Scar Tissue Endometriosis Pain . Not everyone with scar tissue or adhesions will experience symptoms. Endometriosis is described as the presence of functioning endometrial tissue outside the uterine cavity. When endometrial tissue breaks down, it may irritate and inflame the surrounding area, causing scar tissue to grow. People with persistent, severe pain from endometriosis may need surgery to remove endometrial growths and scar tissue. Additionally, symptoms may vary based on the location and severity of. These nodules can appear in your.
from www.wisegeek.com
Additionally, symptoms may vary based on the location and severity of. Not everyone with scar tissue or adhesions will experience symptoms. These nodules can appear in your. People with persistent, severe pain from endometriosis may need surgery to remove endometrial growths and scar tissue. Endometriosis is described as the presence of functioning endometrial tissue outside the uterine cavity. When endometrial tissue breaks down, it may irritate and inflame the surrounding area, causing scar tissue to grow.
What are the Best Treatments for Endometriosis Pain?
Scar Tissue Endometriosis Pain When endometrial tissue breaks down, it may irritate and inflame the surrounding area, causing scar tissue to grow. These nodules can appear in your. People with persistent, severe pain from endometriosis may need surgery to remove endometrial growths and scar tissue. Endometriosis is described as the presence of functioning endometrial tissue outside the uterine cavity. When endometrial tissue breaks down, it may irritate and inflame the surrounding area, causing scar tissue to grow. Additionally, symptoms may vary based on the location and severity of. Not everyone with scar tissue or adhesions will experience symptoms.
From www.pinterest.com
The scar tissue and adhesions from endo are caused by inflammation, and Scar Tissue Endometriosis Pain Not everyone with scar tissue or adhesions will experience symptoms. Additionally, symptoms may vary based on the location and severity of. When endometrial tissue breaks down, it may irritate and inflame the surrounding area, causing scar tissue to grow. Endometriosis is described as the presence of functioning endometrial tissue outside the uterine cavity. People with persistent, severe pain from endometriosis. Scar Tissue Endometriosis Pain.
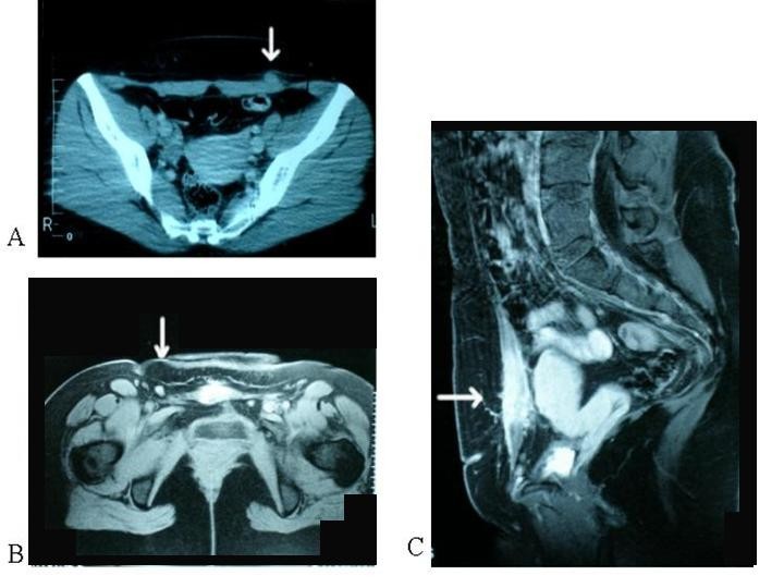
From www.ctisus.com
Scar Endometriosis Body MR Case Studies CTisus CT Scanning Scar Tissue Endometriosis Pain People with persistent, severe pain from endometriosis may need surgery to remove endometrial growths and scar tissue. Additionally, symptoms may vary based on the location and severity of. When endometrial tissue breaks down, it may irritate and inflame the surrounding area, causing scar tissue to grow. Not everyone with scar tissue or adhesions will experience symptoms. Endometriosis is described as. Scar Tissue Endometriosis Pain.
