Cut Down Vascular Access . It is mostly done in cases of emergency where rapid access is required for intravenous (iv) fluid therapy. Venous cutdown is an alternative to venipuncture in critically ill patients with difficult vascular access. A cutdown procedure gives the physician access to the saphenous or antecubital vein. Learn how to perform it, what equipment is needed, and what complications may arise. Venous cutdown is an emergency procedure where a physician surgically exposes the vein and inserts a cannula into the vein under direct vision. Learn about the technique of venous cutdown, which involves making an incision in the saphenous vein to insert a catheter for. A prospective study comparing surgical cutdown and percutaneous closure devices for site management of large bore. The venous cutdown technique is a surgical procedure designed to gain venous access when relatively less invasive. Learn about different procedures to gain vascular access for iv fluid and drugs, such as peripheral vein, central venous, midline, arterial, and intraosseous catheterization.
from www.tamingthesru.com
A cutdown procedure gives the physician access to the saphenous or antecubital vein. It is mostly done in cases of emergency where rapid access is required for intravenous (iv) fluid therapy. Learn about different procedures to gain vascular access for iv fluid and drugs, such as peripheral vein, central venous, midline, arterial, and intraosseous catheterization. The venous cutdown technique is a surgical procedure designed to gain venous access when relatively less invasive. A prospective study comparing surgical cutdown and percutaneous closure devices for site management of large bore. Learn about the technique of venous cutdown, which involves making an incision in the saphenous vein to insert a catheter for. Learn how to perform it, what equipment is needed, and what complications may arise. Venous cutdown is an emergency procedure where a physician surgically exposes the vein and inserts a cannula into the vein under direct vision. Venous cutdown is an alternative to venipuncture in critically ill patients with difficult vascular access.
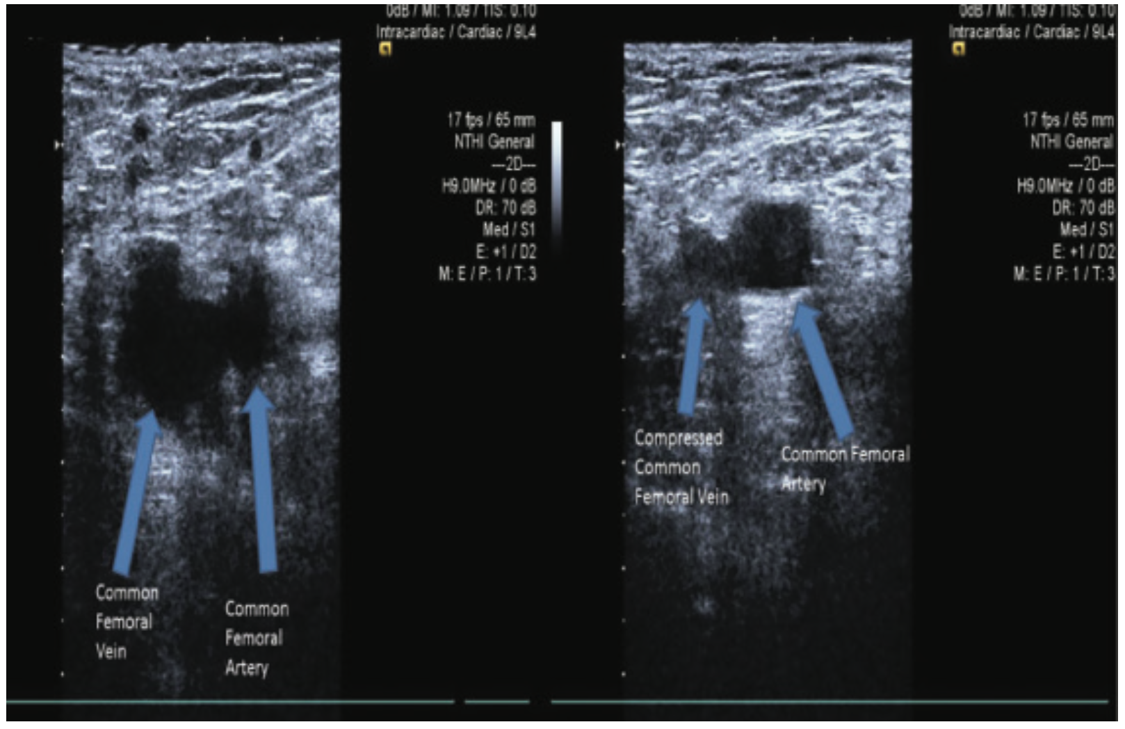
The Anatomy of Femoral Vascular Access — Taming the SRU
Cut Down Vascular Access Learn about the technique of venous cutdown, which involves making an incision in the saphenous vein to insert a catheter for. A cutdown procedure gives the physician access to the saphenous or antecubital vein. A prospective study comparing surgical cutdown and percutaneous closure devices for site management of large bore. Learn about the technique of venous cutdown, which involves making an incision in the saphenous vein to insert a catheter for. Learn about different procedures to gain vascular access for iv fluid and drugs, such as peripheral vein, central venous, midline, arterial, and intraosseous catheterization. Venous cutdown is an emergency procedure where a physician surgically exposes the vein and inserts a cannula into the vein under direct vision. It is mostly done in cases of emergency where rapid access is required for intravenous (iv) fluid therapy. The venous cutdown technique is a surgical procedure designed to gain venous access when relatively less invasive. Learn how to perform it, what equipment is needed, and what complications may arise. Venous cutdown is an alternative to venipuncture in critically ill patients with difficult vascular access.
