Is Tooth Resorption Dangerous . There are different ways to manage tooth resorption, but it’s. This could be something like falling and hitting your tooth or. Occurs on the external surface of the tooth. tooth resorption is when the tooth structure is damaged or destroyed. the most common cause of tooth resorption is dental trauma, or a dental concussion. when root resorption happens outside of losing baby teeth, it’s likely due to tooth nerve or gum infection, tooth. if your teeth are chipped or break easily, you may suffer from a dental condition called external resorption. Resorption is usually discovered during routine dental examinations. tooth resorption can lead to infections, crooked teeth, tooth loss, and other dental problems that can cause lasting damage to your. Bone cells or the presence of other teeth destroy.
from www.researchgate.net
the most common cause of tooth resorption is dental trauma, or a dental concussion. Bone cells or the presence of other teeth destroy. when root resorption happens outside of losing baby teeth, it’s likely due to tooth nerve or gum infection, tooth. tooth resorption can lead to infections, crooked teeth, tooth loss, and other dental problems that can cause lasting damage to your. Resorption is usually discovered during routine dental examinations. if your teeth are chipped or break easily, you may suffer from a dental condition called external resorption. tooth resorption is when the tooth structure is damaged or destroyed. There are different ways to manage tooth resorption, but it’s. Occurs on the external surface of the tooth. This could be something like falling and hitting your tooth or.
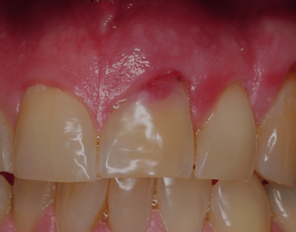
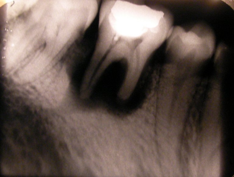
Tooth resorption. A/B) Clinical photograph and radiograph of maxillary... Download Scientific
Is Tooth Resorption Dangerous Bone cells or the presence of other teeth destroy. There are different ways to manage tooth resorption, but it’s. when root resorption happens outside of losing baby teeth, it’s likely due to tooth nerve or gum infection, tooth. Bone cells or the presence of other teeth destroy. the most common cause of tooth resorption is dental trauma, or a dental concussion. Resorption is usually discovered during routine dental examinations. if your teeth are chipped or break easily, you may suffer from a dental condition called external resorption. Occurs on the external surface of the tooth. This could be something like falling and hitting your tooth or. tooth resorption can lead to infections, crooked teeth, tooth loss, and other dental problems that can cause lasting damage to your. tooth resorption is when the tooth structure is damaged or destroyed.
From www.smileperfectors.com
Save a Badly Decayed or Damaged Tooth with a Root Canal Therapy Smile Perfectors Is Tooth Resorption Dangerous This could be something like falling and hitting your tooth or. when root resorption happens outside of losing baby teeth, it’s likely due to tooth nerve or gum infection, tooth. tooth resorption can lead to infections, crooked teeth, tooth loss, and other dental problems that can cause lasting damage to your. Bone cells or the presence of other. Is Tooth Resorption Dangerous.
From www.dentaly.org
Tooth Resorption Is It Dangerous and Why Should You Care? Is Tooth Resorption Dangerous Bone cells or the presence of other teeth destroy. the most common cause of tooth resorption is dental trauma, or a dental concussion. if your teeth are chipped or break easily, you may suffer from a dental condition called external resorption. tooth resorption can lead to infections, crooked teeth, tooth loss, and other dental problems that can. Is Tooth Resorption Dangerous.
From bethesdafamilydentistry.com
What is Dental Resorption? Is Tooth Resorption Dangerous There are different ways to manage tooth resorption, but it’s. This could be something like falling and hitting your tooth or. Occurs on the external surface of the tooth. tooth resorption is when the tooth structure is damaged or destroyed. Resorption is usually discovered during routine dental examinations. if your teeth are chipped or break easily, you may. Is Tooth Resorption Dangerous.
From www.onlymyhealth.com
Tooth Root Resorption Signs Of Damaged Teeth Roots You Should Never Ignore OnlyMyHealth Is Tooth Resorption Dangerous if your teeth are chipped or break easily, you may suffer from a dental condition called external resorption. There are different ways to manage tooth resorption, but it’s. Bone cells or the presence of other teeth destroy. Occurs on the external surface of the tooth. when root resorption happens outside of losing baby teeth, it’s likely due to. Is Tooth Resorption Dangerous.
From miamirootcanal.com
Tooth Resorption Treatment At Miami Root Canal Specialists Is Tooth Resorption Dangerous This could be something like falling and hitting your tooth or. Resorption is usually discovered during routine dental examinations. tooth resorption is when the tooth structure is damaged or destroyed. Occurs on the external surface of the tooth. if your teeth are chipped or break easily, you may suffer from a dental condition called external resorption. the. Is Tooth Resorption Dangerous.
