Maxillary Osteoma Radiology . They have a characteristic lucent nidus <1.5 or 2 cm and surrounding. A bone window algorithm better delineates the details of a bony lesion. It appears as a radiopaque mass with a density. In patients with multiple osteomas, gardner's syndrome (gs) as an underlying disease needs to be excluded. Most paranasal sinus osteomas are asymptomatic and are found incidentally when imaging the sinuses either for sinonasal. In this report, we present the case. This is a patient who had been having brain mri for the past 1,5 yrs for frontal headaches. Computed tomography (ct) is commonly used for imaging the maxillofacial region. Traditional radiographic imaging is generally sufficient to diagnose an osteoma. On the mri (not shown) it looked as.
from radiopaedia.org
Traditional radiographic imaging is generally sufficient to diagnose an osteoma. A bone window algorithm better delineates the details of a bony lesion. Most paranasal sinus osteomas are asymptomatic and are found incidentally when imaging the sinuses either for sinonasal. On the mri (not shown) it looked as. This is a patient who had been having brain mri for the past 1,5 yrs for frontal headaches. They have a characteristic lucent nidus <1.5 or 2 cm and surrounding. Computed tomography (ct) is commonly used for imaging the maxillofacial region. It appears as a radiopaque mass with a density. In patients with multiple osteomas, gardner's syndrome (gs) as an underlying disease needs to be excluded. In this report, we present the case.
Image
Maxillary Osteoma Radiology This is a patient who had been having brain mri for the past 1,5 yrs for frontal headaches. It appears as a radiopaque mass with a density. They have a characteristic lucent nidus <1.5 or 2 cm and surrounding. Computed tomography (ct) is commonly used for imaging the maxillofacial region. In patients with multiple osteomas, gardner's syndrome (gs) as an underlying disease needs to be excluded. A bone window algorithm better delineates the details of a bony lesion. On the mri (not shown) it looked as. Traditional radiographic imaging is generally sufficient to diagnose an osteoma. This is a patient who had been having brain mri for the past 1,5 yrs for frontal headaches. In this report, we present the case. Most paranasal sinus osteomas are asymptomatic and are found incidentally when imaging the sinuses either for sinonasal.
From www.jomos.org
Surgical treatment of unusual osteoma associated with homolateral Maxillary Osteoma Radiology On the mri (not shown) it looked as. Computed tomography (ct) is commonly used for imaging the maxillofacial region. Traditional radiographic imaging is generally sufficient to diagnose an osteoma. They have a characteristic lucent nidus <1.5 or 2 cm and surrounding. A bone window algorithm better delineates the details of a bony lesion. In this report, we present the case.. Maxillary Osteoma Radiology.
From journals.sagepub.com
A possible case of symptomatic hemicrania continua from an osteoid Maxillary Osteoma Radiology They have a characteristic lucent nidus <1.5 or 2 cm and surrounding. In patients with multiple osteomas, gardner's syndrome (gs) as an underlying disease needs to be excluded. Traditional radiographic imaging is generally sufficient to diagnose an osteoma. A bone window algorithm better delineates the details of a bony lesion. Most paranasal sinus osteomas are asymptomatic and are found incidentally. Maxillary Osteoma Radiology.
From www.researchgate.net
CT scan showing an osteoma and mucosal thickening in the right Maxillary Osteoma Radiology They have a characteristic lucent nidus <1.5 or 2 cm and surrounding. A bone window algorithm better delineates the details of a bony lesion. It appears as a radiopaque mass with a density. In patients with multiple osteomas, gardner's syndrome (gs) as an underlying disease needs to be excluded. This is a patient who had been having brain mri for. Maxillary Osteoma Radiology.
From radiopaedia.org
Image Maxillary Osteoma Radiology On the mri (not shown) it looked as. This is a patient who had been having brain mri for the past 1,5 yrs for frontal headaches. In this report, we present the case. They have a characteristic lucent nidus <1.5 or 2 cm and surrounding. It appears as a radiopaque mass with a density. Traditional radiographic imaging is generally sufficient. Maxillary Osteoma Radiology.
