Abscess Buttock . Most anal abscesses are a. Find out how to prevent complications and when to see a healthcare provider. Pain or discomfort near the anus or buttocks. A boil on your buttocks can make everyday activities like sitting, walking, or even lying down painful. Here’s everything you should know about how to treat a boil quickly and keep it from coming back. Swelling or redness near the anus. An anorectal abscess is a collection of pus under the skin in the area of the anus and rectum. These are possible signs of an anorectal abscess: The abscess manifests as a. Bacteria, including staphylococcus aureus, often referred to as staph, are likely to blame. Symptoms may include pain, constipation, or fever. A buttock abscess is a localized collection of pus within the tissue of the buttocks, usually resulting from an infection. Learn about the symptoms, causes, diagnosis, and treatment of anorectal abscesses, also called boils. An anal abscess is a painful condition in which a collection of pus develops near the anus. Constipation or painful bowel movements.
from
Most anal abscesses are a. An anorectal abscess is a collection of pus under the skin in the area of the anus and rectum. Swelling or redness near the anus. Symptoms may include pain, constipation, or fever. An anal abscess, also known as a perianal or rectal abscess, occurs when a cavity in the anus becomes filled with pus. An anal abscess is a painful condition in which a collection of pus develops near the anus. Here’s everything you should know about how to treat a boil quickly and keep it from coming back. Pain or discomfort near the anus or buttocks. Learn about the symptoms, causes, diagnosis, and treatment of anorectal abscesses, also called boils. Constipation or painful bowel movements.
Abscess Buttock A boil on your buttocks can make everyday activities like sitting, walking, or even lying down painful. Find out how to prevent complications and when to see a healthcare provider. A buttock abscess is a localized collection of pus within the tissue of the buttocks, usually resulting from an infection. Most anal abscesses are a. An anal abscess is a painful condition in which a collection of pus develops near the anus. Pain or discomfort near the anus or buttocks. A boil on your buttocks can make everyday activities like sitting, walking, or even lying down painful. Swelling or redness near the anus. An anal abscess, also known as a perianal or rectal abscess, occurs when a cavity in the anus becomes filled with pus. Here’s everything you should know about how to treat a boil quickly and keep it from coming back. These are possible signs of an anorectal abscess: Learn about the symptoms, causes, diagnosis, and treatment of anorectal abscesses, also called boils. Symptoms may include pain, constipation, or fever. An anorectal abscess is a collection of pus under the skin in the area of the anus and rectum. Bacteria, including staphylococcus aureus, often referred to as staph, are likely to blame. The abscess manifests as a.
From
Abscess Buttock A boil on your buttocks can make everyday activities like sitting, walking, or even lying down painful. Here’s everything you should know about how to treat a boil quickly and keep it from coming back. An anal abscess, also known as a perianal or rectal abscess, occurs when a cavity in the anus becomes filled with pus. Learn about the. Abscess Buttock.
From
Abscess Buttock These are possible signs of an anorectal abscess: Constipation or painful bowel movements. An anal abscess, also known as a perianal or rectal abscess, occurs when a cavity in the anus becomes filled with pus. Pain or discomfort near the anus or buttocks. Bacteria, including staphylococcus aureus, often referred to as staph, are likely to blame. Find out how to. Abscess Buttock.
From www.ctisus.com
Abscess in Left Medial Buttocks Musculoskeletal Case Studies CTisus Abscess Buttock Pain or discomfort near the anus or buttocks. A boil on your buttocks can make everyday activities like sitting, walking, or even lying down painful. The abscess manifests as a. Constipation or painful bowel movements. These are possible signs of an anorectal abscess: Learn about the symptoms, causes, diagnosis, and treatment of anorectal abscesses, also called boils. Find out how. Abscess Buttock.
From
Abscess Buttock Pain or discomfort near the anus or buttocks. An anal abscess is a painful condition in which a collection of pus develops near the anus. Bacteria, including staphylococcus aureus, often referred to as staph, are likely to blame. These are possible signs of an anorectal abscess: Learn about the symptoms, causes, diagnosis, and treatment of anorectal abscesses, also called boils.. Abscess Buttock.
