Spasm In Your Heart . The spasm often occurs in coronary arteries that have not become hardened due to plaque buildup. There can also be arm or jaw pain. These symptoms may occur spontaneously or due to cold weather, exercise or stress. The disorder may be a sign that you have a high risk for heart attack or deadly irregular. Coronary artery spasms are a medical condition where your artery temporarily either blocks off or decreases blood flow to your. A coronary artery spasm may feel like chest pain, a burning or. Coronary artery spasms happen when the walls of blood vessels squeeze together. However, treatment most often helps control symptoms. Coronary artery spasm is a brief, sudden narrowing of one of these arteries. When this occurs, your arteries narrow and prevent blood. A coronary artery spasm is a sudden tightening of the muscles within the arteries of your heart. It is chest tightness or pain caused by tightening of a heart artery. What is a coronary artery spasm? This causes part of the blood vessel to narrow.
from universityhealthnews.com
There can also be arm or jaw pain. These symptoms may occur spontaneously or due to cold weather, exercise or stress. What is a coronary artery spasm? However, treatment most often helps control symptoms. Coronary artery spasms happen when the walls of blood vessels squeeze together. The disorder may be a sign that you have a high risk for heart attack or deadly irregular. A coronary artery spasm is a sudden tightening of the muscles within the arteries of your heart. Coronary artery spasm is a brief, sudden narrowing of one of these arteries. A coronary artery spasm may feel like chest pain, a burning or. It is chest tightness or pain caused by tightening of a heart artery.
What Causes Heart Attacks—and How to Prevent Them University Health News
Spasm In Your Heart What is a coronary artery spasm? A coronary artery spasm may feel like chest pain, a burning or. The spasm often occurs in coronary arteries that have not become hardened due to plaque buildup. A coronary artery spasm is a sudden tightening of the muscles within the arteries of your heart. Coronary artery spasm is a brief, sudden narrowing of one of these arteries. There can also be arm or jaw pain. What is a coronary artery spasm? These symptoms may occur spontaneously or due to cold weather, exercise or stress. The disorder may be a sign that you have a high risk for heart attack or deadly irregular. Coronary artery spasms happen when the walls of blood vessels squeeze together. When this occurs, your arteries narrow and prevent blood. This causes part of the blood vessel to narrow. It is chest tightness or pain caused by tightening of a heart artery. However, treatment most often helps control symptoms. Coronary artery spasms are a medical condition where your artery temporarily either blocks off or decreases blood flow to your.
From www.dreamstime.com
Banker Woman Have a Spasm in Heart. Stock Photo Image of Spasm In Your Heart A coronary artery spasm may feel like chest pain, a burning or. These symptoms may occur spontaneously or due to cold weather, exercise or stress. This causes part of the blood vessel to narrow. It is chest tightness or pain caused by tightening of a heart artery. A coronary artery spasm is a sudden tightening of the muscles within the. Spasm In Your Heart.
From universityhealthnews.com
What Causes Heart Attacks—and How to Prevent Them University Health News Spasm In Your Heart There can also be arm or jaw pain. Coronary artery spasm is a brief, sudden narrowing of one of these arteries. This causes part of the blood vessel to narrow. Coronary artery spasms are a medical condition where your artery temporarily either blocks off or decreases blood flow to your. What is a coronary artery spasm? A coronary artery spasm. Spasm In Your Heart.
From www.youtube.com
Heart coronary artery spasm YouTube Spasm In Your Heart The spasm often occurs in coronary arteries that have not become hardened due to plaque buildup. Coronary artery spasms happen when the walls of blood vessels squeeze together. The disorder may be a sign that you have a high risk for heart attack or deadly irregular. A coronary artery spasm is a sudden tightening of the muscles within the arteries. Spasm In Your Heart.
From www.healthline.com
Coronary Artery Spasms and Anxiety Link, Causes, What to Do Spasm In Your Heart It is chest tightness or pain caused by tightening of a heart artery. A coronary artery spasm may feel like chest pain, a burning or. Coronary artery spasms are a medical condition where your artery temporarily either blocks off or decreases blood flow to your. However, treatment most often helps control symptoms. These symptoms may occur spontaneously or due to. Spasm In Your Heart.
From www.healthline.com
Coronary Artery Spasm Symptoms, Causes & Risk Factors Spasm In Your Heart However, treatment most often helps control symptoms. Coronary artery spasms happen when the walls of blood vessels squeeze together. Coronary artery spasms are a medical condition where your artery temporarily either blocks off or decreases blood flow to your. The spasm often occurs in coronary arteries that have not become hardened due to plaque buildup. Coronary artery spasm is a. Spasm In Your Heart.
