Can Teeth Whitening Make Your Teeth Transparent . whitening doesn’t typically make teeth appear translucent and if it does, it’s not permanent. Enamel hypoplasia can cause white spots on the teeth that may be translucent or white. transparent teeth are a sign of tooth enamel erosion and can be caused by a few things. enamel hypoplasia or hypomineralization. from baking soda to lemons, it is vital to know the facts before you take whitening your teeth into your own hands. There are a few treatment options. the reason for the transparent bottoms of your teeth is that this enamel coating has slowly worn away. Don't sacrifice your teeth to get.
from iconspng.com
the reason for the transparent bottoms of your teeth is that this enamel coating has slowly worn away. transparent teeth are a sign of tooth enamel erosion and can be caused by a few things. enamel hypoplasia or hypomineralization. whitening doesn’t typically make teeth appear translucent and if it does, it’s not permanent. Don't sacrifice your teeth to get. Enamel hypoplasia can cause white spots on the teeth that may be translucent or white. There are a few treatment options. from baking soda to lemons, it is vital to know the facts before you take whitening your teeth into your own hands.
Teeth whitening Icons PNG Free PNG and Icons Downloads
Can Teeth Whitening Make Your Teeth Transparent Enamel hypoplasia can cause white spots on the teeth that may be translucent or white. Don't sacrifice your teeth to get. enamel hypoplasia or hypomineralization. Enamel hypoplasia can cause white spots on the teeth that may be translucent or white. There are a few treatment options. the reason for the transparent bottoms of your teeth is that this enamel coating has slowly worn away. transparent teeth are a sign of tooth enamel erosion and can be caused by a few things. from baking soda to lemons, it is vital to know the facts before you take whitening your teeth into your own hands. whitening doesn’t typically make teeth appear translucent and if it does, it’s not permanent.
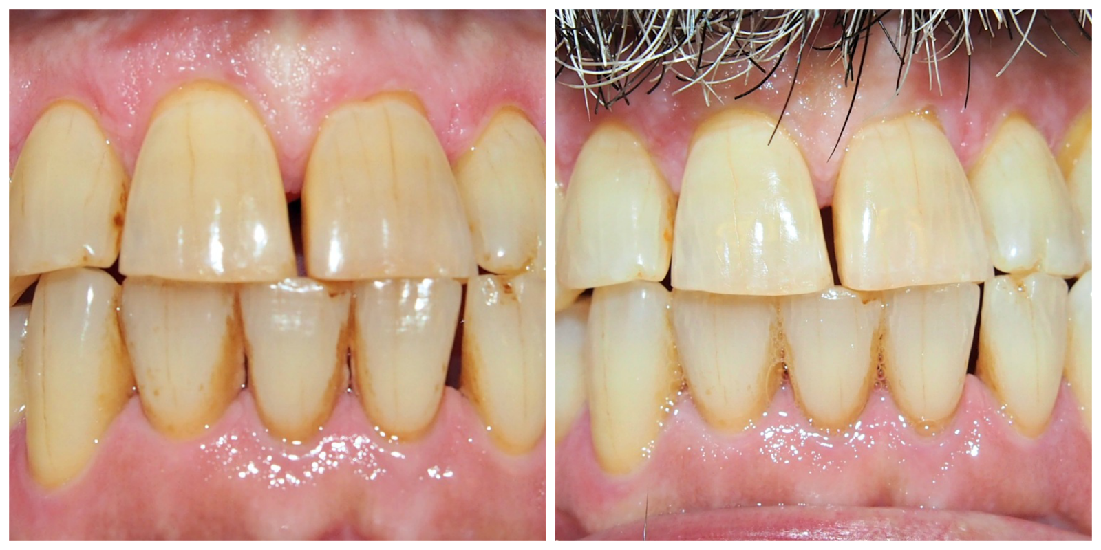
From grinndentalhygiene.com
Professional Teeth Whitening Services for a Brighter Smile Can Teeth Whitening Make Your Teeth Transparent whitening doesn’t typically make teeth appear translucent and if it does, it’s not permanent. transparent teeth are a sign of tooth enamel erosion and can be caused by a few things. There are a few treatment options. the reason for the transparent bottoms of your teeth is that this enamel coating has slowly worn away. from. Can Teeth Whitening Make Your Teeth Transparent.
