Are Blood Clots Normal After Urolift . These side effects include a small. Some side effects that may be experienced following a urolift procedure include: For the first few weeks after treatment, it is normal to experience some mild discomfort, tenderness, light blood in the urine, and urgency, which typically resolve on their own. Pain or burning on urination. Light blood in the urine. Hematuria may occur following the. We present a rare complication of a large pelvic hematoma after a minimally. There may be blood which will develop on an intermittent. It will be normal to have burning and stinging with urination for the first two months. Lasting side effects are extremely rare with urolift. Urolift was granted us fda approval in 2013, and so far, it has gained acceptance and popularity worldwide. Ed evaluation revealed bp 63/33 and hemoglobin (hb) 8.7 g/dl, ~2 points below.
from www.youtube.com
Some side effects that may be experienced following a urolift procedure include: These side effects include a small. Urolift was granted us fda approval in 2013, and so far, it has gained acceptance and popularity worldwide. There may be blood which will develop on an intermittent. For the first few weeks after treatment, it is normal to experience some mild discomfort, tenderness, light blood in the urine, and urgency, which typically resolve on their own. Light blood in the urine. We present a rare complication of a large pelvic hematoma after a minimally. Pain or burning on urination. It will be normal to have burning and stinging with urination for the first two months. Ed evaluation revealed bp 63/33 and hemoglobin (hb) 8.7 g/dl, ~2 points below.
UroLift® System Procedure Animation YouTube
Are Blood Clots Normal After Urolift It will be normal to have burning and stinging with urination for the first two months. There may be blood which will develop on an intermittent. For the first few weeks after treatment, it is normal to experience some mild discomfort, tenderness, light blood in the urine, and urgency, which typically resolve on their own. Ed evaluation revealed bp 63/33 and hemoglobin (hb) 8.7 g/dl, ~2 points below. These side effects include a small. Some side effects that may be experienced following a urolift procedure include: Hematuria may occur following the. Urolift was granted us fda approval in 2013, and so far, it has gained acceptance and popularity worldwide. It will be normal to have burning and stinging with urination for the first two months. Pain or burning on urination. Lasting side effects are extremely rare with urolift. We present a rare complication of a large pelvic hematoma after a minimally. Light blood in the urine.
From ar.inspiredpencil.com
Blood Clots In Urine Are Blood Clots Normal After Urolift It will be normal to have burning and stinging with urination for the first two months. Lasting side effects are extremely rare with urolift. Some side effects that may be experienced following a urolift procedure include: These side effects include a small. Light blood in the urine. For the first few weeks after treatment, it is normal to experience some. Are Blood Clots Normal After Urolift.
From medizzy.com
Blood clot MEDizzy Are Blood Clots Normal After Urolift Lasting side effects are extremely rare with urolift. There may be blood which will develop on an intermittent. Pain or burning on urination. Urolift was granted us fda approval in 2013, and so far, it has gained acceptance and popularity worldwide. For the first few weeks after treatment, it is normal to experience some mild discomfort, tenderness, light blood in. Are Blood Clots Normal After Urolift.
From www.youtube.com
1 year after UroLift for BPH Patient Comments Dr. John Lin Sunrise Are Blood Clots Normal After Urolift Some side effects that may be experienced following a urolift procedure include: Urolift was granted us fda approval in 2013, and so far, it has gained acceptance and popularity worldwide. Pain or burning on urination. There may be blood which will develop on an intermittent. Light blood in the urine. For the first few weeks after treatment, it is normal. Are Blood Clots Normal After Urolift.
From hxeualamf.blob.core.windows.net
Are Blood Clots Normal After Giving Birth at Aldridge blog Are Blood Clots Normal After Urolift Pain or burning on urination. Hematuria may occur following the. It will be normal to have burning and stinging with urination for the first two months. There may be blood which will develop on an intermittent. Ed evaluation revealed bp 63/33 and hemoglobin (hb) 8.7 g/dl, ~2 points below. For the first few weeks after treatment, it is normal to. Are Blood Clots Normal After Urolift.
From magazine.medlineplus.gov
The basics of blood clots What you need to know NIH MedlinePlus Magazine Are Blood Clots Normal After Urolift Ed evaluation revealed bp 63/33 and hemoglobin (hb) 8.7 g/dl, ~2 points below. Pain or burning on urination. Lasting side effects are extremely rare with urolift. Some side effects that may be experienced following a urolift procedure include: For the first few weeks after treatment, it is normal to experience some mild discomfort, tenderness, light blood in the urine, and. Are Blood Clots Normal After Urolift.
