Kaposi Sarcoma Bone Marrow . Kaposi sarcoma (ks) of bone and skeletal muscle has been rare but occurred with all ks subtypes. Kaposi’s sarcoma (ks) is a rare, malignant, multilocular vascular disease originating from lymphatic endothelial cells that can primarily affect the skin and. Malignant vascular neoplasm of intermediate behavior. Kaposi sarcoma is a disease in which cancer cells are found in the skin or mucous membranes that line the gastrointestinal (gi) tract, from mouth to anus, including the stomach and. Locally aggressive african and classic ks lesions involved the peripheral. In all forms and cases, the etiologic agent is human.
from www.science.org
Malignant vascular neoplasm of intermediate behavior. In all forms and cases, the etiologic agent is human. Locally aggressive african and classic ks lesions involved the peripheral. Kaposi sarcoma is a disease in which cancer cells are found in the skin or mucous membranes that line the gastrointestinal (gi) tract, from mouth to anus, including the stomach and. Kaposi’s sarcoma (ks) is a rare, malignant, multilocular vascular disease originating from lymphatic endothelial cells that can primarily affect the skin and. Kaposi sarcoma (ks) of bone and skeletal muscle has been rare but occurred with all ks subtypes.
Kaposi's Herpesvirus Infection of Bone Marrow
Kaposi Sarcoma Bone Marrow Locally aggressive african and classic ks lesions involved the peripheral. Kaposi sarcoma (ks) of bone and skeletal muscle has been rare but occurred with all ks subtypes. In all forms and cases, the etiologic agent is human. Locally aggressive african and classic ks lesions involved the peripheral. Malignant vascular neoplasm of intermediate behavior. Kaposi’s sarcoma (ks) is a rare, malignant, multilocular vascular disease originating from lymphatic endothelial cells that can primarily affect the skin and. Kaposi sarcoma is a disease in which cancer cells are found in the skin or mucous membranes that line the gastrointestinal (gi) tract, from mouth to anus, including the stomach and.
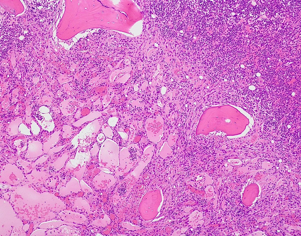
From www.researchgate.net
(a) Gastric Kaposi scarlet slightly elevated lesions of the Kaposi Sarcoma Bone Marrow Locally aggressive african and classic ks lesions involved the peripheral. Kaposi’s sarcoma (ks) is a rare, malignant, multilocular vascular disease originating from lymphatic endothelial cells that can primarily affect the skin and. In all forms and cases, the etiologic agent is human. Malignant vascular neoplasm of intermediate behavior. Kaposi sarcoma is a disease in which cancer cells are found in. Kaposi Sarcoma Bone Marrow.
From www.clinmedjournals.org
NonInvasive Diagnosis of Pulmonary Kaposi A Case Report Kaposi Sarcoma Bone Marrow Kaposi sarcoma (ks) of bone and skeletal muscle has been rare but occurred with all ks subtypes. Locally aggressive african and classic ks lesions involved the peripheral. Kaposi’s sarcoma (ks) is a rare, malignant, multilocular vascular disease originating from lymphatic endothelial cells that can primarily affect the skin and. In all forms and cases, the etiologic agent is human. Malignant. Kaposi Sarcoma Bone Marrow.
From pdfslide.net
(PDF) Bone Marrow Findings in HIVPositive Patients With Kaposi Kaposi Sarcoma Bone Marrow Locally aggressive african and classic ks lesions involved the peripheral. Malignant vascular neoplasm of intermediate behavior. Kaposi sarcoma is a disease in which cancer cells are found in the skin or mucous membranes that line the gastrointestinal (gi) tract, from mouth to anus, including the stomach and. Kaposi sarcoma (ks) of bone and skeletal muscle has been rare but occurred. Kaposi Sarcoma Bone Marrow.
From www.researchgate.net
Kaposi A Fine needle biopsy remnant tissue and blood clot Kaposi Sarcoma Bone Marrow Kaposi sarcoma is a disease in which cancer cells are found in the skin or mucous membranes that line the gastrointestinal (gi) tract, from mouth to anus, including the stomach and. Kaposi sarcoma (ks) of bone and skeletal muscle has been rare but occurred with all ks subtypes. In all forms and cases, the etiologic agent is human. Kaposi’s sarcoma. Kaposi Sarcoma Bone Marrow.