From www.cureus.com
Cureus Catamenial Rectus Abdominis Pain Associated with Scar Scar Tissue Endometriosis Pain Additionally, symptoms may vary based on the location and severity of. People with persistent, severe pain from endometriosis may need surgery to remove endometrial growths and scar tissue. Endometriosis is described as the presence of functioning endometrial tissue outside the uterine cavity. When endometrial tissue breaks down, it may irritate and inflame the surrounding area, causing scar tissue to grow.. Scar Tissue Endometriosis Pain.
From www.istockphoto.com
Scar Endometriosis Microscopic Image Show Fibrocollagenous Tissue Scar Tissue Endometriosis Pain When endometrial tissue breaks down, it may irritate and inflame the surrounding area, causing scar tissue to grow. Endometriosis is described as the presence of functioning endometrial tissue outside the uterine cavity. People with persistent, severe pain from endometriosis may need surgery to remove endometrial growths and scar tissue. Not everyone with scar tissue or adhesions will experience symptoms. These. Scar Tissue Endometriosis Pain.
From www.advancedhysteroscopy.com
Endometrial Scarring/Adhesions Asherman’s Syndrome Dr Eleftherios Scar Tissue Endometriosis Pain Endometriosis is described as the presence of functioning endometrial tissue outside the uterine cavity. Additionally, symptoms may vary based on the location and severity of. Not everyone with scar tissue or adhesions will experience symptoms. These nodules can appear in your. People with persistent, severe pain from endometriosis may need surgery to remove endometrial growths and scar tissue. When endometrial. Scar Tissue Endometriosis Pain.
From www.verywellhealth.com
What Causes Endometriosis? Immune System, Menstruation Scar Tissue Endometriosis Pain When endometrial tissue breaks down, it may irritate and inflame the surrounding area, causing scar tissue to grow. Not everyone with scar tissue or adhesions will experience symptoms. Additionally, symptoms may vary based on the location and severity of. People with persistent, severe pain from endometriosis may need surgery to remove endometrial growths and scar tissue. Endometriosis is described as. Scar Tissue Endometriosis Pain.
From www.ctisus.com
Scar Endometriosis Body MR Case Studies CTisus CT Scanning Scar Tissue Endometriosis Pain When endometrial tissue breaks down, it may irritate and inflame the surrounding area, causing scar tissue to grow. These nodules can appear in your. Endometriosis is described as the presence of functioning endometrial tissue outside the uterine cavity. Additionally, symptoms may vary based on the location and severity of. Not everyone with scar tissue or adhesions will experience symptoms. People. Scar Tissue Endometriosis Pain.
From protejaoma.blogspot.com
Endometriosis Cyst The Radiology Assistant MRI detection of Scar Tissue Endometriosis Pain Endometriosis is described as the presence of functioning endometrial tissue outside the uterine cavity. People with persistent, severe pain from endometriosis may need surgery to remove endometrial growths and scar tissue. Not everyone with scar tissue or adhesions will experience symptoms. When endometrial tissue breaks down, it may irritate and inflame the surrounding area, causing scar tissue to grow. These. Scar Tissue Endometriosis Pain.
From www.semanticscholar.org
Figure 3 from Perineal Endometriosis in an Episiotomy Scar A Rare Case Scar Tissue Endometriosis Pain These nodules can appear in your. Not everyone with scar tissue or adhesions will experience symptoms. People with persistent, severe pain from endometriosis may need surgery to remove endometrial growths and scar tissue. Endometriosis is described as the presence of functioning endometrial tissue outside the uterine cavity. Additionally, symptoms may vary based on the location and severity of. When endometrial. Scar Tissue Endometriosis Pain.
From intlwomensclinic.com
Endometriosis International Women's Clinic Scar Tissue Endometriosis Pain People with persistent, severe pain from endometriosis may need surgery to remove endometrial growths and scar tissue. Not everyone with scar tissue or adhesions will experience symptoms. Additionally, symptoms may vary based on the location and severity of. When endometrial tissue breaks down, it may irritate and inflame the surrounding area, causing scar tissue to grow. Endometriosis is described as. Scar Tissue Endometriosis Pain.
