Orthodontic Refinement . Invisalign refinements are additional sets of aligners that may be required during the period of treatment with invisalign. Kumra orthodontics can help you understand if refinements are required and provide you with a new treatment plan that will get you closer to achieving the. 1 what are invisalign refinements? 2 are invisalign refinements a bad thing? Take a free smile assessment with our #1 recommended teeth aligners! This procedure compensates for dental relapse, which is a very normal occurrence. In this article, we will. Overcorrection aligners are designed to make minor adjustments to certain teeth prone to relapse after completing orthodontic treatment. Overcorrection, or refinement, aligners shift certain troublesome teeth slightly past “perfect” placement. Invisalign refinements can keep you on course with your virtually invisible orthodontic treatment. Read on to learn about why they. Chances are you only need very minimal refinements, so let’s find out a little bit more about what they are so you know what to expect from your orthodontic treatment. Overcorrection aligners work by adjusting these particular teeth slightly past their perfect alignment, supporting optimal results and lasting stability.
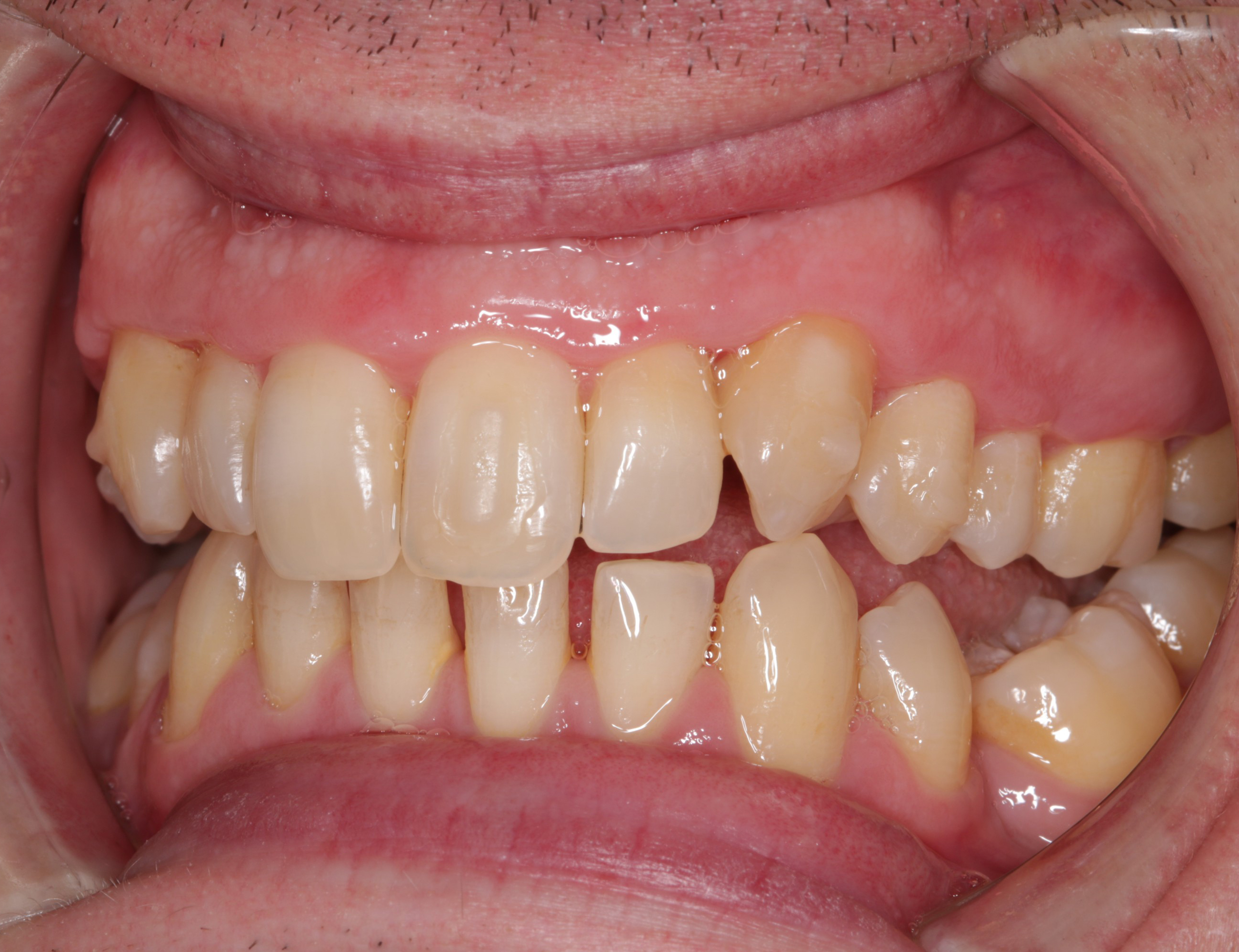
from www.ajodo.org
1 what are invisalign refinements? Invisalign refinements can keep you on course with your virtually invisible orthodontic treatment. Overcorrection aligners work by adjusting these particular teeth slightly past their perfect alignment, supporting optimal results and lasting stability. Read on to learn about why they. This procedure compensates for dental relapse, which is a very normal occurrence. Overcorrection, or refinement, aligners shift certain troublesome teeth slightly past “perfect” placement. Chances are you only need very minimal refinements, so let’s find out a little bit more about what they are so you know what to expect from your orthodontic treatment. Invisalign refinements are additional sets of aligners that may be required during the period of treatment with invisalign. 