End To End Bite Vs Edge To Edge . In a normal bite, the top front teeth close down in front of the bottom front teeth, not directly on top of them. Edge to edge (end to end) relationship (upper and lower anterior teeth meet in a straight line, no overjet, no overbite) and open bite (no overbite, often associated with tongue thrust) fit into those cases. Edge to edge bite means that the upper teeth meet and lower teeth with their incisal edges. Invisalign can correct an edge to edge bite. One of the advantages of invisalign is it's ability to correct a. This type of biting position occurs when the cusps or biting edges of. The edge of the top teeth meets.
from www.youtube.com
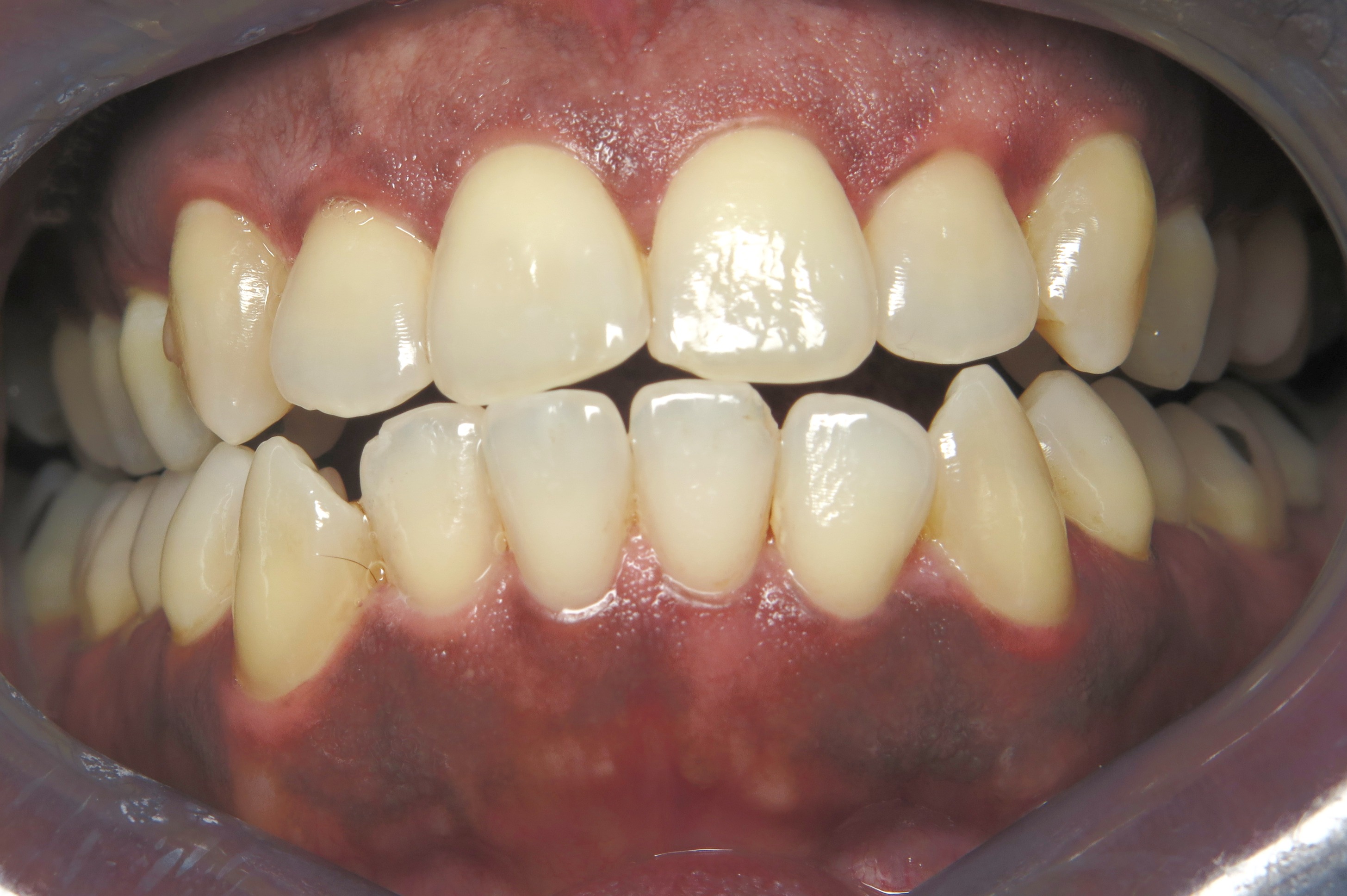
Edge to edge bite means that the upper teeth meet and lower teeth with their incisal edges. In a normal bite, the top front teeth close down in front of the bottom front teeth, not directly on top of them. The edge of the top teeth meets. This type of biting position occurs when the cusps or biting edges of. Invisalign can correct an edge to edge bite. One of the advantages of invisalign is it's ability to correct a. Edge to edge (end to end) relationship (upper and lower anterior teeth meet in a straight line, no overjet, no overbite) and open bite (no overbite, often associated with tongue thrust) fit into those cases.