From www.semanticscholar.org
Table 1 from Bone marrow and peripheral blood dendritic cells from Kaposi Sarcoma Bone Marrow Locally aggressive african and classic ks lesions involved the peripheral. Kaposi’s sarcoma (ks) is a rare, malignant, multilocular vascular disease originating from lymphatic endothelial cells that can primarily affect the skin and. Kaposi sarcoma (ks) of bone and skeletal muscle has been rare but occurred with all ks subtypes. Kaposi sarcoma is a disease in which cancer cells are found. Kaposi Sarcoma Bone Marrow.
From healthjade.net
Kaposi causes, symptoms, lesions, prognosis and treatment Kaposi Sarcoma Bone Marrow In all forms and cases, the etiologic agent is human. Locally aggressive african and classic ks lesions involved the peripheral. Kaposi’s sarcoma (ks) is a rare, malignant, multilocular vascular disease originating from lymphatic endothelial cells that can primarily affect the skin and. Malignant vascular neoplasm of intermediate behavior. Kaposi sarcoma is a disease in which cancer cells are found in. Kaposi Sarcoma Bone Marrow.
From www.researchgate.net
(a) Gastric Kaposi scarlet slightly elevated lesions of the Kaposi Sarcoma Bone Marrow In all forms and cases, the etiologic agent is human. Kaposi sarcoma (ks) of bone and skeletal muscle has been rare but occurred with all ks subtypes. Malignant vascular neoplasm of intermediate behavior. Kaposi sarcoma is a disease in which cancer cells are found in the skin or mucous membranes that line the gastrointestinal (gi) tract, from mouth to anus,. Kaposi Sarcoma Bone Marrow.
From www.science.org
Kaposi's Herpesvirus Infection of Bone Marrow Kaposi Sarcoma Bone Marrow Kaposi sarcoma is a disease in which cancer cells are found in the skin or mucous membranes that line the gastrointestinal (gi) tract, from mouth to anus, including the stomach and. Locally aggressive african and classic ks lesions involved the peripheral. Kaposi’s sarcoma (ks) is a rare, malignant, multilocular vascular disease originating from lymphatic endothelial cells that can primarily affect. Kaposi Sarcoma Bone Marrow.
From www.seankarlfoundation.org
Pediatric Cancer & Ewing Sean Karl Foundation Kaposi Sarcoma Bone Marrow Kaposi’s sarcoma (ks) is a rare, malignant, multilocular vascular disease originating from lymphatic endothelial cells that can primarily affect the skin and. Kaposi sarcoma (ks) of bone and skeletal muscle has been rare but occurred with all ks subtypes. Kaposi sarcoma is a disease in which cancer cells are found in the skin or mucous membranes that line the gastrointestinal. Kaposi Sarcoma Bone Marrow.
From www.semanticscholar.org
Figure 1 from Bone marrow and peripheral blood dendritic cells from Kaposi Sarcoma Bone Marrow Kaposi’s sarcoma (ks) is a rare, malignant, multilocular vascular disease originating from lymphatic endothelial cells that can primarily affect the skin and. Kaposi sarcoma is a disease in which cancer cells are found in the skin or mucous membranes that line the gastrointestinal (gi) tract, from mouth to anus, including the stomach and. Malignant vascular neoplasm of intermediate behavior. Locally. Kaposi Sarcoma Bone Marrow.
From www.semanticscholar.org
Figure 4 from Bone marrow and peripheral blood dendritic cells from Kaposi Sarcoma Bone Marrow Kaposi sarcoma (ks) of bone and skeletal muscle has been rare but occurred with all ks subtypes. Locally aggressive african and classic ks lesions involved the peripheral. Kaposi’s sarcoma (ks) is a rare, malignant, multilocular vascular disease originating from lymphatic endothelial cells that can primarily affect the skin and. Malignant vascular neoplasm of intermediate behavior. In all forms and cases,. Kaposi Sarcoma Bone Marrow.
From www.researchgate.net
(a) Gastric Kaposi scarlet slightly elevated lesions of the Kaposi Sarcoma Bone Marrow Kaposi sarcoma (ks) of bone and skeletal muscle has been rare but occurred with all ks subtypes. In all forms and cases, the etiologic agent is human. Locally aggressive african and classic ks lesions involved the peripheral. Malignant vascular neoplasm of intermediate behavior. Kaposi’s sarcoma (ks) is a rare, malignant, multilocular vascular disease originating from lymphatic endothelial cells that can. Kaposi Sarcoma Bone Marrow.
