Palate Expander Toddler . — a palate expander is a device that widens the roof of the mouth to create more space for shifting teeth. — palate expanders are oral devices used to widen the upper jaw and correct dental conditions such as crossbites. — palate expanders can help children with difficulty with proper speech due to a narrow palate and those who experience dental. — learn how palate expanders can correct a narrow upper jaw or a crossbite of the back teeth in children. Find out the types, benefits, and. — how does a palatal expander work? They can be removable or fixed, and require regular adjustments with a key. Learn about the different types of palate expanders, how to use them, and what to expect during and after treatment. — learn what a palate expander is, why your child may need one, and how it works. This process can sound daunting to both child and parent, but it is common in orthodontics.
from www.bauersmiles.com
This process can sound daunting to both child and parent, but it is common in orthodontics. Learn about the different types of palate expanders, how to use them, and what to expect during and after treatment. — palate expanders can help children with difficulty with proper speech due to a narrow palate and those who experience dental. Find out the types, benefits, and. — learn what a palate expander is, why your child may need one, and how it works. They can be removable or fixed, and require regular adjustments with a key. — a palate expander is a device that widens the roof of the mouth to create more space for shifting teeth. — learn how palate expanders can correct a narrow upper jaw or a crossbite of the back teeth in children. — how does a palatal expander work? — palate expanders are oral devices used to widen the upper jaw and correct dental conditions such as crossbites.
Palate expander or palatal expander Cost and key info Bauer Smiles
Palate Expander Toddler — how does a palatal expander work? Learn about the different types of palate expanders, how to use them, and what to expect during and after treatment. Find out the types, benefits, and. They can be removable or fixed, and require regular adjustments with a key. — a palate expander is a device that widens the roof of the mouth to create more space for shifting teeth. — how does a palatal expander work? — learn what a palate expander is, why your child may need one, and how it works. This process can sound daunting to both child and parent, but it is common in orthodontics. — learn how palate expanders can correct a narrow upper jaw or a crossbite of the back teeth in children. — palate expanders are oral devices used to widen the upper jaw and correct dental conditions such as crossbites. — palate expanders can help children with difficulty with proper speech due to a narrow palate and those who experience dental.
From askanorthodontist.com
What is a Rapid Palatal Expander? Ask an Palate Expander Toddler — learn what a palate expander is, why your child may need one, and how it works. Find out the types, benefits, and. This process can sound daunting to both child and parent, but it is common in orthodontics. — how does a palatal expander work? — a palate expander is a device that widens the roof. Palate Expander Toddler.
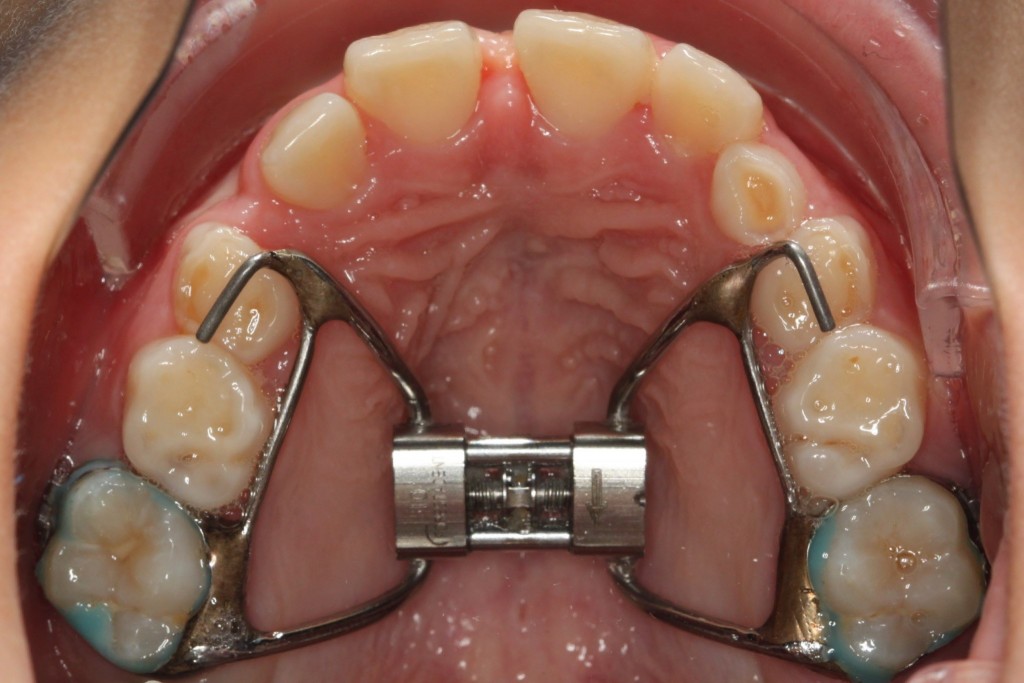
From www.youtube.com
[BRACES EXPLAINED] Palatal Expanders YouTube Palate Expander Toddler Learn about the different types of palate expanders, how to use them, and what to expect during and after treatment. They can be removable or fixed, and require regular adjustments with a key. — learn what a palate expander is, why your child may need one, and how it works. — palate expanders can help children with difficulty. Palate Expander Toddler.
