What Is Cholesteatoma Of The Ear . This serious ear condition can be present at birth or develop later in life, often as a result of multiple ear. It often starts when a perforation (hole) in the eardrum allows. Cholesteatoma is an abnormal skin growth within the middle ear. A cholesteatoma is a benign mass that consists of keratinizing squamous cell epithelium that grows in the middle ear. Cholesteatoma is an accumulation of squamous epithelium and keratin debris that usually involves the middle ear and mastoid. Cholesteatoma is an abnormal growth in your middle ear behind your eardrum. Cholesteatoma is an abnormal skin growth in the middle ear behind the eardrum. It can be congenital (present from birth), but typically. Cholesteatoma is a type of skin cyst that is located in the middle ear and mastoid bone in the skull.
from bssny.com
Cholesteatoma is an accumulation of squamous epithelium and keratin debris that usually involves the middle ear and mastoid. Cholesteatoma is an abnormal skin growth within the middle ear. It can be congenital (present from birth), but typically. A cholesteatoma is a benign mass that consists of keratinizing squamous cell epithelium that grows in the middle ear. It often starts when a perforation (hole) in the eardrum allows. This serious ear condition can be present at birth or develop later in life, often as a result of multiple ear. Cholesteatoma is an abnormal growth in your middle ear behind your eardrum. Cholesteatoma is an abnormal skin growth in the middle ear behind the eardrum. Cholesteatoma is a type of skin cyst that is located in the middle ear and mastoid bone in the skull.
Cholesteatoma Brain & Spine Surgeons of New York
What Is Cholesteatoma Of The Ear A cholesteatoma is a benign mass that consists of keratinizing squamous cell epithelium that grows in the middle ear. This serious ear condition can be present at birth or develop later in life, often as a result of multiple ear. Cholesteatoma is an abnormal growth in your middle ear behind your eardrum. Cholesteatoma is an abnormal skin growth within the middle ear. Cholesteatoma is an accumulation of squamous epithelium and keratin debris that usually involves the middle ear and mastoid. It often starts when a perforation (hole) in the eardrum allows. It can be congenital (present from birth), but typically. Cholesteatoma is an abnormal skin growth in the middle ear behind the eardrum. Cholesteatoma is a type of skin cyst that is located in the middle ear and mastoid bone in the skull. A cholesteatoma is a benign mass that consists of keratinizing squamous cell epithelium that grows in the middle ear.
From www.chadruffinmd.com
Cholesteatoma — Chad Ruffin, MD What Is Cholesteatoma Of The Ear It often starts when a perforation (hole) in the eardrum allows. Cholesteatoma is a type of skin cyst that is located in the middle ear and mastoid bone in the skull. A cholesteatoma is a benign mass that consists of keratinizing squamous cell epithelium that grows in the middle ear. Cholesteatoma is an abnormal skin growth in the middle ear. What Is Cholesteatoma Of The Ear.
From anatomicaljustice.com
Cholesteatoma of the Left Ear What Is Cholesteatoma Of The Ear A cholesteatoma is a benign mass that consists of keratinizing squamous cell epithelium that grows in the middle ear. Cholesteatoma is an abnormal skin growth within the middle ear. It often starts when a perforation (hole) in the eardrum allows. Cholesteatoma is a type of skin cyst that is located in the middle ear and mastoid bone in the skull.. What Is Cholesteatoma Of The Ear.
From www.researchgate.net
(PDF) External ear canal cholesteatoma What Is Cholesteatoma Of The Ear This serious ear condition can be present at birth or develop later in life, often as a result of multiple ear. A cholesteatoma is a benign mass that consists of keratinizing squamous cell epithelium that grows in the middle ear. Cholesteatoma is an abnormal skin growth in the middle ear behind the eardrum. It can be congenital (present from birth),. What Is Cholesteatoma Of The Ear.
