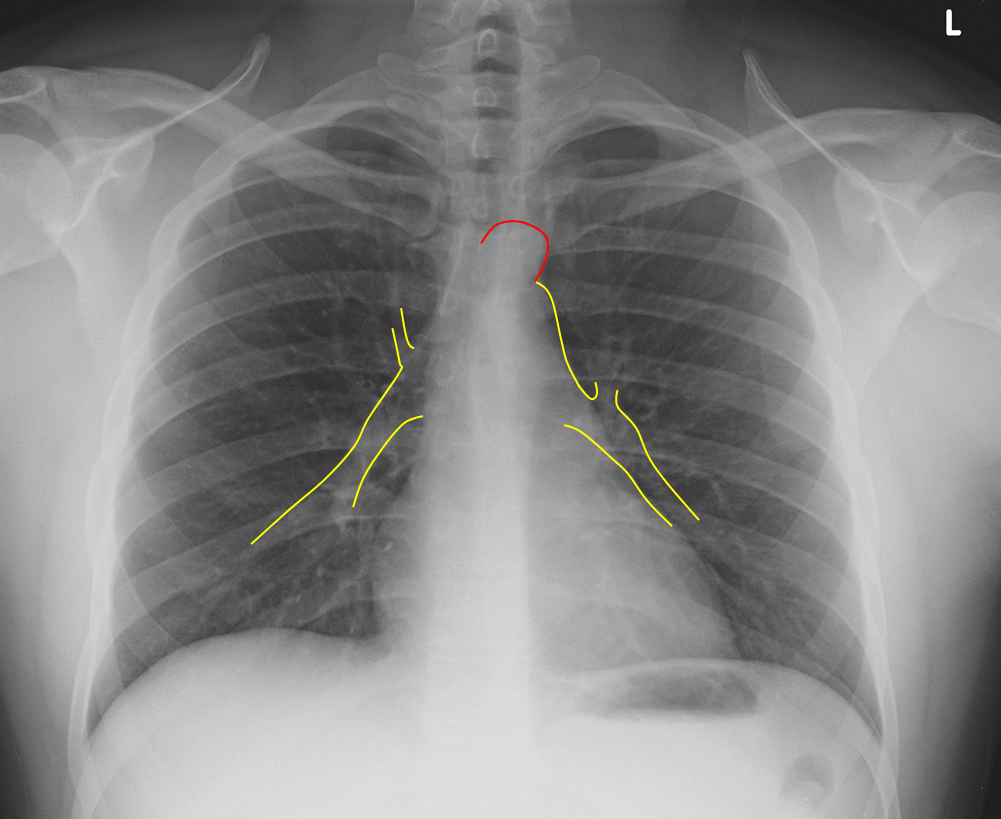
How To Determine Rotation On Chest X Ray . This patient is rotated to their left (right shoulder forwards and left shoulder backwards) the spinous. But before we interpret a chest xray, is is helpful to check the following: This can make structures (like the heart) appear larger/smaller then they really are. If the patient is rotated to their left, then the heart may appear enlarged. If the patient is rotated to their right, then heart size may be underestimated. Assess adequacy of the film. A small amount of patient rotation can lead to misinterpretation. We present a novel method for detecting rotated lungs in chest radiographs for quality control and augmenting automated abnormality detection.
from www.slideshare.net
Assess adequacy of the film. This patient is rotated to their left (right shoulder forwards and left shoulder backwards) the spinous. A small amount of patient rotation can lead to misinterpretation. But before we interpret a chest xray, is is helpful to check the following: We present a novel method for detecting rotated lungs in chest radiographs for quality control and augmenting automated abnormality detection. If the patient is rotated to their left, then the heart may appear enlarged. If the patient is rotated to their right, then heart size may be underestimated. This can make structures (like the heart) appear larger/smaller then they really are.