From advancedvascularcenters.com
vascularaccessmanagement1 Advanced Vascular Centers Cut Down Vascular Access A cutdown procedure gives the physician access to the saphenous or antecubital vein. Venous cutdown is an emergency procedure where a physician surgically exposes the vein and inserts a cannula into the vein under direct vision. It is mostly done in cases of emergency where rapid access is required for intravenous (iv) fluid therapy. The venous cutdown technique is a. Cut Down Vascular Access.
From www.uclahealth.org
Vascular Access Procedures Interventional Radiology UCLA Health Cut Down Vascular Access Learn about different procedures to gain vascular access for iv fluid and drugs, such as peripheral vein, central venous, midline, arterial, and intraosseous catheterization. Venous cutdown is an emergency procedure where a physician surgically exposes the vein and inserts a cannula into the vein under direct vision. Learn how to perform it, what equipment is needed, and what complications may. Cut Down Vascular Access.
From evtoday.com
Techniques of Endovascular Aortoiliac Repair Using an Iliac Branch Cut Down Vascular Access Learn how to perform it, what equipment is needed, and what complications may arise. The venous cutdown technique is a surgical procedure designed to gain venous access when relatively less invasive. Venous cutdown is an emergency procedure where a physician surgically exposes the vein and inserts a cannula into the vein under direct vision. Learn about the technique of venous. Cut Down Vascular Access.
From www.medicaltubingandextrusion.com
This insideout vascular access device simplifies placing catheters Cut Down Vascular Access Learn about different procedures to gain vascular access for iv fluid and drugs, such as peripheral vein, central venous, midline, arterial, and intraosseous catheterization. It is mostly done in cases of emergency where rapid access is required for intravenous (iv) fluid therapy. Learn how to perform it, what equipment is needed, and what complications may arise. Venous cutdown is an. Cut Down Vascular Access.
From www.vascularinfo.ie
Vascular Access For Haemodialysis Vascular Info Cut Down Vascular Access The venous cutdown technique is a surgical procedure designed to gain venous access when relatively less invasive. It is mostly done in cases of emergency where rapid access is required for intravenous (iv) fluid therapy. A prospective study comparing surgical cutdown and percutaneous closure devices for site management of large bore. Learn about the technique of venous cutdown, which involves. Cut Down Vascular Access.
From www.youtube.com
VASCULAR ACCESS YouTube Cut Down Vascular Access It is mostly done in cases of emergency where rapid access is required for intravenous (iv) fluid therapy. Venous cutdown is an emergency procedure where a physician surgically exposes the vein and inserts a cannula into the vein under direct vision. A prospective study comparing surgical cutdown and percutaneous closure devices for site management of large bore. The venous cutdown. Cut Down Vascular Access.
From www.bbraun.ca
Vascular Access & IV Systems Cut Down Vascular Access The venous cutdown technique is a surgical procedure designed to gain venous access when relatively less invasive. A cutdown procedure gives the physician access to the saphenous or antecubital vein. Venous cutdown is an alternative to venipuncture in critically ill patients with difficult vascular access. It is mostly done in cases of emergency where rapid access is required for intravenous. Cut Down Vascular Access.
