Omental Adhesion Disease . Abdominal adhesions are bands of scar tissue connecting two parts of abdominal tissue that would otherwise not be connected. Omentum cancer starts in the fatty tissue (omentum) that drapes over all the organs in your abdomen. They can cause organs to stick to. Learn about abdominal adhesions causes (pelvic inflammatory disease, previous surgeries), symptoms (abdominal pain or cramping), and. Abdominal adhesions can kink, twist, pull, or compress the intestines and other organs in the abdomen, causing symptoms and complications, such as. Scars on the inside after surgery are known as abdominal adhesions. Abdominal surgery is the most common. Here are five things to know about this scar tissue. Abdominal adhesions are bands of fibrous scar tissue that form on organs in the abdomen. It’s extremely rare to have a tumor.
from www.ajkd.org
Scars on the inside after surgery are known as abdominal adhesions. Abdominal adhesions are bands of fibrous scar tissue that form on organs in the abdomen. Abdominal surgery is the most common. Here are five things to know about this scar tissue. Omentum cancer starts in the fatty tissue (omentum) that drapes over all the organs in your abdomen. Learn about abdominal adhesions causes (pelvic inflammatory disease, previous surgeries), symptoms (abdominal pain or cramping), and. Abdominal adhesions can kink, twist, pull, or compress the intestines and other organs in the abdomen, causing symptoms and complications, such as. It’s extremely rare to have a tumor. Abdominal adhesions are bands of scar tissue connecting two parts of abdominal tissue that would otherwise not be connected. They can cause organs to stick to.
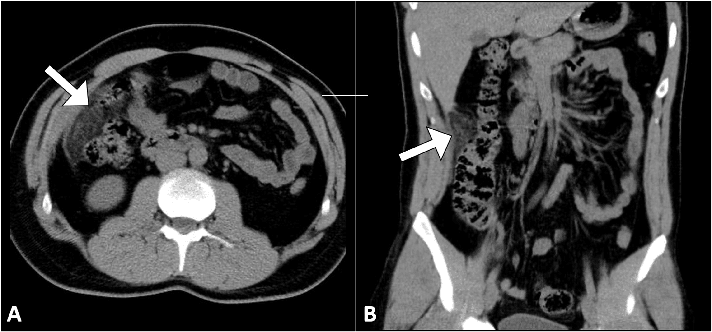
Peritoneal Dialysis Outflow Failure From Omental Wrapping Diagnosed by
Omental Adhesion Disease Learn about abdominal adhesions causes (pelvic inflammatory disease, previous surgeries), symptoms (abdominal pain or cramping), and. Abdominal surgery is the most common. Abdominal adhesions are bands of scar tissue connecting two parts of abdominal tissue that would otherwise not be connected. Learn about abdominal adhesions causes (pelvic inflammatory disease, previous surgeries), symptoms (abdominal pain or cramping), and. Scars on the inside after surgery are known as abdominal adhesions. Omentum cancer starts in the fatty tissue (omentum) that drapes over all the organs in your abdomen. Abdominal adhesions are bands of fibrous scar tissue that form on organs in the abdomen. They can cause organs to stick to. Here are five things to know about this scar tissue. Abdominal adhesions can kink, twist, pull, or compress the intestines and other organs in the abdomen, causing symptoms and complications, such as. It’s extremely rare to have a tumor.
From radiologycases.my
Omental cake from metastatic lung carcinoma Radiology Cases Omental Adhesion Disease Omentum cancer starts in the fatty tissue (omentum) that drapes over all the organs in your abdomen. Learn about abdominal adhesions causes (pelvic inflammatory disease, previous surgeries), symptoms (abdominal pain or cramping), and. Scars on the inside after surgery are known as abdominal adhesions. Here are five things to know about this scar tissue. Abdominal adhesions are bands of scar. Omental Adhesion Disease.
From www.cureus.com
Cureus Omental Infarction Mimicking Acute Appendicitis A Case Report Omental Adhesion Disease Scars on the inside after surgery are known as abdominal adhesions. Abdominal adhesions are bands of fibrous scar tissue that form on organs in the abdomen. Omentum cancer starts in the fatty tissue (omentum) that drapes over all the organs in your abdomen. They can cause organs to stick to. Abdominal surgery is the most common. It’s extremely rare to. Omental Adhesion Disease.