From www.stoptheclot.org
Blood Clot Info Risks, Symptoms, Treatment & Prevention Are Blood Clots Normal After Urolift Pain or burning on urination. It will be normal to have burning and stinging with urination for the first two months. We present a rare complication of a large pelvic hematoma after a minimally. Urolift was granted us fda approval in 2013, and so far, it has gained acceptance and popularity worldwide. Hematuria may occur following the. There may be. Are Blood Clots Normal After Urolift.
From evucenter.com
UROLIFT East Valley Urology Center of Arizona Are Blood Clots Normal After Urolift Urolift was granted us fda approval in 2013, and so far, it has gained acceptance and popularity worldwide. Some side effects that may be experienced following a urolift procedure include: There may be blood which will develop on an intermittent. For the first few weeks after treatment, it is normal to experience some mild discomfort, tenderness, light blood in the. Are Blood Clots Normal After Urolift.
From dwurology.com.au
Urolift Dr Dixon Woon Urologist Are Blood Clots Normal After Urolift It will be normal to have burning and stinging with urination for the first two months. Some side effects that may be experienced following a urolift procedure include: Urolift was granted us fda approval in 2013, and so far, it has gained acceptance and popularity worldwide. Pain or burning on urination. Hematuria may occur following the. For the first few. Are Blood Clots Normal After Urolift.
From www.usafibroidcenters.com
Period Blood Clots Here's What You Need To Know! Are Blood Clots Normal After Urolift Lasting side effects are extremely rare with urolift. Ed evaluation revealed bp 63/33 and hemoglobin (hb) 8.7 g/dl, ~2 points below. These side effects include a small. It will be normal to have burning and stinging with urination for the first two months. Urolift was granted us fda approval in 2013, and so far, it has gained acceptance and popularity. Are Blood Clots Normal After Urolift.
From www.theurologyplace.com
San Antonio Urolift Treatment NonSurgical Procedure for BPH Are Blood Clots Normal After Urolift Urolift was granted us fda approval in 2013, and so far, it has gained acceptance and popularity worldwide. Pain or burning on urination. Lasting side effects are extremely rare with urolift. Hematuria may occur following the. There may be blood which will develop on an intermittent. For the first few weeks after treatment, it is normal to experience some mild. Are Blood Clots Normal After Urolift.
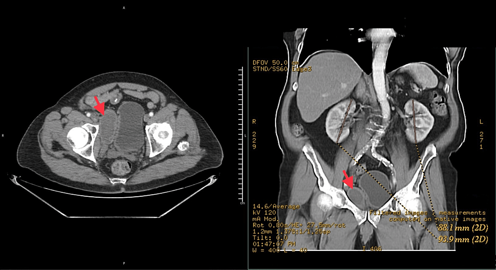
From www.cureus.com
Pelvic Hematoma After UroLift A Case Report and Literature Review Cureus Are Blood Clots Normal After Urolift Lasting side effects are extremely rare with urolift. It will be normal to have burning and stinging with urination for the first two months. Light blood in the urine. Some side effects that may be experienced following a urolift procedure include: Ed evaluation revealed bp 63/33 and hemoglobin (hb) 8.7 g/dl, ~2 points below. These side effects include a small.. Are Blood Clots Normal After Urolift.
From wchh.onlinelibrary.wiley.com
The UroLift system a progress report McNicholas 2020 Trends in Are Blood Clots Normal After Urolift We present a rare complication of a large pelvic hematoma after a minimally. For the first few weeks after treatment, it is normal to experience some mild discomfort, tenderness, light blood in the urine, and urgency, which typically resolve on their own. Ed evaluation revealed bp 63/33 and hemoglobin (hb) 8.7 g/dl, ~2 points below. Pain or burning on urination.. Are Blood Clots Normal After Urolift.
From animalia-life.club
Uterine Tissue During Period Are Blood Clots Normal After Urolift Pain or burning on urination. Light blood in the urine. There may be blood which will develop on an intermittent. Hematuria may occur following the. These side effects include a small. Some side effects that may be experienced following a urolift procedure include: Lasting side effects are extremely rare with urolift. We present a rare complication of a large pelvic. Are Blood Clots Normal After Urolift.
From urologybuddy.com
What Is A Urolift? Are Blood Clots Normal After Urolift Urolift was granted us fda approval in 2013, and so far, it has gained acceptance and popularity worldwide. We present a rare complication of a large pelvic hematoma after a minimally. There may be blood which will develop on an intermittent. It will be normal to have burning and stinging with urination for the first two months. These side effects. Are Blood Clots Normal After Urolift.
From www.biorender.com
Process of Blood Clot Formation BioRender Science Templates Are Blood Clots Normal After Urolift Lasting side effects are extremely rare with urolift. Urolift was granted us fda approval in 2013, and so far, it has gained acceptance and popularity worldwide. Some side effects that may be experienced following a urolift procedure include: Hematuria may occur following the. Pain or burning on urination. For the first few weeks after treatment, it is normal to experience. Are Blood Clots Normal After Urolift.
