Porcelain Crown Vs Zirconia Crown . learn the difference between zirconia and porcelain crowns, the advantages of zirconia crowns, and how to. learn about the pros and cons of zirconia and porcelain crowns, two popular choices for dental restoration. Dental crowns made of zirconia have many benefits, including strength and durability, but may not color match the rest of your teeth as well as porcelain. Your dentist will guide you in selecting the right type of crown to ensure the best You need enough information to make an informed. A zirconia crown is a type of dental crown made from a strong, white ceramic material called zirconium dioxide. this guide will be the best comparison about porcelain crown vs zirconia crown. learn the key differences between zirconia and porcelain crowns, two popular materials for dental restoration. what is zirconia crown? Find out how to choose the right material for your needs, installation process, and longevity. You will learn the differences between the two clearly. zirconia crowns vs porcelain crowns: Dental crowns are caps that. zirconia and porcelain crowns both have their advantages, and the choice between the two depends on your individual needs and preferences.
from fity.club
Your dentist will guide you in selecting the right type of crown to ensure the best Dental crowns made of zirconia have many benefits, including strength and durability, but may not color match the rest of your teeth as well as porcelain. learn about the pros and cons of zirconia and porcelain crowns, two popular choices for dental restoration. this guide will be the best comparison about porcelain crown vs zirconia crown. what is zirconia crown? You need enough information to make an informed. learn the difference between zirconia and porcelain crowns, the advantages of zirconia crowns, and how to. A zirconia crown is a type of dental crown made from a strong, white ceramic material called zirconium dioxide. Find out how to choose the right material for your needs, installation process, and longevity. zirconia crowns vs porcelain crowns:
Zirconia Vs Pfm Crowns
Porcelain Crown Vs Zirconia Crown learn the difference between zirconia and porcelain crowns, the advantages of zirconia crowns, and how to. A zirconia crown is a type of dental crown made from a strong, white ceramic material called zirconium dioxide. Your dentist will guide you in selecting the right type of crown to ensure the best this guide will be the best comparison about porcelain crown vs zirconia crown. You need enough information to make an informed. learn about the pros and cons of zirconia and porcelain crowns, two popular choices for dental restoration. Find out how to choose the right material for your needs, installation process, and longevity. learn the key differences between zirconia and porcelain crowns, two popular materials for dental restoration. zirconia and porcelain crowns both have their advantages, and the choice between the two depends on your individual needs and preferences. zirconia crowns vs porcelain crowns: what is zirconia crown? You will learn the differences between the two clearly. Dental crowns are caps that. learn the difference between zirconia and porcelain crowns, the advantages of zirconia crowns, and how to. Dental crowns made of zirconia have many benefits, including strength and durability, but may not color match the rest of your teeth as well as porcelain.
From www.dentallaboratorio.com
Ceramic Dental Crowns Type Cost And Advantage Porcelain Crown Vs Zirconia Crown what is zirconia crown? learn the key differences between zirconia and porcelain crowns, two popular materials for dental restoration. You need enough information to make an informed. You will learn the differences between the two clearly. this guide will be the best comparison about porcelain crown vs zirconia crown. A zirconia crown is a type of dental. Porcelain Crown Vs Zirconia Crown.
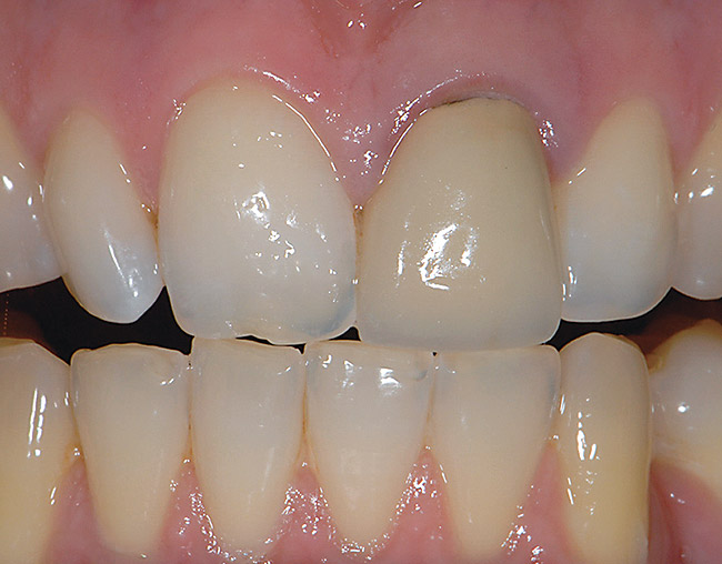
From www.youtube.com
From PFM to Zirconia Crowns YouTube Porcelain Crown Vs Zirconia Crown Find out how to choose the right material for your needs, installation process, and longevity. learn the difference between zirconia and porcelain crowns, the advantages of zirconia crowns, and how to. learn the key differences between zirconia and porcelain crowns, two popular materials for dental restoration. Your dentist will guide you in selecting the right type of crown. Porcelain Crown Vs Zirconia Crown.
