Diaphragm Function Using Ultrasound . Comparison to phrenic stimulation and prognostic implications Ultrasound measurements of diaphragm thickness have been used to identify diaphragm atrophy. This chapter focuses on thoracic ultrasound as a noninvasive technique for diaphragm morphological and functional. Assessment of diaphragm function over time:. Functional imaging with fluoroscopy (or ultrasonography or magnetic resonance imaging) is a simple and effective method of diagnosing diaphragmatic. The main goals of diaphragm ultrasound in critically ill patients are: Ultrasound evaluation of diaphragm function in mechanically ventilated patients: Diaphragmatic ultrasound has gained importance because of its many advantages,.
from www.semanticscholar.org
This chapter focuses on thoracic ultrasound as a noninvasive technique for diaphragm morphological and functional. The main goals of diaphragm ultrasound in critically ill patients are: Assessment of diaphragm function over time:. Comparison to phrenic stimulation and prognostic implications Ultrasound evaluation of diaphragm function in mechanically ventilated patients: Diaphragmatic ultrasound has gained importance because of its many advantages,. Functional imaging with fluoroscopy (or ultrasonography or magnetic resonance imaging) is a simple and effective method of diagnosing diaphragmatic. Ultrasound measurements of diaphragm thickness have been used to identify diaphragm atrophy.
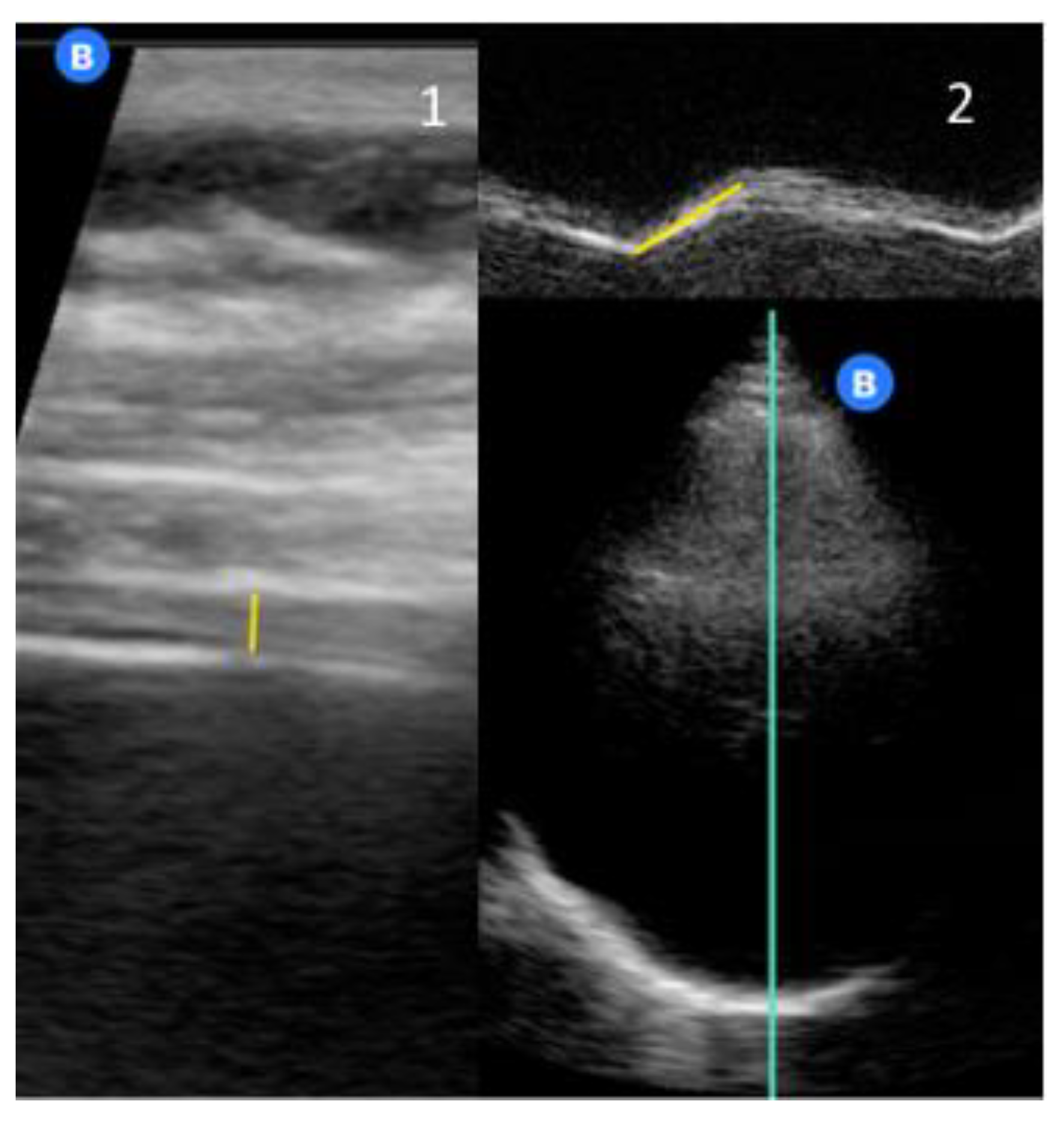
Figure 2 from Evaluation of diaphragm functions with diaphragm
Diaphragm Function Using Ultrasound Diaphragmatic ultrasound has gained importance because of its many advantages,. Ultrasound evaluation of diaphragm function in mechanically ventilated patients: Functional imaging with fluoroscopy (or ultrasonography or magnetic resonance imaging) is a simple and effective method of diagnosing diaphragmatic. Comparison to phrenic stimulation and prognostic implications This chapter focuses on thoracic ultrasound as a noninvasive technique for diaphragm morphological and functional. Diaphragmatic ultrasound has gained importance because of its many advantages,. Assessment of diaphragm function over time:. The main goals of diaphragm ultrasound in critically ill patients are: Ultrasound measurements of diaphragm thickness have been used to identify diaphragm atrophy.
From www.frontiersin.org
Frontiers Pointofcare application of diaphragmatic ultrasonography Diaphragm Function Using Ultrasound Assessment of diaphragm function over time:. This chapter focuses on thoracic ultrasound as a noninvasive technique for diaphragm morphological and functional. Comparison to phrenic stimulation and prognostic implications The main goals of diaphragm ultrasound in critically ill patients are: Ultrasound measurements of diaphragm thickness have been used to identify diaphragm atrophy. Diaphragmatic ultrasound has gained importance because of its many. Diaphragm Function Using Ultrasound.