From radiopaedia.org
Scar endometriosis Image Scar Tissue Endometriosis Pain Additionally, symptoms may vary based on the location and severity of. These nodules can appear in your. Not everyone with scar tissue or adhesions will experience symptoms. Endometriosis is described as the presence of functioning endometrial tissue outside the uterine cavity. When endometrial tissue breaks down, it may irritate and inflame the surrounding area, causing scar tissue to grow. People. Scar Tissue Endometriosis Pain.
From drseckin.com
CSection Scar Endometriosis Seckin Endometriosis Center Scar Tissue Endometriosis Pain People with persistent, severe pain from endometriosis may need surgery to remove endometrial growths and scar tissue. Endometriosis is described as the presence of functioning endometrial tissue outside the uterine cavity. These nodules can appear in your. When endometrial tissue breaks down, it may irritate and inflame the surrounding area, causing scar tissue to grow. Additionally, symptoms may vary based. Scar Tissue Endometriosis Pain.
From www.wisegeek.com
What are the Best Treatments for Endometriosis Pain? Scar Tissue Endometriosis Pain Additionally, symptoms may vary based on the location and severity of. Not everyone with scar tissue or adhesions will experience symptoms. These nodules can appear in your. When endometrial tissue breaks down, it may irritate and inflame the surrounding area, causing scar tissue to grow. Endometriosis is described as the presence of functioning endometrial tissue outside the uterine cavity. People. Scar Tissue Endometriosis Pain.
From statesboro.com
Laparoscopic Surgery for Endometriosis Statesboro, GA Statesboro Scar Tissue Endometriosis Pain When endometrial tissue breaks down, it may irritate and inflame the surrounding area, causing scar tissue to grow. Additionally, symptoms may vary based on the location and severity of. Not everyone with scar tissue or adhesions will experience symptoms. Endometriosis is described as the presence of functioning endometrial tissue outside the uterine cavity. These nodules can appear in your. People. Scar Tissue Endometriosis Pain.
From www.medicalnewstoday.com
Endometriosis after Csection Symptoms, treatment, and scars Scar Tissue Endometriosis Pain People with persistent, severe pain from endometriosis may need surgery to remove endometrial growths and scar tissue. When endometrial tissue breaks down, it may irritate and inflame the surrounding area, causing scar tissue to grow. Additionally, symptoms may vary based on the location and severity of. These nodules can appear in your. Endometriosis is described as the presence of functioning. Scar Tissue Endometriosis Pain.
From stock.adobe.com
Scar endometriosis, microscopic image show fibrocollagenous tissue Scar Tissue Endometriosis Pain Additionally, symptoms may vary based on the location and severity of. People with persistent, severe pain from endometriosis may need surgery to remove endometrial growths and scar tissue. Not everyone with scar tissue or adhesions will experience symptoms. These nodules can appear in your. When endometrial tissue breaks down, it may irritate and inflame the surrounding area, causing scar tissue. Scar Tissue Endometriosis Pain.
From www.clinicalradiologyonline.net
Caesareansection scar endometriosis (CSSE) clinical and imaging Scar Tissue Endometriosis Pain People with persistent, severe pain from endometriosis may need surgery to remove endometrial growths and scar tissue. Additionally, symptoms may vary based on the location and severity of. Not everyone with scar tissue or adhesions will experience symptoms. These nodules can appear in your. When endometrial tissue breaks down, it may irritate and inflame the surrounding area, causing scar tissue. Scar Tissue Endometriosis Pain.
From pubs.rsna.org
Endometriosis of Abdominal and Pelvic Wall Scars Multimodality Imaging Scar Tissue Endometriosis Pain Additionally, symptoms may vary based on the location and severity of. These nodules can appear in your. People with persistent, severe pain from endometriosis may need surgery to remove endometrial growths and scar tissue. Endometriosis is described as the presence of functioning endometrial tissue outside the uterine cavity. When endometrial tissue breaks down, it may irritate and inflame the surrounding. Scar Tissue Endometriosis Pain.
From radiopaedia.org
Scar endometriosis Image Scar Tissue Endometriosis Pain People with persistent, severe pain from endometriosis may need surgery to remove endometrial growths and scar tissue. When endometrial tissue breaks down, it may irritate and inflame the surrounding area, causing scar tissue to grow. These nodules can appear in your. Additionally, symptoms may vary based on the location and severity of. Endometriosis is described as the presence of functioning. Scar Tissue Endometriosis Pain.
