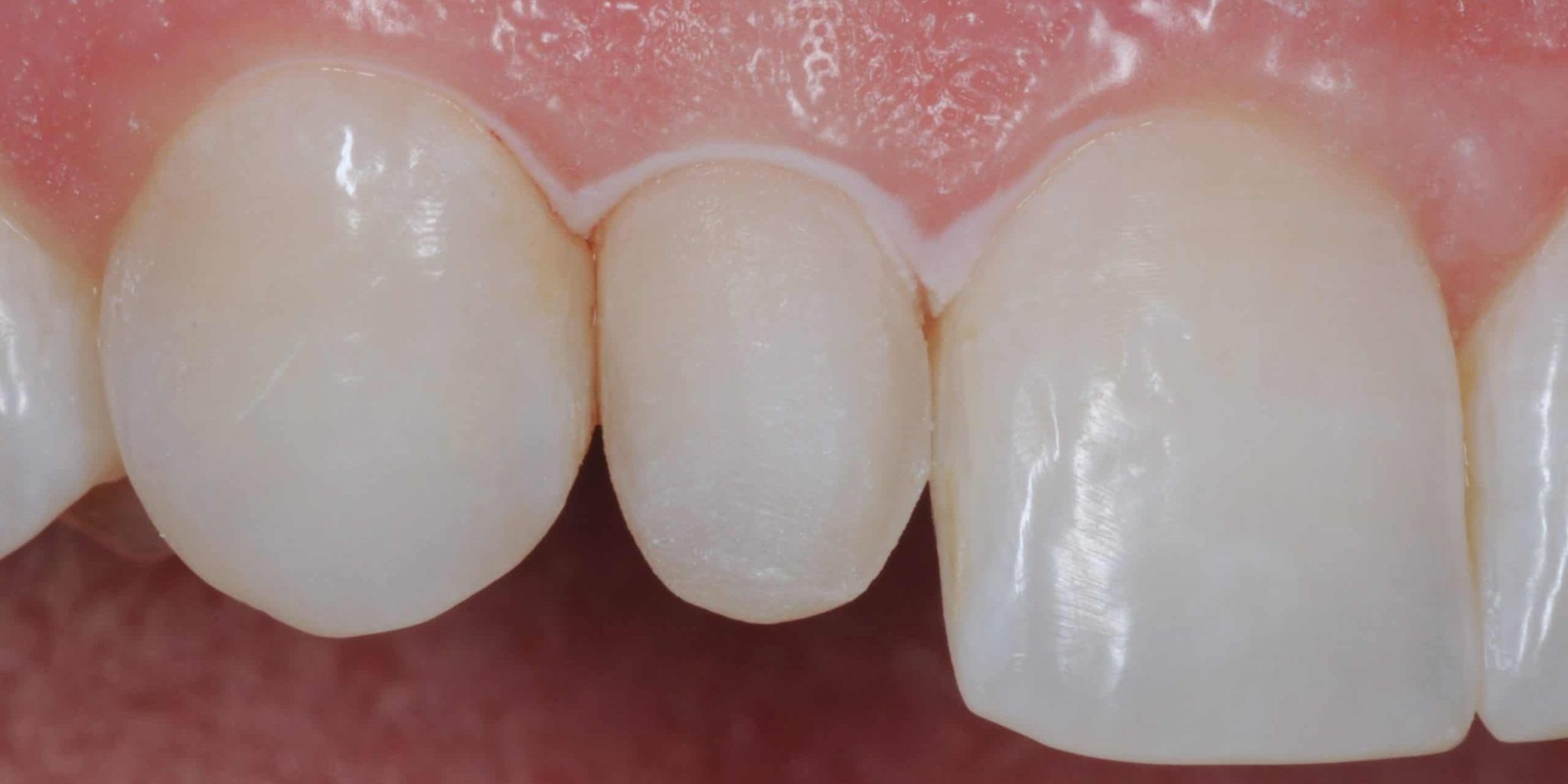
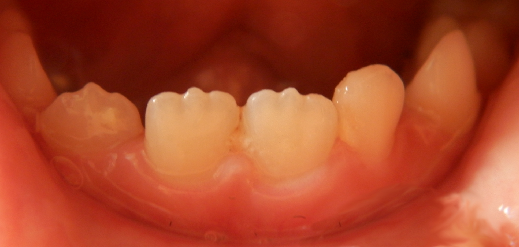
How To Fix A Peg Tooth . Treatment options for pegged teeth typically involve cosmetic dentistry procedures aimed at improving the appearance of the affected teeth. If you feel you are. Orthodontic treatment with braces can help align the peg laterals with the surrounding teeth. Sometimes, the structure of teeth doesn’t permit the same. Here we are explaining the basics of pegged teeth along with listing the possible treatment to reshape peg shaped teeth. Peg teeth can be as a result of poor dental hygiene. Today’s article aims to examine the causes and treatment options of peg teeth so you can achieve the smile of your dreams! Learn from experts how to address. Treatment options for peg laterals include braces, dental bonding, veneers, or dental implants. Discover the causes and treatment options for pegged teeth, a type of microdontia, in children. Dental bonding, veneers, and crowns are. — they can also adversely affect your dental health over time. Peg teeth are not only an aesthetic detraction — not everyone wants a vampire smile! Consulting with a dentist or orthodontist is important to determine the best treatment plan for peg laterals. But, with the appropriate treatment and supervised guidance, it is possible to restructure teeth for a better look.
from www.pinterest.com
Peg teeth are not only an aesthetic detraction — not everyone wants a vampire smile! Discover the causes and treatment options for pegged teeth, a type of microdontia, in children. Peg teeth can be as a result of poor dental hygiene. This is a developmental anomaly and can be resolved in many ways. Learn from experts how to address. — they can also adversely affect your dental health over time. If you feel you are. Treatment options for peg laterals include braces, dental bonding, veneers, or dental implants. Dental bonding, veneers, and crowns are. Sometimes, the structure of teeth doesn’t permit the same.