From
Abscess Buttock Most anal abscesses are a. Bacteria, including staphylococcus aureus, often referred to as staph, are likely to blame. An anal abscess, also known as a perianal or rectal abscess, occurs when a cavity in the anus becomes filled with pus. An anorectal abscess is a collection of pus under the skin in the area of the anus and rectum. These. Abscess Buttock.
From
Abscess Buttock An anal abscess is a painful condition in which a collection of pus develops near the anus. Here’s everything you should know about how to treat a boil quickly and keep it from coming back. Most anal abscesses are a. Constipation or painful bowel movements. A boil on your buttocks can make everyday activities like sitting, walking, or even lying. Abscess Buttock.
From
Abscess Buttock An anorectal abscess is a collection of pus under the skin in the area of the anus and rectum. An anal abscess, also known as a perianal or rectal abscess, occurs when a cavity in the anus becomes filled with pus. The abscess manifests as a. A boil on your buttocks can make everyday activities like sitting, walking, or even. Abscess Buttock.
From www.researchgate.net
US and CT of patient with buttock abscess. Figure (A) demonstrates CT Abscess Buttock An anal abscess is a painful condition in which a collection of pus develops near the anus. Constipation or painful bowel movements. The abscess manifests as a. Swelling or redness near the anus. Most anal abscesses are a. Find out how to prevent complications and when to see a healthcare provider. Symptoms may include pain, constipation, or fever. Bacteria, including. Abscess Buttock.
From www.ajronline.org
MRI for Detection of Abscess in Acute Osteomyelitis of the Pelvis in Abscess Buttock A boil on your buttocks can make everyday activities like sitting, walking, or even lying down painful. Bacteria, including staphylococcus aureus, often referred to as staph, are likely to blame. The abscess manifests as a. Find out how to prevent complications and when to see a healthcare provider. An anal abscess, also known as a perianal or rectal abscess, occurs. Abscess Buttock.
From
Abscess Buttock Find out how to prevent complications and when to see a healthcare provider. These are possible signs of an anorectal abscess: Here’s everything you should know about how to treat a boil quickly and keep it from coming back. An anal abscess, also known as a perianal or rectal abscess, occurs when a cavity in the anus becomes filled with. Abscess Buttock.
From www.researchgate.net
CT Scan showing iliopsoas and buttock abscess. Figure 2. CT Scan Abscess Buttock A buttock abscess is a localized collection of pus within the tissue of the buttocks, usually resulting from an infection. A boil on your buttocks can make everyday activities like sitting, walking, or even lying down painful. An anal abscess is a painful condition in which a collection of pus develops near the anus. An anal abscess, also known as. Abscess Buttock.
From
Abscess Buttock Swelling or redness near the anus. An anal abscess, also known as a perianal or rectal abscess, occurs when a cavity in the anus becomes filled with pus. The abscess manifests as a. Pain or discomfort near the anus or buttocks. These are possible signs of an anorectal abscess: Constipation or painful bowel movements. An anorectal abscess is a collection. Abscess Buttock.
From www.ncbi.nlm.nih.gov
Perirectal Abscess StatPearls NCBI Bookshelf Abscess Buttock Most anal abscesses are a. Bacteria, including staphylococcus aureus, often referred to as staph, are likely to blame. Pain or discomfort near the anus or buttocks. Find out how to prevent complications and when to see a healthcare provider. An anal abscess is a painful condition in which a collection of pus develops near the anus. Constipation or painful bowel. Abscess Buttock.
From
Abscess Buttock Pain or discomfort near the anus or buttocks. A buttock abscess is a localized collection of pus within the tissue of the buttocks, usually resulting from an infection. An anal abscess, also known as a perianal or rectal abscess, occurs when a cavity in the anus becomes filled with pus. Learn about the symptoms, causes, diagnosis, and treatment of anorectal. Abscess Buttock.
From
Abscess Buttock Most anal abscesses are a. An anal abscess is a painful condition in which a collection of pus develops near the anus. Here’s everything you should know about how to treat a boil quickly and keep it from coming back. These are possible signs of an anorectal abscess: A buttock abscess is a localized collection of pus within the tissue. Abscess Buttock.