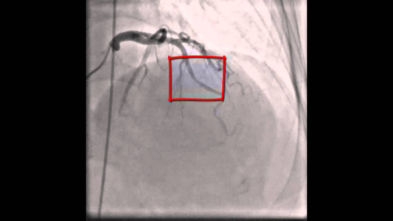
From www.radcliffecardiology.com
Figure 3 Case Example of Induced Coronary Spasm with Acetylcholine Spasm In Your Heart It is chest tightness or pain caused by tightening of a heart artery. This causes part of the blood vessel to narrow. Coronary artery spasms happen when the walls of blood vessels squeeze together. These symptoms may occur spontaneously or due to cold weather, exercise or stress. There can also be arm or jaw pain. What is a coronary artery. Spasm In Your Heart.
From healthjade.net
Esophageal Spasm Causes, Symptoms, Immediate Relief, Treatment Spasm In Your Heart A coronary artery spasm may feel like chest pain, a burning or. Coronary artery spasms are a medical condition where your artery temporarily either blocks off or decreases blood flow to your. This causes part of the blood vessel to narrow. Coronary artery spasms happen when the walls of blood vessels squeeze together. It is chest tightness or pain caused. Spasm In Your Heart.
From www.youtube.com
CORONARY ARTERY SPASM YouTube Spasm In Your Heart The disorder may be a sign that you have a high risk for heart attack or deadly irregular. However, treatment most often helps control symptoms. There can also be arm or jaw pain. This causes part of the blood vessel to narrow. The spasm often occurs in coronary arteries that have not become hardened due to plaque buildup. What is. Spasm In Your Heart.
From www.dreamstime.com
Artery Spasm stock photo. Image of blood, medicine, heartbeat 84219536 Spasm In Your Heart What is a coronary artery spasm? There can also be arm or jaw pain. A coronary artery spasm is a sudden tightening of the muscles within the arteries of your heart. Coronary artery spasms happen when the walls of blood vessels squeeze together. Coronary artery spasms are a medical condition where your artery temporarily either blocks off or decreases blood. Spasm In Your Heart.
From www.steadyhealth.com
What Is A Coronary Artery Spasm And How Can It Lead To A Heart Attack Spasm In Your Heart There can also be arm or jaw pain. When this occurs, your arteries narrow and prevent blood. Coronary artery spasm is a brief, sudden narrowing of one of these arteries. Coronary artery spasms are a medical condition where your artery temporarily either blocks off or decreases blood flow to your. Coronary artery spasms happen when the walls of blood vessels. Spasm In Your Heart.
From heart.bmj.com
Coronary artery spasm leading to life threatening arrhythmias Heart Spasm In Your Heart A coronary artery spasm is a sudden tightening of the muscles within the arteries of your heart. Coronary artery spasms are a medical condition where your artery temporarily either blocks off or decreases blood flow to your. These symptoms may occur spontaneously or due to cold weather, exercise or stress. This causes part of the blood vessel to narrow. The. Spasm In Your Heart.
From www.alamy.com
Spasm of the arteries of the heart. Infographics. Vector illustration Spasm In Your Heart The disorder may be a sign that you have a high risk for heart attack or deadly irregular. Coronary artery spasms happen when the walls of blood vessels squeeze together. What is a coronary artery spasm? A coronary artery spasm is a sudden tightening of the muscles within the arteries of your heart. The spasm often occurs in coronary arteries. Spasm In Your Heart.
From my.clevelandclinic.org
Vasospasm Types, Causes & Symptoms Spasm In Your Heart When this occurs, your arteries narrow and prevent blood. These symptoms may occur spontaneously or due to cold weather, exercise or stress. Coronary artery spasms happen when the walls of blood vessels squeeze together. This causes part of the blood vessel to narrow. There can also be arm or jaw pain. Coronary artery spasms are a medical condition where your. Spasm In Your Heart.
From www.turbosquid.com
3d coronary artery spasm model Spasm In Your Heart Coronary artery spasms are a medical condition where your artery temporarily either blocks off or decreases blood flow to your. A coronary artery spasm may feel like chest pain, a burning or. The disorder may be a sign that you have a high risk for heart attack or deadly irregular. What is a coronary artery spasm? When this occurs, your. Spasm In Your Heart.
