Optical Disc Drusen . This nerve connects the eyes and the brain. Optic disc drusen are clumps of fatty proteins that collect in your optic disc, the front part of the optic nerve that’s located in your retina. Optic nerve drusen (also called optic disc drusen) occur when there is an atypical buildup of protein and calcium in the optic nerve. Unlike the drusen associated with amd, optic nerve drusen (also known as optic disc drusen) are not related to aging, may be inherited,. The yellowish deposits are usually present in both eyes and are uncommon. Optic nerve drusen are refractive, calcified nodules located within the optic nerve head. Optic nerve drusen is a rare eye condition that affects between 3 and 24 people out of every 1,000 in the population. Optic nerve drusen can be mistaken for unilateral or bilateral disc edema and are often a source of.
from imagebank.asrs.org
Optic nerve drusen is a rare eye condition that affects between 3 and 24 people out of every 1,000 in the population. Optic nerve drusen are refractive, calcified nodules located within the optic nerve head. Optic disc drusen are clumps of fatty proteins that collect in your optic disc, the front part of the optic nerve that’s located in your retina. Unlike the drusen associated with amd, optic nerve drusen (also known as optic disc drusen) are not related to aging, may be inherited,. Optic nerve drusen can be mistaken for unilateral or bilateral disc edema and are often a source of. This nerve connects the eyes and the brain. The yellowish deposits are usually present in both eyes and are uncommon. Optic nerve drusen (also called optic disc drusen) occur when there is an atypical buildup of protein and calcium in the optic nerve.
Optic Nerve Head Drusen Retina Image Bank
Optical Disc Drusen Optic nerve drusen is a rare eye condition that affects between 3 and 24 people out of every 1,000 in the population. Unlike the drusen associated with amd, optic nerve drusen (also known as optic disc drusen) are not related to aging, may be inherited,. The yellowish deposits are usually present in both eyes and are uncommon. Optic nerve drusen can be mistaken for unilateral or bilateral disc edema and are often a source of. Optic nerve drusen are refractive, calcified nodules located within the optic nerve head. Optic disc drusen are clumps of fatty proteins that collect in your optic disc, the front part of the optic nerve that’s located in your retina. Optic nerve drusen (also called optic disc drusen) occur when there is an atypical buildup of protein and calcium in the optic nerve. This nerve connects the eyes and the brain. Optic nerve drusen is a rare eye condition that affects between 3 and 24 people out of every 1,000 in the population.
From www.aao.org
Superficial optic disc drusen American Academy of Ophthalmology Optical Disc Drusen Optic nerve drusen can be mistaken for unilateral or bilateral disc edema and are often a source of. Optic nerve drusen (also called optic disc drusen) occur when there is an atypical buildup of protein and calcium in the optic nerve. Optic disc drusen are clumps of fatty proteins that collect in your optic disc, the front part of the. Optical Disc Drusen.