From www.frontiersin.org
Frontiers Respiratory Muscle Function Tests and Diaphragm Ultrasound Diaphragm Function Using Ultrasound This chapter focuses on thoracic ultrasound as a noninvasive technique for diaphragm morphological and functional. Ultrasound evaluation of diaphragm function in mechanically ventilated patients: Functional imaging with fluoroscopy (or ultrasonography or magnetic resonance imaging) is a simple and effective method of diagnosing diaphragmatic. Diaphragmatic ultrasound has gained importance because of its many advantages,. Assessment of diaphragm function over time:. Comparison. Diaphragm Function Using Ultrasound.
From www.mdpi.com
Diagnostics Free FullText Ultrasound Imaging for Diaphragm Diaphragm Function Using Ultrasound Assessment of diaphragm function over time:. Comparison to phrenic stimulation and prognostic implications Functional imaging with fluoroscopy (or ultrasonography or magnetic resonance imaging) is a simple and effective method of diagnosing diaphragmatic. Ultrasound measurements of diaphragm thickness have been used to identify diaphragm atrophy. Diaphragmatic ultrasound has gained importance because of its many advantages,. The main goals of diaphragm ultrasound. Diaphragm Function Using Ultrasound.
From www.mdpi.com
Diagnostics Free FullText Ultrasonographic Assessment of Diaphragm Function Using Ultrasound Diaphragmatic ultrasound has gained importance because of its many advantages,. The main goals of diaphragm ultrasound in critically ill patients are: Functional imaging with fluoroscopy (or ultrasonography or magnetic resonance imaging) is a simple and effective method of diagnosing diaphragmatic. Ultrasound evaluation of diaphragm function in mechanically ventilated patients: Assessment of diaphragm function over time:. Comparison to phrenic stimulation and. Diaphragm Function Using Ultrasound.
From www.researchgate.net
Ultrasound image of right posterior hemidiaphragm in right lateral Diaphragm Function Using Ultrasound Diaphragmatic ultrasound has gained importance because of its many advantages,. Ultrasound measurements of diaphragm thickness have been used to identify diaphragm atrophy. This chapter focuses on thoracic ultrasound as a noninvasive technique for diaphragm morphological and functional. Ultrasound evaluation of diaphragm function in mechanically ventilated patients: Comparison to phrenic stimulation and prognostic implications Functional imaging with fluoroscopy (or ultrasonography or. Diaphragm Function Using Ultrasound.