From www.healthline.com
Cholesteatoma Causes, Symptoms, and Diagnosis What Is Cholesteatoma Of The Ear A cholesteatoma is a benign mass that consists of keratinizing squamous cell epithelium that grows in the middle ear. It can be congenital (present from birth), but typically. Cholesteatoma is a type of skin cyst that is located in the middle ear and mastoid bone in the skull. Cholesteatoma is an abnormal skin growth in the middle ear behind the. What Is Cholesteatoma Of The Ear.
From www.researchgate.net
Axial (horizontal) CT of the right temporal bone showing cholesteatoma... Download Scientific What Is Cholesteatoma Of The Ear Cholesteatoma is an abnormal growth in your middle ear behind your eardrum. A cholesteatoma is a benign mass that consists of keratinizing squamous cell epithelium that grows in the middle ear. Cholesteatoma is an abnormal skin growth in the middle ear behind the eardrum. It can be congenital (present from birth), but typically. This serious ear condition can be present. What Is Cholesteatoma Of The Ear.
From entofmetairie.com
earcholesteatoma ENT Specialists of Metairie What Is Cholesteatoma Of The Ear Cholesteatoma is an abnormal growth in your middle ear behind your eardrum. Cholesteatoma is an abnormal skin growth within the middle ear. A cholesteatoma is a benign mass that consists of keratinizing squamous cell epithelium that grows in the middle ear. It often starts when a perforation (hole) in the eardrum allows. Cholesteatoma is an accumulation of squamous epithelium and. What Is Cholesteatoma Of The Ear.
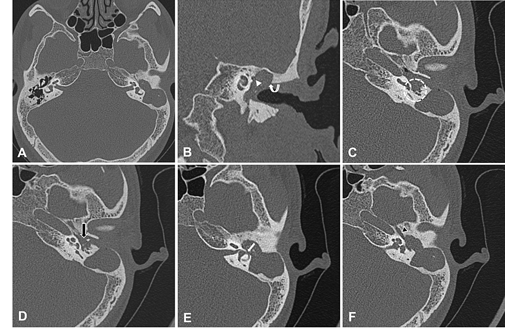
From www.ajnr.org
External Auditory Canal Cholesteatoma Clinical and Imaging Spectrum American Journal of What Is Cholesteatoma Of The Ear It often starts when a perforation (hole) in the eardrum allows. Cholesteatoma is an abnormal skin growth in the middle ear behind the eardrum. This serious ear condition can be present at birth or develop later in life, often as a result of multiple ear. Cholesteatoma is an accumulation of squamous epithelium and keratin debris that usually involves the middle. What Is Cholesteatoma Of The Ear.
From onkarambala.com
Ear Cholesteatoma Sri Onkar Eye & ENT Care Centre What Is Cholesteatoma Of The Ear This serious ear condition can be present at birth or develop later in life, often as a result of multiple ear. Cholesteatoma is an abnormal skin growth in the middle ear behind the eardrum. Cholesteatoma is an abnormal skin growth within the middle ear. A cholesteatoma is a benign mass that consists of keratinizing squamous cell epithelium that grows in. What Is Cholesteatoma Of The Ear.
From www.jlo.co.uk
Microsurgical Management of Middle Ear and Petrous Bone Cholesteatoma The Journal of What Is Cholesteatoma Of The Ear Cholesteatoma is a type of skin cyst that is located in the middle ear and mastoid bone in the skull. Cholesteatoma is an abnormal skin growth within the middle ear. This serious ear condition can be present at birth or develop later in life, often as a result of multiple ear. It often starts when a perforation (hole) in the. What Is Cholesteatoma Of The Ear.
From pt.slideshare.net
What is Cholesteatoma? What Is Cholesteatoma Of The Ear This serious ear condition can be present at birth or develop later in life, often as a result of multiple ear. Cholesteatoma is a type of skin cyst that is located in the middle ear and mastoid bone in the skull. It can be congenital (present from birth), but typically. It often starts when a perforation (hole) in the eardrum. What Is Cholesteatoma Of The Ear.