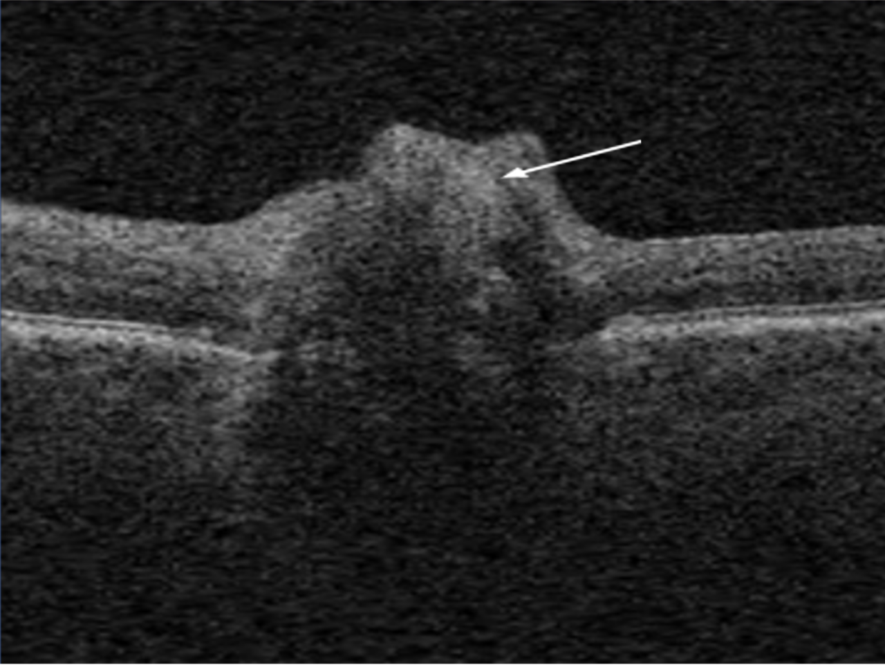
From www.mdpi.com
JCM Free FullText Optic Nerve Drusen Evaluation A Comparison Optical Disc Drusen Optic nerve drusen (also called optic disc drusen) occur when there is an atypical buildup of protein and calcium in the optic nerve. Optic nerve drusen are refractive, calcified nodules located within the optic nerve head. Optic nerve drusen can be mistaken for unilateral or bilateral disc edema and are often a source of. Optic nerve drusen is a rare. Optical Disc Drusen.
From www.ncbi.nlm.nih.gov
Optic Disc Drusen StatPearls NCBI Bookshelf Optical Disc Drusen This nerve connects the eyes and the brain. Optic nerve drusen is a rare eye condition that affects between 3 and 24 people out of every 1,000 in the population. Optic nerve drusen (also called optic disc drusen) occur when there is an atypical buildup of protein and calcium in the optic nerve. Unlike the drusen associated with amd, optic. Optical Disc Drusen.
From eyerounds.org
Atlas Entry Optic Disc Drusen Optical Disc Drusen Unlike the drusen associated with amd, optic nerve drusen (also known as optic disc drusen) are not related to aging, may be inherited,. Optic disc drusen are clumps of fatty proteins that collect in your optic disc, the front part of the optic nerve that’s located in your retina. Optic nerve drusen (also called optic disc drusen) occur when there. Optical Disc Drusen.
From www.neuroophthalmology.ca
» 0045. Disc drusen, surfaceCanadian Neuroophthalmology Group Optical Disc Drusen Optic nerve drusen can be mistaken for unilateral or bilateral disc edema and are often a source of. Optic nerve drusen are refractive, calcified nodules located within the optic nerve head. Unlike the drusen associated with amd, optic nerve drusen (also known as optic disc drusen) are not related to aging, may be inherited,. The yellowish deposits are usually present. Optical Disc Drusen.
From www.semanticscholar.org
Figure 1 from Differentiating mild papilledema and buried optic nerve Optical Disc Drusen Unlike the drusen associated with amd, optic nerve drusen (also known as optic disc drusen) are not related to aging, may be inherited,. The yellowish deposits are usually present in both eyes and are uncommon. Optic nerve drusen are refractive, calcified nodules located within the optic nerve head. Optic nerve drusen is a rare eye condition that affects between 3. Optical Disc Drusen.
From www.pinterest.com
Optic disc drusen visible with autofluorescence Medical photography Optical Disc Drusen This nerve connects the eyes and the brain. The yellowish deposits are usually present in both eyes and are uncommon. Optic nerve drusen (also called optic disc drusen) occur when there is an atypical buildup of protein and calcium in the optic nerve. Optic nerve drusen is a rare eye condition that affects between 3 and 24 people out of. Optical Disc Drusen.
From www.semanticscholar.org
Figure 2 from Ophthalmic features of optic disc drusen. Semantic Scholar Optical Disc Drusen Unlike the drusen associated with amd, optic nerve drusen (also known as optic disc drusen) are not related to aging, may be inherited,. Optic nerve drusen are refractive, calcified nodules located within the optic nerve head. This nerve connects the eyes and the brain. Optic disc drusen are clumps of fatty proteins that collect in your optic disc, the front. Optical Disc Drusen.