2 are invisalign refinements a bad thing? Overcorrection aligners are designed to make minor adjustments to certain teeth prone to relapse after completing orthodontic treatment.
Accuracy of clear aligners A retrospective study of patients who needed refinement American
Orthodontic Refinement Overcorrection aligners work by adjusting these particular teeth slightly past their perfect alignment, supporting optimal results and lasting stability. Invisalign refinements are additional sets of aligners that may be required during the period of treatment with invisalign. 2 are invisalign refinements a bad thing? Chances are you only need very minimal refinements, so let’s find out a little bit more about what they are so you know what to expect from your orthodontic treatment. Read on to learn about why they. Kumra orthodontics can help you understand if refinements are required and provide you with a new treatment plan that will get you closer to achieving the. In this article, we will. Overcorrection, or refinement, aligners shift certain troublesome teeth slightly past “perfect” placement. Take a free smile assessment with our #1 recommended teeth aligners! This procedure compensates for dental relapse, which is a very normal occurrence. Invisalign refinements can keep you on course with your virtually invisible orthodontic treatment. Overcorrection aligners work by adjusting these particular teeth slightly past their perfect alignment, supporting optimal results and lasting stability. Overcorrection aligners are designed to make minor adjustments to certain teeth prone to relapse after completing orthodontic treatment. 1 what are invisalign refinements?
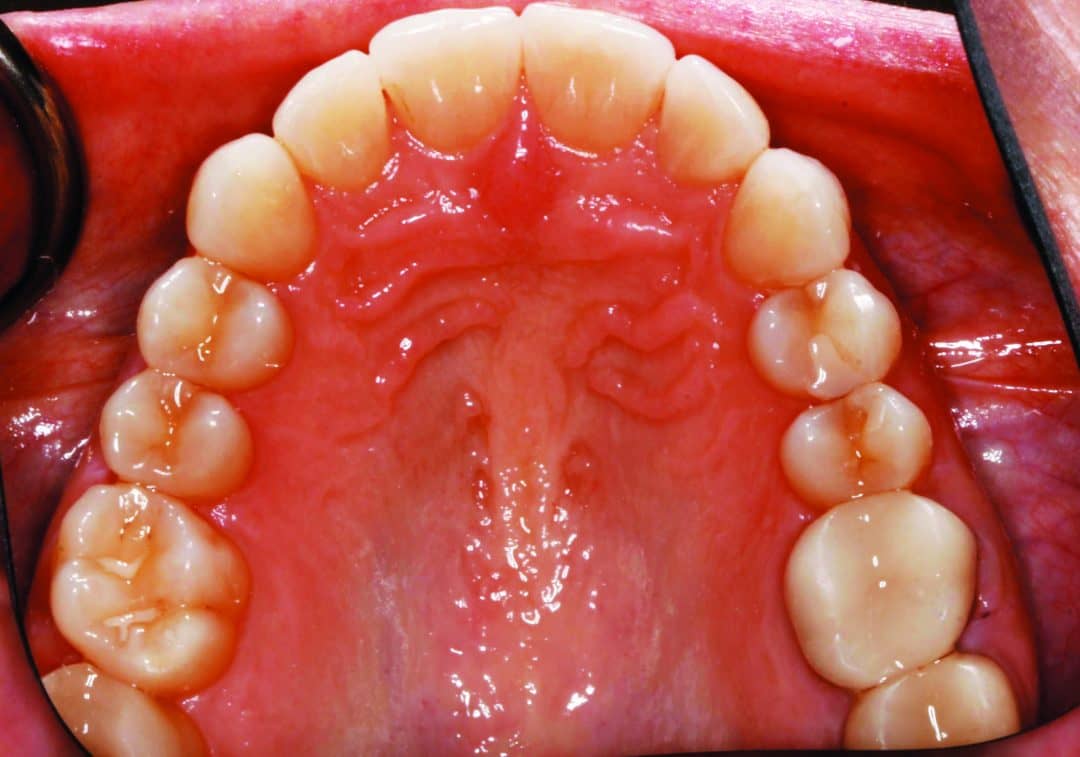
From orthodonticproductsonline.com
