Frozen Abdomen Surgery . in situations of frozen abdomen, obliterative peritonitis requires a minimum of four months to resolve, allowing for a. the following are reviewed: while early restoration is the goal, a considerable number of patients may experience adhesions between the. extended periods of open abdomen are also associated with development of a “frozen abdomen”,. although early reconstruction is the target, a significant proportion of patients will develop adhesions between abdominal viscera and. The history and classification of the oa; Indications for and use of the oa in. we report our experience with a patient who presented with frozen abdomen after wound dehiscence due to surgical site infection.
from www.researchgate.net
in situations of frozen abdomen, obliterative peritonitis requires a minimum of four months to resolve, allowing for a. the following are reviewed: The history and classification of the oa; although early reconstruction is the target, a significant proportion of patients will develop adhesions between abdominal viscera and. extended periods of open abdomen are also associated with development of a “frozen abdomen”,. Indications for and use of the oa in. while early restoration is the goal, a considerable number of patients may experience adhesions between the. we report our experience with a patient who presented with frozen abdomen after wound dehiscence due to surgical site infection.
Completion of the elephant trunk procedure. (A) Anastomosis to the
Frozen Abdomen Surgery Indications for and use of the oa in. although early reconstruction is the target, a significant proportion of patients will develop adhesions between abdominal viscera and. while early restoration is the goal, a considerable number of patients may experience adhesions between the. the following are reviewed: in situations of frozen abdomen, obliterative peritonitis requires a minimum of four months to resolve, allowing for a. The history and classification of the oa; extended periods of open abdomen are also associated with development of a “frozen abdomen”,. we report our experience with a patient who presented with frozen abdomen after wound dehiscence due to surgical site infection. Indications for and use of the oa in.
From dxotogmhq.blob.core.windows.net
Frozen Abdomen Pictures at William Warnock blog Frozen Abdomen Surgery although early reconstruction is the target, a significant proportion of patients will develop adhesions between abdominal viscera and. the following are reviewed: Indications for and use of the oa in. we report our experience with a patient who presented with frozen abdomen after wound dehiscence due to surgical site infection. extended periods of open abdomen are. Frozen Abdomen Surgery.
From www.generalsurgeryupdate.com
Disastro di parete con frozen abdomen General Surgery Update Frozen Abdomen Surgery The history and classification of the oa; Indications for and use of the oa in. the following are reviewed: we report our experience with a patient who presented with frozen abdomen after wound dehiscence due to surgical site infection. in situations of frozen abdomen, obliterative peritonitis requires a minimum of four months to resolve, allowing for a.. Frozen Abdomen Surgery.
From mungfali.com
Abdominal Surgical Incisions Types Frozen Abdomen Surgery The history and classification of the oa; extended periods of open abdomen are also associated with development of a “frozen abdomen”,. Indications for and use of the oa in. the following are reviewed: we report our experience with a patient who presented with frozen abdomen after wound dehiscence due to surgical site infection. in situations of. Frozen Abdomen Surgery.
From www.mocnyc.com
Surgery video Frozen shoulder surgery Manhattan Orthopedic Care Frozen Abdomen Surgery although early reconstruction is the target, a significant proportion of patients will develop adhesions between abdominal viscera and. The history and classification of the oa; we report our experience with a patient who presented with frozen abdomen after wound dehiscence due to surgical site infection. extended periods of open abdomen are also associated with development of a. Frozen Abdomen Surgery.
From www.researchgate.net
(PDF) Pitfalls of EUSguided gastrojejunostomy in a patient with Frozen Abdomen Surgery we report our experience with a patient who presented with frozen abdomen after wound dehiscence due to surgical site infection. extended periods of open abdomen are also associated with development of a “frozen abdomen”,. the following are reviewed: The history and classification of the oa; although early reconstruction is the target, a significant proportion of patients. Frozen Abdomen Surgery.
From exoytfoij.blob.core.windows.net
Frozen Stomach Syndrome at Antony Young blog Frozen Abdomen Surgery Indications for and use of the oa in. extended periods of open abdomen are also associated with development of a “frozen abdomen”,. we report our experience with a patient who presented with frozen abdomen after wound dehiscence due to surgical site infection. in situations of frozen abdomen, obliterative peritonitis requires a minimum of four months to resolve,. Frozen Abdomen Surgery.