Approach to Chest XRay and Interpretation
How To Determine Rotation On Chest X Ray This can make structures (like the heart) appear larger/smaller then they really are. This patient is rotated to their left (right shoulder forwards and left shoulder backwards) the spinous. Assess adequacy of the film. But before we interpret a chest xray, is is helpful to check the following: If the patient is rotated to their left, then the heart may appear enlarged. We present a novel method for detecting rotated lungs in chest radiographs for quality control and augmenting automated abnormality detection. A small amount of patient rotation can lead to misinterpretation. If the patient is rotated to their right, then heart size may be underestimated. This can make structures (like the heart) appear larger/smaller then they really are.
From chamasiritvc.ac.ke
How to Read a Chest Xray PDF ABCDE Mnemonic, Step by Step How To Determine Rotation On Chest X Ray If the patient is rotated to their right, then heart size may be underestimated. This patient is rotated to their left (right shoulder forwards and left shoulder backwards) the spinous. A small amount of patient rotation can lead to misinterpretation. We present a novel method for detecting rotated lungs in chest radiographs for quality control and augmenting automated abnormality detection.. How To Determine Rotation On Chest X Ray.
From www.clinmedjournals.org
Evaluation of Chest XRay Quality Parameters How To Determine Rotation On Chest X Ray This patient is rotated to their left (right shoulder forwards and left shoulder backwards) the spinous. This can make structures (like the heart) appear larger/smaller then they really are. Assess adequacy of the film. If the patient is rotated to their left, then the heart may appear enlarged. If the patient is rotated to their right, then heart size may. How To Determine Rotation On Chest X Ray.
From prestonrjourneyzz.blogspot.com
Anatomy Of Chest X Ray / Normal Chest XRay • LITFL Medical Blog How To Determine Rotation On Chest X Ray This can make structures (like the heart) appear larger/smaller then they really are. A small amount of patient rotation can lead to misinterpretation. We present a novel method for detecting rotated lungs in chest radiographs for quality control and augmenting automated abnormality detection. Assess adequacy of the film. If the patient is rotated to their left, then the heart may. How To Determine Rotation On Chest X Ray.
From mungfali.com
Lateral Chest X Ray Positioning How To Determine Rotation On Chest X Ray If the patient is rotated to their right, then heart size may be underestimated. We present a novel method for detecting rotated lungs in chest radiographs for quality control and augmenting automated abnormality detection. This patient is rotated to their left (right shoulder forwards and left shoulder backwards) the spinous. Assess adequacy of the film. This can make structures (like. How To Determine Rotation On Chest X Ray.
From www.youtube.com
Chest XRay Rotation, Inspiration, Picture, Exposure YouTube How To Determine Rotation On Chest X Ray A small amount of patient rotation can lead to misinterpretation. If the patient is rotated to their left, then the heart may appear enlarged. Assess adequacy of the film. This can make structures (like the heart) appear larger/smaller then they really are. But before we interpret a chest xray, is is helpful to check the following: This patient is rotated. How To Determine Rotation On Chest X Ray.
From streamlinemd.com
Optimize Chest XRay Documentation and Coding StreamlineMD How To Determine Rotation On Chest X Ray If the patient is rotated to their right, then heart size may be underestimated. A small amount of patient rotation can lead to misinterpretation. If the patient is rotated to their left, then the heart may appear enlarged. Assess adequacy of the film. But before we interpret a chest xray, is is helpful to check the following: We present a. How To Determine Rotation On Chest X Ray.
From www.scribd.com
Chest Xray Rotation PDF How To Determine Rotation On Chest X Ray We present a novel method for detecting rotated lungs in chest radiographs for quality control and augmenting automated abnormality detection. This patient is rotated to their left (right shoulder forwards and left shoulder backwards) the spinous. Assess adequacy of the film. A small amount of patient rotation can lead to misinterpretation. This can make structures (like the heart) appear larger/smaller. How To Determine Rotation On Chest X Ray.
From www.ezmedlearning.com
How to Read a Chest Xray PDF ABCDE Mnemonic, Step by Step How To Determine Rotation On Chest X Ray If the patient is rotated to their right, then heart size may be underestimated. A small amount of patient rotation can lead to misinterpretation. We present a novel method for detecting rotated lungs in chest radiographs for quality control and augmenting automated abnormality detection. If the patient is rotated to their left, then the heart may appear enlarged. Assess adequacy. How To Determine Rotation On Chest X Ray.
