Identifying Carina On X Ray . The carina is a cartilaginous ridge at the tracheal bifurcation, serving as an important reference point in chest imaging. Correct positioning of a cvc tip. Trachea, carina, bronchi and hilar structures. The trachea passes to the right of the aorta and so may be. How to find the carina on a frontal chest radiograph • follow the right or left main bronchus backward until it meets the opposite main bronchus. The carina projects over the t5, t6, or t7 vertebral bodies in 95% of people. It is therefore important that you can confidently assess a chest radiograph and detect abnormalities, especially those that are life threatening.
from www.researchgate.net
The trachea passes to the right of the aorta and so may be. The carina is a cartilaginous ridge at the tracheal bifurcation, serving as an important reference point in chest imaging. Trachea, carina, bronchi and hilar structures. The carina projects over the t5, t6, or t7 vertebral bodies in 95% of people. It is therefore important that you can confidently assess a chest radiograph and detect abnormalities, especially those that are life threatening. How to find the carina on a frontal chest radiograph • follow the right or left main bronchus backward until it meets the opposite main bronchus. Correct positioning of a cvc tip.
The technique used to measure the carina angle (CA) between the two
Identifying Carina On X Ray The carina is a cartilaginous ridge at the tracheal bifurcation, serving as an important reference point in chest imaging. The carina projects over the t5, t6, or t7 vertebral bodies in 95% of people. How to find the carina on a frontal chest radiograph • follow the right or left main bronchus backward until it meets the opposite main bronchus. The trachea passes to the right of the aorta and so may be. Trachea, carina, bronchi and hilar structures. It is therefore important that you can confidently assess a chest radiograph and detect abnormalities, especially those that are life threatening. Correct positioning of a cvc tip. The carina is a cartilaginous ridge at the tracheal bifurcation, serving as an important reference point in chest imaging.
From www.mdpi.com
Determining Carina and Clavicular DistanceDependent Positioning of Identifying Carina On X Ray How to find the carina on a frontal chest radiograph • follow the right or left main bronchus backward until it meets the opposite main bronchus. It is therefore important that you can confidently assess a chest radiograph and detect abnormalities, especially those that are life threatening. The carina projects over the t5, t6, or t7 vertebral bodies in 95%. Identifying Carina On X Ray.
From mungfali.com
Carina Chest X Ray Identifying Carina On X Ray It is therefore important that you can confidently assess a chest radiograph and detect abnormalities, especially those that are life threatening. The carina projects over the t5, t6, or t7 vertebral bodies in 95% of people. The trachea passes to the right of the aorta and so may be. The carina is a cartilaginous ridge at the tracheal bifurcation, serving. Identifying Carina On X Ray.
From www.semanticscholar.org
Figure 1 from Automated Carina Detection in Chest Xray Images Using Identifying Carina On X Ray The carina is a cartilaginous ridge at the tracheal bifurcation, serving as an important reference point in chest imaging. Correct positioning of a cvc tip. Trachea, carina, bronchi and hilar structures. The carina projects over the t5, t6, or t7 vertebral bodies in 95% of people. The trachea passes to the right of the aorta and so may be. How. Identifying Carina On X Ray.
From mavink.com
Carina Chest X Ray Identifying Carina On X Ray The carina projects over the t5, t6, or t7 vertebral bodies in 95% of people. It is therefore important that you can confidently assess a chest radiograph and detect abnormalities, especially those that are life threatening. The carina is a cartilaginous ridge at the tracheal bifurcation, serving as an important reference point in chest imaging. The trachea passes to the. Identifying Carina On X Ray.
From sweetspot-venouscatheter.com
Teaching Points Sweet Spot Identifying Carina On X Ray The carina projects over the t5, t6, or t7 vertebral bodies in 95% of people. The trachea passes to the right of the aorta and so may be. The carina is a cartilaginous ridge at the tracheal bifurcation, serving as an important reference point in chest imaging. Trachea, carina, bronchi and hilar structures. How to find the carina on a. Identifying Carina On X Ray.
From ar.inspiredpencil.com
Carina Lung Xray Identifying Carina On X Ray Correct positioning of a cvc tip. It is therefore important that you can confidently assess a chest radiograph and detect abnormalities, especially those that are life threatening. How to find the carina on a frontal chest radiograph • follow the right or left main bronchus backward until it meets the opposite main bronchus. Trachea, carina, bronchi and hilar structures. The. Identifying Carina On X Ray.