"Peg Lateral" fixed with bonding Orthodontics, Cosmetic dentistry, Treats
How To Fix A Peg Tooth Consulting with a dentist or orthodontist is important to determine the best treatment plan for peg laterals. Learn from experts how to address. Treatment options for pegged teeth typically involve cosmetic dentistry procedures aimed at improving the appearance of the affected teeth. Peg teeth are not only an aesthetic detraction — not everyone wants a vampire smile! If you feel you are. This is a developmental anomaly and can be resolved in many ways. Peg teeth can be as a result of poor dental hygiene. Discover the causes and treatment options for pegged teeth, a type of microdontia, in children. — they can also adversely affect your dental health over time. But, with the appropriate treatment and supervised guidance, it is possible to restructure teeth for a better look. Dental bonding, veneers, and crowns are. Treatment options for peg laterals include braces, dental bonding, veneers, or dental implants. Here we are explaining the basics of pegged teeth along with listing the possible treatment to reshape peg shaped teeth. Orthodontic treatment with braces can help align the peg laterals with the surrounding teeth. Today’s article aims to examine the causes and treatment options of peg teeth so you can achieve the smile of your dreams! Sometimes, the structure of teeth doesn’t permit the same.
From www.pinterest.com
Bonding on the "peg laterals" next to the front teeth Teeth bonding How To Fix A Peg Tooth Sometimes, the structure of teeth doesn’t permit the same. Peg teeth are not only an aesthetic detraction — not everyone wants a vampire smile! Peg teeth can be as a result of poor dental hygiene. Here we are explaining the basics of pegged teeth along with listing the possible treatment to reshape peg shaped teeth. — they can also adversely. How To Fix A Peg Tooth.