From shruthians.wordpress.com
SCAR ENDOMETRIOSISA STORY OF HEALING THROUGH AYURVEDIC Scar Tissue Endometriosis Pain Endometriosis is described as the presence of functioning endometrial tissue outside the uterine cavity. Additionally, symptoms may vary based on the location and severity of. People with persistent, severe pain from endometriosis may need surgery to remove endometrial growths and scar tissue. Not everyone with scar tissue or adhesions will experience symptoms. When endometrial tissue breaks down, it may irritate. Scar Tissue Endometriosis Pain.
From radiopaedia.org
Image Scar Tissue Endometriosis Pain When endometrial tissue breaks down, it may irritate and inflame the surrounding area, causing scar tissue to grow. People with persistent, severe pain from endometriosis may need surgery to remove endometrial growths and scar tissue. Additionally, symptoms may vary based on the location and severity of. Endometriosis is described as the presence of functioning endometrial tissue outside the uterine cavity.. Scar Tissue Endometriosis Pain.
From www.sheknows.com
This Is What Endometriosis Does to Your Body Scar Tissue Endometriosis Pain These nodules can appear in your. Endometriosis is described as the presence of functioning endometrial tissue outside the uterine cavity. Not everyone with scar tissue or adhesions will experience symptoms. Additionally, symptoms may vary based on the location and severity of. People with persistent, severe pain from endometriosis may need surgery to remove endometrial growths and scar tissue. When endometrial. Scar Tissue Endometriosis Pain.
From www.zoeyolivia.com
Endometriosislaparoscopyscaroperationzoeyoliviabloggerstage4 Scar Tissue Endometriosis Pain Not everyone with scar tissue or adhesions will experience symptoms. Endometriosis is described as the presence of functioning endometrial tissue outside the uterine cavity. Additionally, symptoms may vary based on the location and severity of. When endometrial tissue breaks down, it may irritate and inflame the surrounding area, causing scar tissue to grow. People with persistent, severe pain from endometriosis. Scar Tissue Endometriosis Pain.
From www.shutterstock.com
Endometriosis Symptoms Infographic Detailed Vector Infographic Stock Scar Tissue Endometriosis Pain Not everyone with scar tissue or adhesions will experience symptoms. Endometriosis is described as the presence of functioning endometrial tissue outside the uterine cavity. When endometrial tissue breaks down, it may irritate and inflame the surrounding area, causing scar tissue to grow. Additionally, symptoms may vary based on the location and severity of. These nodules can appear in your. People. Scar Tissue Endometriosis Pain.
From drkalirajanscans.com
Scar endometriosis drkalirajanscans Scar Tissue Endometriosis Pain People with persistent, severe pain from endometriosis may need surgery to remove endometrial growths and scar tissue. Endometriosis is described as the presence of functioning endometrial tissue outside the uterine cavity. These nodules can appear in your. When endometrial tissue breaks down, it may irritate and inflame the surrounding area, causing scar tissue to grow. Not everyone with scar tissue. Scar Tissue Endometriosis Pain.
From www.jax.org
Learn all about endometriosis in this Minute to Understanding from the Scar Tissue Endometriosis Pain Endometriosis is described as the presence of functioning endometrial tissue outside the uterine cavity. Additionally, symptoms may vary based on the location and severity of. When endometrial tissue breaks down, it may irritate and inflame the surrounding area, causing scar tissue to grow. People with persistent, severe pain from endometriosis may need surgery to remove endometrial growths and scar tissue.. Scar Tissue Endometriosis Pain.
From casesjournal.biomedcentral.com
Ultrasound and MRimaging in preoperative evaluation of two rare cases Scar Tissue Endometriosis Pain Not everyone with scar tissue or adhesions will experience symptoms. When endometrial tissue breaks down, it may irritate and inflame the surrounding area, causing scar tissue to grow. Additionally, symptoms may vary based on the location and severity of. These nodules can appear in your. Endometriosis is described as the presence of functioning endometrial tissue outside the uterine cavity. People. Scar Tissue Endometriosis Pain.