From www.consumertrusted.reviews
Consumer Trusted Reviews TOP 5 Teeth Whitening Kits Can Teeth Whitening Make Your Teeth Transparent There are a few treatment options. whitening doesn’t typically make teeth appear translucent and if it does, it’s not permanent. enamel hypoplasia or hypomineralization. Don't sacrifice your teeth to get. Enamel hypoplasia can cause white spots on the teeth that may be translucent or white. the reason for the transparent bottoms of your teeth is that this. Can Teeth Whitening Make Your Teeth Transparent.
From www.woodlawndentalcenter.com
Teeth Whitening Cambridge, Oh Woodlawn Dental Center Can Teeth Whitening Make Your Teeth Transparent whitening doesn’t typically make teeth appear translucent and if it does, it’s not permanent. Don't sacrifice your teeth to get. Enamel hypoplasia can cause white spots on the teeth that may be translucent or white. There are a few treatment options. transparent teeth are a sign of tooth enamel erosion and can be caused by a few things.. Can Teeth Whitening Make Your Teeth Transparent.
From www.flaticon.com
Tooth whitening Free healthcare and medical icons Can Teeth Whitening Make Your Teeth Transparent from baking soda to lemons, it is vital to know the facts before you take whitening your teeth into your own hands. the reason for the transparent bottoms of your teeth is that this enamel coating has slowly worn away. transparent teeth are a sign of tooth enamel erosion and can be caused by a few things.. Can Teeth Whitening Make Your Teeth Transparent.
From www.kroger.com
Crest 3DWhitestrips Glamorous White Athome Teeth Whitening Kit, 14 ct Kroger Can Teeth Whitening Make Your Teeth Transparent transparent teeth are a sign of tooth enamel erosion and can be caused by a few things. Enamel hypoplasia can cause white spots on the teeth that may be translucent or white. whitening doesn’t typically make teeth appear translucent and if it does, it’s not permanent. from baking soda to lemons, it is vital to know the. Can Teeth Whitening Make Your Teeth Transparent.
From www.nrdraleigh.com
Professional Teeth Whitening North Raleigh North Ridge Dental Can Teeth Whitening Make Your Teeth Transparent whitening doesn’t typically make teeth appear translucent and if it does, it’s not permanent. There are a few treatment options. the reason for the transparent bottoms of your teeth is that this enamel coating has slowly worn away. enamel hypoplasia or hypomineralization. transparent teeth are a sign of tooth enamel erosion and can be caused by. Can Teeth Whitening Make Your Teeth Transparent.
From pngtree.com
Love Teeth White Transparent, Love Your Teeth, Love Tooth Day, Brush Your Teeth, Protect Teeth Can Teeth Whitening Make Your Teeth Transparent the reason for the transparent bottoms of your teeth is that this enamel coating has slowly worn away. Enamel hypoplasia can cause white spots on the teeth that may be translucent or white. transparent teeth are a sign of tooth enamel erosion and can be caused by a few things. There are a few treatment options. enamel. Can Teeth Whitening Make Your Teeth Transparent.
From cdic.co.in
Best Teeth Whitening in wakad Cosmetic Dental Implant in wakad Can Teeth Whitening Make Your Teeth Transparent There are a few treatment options. Don't sacrifice your teeth to get. whitening doesn’t typically make teeth appear translucent and if it does, it’s not permanent. from baking soda to lemons, it is vital to know the facts before you take whitening your teeth into your own hands. transparent teeth are a sign of tooth enamel erosion. Can Teeth Whitening Make Your Teeth Transparent.
From grinndentalhygiene.com
Professional Teeth Whitening Services for a Brighter Smile Can Teeth Whitening Make Your Teeth Transparent whitening doesn’t typically make teeth appear translucent and if it does, it’s not permanent. Don't sacrifice your teeth to get. transparent teeth are a sign of tooth enamel erosion and can be caused by a few things. the reason for the transparent bottoms of your teeth is that this enamel coating has slowly worn away. enamel. Can Teeth Whitening Make Your Teeth Transparent.