From bmxracingthailand.com
How To Fix Peg Lateral Teeth? New How To Fix A Peg Tooth Treatment options for peg laterals include braces, dental bonding, veneers, or dental implants. Discover the causes and treatment options for pegged teeth, a type of microdontia, in children. Peg teeth can be as a result of poor dental hygiene. Learn from experts how to address. This is a developmental anomaly and can be resolved in many ways. Dental bonding, veneers,. How To Fix A Peg Tooth.
From www.pinterest.com
Before and after photo fixing peg laterail incisor with bonding How To Fix A Peg Tooth Sometimes, the structure of teeth doesn’t permit the same. This is a developmental anomaly and can be resolved in many ways. Orthodontic treatment with braces can help align the peg laterals with the surrounding teeth. Treatment options for pegged teeth typically involve cosmetic dentistry procedures aimed at improving the appearance of the affected teeth. Dental bonding, veneers, and crowns are.. How To Fix A Peg Tooth.
From loudounorthodontics.com
Peg Teeth Causes, Symptoms, and Treatment How To Fix A Peg Tooth Today’s article aims to examine the causes and treatment options of peg teeth so you can achieve the smile of your dreams! If you feel you are. Peg teeth can be as a result of poor dental hygiene. Treatment options for pegged teeth typically involve cosmetic dentistry procedures aimed at improving the appearance of the affected teeth. Dental bonding, veneers,. How To Fix A Peg Tooth.
From www.reddit.com
I still need to get my peg laterals fixed after treatment (small teeth How To Fix A Peg Tooth This is a developmental anomaly and can be resolved in many ways. Learn from experts how to address. Treatment options for peg laterals include braces, dental bonding, veneers, or dental implants. Orthodontic treatment with braces can help align the peg laterals with the surrounding teeth. Today’s article aims to examine the causes and treatment options of peg teeth so you. How To Fix A Peg Tooth.
From www.youtube.com
Braces on 18 year old patient Peg Tooth Tooth Time Family How To Fix A Peg Tooth Today’s article aims to examine the causes and treatment options of peg teeth so you can achieve the smile of your dreams! Here we are explaining the basics of pegged teeth along with listing the possible treatment to reshape peg shaped teeth. Learn from experts how to address. Peg teeth can be as a result of poor dental hygiene. Dental. How To Fix A Peg Tooth.
From www.youtube.com
HOW TO Bond AllCeramic Crown for Peg Lateral Tooth 10 YouTube How To Fix A Peg Tooth Dental bonding, veneers, and crowns are. Here we are explaining the basics of pegged teeth along with listing the possible treatment to reshape peg shaped teeth. Sometimes, the structure of teeth doesn’t permit the same. Treatment options for pegged teeth typically involve cosmetic dentistry procedures aimed at improving the appearance of the affected teeth. This is a developmental anomaly and. How To Fix A Peg Tooth.
From mavink.com
Peg Lateral Bonding How To Fix A Peg Tooth — they can also adversely affect your dental health over time. If you feel you are. Learn from experts how to address. Peg teeth can be as a result of poor dental hygiene. Orthodontic treatment with braces can help align the peg laterals with the surrounding teeth. Consulting with a dentist or orthodontist is important to determine the best treatment. How To Fix A Peg Tooth.
From www.tauntondental.ca
Treatment Options For PegShaped Teeth How To Fix A Peg Tooth Today’s article aims to examine the causes and treatment options of peg teeth so you can achieve the smile of your dreams! Discover the causes and treatment options for pegged teeth, a type of microdontia, in children. Treatment options for pegged teeth typically involve cosmetic dentistry procedures aimed at improving the appearance of the affected teeth. Dental bonding, veneers, and. How To Fix A Peg Tooth.
From www.acfdga.com
5 Dental Procedures to Repair Your Cracked or Broken Tooth How To Fix A Peg Tooth Dental bonding, veneers, and crowns are. Sometimes, the structure of teeth doesn’t permit the same. Treatment options for peg laterals include braces, dental bonding, veneers, or dental implants. Peg teeth are not only an aesthetic detraction — not everyone wants a vampire smile! But, with the appropriate treatment and supervised guidance, it is possible to restructure teeth for a better. How To Fix A Peg Tooth.