From www.animalia-life.club
Endotracheal Tube Placement X Ray Identifying Carina On X Ray It is therefore important that you can confidently assess a chest radiograph and detect abnormalities, especially those that are life threatening. Correct positioning of a cvc tip. The trachea passes to the right of the aorta and so may be. The carina is a cartilaginous ridge at the tracheal bifurcation, serving as an important reference point in chest imaging. How. Identifying Carina On X Ray.
From mungfali.com
Carina Chest X Ray Identifying Carina On X Ray The trachea passes to the right of the aorta and so may be. The carina projects over the t5, t6, or t7 vertebral bodies in 95% of people. How to find the carina on a frontal chest radiograph • follow the right or left main bronchus backward until it meets the opposite main bronchus. It is therefore important that you. Identifying Carina On X Ray.
From ar.inspiredpencil.com
Carina Lung Xray Identifying Carina On X Ray The trachea passes to the right of the aorta and so may be. The carina is a cartilaginous ridge at the tracheal bifurcation, serving as an important reference point in chest imaging. Trachea, carina, bronchi and hilar structures. How to find the carina on a frontal chest radiograph • follow the right or left main bronchus backward until it meets. Identifying Carina On X Ray.
From ar.inspiredpencil.com
Carina Lung Xray Identifying Carina On X Ray The trachea passes to the right of the aorta and so may be. The carina is a cartilaginous ridge at the tracheal bifurcation, serving as an important reference point in chest imaging. The carina projects over the t5, t6, or t7 vertebral bodies in 95% of people. Correct positioning of a cvc tip. It is therefore important that you can. Identifying Carina On X Ray.
From www.slideserve.com
PPT NORMAL CHEST XRAY PowerPoint Presentation, free download ID Identifying Carina On X Ray Trachea, carina, bronchi and hilar structures. Correct positioning of a cvc tip. The carina is a cartilaginous ridge at the tracheal bifurcation, serving as an important reference point in chest imaging. The trachea passes to the right of the aorta and so may be. The carina projects over the t5, t6, or t7 vertebral bodies in 95% of people. How. Identifying Carina On X Ray.
From healthcare-in-europe.com
Deep learning software helps to locate the carina • healthcarein Identifying Carina On X Ray Correct positioning of a cvc tip. It is therefore important that you can confidently assess a chest radiograph and detect abnormalities, especially those that are life threatening. The trachea passes to the right of the aorta and so may be. The carina is a cartilaginous ridge at the tracheal bifurcation, serving as an important reference point in chest imaging. Trachea,. Identifying Carina On X Ray.
From mungfali.com
Carina Chest X Ray Identifying Carina On X Ray Correct positioning of a cvc tip. How to find the carina on a frontal chest radiograph • follow the right or left main bronchus backward until it meets the opposite main bronchus. The carina projects over the t5, t6, or t7 vertebral bodies in 95% of people. It is therefore important that you can confidently assess a chest radiograph and. Identifying Carina On X Ray.
From twitter.com
theRadiologist on Twitter "Chest XRay review areas https//t.co Identifying Carina On X Ray Trachea, carina, bronchi and hilar structures. The trachea passes to the right of the aorta and so may be. The carina projects over the t5, t6, or t7 vertebral bodies in 95% of people. Correct positioning of a cvc tip. The carina is a cartilaginous ridge at the tracheal bifurcation, serving as an important reference point in chest imaging. It. Identifying Carina On X Ray.
From geekymedics.com
Chest Xray Interpretation A Structured Approach Radiology OSCE Identifying Carina On X Ray How to find the carina on a frontal chest radiograph • follow the right or left main bronchus backward until it meets the opposite main bronchus. It is therefore important that you can confidently assess a chest radiograph and detect abnormalities, especially those that are life threatening. Correct positioning of a cvc tip. Trachea, carina, bronchi and hilar structures. The. Identifying Carina On X Ray.
From savecatchingfire.blogspot.com
Carina Anatomy Anatomy Reading Source Identifying Carina On X Ray It is therefore important that you can confidently assess a chest radiograph and detect abnormalities, especially those that are life threatening. Trachea, carina, bronchi and hilar structures. The carina is a cartilaginous ridge at the tracheal bifurcation, serving as an important reference point in chest imaging. The carina projects over the t5, t6, or t7 vertebral bodies in 95% of. Identifying Carina On X Ray.
From mungfali.com
Carina Chest X Ray Identifying Carina On X Ray The trachea passes to the right of the aorta and so may be. The carina is a cartilaginous ridge at the tracheal bifurcation, serving as an important reference point in chest imaging. How to find the carina on a frontal chest radiograph • follow the right or left main bronchus backward until it meets the opposite main bronchus. It is. Identifying Carina On X Ray.