From www.dreamstime.com
Coronary artery spasm stock vector. Illustration of consequences 64888374 Spasm In Your Heart The disorder may be a sign that you have a high risk for heart attack or deadly irregular. These symptoms may occur spontaneously or due to cold weather, exercise or stress. What is a coronary artery spasm? A coronary artery spasm is a sudden tightening of the muscles within the arteries of your heart. It is chest tightness or pain. Spasm In Your Heart.
From my.clevelandclinic.org
Coronary Artery Spasm Causes, Symptoms and Treatment Spasm In Your Heart Coronary artery spasms are a medical condition where your artery temporarily either blocks off or decreases blood flow to your. What is a coronary artery spasm? However, treatment most often helps control symptoms. When this occurs, your arteries narrow and prevent blood. Coronary artery spasms happen when the walls of blood vessels squeeze together. It is chest tightness or pain. Spasm In Your Heart.
From www.medicalnewstoday.com
Coronary artery spasm Causes, symptoms, and prognosis Spasm In Your Heart These symptoms may occur spontaneously or due to cold weather, exercise or stress. Coronary artery spasm is a brief, sudden narrowing of one of these arteries. What is a coronary artery spasm? There can also be arm or jaw pain. Coronary artery spasms are a medical condition where your artery temporarily either blocks off or decreases blood flow to your.. Spasm In Your Heart.
From yuplife.com
Things You Need to Know About Heart Attacks YupLife Spasm In Your Heart What is a coronary artery spasm? Coronary artery spasms happen when the walls of blood vessels squeeze together. A coronary artery spasm may feel like chest pain, a burning or. However, treatment most often helps control symptoms. It is chest tightness or pain caused by tightening of a heart artery. The spasm often occurs in coronary arteries that have not. Spasm In Your Heart.
From www.mayoclinic.org
Coronary artery spasm Mayo Clinic Spasm In Your Heart Coronary artery spasms are a medical condition where your artery temporarily either blocks off or decreases blood flow to your. This causes part of the blood vessel to narrow. Coronary artery spasms happen when the walls of blood vessels squeeze together. These symptoms may occur spontaneously or due to cold weather, exercise or stress. The disorder may be a sign. Spasm In Your Heart.
From www.ahajournals.org
Mechanisms of Coronary Artery Spasm Circulation Spasm In Your Heart Coronary artery spasms happen when the walls of blood vessels squeeze together. What is a coronary artery spasm? There can also be arm or jaw pain. Coronary artery spasms are a medical condition where your artery temporarily either blocks off or decreases blood flow to your. However, treatment most often helps control symptoms. The spasm often occurs in coronary arteries. Spasm In Your Heart.
From www.ahajournals.org
Mechanisms of Coronary Artery Spasm Circulation Spasm In Your Heart A coronary artery spasm is a sudden tightening of the muscles within the arteries of your heart. When this occurs, your arteries narrow and prevent blood. The spasm often occurs in coronary arteries that have not become hardened due to plaque buildup. What is a coronary artery spasm? Coronary artery spasms happen when the walls of blood vessels squeeze together.. Spasm In Your Heart.
From www.mdpi.com
Biomedicines Free FullText Cellular Mechanisms of Coronary Artery Spasm In Your Heart A coronary artery spasm is a sudden tightening of the muscles within the arteries of your heart. Coronary artery spasm is a brief, sudden narrowing of one of these arteries. When this occurs, your arteries narrow and prevent blood. The spasm often occurs in coronary arteries that have not become hardened due to plaque buildup. What is a coronary artery. Spasm In Your Heart.
From heart.bmj.com
Coronary spasm in acute myocardial infarction Heart Spasm In Your Heart There can also be arm or jaw pain. It is chest tightness or pain caused by tightening of a heart artery. When this occurs, your arteries narrow and prevent blood. The disorder may be a sign that you have a high risk for heart attack or deadly irregular. However, treatment most often helps control symptoms. These symptoms may occur spontaneously. Spasm In Your Heart.
From www.medicalnewstoday.com
Coronary artery spasm Causes, symptoms, and prognosis Spasm In Your Heart When this occurs, your arteries narrow and prevent blood. A coronary artery spasm is a sudden tightening of the muscles within the arteries of your heart. What is a coronary artery spasm? It is chest tightness or pain caused by tightening of a heart artery. Coronary artery spasms are a medical condition where your artery temporarily either blocks off or. Spasm In Your Heart.
From heart.bmj.com
Coronary spasm in acute myocardial infarction Heart Spasm In Your Heart Coronary artery spasm is a brief, sudden narrowing of one of these arteries. The spasm often occurs in coronary arteries that have not become hardened due to plaque buildup. These symptoms may occur spontaneously or due to cold weather, exercise or stress. It is chest tightness or pain caused by tightening of a heart artery. The disorder may be a. Spasm In Your Heart.
