Malignant Tumor Jaw Bone . Osteosarcoma, fibrous dysplasia, central giant cell granuloma, osteoma, osteochondroma, and osteoblastoma. Jaw tumors and cysts — sometimes referred to as odontogenic or nonodontogenic, depending on their origin —. Osteosarcoma (os) is a primary malignant tumor lesion of mesenchymal origin that shows osteogenic differentiation [1]. A person with jaw bone cancer develops a malignant tumor on their mandible, lower jaw bone, or maxilla, which is the hard palate or upper jaw bone. Osteosarcoma (os) accounts for about 20% of all sarcomas and is the most common primary malignant bone tumor. Six tumors will be covered in detail: Jaw bone cancer can develop in the bone. Tumors that arise in the jaw can be either malignant or benign and are called odontogenic tumors. Rarely, cancerous (malignant) tumors form within your jawbone or from the tissue that’s involved in forming your teeth.
from www.ajronline.org
Jaw bone cancer can develop in the bone. Rarely, cancerous (malignant) tumors form within your jawbone or from the tissue that’s involved in forming your teeth. Tumors that arise in the jaw can be either malignant or benign and are called odontogenic tumors. A person with jaw bone cancer develops a malignant tumor on their mandible, lower jaw bone, or maxilla, which is the hard palate or upper jaw bone. Osteosarcoma (os) is a primary malignant tumor lesion of mesenchymal origin that shows osteogenic differentiation [1]. Osteosarcoma, fibrous dysplasia, central giant cell granuloma, osteoma, osteochondroma, and osteoblastoma. Jaw tumors and cysts — sometimes referred to as odontogenic or nonodontogenic, depending on their origin —. Six tumors will be covered in detail: Osteosarcoma (os) accounts for about 20% of all sarcomas and is the most common primary malignant bone tumor.
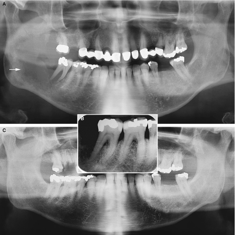
Imaging Characteristics of Benign, Malignant, and Infectious Jaw
Malignant Tumor Jaw Bone Osteosarcoma (os) is a primary malignant tumor lesion of mesenchymal origin that shows osteogenic differentiation [1]. Jaw bone cancer can develop in the bone. Six tumors will be covered in detail: Rarely, cancerous (malignant) tumors form within your jawbone or from the tissue that’s involved in forming your teeth. Tumors that arise in the jaw can be either malignant or benign and are called odontogenic tumors. A person with jaw bone cancer develops a malignant tumor on their mandible, lower jaw bone, or maxilla, which is the hard palate or upper jaw bone. Osteosarcoma (os) is a primary malignant tumor lesion of mesenchymal origin that shows osteogenic differentiation [1]. Jaw tumors and cysts — sometimes referred to as odontogenic or nonodontogenic, depending on their origin —. Osteosarcoma (os) accounts for about 20% of all sarcomas and is the most common primary malignant bone tumor. Osteosarcoma, fibrous dysplasia, central giant cell granuloma, osteoma, osteochondroma, and osteoblastoma.
From fineartamerica.com
Jaw Cancer (ameloblastoma) 2 Photograph by Zephyr/science Photo Malignant Tumor Jaw Bone Rarely, cancerous (malignant) tumors form within your jawbone or from the tissue that’s involved in forming your teeth. Osteosarcoma, fibrous dysplasia, central giant cell granuloma, osteoma, osteochondroma, and osteoblastoma. Osteosarcoma (os) is a primary malignant tumor lesion of mesenchymal origin that shows osteogenic differentiation [1]. Osteosarcoma (os) accounts for about 20% of all sarcomas and is the most common primary. Malignant Tumor Jaw Bone.
