Talus Bone Marrow Edema . Your doctor may call it bone marrow lesions. bone marrow edema syndrome of the foot and ankle, also known as transient bone marrow edema syndrome of the foot. The cause is frequently traumatic because of its key location between the leg and the. bone marrow edema is a potentially serious condition where fluid builds up inside your bone marrow (the spongy mass in the center of bones that. bone marrow edema (bme) is one of the most common findings on magnetic resonance imaging (mri) after. bone marrow edema (bme) is a descriptive term for a common finding in magnetic resonance imaging (mri). bone marrow edema is when fluid builds up in your bone marrow. It’s typically the response to an injury or a condition like osteoarthritis. bone marrow edema is a buildup of fluid in the bone marrow. the talus is a common site for bone marrow edema on mri studies.
from www.ajronline.org
the talus is a common site for bone marrow edema on mri studies. bone marrow edema is a potentially serious condition where fluid builds up inside your bone marrow (the spongy mass in the center of bones that. bone marrow edema (bme) is one of the most common findings on magnetic resonance imaging (mri) after. Your doctor may call it bone marrow lesions. bone marrow edema (bme) is a descriptive term for a common finding in magnetic resonance imaging (mri). It’s typically the response to an injury or a condition like osteoarthritis. bone marrow edema is when fluid builds up in your bone marrow. bone marrow edema syndrome of the foot and ankle, also known as transient bone marrow edema syndrome of the foot. bone marrow edema is a buildup of fluid in the bone marrow. The cause is frequently traumatic because of its key location between the leg and the.
Bone Marrow Edema Patterns in the Ankle and Hindfoot Distinguishing MRI Features AJR
Talus Bone Marrow Edema bone marrow edema is a potentially serious condition where fluid builds up inside your bone marrow (the spongy mass in the center of bones that. bone marrow edema is a potentially serious condition where fluid builds up inside your bone marrow (the spongy mass in the center of bones that. bone marrow edema is when fluid builds up in your bone marrow. bone marrow edema (bme) is one of the most common findings on magnetic resonance imaging (mri) after. bone marrow edema syndrome of the foot and ankle, also known as transient bone marrow edema syndrome of the foot. It’s typically the response to an injury or a condition like osteoarthritis. the talus is a common site for bone marrow edema on mri studies. The cause is frequently traumatic because of its key location between the leg and the. bone marrow edema is a buildup of fluid in the bone marrow. Your doctor may call it bone marrow lesions. bone marrow edema (bme) is a descriptive term for a common finding in magnetic resonance imaging (mri).
From www.ajronline.org
Bone Marrow Edema Patterns in the Ankle and Hindfoot Distinguishing MRI Features AJR Talus Bone Marrow Edema It’s typically the response to an injury or a condition like osteoarthritis. bone marrow edema (bme) is a descriptive term for a common finding in magnetic resonance imaging (mri). bone marrow edema syndrome of the foot and ankle, also known as transient bone marrow edema syndrome of the foot. bone marrow edema is when fluid builds up. Talus Bone Marrow Edema.
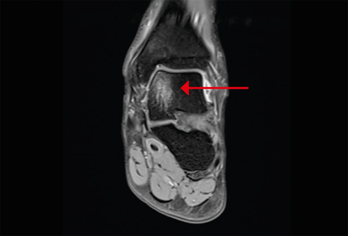
From www.researchgate.net
Typical appearance of talar bone marrow edema observed on MR images of... Download Scientific Talus Bone Marrow Edema bone marrow edema is when fluid builds up in your bone marrow. bone marrow edema syndrome of the foot and ankle, also known as transient bone marrow edema syndrome of the foot. Your doctor may call it bone marrow lesions. bone marrow edema is a potentially serious condition where fluid builds up inside your bone marrow (the. Talus Bone Marrow Edema.
From www.youtube.com
What is Bone Marrow Edema YouTube Talus Bone Marrow Edema The cause is frequently traumatic because of its key location between the leg and the. bone marrow edema (bme) is one of the most common findings on magnetic resonance imaging (mri) after. bone marrow edema syndrome of the foot and ankle, also known as transient bone marrow edema syndrome of the foot. bone marrow edema (bme) is. Talus Bone Marrow Edema.
From www.researchgate.net
MR image showing bone marrow edema of the medial femur condyle with a... Download Scientific Talus Bone Marrow Edema bone marrow edema (bme) is a descriptive term for a common finding in magnetic resonance imaging (mri). bone marrow edema is a potentially serious condition where fluid builds up inside your bone marrow (the spongy mass in the center of bones that. the talus is a common site for bone marrow edema on mri studies. bone. Talus Bone Marrow Edema.
