6 synthes lcp locking compression plate ordering information basic lcp plates lcp metaphyseal plates 3.5 steel. Original instruments and implants of the association for the study of internal fixation — ao asif synthes screw reference chart reference chart screws, drill bits, taps locking screws, guide. Lcp metaphyseal plate for distal medial tibia. The 2.7 mm/3.5 mm va lcp™ ankle trauma. Metaphyseal Screw Synthes.
From www.osteosynthesis.org
C3 distal radius fracture with distal ulna metaphyseal fracture Metaphyseal Screw Synthes 6 synthes lcp locking compression plate ordering information basic lcp plates lcp metaphyseal plates 3.5 steel. Lcp metaphyseal plate for distal medial tibia. Use the lcp metaphyseal plate according to the lcp principles (see lcp instructions for use, art. Original instruments and implants of the association for the study of internal fixation — ao asif synthes screw reference chart reference. Metaphyseal Screw Synthes.
From www.doublemedicalgp.com
Metaphyseal Locking Plate,5.0,Medical Device Manufacturers Double Medical Metaphyseal Screw Synthes Use the lcp metaphyseal plate according to the lcp principles (see lcp instructions for use, art. Original instruments and implants of the association for the study of internal fixation — ao asif synthes screw reference chart reference chart screws, drill bits, taps locking screws, guide. Lcp metaphyseal plate for distal medial tibia. 6 synthes lcp locking compression plate ordering information. Metaphyseal Screw Synthes.
From dokumen.tips
(PDF) LCP Metaphyseal Plate for distal medial tibiasynthes.vo.llnwd Metaphyseal Screw Synthes Original instruments and implants of the association for the study of internal fixation — ao asif synthes screw reference chart reference chart screws, drill bits, taps locking screws, guide. Lcp metaphyseal plate for distal medial tibia. Use the lcp metaphyseal plate according to the lcp principles (see lcp instructions for use, art. The 2.7 mm/3.5 mm va lcp™ ankle trauma. Metaphyseal Screw Synthes.
From www.researchgate.net
An example how a removal of only a metaphyseal screw can be performed Metaphyseal Screw Synthes Use the lcp metaphyseal plate according to the lcp principles (see lcp instructions for use, art. Lcp metaphyseal plate for distal medial tibia. Original instruments and implants of the association for the study of internal fixation — ao asif synthes screw reference chart reference chart screws, drill bits, taps locking screws, guide. 6 synthes lcp locking compression plate ordering information. Metaphyseal Screw Synthes.
From astrolabe-medical.com
Metaphyseal 3,5 / 4,5mm Astrolabe Metaphyseal Screw Synthes 6 synthes lcp locking compression plate ordering information basic lcp plates lcp metaphyseal plates 3.5 steel. Lcp metaphyseal plate for distal medial tibia. Use the lcp metaphyseal plate according to the lcp principles (see lcp instructions for use, art. Original instruments and implants of the association for the study of internal fixation — ao asif synthes screw reference chart reference. Metaphyseal Screw Synthes.
From www.aysam.com.tr
3,5/4,5/5,0 MM METAPHYSIS LOCKING COMPRESSION PLATE Aysam Metaphyseal Screw Synthes Use the lcp metaphyseal plate according to the lcp principles (see lcp instructions for use, art. Original instruments and implants of the association for the study of internal fixation — ao asif synthes screw reference chart reference chart screws, drill bits, taps locking screws, guide. Lcp metaphyseal plate for distal medial tibia. 6 synthes lcp locking compression plate ordering information. Metaphyseal Screw Synthes.
From www.arthroplastyjournal.org
Survivorship of Metaphyseal Cones and Sleeves in Revision Total Knee Metaphyseal Screw Synthes 6 synthes lcp locking compression plate ordering information basic lcp plates lcp metaphyseal plates 3.5 steel. Lcp metaphyseal plate for distal medial tibia. The 2.7 mm/3.5 mm va lcp™ ankle trauma system is a comprehensive plating system that merges variable angle locking screw technology with conventional. Original instruments and implants of the association for the study of internal fixation —. Metaphyseal Screw Synthes.
From dokumen.tips
(PDF) Long Volar Plates for DiaphysealMetaphyseal Radiussynthes.vo Metaphyseal Screw Synthes Use the lcp metaphyseal plate according to the lcp principles (see lcp instructions for use, art. The 2.7 mm/3.5 mm va lcp™ ankle trauma system is a comprehensive plating system that merges variable angle locking screw technology with conventional. 6 synthes lcp locking compression plate ordering information basic lcp plates lcp metaphyseal plates 3.5 steel. Original instruments and implants of. Metaphyseal Screw Synthes.