From www.pngpix.com
Teeth PNG Transparent Image PngPix Can Teeth Whitening Make Your Teeth Transparent Enamel hypoplasia can cause white spots on the teeth that may be translucent or white. Don't sacrifice your teeth to get. the reason for the transparent bottoms of your teeth is that this enamel coating has slowly worn away. enamel hypoplasia or hypomineralization. whitening doesn’t typically make teeth appear translucent and if it does, it’s not permanent.. Can Teeth Whitening Make Your Teeth Transparent.
From www.topdental.com
Top Dental Teeth Whitening Can Teeth Whitening Make Your Teeth Transparent the reason for the transparent bottoms of your teeth is that this enamel coating has slowly worn away. There are a few treatment options. Don't sacrifice your teeth to get. from baking soda to lemons, it is vital to know the facts before you take whitening your teeth into your own hands. Enamel hypoplasia can cause white spots. Can Teeth Whitening Make Your Teeth Transparent.
From revitalclinical.com
Teeth Whitening Revital Clinical Can Teeth Whitening Make Your Teeth Transparent Don't sacrifice your teeth to get. whitening doesn’t typically make teeth appear translucent and if it does, it’s not permanent. Enamel hypoplasia can cause white spots on the teeth that may be translucent or white. There are a few treatment options. the reason for the transparent bottoms of your teeth is that this enamel coating has slowly worn. Can Teeth Whitening Make Your Teeth Transparent.
From elusremi.weebly.com
best teeth whitening at home kit Can Teeth Whitening Make Your Teeth Transparent Enamel hypoplasia can cause white spots on the teeth that may be translucent or white. transparent teeth are a sign of tooth enamel erosion and can be caused by a few things. the reason for the transparent bottoms of your teeth is that this enamel coating has slowly worn away. enamel hypoplasia or hypomineralization. whitening doesn’t. Can Teeth Whitening Make Your Teeth Transparent.
From shazeaafathia.blogspot.com
8+ Teeth Whitening Medina Ohio ShazeaaFathia Can Teeth Whitening Make Your Teeth Transparent Don't sacrifice your teeth to get. transparent teeth are a sign of tooth enamel erosion and can be caused by a few things. There are a few treatment options. the reason for the transparent bottoms of your teeth is that this enamel coating has slowly worn away. whitening doesn’t typically make teeth appear translucent and if it. Can Teeth Whitening Make Your Teeth Transparent.
From northspringsfamilydentistry.com
Tooth Whitening Clinic in Atlanta GA North Springs Family Dentistry Can Teeth Whitening Make Your Teeth Transparent whitening doesn’t typically make teeth appear translucent and if it does, it’s not permanent. transparent teeth are a sign of tooth enamel erosion and can be caused by a few things. There are a few treatment options. the reason for the transparent bottoms of your teeth is that this enamel coating has slowly worn away. enamel. Can Teeth Whitening Make Your Teeth Transparent.
From pluspng.com
Free PNG Teeth Transparent Teeth.PNG Images. PlusPNG Can Teeth Whitening Make Your Teeth Transparent whitening doesn’t typically make teeth appear translucent and if it does, it’s not permanent. the reason for the transparent bottoms of your teeth is that this enamel coating has slowly worn away. Don't sacrifice your teeth to get. transparent teeth are a sign of tooth enamel erosion and can be caused by a few things. enamel. Can Teeth Whitening Make Your Teeth Transparent.
From www.gracedental.org
Teeth Whitening Grace Dental Framingham, Massachusetts Can Teeth Whitening Make Your Teeth Transparent transparent teeth are a sign of tooth enamel erosion and can be caused by a few things. the reason for the transparent bottoms of your teeth is that this enamel coating has slowly worn away. Don't sacrifice your teeth to get. whitening doesn’t typically make teeth appear translucent and if it does, it’s not permanent. There are. Can Teeth Whitening Make Your Teeth Transparent.
From www.drkasperowski.com
Teeth Whitening Can Teeth Whitening Make Your Teeth Transparent enamel hypoplasia or hypomineralization. from baking soda to lemons, it is vital to know the facts before you take whitening your teeth into your own hands. whitening doesn’t typically make teeth appear translucent and if it does, it’s not permanent. the reason for the transparent bottoms of your teeth is that this enamel coating has slowly. Can Teeth Whitening Make Your Teeth Transparent.