From ar.inspiredpencil.com
Optic Disc Drusen Optical Disc Drusen The yellowish deposits are usually present in both eyes and are uncommon. This nerve connects the eyes and the brain. Unlike the drusen associated with amd, optic nerve drusen (also known as optic disc drusen) are not related to aging, may be inherited,. Optic nerve drusen (also called optic disc drusen) occur when there is an atypical buildup of protein. Optical Disc Drusen.
From animalia-life.club
Optic Disc Drusen Optical Disc Drusen Optic nerve drusen is a rare eye condition that affects between 3 and 24 people out of every 1,000 in the population. Unlike the drusen associated with amd, optic nerve drusen (also known as optic disc drusen) are not related to aging, may be inherited,. Optic disc drusen are clumps of fatty proteins that collect in your optic disc, the. Optical Disc Drusen.
From www.researchgate.net
Bscan mode optical coherence tomography (OCT) in optic disk drusen Optical Disc Drusen Optic nerve drusen is a rare eye condition that affects between 3 and 24 people out of every 1,000 in the population. Optic nerve drusen can be mistaken for unilateral or bilateral disc edema and are often a source of. Unlike the drusen associated with amd, optic nerve drusen (also known as optic disc drusen) are not related to aging,. Optical Disc Drusen.
From www.allaboutvision.com
What Is the Optic Disc? Medical Definition Optical Disc Drusen Unlike the drusen associated with amd, optic nerve drusen (also known as optic disc drusen) are not related to aging, may be inherited,. Optic nerve drusen (also called optic disc drusen) occur when there is an atypical buildup of protein and calcium in the optic nerve. This nerve connects the eyes and the brain. Optic nerve drusen is a rare. Optical Disc Drusen.
From ar.inspiredpencil.com
Optic Disc Drusen B Scan Optical Disc Drusen Optic disc drusen are clumps of fatty proteins that collect in your optic disc, the front part of the optic nerve that’s located in your retina. Optic nerve drusen is a rare eye condition that affects between 3 and 24 people out of every 1,000 in the population. Optic nerve drusen can be mistaken for unilateral or bilateral disc edema. Optical Disc Drusen.
From www.researchgate.net
Buried optic disc drusen (a) was detected as nodular and... Download Optical Disc Drusen This nerve connects the eyes and the brain. Optic nerve drusen (also called optic disc drusen) occur when there is an atypical buildup of protein and calcium in the optic nerve. Optic nerve drusen is a rare eye condition that affects between 3 and 24 people out of every 1,000 in the population. The yellowish deposits are usually present in. Optical Disc Drusen.
From animalia-life.club
Optic Disc Drusen Optical Disc Drusen Optic nerve drusen is a rare eye condition that affects between 3 and 24 people out of every 1,000 in the population. Optic nerve drusen can be mistaken for unilateral or bilateral disc edema and are often a source of. Optic nerve drusen (also called optic disc drusen) occur when there is an atypical buildup of protein and calcium in. Optical Disc Drusen.
From animalia-life.club
Optic Disc Drusen Optical Disc Drusen Optic nerve drusen are refractive, calcified nodules located within the optic nerve head. Optic nerve drusen can be mistaken for unilateral or bilateral disc edema and are often a source of. This nerve connects the eyes and the brain. Optic nerve drusen (also called optic disc drusen) occur when there is an atypical buildup of protein and calcium in the. Optical Disc Drusen.
From journal.opted.org
Optic Disc Drusen and Associated Complicationsa Teaching Case Report Optical Disc Drusen Optic disc drusen are clumps of fatty proteins that collect in your optic disc, the front part of the optic nerve that’s located in your retina. Optic nerve drusen is a rare eye condition that affects between 3 and 24 people out of every 1,000 in the population. Optic nerve drusen (also called optic disc drusen) occur when there is. Optical Disc Drusen.