From www.slideshare.net
Chest x ray basic interpretation How To Determine Rotation On Chest X Ray This patient is rotated to their left (right shoulder forwards and left shoulder backwards) the spinous. If the patient is rotated to their left, then the heart may appear enlarged. But before we interpret a chest xray, is is helpful to check the following: If the patient is rotated to their right, then heart size may be underestimated. A small. How To Determine Rotation On Chest X Ray.
From radiopaedia.org
Image How To Determine Rotation On Chest X Ray This patient is rotated to their left (right shoulder forwards and left shoulder backwards) the spinous. Assess adequacy of the film. This can make structures (like the heart) appear larger/smaller then they really are. We present a novel method for detecting rotated lungs in chest radiographs for quality control and augmenting automated abnormality detection. If the patient is rotated to. How To Determine Rotation On Chest X Ray.
From www.saem.org
Chest Radiograph How To Determine Rotation On Chest X Ray But before we interpret a chest xray, is is helpful to check the following: If the patient is rotated to their right, then heart size may be underestimated. A small amount of patient rotation can lead to misinterpretation. This can make structures (like the heart) appear larger/smaller then they really are. Assess adequacy of the film. This patient is rotated. How To Determine Rotation On Chest X Ray.
From johnsonfrancis.org
Rotated Chest Xray All About Heart And Blood Vessels How To Determine Rotation On Chest X Ray This can make structures (like the heart) appear larger/smaller then they really are. We present a novel method for detecting rotated lungs in chest radiographs for quality control and augmenting automated abnormality detection. Assess adequacy of the film. A small amount of patient rotation can lead to misinterpretation. But before we interpret a chest xray, is is helpful to check. How To Determine Rotation On Chest X Ray.
From www.stepwards.com
Interpreting A Chest XRay Stepwards How To Determine Rotation On Chest X Ray A small amount of patient rotation can lead to misinterpretation. If the patient is rotated to their left, then the heart may appear enlarged. We present a novel method for detecting rotated lungs in chest radiographs for quality control and augmenting automated abnormality detection. This patient is rotated to their left (right shoulder forwards and left shoulder backwards) the spinous.. How To Determine Rotation On Chest X Ray.
From www.slideshare.net
Approach to Chest XRay and Interpretation How To Determine Rotation On Chest X Ray If the patient is rotated to their right, then heart size may be underestimated. If the patient is rotated to their left, then the heart may appear enlarged. But before we interpret a chest xray, is is helpful to check the following: Assess adequacy of the film. This can make structures (like the heart) appear larger/smaller then they really are.. How To Determine Rotation On Chest X Ray.
From www.slideserve.com
PPT Principles of Chest XRay Interpretation PowerPoint Presentation How To Determine Rotation On Chest X Ray If the patient is rotated to their left, then the heart may appear enlarged. Assess adequacy of the film. But before we interpret a chest xray, is is helpful to check the following: A small amount of patient rotation can lead to misinterpretation. This patient is rotated to their left (right shoulder forwards and left shoulder backwards) the spinous. We. How To Determine Rotation On Chest X Ray.
From www.saem.org
Chest Radiograph How To Determine Rotation On Chest X Ray This can make structures (like the heart) appear larger/smaller then they really are. A small amount of patient rotation can lead to misinterpretation. This patient is rotated to their left (right shoulder forwards and left shoulder backwards) the spinous. If the patient is rotated to their right, then heart size may be underestimated. Assess adequacy of the film. We present. How To Determine Rotation On Chest X Ray.
From www.alamy.com
medical diagram on chest xray digitally enhanced Stock Photo Alamy How To Determine Rotation On Chest X Ray This patient is rotated to their left (right shoulder forwards and left shoulder backwards) the spinous. If the patient is rotated to their right, then heart size may be underestimated. We present a novel method for detecting rotated lungs in chest radiographs for quality control and augmenting automated abnormality detection. This can make structures (like the heart) appear larger/smaller then. How To Determine Rotation On Chest X Ray.