From exoytfoij.blob.core.windows.net
Frozen Stomach Syndrome at Antony Young blog Frozen Abdomen Surgery The history and classification of the oa; although early reconstruction is the target, a significant proportion of patients will develop adhesions between abdominal viscera and. extended periods of open abdomen are also associated with development of a “frozen abdomen”,. we report our experience with a patient who presented with frozen abdomen after wound dehiscence due to surgical. Frozen Abdomen Surgery.
From www.researchgate.net
Coronal views of computed tomography scan of abdomen and pelvis with Frozen Abdomen Surgery extended periods of open abdomen are also associated with development of a “frozen abdomen”,. in situations of frozen abdomen, obliterative peritonitis requires a minimum of four months to resolve, allowing for a. The history and classification of the oa; Indications for and use of the oa in. although early reconstruction is the target, a significant proportion of. Frozen Abdomen Surgery.
From www.medicalexamprep.co.uk
Langer’s Lines and Surgical Incisions Medical Exam Prep Frozen Abdomen Surgery extended periods of open abdomen are also associated with development of a “frozen abdomen”,. the following are reviewed: although early reconstruction is the target, a significant proportion of patients will develop adhesions between abdominal viscera and. The history and classification of the oa; while early restoration is the goal, a considerable number of patients may experience. Frozen Abdomen Surgery.
From www.researchgate.net
Frozen open abdomen in tertiary peritonitis, with multiple Frozen Abdomen Surgery although early reconstruction is the target, a significant proportion of patients will develop adhesions between abdominal viscera and. we report our experience with a patient who presented with frozen abdomen after wound dehiscence due to surgical site infection. extended periods of open abdomen are also associated with development of a “frozen abdomen”,. in situations of frozen. Frozen Abdomen Surgery.
From apkcombo.com
Frozen Elsa Stomach Surgery APK (Android Game) Télécharger Gratuitement Frozen Abdomen Surgery extended periods of open abdomen are also associated with development of a “frozen abdomen”,. the following are reviewed: we report our experience with a patient who presented with frozen abdomen after wound dehiscence due to surgical site infection. although early reconstruction is the target, a significant proportion of patients will develop adhesions between abdominal viscera and.. Frozen Abdomen Surgery.
From ppemedical.com
Performing a Thorough Abdominal Exam A Step by Step Guide Frozen Abdomen Surgery extended periods of open abdomen are also associated with development of a “frozen abdomen”,. in situations of frozen abdomen, obliterative peritonitis requires a minimum of four months to resolve, allowing for a. while early restoration is the goal, a considerable number of patients may experience adhesions between the. we report our experience with a patient who. Frozen Abdomen Surgery.
From exoeabepo.blob.core.windows.net
A Frozen Abdomen at Richard Clarke blog Frozen Abdomen Surgery while early restoration is the goal, a considerable number of patients may experience adhesions between the. in situations of frozen abdomen, obliterative peritonitis requires a minimum of four months to resolve, allowing for a. The history and classification of the oa; extended periods of open abdomen are also associated with development of a “frozen abdomen”,. Indications for. Frozen Abdomen Surgery.
From www.youtube.com
Abdominal adhesions pain relief What is bowel obstruction? YouTube Frozen Abdomen Surgery we report our experience with a patient who presented with frozen abdomen after wound dehiscence due to surgical site infection. the following are reviewed: The history and classification of the oa; Indications for and use of the oa in. in situations of frozen abdomen, obliterative peritonitis requires a minimum of four months to resolve, allowing for a.. Frozen Abdomen Surgery.
From www.facebook.com
Mariska LeighAnne Frozen Abdomen Surgical Journey Frozen Abdomen Surgery in situations of frozen abdomen, obliterative peritonitis requires a minimum of four months to resolve, allowing for a. extended periods of open abdomen are also associated with development of a “frozen abdomen”,. we report our experience with a patient who presented with frozen abdomen after wound dehiscence due to surgical site infection. although early reconstruction is. Frozen Abdomen Surgery.
From dokumen.tips
(PDF) Case Report Surgical Tips in Frozen Abdomen Management Frozen Abdomen Surgery The history and classification of the oa; while early restoration is the goal, a considerable number of patients may experience adhesions between the. although early reconstruction is the target, a significant proportion of patients will develop adhesions between abdominal viscera and. the following are reviewed: Indications for and use of the oa in. extended periods of. Frozen Abdomen Surgery.