From www.researchgate.net
Ultrasound image of the zone of apposition of the diaphragm. In Diaphragm Function Using Ultrasound The main goals of diaphragm ultrasound in critically ill patients are: Ultrasound measurements of diaphragm thickness have been used to identify diaphragm atrophy. Functional imaging with fluoroscopy (or ultrasonography or magnetic resonance imaging) is a simple and effective method of diagnosing diaphragmatic. Assessment of diaphragm function over time:. Comparison to phrenic stimulation and prognostic implications Diaphragmatic ultrasound has gained importance. Diaphragm Function Using Ultrasound.
From www.researchgate.net
Ultrasonographic assessment of the normal diaphragm's thickness and Diaphragm Function Using Ultrasound Diaphragmatic ultrasound has gained importance because of its many advantages,. Ultrasound evaluation of diaphragm function in mechanically ventilated patients: Assessment of diaphragm function over time:. The main goals of diaphragm ultrasound in critically ill patients are: Functional imaging with fluoroscopy (or ultrasonography or magnetic resonance imaging) is a simple and effective method of diagnosing diaphragmatic. This chapter focuses on thoracic. Diaphragm Function Using Ultrasound.
From www.researchgate.net
Assessment of the right hemi diaphragm motion from the subcostal view Diaphragm Function Using Ultrasound Ultrasound evaluation of diaphragm function in mechanically ventilated patients: This chapter focuses on thoracic ultrasound as a noninvasive technique for diaphragm morphological and functional. Comparison to phrenic stimulation and prognostic implications Functional imaging with fluoroscopy (or ultrasonography or magnetic resonance imaging) is a simple and effective method of diagnosing diaphragmatic. The main goals of diaphragm ultrasound in critically ill patients. Diaphragm Function Using Ultrasound.
From www.oatext.com
Clinical application of ultrasound in paediatric diaphragmatic dysfunction Diaphragm Function Using Ultrasound The main goals of diaphragm ultrasound in critically ill patients are: Ultrasound evaluation of diaphragm function in mechanically ventilated patients: Comparison to phrenic stimulation and prognostic implications This chapter focuses on thoracic ultrasound as a noninvasive technique for diaphragm morphological and functional. Ultrasound measurements of diaphragm thickness have been used to identify diaphragm atrophy. Diaphragmatic ultrasound has gained importance because. Diaphragm Function Using Ultrasound.