From www.researchgate.net
Osteoma. (a) Axial CT shows a large osteoma with groundglass Maxillary Osteoma Radiology It appears as a radiopaque mass with a density. In this report, we present the case. This is a patient who had been having brain mri for the past 1,5 yrs for frontal headaches. They have a characteristic lucent nidus <1.5 or 2 cm and surrounding. In patients with multiple osteomas, gardner's syndrome (gs) as an underlying disease needs to. Maxillary Osteoma Radiology.
From www.jem-journal.com
Mandibular Osteoid Osteoma Journal of Emergency Medicine Maxillary Osteoma Radiology A bone window algorithm better delineates the details of a bony lesion. In patients with multiple osteomas, gardner's syndrome (gs) as an underlying disease needs to be excluded. Most paranasal sinus osteomas are asymptomatic and are found incidentally when imaging the sinuses either for sinonasal. It appears as a radiopaque mass with a density. On the mri (not shown) it. Maxillary Osteoma Radiology.
From www.pathologyoutlines.com
Pathology Outlines Osteoma, NOS Maxillary Osteoma Radiology A bone window algorithm better delineates the details of a bony lesion. In this report, we present the case. In patients with multiple osteomas, gardner's syndrome (gs) as an underlying disease needs to be excluded. Traditional radiographic imaging is generally sufficient to diagnose an osteoma. They have a characteristic lucent nidus <1.5 or 2 cm and surrounding. Computed tomography (ct). Maxillary Osteoma Radiology.
From www.researchgate.net
Maxillary anterior occlusal radiograph showing well defined radiopaque Maxillary Osteoma Radiology In patients with multiple osteomas, gardner's syndrome (gs) as an underlying disease needs to be excluded. They have a characteristic lucent nidus <1.5 or 2 cm and surrounding. On the mri (not shown) it looked as. Computed tomography (ct) is commonly used for imaging the maxillofacial region. It appears as a radiopaque mass with a density. This is a patient. Maxillary Osteoma Radiology.
From www.researchgate.net
Axial view of the CT scan of the paranasal sinus showing the osteoma of Maxillary Osteoma Radiology This is a patient who had been having brain mri for the past 1,5 yrs for frontal headaches. In this report, we present the case. Most paranasal sinus osteomas are asymptomatic and are found incidentally when imaging the sinuses either for sinonasal. On the mri (not shown) it looked as. Computed tomography (ct) is commonly used for imaging the maxillofacial. Maxillary Osteoma Radiology.
From www.mdpi.com
Surgeries Free FullText Endoscopic Excision of Rare Large Maxillary Osteoma Radiology Most paranasal sinus osteomas are asymptomatic and are found incidentally when imaging the sinuses either for sinonasal. Computed tomography (ct) is commonly used for imaging the maxillofacial region. It appears as a radiopaque mass with a density. In this report, we present the case. Traditional radiographic imaging is generally sufficient to diagnose an osteoma. In patients with multiple osteomas, gardner's. Maxillary Osteoma Radiology.
From radiopaedia.org
Image Maxillary Osteoma Radiology This is a patient who had been having brain mri for the past 1,5 yrs for frontal headaches. In this report, we present the case. They have a characteristic lucent nidus <1.5 or 2 cm and surrounding. Traditional radiographic imaging is generally sufficient to diagnose an osteoma. Computed tomography (ct) is commonly used for imaging the maxillofacial region. A bone. Maxillary Osteoma Radiology.