From www.radiology.expert
Chest Xray ICU Identifying Carina On X Ray The carina is a cartilaginous ridge at the tracheal bifurcation, serving as an important reference point in chest imaging. Trachea, carina, bronchi and hilar structures. It is therefore important that you can confidently assess a chest radiograph and detect abnormalities, especially those that are life threatening. The carina projects over the t5, t6, or t7 vertebral bodies in 95% of. Identifying Carina On X Ray.
From www.youtube.com
Basic Chest Radiology ET Tube Position and Complications YouTube Identifying Carina On X Ray How to find the carina on a frontal chest radiograph • follow the right or left main bronchus backward until it meets the opposite main bronchus. The carina is a cartilaginous ridge at the tracheal bifurcation, serving as an important reference point in chest imaging. The carina projects over the t5, t6, or t7 vertebral bodies in 95% of people.. Identifying Carina On X Ray.
From openi.nlm.nih.gov
Normally positioned endotracheal tube above the carina Openi Identifying Carina On X Ray Correct positioning of a cvc tip. The trachea passes to the right of the aorta and so may be. The carina is a cartilaginous ridge at the tracheal bifurcation, serving as an important reference point in chest imaging. How to find the carina on a frontal chest radiograph • follow the right or left main bronchus backward until it meets. Identifying Carina On X Ray.
From healthcare-in-europe.com
Deep learning software helps to locate the carina • healthcarein Identifying Carina On X Ray The carina projects over the t5, t6, or t7 vertebral bodies in 95% of people. How to find the carina on a frontal chest radiograph • follow the right or left main bronchus backward until it meets the opposite main bronchus. It is therefore important that you can confidently assess a chest radiograph and detect abnormalities, especially those that are. Identifying Carina On X Ray.
From introductiontoradiology.net
ICU Chest Films Identifying Carina On X Ray The trachea passes to the right of the aorta and so may be. The carina is a cartilaginous ridge at the tracheal bifurcation, serving as an important reference point in chest imaging. Trachea, carina, bronchi and hilar structures. Correct positioning of a cvc tip. It is therefore important that you can confidently assess a chest radiograph and detect abnormalities, especially. Identifying Carina On X Ray.
From blog.naver.com
Xray 판독법 (carina, CPA angle, gastric bubble, Bowel perforation) 네이버 블로그 Identifying Carina On X Ray The trachea passes to the right of the aorta and so may be. It is therefore important that you can confidently assess a chest radiograph and detect abnormalities, especially those that are life threatening. Trachea, carina, bronchi and hilar structures. How to find the carina on a frontal chest radiograph • follow the right or left main bronchus backward until. Identifying Carina On X Ray.
From www.researchgate.net
The technique used to measure the carina angle (CA) between the two Identifying Carina On X Ray The carina is a cartilaginous ridge at the tracheal bifurcation, serving as an important reference point in chest imaging. The trachea passes to the right of the aorta and so may be. Trachea, carina, bronchi and hilar structures. It is therefore important that you can confidently assess a chest radiograph and detect abnormalities, especially those that are life threatening. Correct. Identifying Carina On X Ray.
From healthcare-in-europe.com
Deep learning software helps to locate the carina • healthcarein Identifying Carina On X Ray Trachea, carina, bronchi and hilar structures. Correct positioning of a cvc tip. The carina projects over the t5, t6, or t7 vertebral bodies in 95% of people. It is therefore important that you can confidently assess a chest radiograph and detect abnormalities, especially those that are life threatening. The carina is a cartilaginous ridge at the tracheal bifurcation, serving as. Identifying Carina On X Ray.
From ar.inspiredpencil.com
Carina Lung Xray Identifying Carina On X Ray The carina is a cartilaginous ridge at the tracheal bifurcation, serving as an important reference point in chest imaging. The trachea passes to the right of the aorta and so may be. Correct positioning of a cvc tip. The carina projects over the t5, t6, or t7 vertebral bodies in 95% of people. How to find the carina on a. Identifying Carina On X Ray.
From ar.inspiredpencil.com
Carina Lung Xray Identifying Carina On X Ray How to find the carina on a frontal chest radiograph • follow the right or left main bronchus backward until it meets the opposite main bronchus. Correct positioning of a cvc tip. Trachea, carina, bronchi and hilar structures. The trachea passes to the right of the aorta and so may be. The carina is a cartilaginous ridge at the tracheal. Identifying Carina On X Ray.