From openres.ersjournals.com
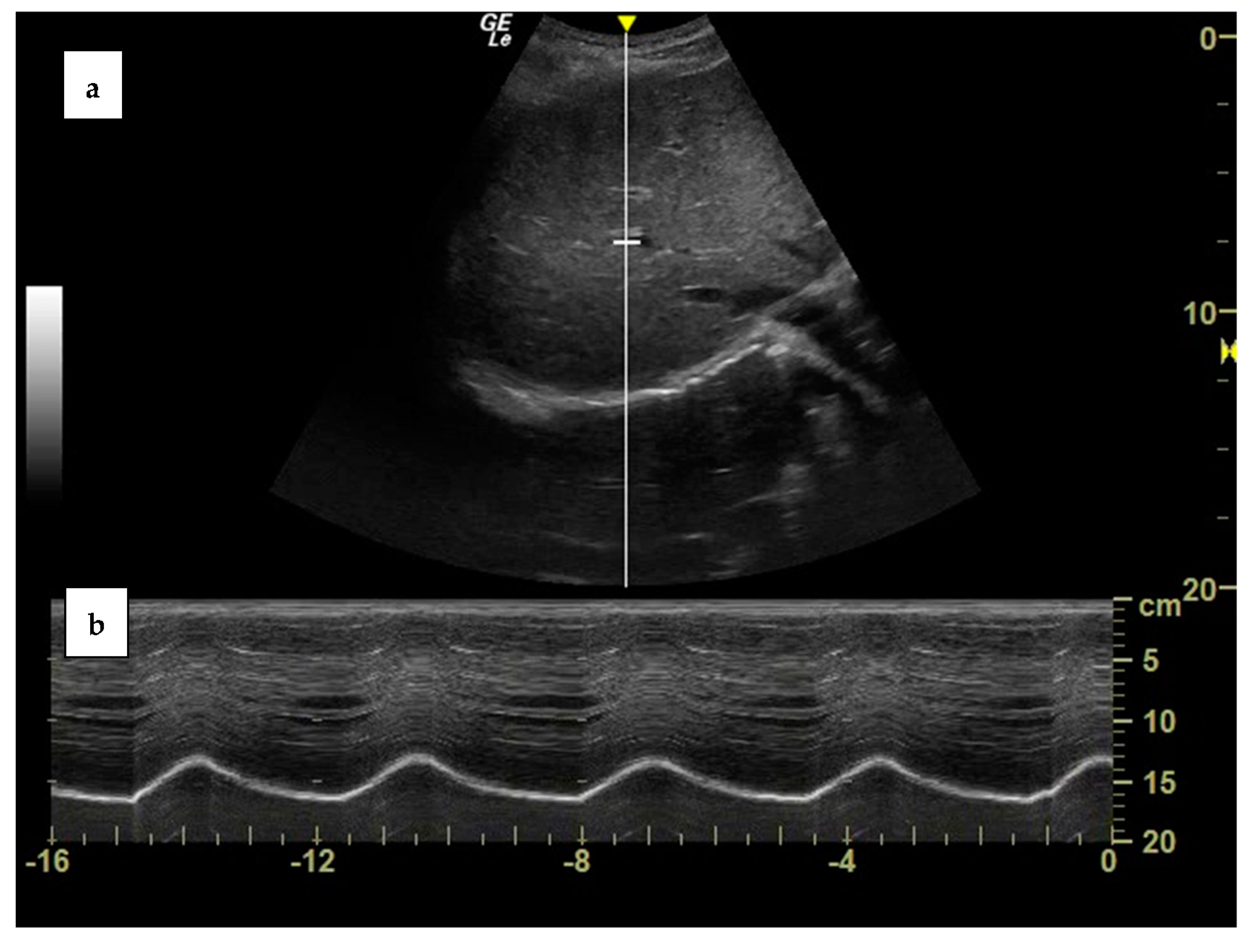
Diaphragmatic motion recorded by Mmode ultrasonography limits of Diaphragm Function Using Ultrasound This chapter focuses on thoracic ultrasound as a noninvasive technique for diaphragm morphological and functional. The main goals of diaphragm ultrasound in critically ill patients are: Ultrasound measurements of diaphragm thickness have been used to identify diaphragm atrophy. Ultrasound evaluation of diaphragm function in mechanically ventilated patients: Functional imaging with fluoroscopy (or ultrasonography or magnetic resonance imaging) is a simple. Diaphragm Function Using Ultrasound.
From www.elsevier.es
Ultrasound evaluation of diaphragm function and its application in Diaphragm Function Using Ultrasound Ultrasound evaluation of diaphragm function in mechanically ventilated patients: Diaphragmatic ultrasound has gained importance because of its many advantages,. Assessment of diaphragm function over time:. Ultrasound measurements of diaphragm thickness have been used to identify diaphragm atrophy. Comparison to phrenic stimulation and prognostic implications This chapter focuses on thoracic ultrasound as a noninvasive technique for diaphragm morphological and functional. The. Diaphragm Function Using Ultrasound.
From www.scielo.br
SciELO Brasil Diaphragmatic ultrasound a review of its Diaphragm Function Using Ultrasound Ultrasound evaluation of diaphragm function in mechanically ventilated patients: Diaphragmatic ultrasound has gained importance because of its many advantages,. This chapter focuses on thoracic ultrasound as a noninvasive technique for diaphragm morphological and functional. Functional imaging with fluoroscopy (or ultrasonography or magnetic resonance imaging) is a simple and effective method of diagnosing diaphragmatic. The main goals of diaphragm ultrasound in. Diaphragm Function Using Ultrasound.
From www.semanticscholar.org
Figure 1 from Evaluation of diaphragm thickness and function with Diaphragm Function Using Ultrasound Ultrasound evaluation of diaphragm function in mechanically ventilated patients: Comparison to phrenic stimulation and prognostic implications Functional imaging with fluoroscopy (or ultrasonography or magnetic resonance imaging) is a simple and effective method of diagnosing diaphragmatic. The main goals of diaphragm ultrasound in critically ill patients are: Ultrasound measurements of diaphragm thickness have been used to identify diaphragm atrophy. Diaphragmatic ultrasound. Diaphragm Function Using Ultrasound.