From www.youtube.com
Cholesteatoma Summary Middle Ear MRI MRI Online YouTube What Is Cholesteatoma Of The Ear Cholesteatoma is an abnormal skin growth within the middle ear. It often starts when a perforation (hole) in the eardrum allows. Cholesteatoma is a type of skin cyst that is located in the middle ear and mastoid bone in the skull. A cholesteatoma is a benign mass that consists of keratinizing squamous cell epithelium that grows in the middle ear.. What Is Cholesteatoma Of The Ear.
From www.slideserve.com
PPT Cholesteatoma PowerPoint Presentation, free download ID2957605 What Is Cholesteatoma Of The Ear Cholesteatoma is a type of skin cyst that is located in the middle ear and mastoid bone in the skull. It often starts when a perforation (hole) in the eardrum allows. Cholesteatoma is an accumulation of squamous epithelium and keratin debris that usually involves the middle ear and mastoid. Cholesteatoma is an abnormal skin growth in the middle ear behind. What Is Cholesteatoma Of The Ear.
From www.researchgate.net
(PDF) Middle ear cholesteatoma Surgical and aspects of the innate immunity What Is Cholesteatoma Of The Ear Cholesteatoma is an abnormal skin growth within the middle ear. This serious ear condition can be present at birth or develop later in life, often as a result of multiple ear. Cholesteatoma is an abnormal skin growth in the middle ear behind the eardrum. Cholesteatoma is an accumulation of squamous epithelium and keratin debris that usually involves the middle ear. What Is Cholesteatoma Of The Ear.
From www.cureus.com
Cureus Temporal Bone Cholesteatoma Typical Findings and Evaluation of Diagnostic Utility on What Is Cholesteatoma Of The Ear Cholesteatoma is an abnormal growth in your middle ear behind your eardrum. Cholesteatoma is an abnormal skin growth within the middle ear. Cholesteatoma is an accumulation of squamous epithelium and keratin debris that usually involves the middle ear and mastoid. A cholesteatoma is a benign mass that consists of keratinizing squamous cell epithelium that grows in the middle ear. It. What Is Cholesteatoma Of The Ear.
From www.researchgate.net
(a) Acquired cholesteatoma of attic in the left ear (arrow).... Download Scientific Diagram What Is Cholesteatoma Of The Ear Cholesteatoma is an abnormal skin growth in the middle ear behind the eardrum. It can be congenital (present from birth), but typically. A cholesteatoma is a benign mass that consists of keratinizing squamous cell epithelium that grows in the middle ear. It often starts when a perforation (hole) in the eardrum allows. Cholesteatoma is an abnormal growth in your middle. What Is Cholesteatoma Of The Ear.
From eoent.com
Cholesteatoma Eastern Oklahoma Ear, Nose & Throat, Inc. What Is Cholesteatoma Of The Ear A cholesteatoma is a benign mass that consists of keratinizing squamous cell epithelium that grows in the middle ear. Cholesteatoma is an accumulation of squamous epithelium and keratin debris that usually involves the middle ear and mastoid. Cholesteatoma is a type of skin cyst that is located in the middle ear and mastoid bone in the skull. Cholesteatoma is an. What Is Cholesteatoma Of The Ear.
From www.slideserve.com
PPT Otitis Media PowerPoint Presentation, free download ID5669922 What Is Cholesteatoma Of The Ear Cholesteatoma is a type of skin cyst that is located in the middle ear and mastoid bone in the skull. Cholesteatoma is an abnormal skin growth within the middle ear. This serious ear condition can be present at birth or develop later in life, often as a result of multiple ear. A cholesteatoma is a benign mass that consists of. What Is Cholesteatoma Of The Ear.
From mavink.com
Middle Ear Cholesteatoma Surgery What Is Cholesteatoma Of The Ear A cholesteatoma is a benign mass that consists of keratinizing squamous cell epithelium that grows in the middle ear. Cholesteatoma is an abnormal skin growth within the middle ear. This serious ear condition can be present at birth or develop later in life, often as a result of multiple ear. It can be congenital (present from birth), but typically. Cholesteatoma. What Is Cholesteatoma Of The Ear.