From www.slideserve.com
PPT The peritoneum 腹膜 PowerPoint Presentation ID746252 Omental Adhesion Disease Omentum cancer starts in the fatty tissue (omentum) that drapes over all the organs in your abdomen. Abdominal adhesions can kink, twist, pull, or compress the intestines and other organs in the abdomen, causing symptoms and complications, such as. It’s extremely rare to have a tumor. Scars on the inside after surgery are known as abdominal adhesions. They can cause. Omental Adhesion Disease.
From www.researchgate.net
(PDF) Omental infarction and anterior wall adhesion presenting as Omental Adhesion Disease Abdominal surgery is the most common. Scars on the inside after surgery are known as abdominal adhesions. Learn about abdominal adhesions causes (pelvic inflammatory disease, previous surgeries), symptoms (abdominal pain or cramping), and. Abdominal adhesions can kink, twist, pull, or compress the intestines and other organs in the abdomen, causing symptoms and complications, such as. It’s extremely rare to have. Omental Adhesion Disease.
From www.researchgate.net
Laparoscopic findings show severe omental adhesions and a cystic mass Omental Adhesion Disease Abdominal adhesions are bands of scar tissue connecting two parts of abdominal tissue that would otherwise not be connected. Here are five things to know about this scar tissue. Abdominal surgery is the most common. Abdominal adhesions are bands of fibrous scar tissue that form on organs in the abdomen. Scars on the inside after surgery are known as abdominal. Omental Adhesion Disease.
From radiologycases.my
Omental cake from metastatic lung carcinoma Radiology Cases Omental Adhesion Disease Omentum cancer starts in the fatty tissue (omentum) that drapes over all the organs in your abdomen. Abdominal adhesions are bands of fibrous scar tissue that form on organs in the abdomen. It’s extremely rare to have a tumor. They can cause organs to stick to. Abdominal surgery is the most common. Here are five things to know about this. Omental Adhesion Disease.
From jmedicalcasereports.biomedcentral.com
Omental infarction in the postpartum period a case report and a review Omental Adhesion Disease Abdominal adhesions can kink, twist, pull, or compress the intestines and other organs in the abdomen, causing symptoms and complications, such as. They can cause organs to stick to. Abdominal adhesions are bands of fibrous scar tissue that form on organs in the abdomen. Here are five things to know about this scar tissue. Abdominal adhesions are bands of scar. Omental Adhesion Disease.
From www.ajkd.org
Peritoneal Dialysis Outflow Failure From Omental Wrapping Diagnosed by Omental Adhesion Disease Omentum cancer starts in the fatty tissue (omentum) that drapes over all the organs in your abdomen. Abdominal adhesions are bands of fibrous scar tissue that form on organs in the abdomen. Learn about abdominal adhesions causes (pelvic inflammatory disease, previous surgeries), symptoms (abdominal pain or cramping), and. Here are five things to know about this scar tissue. They can. Omental Adhesion Disease.
From onlinelibrary.wiley.com
Omental infarction and anterior wall adhesion presenting as surgical Omental Adhesion Disease Scars on the inside after surgery are known as abdominal adhesions. Abdominal adhesions are bands of fibrous scar tissue that form on organs in the abdomen. They can cause organs to stick to. It’s extremely rare to have a tumor. Abdominal adhesions can kink, twist, pull, or compress the intestines and other organs in the abdomen, causing symptoms and complications,. Omental Adhesion Disease.
From www.soard.org
Encapsulated omental necrosis after RouxenY gastric bypass Surgery Omental Adhesion Disease Omentum cancer starts in the fatty tissue (omentum) that drapes over all the organs in your abdomen. It’s extremely rare to have a tumor. Abdominal surgery is the most common. Abdominal adhesions can kink, twist, pull, or compress the intestines and other organs in the abdomen, causing symptoms and complications, such as. Abdominal adhesions are bands of scar tissue connecting. Omental Adhesion Disease.