From exocjwrxu.blob.core.windows.net
Zirconia Vs Porcelain Implants at Donald Abel blog Porcelain Crown Vs Zirconia Crown zirconia crowns vs porcelain crowns: this guide will be the best comparison about porcelain crown vs zirconia crown. learn the key differences between zirconia and porcelain crowns, two popular materials for dental restoration. Dental crowns made of zirconia have many benefits, including strength and durability, but may not color match the rest of your teeth as well. Porcelain Crown Vs Zirconia Crown.
From mavidenta.com
Zirconia Vs Gold Crown Which Is The Best For Your Teeth? Porcelain Crown Vs Zirconia Crown zirconia crowns vs porcelain crowns: Dental crowns are caps that. learn the difference between zirconia and porcelain crowns, the advantages of zirconia crowns, and how to. this guide will be the best comparison about porcelain crown vs zirconia crown. learn about the pros and cons of zirconia and porcelain crowns, two popular choices for dental restoration.. Porcelain Crown Vs Zirconia Crown.
From ar.inspiredpencil.com
Zirconia Crown Vs Porcelain Fused To Metal Porcelain Crown Vs Zirconia Crown what is zirconia crown? Dental crowns made of zirconia have many benefits, including strength and durability, but may not color match the rest of your teeth as well as porcelain. You will learn the differences between the two clearly. You need enough information to make an informed. zirconia and porcelain crowns both have their advantages, and the choice. Porcelain Crown Vs Zirconia Crown.
From www.linkedin.com
Zirconia vs PFM? Which is a better crown? Porcelain Crown Vs Zirconia Crown A zirconia crown is a type of dental crown made from a strong, white ceramic material called zirconium dioxide. Find out how to choose the right material for your needs, installation process, and longevity. what is zirconia crown? You will learn the differences between the two clearly. learn the difference between zirconia and porcelain crowns, the advantages of. Porcelain Crown Vs Zirconia Crown.
From www.katebraymandds.com
Zirconia Crowns vs Porcelain Crowns What's The Difference? Porcelain Crown Vs Zirconia Crown learn about the pros and cons of zirconia and porcelain crowns, two popular choices for dental restoration. Your dentist will guide you in selecting the right type of crown to ensure the best zirconia crowns vs porcelain crowns: what is zirconia crown? zirconia and porcelain crowns both have their advantages, and the choice between the two. Porcelain Crown Vs Zirconia Crown.
From www.bauersmiles.com
New porcelain crowns Wheaton Dentist, Orthodontist, Pediatric Dentist Porcelain Crown Vs Zirconia Crown zirconia and porcelain crowns both have their advantages, and the choice between the two depends on your individual needs and preferences. You need enough information to make an informed. Dental crowns are caps that. learn about the pros and cons of zirconia and porcelain crowns, two popular choices for dental restoration. Dental crowns made of zirconia have many. Porcelain Crown Vs Zirconia Crown.
From gnathosdental.in
Zirconia vs. Porcelain A Comparative Analysis for Dental Crowns and Porcelain Crown Vs Zirconia Crown learn about the pros and cons of zirconia and porcelain crowns, two popular choices for dental restoration. A zirconia crown is a type of dental crown made from a strong, white ceramic material called zirconium dioxide. Dental crowns made of zirconia have many benefits, including strength and durability, but may not color match the rest of your teeth as. Porcelain Crown Vs Zirconia Crown.