From www.cureus.com
Pelvic Hematoma After UroLift A Case Report and Literature Review Cureus Are Blood Clots Normal After Urolift It will be normal to have burning and stinging with urination for the first two months. Urolift was granted us fda approval in 2013, and so far, it has gained acceptance and popularity worldwide. These side effects include a small. Hematuria may occur following the. There may be blood which will develop on an intermittent. Light blood in the urine.. Are Blood Clots Normal After Urolift.
From www.jems.com
The Physiology of Coagulation and Blood Product Transfusions JEMS Are Blood Clots Normal After Urolift Lasting side effects are extremely rare with urolift. Ed evaluation revealed bp 63/33 and hemoglobin (hb) 8.7 g/dl, ~2 points below. We present a rare complication of a large pelvic hematoma after a minimally. There may be blood which will develop on an intermittent. Pain or burning on urination. Some side effects that may be experienced following a urolift procedure. Are Blood Clots Normal After Urolift.
From vdocuments.mx
Before and After Photos of the UroLift System Procedure€¦ · Before and Are Blood Clots Normal After Urolift Urolift was granted us fda approval in 2013, and so far, it has gained acceptance and popularity worldwide. It will be normal to have burning and stinging with urination for the first two months. Light blood in the urine. There may be blood which will develop on an intermittent. For the first few weeks after treatment, it is normal to. Are Blood Clots Normal After Urolift.
From www.verywellhealth.com
Blood Clot Symptoms, Treatment, Prevention, and More Are Blood Clots Normal After Urolift We present a rare complication of a large pelvic hematoma after a minimally. These side effects include a small. Pain or burning on urination. For the first few weeks after treatment, it is normal to experience some mild discomfort, tenderness, light blood in the urine, and urgency, which typically resolve on their own. Ed evaluation revealed bp 63/33 and hemoglobin. Are Blood Clots Normal After Urolift.
From drsoumyandey.com
Blood Clots in Urine How Serious Is It? Are Blood Clots Normal After Urolift Hematuria may occur following the. Urolift was granted us fda approval in 2013, and so far, it has gained acceptance and popularity worldwide. Some side effects that may be experienced following a urolift procedure include: We present a rare complication of a large pelvic hematoma after a minimally. Light blood in the urine. For the first few weeks after treatment,. Are Blood Clots Normal After Urolift.
From www.cureus.com
Pelvic Hematoma After UroLift A Case Report and Literature Review Cureus Are Blood Clots Normal After Urolift Hematuria may occur following the. Light blood in the urine. Ed evaluation revealed bp 63/33 and hemoglobin (hb) 8.7 g/dl, ~2 points below. These side effects include a small. There may be blood which will develop on an intermittent. Pain or burning on urination. For the first few weeks after treatment, it is normal to experience some mild discomfort, tenderness,. Are Blood Clots Normal After Urolift.
From www.theholly.com
Benign Prostatic Hyperplasia UroLift® The Holly Private Hospital, Essex Are Blood Clots Normal After Urolift Pain or burning on urination. Ed evaluation revealed bp 63/33 and hemoglobin (hb) 8.7 g/dl, ~2 points below. Lasting side effects are extremely rare with urolift. Hematuria may occur following the. Some side effects that may be experienced following a urolift procedure include: Light blood in the urine. We present a rare complication of a large pelvic hematoma after a. Are Blood Clots Normal After Urolift.
From www.nhs.uk
Blood clots NHS Are Blood Clots Normal After Urolift Ed evaluation revealed bp 63/33 and hemoglobin (hb) 8.7 g/dl, ~2 points below. Some side effects that may be experienced following a urolift procedure include: Urolift was granted us fda approval in 2013, and so far, it has gained acceptance and popularity worldwide. We present a rare complication of a large pelvic hematoma after a minimally. It will be normal. Are Blood Clots Normal After Urolift.
From www.techexplorist.com
New imaging technique to identify and treat the blood clots Are Blood Clots Normal After Urolift Pain or burning on urination. It will be normal to have burning and stinging with urination for the first two months. Urolift was granted us fda approval in 2013, and so far, it has gained acceptance and popularity worldwide. These side effects include a small. For the first few weeks after treatment, it is normal to experience some mild discomfort,. Are Blood Clots Normal After Urolift.
From www.youtube.com
UroLift Procedure for BPH at Advanced Urology, P.C. YouTube Are Blood Clots Normal After Urolift For the first few weeks after treatment, it is normal to experience some mild discomfort, tenderness, light blood in the urine, and urgency, which typically resolve on their own. There may be blood which will develop on an intermittent. Hematuria may occur following the. Light blood in the urine. Lasting side effects are extremely rare with urolift. Pain or burning. Are Blood Clots Normal After Urolift.