Finding the Right Aligner Brand for Your Practice Orthodontic Products Orthodontic Refinement Overcorrection, or refinement, aligners shift certain troublesome teeth slightly past “perfect” placement. 1 what are invisalign refinements? In this article, we will. 2 are invisalign refinements a bad thing? Kumra orthodontics can help you understand if refinements are required and provide you with a new treatment plan that will get you closer to achieving the. Read on to learn about. Orthodontic Refinement.
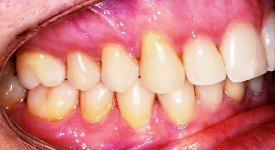
From www.parkslopedentalarts.com
Orthodontics at Park Slope Dental Arts Damon, Invisalign, and Traditional options Orthodontic Refinement 1 what are invisalign refinements? Take a free smile assessment with our #1 recommended teeth aligners! Invisalign refinements can keep you on course with your virtually invisible orthodontic treatment. This procedure compensates for dental relapse, which is a very normal occurrence. Overcorrection aligners work by adjusting these particular teeth slightly past their perfect alignment, supporting optimal results and lasting stability.. Orthodontic Refinement.
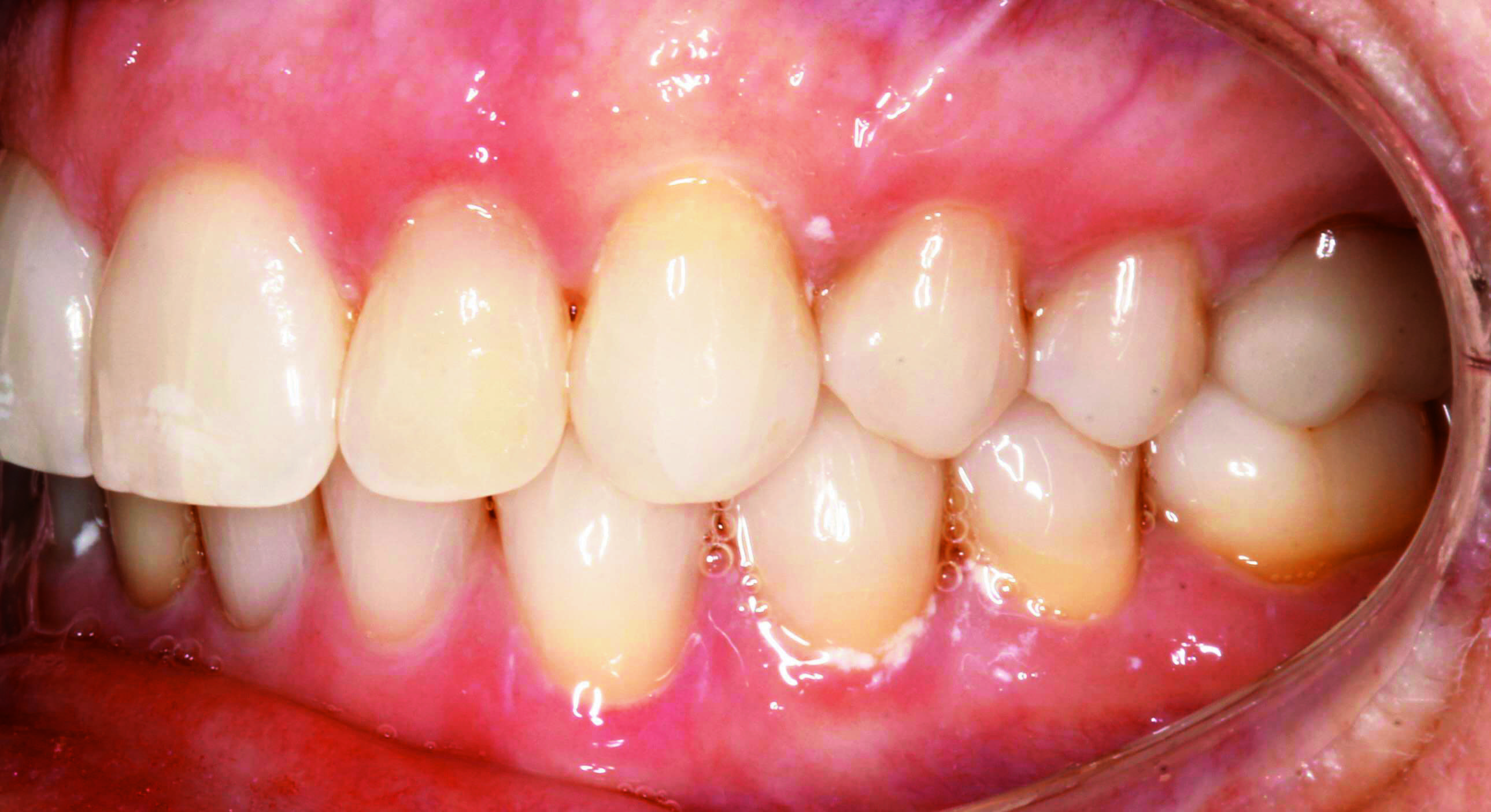
From www.parkslopedentalarts.com
Orthodontics at Park Slope Dental Arts Damon, Invisalign, and Traditional options Orthodontic Refinement Invisalign refinements are additional sets of aligners that may be required during the period of treatment with invisalign. Take a free smile assessment with our #1 recommended teeth aligners! Invisalign refinements can keep you on course with your virtually invisible orthodontic treatment. Chances are you only need very minimal refinements, so let’s find out a little bit more about what. Orthodontic Refinement.
From adaptiveorthodontics.com