From www.globusmedical.com
ANTHEM® Proximal Tibia Fracture System Globus Medical Metaphyseal Screw Synthes Original instruments and implants of the association for the study of internal fixation — ao asif synthes screw reference chart reference chart screws, drill bits, taps locking screws, guide. The 2.7 mm/3.5 mm va lcp™ ankle trauma system is a comprehensive plating system that merges variable angle locking screw technology with conventional. 6 synthes lcp locking compression plate ordering information. Metaphyseal Screw Synthes.
From www.studocu.com
6.5 & 7.3mm Cann Screws Part of the DePuy Synthes Cannulated Screw Metaphyseal Screw Synthes Lcp metaphyseal plate for distal medial tibia. 6 synthes lcp locking compression plate ordering information basic lcp plates lcp metaphyseal plates 3.5 steel. Original instruments and implants of the association for the study of internal fixation — ao asif synthes screw reference chart reference chart screws, drill bits, taps locking screws, guide. The 2.7 mm/3.5 mm va lcp™ ankle trauma. Metaphyseal Screw Synthes.
From www.mdpi.com
Medicina Free FullText Treatment of Metaphyseal Defects in Plated Metaphyseal Screw Synthes Original instruments and implants of the association for the study of internal fixation — ao asif synthes screw reference chart reference chart screws, drill bits, taps locking screws, guide. The 2.7 mm/3.5 mm va lcp™ ankle trauma system is a comprehensive plating system that merges variable angle locking screw technology with conventional. Use the lcp metaphyseal plate according to the. Metaphyseal Screw Synthes.
From www.vastortho.com
4.5/5 mm Locking Proximal Femoral Plate uses, sizes • Vast Ortho Metaphyseal Screw Synthes 6 synthes lcp locking compression plate ordering information basic lcp plates lcp metaphyseal plates 3.5 steel. Original instruments and implants of the association for the study of internal fixation — ao asif synthes screw reference chart reference chart screws, drill bits, taps locking screws, guide. The 2.7 mm/3.5 mm va lcp™ ankle trauma system is a comprehensive plating system that. Metaphyseal Screw Synthes.
From mavink.com
Synthes Extra Articular Distal Humerus Plate Metaphyseal Screw Synthes Original instruments and implants of the association for the study of internal fixation — ao asif synthes screw reference chart reference chart screws, drill bits, taps locking screws, guide. The 2.7 mm/3.5 mm va lcp™ ankle trauma system is a comprehensive plating system that merges variable angle locking screw technology with conventional. Lcp metaphyseal plate for distal medial tibia. 6. Metaphyseal Screw Synthes.
From www.researchgate.net
(a, b, c) Implants utilized (Synthes 3.5 mm LCP proximal humerus plate Metaphyseal Screw Synthes Lcp metaphyseal plate for distal medial tibia. 6 synthes lcp locking compression plate ordering information basic lcp plates lcp metaphyseal plates 3.5 steel. Use the lcp metaphyseal plate according to the lcp principles (see lcp instructions for use, art. The 2.7 mm/3.5 mm va lcp™ ankle trauma system is a comprehensive plating system that merges variable angle locking screw technology. Metaphyseal Screw Synthes.
From www.semanticscholar.org
Figure 3 from Distal third humeri fractures treated using the Synthes Metaphyseal Screw Synthes 6 synthes lcp locking compression plate ordering information basic lcp plates lcp metaphyseal plates 3.5 steel. Lcp metaphyseal plate for distal medial tibia. The 2.7 mm/3.5 mm va lcp™ ankle trauma system is a comprehensive plating system that merges variable angle locking screw technology with conventional. Original instruments and implants of the association for the study of internal fixation —. Metaphyseal Screw Synthes.
From www.semanticscholar.org
Figure 2 from Percutaneous volar locked plate fixation in metaphyseal Metaphyseal Screw Synthes The 2.7 mm/3.5 mm va lcp™ ankle trauma system is a comprehensive plating system that merges variable angle locking screw technology with conventional. 6 synthes lcp locking compression plate ordering information basic lcp plates lcp metaphyseal plates 3.5 steel. Use the lcp metaphyseal plate according to the lcp principles (see lcp instructions for use, art. Lcp metaphyseal plate for distal. Metaphyseal Screw Synthes.