From www.youtube.com
Malignant Tumors of the Jaws and Oral Cavity YouTube Malignant Tumor Jaw Bone Rarely, cancerous (malignant) tumors form within your jawbone or from the tissue that’s involved in forming your teeth. Osteosarcoma (os) accounts for about 20% of all sarcomas and is the most common primary malignant bone tumor. Tumors that arise in the jaw can be either malignant or benign and are called odontogenic tumors. Osteosarcoma (os) is a primary malignant tumor. Malignant Tumor Jaw Bone.
From www.apunjabi.com
Jaw Tumors in the Inland Empire Malignant Tumor Jaw Bone Jaw bone cancer can develop in the bone. Osteosarcoma (os) is a primary malignant tumor lesion of mesenchymal origin that shows osteogenic differentiation [1]. Six tumors will be covered in detail: Tumors that arise in the jaw can be either malignant or benign and are called odontogenic tumors. Osteosarcoma, fibrous dysplasia, central giant cell granuloma, osteoma, osteochondroma, and osteoblastoma. Jaw. Malignant Tumor Jaw Bone.
From www.joms.org
Tumor Suppressor Gene Mutation in a Patient With a History of Malignant Tumor Jaw Bone A person with jaw bone cancer develops a malignant tumor on their mandible, lower jaw bone, or maxilla, which is the hard palate or upper jaw bone. Osteosarcoma, fibrous dysplasia, central giant cell granuloma, osteoma, osteochondroma, and osteoblastoma. Tumors that arise in the jaw can be either malignant or benign and are called odontogenic tumors. Jaw tumors and cysts —. Malignant Tumor Jaw Bone.
From www.sciencephoto.com
Jaw cancer (ameloblastoma), Xray Stock Image C009/5471 Science Malignant Tumor Jaw Bone Tumors that arise in the jaw can be either malignant or benign and are called odontogenic tumors. Jaw bone cancer can develop in the bone. Rarely, cancerous (malignant) tumors form within your jawbone or from the tissue that’s involved in forming your teeth. Jaw tumors and cysts — sometimes referred to as odontogenic or nonodontogenic, depending on their origin —.. Malignant Tumor Jaw Bone.
From www.cureus.com
Cureus Intraosseous Mucoepidermoid Carcinoma of the Anterior Mandible Malignant Tumor Jaw Bone Six tumors will be covered in detail: Osteosarcoma (os) is a primary malignant tumor lesion of mesenchymal origin that shows osteogenic differentiation [1]. A person with jaw bone cancer develops a malignant tumor on their mandible, lower jaw bone, or maxilla, which is the hard palate or upper jaw bone. Rarely, cancerous (malignant) tumors form within your jawbone or from. Malignant Tumor Jaw Bone.
From link.springer.com
Utility of preoperative imaging diagnosis for a malignant tumor of the Malignant Tumor Jaw Bone Rarely, cancerous (malignant) tumors form within your jawbone or from the tissue that’s involved in forming your teeth. Jaw bone cancer can develop in the bone. Jaw tumors and cysts — sometimes referred to as odontogenic or nonodontogenic, depending on their origin —. Osteosarcoma (os) accounts for about 20% of all sarcomas and is the most common primary malignant bone. Malignant Tumor Jaw Bone.
From www.dentistrytoday.com
Bone Replacement Procedure Successfully Treats Children With Jaw Tumors Malignant Tumor Jaw Bone Osteosarcoma (os) accounts for about 20% of all sarcomas and is the most common primary malignant bone tumor. Osteosarcoma, fibrous dysplasia, central giant cell granuloma, osteoma, osteochondroma, and osteoblastoma. Tumors that arise in the jaw can be either malignant or benign and are called odontogenic tumors. Rarely, cancerous (malignant) tumors form within your jawbone or from the tissue that’s involved. Malignant Tumor Jaw Bone.