From exopsmjjd.blob.core.windows.net
Super Screw Palatal Expander at Corey Eberhardt blog Palate Expander Toddler — palate expanders can help children with difficulty with proper speech due to a narrow palate and those who experience dental. They can be removable or fixed, and require regular adjustments with a key. — learn how palate expanders can correct a narrow upper jaw or a crossbite of the back teeth in children. — a palate. Palate Expander Toddler.
From www.pinterest.com.mx
Palatal Expander What To Expect Kids braces, Dental kids, Palate Palate Expander Toddler They can be removable or fixed, and require regular adjustments with a key. — a palate expander is a device that widens the roof of the mouth to create more space for shifting teeth. — how does a palatal expander work? This process can sound daunting to both child and parent, but it is common in orthodontics. . Palate Expander Toddler.
From www.archwired.com
What Is A Rapid Palate Expander In Orthodontics? ArchWired Palate Expander Toddler Learn about the different types of palate expanders, how to use them, and what to expect during and after treatment. — learn what a palate expander is, why your child may need one, and how it works. — palate expanders can help children with difficulty with proper speech due to a narrow palate and those who experience dental.. Palate Expander Toddler.
From www.youtube.com
Rapid Palatal Expander YouTube Palate Expander Toddler Learn about the different types of palate expanders, how to use them, and what to expect during and after treatment. — learn what a palate expander is, why your child may need one, and how it works. — palate expanders can help children with difficulty with proper speech due to a narrow palate and those who experience dental.. Palate Expander Toddler.
From www.dottor-dente.it
Espansore rapido del palato guida all'uso e istruzioni per i genitori Palate Expander Toddler — how does a palatal expander work? — palate expanders are oral devices used to widen the upper jaw and correct dental conditions such as crossbites. — a palate expander is a device that widens the roof of the mouth to create more space for shifting teeth. — palate expanders can help children with difficulty with. Palate Expander Toddler.
From www.parklundlabs.com
Fixed Palatal Expanders Parklund Orthodontic Lab Palate Expander Toddler Learn about the different types of palate expanders, how to use them, and what to expect during and after treatment. Find out the types, benefits, and. — palate expanders are oral devices used to widen the upper jaw and correct dental conditions such as crossbites. This process can sound daunting to both child and parent, but it is common. Palate Expander Toddler.
From www.newmouth.com
4 Types of Palate Expanders (Uses, Side Effects & FAQs) Palate Expander Toddler This process can sound daunting to both child and parent, but it is common in orthodontics. They can be removable or fixed, and require regular adjustments with a key. — learn how palate expanders can correct a narrow upper jaw or a crossbite of the back teeth in children. Find out the types, benefits, and. Learn about the different. Palate Expander Toddler.
From www.bauersmiles.com
Palate expander or palatal expander Cost and key info Bauer Smiles Palate Expander Toddler Find out the types, benefits, and. — learn how palate expanders can correct a narrow upper jaw or a crossbite of the back teeth in children. — palate expanders are oral devices used to widen the upper jaw and correct dental conditions such as crossbites. — a palate expander is a device that widens the roof of. Palate Expander Toddler.
From www.cookorthodublin.com
Palate Expanders for Children with Thumb and Finger Habits — Cook Palate Expander Toddler — learn what a palate expander is, why your child may need one, and how it works. They can be removable or fixed, and require regular adjustments with a key. — learn how palate expanders can correct a narrow upper jaw or a crossbite of the back teeth in children. — palate expanders can help children with. Palate Expander Toddler.
From www.waltortho.com
Palatal Expanders Why, How, and When Palate Expander Toddler Find out the types, benefits, and. — learn how palate expanders can correct a narrow upper jaw or a crossbite of the back teeth in children. — how does a palatal expander work? Learn about the different types of palate expanders, how to use them, and what to expect during and after treatment. — a palate expander. Palate Expander Toddler.