From www.semanticscholar.org
Figure 1 from Decreased visual acuity from optic disc drusen Optical Disc Drusen Optic nerve drusen is a rare eye condition that affects between 3 and 24 people out of every 1,000 in the population. Optic nerve drusen can be mistaken for unilateral or bilateral disc edema and are often a source of. Optic nerve drusen (also called optic disc drusen) occur when there is an atypical buildup of protein and calcium in. Optical Disc Drusen.
From onlinelibrary.wiley.com
Optic disc drusen understanding an old problem from a new perspective Optical Disc Drusen Optic nerve drusen are refractive, calcified nodules located within the optic nerve head. This nerve connects the eyes and the brain. Optic nerve drusen can be mistaken for unilateral or bilateral disc edema and are often a source of. The yellowish deposits are usually present in both eyes and are uncommon. Optic nerve drusen (also called optic disc drusen) occur. Optical Disc Drusen.
From www.ncbi.nlm.nih.gov
Optic Disc Drusen StatPearls NCBI Bookshelf Optical Disc Drusen Optic nerve drusen can be mistaken for unilateral or bilateral disc edema and are often a source of. Optic nerve drusen is a rare eye condition that affects between 3 and 24 people out of every 1,000 in the population. Optic nerve drusen are refractive, calcified nodules located within the optic nerve head. The yellowish deposits are usually present in. Optical Disc Drusen.
From entokey.com
Multimodal Imaging of Optic Disc Drusen Ento Key Optical Disc Drusen Optic nerve drusen is a rare eye condition that affects between 3 and 24 people out of every 1,000 in the population. This nerve connects the eyes and the brain. Unlike the drusen associated with amd, optic nerve drusen (also known as optic disc drusen) are not related to aging, may be inherited,. The yellowish deposits are usually present in. Optical Disc Drusen.
From www.zeiss.com
Optic Disc Drusen Optical Disc Drusen This nerve connects the eyes and the brain. Optic nerve drusen can be mistaken for unilateral or bilateral disc edema and are often a source of. Optic nerve drusen (also called optic disc drusen) occur when there is an atypical buildup of protein and calcium in the optic nerve. Optic nerve drusen are refractive, calcified nodules located within the optic. Optical Disc Drusen.
From animalia-life.club
Optic Disc Drusen Optical Disc Drusen The yellowish deposits are usually present in both eyes and are uncommon. Unlike the drusen associated with amd, optic nerve drusen (also known as optic disc drusen) are not related to aging, may be inherited,. Optic nerve drusen can be mistaken for unilateral or bilateral disc edema and are often a source of. Optic nerve drusen is a rare eye. Optical Disc Drusen.
From entokey.com
Multimodal Imaging of Optic Disc Drusen Ento Key Optical Disc Drusen Optic nerve drusen (also called optic disc drusen) occur when there is an atypical buildup of protein and calcium in the optic nerve. Unlike the drusen associated with amd, optic nerve drusen (also known as optic disc drusen) are not related to aging, may be inherited,. Optic disc drusen are clumps of fatty proteins that collect in your optic disc,. Optical Disc Drusen.
From www.eyeonoptics.co.nz
Optic disc drusen and pseudopapilloedema eyeonoptics Optical Disc Drusen Optic disc drusen are clumps of fatty proteins that collect in your optic disc, the front part of the optic nerve that’s located in your retina. Optic nerve drusen are refractive, calcified nodules located within the optic nerve head. The yellowish deposits are usually present in both eyes and are uncommon. Optic nerve drusen is a rare eye condition that. Optical Disc Drusen.
From imagebank.asrs.org
Optic Nerve Head Drusen Retina Image Bank Optical Disc Drusen The yellowish deposits are usually present in both eyes and are uncommon. Optic disc drusen are clumps of fatty proteins that collect in your optic disc, the front part of the optic nerve that’s located in your retina. Optic nerve drusen (also called optic disc drusen) occur when there is an atypical buildup of protein and calcium in the optic. Optical Disc Drusen.