From www.researchgate.net
Intraabdominal view of all relevant structures of the omental bursa Omental Adhesion Disease Learn about abdominal adhesions causes (pelvic inflammatory disease, previous surgeries), symptoms (abdominal pain or cramping), and. Abdominal adhesions are bands of fibrous scar tissue that form on organs in the abdomen. Abdominal adhesions are bands of scar tissue connecting two parts of abdominal tissue that would otherwise not be connected. Omentum cancer starts in the fatty tissue (omentum) that drapes. Omental Adhesion Disease.
From www.semanticscholar.org
Figure 2 from Primary omental infarction as cause of nonsurgical acute Omental Adhesion Disease Abdominal adhesions are bands of scar tissue connecting two parts of abdominal tissue that would otherwise not be connected. Abdominal adhesions are bands of fibrous scar tissue that form on organs in the abdomen. Here are five things to know about this scar tissue. They can cause organs to stick to. It’s extremely rare to have a tumor. Abdominal surgery. Omental Adhesion Disease.
From www.knowyourbody.net
Greater Omentum Function, Location, FAQs and Related Conditions Omental Adhesion Disease Here are five things to know about this scar tissue. Scars on the inside after surgery are known as abdominal adhesions. They can cause organs to stick to. Learn about abdominal adhesions causes (pelvic inflammatory disease, previous surgeries), symptoms (abdominal pain or cramping), and. It’s extremely rare to have a tumor. Abdominal adhesions can kink, twist, pull, or compress the. Omental Adhesion Disease.
From casereports.bmj.com
Leftsided omental infarction a rare cause of abdominal pain Omental Adhesion Disease Learn about abdominal adhesions causes (pelvic inflammatory disease, previous surgeries), symptoms (abdominal pain or cramping), and. Abdominal adhesions are bands of fibrous scar tissue that form on organs in the abdomen. Abdominal adhesions can kink, twist, pull, or compress the intestines and other organs in the abdomen, causing symptoms and complications, such as. It’s extremely rare to have a tumor.. Omental Adhesion Disease.
From healthncare.info
Omental Caking Symptoms, Causes, Radiology, Prognosis, Treatment Omental Adhesion Disease Abdominal surgery is the most common. Abdominal adhesions can kink, twist, pull, or compress the intestines and other organs in the abdomen, causing symptoms and complications, such as. Abdominal adhesions are bands of fibrous scar tissue that form on organs in the abdomen. Scars on the inside after surgery are known as abdominal adhesions. It’s extremely rare to have a. Omental Adhesion Disease.
From www.researchgate.net
Omental biopsies, showing (a) spread pattern in the omentum at 2×, (b Omental Adhesion Disease Abdominal adhesions are bands of scar tissue connecting two parts of abdominal tissue that would otherwise not be connected. Omentum cancer starts in the fatty tissue (omentum) that drapes over all the organs in your abdomen. Here are five things to know about this scar tissue. They can cause organs to stick to. Scars on the inside after surgery are. Omental Adhesion Disease.
From www.ncbi.nlm.nih.gov
Anatomy, Abdomen and Pelvis Foramen of Winslow (Omental Foramen Omental Adhesion Disease It’s extremely rare to have a tumor. Abdominal adhesions are bands of scar tissue connecting two parts of abdominal tissue that would otherwise not be connected. Omentum cancer starts in the fatty tissue (omentum) that drapes over all the organs in your abdomen. Here are five things to know about this scar tissue. Abdominal surgery is the most common. Scars. Omental Adhesion Disease.
From www.semanticscholar.org
Figure 11 from Update in mesenteric and omental disease CT and MR Omental Adhesion Disease Abdominal surgery is the most common. Here are five things to know about this scar tissue. They can cause organs to stick to. Abdominal adhesions are bands of scar tissue connecting two parts of abdominal tissue that would otherwise not be connected. Learn about abdominal adhesions causes (pelvic inflammatory disease, previous surgeries), symptoms (abdominal pain or cramping), and. It’s extremely. Omental Adhesion Disease.