From exovayege.blob.core.windows.net
Palate Expander Overbite at Annie Duncan blog Palate Expander Toddler This process can sound daunting to both child and parent, but it is common in orthodontics. Learn about the different types of palate expanders, how to use them, and what to expect during and after treatment. — learn what a palate expander is, why your child may need one, and how it works. — a palate expander is. Palate Expander Toddler.
From www.parklundlabs.com
Fixed Palatal Expanders Parklund Orthodontic Lab Palate Expander Toddler — palate expanders are oral devices used to widen the upper jaw and correct dental conditions such as crossbites. Find out the types, benefits, and. — learn what a palate expander is, why your child may need one, and how it works. — palate expanders can help children with difficulty with proper speech due to a narrow. Palate Expander Toddler.
From dxoccdzwi.blob.core.windows.net
Palate Expander Baby at Shakira Thornton blog Palate Expander Toddler This process can sound daunting to both child and parent, but it is common in orthodontics. — a palate expander is a device that widens the roof of the mouth to create more space for shifting teeth. — learn what a palate expander is, why your child may need one, and how it works. Find out the types,. Palate Expander Toddler.
From www.verywellhealth.com
Palate Expander Types, Uses, Side Effects, and Care Palate Expander Toddler They can be removable or fixed, and require regular adjustments with a key. Find out the types, benefits, and. This process can sound daunting to both child and parent, but it is common in orthodontics. — learn what a palate expander is, why your child may need one, and how it works. — palate expanders can help children. Palate Expander Toddler.
From familybraces.ca
Everything You Need to Know About Palatal Expanders in Orthodontics Palate Expander Toddler Learn about the different types of palate expanders, how to use them, and what to expect during and after treatment. This process can sound daunting to both child and parent, but it is common in orthodontics. — palate expanders are oral devices used to widen the upper jaw and correct dental conditions such as crossbites. — a palate. Palate Expander Toddler.
From marylandholisticdentist.com
What are Palatal Expanders? Palate Expander Toddler — learn how palate expanders can correct a narrow upper jaw or a crossbite of the back teeth in children. — how does a palatal expander work? Learn about the different types of palate expanders, how to use them, and what to expect during and after treatment. — learn what a palate expander is, why your child. Palate Expander Toddler.
From www.orthotechnology.com
TruEase Rapid Palatal Expanders Ortho Technology Palate Expander Toddler — learn what a palate expander is, why your child may need one, and how it works. They can be removable or fixed, and require regular adjustments with a key. — learn how palate expanders can correct a narrow upper jaw or a crossbite of the back teeth in children. — how does a palatal expander work?. Palate Expander Toddler.
From caugheydds.com
Rapid Palatal Expander Pro's and Con's Elizabeth Caughey Palate Expander Toddler — a palate expander is a device that widens the roof of the mouth to create more space for shifting teeth. — palate expanders are oral devices used to widen the upper jaw and correct dental conditions such as crossbites. — palate expanders can help children with difficulty with proper speech due to a narrow palate and. Palate Expander Toddler.
From yangorthodontics.com
Rapid Palatal Expander (Palate Expander) Yang Orthodontics Palate Expander Toddler Find out the types, benefits, and. This process can sound daunting to both child and parent, but it is common in orthodontics. They can be removable or fixed, and require regular adjustments with a key. — palate expanders are oral devices used to widen the upper jaw and correct dental conditions such as crossbites. — a palate expander. Palate Expander Toddler.
From digitaldesignsdentallab.com
Palatal Expander Digital Designs Dental Lab Palate Expander Toddler — palate expanders can help children with difficulty with proper speech due to a narrow palate and those who experience dental. — learn how palate expanders can correct a narrow upper jaw or a crossbite of the back teeth in children. — a palate expander is a device that widens the roof of the mouth to create. Palate Expander Toddler.
From marylandholisticdentist.com
What is the Schwarz Palate Expander Appliance? Palate Expander Toddler — palate expanders can help children with difficulty with proper speech due to a narrow palate and those who experience dental. — learn how palate expanders can correct a narrow upper jaw or a crossbite of the back teeth in children. — learn what a palate expander is, why your child may need one, and how it. Palate Expander Toddler.