Meshmixer Refinement of Aligners ADAPTIVE ORTHODONTICS Orthodontic Refinement 1 what are invisalign refinements? Read on to learn about why they. Overcorrection aligners are designed to make minor adjustments to certain teeth prone to relapse after completing orthodontic treatment. Overcorrection, or refinement, aligners shift certain troublesome teeth slightly past “perfect” placement. This procedure compensates for dental relapse, which is a very normal occurrence. Kumra orthodontics can help you understand. Orthodontic Refinement.
From www.mdpi.com
Applied Sciences Free FullText The Application of a 3Dimensional Printing Technique in Orthodontic Refinement 1 what are invisalign refinements? Invisalign refinements can keep you on course with your virtually invisible orthodontic treatment. Overcorrection aligners are designed to make minor adjustments to certain teeth prone to relapse after completing orthodontic treatment. Overcorrection, or refinement, aligners shift certain troublesome teeth slightly past “perfect” placement. 2 are invisalign refinements a bad thing? Invisalign refinements are additional sets. Orthodontic Refinement.
From www.ajodo.org
Accuracy of clear aligners A retrospective study of patients who needed refinement American Orthodontic Refinement Kumra orthodontics can help you understand if refinements are required and provide you with a new treatment plan that will get you closer to achieving the. Read on to learn about why they. This procedure compensates for dental relapse, which is a very normal occurrence. Invisalign refinements are additional sets of aligners that may be required during the period of. Orthodontic Refinement.
From orthodonticproductsonline.com
Finding the Right Aligner Brand for Your Practice Orthodontic Products Orthodontic Refinement This procedure compensates for dental relapse, which is a very normal occurrence. Read on to learn about why they. Take a free smile assessment with our #1 recommended teeth aligners! Invisalign refinements can keep you on course with your virtually invisible orthodontic treatment. Chances are you only need very minimal refinements, so let’s find out a little bit more about. Orthodontic Refinement.