From www.slideserve.com
PPT Malignant Jaw tumors PowerPoint Presentation ID1214068 Malignant Tumor Jaw Bone Osteosarcoma (os) accounts for about 20% of all sarcomas and is the most common primary malignant bone tumor. A person with jaw bone cancer develops a malignant tumor on their mandible, lower jaw bone, or maxilla, which is the hard palate or upper jaw bone. Osteosarcoma (os) is a primary malignant tumor lesion of mesenchymal origin that shows osteogenic differentiation. Malignant Tumor Jaw Bone.
From www.ajronline.org
Imaging Characteristics of Benign, Malignant, and Infectious Jaw Malignant Tumor Jaw Bone A person with jaw bone cancer develops a malignant tumor on their mandible, lower jaw bone, or maxilla, which is the hard palate or upper jaw bone. Tumors that arise in the jaw can be either malignant or benign and are called odontogenic tumors. Jaw bone cancer can develop in the bone. Osteosarcoma (os) accounts for about 20% of all. Malignant Tumor Jaw Bone.
From www.intechopen.com
Multidisciplinary Management of Benign Jaw Tumors in Children IntechOpen Malignant Tumor Jaw Bone A person with jaw bone cancer develops a malignant tumor on their mandible, lower jaw bone, or maxilla, which is the hard palate or upper jaw bone. Rarely, cancerous (malignant) tumors form within your jawbone or from the tissue that’s involved in forming your teeth. Six tumors will be covered in detail: Jaw tumors and cysts — sometimes referred to. Malignant Tumor Jaw Bone.
From www.auntminnie.com
Imaging aids in tween's tumorinduced jaw reconstruction Malignant Tumor Jaw Bone Osteosarcoma, fibrous dysplasia, central giant cell granuloma, osteoma, osteochondroma, and osteoblastoma. Osteosarcoma (os) is a primary malignant tumor lesion of mesenchymal origin that shows osteogenic differentiation [1]. Osteosarcoma (os) accounts for about 20% of all sarcomas and is the most common primary malignant bone tumor. Jaw bone cancer can develop in the bone. Jaw tumors and cysts — sometimes referred. Malignant Tumor Jaw Bone.
From link.springer.com
Malignant Tumors in Jaws SpringerLink Malignant Tumor Jaw Bone Osteosarcoma (os) accounts for about 20% of all sarcomas and is the most common primary malignant bone tumor. Jaw tumors and cysts — sometimes referred to as odontogenic or nonodontogenic, depending on their origin —. Rarely, cancerous (malignant) tumors form within your jawbone or from the tissue that’s involved in forming your teeth. Osteosarcoma, fibrous dysplasia, central giant cell granuloma,. Malignant Tumor Jaw Bone.
From www.ajronline.org
Imaging Characteristics of Benign, Malignant, and Infectious Jaw Malignant Tumor Jaw Bone Rarely, cancerous (malignant) tumors form within your jawbone or from the tissue that’s involved in forming your teeth. Jaw tumors and cysts — sometimes referred to as odontogenic or nonodontogenic, depending on their origin —. Tumors that arise in the jaw can be either malignant or benign and are called odontogenic tumors. Jaw bone cancer can develop in the bone.. Malignant Tumor Jaw Bone.
From www.cda-adc.ca
Figure 1 Malignant Tumor Jaw Bone Osteosarcoma (os) accounts for about 20% of all sarcomas and is the most common primary malignant bone tumor. Osteosarcoma, fibrous dysplasia, central giant cell granuloma, osteoma, osteochondroma, and osteoblastoma. Osteosarcoma (os) is a primary malignant tumor lesion of mesenchymal origin that shows osteogenic differentiation [1]. Tumors that arise in the jaw can be either malignant or benign and are called. Malignant Tumor Jaw Bone.