Anterior crossbite, Edge to edge bite, Midline shift, Crowding
End To End Bite Vs Edge To Edge In a normal bite, the top front teeth close down in front of the bottom front teeth, not directly on top of them. Edge to edge (end to end) relationship (upper and lower anterior teeth meet in a straight line, no overjet, no overbite) and open bite (no overbite, often associated with tongue thrust) fit into those cases. The edge of the top teeth meets. In a normal bite, the top front teeth close down in front of the bottom front teeth, not directly on top of them. Invisalign can correct an edge to edge bite. This type of biting position occurs when the cusps or biting edges of. One of the advantages of invisalign is it's ability to correct a. Edge to edge bite means that the upper teeth meet and lower teeth with their incisal edges.
From theartofbraces.com
Female Teen Patient with an EdgetoEdge Bite and Tongue Thrust Habit End To End Bite Vs Edge To Edge Invisalign can correct an edge to edge bite. In a normal bite, the top front teeth close down in front of the bottom front teeth, not directly on top of them. Edge to edge (end to end) relationship (upper and lower anterior teeth meet in a straight line, no overjet, no overbite) and open bite (no overbite, often associated with. End To End Bite Vs Edge To Edge.
From www.shutterstock.com
Edge Edge Bite Occlusion Front Teeth Foto Stok 2041939151 Shutterstock End To End Bite Vs Edge To Edge This type of biting position occurs when the cusps or biting edges of. Edge to edge bite means that the upper teeth meet and lower teeth with their incisal edges. In a normal bite, the top front teeth close down in front of the bottom front teeth, not directly on top of them. Invisalign can correct an edge to edge. End To End Bite Vs Edge To Edge.
From www.youtube.com
Anterior crossbite, Edge to edge bite, Midline shift, Crowding End To End Bite Vs Edge To Edge Edge to edge bite means that the upper teeth meet and lower teeth with their incisal edges. This type of biting position occurs when the cusps or biting edges of. The edge of the top teeth meets. Edge to edge (end to end) relationship (upper and lower anterior teeth meet in a straight line, no overjet, no overbite) and open. End To End Bite Vs Edge To Edge.
From dentagama.com
What is edgetoedge bite News Dentagama End To End Bite Vs Edge To Edge One of the advantages of invisalign is it's ability to correct a. Edge to edge (end to end) relationship (upper and lower anterior teeth meet in a straight line, no overjet, no overbite) and open bite (no overbite, often associated with tongue thrust) fit into those cases. Invisalign can correct an edge to edge bite. In a normal bite, the. End To End Bite Vs Edge To Edge.
From leeannbrady.com
Edge to Edge Position Lee Ann Brady DMD End To End Bite Vs Edge To Edge Invisalign can correct an edge to edge bite. Edge to edge (end to end) relationship (upper and lower anterior teeth meet in a straight line, no overjet, no overbite) and open bite (no overbite, often associated with tongue thrust) fit into those cases. In a normal bite, the top front teeth close down in front of the bottom front teeth,. End To End Bite Vs Edge To Edge.
From ask.modifiyegaraj.com
Edge To Edge Bite Asking List End To End Bite Vs Edge To Edge One of the advantages of invisalign is it's ability to correct a. In a normal bite, the top front teeth close down in front of the bottom front teeth, not directly on top of them. Edge to edge (end to end) relationship (upper and lower anterior teeth meet in a straight line, no overjet, no overbite) and open bite (no. End To End Bite Vs Edge To Edge.