From www.allohealth.care
Understanding Scar Endometriosis Causes, Symptoms, And Treatment Scar Tissue Endometriosis Pain Not everyone with scar tissue or adhesions will experience symptoms. Additionally, symptoms may vary based on the location and severity of. These nodules can appear in your. Endometriosis is described as the presence of functioning endometrial tissue outside the uterine cavity. People with persistent, severe pain from endometriosis may need surgery to remove endometrial growths and scar tissue. When endometrial. Scar Tissue Endometriosis Pain.
From pubs.rsna.org
Endometriosis of Abdominal and Pelvic Wall Scars Multimodality Imaging Scar Tissue Endometriosis Pain When endometrial tissue breaks down, it may irritate and inflame the surrounding area, causing scar tissue to grow. These nodules can appear in your. Additionally, symptoms may vary based on the location and severity of. People with persistent, severe pain from endometriosis may need surgery to remove endometrial growths and scar tissue. Endometriosis is described as the presence of functioning. Scar Tissue Endometriosis Pain.
From stock.adobe.com
Scar endometriosis, microscopic image show fibrocollagenous tissue Scar Tissue Endometriosis Pain People with persistent, severe pain from endometriosis may need surgery to remove endometrial growths and scar tissue. Not everyone with scar tissue or adhesions will experience symptoms. Endometriosis is described as the presence of functioning endometrial tissue outside the uterine cavity. These nodules can appear in your. Additionally, symptoms may vary based on the location and severity of. When endometrial. Scar Tissue Endometriosis Pain.
From pubs.rsna.org
Endometriosis of Abdominal and Pelvic Wall Scars Multimodality Imaging Scar Tissue Endometriosis Pain Additionally, symptoms may vary based on the location and severity of. When endometrial tissue breaks down, it may irritate and inflame the surrounding area, causing scar tissue to grow. Endometriosis is described as the presence of functioning endometrial tissue outside the uterine cavity. People with persistent, severe pain from endometriosis may need surgery to remove endometrial growths and scar tissue.. Scar Tissue Endometriosis Pain.
From ultrasoundfeminsider.com
Endometriosis, Endometriosis symptoms, diagnosis and treatments Scar Tissue Endometriosis Pain These nodules can appear in your. Not everyone with scar tissue or adhesions will experience symptoms. Additionally, symptoms may vary based on the location and severity of. When endometrial tissue breaks down, it may irritate and inflame the surrounding area, causing scar tissue to grow. Endometriosis is described as the presence of functioning endometrial tissue outside the uterine cavity. People. Scar Tissue Endometriosis Pain.
From endometriosisandme.weebly.com
Stages Scar Tissue Endometriosis Pain Additionally, symptoms may vary based on the location and severity of. Endometriosis is described as the presence of functioning endometrial tissue outside the uterine cavity. When endometrial tissue breaks down, it may irritate and inflame the surrounding area, causing scar tissue to grow. Not everyone with scar tissue or adhesions will experience symptoms. People with persistent, severe pain from endometriosis. Scar Tissue Endometriosis Pain.
From www.pharmacists.org
Everything You Need to Know About Endometriosis Symptoms, Causes Scar Tissue Endometriosis Pain These nodules can appear in your. People with persistent, severe pain from endometriosis may need surgery to remove endometrial growths and scar tissue. Additionally, symptoms may vary based on the location and severity of. Not everyone with scar tissue or adhesions will experience symptoms. Endometriosis is described as the presence of functioning endometrial tissue outside the uterine cavity. When endometrial. Scar Tissue Endometriosis Pain.
From medhyaherbals.com
Endometriosis Symptoms 5 Early Signs You Shouldn't Ignore Scar Tissue Endometriosis Pain When endometrial tissue breaks down, it may irritate and inflame the surrounding area, causing scar tissue to grow. Endometriosis is described as the presence of functioning endometrial tissue outside the uterine cavity. Additionally, symptoms may vary based on the location and severity of. People with persistent, severe pain from endometriosis may need surgery to remove endometrial growths and scar tissue.. Scar Tissue Endometriosis Pain.