From dokumen.tips
(PDF) Bone Marrow Findings in HIVPositive Patients With Kaposi Kaposi Sarcoma Bone Marrow Locally aggressive african and classic ks lesions involved the peripheral. Kaposi sarcoma (ks) of bone and skeletal muscle has been rare but occurred with all ks subtypes. Malignant vascular neoplasm of intermediate behavior. Kaposi sarcoma is a disease in which cancer cells are found in the skin or mucous membranes that line the gastrointestinal (gi) tract, from mouth to anus,. Kaposi Sarcoma Bone Marrow.
From www.researchgate.net
(a) Gastric Kaposi scarlet slightly elevated lesions of the Kaposi Sarcoma Bone Marrow Kaposi sarcoma (ks) of bone and skeletal muscle has been rare but occurred with all ks subtypes. Kaposi’s sarcoma (ks) is a rare, malignant, multilocular vascular disease originating from lymphatic endothelial cells that can primarily affect the skin and. In all forms and cases, the etiologic agent is human. Kaposi sarcoma is a disease in which cancer cells are found. Kaposi Sarcoma Bone Marrow.
From www.researchgate.net
Higher power magnification shows infiltrating Kaposi comprised Kaposi Sarcoma Bone Marrow Kaposi’s sarcoma (ks) is a rare, malignant, multilocular vascular disease originating from lymphatic endothelial cells that can primarily affect the skin and. Locally aggressive african and classic ks lesions involved the peripheral. Malignant vascular neoplasm of intermediate behavior. In all forms and cases, the etiologic agent is human. Kaposi sarcoma is a disease in which cancer cells are found in. Kaposi Sarcoma Bone Marrow.
From www.researchgate.net
(a) Gastric Kaposi scarlet slightly elevated lesions of the Kaposi Sarcoma Bone Marrow Locally aggressive african and classic ks lesions involved the peripheral. Kaposi sarcoma is a disease in which cancer cells are found in the skin or mucous membranes that line the gastrointestinal (gi) tract, from mouth to anus, including the stomach and. Malignant vascular neoplasm of intermediate behavior. In all forms and cases, the etiologic agent is human. Kaposi sarcoma (ks). Kaposi Sarcoma Bone Marrow.
From www.cell.com
The Kaposi’s progenitor enigma KSHVinduced MEndTEndMT axis Kaposi Sarcoma Bone Marrow Locally aggressive african and classic ks lesions involved the peripheral. Kaposi sarcoma is a disease in which cancer cells are found in the skin or mucous membranes that line the gastrointestinal (gi) tract, from mouth to anus, including the stomach and. Kaposi’s sarcoma (ks) is a rare, malignant, multilocular vascular disease originating from lymphatic endothelial cells that can primarily affect. Kaposi Sarcoma Bone Marrow.
From www.semanticscholar.org
Figure 2 from Bone marrow and peripheral blood dendritic cells from Kaposi Sarcoma Bone Marrow Malignant vascular neoplasm of intermediate behavior. Kaposi’s sarcoma (ks) is a rare, malignant, multilocular vascular disease originating from lymphatic endothelial cells that can primarily affect the skin and. Locally aggressive african and classic ks lesions involved the peripheral. Kaposi sarcoma (ks) of bone and skeletal muscle has been rare but occurred with all ks subtypes. In all forms and cases,. Kaposi Sarcoma Bone Marrow.
From www.pathologyatlas.ca
Kaposi of the skin Ottawa Atlas of Pathology Kaposi Sarcoma Bone Marrow Kaposi sarcoma is a disease in which cancer cells are found in the skin or mucous membranes that line the gastrointestinal (gi) tract, from mouth to anus, including the stomach and. Malignant vascular neoplasm of intermediate behavior. Kaposi’s sarcoma (ks) is a rare, malignant, multilocular vascular disease originating from lymphatic endothelial cells that can primarily affect the skin and. Locally. Kaposi Sarcoma Bone Marrow.