From craniofacialteamtexas.com
Giant cell tumor of the jaw EarWell Center of Excellence Malignant Tumor Jaw Bone Rarely, cancerous (malignant) tumors form within your jawbone or from the tissue that’s involved in forming your teeth. Osteosarcoma, fibrous dysplasia, central giant cell granuloma, osteoma, osteochondroma, and osteoblastoma. Tumors that arise in the jaw can be either malignant or benign and are called odontogenic tumors. Six tumors will be covered in detail: Osteosarcoma (os) is a primary malignant tumor. Malignant Tumor Jaw Bone.
From www.slideserve.com
PPT Malignant tumors of the jaw bones PowerPoint Presentation, free Malignant Tumor Jaw Bone A person with jaw bone cancer develops a malignant tumor on their mandible, lower jaw bone, or maxilla, which is the hard palate or upper jaw bone. Osteosarcoma (os) is a primary malignant tumor lesion of mesenchymal origin that shows osteogenic differentiation [1]. Jaw bone cancer can develop in the bone. Osteosarcoma, fibrous dysplasia, central giant cell granuloma, osteoma, osteochondroma,. Malignant Tumor Jaw Bone.
From www.slideserve.com
PPT Malignant Jaw tumors PowerPoint Presentation, free download ID Malignant Tumor Jaw Bone Osteosarcoma, fibrous dysplasia, central giant cell granuloma, osteoma, osteochondroma, and osteoblastoma. A person with jaw bone cancer develops a malignant tumor on their mandible, lower jaw bone, or maxilla, which is the hard palate or upper jaw bone. Osteosarcoma (os) is a primary malignant tumor lesion of mesenchymal origin that shows osteogenic differentiation [1]. Rarely, cancerous (malignant) tumors form within. Malignant Tumor Jaw Bone.
From www.slideserve.com
PPT Malignant Jaw tumors PowerPoint Presentation, free download ID Malignant Tumor Jaw Bone Six tumors will be covered in detail: Tumors that arise in the jaw can be either malignant or benign and are called odontogenic tumors. A person with jaw bone cancer develops a malignant tumor on their mandible, lower jaw bone, or maxilla, which is the hard palate or upper jaw bone. Osteosarcoma, fibrous dysplasia, central giant cell granuloma, osteoma, osteochondroma,. Malignant Tumor Jaw Bone.
From www.spandidos-publications.com
The RANKL/RANK system as a therapeutic target for bone invasion by oral Malignant Tumor Jaw Bone Osteosarcoma (os) is a primary malignant tumor lesion of mesenchymal origin that shows osteogenic differentiation [1]. Tumors that arise in the jaw can be either malignant or benign and are called odontogenic tumors. Six tumors will be covered in detail: Jaw bone cancer can develop in the bone. Rarely, cancerous (malignant) tumors form within your jawbone or from the tissue. Malignant Tumor Jaw Bone.
From www.researchgate.net
(A) The radiographic appearance of the lesion on the jawbone is Malignant Tumor Jaw Bone A person with jaw bone cancer develops a malignant tumor on their mandible, lower jaw bone, or maxilla, which is the hard palate or upper jaw bone. Jaw tumors and cysts — sometimes referred to as odontogenic or nonodontogenic, depending on their origin —. Rarely, cancerous (malignant) tumors form within your jawbone or from the tissue that’s involved in forming. Malignant Tumor Jaw Bone.
From premierhospital.in
An overview of Jaw Tumors and Cysts Premier Hospital Malignant Tumor Jaw Bone A person with jaw bone cancer develops a malignant tumor on their mandible, lower jaw bone, or maxilla, which is the hard palate or upper jaw bone. Osteosarcoma (os) accounts for about 20% of all sarcomas and is the most common primary malignant bone tumor. Jaw bone cancer can develop in the bone. Jaw tumors and cysts — sometimes referred. Malignant Tumor Jaw Bone.