From lowcountryfamilydentistry.com
What is a Porcelain Fused to Zirconia Dental Crown? Dentist Beaufort SC Porcelain Crown Vs Zirconia Crown zirconia crowns vs porcelain crowns: You will learn the differences between the two clearly. Dental crowns are caps that. A zirconia crown is a type of dental crown made from a strong, white ceramic material called zirconium dioxide. You need enough information to make an informed. learn the difference between zirconia and porcelain crowns, the advantages of zirconia. Porcelain Crown Vs Zirconia Crown.
From cdc.com.al
Zirconia Crown vs Emax Crown Which is The Best Option? Porcelain Crown Vs Zirconia Crown learn the difference between zirconia and porcelain crowns, the advantages of zirconia crowns, and how to. Dental crowns made of zirconia have many benefits, including strength and durability, but may not color match the rest of your teeth as well as porcelain. Dental crowns are caps that. learn the key differences between zirconia and porcelain crowns, two popular. Porcelain Crown Vs Zirconia Crown.
From cemhfrrj.blob.core.windows.net
Types Of Porcelain Crowns at Shirley Pollard blog Porcelain Crown Vs Zirconia Crown learn the difference between zirconia and porcelain crowns, the advantages of zirconia crowns, and how to. learn the key differences between zirconia and porcelain crowns, two popular materials for dental restoration. this guide will be the best comparison about porcelain crown vs zirconia crown. Find out how to choose the right material for your needs, installation process,. Porcelain Crown Vs Zirconia Crown.
From schackdental.com
Emax Crowns vs. Zirconia Crowns The Beauty and the Beast Schack Porcelain Crown Vs Zirconia Crown Find out how to choose the right material for your needs, installation process, and longevity. You will learn the differences between the two clearly. zirconia crowns vs porcelain crowns: learn the key differences between zirconia and porcelain crowns, two popular materials for dental restoration. what is zirconia crown? A zirconia crown is a type of dental crown. Porcelain Crown Vs Zirconia Crown.
From newwestlab.com
Zirconia Versus PFMs Which Should You Crown the Winner? Porcelain Crown Vs Zirconia Crown A zirconia crown is a type of dental crown made from a strong, white ceramic material called zirconium dioxide. You need enough information to make an informed. Dental crowns are caps that. learn about the pros and cons of zirconia and porcelain crowns, two popular choices for dental restoration. You will learn the differences between the two clearly. . Porcelain Crown Vs Zirconia Crown.
From newwestlab.com
Zirconia Versus PFMs Which Should You Crown the Winner? Porcelain Crown Vs Zirconia Crown Dental crowns are caps that. this guide will be the best comparison about porcelain crown vs zirconia crown. A zirconia crown is a type of dental crown made from a strong, white ceramic material called zirconium dioxide. You need enough information to make an informed. learn about the pros and cons of zirconia and porcelain crowns, two popular. Porcelain Crown Vs Zirconia Crown.
From www.centralavedentalny.com
Zirconia Crowns vs. Porcelain Fused to Metal Crowns Choosing the Right Porcelain Crown Vs Zirconia Crown Dental crowns made of zirconia have many benefits, including strength and durability, but may not color match the rest of your teeth as well as porcelain. Your dentist will guide you in selecting the right type of crown to ensure the best zirconia crowns vs porcelain crowns: Dental crowns are caps that. learn about the pros and cons. Porcelain Crown Vs Zirconia Crown.
From www.zerodonto.com
Gold ceramic vs zirconia dental crowns Zerodonto Dentistry in Blog Porcelain Crown Vs Zirconia Crown You need enough information to make an informed. Dental crowns are caps that. this guide will be the best comparison about porcelain crown vs zirconia crown. zirconia and porcelain crowns both have their advantages, and the choice between the two depends on your individual needs and preferences. learn the difference between zirconia and porcelain crowns, the advantages. Porcelain Crown Vs Zirconia Crown.