From www.healthline.com
Resorption of Teeth Causes, Symptoms, and What to Do Is Tooth Resorption Dangerous the most common cause of tooth resorption is dental trauma, or a dental concussion. Bone cells or the presence of other teeth destroy. There are different ways to manage tooth resorption, but it’s. if your teeth are chipped or break easily, you may suffer from a dental condition called external resorption. tooth resorption is when the tooth. Is Tooth Resorption Dangerous.
From endodontics.styleitaliano.org
Management of a perforating internal inflammatory root resorption in a maxillary central incisor Is Tooth Resorption Dangerous Resorption is usually discovered during routine dental examinations. if your teeth are chipped or break easily, you may suffer from a dental condition called external resorption. Occurs on the external surface of the tooth. tooth resorption can lead to infections, crooked teeth, tooth loss, and other dental problems that can cause lasting damage to your. Bone cells or. Is Tooth Resorption Dangerous.
From www.youtube.com
Tooth resorption treatment CASE 1. Leczenie resorpcji zęba. YouTube Is Tooth Resorption Dangerous if your teeth are chipped or break easily, you may suffer from a dental condition called external resorption. tooth resorption can lead to infections, crooked teeth, tooth loss, and other dental problems that can cause lasting damage to your. tooth resorption is when the tooth structure is damaged or destroyed. Resorption is usually discovered during routine dental. Is Tooth Resorption Dangerous.
From askadentist.com
Resorption Ask A Dentist Is Tooth Resorption Dangerous Resorption is usually discovered during routine dental examinations. when root resorption happens outside of losing baby teeth, it’s likely due to tooth nerve or gum infection, tooth. tooth resorption can lead to infections, crooked teeth, tooth loss, and other dental problems that can cause lasting damage to your. Occurs on the external surface of the tooth. Bone cells. Is Tooth Resorption Dangerous.
From worldofdentistry.org
Internal Tooth Resorption 7 Definitive Symptoms To Look For Is Tooth Resorption Dangerous Occurs on the external surface of the tooth. Bone cells or the presence of other teeth destroy. tooth resorption can lead to infections, crooked teeth, tooth loss, and other dental problems that can cause lasting damage to your. if your teeth are chipped or break easily, you may suffer from a dental condition called external resorption. when. Is Tooth Resorption Dangerous.
From www.newcastledentistry.co.uk
Tooth Resorption A complication of orthodontic treatment Is Tooth Resorption Dangerous There are different ways to manage tooth resorption, but it’s. This could be something like falling and hitting your tooth or. Occurs on the external surface of the tooth. the most common cause of tooth resorption is dental trauma, or a dental concussion. Bone cells or the presence of other teeth destroy. if your teeth are chipped or. Is Tooth Resorption Dangerous.
From www.youtube.com
Understanding Internal Tooth Resorption Causes, Symptoms, and Treatment YouTube Is Tooth Resorption Dangerous tooth resorption can lead to infections, crooked teeth, tooth loss, and other dental problems that can cause lasting damage to your. Bone cells or the presence of other teeth destroy. tooth resorption is when the tooth structure is damaged or destroyed. if your teeth are chipped or break easily, you may suffer from a dental condition called. Is Tooth Resorption Dangerous.
From animaldentalspecialist.com
Tooth Resorption Animal Dental Specialist Is Tooth Resorption Dangerous Bone cells or the presence of other teeth destroy. when root resorption happens outside of losing baby teeth, it’s likely due to tooth nerve or gum infection, tooth. tooth resorption is when the tooth structure is damaged or destroyed. There are different ways to manage tooth resorption, but it’s. Resorption is usually discovered during routine dental examinations. . Is Tooth Resorption Dangerous.
From www.dentistryiq.com
Dental resorption The silent killer Dentistry IQ Is Tooth Resorption Dangerous Bone cells or the presence of other teeth destroy. This could be something like falling and hitting your tooth or. if your teeth are chipped or break easily, you may suffer from a dental condition called external resorption. Occurs on the external surface of the tooth. Resorption is usually discovered during routine dental examinations. There are different ways to. Is Tooth Resorption Dangerous.
From www.myzerodonto.com
Management of severe internal resorption with perforation, 8 months follow up! MyZerodonto Is Tooth Resorption Dangerous if your teeth are chipped or break easily, you may suffer from a dental condition called external resorption. tooth resorption is when the tooth structure is damaged or destroyed. Occurs on the external surface of the tooth. This could be something like falling and hitting your tooth or. when root resorption happens outside of losing baby teeth,. Is Tooth Resorption Dangerous.