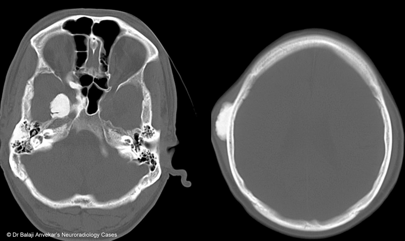
From www.neuroradiologycases.com
Dr Balaji Anvekar FRCR Paranasal sinus osteoma CT Maxillary Osteoma Radiology In patients with multiple osteomas, gardner's syndrome (gs) as an underlying disease needs to be excluded. A bone window algorithm better delineates the details of a bony lesion. This is a patient who had been having brain mri for the past 1,5 yrs for frontal headaches. In this report, we present the case. They have a characteristic lucent nidus <1.5. Maxillary Osteoma Radiology.
From www.researchgate.net
CT images of a patient with a left frontoethmoidal osteoma. APreop Maxillary Osteoma Radiology This is a patient who had been having brain mri for the past 1,5 yrs for frontal headaches. Computed tomography (ct) is commonly used for imaging the maxillofacial region. Traditional radiographic imaging is generally sufficient to diagnose an osteoma. In this report, we present the case. In patients with multiple osteomas, gardner's syndrome (gs) as an underlying disease needs to. Maxillary Osteoma Radiology.
From www.semanticscholar.org
Figure 2 from Osteoma of maxillary sinus case report. Semantic Scholar Maxillary Osteoma Radiology In this report, we present the case. Traditional radiographic imaging is generally sufficient to diagnose an osteoma. They have a characteristic lucent nidus <1.5 or 2 cm and surrounding. On the mri (not shown) it looked as. A bone window algorithm better delineates the details of a bony lesion. It appears as a radiopaque mass with a density. In patients. Maxillary Osteoma Radiology.
From dentalasia.net
Osteoma of the maxilla Dental Asia Maxillary Osteoma Radiology On the mri (not shown) it looked as. Traditional radiographic imaging is generally sufficient to diagnose an osteoma. This is a patient who had been having brain mri for the past 1,5 yrs for frontal headaches. It appears as a radiopaque mass with a density. In patients with multiple osteomas, gardner's syndrome (gs) as an underlying disease needs to be. Maxillary Osteoma Radiology.
From www.mdpi.com
Surgeries Free FullText Endoscopic Excision of Rare Large Maxillary Osteoma Radiology It appears as a radiopaque mass with a density. On the mri (not shown) it looked as. In this report, we present the case. They have a characteristic lucent nidus <1.5 or 2 cm and surrounding. Most paranasal sinus osteomas are asymptomatic and are found incidentally when imaging the sinuses either for sinonasal. Traditional radiographic imaging is generally sufficient to. Maxillary Osteoma Radiology.
From med.stanford.edu
Osteoma Skull Base Surgery Stanford Medicine Maxillary Osteoma Radiology In this report, we present the case. They have a characteristic lucent nidus <1.5 or 2 cm and surrounding. A bone window algorithm better delineates the details of a bony lesion. Traditional radiographic imaging is generally sufficient to diagnose an osteoma. On the mri (not shown) it looked as. In patients with multiple osteomas, gardner's syndrome (gs) as an underlying. Maxillary Osteoma Radiology.
From www.cureus.com
Cureus Osteolipoma An Extremely Rare Hard Palate Tumor Maxillary Osteoma Radiology They have a characteristic lucent nidus <1.5 or 2 cm and surrounding. This is a patient who had been having brain mri for the past 1,5 yrs for frontal headaches. In patients with multiple osteomas, gardner's syndrome (gs) as an underlying disease needs to be excluded. On the mri (not shown) it looked as. In this report, we present the. Maxillary Osteoma Radiology.
From www.wjgnet.com
Imaging appearance of bone tumors of the maxillofacial region Maxillary Osteoma Radiology A bone window algorithm better delineates the details of a bony lesion. Computed tomography (ct) is commonly used for imaging the maxillofacial region. On the mri (not shown) it looked as. In patients with multiple osteomas, gardner's syndrome (gs) as an underlying disease needs to be excluded. It appears as a radiopaque mass with a density. This is a patient. Maxillary Osteoma Radiology.