From www.leedervilledental.com.au
Direct Composite Veneer On Peg Shaped Tooth Leederville Dental How To Fix A Peg Tooth Peg teeth can be as a result of poor dental hygiene. Consulting with a dentist or orthodontist is important to determine the best treatment plan for peg laterals. Today’s article aims to examine the causes and treatment options of peg teeth so you can achieve the smile of your dreams! Treatment options for pegged teeth typically involve cosmetic dentistry procedures. How To Fix A Peg Tooth.
From loudounorthodontics.com
Peg Teeth Causes, Symptoms, and Treatment How To Fix A Peg Tooth Treatment options for peg laterals include braces, dental bonding, veneers, or dental implants. But, with the appropriate treatment and supervised guidance, it is possible to restructure teeth for a better look. Peg teeth are not only an aesthetic detraction — not everyone wants a vampire smile! — they can also adversely affect your dental health over time. If you feel. How To Fix A Peg Tooth.
From repairious.com
How to Fix Peg Lateral Teeth Apply These 07 Steps! (2024) How To Fix A Peg Tooth Treatment options for peg laterals include braces, dental bonding, veneers, or dental implants. Learn from experts how to address. Here we are explaining the basics of pegged teeth along with listing the possible treatment to reshape peg shaped teeth. Discover the causes and treatment options for pegged teeth, a type of microdontia, in children. — they can also adversely affect. How To Fix A Peg Tooth.
From www.pinterest.com
"Peg Lateral" fixed with bonding Orthodontics, Cosmetic dentistry, Treats How To Fix A Peg Tooth Here we are explaining the basics of pegged teeth along with listing the possible treatment to reshape peg shaped teeth. Today’s article aims to examine the causes and treatment options of peg teeth so you can achieve the smile of your dreams! This is a developmental anomaly and can be resolved in many ways. Peg teeth are not only an. How To Fix A Peg Tooth.
From smilestories.co
Luke and his peg tooth Smile Stories How To Fix A Peg Tooth Today’s article aims to examine the causes and treatment options of peg teeth so you can achieve the smile of your dreams! But, with the appropriate treatment and supervised guidance, it is possible to restructure teeth for a better look. Consulting with a dentist or orthodontist is important to determine the best treatment plan for peg laterals. Peg teeth can. How To Fix A Peg Tooth.
From www.youtube.com
Small (AKA Peg) Lateral Incisor Treatment by Composite Build Up How To Fix A Peg Tooth Consulting with a dentist or orthodontist is important to determine the best treatment plan for peg laterals. This is a developmental anomaly and can be resolved in many ways. Learn from experts how to address. Peg teeth can be as a result of poor dental hygiene. — they can also adversely affect your dental health over time. Dental bonding, veneers,. How To Fix A Peg Tooth.
From www.southviewdentistrycharlotte.com
Case Study How to Fix Small Teeth With Peg Lateral Treatment How To Fix A Peg Tooth Peg teeth can be as a result of poor dental hygiene. Treatment options for pegged teeth typically involve cosmetic dentistry procedures aimed at improving the appearance of the affected teeth. Treatment options for peg laterals include braces, dental bonding, veneers, or dental implants. Sometimes, the structure of teeth doesn’t permit the same. If you feel you are. Consulting with a. How To Fix A Peg Tooth.
From www.southviewdentistrycharlotte.com
Case Study How to Fix Small Teeth With Peg Lateral Treatment How To Fix A Peg Tooth If you feel you are. — they can also adversely affect your dental health over time. Treatment options for peg laterals include braces, dental bonding, veneers, or dental implants. Today’s article aims to examine the causes and treatment options of peg teeth so you can achieve the smile of your dreams! Here we are explaining the basics of pegged teeth. How To Fix A Peg Tooth.