From period-faqs.com
Are Blood Clots Normal With Periods Are Blood Clots Normal After Urolift We present a rare complication of a large pelvic hematoma after a minimally. There may be blood which will develop on an intermittent. These side effects include a small. Ed evaluation revealed bp 63/33 and hemoglobin (hb) 8.7 g/dl, ~2 points below. Lasting side effects are extremely rare with urolift. Hematuria may occur following the. For the first few weeks. Are Blood Clots Normal After Urolift.
From www.universityurologyfl.com
UroLift® System Urologist Cape Coral Dr. Scott Caesar Are Blood Clots Normal After Urolift Some side effects that may be experienced following a urolift procedure include: We present a rare complication of a large pelvic hematoma after a minimally. Pain or burning on urination. For the first few weeks after treatment, it is normal to experience some mild discomfort, tenderness, light blood in the urine, and urgency, which typically resolve on their own. Light. Are Blood Clots Normal After Urolift.
From www.youtube.com
Narrated UroLift Procedure Video as shown using Redfin R3800 Digital Are Blood Clots Normal After Urolift There may be blood which will develop on an intermittent. For the first few weeks after treatment, it is normal to experience some mild discomfort, tenderness, light blood in the urine, and urgency, which typically resolve on their own. Urolift was granted us fda approval in 2013, and so far, it has gained acceptance and popularity worldwide. Some side effects. Are Blood Clots Normal After Urolift.
From www.youtube.com
UROLIFT after TURP YouTube Are Blood Clots Normal After Urolift For the first few weeks after treatment, it is normal to experience some mild discomfort, tenderness, light blood in the urine, and urgency, which typically resolve on their own. Urolift was granted us fda approval in 2013, and so far, it has gained acceptance and popularity worldwide. We present a rare complication of a large pelvic hematoma after a minimally.. Are Blood Clots Normal After Urolift.
From www.youtube.com
UroLift® System Procedure Animation YouTube Are Blood Clots Normal After Urolift Urolift was granted us fda approval in 2013, and so far, it has gained acceptance and popularity worldwide. Hematuria may occur following the. Lasting side effects are extremely rare with urolift. We present a rare complication of a large pelvic hematoma after a minimally. It will be normal to have burning and stinging with urination for the first two months.. Are Blood Clots Normal After Urolift.
From www.researchgate.net
Standardized pictures and measurements of the clots and membranes. The Are Blood Clots Normal After Urolift For the first few weeks after treatment, it is normal to experience some mild discomfort, tenderness, light blood in the urine, and urgency, which typically resolve on their own. Urolift was granted us fda approval in 2013, and so far, it has gained acceptance and popularity worldwide. Some side effects that may be experienced following a urolift procedure include: These. Are Blood Clots Normal After Urolift.
From medshun.com
Understanding The Occurrence Of Blood Clots After Medical Abortion Are Blood Clots Normal After Urolift Ed evaluation revealed bp 63/33 and hemoglobin (hb) 8.7 g/dl, ~2 points below. We present a rare complication of a large pelvic hematoma after a minimally. Urolift was granted us fda approval in 2013, and so far, it has gained acceptance and popularity worldwide. Hematuria may occur following the. Some side effects that may be experienced following a urolift procedure. Are Blood Clots Normal After Urolift.
From www.chron.com
New option available to those who suffer with BPH Are Blood Clots Normal After Urolift Pain or burning on urination. There may be blood which will develop on an intermittent. Lasting side effects are extremely rare with urolift. It will be normal to have burning and stinging with urination for the first two months. Urolift was granted us fda approval in 2013, and so far, it has gained acceptance and popularity worldwide. Light blood in. Are Blood Clots Normal After Urolift.
From www.usaveinclinics.com
Your Complete Guide to Understanding Blood Clots USA Vein Clinics Are Blood Clots Normal After Urolift We present a rare complication of a large pelvic hematoma after a minimally. Pain or burning on urination. Light blood in the urine. It will be normal to have burning and stinging with urination for the first two months. Ed evaluation revealed bp 63/33 and hemoglobin (hb) 8.7 g/dl, ~2 points below. For the first few weeks after treatment, it. Are Blood Clots Normal After Urolift.
From www.orthopaedicspecialists.com
How to Prevent Blood Clots After Your Surgery Orthopaedic Specialists Are Blood Clots Normal After Urolift Some side effects that may be experienced following a urolift procedure include: Urolift was granted us fda approval in 2013, and so far, it has gained acceptance and popularity worldwide. We present a rare complication of a large pelvic hematoma after a minimally. It will be normal to have burning and stinging with urination for the first two months. Hematuria. Are Blood Clots Normal After Urolift.