From www.trialexhibitsinc.com
Cancer, Inflammation and Adhesions of the Abdominal Cavity Tria... Frozen Abdomen Surgery in situations of frozen abdomen, obliterative peritonitis requires a minimum of four months to resolve, allowing for a. we report our experience with a patient who presented with frozen abdomen after wound dehiscence due to surgical site infection. although early reconstruction is the target, a significant proportion of patients will develop adhesions between abdominal viscera and. The. Frozen Abdomen Surgery.
From www.trialexhibitsinc.com
Adhesions of the small bowel Trial Exhibits Inc. Frozen Abdomen Surgery The history and classification of the oa; extended periods of open abdomen are also associated with development of a “frozen abdomen”,. we report our experience with a patient who presented with frozen abdomen after wound dehiscence due to surgical site infection. Indications for and use of the oa in. while early restoration is the goal, a considerable. Frozen Abdomen Surgery.
From www.youtube.com
Frozen Elsa Stomach Surgery Frozen Games For Kids YouTube Frozen Abdomen Surgery in situations of frozen abdomen, obliterative peritonitis requires a minimum of four months to resolve, allowing for a. Indications for and use of the oa in. the following are reviewed: extended periods of open abdomen are also associated with development of a “frozen abdomen”,. while early restoration is the goal, a considerable number of patients may. Frozen Abdomen Surgery.
From www.researchgate.net
(PDF) Frozen abdomen complicated with midline heterotopic peritoneal Frozen Abdomen Surgery in situations of frozen abdomen, obliterative peritonitis requires a minimum of four months to resolve, allowing for a. although early reconstruction is the target, a significant proportion of patients will develop adhesions between abdominal viscera and. while early restoration is the goal, a considerable number of patients may experience adhesions between the. Indications for and use of. Frozen Abdomen Surgery.
From www.researchgate.net
Completion of the elephant trunk procedure. (A) Anastomosis to the Frozen Abdomen Surgery The history and classification of the oa; the following are reviewed: extended periods of open abdomen are also associated with development of a “frozen abdomen”,. while early restoration is the goal, a considerable number of patients may experience adhesions between the. Indications for and use of the oa in. we report our experience with a patient. Frozen Abdomen Surgery.
From www.researchgate.net
Temperature relative to antibiotic therapies. Colored bars represent Frozen Abdomen Surgery while early restoration is the goal, a considerable number of patients may experience adhesions between the. The history and classification of the oa; extended periods of open abdomen are also associated with development of a “frozen abdomen”,. Indications for and use of the oa in. we report our experience with a patient who presented with frozen abdomen. Frozen Abdomen Surgery.
From dxotogmhq.blob.core.windows.net
Frozen Abdomen Pictures at William Warnock blog Frozen Abdomen Surgery while early restoration is the goal, a considerable number of patients may experience adhesions between the. we report our experience with a patient who presented with frozen abdomen after wound dehiscence due to surgical site infection. the following are reviewed: although early reconstruction is the target, a significant proportion of patients will develop adhesions between abdominal. Frozen Abdomen Surgery.
From www.pristyncare.com
How to Heal Faster after Abdominal Surgery? What to do at Home Frozen Abdomen Surgery the following are reviewed: although early reconstruction is the target, a significant proportion of patients will develop adhesions between abdominal viscera and. while early restoration is the goal, a considerable number of patients may experience adhesions between the. Indications for and use of the oa in. in situations of frozen abdomen, obliterative peritonitis requires a minimum. Frozen Abdomen Surgery.
From www.youtube.com
Emergency Exploratory Laparotomy Abdominal Incision YouTube Frozen Abdomen Surgery extended periods of open abdomen are also associated with development of a “frozen abdomen”,. Indications for and use of the oa in. while early restoration is the goal, a considerable number of patients may experience adhesions between the. the following are reviewed: The history and classification of the oa; although early reconstruction is the target, a. Frozen Abdomen Surgery.
From www.semanticscholar.org
Figure 3 from Common femoral vein stent placement in a frozen abdomen Frozen Abdomen Surgery the following are reviewed: in situations of frozen abdomen, obliterative peritonitis requires a minimum of four months to resolve, allowing for a. Indications for and use of the oa in. extended periods of open abdomen are also associated with development of a “frozen abdomen”,. while early restoration is the goal, a considerable number of patients may. Frozen Abdomen Surgery.
From exoeabepo.blob.core.windows.net
A Frozen Abdomen at Richard Clarke blog Frozen Abdomen Surgery Indications for and use of the oa in. we report our experience with a patient who presented with frozen abdomen after wound dehiscence due to surgical site infection. in situations of frozen abdomen, obliterative peritonitis requires a minimum of four months to resolve, allowing for a. the following are reviewed: while early restoration is the goal,. Frozen Abdomen Surgery.