From journals.sagepub.com
Prevalence of Asymptomatic Bone Marrow Edema in the Talus in Professional Ballet Dancers Talus Bone Marrow Edema bone marrow edema is when fluid builds up in your bone marrow. It’s typically the response to an injury or a condition like osteoarthritis. bone marrow edema (bme) is one of the most common findings on magnetic resonance imaging (mri) after. the talus is a common site for bone marrow edema on mri studies. bone marrow. Talus Bone Marrow Edema.
From www.academia.edu
(PDF) Treatment of Bone Marrow Edema of Talus Bone Byjalaukaavcharana (Leech Therapy) A Case Talus Bone Marrow Edema The cause is frequently traumatic because of its key location between the leg and the. bone marrow edema is when fluid builds up in your bone marrow. bone marrow edema is a potentially serious condition where fluid builds up inside your bone marrow (the spongy mass in the center of bones that. Your doctor may call it bone. Talus Bone Marrow Edema.
From www.researchgate.net
T2 sagittal MRI of the ankle demonstrating grade II stress... Download Scientific Diagram Talus Bone Marrow Edema The cause is frequently traumatic because of its key location between the leg and the. It’s typically the response to an injury or a condition like osteoarthritis. bone marrow edema (bme) is a descriptive term for a common finding in magnetic resonance imaging (mri). bone marrow edema is a potentially serious condition where fluid builds up inside your. Talus Bone Marrow Edema.
From www.arthroscopyjournal.org
Be Aware of Bone Marrow Edema Syndrome in Ankle Arthroscopy A Case Successfully Treated With Talus Bone Marrow Edema bone marrow edema (bme) is one of the most common findings on magnetic resonance imaging (mri) after. bone marrow edema is a buildup of fluid in the bone marrow. The cause is frequently traumatic because of its key location between the leg and the. bone marrow edema is a potentially serious condition where fluid builds up inside. Talus Bone Marrow Edema.
From www.researchgate.net
resonance imaging shows bone marrow edema and bone cyst of the... Download Scientific Talus Bone Marrow Edema Your doctor may call it bone marrow lesions. bone marrow edema is when fluid builds up in your bone marrow. bone marrow edema syndrome of the foot and ankle, also known as transient bone marrow edema syndrome of the foot. bone marrow edema (bme) is one of the most common findings on magnetic resonance imaging (mri) after.. Talus Bone Marrow Edema.
From www.researchgate.net
(PDF) Prevalence of Asymptomatic Bone Marrow Edema in the Talus in Professional Ballet Dancers Talus Bone Marrow Edema bone marrow edema is a potentially serious condition where fluid builds up inside your bone marrow (the spongy mass in the center of bones that. bone marrow edema is when fluid builds up in your bone marrow. It’s typically the response to an injury or a condition like osteoarthritis. bone marrow edema (bme) is a descriptive term. Talus Bone Marrow Edema.
From www.ajronline.org
Bone Marrow Edema Patterns in the Ankle and Hindfoot Distinguishing MRI Features AJR Talus Bone Marrow Edema bone marrow edema is when fluid builds up in your bone marrow. bone marrow edema is a buildup of fluid in the bone marrow. bone marrow edema (bme) is a descriptive term for a common finding in magnetic resonance imaging (mri). the talus is a common site for bone marrow edema on mri studies. It’s typically. Talus Bone Marrow Edema.
From journals.sagepub.com
MRI Tracking of the Effect of Bioabsorbable Pins on Bone Marrow Edema After Fixation of the Talus Bone Marrow Edema bone marrow edema is a potentially serious condition where fluid builds up inside your bone marrow (the spongy mass in the center of bones that. The cause is frequently traumatic because of its key location between the leg and the. bone marrow edema (bme) is one of the most common findings on magnetic resonance imaging (mri) after. . Talus Bone Marrow Edema.
From www.ajronline.org
Bone Marrow Edema Patterns in the Ankle and Hindfoot Distinguishing MRI Features AJR Talus Bone Marrow Edema It’s typically the response to an injury or a condition like osteoarthritis. Your doctor may call it bone marrow lesions. bone marrow edema (bme) is one of the most common findings on magnetic resonance imaging (mri) after. bone marrow edema (bme) is a descriptive term for a common finding in magnetic resonance imaging (mri). bone marrow edema. Talus Bone Marrow Edema.
From www.x-mol.com
Bone marrow edema of the medioplantar talar head is associated with severe ligamentous injury in Talus Bone Marrow Edema bone marrow edema is a potentially serious condition where fluid builds up inside your bone marrow (the spongy mass in the center of bones that. It’s typically the response to an injury or a condition like osteoarthritis. Your doctor may call it bone marrow lesions. bone marrow edema (bme) is a descriptive term for a common finding in. Talus Bone Marrow Edema.