From pathologyapps.com
cholesteatoma ear histology What Is Cholesteatoma Of The Ear Cholesteatoma is a type of skin cyst that is located in the middle ear and mastoid bone in the skull. Cholesteatoma is an abnormal skin growth in the middle ear behind the eardrum. A cholesteatoma is a benign mass that consists of keratinizing squamous cell epithelium that grows in the middle ear. This serious ear condition can be present at. What Is Cholesteatoma Of The Ear.
From randallfong.blogspot.com
Cholesteatoma A Perplexing Disease of the Ear What Is Cholesteatoma Of The Ear Cholesteatoma is an abnormal skin growth in the middle ear behind the eardrum. This serious ear condition can be present at birth or develop later in life, often as a result of multiple ear. Cholesteatoma is a type of skin cyst that is located in the middle ear and mastoid bone in the skull. Cholesteatoma is an accumulation of squamous. What Is Cholesteatoma Of The Ear.
From www.medindia.net
Cholesteatoma Cyst in Middle Ear Benign Ear Cyst What Is Cholesteatoma Of The Ear Cholesteatoma is an accumulation of squamous epithelium and keratin debris that usually involves the middle ear and mastoid. It can be congenital (present from birth), but typically. A cholesteatoma is a benign mass that consists of keratinizing squamous cell epithelium that grows in the middle ear. This serious ear condition can be present at birth or develop later in life,. What Is Cholesteatoma Of The Ear.
From pacs.de
middle ear cholesteatomas pacs What Is Cholesteatoma Of The Ear It often starts when a perforation (hole) in the eardrum allows. Cholesteatoma is an abnormal growth in your middle ear behind your eardrum. Cholesteatoma is a type of skin cyst that is located in the middle ear and mastoid bone in the skull. This serious ear condition can be present at birth or develop later in life, often as a. What Is Cholesteatoma Of The Ear.
From www.pathologyoutlines.com
Pathology Outlines Cholesteatoma What Is Cholesteatoma Of The Ear Cholesteatoma is a type of skin cyst that is located in the middle ear and mastoid bone in the skull. Cholesteatoma is an abnormal skin growth in the middle ear behind the eardrum. This serious ear condition can be present at birth or develop later in life, often as a result of multiple ear. It often starts when a perforation. What Is Cholesteatoma Of The Ear.
From mavink.com
Middle Ear Cholesteatoma Surgery What Is Cholesteatoma Of The Ear Cholesteatoma is an abnormal skin growth in the middle ear behind the eardrum. It often starts when a perforation (hole) in the eardrum allows. Cholesteatoma is a type of skin cyst that is located in the middle ear and mastoid bone in the skull. This serious ear condition can be present at birth or develop later in life, often as. What Is Cholesteatoma Of The Ear.
From entokey.com
Endoscopic Approaches to Middle Ear Cholesteatoma Classification and Indications for Surgery What Is Cholesteatoma Of The Ear A cholesteatoma is a benign mass that consists of keratinizing squamous cell epithelium that grows in the middle ear. This serious ear condition can be present at birth or develop later in life, often as a result of multiple ear. Cholesteatoma is an accumulation of squamous epithelium and keratin debris that usually involves the middle ear and mastoid. It can. What Is Cholesteatoma Of The Ear.
From www.pathologyoutlines.com
Pathology Outlines Cholesteatoma What Is Cholesteatoma Of The Ear Cholesteatoma is an abnormal skin growth within the middle ear. It can be congenital (present from birth), but typically. Cholesteatoma is an abnormal growth in your middle ear behind your eardrum. This serious ear condition can be present at birth or develop later in life, often as a result of multiple ear. It often starts when a perforation (hole) in. What Is Cholesteatoma Of The Ear.
From www.hear.com
Cholesteatoma Symptoms, Diagnosis & Therapy India What Is Cholesteatoma Of The Ear Cholesteatoma is an abnormal skin growth in the middle ear behind the eardrum. This serious ear condition can be present at birth or develop later in life, often as a result of multiple ear. Cholesteatoma is a type of skin cyst that is located in the middle ear and mastoid bone in the skull. It often starts when a perforation. What Is Cholesteatoma Of The Ear.