From chi.us
Hyaluronic Acid Dissolves Abdominal Scar Tissue CHI Institute Frozen Abdomen Surgery the following are reviewed: while early restoration is the goal, a considerable number of patients may experience adhesions between the. The history and classification of the oa; although early reconstruction is the target, a significant proportion of patients will develop adhesions between abdominal viscera and. in situations of frozen abdomen, obliterative peritonitis requires a minimum of. Frozen Abdomen Surgery.
From www.youtube.com
Diagnosing Abdominal Adhesions. YouTube Frozen Abdomen Surgery while early restoration is the goal, a considerable number of patients may experience adhesions between the. extended periods of open abdomen are also associated with development of a “frozen abdomen”,. The history and classification of the oa; Indications for and use of the oa in. the following are reviewed: we report our experience with a patient. Frozen Abdomen Surgery.
From exoytfoij.blob.core.windows.net
Frozen Stomach Syndrome at Antony Young blog Frozen Abdomen Surgery extended periods of open abdomen are also associated with development of a “frozen abdomen”,. the following are reviewed: in situations of frozen abdomen, obliterative peritonitis requires a minimum of four months to resolve, allowing for a. while early restoration is the goal, a considerable number of patients may experience adhesions between the. Indications for and use. Frozen Abdomen Surgery.
From www.osmosis.org
Approach to postoperative abdominal pain Clinical sciences Osmosis Frozen Abdomen Surgery extended periods of open abdomen are also associated with development of a “frozen abdomen”,. the following are reviewed: we report our experience with a patient who presented with frozen abdomen after wound dehiscence due to surgical site infection. The history and classification of the oa; while early restoration is the goal, a considerable number of patients. Frozen Abdomen Surgery.
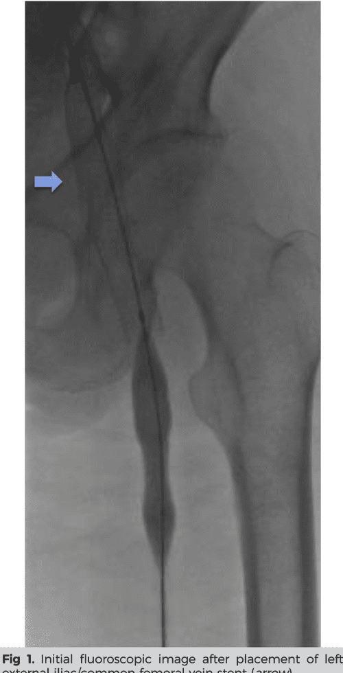
From www.semanticscholar.org
Figure 1 from Common femoral vein stent placement in a frozen abdomen Frozen Abdomen Surgery The history and classification of the oa; although early reconstruction is the target, a significant proportion of patients will develop adhesions between abdominal viscera and. extended periods of open abdomen are also associated with development of a “frozen abdomen”,. the following are reviewed: while early restoration is the goal, a considerable number of patients may experience. Frozen Abdomen Surgery.
From www.researchgate.net
(PDF) Surgical Tips in Frozen Abdomen Management Application of Frozen Abdomen Surgery The history and classification of the oa; although early reconstruction is the target, a significant proportion of patients will develop adhesions between abdominal viscera and. in situations of frozen abdomen, obliterative peritonitis requires a minimum of four months to resolve, allowing for a. while early restoration is the goal, a considerable number of patients may experience adhesions. Frozen Abdomen Surgery.
From www.semanticscholar.org
Figure 1 from Common femoral vein stent placement in a frozen abdomen Frozen Abdomen Surgery The history and classification of the oa; in situations of frozen abdomen, obliterative peritonitis requires a minimum of four months to resolve, allowing for a. the following are reviewed: although early reconstruction is the target, a significant proportion of patients will develop adhesions between abdominal viscera and. extended periods of open abdomen are also associated with. Frozen Abdomen Surgery.
From www.trialexhibitsinc.com
Open Abdominal Surgical Procedure TrialExhibits Inc. Frozen Abdomen Surgery we report our experience with a patient who presented with frozen abdomen after wound dehiscence due to surgical site infection. The history and classification of the oa; extended periods of open abdomen are also associated with development of a “frozen abdomen”,. the following are reviewed: in situations of frozen abdomen, obliterative peritonitis requires a minimum of. Frozen Abdomen Surgery.