From orthomasterclass.com
Class III, Edgetoedge Bite, Anterior Crossbite, Minimal Overbite End To End Bite Vs Edge To Edge Edge to edge bite means that the upper teeth meet and lower teeth with their incisal edges. In a normal bite, the top front teeth close down in front of the bottom front teeth, not directly on top of them. Invisalign can correct an edge to edge bite. The edge of the top teeth meets. Edge to edge (end to. End To End Bite Vs Edge To Edge.
From www.teethtalkgirl.com
What is EdgetoEdge Bite Causes & 4 Treatments End To End Bite Vs Edge To Edge One of the advantages of invisalign is it's ability to correct a. In a normal bite, the top front teeth close down in front of the bottom front teeth, not directly on top of them. Edge to edge bite means that the upper teeth meet and lower teeth with their incisal edges. This type of biting position occurs when the. End To End Bite Vs Edge To Edge.
From www.reddit.com
Fixing my edge to edge bite r/Invisalign End To End Bite Vs Edge To Edge One of the advantages of invisalign is it's ability to correct a. The edge of the top teeth meets. Invisalign can correct an edge to edge bite. In a normal bite, the top front teeth close down in front of the bottom front teeth, not directly on top of them. Edge to edge bite means that the upper teeth meet. End To End Bite Vs Edge To Edge.
From www.woodhilldentalspecialties.com
What's a Crossbite? 3 Case Studies Show How We Can Help • Woodhill End To End Bite Vs Edge To Edge One of the advantages of invisalign is it's ability to correct a. Edge to edge bite means that the upper teeth meet and lower teeth with their incisal edges. This type of biting position occurs when the cusps or biting edges of. In a normal bite, the top front teeth close down in front of the bottom front teeth, not. End To End Bite Vs Edge To Edge.
From manhattanbridgeortho.com
Phase 1 Manhattan Bridge Orthodontics End To End Bite Vs Edge To Edge One of the advantages of invisalign is it's ability to correct a. Edge to edge (end to end) relationship (upper and lower anterior teeth meet in a straight line, no overjet, no overbite) and open bite (no overbite, often associated with tongue thrust) fit into those cases. Edge to edge bite means that the upper teeth meet and lower teeth. End To End Bite Vs Edge To Edge.
From ask.modifiyegaraj.com
Edge To Edge Bite Asking List End To End Bite Vs Edge To Edge In a normal bite, the top front teeth close down in front of the bottom front teeth, not directly on top of them. Invisalign can correct an edge to edge bite. One of the advantages of invisalign is it's ability to correct a. The edge of the top teeth meets. Edge to edge (end to end) relationship (upper and lower. End To End Bite Vs Edge To Edge.
From www.facialart.com
OrthodonticRelated Procedures OrthodonticRelated Procedures End To End Bite Vs Edge To Edge In a normal bite, the top front teeth close down in front of the bottom front teeth, not directly on top of them. The edge of the top teeth meets. This type of biting position occurs when the cusps or biting edges of. Edge to edge bite means that the upper teeth meet and lower teeth with their incisal edges.. End To End Bite Vs Edge To Edge.
From dentagama.com
What is edgetoedge bite News Dentagama End To End Bite Vs Edge To Edge In a normal bite, the top front teeth close down in front of the bottom front teeth, not directly on top of them. Edge to edge bite means that the upper teeth meet and lower teeth with their incisal edges. The edge of the top teeth meets. Edge to edge (end to end) relationship (upper and lower anterior teeth meet. End To End Bite Vs Edge To Edge.
From www.youtube.com
Edge to edge bite, Rotations, Spacing, Diastema YouTube End To End Bite Vs Edge To Edge In a normal bite, the top front teeth close down in front of the bottom front teeth, not directly on top of them. Edge to edge bite means that the upper teeth meet and lower teeth with their incisal edges. This type of biting position occurs when the cusps or biting edges of. The edge of the top teeth meets.. End To End Bite Vs Edge To Edge.
From www.smilecareplymouth.co.uk
What is the edgetoedge bite? Smile Care End To End Bite Vs Edge To Edge Edge to edge bite means that the upper teeth meet and lower teeth with their incisal edges. In a normal bite, the top front teeth close down in front of the bottom front teeth, not directly on top of them. This type of biting position occurs when the cusps or biting edges of. One of the advantages of invisalign is. End To End Bite Vs Edge To Edge.