From www.hmpgloballearningnetwork.com
UltrasoundGuided Vascular Access Routes An Overview Cut Down Vascular Access A cutdown procedure gives the physician access to the saphenous or antecubital vein. The venous cutdown technique is a surgical procedure designed to gain venous access when relatively less invasive. Learn about the technique of venous cutdown, which involves making an incision in the saphenous vein to insert a catheter for. A prospective study comparing surgical cutdown and percutaneous closure. Cut Down Vascular Access.
From www.renalfellow.org
Troubleshooting Two Vascular Access Cases Early Cannulation Graft and Cut Down Vascular Access A prospective study comparing surgical cutdown and percutaneous closure devices for site management of large bore. Learn about different procedures to gain vascular access for iv fluid and drugs, such as peripheral vein, central venous, midline, arterial, and intraosseous catheterization. It is mostly done in cases of emergency where rapid access is required for intravenous (iv) fluid therapy. Venous cutdown. Cut Down Vascular Access.
From www.slideshare.net
Vascular Access •Long term vascular Cut Down Vascular Access It is mostly done in cases of emergency where rapid access is required for intravenous (iv) fluid therapy. Learn about different procedures to gain vascular access for iv fluid and drugs, such as peripheral vein, central venous, midline, arterial, and intraosseous catheterization. Venous cutdown is an alternative to venipuncture in critically ill patients with difficult vascular access. Venous cutdown is. Cut Down Vascular Access.
From galtmedical.com
Top 5 User Considerations When Designing Vascular Access Products Cut Down Vascular Access It is mostly done in cases of emergency where rapid access is required for intravenous (iv) fluid therapy. The venous cutdown technique is a surgical procedure designed to gain venous access when relatively less invasive. Venous cutdown is an emergency procedure where a physician surgically exposes the vein and inserts a cannula into the vein under direct vision. A cutdown. Cut Down Vascular Access.
From www.cirsinc.com
Vascular Access Training Phantom CIRS Cut Down Vascular Access Learn about different procedures to gain vascular access for iv fluid and drugs, such as peripheral vein, central venous, midline, arterial, and intraosseous catheterization. A cutdown procedure gives the physician access to the saphenous or antecubital vein. A prospective study comparing surgical cutdown and percutaneous closure devices for site management of large bore. It is mostly done in cases of. Cut Down Vascular Access.
From gmka.org
Venous Access Trauma Surgery GMKA Global Medical Knowledge Alliance Cut Down Vascular Access Venous cutdown is an emergency procedure where a physician surgically exposes the vein and inserts a cannula into the vein under direct vision. It is mostly done in cases of emergency where rapid access is required for intravenous (iv) fluid therapy. The venous cutdown technique is a surgical procedure designed to gain venous access when relatively less invasive. Learn about. Cut Down Vascular Access.
From www.medlineuniversity.com
Vascular Access Management Peripheral IV Therapy Best Practice for Cut Down Vascular Access Learn about the technique of venous cutdown, which involves making an incision in the saphenous vein to insert a catheter for. Learn about different procedures to gain vascular access for iv fluid and drugs, such as peripheral vein, central venous, midline, arterial, and intraosseous catheterization. A prospective study comparing surgical cutdown and percutaneous closure devices for site management of large. Cut Down Vascular Access.
From www.researchgate.net
(PDF) Vascular Access Cannulation and Care A Nursing Best Practice Cut Down Vascular Access Learn about different procedures to gain vascular access for iv fluid and drugs, such as peripheral vein, central venous, midline, arterial, and intraosseous catheterization. Venous cutdown is an emergency procedure where a physician surgically exposes the vein and inserts a cannula into the vein under direct vision. Learn about the technique of venous cutdown, which involves making an incision in. Cut Down Vascular Access.
From www.tamingthesru.com
The Anatomy of Femoral Vascular Access — Taming the SRU Cut Down Vascular Access Learn how to perform it, what equipment is needed, and what complications may arise. The venous cutdown technique is a surgical procedure designed to gain venous access when relatively less invasive. A cutdown procedure gives the physician access to the saphenous or antecubital vein. Learn about the technique of venous cutdown, which involves making an incision in the saphenous vein. Cut Down Vascular Access.
