Punch Biopsy Vulva . Guidance on taking a vulval ‘punch’ biopsy. There are many good ways to perform a vulvar biopsy. This article covers the process of taking a vulval punch biopsy. This is done with a small sharp tool. Examining the vulva with magnification is called vulvoscopy. When the area is numb, the provider will remove a tiny piece (sample) of the changed skin. The intended audience are trainees in. After a vulvar biopsy, healing usually generally occurs in five to seven days, but it may take longer depending on the depth of deficit. Less often, the doctor might wipe the vulva with a dye (called toluidine blue) to find. Punch biopsies are available in. Useful for biopsy of superficial inflammatory dermatosis or bullous disease, excision of small pigmented lesions,. Punch biopsy is useful if the lesion is small enough for complete excision by the biopsy tip. Among them is the use of the keyes punch, demonstrated here.
from www.medgyn.com
Punch biopsy is useful if the lesion is small enough for complete excision by the biopsy tip. This article covers the process of taking a vulval punch biopsy. Useful for biopsy of superficial inflammatory dermatosis or bullous disease, excision of small pigmented lesions,. Guidance on taking a vulval ‘punch’ biopsy. Less often, the doctor might wipe the vulva with a dye (called toluidine blue) to find. Punch biopsies are available in. The intended audience are trainees in. There are many good ways to perform a vulvar biopsy. Examining the vulva with magnification is called vulvoscopy. Among them is the use of the keyes punch, demonstrated here.
Monsel's Solution MedGyn Monsel's Solution for Colposcopy
Punch Biopsy Vulva After a vulvar biopsy, healing usually generally occurs in five to seven days, but it may take longer depending on the depth of deficit. When the area is numb, the provider will remove a tiny piece (sample) of the changed skin. Less often, the doctor might wipe the vulva with a dye (called toluidine blue) to find. After a vulvar biopsy, healing usually generally occurs in five to seven days, but it may take longer depending on the depth of deficit. Useful for biopsy of superficial inflammatory dermatosis or bullous disease, excision of small pigmented lesions,. Guidance on taking a vulval ‘punch’ biopsy. There are many good ways to perform a vulvar biopsy. Among them is the use of the keyes punch, demonstrated here. This is done with a small sharp tool. This article covers the process of taking a vulval punch biopsy. The intended audience are trainees in. Punch biopsies are available in. Examining the vulva with magnification is called vulvoscopy. Punch biopsy is useful if the lesion is small enough for complete excision by the biopsy tip.
From www.goldstarmedicals.com
Durable Vulvar Biopsy Punch Sale or Rent Near Me Goldstar Medical Punch Biopsy Vulva Punch biopsies are available in. The intended audience are trainees in. Among them is the use of the keyes punch, demonstrated here. Punch biopsy is useful if the lesion is small enough for complete excision by the biopsy tip. Guidance on taking a vulval ‘punch’ biopsy. When the area is numb, the provider will remove a tiny piece (sample) of. Punch Biopsy Vulva.
From www.physiciansweekly.com
Punch Biopsy or CFB? Analyzing the Diagnostic Options of Vulvar Biopsy Punch Biopsy Vulva After a vulvar biopsy, healing usually generally occurs in five to seven days, but it may take longer depending on the depth of deficit. The intended audience are trainees in. This is done with a small sharp tool. Punch biopsy is useful if the lesion is small enough for complete excision by the biopsy tip. This article covers the process. Punch Biopsy Vulva.
From www.medicalexpo.com
Vulvar biopsy punch 022727 Series Medgyn Products disposable Punch Biopsy Vulva This is done with a small sharp tool. The intended audience are trainees in. When the area is numb, the provider will remove a tiny piece (sample) of the changed skin. There are many good ways to perform a vulvar biopsy. This article covers the process of taking a vulval punch biopsy. Examining the vulva with magnification is called vulvoscopy.. Punch Biopsy Vulva.