From onlinelibrary.wiley.com
Tooth Resorption Part 1 The evolvement, rationales and controversies of tooth resorption Is Tooth Resorption Dangerous Occurs on the external surface of the tooth. Resorption is usually discovered during routine dental examinations. the most common cause of tooth resorption is dental trauma, or a dental concussion. tooth resorption is when the tooth structure is damaged or destroyed. This could be something like falling and hitting your tooth or. when root resorption happens outside. Is Tooth Resorption Dangerous.
From www.pinterest.com
Tooth resorption is a process by which all or part of a tooth structure is lost due to Is Tooth Resorption Dangerous There are different ways to manage tooth resorption, but it’s. This could be something like falling and hitting your tooth or. tooth resorption can lead to infections, crooked teeth, tooth loss, and other dental problems that can cause lasting damage to your. tooth resorption is when the tooth structure is damaged or destroyed. the most common cause. Is Tooth Resorption Dangerous.
From laureldentalclinic.com
An Explanation of Tooth Resorption Laurel Dental Clinic Is Tooth Resorption Dangerous Bone cells or the presence of other teeth destroy. the most common cause of tooth resorption is dental trauma, or a dental concussion. This could be something like falling and hitting your tooth or. if your teeth are chipped or break easily, you may suffer from a dental condition called external resorption. Resorption is usually discovered during routine. Is Tooth Resorption Dangerous.
From www.natrusmile.com
Resorption Of Teeth Causes, Symptoms, And More NatruSmile Is Tooth Resorption Dangerous Bone cells or the presence of other teeth destroy. if your teeth are chipped or break easily, you may suffer from a dental condition called external resorption. tooth resorption is when the tooth structure is damaged or destroyed. Occurs on the external surface of the tooth. when root resorption happens outside of losing baby teeth, it’s likely. Is Tooth Resorption Dangerous.
From renovoendo.com
MASSIVE TOOTH RESORPTION MASSIVE TOOTH RESORPTION We have been waiting to post this case Is Tooth Resorption Dangerous the most common cause of tooth resorption is dental trauma, or a dental concussion. tooth resorption can lead to infections, crooked teeth, tooth loss, and other dental problems that can cause lasting damage to your. Resorption is usually discovered during routine dental examinations. when root resorption happens outside of losing baby teeth, it’s likely due to tooth. Is Tooth Resorption Dangerous.
From www.fampetvet.com
Tooth Resorption Is Tooth Resorption Dangerous when root resorption happens outside of losing baby teeth, it’s likely due to tooth nerve or gum infection, tooth. if your teeth are chipped or break easily, you may suffer from a dental condition called external resorption. tooth resorption is when the tooth structure is damaged or destroyed. Occurs on the external surface of the tooth. This. Is Tooth Resorption Dangerous.
From onlinelibrary.wiley.com
Tooth resorption—Part 2 A clinical classification Abbott 2022 Dental Traumatology Wiley Is Tooth Resorption Dangerous the most common cause of tooth resorption is dental trauma, or a dental concussion. This could be something like falling and hitting your tooth or. Resorption is usually discovered during routine dental examinations. tooth resorption can lead to infections, crooked teeth, tooth loss, and other dental problems that can cause lasting damage to your. tooth resorption is. Is Tooth Resorption Dangerous.
From www.youtube.com
INTERNAL RESORPTION OF TOOTH I PINK TOOTH OF MUMMERY I ODONTOCLASTOMA I ORAL PATHOLOGY YouTube Is Tooth Resorption Dangerous Bone cells or the presence of other teeth destroy. This could be something like falling and hitting your tooth or. Occurs on the external surface of the tooth. the most common cause of tooth resorption is dental trauma, or a dental concussion. Resorption is usually discovered during routine dental examinations. tooth resorption can lead to infections, crooked teeth,. Is Tooth Resorption Dangerous.
From www.draxelrad.com
External and Internal Tooth Resorption Dentist in Brampton, ON Brampton Dentist Is Tooth Resorption Dangerous tooth resorption can lead to infections, crooked teeth, tooth loss, and other dental problems that can cause lasting damage to your. if your teeth are chipped or break easily, you may suffer from a dental condition called external resorption. Bone cells or the presence of other teeth destroy. tooth resorption is when the tooth structure is damaged. Is Tooth Resorption Dangerous.
From www.dentistryiq.com
How trauma led to a classic case of external resorption An endodontics case report Dentistry IQ Is Tooth Resorption Dangerous This could be something like falling and hitting your tooth or. when root resorption happens outside of losing baby teeth, it’s likely due to tooth nerve or gum infection, tooth. tooth resorption is when the tooth structure is damaged or destroyed. Bone cells or the presence of other teeth destroy. tooth resorption can lead to infections, crooked. Is Tooth Resorption Dangerous.