From www.dukehealth.org
Advanced Jaw Surgery Relieves Pain in Cancer Survivor of 10+ Years Malignant Tumor Jaw Bone Tumors that arise in the jaw can be either malignant or benign and are called odontogenic tumors. Osteosarcoma, fibrous dysplasia, central giant cell granuloma, osteoma, osteochondroma, and osteoblastoma. Osteosarcoma (os) is a primary malignant tumor lesion of mesenchymal origin that shows osteogenic differentiation [1]. A person with jaw bone cancer develops a malignant tumor on their mandible, lower jaw bone,. Malignant Tumor Jaw Bone.
From www.pinterest.com
Ameloblastoma Radiology, Dental, Dental hygiene Malignant Tumor Jaw Bone Osteosarcoma (os) accounts for about 20% of all sarcomas and is the most common primary malignant bone tumor. Osteosarcoma (os) is a primary malignant tumor lesion of mesenchymal origin that shows osteogenic differentiation [1]. A person with jaw bone cancer develops a malignant tumor on their mandible, lower jaw bone, or maxilla, which is the hard palate or upper jaw. Malignant Tumor Jaw Bone.
From spandidos-publications.com
Triple primary malignancies of surface of jaw Malignant Tumor Jaw Bone Jaw bone cancer can develop in the bone. Six tumors will be covered in detail: Osteosarcoma (os) is a primary malignant tumor lesion of mesenchymal origin that shows osteogenic differentiation [1]. Osteosarcoma, fibrous dysplasia, central giant cell granuloma, osteoma, osteochondroma, and osteoblastoma. Osteosarcoma (os) accounts for about 20% of all sarcomas and is the most common primary malignant bone tumor.. Malignant Tumor Jaw Bone.
From www.sciencephoto.com
Jaw cancer (ameloblastoma), Xray Stock Image C009/5474 Science Malignant Tumor Jaw Bone Jaw bone cancer can develop in the bone. A person with jaw bone cancer develops a malignant tumor on their mandible, lower jaw bone, or maxilla, which is the hard palate or upper jaw bone. Jaw tumors and cysts — sometimes referred to as odontogenic or nonodontogenic, depending on their origin —. Tumors that arise in the jaw can be. Malignant Tumor Jaw Bone.
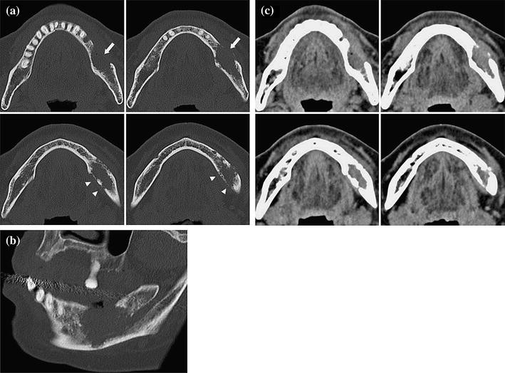
From www.researchgate.net
Jaw metastasis; A, Soft tissue and B, Bone window CT images show a Malignant Tumor Jaw Bone Six tumors will be covered in detail: A person with jaw bone cancer develops a malignant tumor on their mandible, lower jaw bone, or maxilla, which is the hard palate or upper jaw bone. Osteosarcoma (os) accounts for about 20% of all sarcomas and is the most common primary malignant bone tumor. Tumors that arise in the jaw can be. Malignant Tumor Jaw Bone.
From www.intechopen.com
Multidisciplinary Management of Benign Jaw Tumors in Children IntechOpen Malignant Tumor Jaw Bone Osteosarcoma (os) accounts for about 20% of all sarcomas and is the most common primary malignant bone tumor. Tumors that arise in the jaw can be either malignant or benign and are called odontogenic tumors. Osteosarcoma (os) is a primary malignant tumor lesion of mesenchymal origin that shows osteogenic differentiation [1]. Osteosarcoma, fibrous dysplasia, central giant cell granuloma, osteoma, osteochondroma,. Malignant Tumor Jaw Bone.