From www.youtube.com
Dental Braces Step by Step Tooth Time Family Dentistry New How To Fix A Peg Tooth Consulting with a dentist or orthodontist is important to determine the best treatment plan for peg laterals. Sometimes, the structure of teeth doesn’t permit the same. Orthodontic treatment with braces can help align the peg laterals with the surrounding teeth. Today’s article aims to examine the causes and treatment options of peg teeth so you can achieve the smile of. How To Fix A Peg Tooth.
From www.youtube.com
Correcting Peg Laterals A Time Saving Technique YouTube How To Fix A Peg Tooth Consulting with a dentist or orthodontist is important to determine the best treatment plan for peg laterals. Today’s article aims to examine the causes and treatment options of peg teeth so you can achieve the smile of your dreams! Here we are explaining the basics of pegged teeth along with listing the possible treatment to reshape peg shaped teeth. Treatment. How To Fix A Peg Tooth.
From www.speareducation.com
A Direct Resin Approach to Restoring a Peg Lateral Spear Education How To Fix A Peg Tooth Discover the causes and treatment options for pegged teeth, a type of microdontia, in children. Sometimes, the structure of teeth doesn’t permit the same. Peg teeth are not only an aesthetic detraction — not everyone wants a vampire smile! Learn from experts how to address. This is a developmental anomaly and can be resolved in many ways. Consulting with a. How To Fix A Peg Tooth.
From railroaddentalassociates.com
What Are Peg Teeth And How Do I Fix Them? How To Fix A Peg Tooth Discover the causes and treatment options for pegged teeth, a type of microdontia, in children. Learn from experts how to address. Peg teeth can be as a result of poor dental hygiene. But, with the appropriate treatment and supervised guidance, it is possible to restructure teeth for a better look. Dental bonding, veneers, and crowns are. This is a developmental. How To Fix A Peg Tooth.
From wilkinsonorthodontics.com.au
What is "Peg Tooth"? Wilkinson Orthodontics Gold Coast Orthodontist How To Fix A Peg Tooth Peg teeth are not only an aesthetic detraction — not everyone wants a vampire smile! — they can also adversely affect your dental health over time. Orthodontic treatment with braces can help align the peg laterals with the surrounding teeth. Treatment options for peg laterals include braces, dental bonding, veneers, or dental implants. If you feel you are. Treatment options. How To Fix A Peg Tooth.
From www.styleitaliano.org
Extreme Peg Lateral Direct Restoration How To Fix A Peg Tooth Treatment options for peg laterals include braces, dental bonding, veneers, or dental implants. If you feel you are. Dental bonding, veneers, and crowns are. — they can also adversely affect your dental health over time. Learn from experts how to address. Treatment options for pegged teeth typically involve cosmetic dentistry procedures aimed at improving the appearance of the affected teeth.. How To Fix A Peg Tooth.
From www.pinterest.com
Braces Peg Laterals before and after Peg, Braces How To Fix A Peg Tooth Consulting with a dentist or orthodontist is important to determine the best treatment plan for peg laterals. — they can also adversely affect your dental health over time. If you feel you are. This is a developmental anomaly and can be resolved in many ways. Peg teeth can be as a result of poor dental hygiene. Here we are explaining. How To Fix A Peg Tooth.
From www.styleitaliano.org
Extreme Peg Lateral Direct Restoration How To Fix A Peg Tooth If you feel you are. — they can also adversely affect your dental health over time. But, with the appropriate treatment and supervised guidance, it is possible to restructure teeth for a better look. Treatment options for pegged teeth typically involve cosmetic dentistry procedures aimed at improving the appearance of the affected teeth. Peg teeth can be as a result. How To Fix A Peg Tooth.
From www.youtube.com
Peg Lateral Restoration Treatment Planning Dental Online Training How To Fix A Peg Tooth Sometimes, the structure of teeth doesn’t permit the same. Learn from experts how to address. Discover the causes and treatment options for pegged teeth, a type of microdontia, in children. Here we are explaining the basics of pegged teeth along with listing the possible treatment to reshape peg shaped teeth. Peg teeth are not only an aesthetic detraction — not. How To Fix A Peg Tooth.