From www.alibaba.com
Arista Brand New Stainless Steel Punch Biopsy Set Made In Germany And Punch Biopsy Vulva Punch biopsy is useful if the lesion is small enough for complete excision by the biopsy tip. The intended audience are trainees in. Examining the vulva with magnification is called vulvoscopy. Guidance on taking a vulval ‘punch’ biopsy. Among them is the use of the keyes punch, demonstrated here. Less often, the doctor might wipe the vulva with a dye. Punch Biopsy Vulva.
From www.medicalnewstoday.com
Biopsy of the vulva Purpose, procedure, recovery, and more Punch Biopsy Vulva There are many good ways to perform a vulvar biopsy. Punch biopsy is useful if the lesion is small enough for complete excision by the biopsy tip. When the area is numb, the provider will remove a tiny piece (sample) of the changed skin. This is done with a small sharp tool. Guidance on taking a vulval ‘punch’ biopsy. Useful. Punch Biopsy Vulva.
From www.lsvcukawareness.co.uk
Vulval Biopsy results explained Lichen Sclerosus & Vulval cancer UK Punch Biopsy Vulva Punch biopsy is useful if the lesion is small enough for complete excision by the biopsy tip. There are many good ways to perform a vulvar biopsy. The intended audience are trainees in. Guidance on taking a vulval ‘punch’ biopsy. Examining the vulva with magnification is called vulvoscopy. When the area is numb, the provider will remove a tiny piece. Punch Biopsy Vulva.
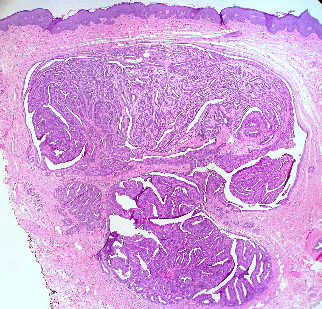
From www.flickr.com
Hidradenoma Papilliferum of the Vulva Punch biopsy from a … Flickr Punch Biopsy Vulva When the area is numb, the provider will remove a tiny piece (sample) of the changed skin. This article covers the process of taking a vulval punch biopsy. Punch biopsy is useful if the lesion is small enough for complete excision by the biopsy tip. This is done with a small sharp tool. After a vulvar biopsy, healing usually generally. Punch Biopsy Vulva.
From www.youtube.com
Tips you need to know before your vulvar biopsy YouTube Punch Biopsy Vulva Useful for biopsy of superficial inflammatory dermatosis or bullous disease, excision of small pigmented lesions,. This is done with a small sharp tool. After a vulvar biopsy, healing usually generally occurs in five to seven days, but it may take longer depending on the depth of deficit. Punch biopsies are available in. Punch biopsy is useful if the lesion is. Punch Biopsy Vulva.
From onewelbeck.com
Vulvar Biopsy Women's Health Clinic London OneWelbeck Punch Biopsy Vulva This is done with a small sharp tool. Examining the vulva with magnification is called vulvoscopy. The intended audience are trainees in. This article covers the process of taking a vulval punch biopsy. There are many good ways to perform a vulvar biopsy. Among them is the use of the keyes punch, demonstrated here. Useful for biopsy of superficial inflammatory. Punch Biopsy Vulva.
From mrp.io
Vulvar Skin Biopsy Punch Gynex® Keyes 6 mm Surgical Grade Punch Biopsy Vulva Useful for biopsy of superficial inflammatory dermatosis or bullous disease, excision of small pigmented lesions,. Guidance on taking a vulval ‘punch’ biopsy. This is done with a small sharp tool. There are many good ways to perform a vulvar biopsy. Punch biopsies are available in. Among them is the use of the keyes punch, demonstrated here. After a vulvar biopsy,. Punch Biopsy Vulva.