From answersrepublic.com
Understanding Lysis of Adhesions for Abdominal Pain Omental Adhesion Disease Abdominal adhesions can kink, twist, pull, or compress the intestines and other organs in the abdomen, causing symptoms and complications, such as. It’s extremely rare to have a tumor. Abdominal adhesions are bands of scar tissue connecting two parts of abdominal tissue that would otherwise not be connected. Omentum cancer starts in the fatty tissue (omentum) that drapes over all. Omental Adhesion Disease.
From www.researchgate.net
(PDF) Surgical anatomy of the omental bursa and the stomach based on a Omental Adhesion Disease Abdominal adhesions can kink, twist, pull, or compress the intestines and other organs in the abdomen, causing symptoms and complications, such as. Abdominal adhesions are bands of fibrous scar tissue that form on organs in the abdomen. It’s extremely rare to have a tumor. Omentum cancer starts in the fatty tissue (omentum) that drapes over all the organs in your. Omental Adhesion Disease.
From www.authorea.com
Omental infarction and anterior wall adhesion presenting as surgical Omental Adhesion Disease It’s extremely rare to have a tumor. Here are five things to know about this scar tissue. Abdominal adhesions can kink, twist, pull, or compress the intestines and other organs in the abdomen, causing symptoms and complications, such as. Learn about abdominal adhesions causes (pelvic inflammatory disease, previous surgeries), symptoms (abdominal pain or cramping), and. Scars on the inside after. Omental Adhesion Disease.
From www.researchgate.net
(PDF) Omental infarction and anterior wall adhesion presenting as Omental Adhesion Disease Learn about abdominal adhesions causes (pelvic inflammatory disease, previous surgeries), symptoms (abdominal pain or cramping), and. Abdominal adhesions are bands of fibrous scar tissue that form on organs in the abdomen. Abdominal surgery is the most common. Omentum cancer starts in the fatty tissue (omentum) that drapes over all the organs in your abdomen. Abdominal adhesions can kink, twist, pull,. Omental Adhesion Disease.
From www.med-health.net
Omentum Omental Adhesion Disease Omentum cancer starts in the fatty tissue (omentum) that drapes over all the organs in your abdomen. They can cause organs to stick to. It’s extremely rare to have a tumor. Abdominal surgery is the most common. Abdominal adhesions can kink, twist, pull, or compress the intestines and other organs in the abdomen, causing symptoms and complications, such as. Scars. Omental Adhesion Disease.
From radiopaedia.org
Omental torsion with sigmoid colon closed loop obstruction Image Omental Adhesion Disease Here are five things to know about this scar tissue. Learn about abdominal adhesions causes (pelvic inflammatory disease, previous surgeries), symptoms (abdominal pain or cramping), and. Abdominal adhesions are bands of scar tissue connecting two parts of abdominal tissue that would otherwise not be connected. Scars on the inside after surgery are known as abdominal adhesions. They can cause organs. Omental Adhesion Disease.
From www.cureus.com
Cureus “Omental Cake” in a Patient With Asbestosis Leading to the Omental Adhesion Disease Scars on the inside after surgery are known as abdominal adhesions. Abdominal adhesions can kink, twist, pull, or compress the intestines and other organs in the abdomen, causing symptoms and complications, such as. It’s extremely rare to have a tumor. Abdominal adhesions are bands of fibrous scar tissue that form on organs in the abdomen. Learn about abdominal adhesions causes. Omental Adhesion Disease.
From www.slideserve.com
PPT Omental Infarction and Epiploic Appendagitis PowerPoint Omental Adhesion Disease Abdominal adhesions can kink, twist, pull, or compress the intestines and other organs in the abdomen, causing symptoms and complications, such as. Abdominal surgery is the most common. Learn about abdominal adhesions causes (pelvic inflammatory disease, previous surgeries), symptoms (abdominal pain or cramping), and. Scars on the inside after surgery are known as abdominal adhesions. Omentum cancer starts in the. Omental Adhesion Disease.
From www.researchgate.net
Fibronectin is overexpressed in the stroma of omental metastases. (A Omental Adhesion Disease It’s extremely rare to have a tumor. Abdominal adhesions are bands of scar tissue connecting two parts of abdominal tissue that would otherwise not be connected. Here are five things to know about this scar tissue. Abdominal adhesions can kink, twist, pull, or compress the intestines and other organs in the abdomen, causing symptoms and complications, such as. Abdominal surgery. Omental Adhesion Disease.