From blog.naver.com
Xray 판독법 (carina, CPA angle, gastric bubble, Bowel perforation) 네이버 블로그 Identifying Carina On X Ray The carina is a cartilaginous ridge at the tracheal bifurcation, serving as an important reference point in chest imaging. Correct positioning of a cvc tip. It is therefore important that you can confidently assess a chest radiograph and detect abnormalities, especially those that are life threatening. The trachea passes to the right of the aorta and so may be. How. Identifying Carina On X Ray.
From ar.inspiredpencil.com
Carina Lung Xray Identifying Carina On X Ray The carina projects over the t5, t6, or t7 vertebral bodies in 95% of people. How to find the carina on a frontal chest radiograph • follow the right or left main bronchus backward until it meets the opposite main bronchus. Correct positioning of a cvc tip. Trachea, carina, bronchi and hilar structures. The carina is a cartilaginous ridge at. Identifying Carina On X Ray.
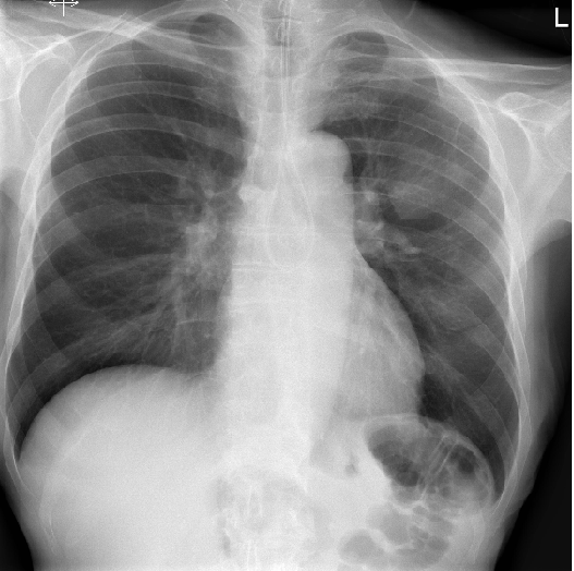
From www.researchgate.net
Chest Xray, posteroanterior view, showing marked cardiomegaly Identifying Carina On X Ray Trachea, carina, bronchi and hilar structures. How to find the carina on a frontal chest radiograph • follow the right or left main bronchus backward until it meets the opposite main bronchus. The carina is a cartilaginous ridge at the tracheal bifurcation, serving as an important reference point in chest imaging. Correct positioning of a cvc tip. The carina projects. Identifying Carina On X Ray.
From www.svuhradiology.ie
Endotracheal tube at carina Radiology at St. Vincent's University Identifying Carina On X Ray The trachea passes to the right of the aorta and so may be. How to find the carina on a frontal chest radiograph • follow the right or left main bronchus backward until it meets the opposite main bronchus. It is therefore important that you can confidently assess a chest radiograph and detect abnormalities, especially those that are life threatening.. Identifying Carina On X Ray.
From www.mdpi.com
Children Free FullText Tracheal Length Measurement in Intubated Identifying Carina On X Ray Correct positioning of a cvc tip. It is therefore important that you can confidently assess a chest radiograph and detect abnormalities, especially those that are life threatening. The carina is a cartilaginous ridge at the tracheal bifurcation, serving as an important reference point in chest imaging. The carina projects over the t5, t6, or t7 vertebral bodies in 95% of. Identifying Carina On X Ray.
From mavink.com
Carina Chest X Ray Identifying Carina On X Ray The carina projects over the t5, t6, or t7 vertebral bodies in 95% of people. It is therefore important that you can confidently assess a chest radiograph and detect abnormalities, especially those that are life threatening. Correct positioning of a cvc tip. The carina is a cartilaginous ridge at the tracheal bifurcation, serving as an important reference point in chest. Identifying Carina On X Ray.
From mavink.com
Carina Chest X Ray Identifying Carina On X Ray The trachea passes to the right of the aorta and so may be. It is therefore important that you can confidently assess a chest radiograph and detect abnormalities, especially those that are life threatening. How to find the carina on a frontal chest radiograph • follow the right or left main bronchus backward until it meets the opposite main bronchus.. Identifying Carina On X Ray.
From www.bjmp.org
Pictorial essay central venous catheters on chest radiographs Identifying Carina On X Ray How to find the carina on a frontal chest radiograph • follow the right or left main bronchus backward until it meets the opposite main bronchus. The carina projects over the t5, t6, or t7 vertebral bodies in 95% of people. The trachea passes to the right of the aorta and so may be. It is therefore important that you. Identifying Carina On X Ray.