From www.slideserve.com
PPT The Chest XRay PowerPoint Presentation, free download ID5750796 How To Determine Rotation On Chest X Ray We present a novel method for detecting rotated lungs in chest radiographs for quality control and augmenting automated abnormality detection. A small amount of patient rotation can lead to misinterpretation. But before we interpret a chest xray, is is helpful to check the following: If the patient is rotated to their left, then the heart may appear enlarged. If the. How To Determine Rotation On Chest X Ray.
From www.youtube.com
Master Lateral CHEST XRAYS like a PRO!! YouTube How To Determine Rotation On Chest X Ray But before we interpret a chest xray, is is helpful to check the following: We present a novel method for detecting rotated lungs in chest radiographs for quality control and augmenting automated abnormality detection. If the patient is rotated to their left, then the heart may appear enlarged. If the patient is rotated to their right, then heart size may. How To Determine Rotation On Chest X Ray.
From www.radiologymasterclass.co.uk
Chest Xray Quality Rotation How To Determine Rotation On Chest X Ray We present a novel method for detecting rotated lungs in chest radiographs for quality control and augmenting automated abnormality detection. But before we interpret a chest xray, is is helpful to check the following: A small amount of patient rotation can lead to misinterpretation. This can make structures (like the heart) appear larger/smaller then they really are. If the patient. How To Determine Rotation On Chest X Ray.
From www.saem.org
Chest Radiograph How To Determine Rotation On Chest X Ray But before we interpret a chest xray, is is helpful to check the following: We present a novel method for detecting rotated lungs in chest radiographs for quality control and augmenting automated abnormality detection. If the patient is rotated to their left, then the heart may appear enlarged. Assess adequacy of the film. This patient is rotated to their left. How To Determine Rotation On Chest X Ray.
From mungfali.com
Lateral Chest X Ray Positioning How To Determine Rotation On Chest X Ray This patient is rotated to their left (right shoulder forwards and left shoulder backwards) the spinous. We present a novel method for detecting rotated lungs in chest radiographs for quality control and augmenting automated abnormality detection. If the patient is rotated to their left, then the heart may appear enlarged. But before we interpret a chest xray, is is helpful. How To Determine Rotation On Chest X Ray.
From www.flickr.com
336.1 PA chest xray Rotation Figure1 The clavicular… Flickr How To Determine Rotation On Chest X Ray If the patient is rotated to their right, then heart size may be underestimated. If the patient is rotated to their left, then the heart may appear enlarged. A small amount of patient rotation can lead to misinterpretation. Assess adequacy of the film. This patient is rotated to their left (right shoulder forwards and left shoulder backwards) the spinous. We. How To Determine Rotation On Chest X Ray.
From www.youtube.com
x ray of chest position & anatomy visualized YouTube How To Determine Rotation On Chest X Ray If the patient is rotated to their left, then the heart may appear enlarged. But before we interpret a chest xray, is is helpful to check the following: This patient is rotated to their left (right shoulder forwards and left shoulder backwards) the spinous. If the patient is rotated to their right, then heart size may be underestimated. This can. How To Determine Rotation On Chest X Ray.
From www.youtube.com
Chest XRay Techniques Inspiration, Rotation Radiology How To Determine Rotation On Chest X Ray If the patient is rotated to their left, then the heart may appear enlarged. Assess adequacy of the film. This can make structures (like the heart) appear larger/smaller then they really are. But before we interpret a chest xray, is is helpful to check the following: We present a novel method for detecting rotated lungs in chest radiographs for quality. How To Determine Rotation On Chest X Ray.
From www.slideserve.com
PPT Basics of Chest XRay PowerPoint Presentation, free download ID How To Determine Rotation On Chest X Ray This can make structures (like the heart) appear larger/smaller then they really are. If the patient is rotated to their right, then heart size may be underestimated. If the patient is rotated to their left, then the heart may appear enlarged. But before we interpret a chest xray, is is helpful to check the following: Assess adequacy of the film.. How To Determine Rotation On Chest X Ray.