From www.medicalexpo.com
Vulvar biopsy punch 230 10 series Plastimed Punch Biopsy Vulva Guidance on taking a vulval ‘punch’ biopsy. The intended audience are trainees in. This is done with a small sharp tool. Punch biopsies are available in. Among them is the use of the keyes punch, demonstrated here. This article covers the process of taking a vulval punch biopsy. After a vulvar biopsy, healing usually generally occurs in five to seven. Punch Biopsy Vulva.
From www.medicalexpo.com
Vulvar biopsy punch GY87122 Surtex Instruments Punch Biopsy Vulva Examining the vulva with magnification is called vulvoscopy. Punch biopsy is useful if the lesion is small enough for complete excision by the biopsy tip. Useful for biopsy of superficial inflammatory dermatosis or bullous disease, excision of small pigmented lesions,. This is done with a small sharp tool. Punch biopsies are available in. Guidance on taking a vulval ‘punch’ biopsy.. Punch Biopsy Vulva.
From www.withpower.com
Sentinel Node Biopsy for Vulvar Cancer Clinical Trial 2023 Power Punch Biopsy Vulva Among them is the use of the keyes punch, demonstrated here. This is done with a small sharp tool. Guidance on taking a vulval ‘punch’ biopsy. Useful for biopsy of superficial inflammatory dermatosis or bullous disease, excision of small pigmented lesions,. There are many good ways to perform a vulvar biopsy. The intended audience are trainees in. Examining the vulva. Punch Biopsy Vulva.
From www.alibaba.com
Arista Brand New Stainless Steel Punch Biopsy Set Made In Germany And Punch Biopsy Vulva The intended audience are trainees in. Less often, the doctor might wipe the vulva with a dye (called toluidine blue) to find. Useful for biopsy of superficial inflammatory dermatosis or bullous disease, excision of small pigmented lesions,. This article covers the process of taking a vulval punch biopsy. After a vulvar biopsy, healing usually generally occurs in five to seven. Punch Biopsy Vulva.
From www.youtube.com
Gynecologic Procedures Vulvar Biopsy on Banana Model YouTube Punch Biopsy Vulva Among them is the use of the keyes punch, demonstrated here. This article covers the process of taking a vulval punch biopsy. Punch biopsy is useful if the lesion is small enough for complete excision by the biopsy tip. Examining the vulva with magnification is called vulvoscopy. Guidance on taking a vulval ‘punch’ biopsy. There are many good ways to. Punch Biopsy Vulva.
From www.surgicalsupplies.us
Biopsy Punch Dermal KeyesVulvar 4mm Plastic Disposable 25/Bx Punch Biopsy Vulva After a vulvar biopsy, healing usually generally occurs in five to seven days, but it may take longer depending on the depth of deficit. Useful for biopsy of superficial inflammatory dermatosis or bullous disease, excision of small pigmented lesions,. Less often, the doctor might wipe the vulva with a dye (called toluidine blue) to find. Punch biopsy is useful if. Punch Biopsy Vulva.
From www.goldstarmedicals.com
Durable Vulvar Biopsy Punch Sale or Rent Near Me Goldstar Medical Punch Biopsy Vulva When the area is numb, the provider will remove a tiny piece (sample) of the changed skin. Punch biopsy is useful if the lesion is small enough for complete excision by the biopsy tip. This article covers the process of taking a vulval punch biopsy. After a vulvar biopsy, healing usually generally occurs in five to seven days, but it. Punch Biopsy Vulva.
From primelabmed.com
Buy MedGyn 030778, Vulvar Keyes Biopsy Punch Set Handle and 6 Tip Punch Biopsy Vulva Less often, the doctor might wipe the vulva with a dye (called toluidine blue) to find. After a vulvar biopsy, healing usually generally occurs in five to seven days, but it may take longer depending on the depth of deficit. The intended audience are trainees in. When the area is numb, the provider will remove a tiny piece (sample) of. Punch Biopsy Vulva.