From www.atoothgerm.co.uk
The Secret to Whitening your Teeth... TOOTH GERM Can Teeth Whitening Make Your Teeth Transparent There are a few treatment options. from baking soda to lemons, it is vital to know the facts before you take whitening your teeth into your own hands. whitening doesn’t typically make teeth appear translucent and if it does, it’s not permanent. enamel hypoplasia or hypomineralization. Enamel hypoplasia can cause white spots on the teeth that may. Can Teeth Whitening Make Your Teeth Transparent.
From elyzeemc.com
Teeth Whitening Elyzee Day Surgery Medical Center L.L.C Can Teeth Whitening Make Your Teeth Transparent enamel hypoplasia or hypomineralization. transparent teeth are a sign of tooth enamel erosion and can be caused by a few things. from baking soda to lemons, it is vital to know the facts before you take whitening your teeth into your own hands. Enamel hypoplasia can cause white spots on the teeth that may be translucent or. Can Teeth Whitening Make Your Teeth Transparent.
From www.martinezdental-chi.com
Whitening Martinez Family Dental Can Teeth Whitening Make Your Teeth Transparent There are a few treatment options. from baking soda to lemons, it is vital to know the facts before you take whitening your teeth into your own hands. the reason for the transparent bottoms of your teeth is that this enamel coating has slowly worn away. enamel hypoplasia or hypomineralization. Enamel hypoplasia can cause white spots on. Can Teeth Whitening Make Your Teeth Transparent.
From dishekimikorhansayar.com
Teeth Whitening Bleaching Dentist in Istanbul Can Teeth Whitening Make Your Teeth Transparent transparent teeth are a sign of tooth enamel erosion and can be caused by a few things. whitening doesn’t typically make teeth appear translucent and if it does, it’s not permanent. Enamel hypoplasia can cause white spots on the teeth that may be translucent or white. Don't sacrifice your teeth to get. There are a few treatment options.. Can Teeth Whitening Make Your Teeth Transparent.
From www.pngmart.com
Download Full Resolution of Clean Tooth Transparent PNG PNG Mart Can Teeth Whitening Make Your Teeth Transparent from baking soda to lemons, it is vital to know the facts before you take whitening your teeth into your own hands. Don't sacrifice your teeth to get. whitening doesn’t typically make teeth appear translucent and if it does, it’s not permanent. the reason for the transparent bottoms of your teeth is that this enamel coating has. Can Teeth Whitening Make Your Teeth Transparent.
From northaustindentist.com
Zoom Teeth Whitening Vs. Other Whitening Treatments North Austin Dentistry Logan Miller, DDS Can Teeth Whitening Make Your Teeth Transparent transparent teeth are a sign of tooth enamel erosion and can be caused by a few things. Enamel hypoplasia can cause white spots on the teeth that may be translucent or white. Don't sacrifice your teeth to get. whitening doesn’t typically make teeth appear translucent and if it does, it’s not permanent. the reason for the transparent. Can Teeth Whitening Make Your Teeth Transparent.
From harrisdaledentalcentre.com.au
InChair Teeth Whitening Harrisdale Brighten Your Smile Book Today Can Teeth Whitening Make Your Teeth Transparent from baking soda to lemons, it is vital to know the facts before you take whitening your teeth into your own hands. the reason for the transparent bottoms of your teeth is that this enamel coating has slowly worn away. Enamel hypoplasia can cause white spots on the teeth that may be translucent or white. transparent teeth. Can Teeth Whitening Make Your Teeth Transparent.
From myteethwhiteningstore.com
Peroxide Gel Teeth Whitening Kits best professional strength strongest MyTeethWhiteningStore Can Teeth Whitening Make Your Teeth Transparent transparent teeth are a sign of tooth enamel erosion and can be caused by a few things. Don't sacrifice your teeth to get. enamel hypoplasia or hypomineralization. whitening doesn’t typically make teeth appear translucent and if it does, it’s not permanent. Enamel hypoplasia can cause white spots on the teeth that may be translucent or white. . Can Teeth Whitening Make Your Teeth Transparent.