From iv.iiarjournals.org
Radiological and Histopathological Features of Internal Tooth Resorption In Vivo Is Tooth Resorption Dangerous tooth resorption can lead to infections, crooked teeth, tooth loss, and other dental problems that can cause lasting damage to your. Bone cells or the presence of other teeth destroy. Resorption is usually discovered during routine dental examinations. tooth resorption is when the tooth structure is damaged or destroyed. There are different ways to manage tooth resorption, but. Is Tooth Resorption Dangerous.
From manidental.com
Everything You Need to Know About Tooth Resorption ManiDental Family Practice Is Tooth Resorption Dangerous if your teeth are chipped or break easily, you may suffer from a dental condition called external resorption. Bone cells or the presence of other teeth destroy. tooth resorption can lead to infections, crooked teeth, tooth loss, and other dental problems that can cause lasting damage to your. when root resorption happens outside of losing baby teeth,. Is Tooth Resorption Dangerous.
From www.smilesbypayet.com
What is Root Resorption? Can it Be Fixed? Charlotte Root Canal Dentist Is Tooth Resorption Dangerous Bone cells or the presence of other teeth destroy. when root resorption happens outside of losing baby teeth, it’s likely due to tooth nerve or gum infection, tooth. There are different ways to manage tooth resorption, but it’s. tooth resorption is when the tooth structure is damaged or destroyed. Occurs on the external surface of the tooth. . Is Tooth Resorption Dangerous.
From www.wormansmilldentalgroup.com
Root Resorption Frederick MD, Wormans Mill Dental Group Is Tooth Resorption Dangerous Occurs on the external surface of the tooth. Bone cells or the presence of other teeth destroy. if your teeth are chipped or break easily, you may suffer from a dental condition called external resorption. Resorption is usually discovered during routine dental examinations. tooth resorption can lead to infections, crooked teeth, tooth loss, and other dental problems that. Is Tooth Resorption Dangerous.
From www.dentaly.org
Tooth Resorption Is It Dangerous and Why Should You Care? Is Tooth Resorption Dangerous the most common cause of tooth resorption is dental trauma, or a dental concussion. tooth resorption can lead to infections, crooked teeth, tooth loss, and other dental problems that can cause lasting damage to your. when root resorption happens outside of losing baby teeth, it’s likely due to tooth nerve or gum infection, tooth. Occurs on the. Is Tooth Resorption Dangerous.
From www.beverlyhillsadvancedendodontics.com
Root Resorption after Root Canal Beverly Hills Root Resorption Treatment Is Tooth Resorption Dangerous This could be something like falling and hitting your tooth or. Occurs on the external surface of the tooth. the most common cause of tooth resorption is dental trauma, or a dental concussion. tooth resorption can lead to infections, crooked teeth, tooth loss, and other dental problems that can cause lasting damage to your. when root resorption. Is Tooth Resorption Dangerous.
From www.dentaly.org
Tooth Resorption Is It Dangerous and Why Should You Care? Is Tooth Resorption Dangerous if your teeth are chipped or break easily, you may suffer from a dental condition called external resorption. There are different ways to manage tooth resorption, but it’s. Bone cells or the presence of other teeth destroy. Occurs on the external surface of the tooth. tooth resorption can lead to infections, crooked teeth, tooth loss, and other dental. Is Tooth Resorption Dangerous.
From vslveterinary.com
tooth resorption stages VSL VSL Veterinary Clinic Is Tooth Resorption Dangerous if your teeth are chipped or break easily, you may suffer from a dental condition called external resorption. Bone cells or the presence of other teeth destroy. when root resorption happens outside of losing baby teeth, it’s likely due to tooth nerve or gum infection, tooth. tooth resorption can lead to infections, crooked teeth, tooth loss, and. Is Tooth Resorption Dangerous.
From www.teethtalkgirl.com
8 Signs Of Root Resorption & Resorbing Tooth Is Tooth Resorption Dangerous when root resorption happens outside of losing baby teeth, it’s likely due to tooth nerve or gum infection, tooth. There are different ways to manage tooth resorption, but it’s. if your teeth are chipped or break easily, you may suffer from a dental condition called external resorption. the most common cause of tooth resorption is dental trauma,. Is Tooth Resorption Dangerous.
From www.researchgate.net
Tooth resorption. A/B) Clinical photograph and radiograph of maxillary... Download Scientific Is Tooth Resorption Dangerous Bone cells or the presence of other teeth destroy. tooth resorption can lead to infections, crooked teeth, tooth loss, and other dental problems that can cause lasting damage to your. when root resorption happens outside of losing baby teeth, it’s likely due to tooth nerve or gum infection, tooth. tooth resorption is when the tooth structure is. Is Tooth Resorption Dangerous.