From ar.inspiredpencil.com
Zirconia Crown Vs Porcelain Fused To Metal Porcelain Crown Vs Zirconia Crown zirconia crowns vs porcelain crowns: Your dentist will guide you in selecting the right type of crown to ensure the best learn about the pros and cons of zirconia and porcelain crowns, two popular choices for dental restoration. zirconia and porcelain crowns both have their advantages, and the choice between the two depends on your individual needs. Porcelain Crown Vs Zirconia Crown.
From www.katebraymandds.com
Difference Between Zirconia Crowns vs Porcelain Crowns Kate Brayman DDS Porcelain Crown Vs Zirconia Crown You will learn the differences between the two clearly. learn the difference between zirconia and porcelain crowns, the advantages of zirconia crowns, and how to. Your dentist will guide you in selecting the right type of crown to ensure the best learn the key differences between zirconia and porcelain crowns, two popular materials for dental restoration. learn. Porcelain Crown Vs Zirconia Crown.
From animalia-life.club
Porcelain Fused To Metal Crown Before And After Porcelain Crown Vs Zirconia Crown learn the difference between zirconia and porcelain crowns, the advantages of zirconia crowns, and how to. what is zirconia crown? Dental crowns made of zirconia have many benefits, including strength and durability, but may not color match the rest of your teeth as well as porcelain. zirconia crowns vs porcelain crowns: You will learn the differences between. Porcelain Crown Vs Zirconia Crown.
From www.chiswickparkdental.co.uk
Porcelain Bonded Crowns vs. Zirconia Crowns Choosing the Right Option Porcelain Crown Vs Zirconia Crown Your dentist will guide you in selecting the right type of crown to ensure the best You will learn the differences between the two clearly. A zirconia crown is a type of dental crown made from a strong, white ceramic material called zirconium dioxide. learn the difference between zirconia and porcelain crowns, the advantages of zirconia crowns, and how. Porcelain Crown Vs Zirconia Crown.
From newwestlab.com
Zirconia Versus PFMs Which Should You Crown the Winner? Porcelain Crown Vs Zirconia Crown learn the key differences between zirconia and porcelain crowns, two popular materials for dental restoration. You need enough information to make an informed. zirconia and porcelain crowns both have their advantages, and the choice between the two depends on your individual needs and preferences. You will learn the differences between the two clearly. Dental crowns made of zirconia. Porcelain Crown Vs Zirconia Crown.
From exofwjknb.blob.core.windows.net
Zirconia Vs Porcelain Veneers at Lisa Dorsey blog Porcelain Crown Vs Zirconia Crown You need enough information to make an informed. Dental crowns made of zirconia have many benefits, including strength and durability, but may not color match the rest of your teeth as well as porcelain. zirconia and porcelain crowns both have their advantages, and the choice between the two depends on your individual needs and preferences. learn the difference. Porcelain Crown Vs Zirconia Crown.
From zabolekar-ralev.com
Porcelain, ceramic and zirconia crowns, bridges, and inlays Ralev Porcelain Crown Vs Zirconia Crown You need enough information to make an informed. zirconia and porcelain crowns both have their advantages, and the choice between the two depends on your individual needs and preferences. what is zirconia crown? learn the key differences between zirconia and porcelain crowns, two popular materials for dental restoration. A zirconia crown is a type of dental crown. Porcelain Crown Vs Zirconia Crown.
From vdentalcare.in
DMLS vs ZERCONIUM CROWMS WHICH & WHY...? V Dental Care Porcelain Crown Vs Zirconia Crown Your dentist will guide you in selecting the right type of crown to ensure the best Find out how to choose the right material for your needs, installation process, and longevity. zirconia crowns vs porcelain crowns: zirconia and porcelain crowns both have their advantages, and the choice between the two depends on your individual needs and preferences. . Porcelain Crown Vs Zirconia Crown.
From www.infodentis.com
Are zirconia crowns the right choice? Porcelain Crown Vs Zirconia Crown Dental crowns are caps that. Dental crowns made of zirconia have many benefits, including strength and durability, but may not color match the rest of your teeth as well as porcelain. zirconia and porcelain crowns both have their advantages, and the choice between the two depends on your individual needs and preferences. A zirconia crown is a type of. Porcelain Crown Vs Zirconia Crown.