From www.semanticscholar.org
Figure 2 from A Review of the Ultrasound Assessment of Diaphragmatic Diaphragm Function Using Ultrasound The main goals of diaphragm ultrasound in critically ill patients are: Ultrasound evaluation of diaphragm function in mechanically ventilated patients: This chapter focuses on thoracic ultrasound as a noninvasive technique for diaphragm morphological and functional. Ultrasound measurements of diaphragm thickness have been used to identify diaphragm atrophy. Assessment of diaphragm function over time:. Comparison to phrenic stimulation and prognostic implications. Diaphragm Function Using Ultrasound.
From www.researchgate.net
Diaphragmatic excursion measured by an ultrasound system. (A) Tidal Diaphragm Function Using Ultrasound Comparison to phrenic stimulation and prognostic implications The main goals of diaphragm ultrasound in critically ill patients are: Assessment of diaphragm function over time:. Functional imaging with fluoroscopy (or ultrasonography or magnetic resonance imaging) is a simple and effective method of diagnosing diaphragmatic. This chapter focuses on thoracic ultrasound as a noninvasive technique for diaphragm morphological and functional. Ultrasound measurements. Diaphragm Function Using Ultrasound.
From www.jove.com
Measuring Diaphragm Thickness and Function Using PointofCare Diaphragm Function Using Ultrasound Assessment of diaphragm function over time:. Ultrasound evaluation of diaphragm function in mechanically ventilated patients: This chapter focuses on thoracic ultrasound as a noninvasive technique for diaphragm morphological and functional. Functional imaging with fluoroscopy (or ultrasonography or magnetic resonance imaging) is a simple and effective method of diagnosing diaphragmatic. Comparison to phrenic stimulation and prognostic implications The main goals of. Diaphragm Function Using Ultrasound.
From www.semanticscholar.org
Figure 2 from Evaluation of diaphragm functions with diaphragm Diaphragm Function Using Ultrasound Ultrasound evaluation of diaphragm function in mechanically ventilated patients: The main goals of diaphragm ultrasound in critically ill patients are: Ultrasound measurements of diaphragm thickness have been used to identify diaphragm atrophy. Diaphragmatic ultrasound has gained importance because of its many advantages,. This chapter focuses on thoracic ultrasound as a noninvasive technique for diaphragm morphological and functional. Comparison to phrenic. Diaphragm Function Using Ultrasound.
From journals.lww.com
Diaphragm ultrasound A novel approach to assessing pulmonar Diaphragm Function Using Ultrasound Assessment of diaphragm function over time:. Comparison to phrenic stimulation and prognostic implications Diaphragmatic ultrasound has gained importance because of its many advantages,. The main goals of diaphragm ultrasound in critically ill patients are: Ultrasound evaluation of diaphragm function in mechanically ventilated patients: Functional imaging with fluoroscopy (or ultrasonography or magnetic resonance imaging) is a simple and effective method of. Diaphragm Function Using Ultrasound.
From www.researchgate.net
Ultrasound imaging of the diaphragm and its associated displacement Diaphragm Function Using Ultrasound Diaphragmatic ultrasound has gained importance because of its many advantages,. Ultrasound measurements of diaphragm thickness have been used to identify diaphragm atrophy. Ultrasound evaluation of diaphragm function in mechanically ventilated patients: The main goals of diaphragm ultrasound in critically ill patients are: Comparison to phrenic stimulation and prognostic implications Assessment of diaphragm function over time:. Functional imaging with fluoroscopy (or. Diaphragm Function Using Ultrasound.
From www.mdpi.com
Brain Sciences Free FullText Assessment of Diaphragm in Hemiplegic Diaphragm Function Using Ultrasound Diaphragmatic ultrasound has gained importance because of its many advantages,. Comparison to phrenic stimulation and prognostic implications Ultrasound evaluation of diaphragm function in mechanically ventilated patients: This chapter focuses on thoracic ultrasound as a noninvasive technique for diaphragm morphological and functional. Assessment of diaphragm function over time:. The main goals of diaphragm ultrasound in critically ill patients are: Functional imaging. Diaphragm Function Using Ultrasound.