From www.bjorl.org
Giant frontoethmoidal osteoma selection of an optimal surgical Maxillary Osteoma Radiology In patients with multiple osteomas, gardner's syndrome (gs) as an underlying disease needs to be excluded. A bone window algorithm better delineates the details of a bony lesion. It appears as a radiopaque mass with a density. This is a patient who had been having brain mri for the past 1,5 yrs for frontal headaches. On the mri (not shown). Maxillary Osteoma Radiology.
From www.joms.org
Chronic Osteomyelitis of the Mandible Diagnosis and Management—An Maxillary Osteoma Radiology They have a characteristic lucent nidus <1.5 or 2 cm and surrounding. On the mri (not shown) it looked as. A bone window algorithm better delineates the details of a bony lesion. This is a patient who had been having brain mri for the past 1,5 yrs for frontal headaches. Computed tomography (ct) is commonly used for imaging the maxillofacial. Maxillary Osteoma Radiology.
From casereports.bmj.com
Peripheral osteoma of the mandible BMJ Case Reports Maxillary Osteoma Radiology In this report, we present the case. Traditional radiographic imaging is generally sufficient to diagnose an osteoma. It appears as a radiopaque mass with a density. They have a characteristic lucent nidus <1.5 or 2 cm and surrounding. Computed tomography (ct) is commonly used for imaging the maxillofacial region. This is a patient who had been having brain mri for. Maxillary Osteoma Radiology.
From www.researchgate.net
CT images of a patient with a left frontoethmoidal osteoma associated Maxillary Osteoma Radiology Computed tomography (ct) is commonly used for imaging the maxillofacial region. A bone window algorithm better delineates the details of a bony lesion. In this report, we present the case. In patients with multiple osteomas, gardner's syndrome (gs) as an underlying disease needs to be excluded. This is a patient who had been having brain mri for the past 1,5. Maxillary Osteoma Radiology.
From www.cureus.com
Cureus A Case of Giant Ethmoid Sinus Osteoma Maxillary Osteoma Radiology Traditional radiographic imaging is generally sufficient to diagnose an osteoma. A bone window algorithm better delineates the details of a bony lesion. They have a characteristic lucent nidus <1.5 or 2 cm and surrounding. Most paranasal sinus osteomas are asymptomatic and are found incidentally when imaging the sinuses either for sinonasal. In this report, we present the case. This is. Maxillary Osteoma Radiology.
From www.wikidoc.org
Osteoma CT wikidoc Maxillary Osteoma Radiology In patients with multiple osteomas, gardner's syndrome (gs) as an underlying disease needs to be excluded. It appears as a radiopaque mass with a density. Computed tomography (ct) is commonly used for imaging the maxillofacial region. They have a characteristic lucent nidus <1.5 or 2 cm and surrounding. This is a patient who had been having brain mri for the. Maxillary Osteoma Radiology.
From mavink.com
Osteoma Radiograph Maxillary Osteoma Radiology In this report, we present the case. This is a patient who had been having brain mri for the past 1,5 yrs for frontal headaches. On the mri (not shown) it looked as. It appears as a radiopaque mass with a density. Most paranasal sinus osteomas are asymptomatic and are found incidentally when imaging the sinuses either for sinonasal. A. Maxillary Osteoma Radiology.
From www.semanticscholar.org
Figure 1 from Maxillary Sinus Osteoma A Rare Cause of Headache Maxillary Osteoma Radiology Computed tomography (ct) is commonly used for imaging the maxillofacial region. In this report, we present the case. They have a characteristic lucent nidus <1.5 or 2 cm and surrounding. In patients with multiple osteomas, gardner's syndrome (gs) as an underlying disease needs to be excluded. Most paranasal sinus osteomas are asymptomatic and are found incidentally when imaging the sinuses. Maxillary Osteoma Radiology.