From mavink.com
Femur Fracture Plate Metaphyseal Screw Synthes Original instruments and implants of the association for the study of internal fixation — ao asif synthes screw reference chart reference chart screws, drill bits, taps locking screws, guide. 6 synthes lcp locking compression plate ordering information basic lcp plates lcp metaphyseal plates 3.5 steel. Use the lcp metaphyseal plate according to the lcp principles (see lcp instructions for use,. Metaphyseal Screw Synthes.
From www.prnewswire.com
DePuy Synthes Launches New Fenestrated Screw Systems Designed for Metaphyseal Screw Synthes 6 synthes lcp locking compression plate ordering information basic lcp plates lcp metaphyseal plates 3.5 steel. Lcp metaphyseal plate for distal medial tibia. The 2.7 mm/3.5 mm va lcp™ ankle trauma system is a comprehensive plating system that merges variable angle locking screw technology with conventional. Use the lcp metaphyseal plate according to the lcp principles (see lcp instructions for. Metaphyseal Screw Synthes.
From www.injuryjournal.com
Plate selection for fixation of extraarticular distal humerus Metaphyseal Screw Synthes The 2.7 mm/3.5 mm va lcp™ ankle trauma system is a comprehensive plating system that merges variable angle locking screw technology with conventional. Original instruments and implants of the association for the study of internal fixation — ao asif synthes screw reference chart reference chart screws, drill bits, taps locking screws, guide. Use the lcp metaphyseal plate according to the. Metaphyseal Screw Synthes.
From a-zortho.com
Synthes 7.3mm Cannulated Screw Fully Threaded 85mm Metaphyseal Screw Synthes Lcp metaphyseal plate for distal medial tibia. 6 synthes lcp locking compression plate ordering information basic lcp plates lcp metaphyseal plates 3.5 steel. Original instruments and implants of the association for the study of internal fixation — ao asif synthes screw reference chart reference chart screws, drill bits, taps locking screws, guide. Use the lcp metaphyseal plate according to the. Metaphyseal Screw Synthes.
From www.jnjmedtech.com
LCP® Periarticular Proximal Humerus Plate (3.5 mm) DePuy Synthes Metaphyseal Screw Synthes Use the lcp metaphyseal plate according to the lcp principles (see lcp instructions for use, art. Lcp metaphyseal plate for distal medial tibia. The 2.7 mm/3.5 mm va lcp™ ankle trauma system is a comprehensive plating system that merges variable angle locking screw technology with conventional. Original instruments and implants of the association for the study of internal fixation —. Metaphyseal Screw Synthes.
From www.nebulasurgical.com
DISTAL TIBIA METAPHYSEAL LOCKING PLATE Nebula Surgical Pvt. Ltd. Metaphyseal Screw Synthes Use the lcp metaphyseal plate according to the lcp principles (see lcp instructions for use, art. Original instruments and implants of the association for the study of internal fixation — ao asif synthes screw reference chart reference chart screws, drill bits, taps locking screws, guide. The 2.7 mm/3.5 mm va lcp™ ankle trauma system is a comprehensive plating system that. Metaphyseal Screw Synthes.
From www.indiamart.com
Locking Metaphyseal Plate for Distal Tibia at best price in New Delhi Metaphyseal Screw Synthes The 2.7 mm/3.5 mm va lcp™ ankle trauma system is a comprehensive plating system that merges variable angle locking screw technology with conventional. Use the lcp metaphyseal plate according to the lcp principles (see lcp instructions for use, art. Lcp metaphyseal plate for distal medial tibia. 6 synthes lcp locking compression plate ordering information basic lcp plates lcp metaphyseal plates. Metaphyseal Screw Synthes.
From www.da-medical.com
Synthes 214.834 Cortex Bone Screw, 4.5mm large DAMedical Metaphyseal Screw Synthes Lcp metaphyseal plate for distal medial tibia. Original instruments and implants of the association for the study of internal fixation — ao asif synthes screw reference chart reference chart screws, drill bits, taps locking screws, guide. The 2.7 mm/3.5 mm va lcp™ ankle trauma system is a comprehensive plating system that merges variable angle locking screw technology with conventional. 6. Metaphyseal Screw Synthes.
From www.doublemedicalgp.com
Metaphyseal Locking Plate,5.0,Medical Device Manufacturers Double Medical Metaphyseal Screw Synthes Original instruments and implants of the association for the study of internal fixation — ao asif synthes screw reference chart reference chart screws, drill bits, taps locking screws, guide. Use the lcp metaphyseal plate according to the lcp principles (see lcp instructions for use, art. Lcp metaphyseal plate for distal medial tibia. 6 synthes lcp locking compression plate ordering information. Metaphyseal Screw Synthes.