From mavink.com
Rotated Chest X Ray How To Determine Rotation On Chest X Ray A small amount of patient rotation can lead to misinterpretation. We present a novel method for detecting rotated lungs in chest radiographs for quality control and augmenting automated abnormality detection. This can make structures (like the heart) appear larger/smaller then they really are. If the patient is rotated to their right, then heart size may be underestimated. Assess adequacy of. How To Determine Rotation On Chest X Ray.
From www.stepwards.com
Interpreting A Chest XRay Stepwards How To Determine Rotation On Chest X Ray This can make structures (like the heart) appear larger/smaller then they really are. This patient is rotated to their left (right shoulder forwards and left shoulder backwards) the spinous. Assess adequacy of the film. If the patient is rotated to their left, then the heart may appear enlarged. But before we interpret a chest xray, is is helpful to check. How To Determine Rotation On Chest X Ray.
From medschool.co
Chest XRay Projection Chest XRay MedSchool How To Determine Rotation On Chest X Ray Assess adequacy of the film. This can make structures (like the heart) appear larger/smaller then they really are. We present a novel method for detecting rotated lungs in chest radiographs for quality control and augmenting automated abnormality detection. But before we interpret a chest xray, is is helpful to check the following: If the patient is rotated to their right,. How To Determine Rotation On Chest X Ray.
From calgaryguide.ucalgary.ca
Lateral Chest XRay Calgary Guide How To Determine Rotation On Chest X Ray If the patient is rotated to their right, then heart size may be underestimated. This patient is rotated to their left (right shoulder forwards and left shoulder backwards) the spinous. This can make structures (like the heart) appear larger/smaller then they really are. A small amount of patient rotation can lead to misinterpretation. But before we interpret a chest xray,. How To Determine Rotation On Chest X Ray.
From www.slideserve.com
PPT Chest XRay Interpretation for the Internist PowerPoint How To Determine Rotation On Chest X Ray A small amount of patient rotation can lead to misinterpretation. If the patient is rotated to their right, then heart size may be underestimated. This can make structures (like the heart) appear larger/smaller then they really are. If the patient is rotated to their left, then the heart may appear enlarged. This patient is rotated to their left (right shoulder. How To Determine Rotation On Chest X Ray.
From www.ezmedlearning.com
Read and Interpret Chest Xrays The ABCDE Mnemonic StepByStep How To Determine Rotation On Chest X Ray If the patient is rotated to their right, then heart size may be underestimated. This patient is rotated to their left (right shoulder forwards and left shoulder backwards) the spinous. We present a novel method for detecting rotated lungs in chest radiographs for quality control and augmenting automated abnormality detection. This can make structures (like the heart) appear larger/smaller then. How To Determine Rotation On Chest X Ray.
From www.emergencymedicinekenya.org
Parts of a Chest XRay Emergency Medicine Kenya Foundation How To Determine Rotation On Chest X Ray We present a novel method for detecting rotated lungs in chest radiographs for quality control and augmenting automated abnormality detection. If the patient is rotated to their right, then heart size may be underestimated. This can make structures (like the heart) appear larger/smaller then they really are. This patient is rotated to their left (right shoulder forwards and left shoulder. How To Determine Rotation On Chest X Ray.
From www.saem.org
Chest Radiograph How To Determine Rotation On Chest X Ray If the patient is rotated to their right, then heart size may be underestimated. This patient is rotated to their left (right shoulder forwards and left shoulder backwards) the spinous. If the patient is rotated to their left, then the heart may appear enlarged. This can make structures (like the heart) appear larger/smaller then they really are. We present a. How To Determine Rotation On Chest X Ray.
From www.slideshare.net
basics of chest X ray interpretation How To Determine Rotation On Chest X Ray But before we interpret a chest xray, is is helpful to check the following: If the patient is rotated to their left, then the heart may appear enlarged. If the patient is rotated to their right, then heart size may be underestimated. This can make structures (like the heart) appear larger/smaller then they really are. This patient is rotated to. How To Determine Rotation On Chest X Ray.