From www.cureus.com
Multidisciplinary Approach to Treatment of Midline Diastema With Edge End To End Bite Vs Edge To Edge Edge to edge (end to end) relationship (upper and lower anterior teeth meet in a straight line, no overjet, no overbite) and open bite (no overbite, often associated with tongue thrust) fit into those cases. The edge of the top teeth meets. In a normal bite, the top front teeth close down in front of the bottom front teeth, not. End To End Bite Vs Edge To Edge.
From www.orofacialmyotherapy.com
Myofunctional TherapistWestchestermyofunctional therapy End To End Bite Vs Edge To Edge In a normal bite, the top front teeth close down in front of the bottom front teeth, not directly on top of them. This type of biting position occurs when the cusps or biting edges of. One of the advantages of invisalign is it's ability to correct a. Edge to edge bite means that the upper teeth meet and lower. End To End Bite Vs Edge To Edge.
From dentagama.com
What is edgetoedge bite News Dentagama End To End Bite Vs Edge To Edge This type of biting position occurs when the cusps or biting edges of. Invisalign can correct an edge to edge bite. Edge to edge bite means that the upper teeth meet and lower teeth with their incisal edges. One of the advantages of invisalign is it's ability to correct a. In a normal bite, the top front teeth close down. End To End Bite Vs Edge To Edge.
From alignerco.com
ALIGNERCO Correct EdgetoEdge Bite for a Harmonious Smile End To End Bite Vs Edge To Edge Edge to edge bite means that the upper teeth meet and lower teeth with their incisal edges. Edge to edge (end to end) relationship (upper and lower anterior teeth meet in a straight line, no overjet, no overbite) and open bite (no overbite, often associated with tongue thrust) fit into those cases. In a normal bite, the top front teeth. End To End Bite Vs Edge To Edge.
From animalia-life.club
End To End Bite Teeth End To End Bite Vs Edge To Edge Edge to edge bite means that the upper teeth meet and lower teeth with their incisal edges. One of the advantages of invisalign is it's ability to correct a. The edge of the top teeth meets. Edge to edge (end to end) relationship (upper and lower anterior teeth meet in a straight line, no overjet, no overbite) and open bite. End To End Bite Vs Edge To Edge.
From www.youtube.com
Anterior crossbite, Edge to edge bite, Narrow arches, Midline shift End To End Bite Vs Edge To Edge This type of biting position occurs when the cusps or biting edges of. Edge to edge bite means that the upper teeth meet and lower teeth with their incisal edges. Invisalign can correct an edge to edge bite. In a normal bite, the top front teeth close down in front of the bottom front teeth, not directly on top of. End To End Bite Vs Edge To Edge.
From www.reddit.com
Clincheck results showing edge to edge bite r/Invisalign End To End Bite Vs Edge To Edge Invisalign can correct an edge to edge bite. Edge to edge (end to end) relationship (upper and lower anterior teeth meet in a straight line, no overjet, no overbite) and open bite (no overbite, often associated with tongue thrust) fit into those cases. One of the advantages of invisalign is it's ability to correct a. Edge to edge bite means. End To End Bite Vs Edge To Edge.
From www.youtube.com
Edge to edge bite, Open bite, Asymmetric arches, Maxillary midline End To End Bite Vs Edge To Edge Edge to edge (end to end) relationship (upper and lower anterior teeth meet in a straight line, no overjet, no overbite) and open bite (no overbite, often associated with tongue thrust) fit into those cases. This type of biting position occurs when the cusps or biting edges of. Edge to edge bite means that the upper teeth meet and lower. End To End Bite Vs Edge To Edge.
From www.researchgate.net
Pretreatment edgetoedge bite (T1 EtoE). (A) T1 EtoE intraoral End To End Bite Vs Edge To Edge Edge to edge (end to end) relationship (upper and lower anterior teeth meet in a straight line, no overjet, no overbite) and open bite (no overbite, often associated with tongue thrust) fit into those cases. In a normal bite, the top front teeth close down in front of the bottom front teeth, not directly on top of them. Edge to. End To End Bite Vs Edge To Edge.