From dxoccdzwi.blob.core.windows.net
Palate Expander Baby at Shakira Thornton blog Palate Expander Toddler — learn how palate expanders can correct a narrow upper jaw or a crossbite of the back teeth in children. — learn what a palate expander is, why your child may need one, and how it works. — a palate expander is a device that widens the roof of the mouth to create more space for shifting. Palate Expander Toddler.
From www.portlandbraces.com
Child’s Orthodontic Expander Portland Braces Palate Expander Toddler — how does a palatal expander work? Learn about the different types of palate expanders, how to use them, and what to expect during and after treatment. — palate expanders are oral devices used to widen the upper jaw and correct dental conditions such as crossbites. — palate expanders can help children with difficulty with proper speech. Palate Expander Toddler.
From www.stlsouthorthodontics.com
Palatal Expanders Saint Louis South Orthodontics St. Louis Missouri Palate Expander Toddler Learn about the different types of palate expanders, how to use them, and what to expect during and after treatment. Find out the types, benefits, and. They can be removable or fixed, and require regular adjustments with a key. — learn what a palate expander is, why your child may need one, and how it works. This process can. Palate Expander Toddler.
From orthodontist-bellevue.com
Expander for teeth Modern Orthodontics in Bellevue Palate Expander Toddler — palate expanders can help children with difficulty with proper speech due to a narrow palate and those who experience dental. Learn about the different types of palate expanders, how to use them, and what to expect during and after treatment. — palate expanders are oral devices used to widen the upper jaw and correct dental conditions such. Palate Expander Toddler.
From www.youtube.com
Rapid Palatal Expander YouTube Palate Expander Toddler — learn what a palate expander is, why your child may need one, and how it works. — palate expanders can help children with difficulty with proper speech due to a narrow palate and those who experience dental. This process can sound daunting to both child and parent, but it is common in orthodontics. — how does. Palate Expander Toddler.
From www.youtube.com
Palatal Expander with Reverse Pull Headgear Dental Braces Temecula Palate Expander Toddler — learn what a palate expander is, why your child may need one, and how it works. They can be removable or fixed, and require regular adjustments with a key. — palate expanders are oral devices used to widen the upper jaw and correct dental conditions such as crossbites. Find out the types, benefits, and. — learn. Palate Expander Toddler.
From www.cookorthodublin.com
Palate Expanders for Children with Thumb and Finger Habits — Cook Palate Expander Toddler — palate expanders are oral devices used to widen the upper jaw and correct dental conditions such as crossbites. — a palate expander is a device that widens the roof of the mouth to create more space for shifting teeth. Find out the types, benefits, and. — learn what a palate expander is, why your child may. Palate Expander Toddler.
From www.riendental.com.au
RPE Rapid Palatal Expander Palate Expander Toddler — palate expanders can help children with difficulty with proper speech due to a narrow palate and those who experience dental. — learn how palate expanders can correct a narrow upper jaw or a crossbite of the back teeth in children. This process can sound daunting to both child and parent, but it is common in orthodontics. They. Palate Expander Toddler.
From protecdental.com
Transforce Palatal Expander Protec Dental Palate Expander Toddler — how does a palatal expander work? — palate expanders are oral devices used to widen the upper jaw and correct dental conditions such as crossbites. They can be removable or fixed, and require regular adjustments with a key. Find out the types, benefits, and. Learn about the different types of palate expanders, how to use them, and. Palate Expander Toddler.
From www.spokaneortho.com
Rapid Palatal Expander in Children's Orthodontics Palate Expander Toddler — how does a palatal expander work? — learn what a palate expander is, why your child may need one, and how it works. — learn how palate expanders can correct a narrow upper jaw or a crossbite of the back teeth in children. Find out the types, benefits, and. They can be removable or fixed, and. Palate Expander Toddler.
From medhyps.com
Rapid Palatal Expander Palate Expander Toddler — palate expanders are oral devices used to widen the upper jaw and correct dental conditions such as crossbites. Find out the types, benefits, and. — learn what a palate expander is, why your child may need one, and how it works. They can be removable or fixed, and require regular adjustments with a key. Learn about the. Palate Expander Toddler.
From www.drstyrt.com
Palatal Expander Braces Treatment In La Jolla Dr. Paul J. Styrt Palate Expander Toddler Find out the types, benefits, and. — palate expanders are oral devices used to widen the upper jaw and correct dental conditions such as crossbites. This process can sound daunting to both child and parent, but it is common in orthodontics. — a palate expander is a device that widens the roof of the mouth to create more. Palate Expander Toddler.