From www.academia.edu
(PDF) Transient bone marrow edema of the talus MR imaging findings in five patients Leopoldo Talus Bone Marrow Edema bone marrow edema (bme) is a descriptive term for a common finding in magnetic resonance imaging (mri). the talus is a common site for bone marrow edema on mri studies. bone marrow edema is a potentially serious condition where fluid builds up inside your bone marrow (the spongy mass in the center of bones that. bone. Talus Bone Marrow Edema.
From radiologykey.com
The Foot and Ankle Radiology Key Talus Bone Marrow Edema bone marrow edema syndrome of the foot and ankle, also known as transient bone marrow edema syndrome of the foot. It’s typically the response to an injury or a condition like osteoarthritis. The cause is frequently traumatic because of its key location between the leg and the. bone marrow edema is a buildup of fluid in the bone. Talus Bone Marrow Edema.
From www.researchgate.net
(PDF) Relationship Between the Size of Bone Marrow Edema of the Talus and Ankle Pain Talus Bone Marrow Edema Your doctor may call it bone marrow lesions. bone marrow edema is a buildup of fluid in the bone marrow. bone marrow edema is when fluid builds up in your bone marrow. bone marrow edema is a potentially serious condition where fluid builds up inside your bone marrow (the spongy mass in the center of bones that.. Talus Bone Marrow Edema.
From radiologyassistant.nl
The Radiology Assistant Ankle MRI examination Talus Bone Marrow Edema The cause is frequently traumatic because of its key location between the leg and the. the talus is a common site for bone marrow edema on mri studies. bone marrow edema (bme) is one of the most common findings on magnetic resonance imaging (mri) after. bone marrow edema is a potentially serious condition where fluid builds up. Talus Bone Marrow Edema.
From www.researchgate.net
(PDF) The role of bone marrow edema on autologous matrix induced chondrogenesis for the Talus Bone Marrow Edema It’s typically the response to an injury or a condition like osteoarthritis. Your doctor may call it bone marrow lesions. the talus is a common site for bone marrow edema on mri studies. bone marrow edema is when fluid builds up in your bone marrow. bone marrow edema (bme) is one of the most common findings on. Talus Bone Marrow Edema.
From stanovich-spillers.blogspot.com
bone marrow edema sacroiliac joint treatment stanovichspillers Talus Bone Marrow Edema bone marrow edema is a buildup of fluid in the bone marrow. bone marrow edema (bme) is one of the most common findings on magnetic resonance imaging (mri) after. bone marrow edema is a potentially serious condition where fluid builds up inside your bone marrow (the spongy mass in the center of bones that. bone marrow. Talus Bone Marrow Edema.
From www.ajronline.org
Bone Marrow Edema Patterns in the Ankle and Hindfoot Distinguishing MRI Features AJR Talus Bone Marrow Edema the talus is a common site for bone marrow edema on mri studies. bone marrow edema is a buildup of fluid in the bone marrow. It’s typically the response to an injury or a condition like osteoarthritis. bone marrow edema (bme) is one of the most common findings on magnetic resonance imaging (mri) after. Your doctor may. Talus Bone Marrow Edema.
From footeducation.com
Lateral Talar Process Fractures FootEducation Talus Bone Marrow Edema bone marrow edema is a potentially serious condition where fluid builds up inside your bone marrow (the spongy mass in the center of bones that. bone marrow edema (bme) is a descriptive term for a common finding in magnetic resonance imaging (mri). It’s typically the response to an injury or a condition like osteoarthritis. bone marrow edema. Talus Bone Marrow Edema.
From sportaerztezeitung.com
Cartilage/bone lesions Sportärztezeitung Talus Bone Marrow Edema bone marrow edema (bme) is a descriptive term for a common finding in magnetic resonance imaging (mri). bone marrow edema syndrome of the foot and ankle, also known as transient bone marrow edema syndrome of the foot. the talus is a common site for bone marrow edema on mri studies. bone marrow edema is when fluid. Talus Bone Marrow Edema.
From www.researchgate.net
Drawings depict various causes of bone marrow edema in calcaneus.... Download Scientific Diagram Talus Bone Marrow Edema bone marrow edema syndrome of the foot and ankle, also known as transient bone marrow edema syndrome of the foot. The cause is frequently traumatic because of its key location between the leg and the. the talus is a common site for bone marrow edema on mri studies. Your doctor may call it bone marrow lesions. bone. Talus Bone Marrow Edema.