From www.manhattanmaxillofacial.com
Ameloblastoma Midtown Manhattan NYC Oral Surgeon Dr. Hirsch Malignant Tumor Jaw Bone Osteosarcoma, fibrous dysplasia, central giant cell granuloma, osteoma, osteochondroma, and osteoblastoma. Jaw tumors and cysts — sometimes referred to as odontogenic or nonodontogenic, depending on their origin —. Rarely, cancerous (malignant) tumors form within your jawbone or from the tissue that’s involved in forming your teeth. Osteosarcoma (os) accounts for about 20% of all sarcomas and is the most common. Malignant Tumor Jaw Bone.
From www.healthcentral.com
Jaw Cancer Signs, Symptoms, Causes, Diagnosis, and Treatment Malignant Tumor Jaw Bone Jaw tumors and cysts — sometimes referred to as odontogenic or nonodontogenic, depending on their origin —. Osteosarcoma, fibrous dysplasia, central giant cell granuloma, osteoma, osteochondroma, and osteoblastoma. Osteosarcoma (os) is a primary malignant tumor lesion of mesenchymal origin that shows osteogenic differentiation [1]. A person with jaw bone cancer develops a malignant tumor on their mandible, lower jaw bone,. Malignant Tumor Jaw Bone.
From www.vrogue.co
Pdf Tumors And Tumor Like Lesions Of The Jaw Mixed An vrogue.co Malignant Tumor Jaw Bone Six tumors will be covered in detail: Tumors that arise in the jaw can be either malignant or benign and are called odontogenic tumors. Rarely, cancerous (malignant) tumors form within your jawbone or from the tissue that’s involved in forming your teeth. Osteosarcoma (os) accounts for about 20% of all sarcomas and is the most common primary malignant bone tumor.. Malignant Tumor Jaw Bone.
From www.intechopen.com
Multidisciplinary Management of Benign Jaw Tumors in Children IntechOpen Malignant Tumor Jaw Bone Osteosarcoma, fibrous dysplasia, central giant cell granuloma, osteoma, osteochondroma, and osteoblastoma. Six tumors will be covered in detail: Jaw tumors and cysts — sometimes referred to as odontogenic or nonodontogenic, depending on their origin —. Osteosarcoma (os) is a primary malignant tumor lesion of mesenchymal origin that shows osteogenic differentiation [1]. Osteosarcoma (os) accounts for about 20% of all sarcomas. Malignant Tumor Jaw Bone.
From lortonoralsurgery.com
Reasons for Jawbone Loss and Deterioration Dental Implant & Oral Surgery Malignant Tumor Jaw Bone A person with jaw bone cancer develops a malignant tumor on their mandible, lower jaw bone, or maxilla, which is the hard palate or upper jaw bone. Tumors that arise in the jaw can be either malignant or benign and are called odontogenic tumors. Rarely, cancerous (malignant) tumors form within your jawbone or from the tissue that’s involved in forming. Malignant Tumor Jaw Bone.
From www.ajronline.org
Imaging Characteristics of Benign, Malignant, and Infectious Jaw Malignant Tumor Jaw Bone Six tumors will be covered in detail: Rarely, cancerous (malignant) tumors form within your jawbone or from the tissue that’s involved in forming your teeth. Tumors that arise in the jaw can be either malignant or benign and are called odontogenic tumors. Osteosarcoma (os) accounts for about 20% of all sarcomas and is the most common primary malignant bone tumor.. Malignant Tumor Jaw Bone.
From www.ajronline.org
Imaging Characteristics of Benign, Malignant, and Infectious Jaw Malignant Tumor Jaw Bone Rarely, cancerous (malignant) tumors form within your jawbone or from the tissue that’s involved in forming your teeth. Six tumors will be covered in detail: Osteosarcoma (os) is a primary malignant tumor lesion of mesenchymal origin that shows osteogenic differentiation [1]. A person with jaw bone cancer develops a malignant tumor on their mandible, lower jaw bone, or maxilla, which. Malignant Tumor Jaw Bone.