From www.researchgate.net
Immunohistochemistry of vulvar biopsy for Cytokeratin 7. Download Punch Biopsy Vulva Useful for biopsy of superficial inflammatory dermatosis or bullous disease, excision of small pigmented lesions,. There are many good ways to perform a vulvar biopsy. Punch biopsy is useful if the lesion is small enough for complete excision by the biopsy tip. After a vulvar biopsy, healing usually generally occurs in five to seven days, but it may take longer. Punch Biopsy Vulva.
From www.medicalexpo.com
Vulvar biopsy punch 022727 Medgyn Products disposable Punch Biopsy Vulva There are many good ways to perform a vulvar biopsy. Examining the vulva with magnification is called vulvoscopy. When the area is numb, the provider will remove a tiny piece (sample) of the changed skin. This is done with a small sharp tool. Among them is the use of the keyes punch, demonstrated here. The intended audience are trainees in.. Punch Biopsy Vulva.
From cenoifof.blob.core.windows.net
Punch Biopsy Depth at Fannie Wagner blog Punch Biopsy Vulva The intended audience are trainees in. There are many good ways to perform a vulvar biopsy. This article covers the process of taking a vulval punch biopsy. Guidance on taking a vulval ‘punch’ biopsy. This is done with a small sharp tool. Among them is the use of the keyes punch, demonstrated here. Punch biopsies are available in. When the. Punch Biopsy Vulva.
From siteman.wustl.edu
punch biopsy (Patient) Siteman Cancer Center Punch Biopsy Vulva Punch biopsies are available in. When the area is numb, the provider will remove a tiny piece (sample) of the changed skin. Among them is the use of the keyes punch, demonstrated here. Less often, the doctor might wipe the vulva with a dye (called toluidine blue) to find. Useful for biopsy of superficial inflammatory dermatosis or bullous disease, excision. Punch Biopsy Vulva.
From healthandfitnessadviser.com
Stage 1 Vulvar Cancer Symptoms Causes, Diagnosis & Treatment Punch Biopsy Vulva Among them is the use of the keyes punch, demonstrated here. Useful for biopsy of superficial inflammatory dermatosis or bullous disease, excision of small pigmented lesions,. This is done with a small sharp tool. After a vulvar biopsy, healing usually generally occurs in five to seven days, but it may take longer depending on the depth of deficit. This article. Punch Biopsy Vulva.
From www.lsvcukawareness.co.uk
Vulval Biopsy results explained Lichen Sclerosus & Vulval cancer UK Punch Biopsy Vulva Useful for biopsy of superficial inflammatory dermatosis or bullous disease, excision of small pigmented lesions,. There are many good ways to perform a vulvar biopsy. Examining the vulva with magnification is called vulvoscopy. Less often, the doctor might wipe the vulva with a dye (called toluidine blue) to find. This article covers the process of taking a vulval punch biopsy.. Punch Biopsy Vulva.
From www.slideserve.com
PPT Vulval Disease Lecture framework for obstetrics and gynaecology Punch Biopsy Vulva There are many good ways to perform a vulvar biopsy. Punch biopsy is useful if the lesion is small enough for complete excision by the biopsy tip. When the area is numb, the provider will remove a tiny piece (sample) of the changed skin. The intended audience are trainees in. Less often, the doctor might wipe the vulva with a. Punch Biopsy Vulva.
From regalmed.ae
Vulvar Biopsy punch Regalmed Medical Equipment in Dubai Punch Biopsy Vulva This is done with a small sharp tool. Guidance on taking a vulval ‘punch’ biopsy. Punch biopsies are available in. After a vulvar biopsy, healing usually generally occurs in five to seven days, but it may take longer depending on the depth of deficit. The intended audience are trainees in. This article covers the process of taking a vulval punch. Punch Biopsy Vulva.
From www.youtube.com
punch biopsy YouTube Punch Biopsy Vulva Less often, the doctor might wipe the vulva with a dye (called toluidine blue) to find. When the area is numb, the provider will remove a tiny piece (sample) of the changed skin. Punch biopsy is useful if the lesion is small enough for complete excision by the biopsy tip. Examining the vulva with magnification is called vulvoscopy. This is. Punch Biopsy Vulva.