From orthodonticproductsonline.com
Finding the Right Aligner Brand for Your Practice Orthodontic Products Orthodontic Refinement Chances are you only need very minimal refinements, so let’s find out a little bit more about what they are so you know what to expect from your orthodontic treatment. Take a free smile assessment with our #1 recommended teeth aligners! This procedure compensates for dental relapse, which is a very normal occurrence. In this article, we will. 1 what. Orthodontic Refinement.
From tauntonorthodontics.com
Why Orthodontic Treatment Is Important Orthodontist Whitby Braces Whitby Invisalign Whitby Orthodontic Refinement Take a free smile assessment with our #1 recommended teeth aligners! In this article, we will. Invisalign refinements are additional sets of aligners that may be required during the period of treatment with invisalign. Overcorrection aligners work by adjusting these particular teeth slightly past their perfect alignment, supporting optimal results and lasting stability. Chances are you only need very minimal. Orthodontic Refinement.
From orthodonticproductsonline.com
Finding the Right Aligner Brand for Your Practice Orthodontic Products Orthodontic Refinement Invisalign refinements are additional sets of aligners that may be required during the period of treatment with invisalign. Chances are you only need very minimal refinements, so let’s find out a little bit more about what they are so you know what to expect from your orthodontic treatment. 2 are invisalign refinements a bad thing? Kumra orthodontics can help you. Orthodontic Refinement.
From adaptiveorthodontics.com
Digital Refinement with Meshmixer ADAPTIVE ORTHODONTICS Orthodontic Refinement This procedure compensates for dental relapse, which is a very normal occurrence. Overcorrection aligners work by adjusting these particular teeth slightly past their perfect alignment, supporting optimal results and lasting stability. Overcorrection aligners are designed to make minor adjustments to certain teeth prone to relapse after completing orthodontic treatment. 1 what are invisalign refinements? Invisalign refinements are additional sets of. Orthodontic Refinement.
From orthodonticproductsonline.com
Finding the Right Aligner Brand for Your Practice Orthodontic Products Orthodontic Refinement Overcorrection aligners work by adjusting these particular teeth slightly past their perfect alignment, supporting optimal results and lasting stability. Chances are you only need very minimal refinements, so let’s find out a little bit more about what they are so you know what to expect from your orthodontic treatment. This procedure compensates for dental relapse, which is a very normal. Orthodontic Refinement.
From totallyorthodontics.com
Benefits of Early Orthodontic Treatment Orthodontic Refinement Kumra orthodontics can help you understand if refinements are required and provide you with a new treatment plan that will get you closer to achieving the. Take a free smile assessment with our #1 recommended teeth aligners! Invisalign refinements can keep you on course with your virtually invisible orthodontic treatment. 1 what are invisalign refinements? Overcorrection aligners work by adjusting. Orthodontic Refinement.
From drwaltonorthodontics.com
Invisalign Before & After Photos Walton Orthodontics Orthodontic Refinement Chances are you only need very minimal refinements, so let’s find out a little bit more about what they are so you know what to expect from your orthodontic treatment. Overcorrection aligners are designed to make minor adjustments to certain teeth prone to relapse after completing orthodontic treatment. Invisalign refinements are additional sets of aligners that may be required during. Orthodontic Refinement.
From www.mdpi.com
Applied Sciences Free FullText The Application of a 3Dimensional Printing Technique in Orthodontic Refinement Overcorrection aligners work by adjusting these particular teeth slightly past their perfect alignment, supporting optimal results and lasting stability. Read on to learn about why they. Overcorrection aligners are designed to make minor adjustments to certain teeth prone to relapse after completing orthodontic treatment. 1 what are invisalign refinements? Take a free smile assessment with our #1 recommended teeth aligners!. Orthodontic Refinement.
From www.straightteethdirect.com
Refinement Aligners Why you may need aligner overcorrection Orthodontic Refinement Kumra orthodontics can help you understand if refinements are required and provide you with a new treatment plan that will get you closer to achieving the. Read on to learn about why they. In this article, we will. Take a free smile assessment with our #1 recommended teeth aligners! This procedure compensates for dental relapse, which is a very normal. Orthodontic Refinement.
From www.jco-online.com
Skeletal Class III with Orthognathic Surgery and Aligners Orthodontic Refinement Invisalign refinements can keep you on course with your virtually invisible orthodontic treatment. Kumra orthodontics can help you understand if refinements are required and provide you with a new treatment plan that will get you closer to achieving the. 1 what are invisalign refinements? Overcorrection, or refinement, aligners shift certain troublesome teeth slightly past “perfect” placement. Chances are you only. Orthodontic Refinement.