From www.vrogue.co
Bone Marrow Edema Pattern Radiology Key vrogue.co Talus Bone Marrow Edema the talus is a common site for bone marrow edema on mri studies. The cause is frequently traumatic because of its key location between the leg and the. bone marrow edema is a buildup of fluid in the bone marrow. bone marrow edema is when fluid builds up in your bone marrow. bone marrow edema (bme). Talus Bone Marrow Edema.
From louisvillebones.com
Bone Marrow Edema Understanding What It Is Orthopaedic Specialists Talus Bone Marrow Edema bone marrow edema is a buildup of fluid in the bone marrow. bone marrow edema is a potentially serious condition where fluid builds up inside your bone marrow (the spongy mass in the center of bones that. bone marrow edema (bme) is one of the most common findings on magnetic resonance imaging (mri) after. bone marrow. Talus Bone Marrow Edema.
From www.researchgate.net
Drawings depict various causes of bone marrow edema in talus. Lateral... Download Scientific Talus Bone Marrow Edema the talus is a common site for bone marrow edema on mri studies. bone marrow edema (bme) is a descriptive term for a common finding in magnetic resonance imaging (mri). It’s typically the response to an injury or a condition like osteoarthritis. bone marrow edema is a potentially serious condition where fluid builds up inside your bone. Talus Bone Marrow Edema.
From www.researchgate.net
resonance imaging shows bone marrow edema and bone cyst of the... Download Scientific Talus Bone Marrow Edema bone marrow edema is a potentially serious condition where fluid builds up inside your bone marrow (the spongy mass in the center of bones that. bone marrow edema is a buildup of fluid in the bone marrow. Your doctor may call it bone marrow lesions. bone marrow edema is when fluid builds up in your bone marrow.. Talus Bone Marrow Edema.
From www.researchgate.net
T2weighted fat suppressed MRI of the right ankle; diffuse bone marrow... Download Scientific Talus Bone Marrow Edema It’s typically the response to an injury or a condition like osteoarthritis. the talus is a common site for bone marrow edema on mri studies. The cause is frequently traumatic because of its key location between the leg and the. bone marrow edema (bme) is a descriptive term for a common finding in magnetic resonance imaging (mri). . Talus Bone Marrow Edema.
From www.ajronline.org
Bone Marrow Edema Patterns in the Ankle and Hindfoot Distinguishing MRI Features AJR Talus Bone Marrow Edema The cause is frequently traumatic because of its key location between the leg and the. It’s typically the response to an injury or a condition like osteoarthritis. bone marrow edema (bme) is a descriptive term for a common finding in magnetic resonance imaging (mri). Your doctor may call it bone marrow lesions. the talus is a common site. Talus Bone Marrow Edema.
From worldofmedicalsaviours.com
Bone Marrow Edema Symptom What It Means and How to Treat WOMS Talus Bone Marrow Edema bone marrow edema syndrome of the foot and ankle, also known as transient bone marrow edema syndrome of the foot. bone marrow edema (bme) is a descriptive term for a common finding in magnetic resonance imaging (mri). Your doctor may call it bone marrow lesions. bone marrow edema is a buildup of fluid in the bone marrow.. Talus Bone Marrow Edema.
From pacs.de
Bone marrow edema pacs Talus Bone Marrow Edema bone marrow edema (bme) is one of the most common findings on magnetic resonance imaging (mri) after. The cause is frequently traumatic because of its key location between the leg and the. bone marrow edema (bme) is a descriptive term for a common finding in magnetic resonance imaging (mri). bone marrow edema syndrome of the foot and. Talus Bone Marrow Edema.
From james-mccormack.com
Talus Fracture How to treat a Talus Fracture by a Foot Specialist Talus Bone Marrow Edema bone marrow edema is a potentially serious condition where fluid builds up inside your bone marrow (the spongy mass in the center of bones that. The cause is frequently traumatic because of its key location between the leg and the. bone marrow edema is a buildup of fluid in the bone marrow. bone marrow edema (bme) is. Talus Bone Marrow Edema.
From orthoinfo.aaos.org
Talus Fractures OrthoInfo AAOS Talus Bone Marrow Edema bone marrow edema is a potentially serious condition where fluid builds up inside your bone marrow (the spongy mass in the center of bones that. bone marrow edema (bme) is one of the most common findings on magnetic resonance imaging (mri) after. bone marrow edema syndrome of the foot and ankle, also known as transient bone marrow. Talus Bone Marrow Edema.
From steptohealth.com
Bone Marrow Edema All You Need to Know Step To Health Talus Bone Marrow Edema the talus is a common site for bone marrow edema on mri studies. Your doctor may call it bone marrow lesions. It’s typically the response to an injury or a condition like osteoarthritis. bone marrow edema is a potentially serious condition where fluid builds up inside your bone marrow (the spongy mass in the center of bones that.. Talus Bone Marrow Edema.