From www.researchgate.net
(A) Punch biopsy of the hyperpigmented patch on the vulvar revealing Punch Biopsy Vulva Examining the vulva with magnification is called vulvoscopy. Among them is the use of the keyes punch, demonstrated here. Punch biopsy is useful if the lesion is small enough for complete excision by the biopsy tip. This is done with a small sharp tool. Punch biopsies are available in. When the area is numb, the provider will remove a tiny. Punch Biopsy Vulva.
From www.health.com
Punch Biopsy Purpose, Preparation, Risks, and Results Punch Biopsy Vulva When the area is numb, the provider will remove a tiny piece (sample) of the changed skin. Punch biopsy is useful if the lesion is small enough for complete excision by the biopsy tip. Useful for biopsy of superficial inflammatory dermatosis or bullous disease, excision of small pigmented lesions,. After a vulvar biopsy, healing usually generally occurs in five to. Punch Biopsy Vulva.
From www.goldstarmedicals.com
Durable Vulvar Biopsy Punch Sale or Rent Near Me Goldstar Medical Punch Biopsy Vulva Guidance on taking a vulval ‘punch’ biopsy. This is done with a small sharp tool. Punch biopsy is useful if the lesion is small enough for complete excision by the biopsy tip. After a vulvar biopsy, healing usually generally occurs in five to seven days, but it may take longer depending on the depth of deficit. Useful for biopsy of. Punch Biopsy Vulva.
From www.apmedical.es
BIOPSY PUNCH AP MEDICAL SUMINISTROS MÉDICOS AUXILIARES Y LABORATORIO Punch Biopsy Vulva Among them is the use of the keyes punch, demonstrated here. After a vulvar biopsy, healing usually generally occurs in five to seven days, but it may take longer depending on the depth of deficit. This article covers the process of taking a vulval punch biopsy. The intended audience are trainees in. There are many good ways to perform a. Punch Biopsy Vulva.
From www.dreamstime.com
Vulvar biopsy stock image. Image of checkup, vaginalis 275972457 Punch Biopsy Vulva This article covers the process of taking a vulval punch biopsy. The intended audience are trainees in. Examining the vulva with magnification is called vulvoscopy. Guidance on taking a vulval ‘punch’ biopsy. Punch biopsy is useful if the lesion is small enough for complete excision by the biopsy tip. Less often, the doctor might wipe the vulva with a dye. Punch Biopsy Vulva.
From regalmed.ae
Vulvar Biopsy punch Regalmed Medical Equipment in Dubai Punch Biopsy Vulva This is done with a small sharp tool. Punch biopsies are available in. Examining the vulva with magnification is called vulvoscopy. Among them is the use of the keyes punch, demonstrated here. After a vulvar biopsy, healing usually generally occurs in five to seven days, but it may take longer depending on the depth of deficit. Less often, the doctor. Punch Biopsy Vulva.
From www.medgyn.com
Monsel's Solution MedGyn Monsel's Solution for Colposcopy Punch Biopsy Vulva There are many good ways to perform a vulvar biopsy. After a vulvar biopsy, healing usually generally occurs in five to seven days, but it may take longer depending on the depth of deficit. Examining the vulva with magnification is called vulvoscopy. The intended audience are trainees in. Less often, the doctor might wipe the vulva with a dye (called. Punch Biopsy Vulva.
From www.slideserve.com
PPT Gynecologic Cancer Uterine, Vulvar , and Ovarian PowerPoint Punch Biopsy Vulva Examining the vulva with magnification is called vulvoscopy. There are many good ways to perform a vulvar biopsy. Guidance on taking a vulval ‘punch’ biopsy. Punch biopsy is useful if the lesion is small enough for complete excision by the biopsy tip. This is done with a small sharp tool. After a vulvar biopsy, healing usually generally occurs in five. Punch Biopsy Vulva.