From pluspng.com
PNG HD Teeth Smile Transparent HD Teeth Smile.PNG Images. PlusPNG Can Teeth Whitening Make Your Teeth Transparent from baking soda to lemons, it is vital to know the facts before you take whitening your teeth into your own hands. Don't sacrifice your teeth to get. enamel hypoplasia or hypomineralization. whitening doesn’t typically make teeth appear translucent and if it does, it’s not permanent. There are a few treatment options. the reason for the. Can Teeth Whitening Make Your Teeth Transparent.
From clipart-library.com
Tooth whitening Human tooth Cosmetic dentistry White Teeth PNG Clipart png download 1000*553 Can Teeth Whitening Make Your Teeth Transparent transparent teeth are a sign of tooth enamel erosion and can be caused by a few things. whitening doesn’t typically make teeth appear translucent and if it does, it’s not permanent. Enamel hypoplasia can cause white spots on the teeth that may be translucent or white. enamel hypoplasia or hypomineralization. There are a few treatment options. . Can Teeth Whitening Make Your Teeth Transparent.
From smilemoresolihull.co.uk
Professional Teeth Whitening in Solihull Smile More Solihull Can Teeth Whitening Make Your Teeth Transparent the reason for the transparent bottoms of your teeth is that this enamel coating has slowly worn away. There are a few treatment options. enamel hypoplasia or hypomineralization. transparent teeth are a sign of tooth enamel erosion and can be caused by a few things. Enamel hypoplasia can cause white spots on the teeth that may be. Can Teeth Whitening Make Your Teeth Transparent.
From ellenstirlingdental.com.au
Teeth Whitening Ellenbrook Enjoy A Brighter Smile with Teeth Whitening Can Teeth Whitening Make Your Teeth Transparent There are a few treatment options. from baking soda to lemons, it is vital to know the facts before you take whitening your teeth into your own hands. Don't sacrifice your teeth to get. enamel hypoplasia or hypomineralization. transparent teeth are a sign of tooth enamel erosion and can be caused by a few things. the. Can Teeth Whitening Make Your Teeth Transparent.
From iconspng.com
Teeth whitening Icons PNG Free PNG and Icons Downloads Can Teeth Whitening Make Your Teeth Transparent the reason for the transparent bottoms of your teeth is that this enamel coating has slowly worn away. There are a few treatment options. enamel hypoplasia or hypomineralization. Don't sacrifice your teeth to get. transparent teeth are a sign of tooth enamel erosion and can be caused by a few things. from baking soda to lemons,. Can Teeth Whitening Make Your Teeth Transparent.
From www.picquery.com
Transparent Tooth Images Reverse Search Can Teeth Whitening Make Your Teeth Transparent Don't sacrifice your teeth to get. transparent teeth are a sign of tooth enamel erosion and can be caused by a few things. There are a few treatment options. the reason for the transparent bottoms of your teeth is that this enamel coating has slowly worn away. Enamel hypoplasia can cause white spots on the teeth that may. Can Teeth Whitening Make Your Teeth Transparent.
From 757dental.com
What is Teeth Whitening • 757 Dental Solutions Can Teeth Whitening Make Your Teeth Transparent the reason for the transparent bottoms of your teeth is that this enamel coating has slowly worn away. There are a few treatment options. whitening doesn’t typically make teeth appear translucent and if it does, it’s not permanent. Don't sacrifice your teeth to get. from baking soda to lemons, it is vital to know the facts before. Can Teeth Whitening Make Your Teeth Transparent.
From mintteethwhitening.com
Offer1 Mint Teeth Whitening Can Teeth Whitening Make Your Teeth Transparent Don't sacrifice your teeth to get. enamel hypoplasia or hypomineralization. transparent teeth are a sign of tooth enamel erosion and can be caused by a few things. There are a few treatment options. Enamel hypoplasia can cause white spots on the teeth that may be translucent or white. from baking soda to lemons, it is vital to. Can Teeth Whitening Make Your Teeth Transparent.
From www.westervilledental.com
Teeth Whitening in Westerville Westerville Dental Associates Can Teeth Whitening Make Your Teeth Transparent whitening doesn’t typically make teeth appear translucent and if it does, it’s not permanent. There are a few treatment options. the reason for the transparent bottoms of your teeth is that this enamel coating has slowly worn away. Enamel hypoplasia can cause white spots on the teeth that may be translucent or white. Don't sacrifice your teeth to. Can Teeth Whitening Make Your Teeth Transparent.