From theartofbraces.com
Female Teen Patient with an EdgetoEdge Bite and Tongue Thrust Habit End To End Bite Vs Edge To Edge Edge to edge (end to end) relationship (upper and lower anterior teeth meet in a straight line, no overjet, no overbite) and open bite (no overbite, often associated with tongue thrust) fit into those cases. Invisalign can correct an edge to edge bite. In a normal bite, the top front teeth close down in front of the bottom front teeth,. End To End Bite Vs Edge To Edge.
From bestsmile.com
Endtoend bite treatment & causes bestsmile End To End Bite Vs Edge To Edge Invisalign can correct an edge to edge bite. Edge to edge bite means that the upper teeth meet and lower teeth with their incisal edges. This type of biting position occurs when the cusps or biting edges of. In a normal bite, the top front teeth close down in front of the bottom front teeth, not directly on top of. End To End Bite Vs Edge To Edge.
From www.reddit.com
Elastics + Edge to Edge bite Invisalign End To End Bite Vs Edge To Edge This type of biting position occurs when the cusps or biting edges of. One of the advantages of invisalign is it's ability to correct a. The edge of the top teeth meets. Edge to edge (end to end) relationship (upper and lower anterior teeth meet in a straight line, no overjet, no overbite) and open bite (no overbite, often associated. End To End Bite Vs Edge To Edge.
From animalia-life.club
End To End Bite Teeth End To End Bite Vs Edge To Edge The edge of the top teeth meets. This type of biting position occurs when the cusps or biting edges of. Invisalign can correct an edge to edge bite. Edge to edge (end to end) relationship (upper and lower anterior teeth meet in a straight line, no overjet, no overbite) and open bite (no overbite, often associated with tongue thrust) fit. End To End Bite Vs Edge To Edge.
From lakefrontfamilydentistry.com
EdgetoEdge Bite Issues with Invisalign Treatment Correction End To End Bite Vs Edge To Edge Invisalign can correct an edge to edge bite. One of the advantages of invisalign is it's ability to correct a. The edge of the top teeth meets. Edge to edge (end to end) relationship (upper and lower anterior teeth meet in a straight line, no overjet, no overbite) and open bite (no overbite, often associated with tongue thrust) fit into. End To End Bite Vs Edge To Edge.
From www.youtube.com
What is Normal Teeth and Bite Occlusion YouTube End To End Bite Vs Edge To Edge In a normal bite, the top front teeth close down in front of the bottom front teeth, not directly on top of them. The edge of the top teeth meets. One of the advantages of invisalign is it's ability to correct a. This type of biting position occurs when the cusps or biting edges of. Invisalign can correct an edge. End To End Bite Vs Edge To Edge.
From www.anboini.com
Before & After Anboini End To End Bite Vs Edge To Edge Edge to edge bite means that the upper teeth meet and lower teeth with their incisal edges. The edge of the top teeth meets. In a normal bite, the top front teeth close down in front of the bottom front teeth, not directly on top of them. Edge to edge (end to end) relationship (upper and lower anterior teeth meet. End To End Bite Vs Edge To Edge.
From dentagama.com
What is edgetoedge bite News Dentagama End To End Bite Vs Edge To Edge Invisalign can correct an edge to edge bite. The edge of the top teeth meets. This type of biting position occurs when the cusps or biting edges of. Edge to edge (end to end) relationship (upper and lower anterior teeth meet in a straight line, no overjet, no overbite) and open bite (no overbite, often associated with tongue thrust) fit. End To End Bite Vs Edge To Edge.
From www.mcreynoldsorthodontics.com
Emergency Care McReynolds Orthodontics Keller TX End To End Bite Vs Edge To Edge The edge of the top teeth meets. This type of biting position occurs when the cusps or biting edges of. Edge to edge (end to end) relationship (upper and lower anterior teeth meet in a straight line, no overjet, no overbite) and open bite (no overbite, often associated with tongue thrust) fit into those cases. Edge to edge bite means. End To End Bite Vs Edge To Edge.
From www.downtowndental.ca
Bite Exam Downtown Dental Centre Toronto End To End Bite Vs Edge To Edge This type of biting position occurs when the cusps or biting edges of. Edge to edge (end to end) relationship (upper and lower anterior teeth meet in a straight line, no overjet, no overbite) and open bite (no overbite, often associated with tongue thrust) fit into those cases. The edge of the top teeth meets. Edge to edge bite means. End To End Bite Vs Edge To Edge.