From www.dreamstime.com
Cardiac Health Problems. Portrait of Man in Sweatshirt Having Sudden Spasm In Your Heart A coronary artery spasm is a sudden tightening of the muscles within the arteries of your heart. The disorder may be a sign that you have a high risk for heart attack or deadly irregular. The spasm often occurs in coronary arteries that have not become hardened due to plaque buildup. When this occurs, your arteries narrow and prevent blood.. Spasm In Your Heart.
From www.dreamstime.com
Heart Disease Set. Atherosclerosis, Thrombus, Coronary Artery Spasm Spasm In Your Heart A coronary artery spasm is a sudden tightening of the muscles within the arteries of your heart. However, treatment most often helps control symptoms. These symptoms may occur spontaneously or due to cold weather, exercise or stress. What is a coronary artery spasm? It is chest tightness or pain caused by tightening of a heart artery. Coronary artery spasm is. Spasm In Your Heart.
From www.dreamstime.com
Coronary artery spasm stock illustration. Illustration of anatomy Spasm In Your Heart This causes part of the blood vessel to narrow. The spasm often occurs in coronary arteries that have not become hardened due to plaque buildup. What is a coronary artery spasm? When this occurs, your arteries narrow and prevent blood. It is chest tightness or pain caused by tightening of a heart artery. There can also be arm or jaw. Spasm In Your Heart.
From www.alamy.com
Coronary artery spasm is a brief, sudden narrowing of one of these Spasm In Your Heart The disorder may be a sign that you have a high risk for heart attack or deadly irregular. However, treatment most often helps control symptoms. The spasm often occurs in coronary arteries that have not become hardened due to plaque buildup. Coronary artery spasms happen when the walls of blood vessels squeeze together. A coronary artery spasm is a sudden. Spasm In Your Heart.
From www.dreamstime.com
The Young Man is Suffering from Chest Pain. Chest Spasm, Angina Spasm In Your Heart A coronary artery spasm is a sudden tightening of the muscles within the arteries of your heart. A coronary artery spasm may feel like chest pain, a burning or. What is a coronary artery spasm? This causes part of the blood vessel to narrow. It is chest tightness or pain caused by tightening of a heart artery. Coronary artery spasms. Spasm In Your Heart.
From www.superstock.com
Coronary spasm is a spasm that affects the heart’s blood vessels, and Spasm In Your Heart A coronary artery spasm is a sudden tightening of the muscles within the arteries of your heart. Coronary artery spasms happen when the walls of blood vessels squeeze together. It is chest tightness or pain caused by tightening of a heart artery. This causes part of the blood vessel to narrow. Coronary artery spasm is a brief, sudden narrowing of. Spasm In Your Heart.
From www.bmhsc.org
Heart Attack Causes and Warning Signs Beaufort Memorial Spasm In Your Heart However, treatment most often helps control symptoms. What is a coronary artery spasm? A coronary artery spasm may feel like chest pain, a burning or. There can also be arm or jaw pain. Coronary artery spasm is a brief, sudden narrowing of one of these arteries. The disorder may be a sign that you have a high risk for heart. Spasm In Your Heart.
From concordialm.org
7 Early Signs of a Heart Attack Concordia Lutheran Ministries Spasm In Your Heart The spasm often occurs in coronary arteries that have not become hardened due to plaque buildup. Coronary artery spasms are a medical condition where your artery temporarily either blocks off or decreases blood flow to your. This causes part of the blood vessel to narrow. The disorder may be a sign that you have a high risk for heart attack. Spasm In Your Heart.
From www.dreamstime.com
Spasm of the Arteries of the Heart. Infographics Stock Vector Spasm In Your Heart There can also be arm or jaw pain. Coronary artery spasm is a brief, sudden narrowing of one of these arteries. These symptoms may occur spontaneously or due to cold weather, exercise or stress. A coronary artery spasm is a sudden tightening of the muscles within the arteries of your heart. It is chest tightness or pain caused by tightening. Spasm In Your Heart.
From www.pinterest.es
Coronary Artery Spasm Heart disease symptoms, Heart facts, Medical Spasm In Your Heart Coronary artery spasms are a medical condition where your artery temporarily either blocks off or decreases blood flow to your. A coronary artery spasm may feel like chest pain, a burning or. A coronary artery spasm is a sudden tightening of the muscles within the arteries of your heart. When this occurs, your arteries narrow and prevent blood. There can. Spasm In Your Heart.