From aneskey.com
Peripheral Venous Cutdown—Saphenous Vein at Ankle Anesthesia Key Cut Down Vascular Access Learn about the technique of venous cutdown, which involves making an incision in the saphenous vein to insert a catheter for. It is mostly done in cases of emergency where rapid access is required for intravenous (iv) fluid therapy. A prospective study comparing surgical cutdown and percutaneous closure devices for site management of large bore. Learn about different procedures to. Cut Down Vascular Access.
From becomenurse.com
How To A Vascular Access Nurse? Nurse Cut Down Vascular Access A cutdown procedure gives the physician access to the saphenous or antecubital vein. Learn about different procedures to gain vascular access for iv fluid and drugs, such as peripheral vein, central venous, midline, arterial, and intraosseous catheterization. It is mostly done in cases of emergency where rapid access is required for intravenous (iv) fluid therapy. Learn how to perform it,. Cut Down Vascular Access.
From www.careandwear.com
What is Vascular Access? Care+Wear Cut Down Vascular Access Learn about different procedures to gain vascular access for iv fluid and drugs, such as peripheral vein, central venous, midline, arterial, and intraosseous catheterization. A prospective study comparing surgical cutdown and percutaneous closure devices for site management of large bore. Venous cutdown is an alternative to venipuncture in critically ill patients with difficult vascular access. Learn how to perform it,. Cut Down Vascular Access.
From www.vascularinfo.ie
Vascular Access For Haemodialysis Vascular Info Cut Down Vascular Access Learn about the technique of venous cutdown, which involves making an incision in the saphenous vein to insert a catheter for. A cutdown procedure gives the physician access to the saphenous or antecubital vein. The venous cutdown technique is a surgical procedure designed to gain venous access when relatively less invasive. Venous cutdown is an alternative to venipuncture in critically. Cut Down Vascular Access.
From www.renalfellow.org
How to Examine a Vascular Access Part 2 The Physical Exam Renal Cut Down Vascular Access A cutdown procedure gives the physician access to the saphenous or antecubital vein. Learn how to perform it, what equipment is needed, and what complications may arise. Learn about different procedures to gain vascular access for iv fluid and drugs, such as peripheral vein, central venous, midline, arterial, and intraosseous catheterization. Learn about the technique of venous cutdown, which involves. Cut Down Vascular Access.
From www.renalfellow.org
How to Examine a Vascular Access Part 2 The Physical Exam Renal Cut Down Vascular Access The venous cutdown technique is a surgical procedure designed to gain venous access when relatively less invasive. Venous cutdown is an emergency procedure where a physician surgically exposes the vein and inserts a cannula into the vein under direct vision. Venous cutdown is an alternative to venipuncture in critically ill patients with difficult vascular access. A cutdown procedure gives the. Cut Down Vascular Access.
From mungfali.com
Peripheral Venous Access Cut Down Vascular Access A cutdown procedure gives the physician access to the saphenous or antecubital vein. Venous cutdown is an emergency procedure where a physician surgically exposes the vein and inserts a cannula into the vein under direct vision. Learn about different procedures to gain vascular access for iv fluid and drugs, such as peripheral vein, central venous, midline, arterial, and intraosseous catheterization.. Cut Down Vascular Access.
From www.vascularinfo.ie
Vascular Access For Haemodialysis Vascular Info Cut Down Vascular Access Learn about different procedures to gain vascular access for iv fluid and drugs, such as peripheral vein, central venous, midline, arterial, and intraosseous catheterization. Learn about the technique of venous cutdown, which involves making an incision in the saphenous vein to insert a catheter for. Venous cutdown is an emergency procedure where a physician surgically exposes the vein and inserts. Cut Down Vascular Access.
From www.slideshare.net
Precautions for Central Venous Catheters in Neonates Cut Down Vascular Access Learn about the technique of venous cutdown, which involves making an incision in the saphenous vein to insert a catheter for. It is mostly done in cases of emergency where rapid access is required for intravenous (iv) fluid therapy. A cutdown procedure gives the physician access to the saphenous or antecubital vein. Venous cutdown is an emergency procedure where a. Cut Down Vascular Access.
From illness.com
Vascular Access Device Cut Down Vascular Access Venous cutdown is an emergency procedure where a physician surgically exposes the vein and inserts a cannula into the vein under direct vision. It is mostly done in cases of emergency where rapid access is required for intravenous (iv) fluid therapy. A prospective study comparing surgical cutdown and percutaneous closure devices for site management of large bore. Learn how to. Cut Down Vascular Access.