From www.acefamilydental.com
Peg Laterals What They Are And How To Treat Them Dentist Norcross How To Fix A Peg Tooth Today’s article aims to examine the causes and treatment options of peg teeth so you can achieve the smile of your dreams! But, with the appropriate treatment and supervised guidance, it is possible to restructure teeth for a better look. Dental bonding, veneers, and crowns are. Peg teeth can be as a result of poor dental hygiene. Orthodontic treatment with. How To Fix A Peg Tooth.
From id-z.net
How to Fix Peg Lateral Teeth How To Fix A Peg Tooth Discover the causes and treatment options for pegged teeth, a type of microdontia, in children. Treatment options for pegged teeth typically involve cosmetic dentistry procedures aimed at improving the appearance of the affected teeth. Dental bonding, veneers, and crowns are. Orthodontic treatment with braces can help align the peg laterals with the surrounding teeth. Peg teeth are not only an. How To Fix A Peg Tooth.
From marylebonesmileclinic.co.uk
Veneers for Peg Laterals Are Veneers Right for Peg Teeth? How To Fix A Peg Tooth Peg teeth can be as a result of poor dental hygiene. This is a developmental anomaly and can be resolved in many ways. Treatment options for peg laterals include braces, dental bonding, veneers, or dental implants. Consulting with a dentist or orthodontist is important to determine the best treatment plan for peg laterals. Sometimes, the structure of teeth doesn’t permit. How To Fix A Peg Tooth.
From www.robstownsmiles.com
5 Ways To Repair or Replace Teeth Robstown Smiles How To Fix A Peg Tooth Peg teeth are not only an aesthetic detraction — not everyone wants a vampire smile! Consulting with a dentist or orthodontist is important to determine the best treatment plan for peg laterals. If you feel you are. Treatment options for peg laterals include braces, dental bonding, veneers, or dental implants. — they can also adversely affect your dental health over. How To Fix A Peg Tooth.
From bmxracingthailand.com
How To Fix Peg Lateral Teeth? New How To Fix A Peg Tooth Sometimes, the structure of teeth doesn’t permit the same. If you feel you are. This is a developmental anomaly and can be resolved in many ways. But, with the appropriate treatment and supervised guidance, it is possible to restructure teeth for a better look. Treatment options for pegged teeth typically involve cosmetic dentistry procedures aimed at improving the appearance of. How To Fix A Peg Tooth.
From www.youtube.com
How to fix Peg Laterals Dr. Patel explains YouTube How To Fix A Peg Tooth Dental bonding, veneers, and crowns are. But, with the appropriate treatment and supervised guidance, it is possible to restructure teeth for a better look. Consulting with a dentist or orthodontist is important to determine the best treatment plan for peg laterals. Sometimes, the structure of teeth doesn’t permit the same. If you feel you are. Today’s article aims to examine. How To Fix A Peg Tooth.
From www.smilecliniq.com
Peg Teeth Causes, Treatment, and Symptoms Smile Cliniq How To Fix A Peg Tooth But, with the appropriate treatment and supervised guidance, it is possible to restructure teeth for a better look. Learn from experts how to address. Here we are explaining the basics of pegged teeth along with listing the possible treatment to reshape peg shaped teeth. Sometimes, the structure of teeth doesn’t permit the same. Today’s article aims to examine the causes. How To Fix A Peg Tooth.
From patuxentorthodontics.com
Peg Teeth Causes, Symptoms, and Treatment How To Fix A Peg Tooth Peg teeth can be as a result of poor dental hygiene. Discover the causes and treatment options for pegged teeth, a type of microdontia, in children. Sometimes, the structure of teeth doesn’t permit the same. Treatment options for pegged teeth typically involve cosmetic dentistry procedures aimed at improving the appearance of the affected teeth. Orthodontic treatment with braces can help. How To Fix A Peg Tooth.