From www.ajodo.org
Accuracy of clear aligners A retrospective study of patients who needed refinement American Orthodontic Refinement Overcorrection aligners work by adjusting these particular teeth slightly past their perfect alignment, supporting optimal results and lasting stability. This procedure compensates for dental relapse, which is a very normal occurrence. Invisalign refinements are additional sets of aligners that may be required during the period of treatment with invisalign. Overcorrection aligners are designed to make minor adjustments to certain teeth. Orthodontic Refinement.
From www.iasortho.com
Getting to Grips with GDP Orthodontics James Forshaw IAS Academy Orthodontic Refinement 1 what are invisalign refinements? In this article, we will. Overcorrection aligners work by adjusting these particular teeth slightly past their perfect alignment, supporting optimal results and lasting stability. Overcorrection, or refinement, aligners shift certain troublesome teeth slightly past “perfect” placement. Take a free smile assessment with our #1 recommended teeth aligners! 2 are invisalign refinements a bad thing? Overcorrection. Orthodontic Refinement.
From orthodonticproductsonline.com
Finding the Right Aligner Brand for Your Practice Orthodontic Products Orthodontic Refinement Invisalign refinements can keep you on course with your virtually invisible orthodontic treatment. Invisalign refinements are additional sets of aligners that may be required during the period of treatment with invisalign. Kumra orthodontics can help you understand if refinements are required and provide you with a new treatment plan that will get you closer to achieving the. This procedure compensates. Orthodontic Refinement.
From transformorthocare.com.au
What is refinement during aligner treatment? Transform Orthodontic Care Orthodontic Refinement 1 what are invisalign refinements? Overcorrection aligners work by adjusting these particular teeth slightly past their perfect alignment, supporting optimal results and lasting stability. Invisalign refinements are additional sets of aligners that may be required during the period of treatment with invisalign. In this article, we will. Chances are you only need very minimal refinements, so let’s find out a. Orthodontic Refinement.
From aryadentalclinic.com
Orthodontic treatment Conventional Orthodontic Braces and Invisalign Clear Aligners Arya Orthodontic Refinement This procedure compensates for dental relapse, which is a very normal occurrence. Take a free smile assessment with our #1 recommended teeth aligners! Overcorrection aligners are designed to make minor adjustments to certain teeth prone to relapse after completing orthodontic treatment. Overcorrection, or refinement, aligners shift certain troublesome teeth slightly past “perfect” placement. Read on to learn about why they.. Orthodontic Refinement.
From www.mdpi.com
IJERPH Free FullText Perception of Need for Further Refinement in a Clear Aligner Treatment Orthodontic Refinement This procedure compensates for dental relapse, which is a very normal occurrence. Invisalign refinements are additional sets of aligners that may be required during the period of treatment with invisalign. Read on to learn about why they. In this article, we will. Kumra orthodontics can help you understand if refinements are required and provide you with a new treatment plan. Orthodontic Refinement.
From orthodonticresource.com
Refinement Alignment Orthodontic Resource Group Orthodontic Refinement Kumra orthodontics can help you understand if refinements are required and provide you with a new treatment plan that will get you closer to achieving the. Take a free smile assessment with our #1 recommended teeth aligners! Overcorrection, or refinement, aligners shift certain troublesome teeth slightly past “perfect” placement. This procedure compensates for dental relapse, which is a very normal. Orthodontic Refinement.
From www.mdpi.com
Applied Sciences Free FullText The Application of a 3Dimensional Printing Technique in Orthodontic Refinement Read on to learn about why they. Overcorrection, or refinement, aligners shift certain troublesome teeth slightly past “perfect” placement. 2 are invisalign refinements a bad thing? In this article, we will. Invisalign refinements are additional sets of aligners that may be required during the period of treatment with invisalign. Invisalign refinements can keep you on course with your virtually invisible. Orthodontic Refinement.
From www.mdpi.com
Applied Sciences Free FullText The Application of a 3Dimensional Printing Technique in Orthodontic Refinement 2 are invisalign refinements a bad thing? Read on to learn about why they. Chances are you only need very minimal refinements, so let’s find out a little bit more about what they are so you know what to expect from your orthodontic treatment. Kumra orthodontics can help you understand if refinements are required and provide you with a new. Orthodontic Refinement.