From www.jvascsurg.org
of open and endovascular repair for ruptured and nonruptured Cut Down Vascular Access A cutdown procedure gives the physician access to the saphenous or antecubital vein. Venous cutdown is an emergency procedure where a physician surgically exposes the vein and inserts a cannula into the vein under direct vision. Learn how to perform it, what equipment is needed, and what complications may arise. Learn about different procedures to gain vascular access for iv. Cut Down Vascular Access.
From www.instechlabs.com
Guide to Vascular Access Buttons™ Cut Down Vascular Access Learn how to perform it, what equipment is needed, and what complications may arise. Venous cutdown is an emergency procedure where a physician surgically exposes the vein and inserts a cannula into the vein under direct vision. Learn about different procedures to gain vascular access for iv fluid and drugs, such as peripheral vein, central venous, midline, arterial, and intraosseous. Cut Down Vascular Access.
From www.medlineuniversity.com
Vascular Access Health Solution Medline Cut Down Vascular Access It is mostly done in cases of emergency where rapid access is required for intravenous (iv) fluid therapy. Venous cutdown is an alternative to venipuncture in critically ill patients with difficult vascular access. A prospective study comparing surgical cutdown and percutaneous closure devices for site management of large bore. Learn how to perform it, what equipment is needed, and what. Cut Down Vascular Access.
From www.pfmmedicalusa.com
Vascular Access PFM Medical, Inc. Cut Down Vascular Access Learn about different procedures to gain vascular access for iv fluid and drugs, such as peripheral vein, central venous, midline, arterial, and intraosseous catheterization. It is mostly done in cases of emergency where rapid access is required for intravenous (iv) fluid therapy. Learn about the technique of venous cutdown, which involves making an incision in the saphenous vein to insert. Cut Down Vascular Access.
From medicaldialogues.in
Better Vascular Access Management Key to prevent and control infections Cut Down Vascular Access A cutdown procedure gives the physician access to the saphenous or antecubital vein. The venous cutdown technique is a surgical procedure designed to gain venous access when relatively less invasive. Venous cutdown is an alternative to venipuncture in critically ill patients with difficult vascular access. Learn about different procedures to gain vascular access for iv fluid and drugs, such as. Cut Down Vascular Access.
From www.mdpi.com
Diagnostics Free FullText UltrasoundGuided Femoral Vascular Cut Down Vascular Access It is mostly done in cases of emergency where rapid access is required for intravenous (iv) fluid therapy. A prospective study comparing surgical cutdown and percutaneous closure devices for site management of large bore. Learn about different procedures to gain vascular access for iv fluid and drugs, such as peripheral vein, central venous, midline, arterial, and intraosseous catheterization. A cutdown. Cut Down Vascular Access.
From www.medlineuniversity.com
Vascular Access Understanding Intraosseous Medline Cut Down Vascular Access A prospective study comparing surgical cutdown and percutaneous closure devices for site management of large bore. Learn about different procedures to gain vascular access for iv fluid and drugs, such as peripheral vein, central venous, midline, arterial, and intraosseous catheterization. The venous cutdown technique is a surgical procedure designed to gain venous access when relatively less invasive. Learn about the. Cut Down Vascular Access.
From www.pinterest.com
Completeguidevascular Access Nurse Study Guide &daily Etsy Cut Down Vascular Access Learn about different procedures to gain vascular access for iv fluid and drugs, such as peripheral vein, central venous, midline, arterial, and intraosseous catheterization. A cutdown procedure gives the physician access to the saphenous or antecubital vein. Venous cutdown is an emergency procedure where a physician surgically exposes the vein and inserts a cannula into the vein under direct vision.. Cut Down Vascular Access.
From www.icrjournal.com
Largebore Vascular Closure New Devices and Techniques ICR Journal Cut Down Vascular Access Learn how to perform it, what equipment is needed, and what complications may arise. Venous cutdown is an alternative to venipuncture in critically ill patients with difficult vascular access. The venous cutdown technique is a surgical procedure designed to gain venous access when relatively less invasive. Learn about different procedures to gain vascular access for iv fluid and drugs, such. Cut Down Vascular Access.