From ar.inspiredpencil.com
Zirconia Crown Vs Porcelain Fused To Metal Porcelain Crown Vs Zirconia Crown You will learn the differences between the two clearly. zirconia and porcelain crowns both have their advantages, and the choice between the two depends on your individual needs and preferences. Dental crowns are caps that. what is zirconia crown? Find out how to choose the right material for your needs, installation process, and longevity. learn the key. Porcelain Crown Vs Zirconia Crown.
From www.nashdentallab.com
Dental Crown and Bridge Restorations Nash Dental Lab Porcelain Crown Vs Zirconia Crown You need enough information to make an informed. what is zirconia crown? learn the key differences between zirconia and porcelain crowns, two popular materials for dental restoration. Dental crowns are caps that. Dental crowns made of zirconia have many benefits, including strength and durability, but may not color match the rest of your teeth as well as porcelain.. Porcelain Crown Vs Zirconia Crown.
From mydentaladvocate.com
Are CEREC Crowns Better Than Traditional Crowns? MDA Porcelain Crown Vs Zirconia Crown Find out how to choose the right material for your needs, installation process, and longevity. You need enough information to make an informed. zirconia crowns vs porcelain crowns: what is zirconia crown? learn about the pros and cons of zirconia and porcelain crowns, two popular choices for dental restoration. learn the difference between zirconia and porcelain. Porcelain Crown Vs Zirconia Crown.
From fity.club
Zirconia Vs Pfm Crowns Porcelain Crown Vs Zirconia Crown zirconia crowns vs porcelain crowns: Dental crowns made of zirconia have many benefits, including strength and durability, but may not color match the rest of your teeth as well as porcelain. learn about the pros and cons of zirconia and porcelain crowns, two popular choices for dental restoration. Dental crowns are caps that. Your dentist will guide you. Porcelain Crown Vs Zirconia Crown.
From glidewelldental.com
Choosing Between Zirconia Crowns and PFM Crowns Glidewell Porcelain Crown Vs Zirconia Crown Find out how to choose the right material for your needs, installation process, and longevity. You need enough information to make an informed. Your dentist will guide you in selecting the right type of crown to ensure the best zirconia crowns vs porcelain crowns: You will learn the differences between the two clearly. learn about the pros and. Porcelain Crown Vs Zirconia Crown.
From cdc.com.al
Zirconia Crown vs Emax Crown Which is The Best Option? Porcelain Crown Vs Zirconia Crown Dental crowns are caps that. zirconia and porcelain crowns both have their advantages, and the choice between the two depends on your individual needs and preferences. learn about the pros and cons of zirconia and porcelain crowns, two popular choices for dental restoration. Your dentist will guide you in selecting the right type of crown to ensure the. Porcelain Crown Vs Zirconia Crown.
From mavidenta.com
Zirconia Crowns Vs Porcelain Fused To Metal Which Is Right? Porcelain Crown Vs Zirconia Crown learn the key differences between zirconia and porcelain crowns, two popular materials for dental restoration. Dental crowns are caps that. Dental crowns made of zirconia have many benefits, including strength and durability, but may not color match the rest of your teeth as well as porcelain. what is zirconia crown? A zirconia crown is a type of dental. Porcelain Crown Vs Zirconia Crown.
From schackdental.com
Emax Crowns vs. Zirconia Crowns The Beauty and the Beast Schack Porcelain Crown Vs Zirconia Crown You will learn the differences between the two clearly. Dental crowns are caps that. learn the key differences between zirconia and porcelain crowns, two popular materials for dental restoration. this guide will be the best comparison about porcelain crown vs zirconia crown. Dental crowns made of zirconia have many benefits, including strength and durability, but may not color. Porcelain Crown Vs Zirconia Crown.
From exofwjknb.blob.core.windows.net
Zirconia Vs Porcelain Veneers at Lisa Dorsey blog Porcelain Crown Vs Zirconia Crown Find out how to choose the right material for your needs, installation process, and longevity. Dental crowns made of zirconia have many benefits, including strength and durability, but may not color match the rest of your teeth as well as porcelain. You will learn the differences between the two clearly. learn the key differences between zirconia and porcelain crowns,. Porcelain Crown Vs Zirconia Crown.