From www.annsaudimed.net
Middle ear cholesteatoma characteristic CT findings in 64 patients Annals of Saudi Medicine What Is Cholesteatoma Of The Ear Cholesteatoma is an abnormal skin growth within the middle ear. Cholesteatoma is an accumulation of squamous epithelium and keratin debris that usually involves the middle ear and mastoid. Cholesteatoma is a type of skin cyst that is located in the middle ear and mastoid bone in the skull. Cholesteatoma is an abnormal growth in your middle ear behind your eardrum.. What Is Cholesteatoma Of The Ear.
From mavink.com
Cholesteatoma Histology What Is Cholesteatoma Of The Ear Cholesteatoma is an accumulation of squamous epithelium and keratin debris that usually involves the middle ear and mastoid. A cholesteatoma is a benign mass that consists of keratinizing squamous cell epithelium that grows in the middle ear. Cholesteatoma is a type of skin cyst that is located in the middle ear and mastoid bone in the skull. Cholesteatoma is an. What Is Cholesteatoma Of The Ear.
From www.pacificheadandneck.com
Cholesteatoma Pacific Head and Neck What Is Cholesteatoma Of The Ear A cholesteatoma is a benign mass that consists of keratinizing squamous cell epithelium that grows in the middle ear. It often starts when a perforation (hole) in the eardrum allows. It can be congenital (present from birth), but typically. Cholesteatoma is an abnormal skin growth within the middle ear. Cholesteatoma is an accumulation of squamous epithelium and keratin debris that. What Is Cholesteatoma Of The Ear.
From mavink.com
Middle Ear Cholesteatoma Surgery What Is Cholesteatoma Of The Ear Cholesteatoma is an abnormal growth in your middle ear behind your eardrum. It often starts when a perforation (hole) in the eardrum allows. Cholesteatoma is an abnormal skin growth within the middle ear. This serious ear condition can be present at birth or develop later in life, often as a result of multiple ear. Cholesteatoma is a type of skin. What Is Cholesteatoma Of The Ear.
From radiologykey.com
Acquired Cholesteatoma Radiology Key What Is Cholesteatoma Of The Ear A cholesteatoma is a benign mass that consists of keratinizing squamous cell epithelium that grows in the middle ear. Cholesteatoma is a type of skin cyst that is located in the middle ear and mastoid bone in the skull. Cholesteatoma is an abnormal growth in your middle ear behind your eardrum. This serious ear condition can be present at birth. What Is Cholesteatoma Of The Ear.
From pathologyapps.com
cholesteatoma ear histology What Is Cholesteatoma Of The Ear Cholesteatoma is an abnormal skin growth within the middle ear. It often starts when a perforation (hole) in the eardrum allows. It can be congenital (present from birth), but typically. Cholesteatoma is a type of skin cyst that is located in the middle ear and mastoid bone in the skull. Cholesteatoma is an accumulation of squamous epithelium and keratin debris. What Is Cholesteatoma Of The Ear.
From bssny.com
Cholesteatoma Brain & Spine Surgeons of New York What Is Cholesteatoma Of The Ear Cholesteatoma is an abnormal growth in your middle ear behind your eardrum. It often starts when a perforation (hole) in the eardrum allows. Cholesteatoma is an accumulation of squamous epithelium and keratin debris that usually involves the middle ear and mastoid. A cholesteatoma is a benign mass that consists of keratinizing squamous cell epithelium that grows in the middle ear.. What Is Cholesteatoma Of The Ear.
From mrionline.com
Cholesteatoma MRI Online What Is Cholesteatoma Of The Ear Cholesteatoma is an accumulation of squamous epithelium and keratin debris that usually involves the middle ear and mastoid. This serious ear condition can be present at birth or develop later in life, often as a result of multiple ear. Cholesteatoma is a type of skin cyst that is located in the middle ear and mastoid bone in the skull. Cholesteatoma. What Is Cholesteatoma Of The Ear.