From www.ctisus.com
Abscess in Left Medial Buttocks Musculoskeletal Case Studies CTisus Abscess Buttock Learn about the symptoms, causes, diagnosis, and treatment of anorectal abscesses, also called boils. An anal abscess, also known as a perianal or rectal abscess, occurs when a cavity in the anus becomes filled with pus. An anorectal abscess is a collection of pus under the skin in the area of the anus and rectum. Swelling or redness near the. Abscess Buttock.
From
Abscess Buttock A boil on your buttocks can make everyday activities like sitting, walking, or even lying down painful. The abscess manifests as a. An anal abscess, also known as a perianal or rectal abscess, occurs when a cavity in the anus becomes filled with pus. A buttock abscess is a localized collection of pus within the tissue of the buttocks, usually. Abscess Buttock.
From www.ctisus.com
Abscess in the Buttocks Musculoskeletal Case Studies CTisus CT Scanning Abscess Buttock These are possible signs of an anorectal abscess: The abscess manifests as a. An anorectal abscess is a collection of pus under the skin in the area of the anus and rectum. Symptoms may include pain, constipation, or fever. A boil on your buttocks can make everyday activities like sitting, walking, or even lying down painful. Constipation or painful bowel. Abscess Buttock.
From
Abscess Buttock These are possible signs of an anorectal abscess: Symptoms may include pain, constipation, or fever. Find out how to prevent complications and when to see a healthcare provider. An anal abscess, also known as a perianal or rectal abscess, occurs when a cavity in the anus becomes filled with pus. Constipation or painful bowel movements. Swelling or redness near the. Abscess Buttock.
From alpinesurgical.sg
Buttock Abscess Types & Sequela Alpine Surgical Practice Abscess Buttock The abscess manifests as a. Constipation or painful bowel movements. A boil on your buttocks can make everyday activities like sitting, walking, or even lying down painful. An anal abscess is a painful condition in which a collection of pus develops near the anus. Find out how to prevent complications and when to see a healthcare provider. An anorectal abscess. Abscess Buttock.
From
Abscess Buttock Find out how to prevent complications and when to see a healthcare provider. Here’s everything you should know about how to treat a boil quickly and keep it from coming back. Bacteria, including staphylococcus aureus, often referred to as staph, are likely to blame. The abscess manifests as a. Symptoms may include pain, constipation, or fever. Pain or discomfort near. Abscess Buttock.
From www.ctisus.com
Abscess in Left Medial Buttocks Musculoskeletal Case Studies CTisus Abscess Buttock An anal abscess is a painful condition in which a collection of pus develops near the anus. An anal abscess, also known as a perianal or rectal abscess, occurs when a cavity in the anus becomes filled with pus. Swelling or redness near the anus. Symptoms may include pain, constipation, or fever. Bacteria, including staphylococcus aureus, often referred to as. Abscess Buttock.
From dudewipes.com
Butt Rashes 9 Common Causes and How to Treat Them Abscess Buttock Constipation or painful bowel movements. Bacteria, including staphylococcus aureus, often referred to as staph, are likely to blame. Find out how to prevent complications and when to see a healthcare provider. The abscess manifests as a. Swelling or redness near the anus. Symptoms may include pain, constipation, or fever. Pain or discomfort near the anus or buttocks. An anal abscess. Abscess Buttock.
From www.researchgate.net
US and CT of patient with buttock abscess. Figure (A) demonstrates CT Abscess Buttock Symptoms may include pain, constipation, or fever. Pain or discomfort near the anus or buttocks. Constipation or painful bowel movements. An anal abscess is a painful condition in which a collection of pus develops near the anus. These are possible signs of an anorectal abscess: The abscess manifests as a. Most anal abscesses are a. Learn about the symptoms, causes,. Abscess Buttock.
From medshun.com
Understanding The Causes And Treatment Of Abscesses On The Buttocks Abscess Buttock Find out how to prevent complications and when to see a healthcare provider. Most anal abscesses are a. Bacteria, including staphylococcus aureus, often referred to as staph, are likely to blame. Learn about the symptoms, causes, diagnosis, and treatment of anorectal abscesses, also called boils. A buttock abscess is a localized collection of pus within the tissue of the buttocks,. Abscess Buttock.