From www.semanticscholar.org
Figure 1 from Ultrasound in the evaluation of diaphragm Semantic Scholar Diaphragm Function Using Ultrasound Comparison to phrenic stimulation and prognostic implications Assessment of diaphragm function over time:. Ultrasound evaluation of diaphragm function in mechanically ventilated patients: The main goals of diaphragm ultrasound in critically ill patients are: Diaphragmatic ultrasound has gained importance because of its many advantages,. Functional imaging with fluoroscopy (or ultrasonography or magnetic resonance imaging) is a simple and effective method of. Diaphragm Function Using Ultrasound.
From rapm.bmj.com
EP175 Assessing diaphragmatic function using point of care ultrasound Diaphragm Function Using Ultrasound The main goals of diaphragm ultrasound in critically ill patients are: Comparison to phrenic stimulation and prognostic implications Diaphragmatic ultrasound has gained importance because of its many advantages,. Ultrasound evaluation of diaphragm function in mechanically ventilated patients: Ultrasound measurements of diaphragm thickness have been used to identify diaphragm atrophy. Functional imaging with fluoroscopy (or ultrasonography or magnetic resonance imaging) is. Diaphragm Function Using Ultrasound.
From rc.rcjournal.com
Ultrasonographic Assessment of Diaphragm Function in Critically Ill Diaphragm Function Using Ultrasound This chapter focuses on thoracic ultrasound as a noninvasive technique for diaphragm morphological and functional. Comparison to phrenic stimulation and prognostic implications Functional imaging with fluoroscopy (or ultrasonography or magnetic resonance imaging) is a simple and effective method of diagnosing diaphragmatic. The main goals of diaphragm ultrasound in critically ill patients are: Diaphragmatic ultrasound has gained importance because of its. Diaphragm Function Using Ultrasound.
From content.iospress.com
Diaphragm Pathophysiology and Ultrasound Imaging in Neuromuscular Diaphragm Function Using Ultrasound Ultrasound measurements of diaphragm thickness have been used to identify diaphragm atrophy. Assessment of diaphragm function over time:. This chapter focuses on thoracic ultrasound as a noninvasive technique for diaphragm morphological and functional. Diaphragmatic ultrasound has gained importance because of its many advantages,. The main goals of diaphragm ultrasound in critically ill patients are: Comparison to phrenic stimulation and prognostic. Diaphragm Function Using Ultrasound.
From www.mdpi.com
JCM Free FullText Diaphragmatic PointofCare Ultrasound in COVID Diaphragm Function Using Ultrasound Diaphragmatic ultrasound has gained importance because of its many advantages,. Assessment of diaphragm function over time:. Ultrasound evaluation of diaphragm function in mechanically ventilated patients: Comparison to phrenic stimulation and prognostic implications The main goals of diaphragm ultrasound in critically ill patients are: This chapter focuses on thoracic ultrasound as a noninvasive technique for diaphragm morphological and functional. Functional imaging. Diaphragm Function Using Ultrasound.
From rapm.bmj.com
EP175 Assessing diaphragmatic function using point of care ultrasound Diaphragm Function Using Ultrasound This chapter focuses on thoracic ultrasound as a noninvasive technique for diaphragm morphological and functional. Ultrasound evaluation of diaphragm function in mechanically ventilated patients: Assessment of diaphragm function over time:. Comparison to phrenic stimulation and prognostic implications Functional imaging with fluoroscopy (or ultrasonography or magnetic resonance imaging) is a simple and effective method of diagnosing diaphragmatic. Ultrasound measurements of diaphragm. Diaphragm Function Using Ultrasound.
From www.semanticscholar.org
Figure 1 from Evaluation of diaphragm functions with diaphragm Diaphragm Function Using Ultrasound Ultrasound measurements of diaphragm thickness have been used to identify diaphragm atrophy. This chapter focuses on thoracic ultrasound as a noninvasive technique for diaphragm morphological and functional. Ultrasound evaluation of diaphragm function in mechanically ventilated patients: Functional imaging with fluoroscopy (or ultrasonography or magnetic resonance imaging) is a simple and effective method of diagnosing diaphragmatic. Diaphragmatic ultrasound has gained importance. Diaphragm Function Using Ultrasound.
From www.researchgate.net
Diaphragm excursion measured by ultrasound decreases in HD patients Diaphragm Function Using Ultrasound Diaphragmatic ultrasound has gained importance because of its many advantages,. Ultrasound measurements of diaphragm thickness have been used to identify diaphragm atrophy. Assessment of diaphragm function over time:. Ultrasound evaluation of diaphragm function in mechanically ventilated patients: Comparison to phrenic stimulation and prognostic implications This chapter focuses on thoracic ultrasound as a noninvasive technique for diaphragm morphological and functional. Functional. Diaphragm Function Using Ultrasound.