From eyerounds.org
Optic Disc Drusen. Online Ophthalmic Atlas Optical Disc Drusen The yellowish deposits are usually present in both eyes and are uncommon. Optic nerve drusen (also called optic disc drusen) occur when there is an atypical buildup of protein and calcium in the optic nerve. Optic nerve drusen is a rare eye condition that affects between 3 and 24 people out of every 1,000 in the population. Optic nerve drusen. Optical Disc Drusen.
From casereports.bmj.com
Optic disc drusen precipitating central retinal vein occlusion in young Optical Disc Drusen Optic nerve drusen can be mistaken for unilateral or bilateral disc edema and are often a source of. The yellowish deposits are usually present in both eyes and are uncommon. Unlike the drusen associated with amd, optic nerve drusen (also known as optic disc drusen) are not related to aging, may be inherited,. Optic disc drusen are clumps of fatty. Optical Disc Drusen.
From www.aao.org
Buried optic disc drusen American Academy of Ophthalmology Optical Disc Drusen Optic nerve drusen (also called optic disc drusen) occur when there is an atypical buildup of protein and calcium in the optic nerve. This nerve connects the eyes and the brain. Unlike the drusen associated with amd, optic nerve drusen (also known as optic disc drusen) are not related to aging, may be inherited,. The yellowish deposits are usually present. Optical Disc Drusen.
From ar.inspiredpencil.com
Optic Disc Drusen B Scan Optical Disc Drusen Optic nerve drusen can be mistaken for unilateral or bilateral disc edema and are often a source of. Unlike the drusen associated with amd, optic nerve drusen (also known as optic disc drusen) are not related to aging, may be inherited,. This nerve connects the eyes and the brain. Optic nerve drusen is a rare eye condition that affects between. Optical Disc Drusen.
From www.mattweedmd.com
Mystery Diagnosis Optic Disc Drusen — Matt Weed, MD Spokane Pediatric Optical Disc Drusen Unlike the drusen associated with amd, optic nerve drusen (also known as optic disc drusen) are not related to aging, may be inherited,. Optic nerve drusen is a rare eye condition that affects between 3 and 24 people out of every 1,000 in the population. The yellowish deposits are usually present in both eyes and are uncommon. Optic disc drusen. Optical Disc Drusen.
From animalia-life.club
Optic Disc Drusen Optical Disc Drusen Optic nerve drusen is a rare eye condition that affects between 3 and 24 people out of every 1,000 in the population. The yellowish deposits are usually present in both eyes and are uncommon. This nerve connects the eyes and the brain. Unlike the drusen associated with amd, optic nerve drusen (also known as optic disc drusen) are not related. Optical Disc Drusen.
From animalia-life.club
Optic Disc Drusen Optical Disc Drusen Optic nerve drusen are refractive, calcified nodules located within the optic nerve head. Optic nerve drusen can be mistaken for unilateral or bilateral disc edema and are often a source of. This nerve connects the eyes and the brain. Optic nerve drusen (also called optic disc drusen) occur when there is an atypical buildup of protein and calcium in the. Optical Disc Drusen.
From viewpoint.online
Optic disc drusen Viewpoint Optical Disc Drusen Optic nerve drusen (also called optic disc drusen) occur when there is an atypical buildup of protein and calcium in the optic nerve. Optic nerve drusen can be mistaken for unilateral or bilateral disc edema and are often a source of. Unlike the drusen associated with amd, optic nerve drusen (also known as optic disc drusen) are not related to. Optical Disc Drusen.
From www.reviewofoptometry.com
Optic Disc Drusen Prevalence 15 Times Higher in RP Patients Optical Disc Drusen Optic nerve drusen can be mistaken for unilateral or bilateral disc edema and are often a source of. Optic nerve drusen are refractive, calcified nodules located within the optic nerve head. The yellowish deposits are usually present in both eyes and are uncommon. Optic nerve drusen (also called optic disc drusen) occur when there is an atypical buildup of protein. Optical Disc Drusen.