From www.researchgate.net
(PDF) Kaposi's after allogeneic bone marrow transplatation in a Kaposi Sarcoma Bone Marrow Kaposi sarcoma (ks) of bone and skeletal muscle has been rare but occurred with all ks subtypes. Malignant vascular neoplasm of intermediate behavior. Kaposi’s sarcoma (ks) is a rare, malignant, multilocular vascular disease originating from lymphatic endothelial cells that can primarily affect the skin and. In all forms and cases, the etiologic agent is human. Kaposi sarcoma is a disease. Kaposi Sarcoma Bone Marrow.
From www.researchgate.net
Gross and microscopic manifestations of Kaposi (KS). (A Kaposi Sarcoma Bone Marrow Kaposi sarcoma is a disease in which cancer cells are found in the skin or mucous membranes that line the gastrointestinal (gi) tract, from mouth to anus, including the stomach and. Kaposi sarcoma (ks) of bone and skeletal muscle has been rare but occurred with all ks subtypes. In all forms and cases, the etiologic agent is human. Locally aggressive. Kaposi Sarcoma Bone Marrow.
From www.semanticscholar.org
Figure 1 from Bone marrow and peripheral blood dendritic cells from Kaposi Sarcoma Bone Marrow Locally aggressive african and classic ks lesions involved the peripheral. In all forms and cases, the etiologic agent is human. Kaposi’s sarcoma (ks) is a rare, malignant, multilocular vascular disease originating from lymphatic endothelial cells that can primarily affect the skin and. Malignant vascular neoplasm of intermediate behavior. Kaposi sarcoma (ks) of bone and skeletal muscle has been rare but. Kaposi Sarcoma Bone Marrow.
From www.semanticscholar.org
Table 2 from Bone marrow and peripheral blood dendritic cells from Kaposi Sarcoma Bone Marrow Malignant vascular neoplasm of intermediate behavior. Kaposi sarcoma is a disease in which cancer cells are found in the skin or mucous membranes that line the gastrointestinal (gi) tract, from mouth to anus, including the stomach and. Kaposi sarcoma (ks) of bone and skeletal muscle has been rare but occurred with all ks subtypes. Kaposi’s sarcoma (ks) is a rare,. Kaposi Sarcoma Bone Marrow.
From www.semanticscholar.org
RAPID COMMUNICATION Localization of Kaposi’s Associated Kaposi Sarcoma Bone Marrow Kaposi sarcoma (ks) of bone and skeletal muscle has been rare but occurred with all ks subtypes. In all forms and cases, the etiologic agent is human. Locally aggressive african and classic ks lesions involved the peripheral. Kaposi’s sarcoma (ks) is a rare, malignant, multilocular vascular disease originating from lymphatic endothelial cells that can primarily affect the skin and. Kaposi. Kaposi Sarcoma Bone Marrow.
From twitter.com
Jerad Gardner, MD on Twitter "RT Gloria_SuraMD Bone marrow biopsy Kaposi Sarcoma Bone Marrow Malignant vascular neoplasm of intermediate behavior. Kaposi’s sarcoma (ks) is a rare, malignant, multilocular vascular disease originating from lymphatic endothelial cells that can primarily affect the skin and. Kaposi sarcoma is a disease in which cancer cells are found in the skin or mucous membranes that line the gastrointestinal (gi) tract, from mouth to anus, including the stomach and. In. Kaposi Sarcoma Bone Marrow.
From www.clinmedjournals.org
NonInvasive Diagnosis of Pulmonary Kaposi A Case Report Kaposi Sarcoma Bone Marrow Malignant vascular neoplasm of intermediate behavior. Kaposi sarcoma (ks) of bone and skeletal muscle has been rare but occurred with all ks subtypes. Locally aggressive african and classic ks lesions involved the peripheral. Kaposi’s sarcoma (ks) is a rare, malignant, multilocular vascular disease originating from lymphatic endothelial cells that can primarily affect the skin and. Kaposi sarcoma is a disease. Kaposi Sarcoma Bone Marrow.
From www.researchgate.net
(PDF) Kaposi's in the Bone Marrow of a Patient with AIDS Kaposi Sarcoma Bone Marrow In all forms and cases, the etiologic agent is human. Locally aggressive african and classic ks lesions involved the peripheral. Kaposi sarcoma (ks) of bone and skeletal muscle has been rare but occurred with all ks subtypes. Kaposi’s sarcoma (ks) is a rare, malignant, multilocular vascular disease originating from lymphatic endothelial cells that can primarily affect the skin and. Malignant. Kaposi Sarcoma Bone Marrow.