From www.mdpi.com
Medicines Free FullText Diaphragm Ultrasound in Cardiac Surgery Diaphragm Function Using Ultrasound Functional imaging with fluoroscopy (or ultrasonography or magnetic resonance imaging) is a simple and effective method of diagnosing diaphragmatic. Ultrasound measurements of diaphragm thickness have been used to identify diaphragm atrophy. Ultrasound evaluation of diaphragm function in mechanically ventilated patients: Assessment of diaphragm function over time:. Comparison to phrenic stimulation and prognostic implications This chapter focuses on thoracic ultrasound as. Diaphragm Function Using Ultrasound.
From www.myxxgirl.com
Monitoring Recovery From Diaphragm Paralysis With Ultrasound Chest My Diaphragm Function Using Ultrasound Comparison to phrenic stimulation and prognostic implications Diaphragmatic ultrasound has gained importance because of its many advantages,. The main goals of diaphragm ultrasound in critically ill patients are: Ultrasound measurements of diaphragm thickness have been used to identify diaphragm atrophy. Ultrasound evaluation of diaphragm function in mechanically ventilated patients: Functional imaging with fluoroscopy (or ultrasonography or magnetic resonance imaging) is. Diaphragm Function Using Ultrasound.
From www.jove.com
Measuring Diaphragm Thickness and Function Using PointofCare Diaphragm Function Using Ultrasound Ultrasound evaluation of diaphragm function in mechanically ventilated patients: Comparison to phrenic stimulation and prognostic implications This chapter focuses on thoracic ultrasound as a noninvasive technique for diaphragm morphological and functional. Diaphragmatic ultrasound has gained importance because of its many advantages,. Ultrasound measurements of diaphragm thickness have been used to identify diaphragm atrophy. Assessment of diaphragm function over time:. Functional. Diaphragm Function Using Ultrasound.
From www.australiancriticalcare.com
Diaphragm function in patients with sepsis and septic shock A Diaphragm Function Using Ultrasound Comparison to phrenic stimulation and prognostic implications Diaphragmatic ultrasound has gained importance because of its many advantages,. The main goals of diaphragm ultrasound in critically ill patients are: Assessment of diaphragm function over time:. This chapter focuses on thoracic ultrasound as a noninvasive technique for diaphragm morphological and functional. Functional imaging with fluoroscopy (or ultrasonography or magnetic resonance imaging) is. Diaphragm Function Using Ultrasound.
From www.mdpi.com
Diagnostics Free FullText Ultrasonographic Assessment of Diaphragm Function Using Ultrasound Ultrasound measurements of diaphragm thickness have been used to identify diaphragm atrophy. This chapter focuses on thoracic ultrasound as a noninvasive technique for diaphragm morphological and functional. Ultrasound evaluation of diaphragm function in mechanically ventilated patients: The main goals of diaphragm ultrasound in critically ill patients are: Comparison to phrenic stimulation and prognostic implications Assessment of diaphragm function over time:.. Diaphragm Function Using Ultrasound.
From rk.md
MMode Ultrasound Assessment Of Diaphragm Movement RK.MD Diaphragm Function Using Ultrasound This chapter focuses on thoracic ultrasound as a noninvasive technique for diaphragm morphological and functional. Ultrasound evaluation of diaphragm function in mechanically ventilated patients: Ultrasound measurements of diaphragm thickness have been used to identify diaphragm atrophy. The main goals of diaphragm ultrasound in critically ill patients are: Comparison to phrenic stimulation and prognostic implications Assessment of diaphragm function over time:.. Diaphragm Function Using Ultrasound.
From alifeofpocus.com
Diaphragm ALIFE Diaphragm Function Using Ultrasound This chapter focuses on thoracic ultrasound as a noninvasive technique for diaphragm morphological and functional. Assessment of diaphragm function over time:. Ultrasound evaluation of diaphragm function in mechanically ventilated patients: Diaphragmatic ultrasound has gained importance because of its many advantages,. Comparison to phrenic stimulation and prognostic implications Functional imaging with fluoroscopy (or ultrasonography or magnetic resonance imaging) is a simple. Diaphragm Function Using Ultrasound.