From www.mdpi.com
JCM Free FullText Craniofacial Osteomas From Diagnosis to Therapy Maxillary Osteoma Radiology Computed tomography (ct) is commonly used for imaging the maxillofacial region. This is a patient who had been having brain mri for the past 1,5 yrs for frontal headaches. Traditional radiographic imaging is generally sufficient to diagnose an osteoma. On the mri (not shown) it looked as. A bone window algorithm better delineates the details of a bony lesion. In. Maxillary Osteoma Radiology.
From manju-imagingxpert.blogspot.com
Radiodiagnosis Imaging is AmazingInteresting cases Ivory Osteoma Maxillary Osteoma Radiology On the mri (not shown) it looked as. In this report, we present the case. A bone window algorithm better delineates the details of a bony lesion. It appears as a radiopaque mass with a density. They have a characteristic lucent nidus <1.5 or 2 cm and surrounding. In patients with multiple osteomas, gardner's syndrome (gs) as an underlying disease. Maxillary Osteoma Radiology.
From atlas.mudr.org
Radiology case Osteoma of external auditory meatus Maxillary Osteoma Radiology In this report, we present the case. In patients with multiple osteomas, gardner's syndrome (gs) as an underlying disease needs to be excluded. Most paranasal sinus osteomas are asymptomatic and are found incidentally when imaging the sinuses either for sinonasal. A bone window algorithm better delineates the details of a bony lesion. It appears as a radiopaque mass with a. Maxillary Osteoma Radiology.
From www.mdpi.com
JCM Free FullText Craniofacial Osteomas From Diagnosis to Therapy Maxillary Osteoma Radiology Traditional radiographic imaging is generally sufficient to diagnose an osteoma. In patients with multiple osteomas, gardner's syndrome (gs) as an underlying disease needs to be excluded. It appears as a radiopaque mass with a density. They have a characteristic lucent nidus <1.5 or 2 cm and surrounding. On the mri (not shown) it looked as. This is a patient who. Maxillary Osteoma Radiology.
From radiologykey.com
Benign and Malignant Osteogenic Tumors of Bone Radiology Key Maxillary Osteoma Radiology It appears as a radiopaque mass with a density. A bone window algorithm better delineates the details of a bony lesion. This is a patient who had been having brain mri for the past 1,5 yrs for frontal headaches. Traditional radiographic imaging is generally sufficient to diagnose an osteoma. They have a characteristic lucent nidus <1.5 or 2 cm and. Maxillary Osteoma Radiology.
From ar.iiarjournals.org
Osteoid Osteoma of the Mandible Clinical and Histological Findings Maxillary Osteoma Radiology Traditional radiographic imaging is generally sufficient to diagnose an osteoma. In this report, we present the case. In patients with multiple osteomas, gardner's syndrome (gs) as an underlying disease needs to be excluded. On the mri (not shown) it looked as. This is a patient who had been having brain mri for the past 1,5 yrs for frontal headaches. Most. Maxillary Osteoma Radiology.
From www.researchgate.net
(PDF) A case of a large osteoma containing maxillary mucosa in the Maxillary Osteoma Radiology They have a characteristic lucent nidus <1.5 or 2 cm and surrounding. This is a patient who had been having brain mri for the past 1,5 yrs for frontal headaches. Computed tomography (ct) is commonly used for imaging the maxillofacial region. Traditional radiographic imaging is generally sufficient to diagnose an osteoma. On the mri (not shown) it looked as. Most. Maxillary Osteoma Radiology.
From www.scienceopen.com
Maxillary sinus osteoma two cases and review of the literature Maxillary Osteoma Radiology They have a characteristic lucent nidus <1.5 or 2 cm and surrounding. Computed tomography (ct) is commonly used for imaging the maxillofacial region. In patients with multiple osteomas, gardner's syndrome (gs) as an underlying disease needs to be excluded. On the mri (not shown) it looked as. This is a patient who had been having brain mri for the past. Maxillary Osteoma Radiology.