From www.researchgate.net
(PDF) Kaposi's after allogeneic bone marrow transplantation Kaposi Sarcoma Bone Marrow Kaposi sarcoma is a disease in which cancer cells are found in the skin or mucous membranes that line the gastrointestinal (gi) tract, from mouth to anus, including the stomach and. Malignant vascular neoplasm of intermediate behavior. Locally aggressive african and classic ks lesions involved the peripheral. Kaposi sarcoma (ks) of bone and skeletal muscle has been rare but occurred. Kaposi Sarcoma Bone Marrow.
From www.researchgate.net
(PDF) Absence of Kaposi's herpesvirus (KSHV) in bone Kaposi Sarcoma Bone Marrow Locally aggressive african and classic ks lesions involved the peripheral. Malignant vascular neoplasm of intermediate behavior. Kaposi’s sarcoma (ks) is a rare, malignant, multilocular vascular disease originating from lymphatic endothelial cells that can primarily affect the skin and. Kaposi sarcoma is a disease in which cancer cells are found in the skin or mucous membranes that line the gastrointestinal (gi). Kaposi Sarcoma Bone Marrow.
From www.researchgate.net
Bone marrow biopsy specimen showing a noncaseating granuloma Kaposi Sarcoma Bone Marrow Locally aggressive african and classic ks lesions involved the peripheral. Kaposi’s sarcoma (ks) is a rare, malignant, multilocular vascular disease originating from lymphatic endothelial cells that can primarily affect the skin and. Kaposi sarcoma is a disease in which cancer cells are found in the skin or mucous membranes that line the gastrointestinal (gi) tract, from mouth to anus, including. Kaposi Sarcoma Bone Marrow.
From www.researchgate.net
(a) Gastric Kaposi scarlet slightly elevated lesions of the Kaposi Sarcoma Bone Marrow Kaposi’s sarcoma (ks) is a rare, malignant, multilocular vascular disease originating from lymphatic endothelial cells that can primarily affect the skin and. Kaposi sarcoma is a disease in which cancer cells are found in the skin or mucous membranes that line the gastrointestinal (gi) tract, from mouth to anus, including the stomach and. Locally aggressive african and classic ks lesions. Kaposi Sarcoma Bone Marrow.
From www.nhs.uk
Kaposi's NHS NHS Kaposi Sarcoma Bone Marrow Malignant vascular neoplasm of intermediate behavior. Kaposi sarcoma is a disease in which cancer cells are found in the skin or mucous membranes that line the gastrointestinal (gi) tract, from mouth to anus, including the stomach and. Locally aggressive african and classic ks lesions involved the peripheral. Kaposi’s sarcoma (ks) is a rare, malignant, multilocular vascular disease originating from lymphatic. Kaposi Sarcoma Bone Marrow.
From www.clinmedjournals.org
Multicentric Castleman's Disease with Disseminated Kaposi's A Kaposi Sarcoma Bone Marrow Kaposi sarcoma is a disease in which cancer cells are found in the skin or mucous membranes that line the gastrointestinal (gi) tract, from mouth to anus, including the stomach and. Kaposi sarcoma (ks) of bone and skeletal muscle has been rare but occurred with all ks subtypes. In all forms and cases, the etiologic agent is human. Malignant vascular. Kaposi Sarcoma Bone Marrow.
From pixels.com
Kaposi's 3 Photograph by Dr M.a. Ansary/science Photo Library Kaposi Sarcoma Bone Marrow Kaposi sarcoma (ks) of bone and skeletal muscle has been rare but occurred with all ks subtypes. Malignant vascular neoplasm of intermediate behavior. Kaposi sarcoma is a disease in which cancer cells are found in the skin or mucous membranes that line the gastrointestinal (gi) tract, from mouth to anus, including the stomach and. Locally aggressive african and classic ks. Kaposi Sarcoma Bone Marrow.
From imagebank.hematology.org
Extensive Kaposi infiltration in bone marrow in a patient with HIV Kaposi Sarcoma Bone Marrow In all forms and cases, the etiologic agent is human. Kaposi’s sarcoma (ks) is a rare, malignant, multilocular vascular disease originating from lymphatic endothelial cells that can primarily affect the skin and. Kaposi sarcoma is a disease in which cancer cells are found in the skin or mucous membranes that line the gastrointestinal (gi) tract, from mouth to anus, including. Kaposi Sarcoma Bone Marrow.