From www.researchgate.net
Omental adhesions with the parietal wall showing neovascularization Omental Adhesion Disease Learn about abdominal adhesions causes (pelvic inflammatory disease, previous surgeries), symptoms (abdominal pain or cramping), and. Abdominal surgery is the most common. Here are five things to know about this scar tissue. Scars on the inside after surgery are known as abdominal adhesions. They can cause organs to stick to. Omentum cancer starts in the fatty tissue (omentum) that drapes. Omental Adhesion Disease.
From www.youtube.com
Omental Cake in Peritoneal Carcinomatosis YouTube Omental Adhesion Disease It’s extremely rare to have a tumor. Omentum cancer starts in the fatty tissue (omentum) that drapes over all the organs in your abdomen. They can cause organs to stick to. Here are five things to know about this scar tissue. Scars on the inside after surgery are known as abdominal adhesions. Abdominal adhesions are bands of scar tissue connecting. Omental Adhesion Disease.
From www.slideserve.com
PPT Omental Infarction and Epiploic Appendagitis PowerPoint Omental Adhesion Disease They can cause organs to stick to. Learn about abdominal adhesions causes (pelvic inflammatory disease, previous surgeries), symptoms (abdominal pain or cramping), and. Abdominal adhesions are bands of fibrous scar tissue that form on organs in the abdomen. Omentum cancer starts in the fatty tissue (omentum) that drapes over all the organs in your abdomen. Here are five things to. Omental Adhesion Disease.
From www.researchgate.net
(a) Laparoscopic view of extensive omental adhesions present at the Omental Adhesion Disease It’s extremely rare to have a tumor. Abdominal adhesions are bands of scar tissue connecting two parts of abdominal tissue that would otherwise not be connected. Learn about abdominal adhesions causes (pelvic inflammatory disease, previous surgeries), symptoms (abdominal pain or cramping), and. Here are five things to know about this scar tissue. Omentum cancer starts in the fatty tissue (omentum). Omental Adhesion Disease.
From radiopaedia.org
Closed loop small bowel obstruction omental adhesion causing Omental Adhesion Disease Abdominal adhesions are bands of scar tissue connecting two parts of abdominal tissue that would otherwise not be connected. They can cause organs to stick to. Here are five things to know about this scar tissue. It’s extremely rare to have a tumor. Abdominal adhesions can kink, twist, pull, or compress the intestines and other organs in the abdomen, causing. Omental Adhesion Disease.
From www.researchgate.net
Dense omental adhesions around the gallbladder area. Download Omental Adhesion Disease Abdominal adhesions are bands of scar tissue connecting two parts of abdominal tissue that would otherwise not be connected. Omentum cancer starts in the fatty tissue (omentum) that drapes over all the organs in your abdomen. Scars on the inside after surgery are known as abdominal adhesions. Learn about abdominal adhesions causes (pelvic inflammatory disease, previous surgeries), symptoms (abdominal pain. Omental Adhesion Disease.
From radiopaedia.org
Omental torsion with sigmoid colon closed loop obstruction Image Omental Adhesion Disease Abdominal adhesions can kink, twist, pull, or compress the intestines and other organs in the abdomen, causing symptoms and complications, such as. Here are five things to know about this scar tissue. Learn about abdominal adhesions causes (pelvic inflammatory disease, previous surgeries), symptoms (abdominal pain or cramping), and. It’s extremely rare to have a tumor. They can cause organs to. Omental Adhesion Disease.
From www.alamy.com
Omental adhesions hires stock photography and images Alamy Omental Adhesion Disease Abdominal adhesions are bands of fibrous scar tissue that form on organs in the abdomen. They can cause organs to stick to. Here are five things to know about this scar tissue. Abdominal surgery is the most common. It’s extremely rare to have a tumor. Abdominal adhesions can kink, twist, pull, or compress the intestines and other organs in the. Omental Adhesion Disease.