From www.researchgate.net
Image showing a buttock abscess. Download Scientific Diagram Abscess Buttock Most anal abscesses are a. Swelling or redness near the anus. The abscess manifests as a. An anal abscess is a painful condition in which a collection of pus develops near the anus. These are possible signs of an anorectal abscess: An anal abscess, also known as a perianal or rectal abscess, occurs when a cavity in the anus becomes. Abscess Buttock.
From
Abscess Buttock Here’s everything you should know about how to treat a boil quickly and keep it from coming back. A buttock abscess is a localized collection of pus within the tissue of the buttocks, usually resulting from an infection. An anal abscess is a painful condition in which a collection of pus develops near the anus. Swelling or redness near the. Abscess Buttock.
From www.ctisus.com
Abscess in Left Medial Buttocks Musculoskeletal Case Studies CTisus Abscess Buttock Most anal abscesses are a. An anal abscess is a painful condition in which a collection of pus develops near the anus. An anal abscess, also known as a perianal or rectal abscess, occurs when a cavity in the anus becomes filled with pus. The abscess manifests as a. Here’s everything you should know about how to treat a boil. Abscess Buttock.
From
Abscess Buttock A boil on your buttocks can make everyday activities like sitting, walking, or even lying down painful. An anorectal abscess is a collection of pus under the skin in the area of the anus and rectum. The abscess manifests as a. Symptoms may include pain, constipation, or fever. A buttock abscess is a localized collection of pus within the tissue. Abscess Buttock.
From
Abscess Buttock Symptoms may include pain, constipation, or fever. Most anal abscesses are a. An anal abscess, also known as a perianal or rectal abscess, occurs when a cavity in the anus becomes filled with pus. A boil on your buttocks can make everyday activities like sitting, walking, or even lying down painful. Swelling or redness near the anus. Bacteria, including staphylococcus. Abscess Buttock.
From www.researchgate.net
Retroperitoneal abscess in communication with the left buttock (white Abscess Buttock Swelling or redness near the anus. Constipation or painful bowel movements. An anorectal abscess is a collection of pus under the skin in the area of the anus and rectum. Find out how to prevent complications and when to see a healthcare provider. The abscess manifests as a. An anal abscess is a painful condition in which a collection of. Abscess Buttock.
From
Abscess Buttock Constipation or painful bowel movements. Pain or discomfort near the anus or buttocks. An anal abscess, also known as a perianal or rectal abscess, occurs when a cavity in the anus becomes filled with pus. Bacteria, including staphylococcus aureus, often referred to as staph, are likely to blame. Find out how to prevent complications and when to see a healthcare. Abscess Buttock.
From www.researchgate.net
Retroperitoneal abscess in communication with the left buttock (white Abscess Buttock A boil on your buttocks can make everyday activities like sitting, walking, or even lying down painful. Swelling or redness near the anus. Most anal abscesses are a. An anorectal abscess is a collection of pus under the skin in the area of the anus and rectum. An anal abscess, also known as a perianal or rectal abscess, occurs when. Abscess Buttock.
From www.ctisus.com
Abscess in Left Medial Buttocks Musculoskeletal Case Studies CTisus Abscess Buttock Most anal abscesses are a. Pain or discomfort near the anus or buttocks. Constipation or painful bowel movements. An anorectal abscess is a collection of pus under the skin in the area of the anus and rectum. A buttock abscess is a localized collection of pus within the tissue of the buttocks, usually resulting from an infection. An anal abscess,. Abscess Buttock.
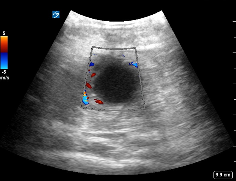
From www.criticalcare-sonography.com
Deep buttock abscess. Critical Care Sonography Abscess Buttock Swelling or redness near the anus. A buttock abscess is a localized collection of pus within the tissue of the buttocks, usually resulting from an infection. Bacteria, including staphylococcus aureus, often referred to as staph, are likely to blame. Symptoms may include pain, constipation, or fever. These are possible signs of an anorectal abscess: Most anal abscesses are a. An. Abscess Buttock.