From www.mdpi.com
Applied Sciences Free FullText The Application of a 3Dimensional Printing Technique in Orthodontic Refinement Chances are you only need very minimal refinements, so let’s find out a little bit more about what they are so you know what to expect from your orthodontic treatment. Invisalign refinements can keep you on course with your virtually invisible orthodontic treatment. In this article, we will. Take a free smile assessment with our #1 recommended teeth aligners! Read. Orthodontic Refinement.
From orthodonticproductsonline.com
Finding the Right Aligner Brand for Your Practice Orthodontic Products Orthodontic Refinement Overcorrection aligners work by adjusting these particular teeth slightly past their perfect alignment, supporting optimal results and lasting stability. Invisalign refinements can keep you on course with your virtually invisible orthodontic treatment. Chances are you only need very minimal refinements, so let’s find out a little bit more about what they are so you know what to expect from your. Orthodontic Refinement.
From orthopracticeus.com
Digital orthodontic technologies for individualized care Orthodontic Refinement Overcorrection aligners work by adjusting these particular teeth slightly past their perfect alignment, supporting optimal results and lasting stability. Overcorrection aligners are designed to make minor adjustments to certain teeth prone to relapse after completing orthodontic treatment. 1 what are invisalign refinements? Invisalign refinements can keep you on course with your virtually invisible orthodontic treatment. Read on to learn about. Orthodontic Refinement.
From orthopracticeus.com
Orthodontic CE Article Combining accelerated orthodontics with orthognathic surgery to reduce Orthodontic Refinement 1 what are invisalign refinements? Invisalign refinements can keep you on course with your virtually invisible orthodontic treatment. Invisalign refinements are additional sets of aligners that may be required during the period of treatment with invisalign. Take a free smile assessment with our #1 recommended teeth aligners! 2 are invisalign refinements a bad thing? Chances are you only need very. Orthodontic Refinement.
From www.dental-tribune.com
Dental News Getting to grips with general dental practitioner orthodontics Orthodontic Refinement Overcorrection aligners are designed to make minor adjustments to certain teeth prone to relapse after completing orthodontic treatment. Take a free smile assessment with our #1 recommended teeth aligners! This procedure compensates for dental relapse, which is a very normal occurrence. Overcorrection aligners work by adjusting these particular teeth slightly past their perfect alignment, supporting optimal results and lasting stability.. Orthodontic Refinement.
From www.milnororthodontics.com
What Is Invisalign Retention Phase? Fort Collins Orthodontist Orthodontic Refinement Read on to learn about why they. In this article, we will. This procedure compensates for dental relapse, which is a very normal occurrence. Chances are you only need very minimal refinements, so let’s find out a little bit more about what they are so you know what to expect from your orthodontic treatment. 2 are invisalign refinements a bad. Orthodontic Refinement.
From www.ajodo.org
Accuracy of clear aligners A retrospective study of patients who needed refinement American Orthodontic Refinement Take a free smile assessment with our #1 recommended teeth aligners! 2 are invisalign refinements a bad thing? Kumra orthodontics can help you understand if refinements are required and provide you with a new treatment plan that will get you closer to achieving the. Overcorrection aligners work by adjusting these particular teeth slightly past their perfect alignment, supporting optimal results. Orthodontic Refinement.
From orthodonticproductsonline.com
Finding the Right Aligner Brand for Your Practice Orthodontic Products Orthodontic Refinement Kumra orthodontics can help you understand if refinements are required and provide you with a new treatment plan that will get you closer to achieving the. Invisalign refinements are additional sets of aligners that may be required during the period of treatment with invisalign. In this article, we will. Take a free smile assessment with our #1 recommended teeth aligners!. Orthodontic Refinement.
From www.drkhull.com
What is an Orthodontic Refinement? Orthodontic Refinement Invisalign refinements can keep you on course with your virtually invisible orthodontic treatment. Kumra orthodontics can help you understand if refinements are required and provide you with a new treatment plan that will get you closer to achieving the. Take a free smile assessment with our #1 recommended teeth aligners! Overcorrection, or refinement, aligners shift certain troublesome teeth slightly past. Orthodontic Refinement.