Normal Chest X Ray Of Newborn . The thymus is prominent but rapidly involutes during the first. The normal shape of the chest in the newborn is trapezoid with horizontal ribs. A specific finding on neonatal chest films is air leak tracking along the bronchi termed pulmonary interstitial emphysema (pie). This article lists examples of normal imaging of the pediatric patients divided by region, modality, and age. The specific reason why these radiographs are. Standard chest radiograph is an anteroposterior projection. Basics of interpreting a neonatal chest radiograph. Air within the interstitium can cause stiff and. Normally, thymus appears as a bilateral smoothly. One needs to differentiate its normal from abnormal appearance. The anteroposterior (ap) diameter of the neonatal chest is almost as great as its transverse.
from radiologykey.com
One needs to differentiate its normal from abnormal appearance. Normally, thymus appears as a bilateral smoothly. The thymus is prominent but rapidly involutes during the first. The specific reason why these radiographs are. Basics of interpreting a neonatal chest radiograph. Air within the interstitium can cause stiff and. The normal shape of the chest in the newborn is trapezoid with horizontal ribs. A specific finding on neonatal chest films is air leak tracking along the bronchi termed pulmonary interstitial emphysema (pie). This article lists examples of normal imaging of the pediatric patients divided by region, modality, and age. The anteroposterior (ap) diameter of the neonatal chest is almost as great as its transverse.
Neonatal Chest Imaging Radiology Key
Normal Chest X Ray Of Newborn Standard chest radiograph is an anteroposterior projection. Air within the interstitium can cause stiff and. One needs to differentiate its normal from abnormal appearance. A specific finding on neonatal chest films is air leak tracking along the bronchi termed pulmonary interstitial emphysema (pie). The normal shape of the chest in the newborn is trapezoid with horizontal ribs. Basics of interpreting a neonatal chest radiograph. The thymus is prominent but rapidly involutes during the first. The anteroposterior (ap) diameter of the neonatal chest is almost as great as its transverse. Standard chest radiograph is an anteroposterior projection. The specific reason why these radiographs are. This article lists examples of normal imaging of the pediatric patients divided by region, modality, and age. Normally, thymus appears as a bilateral smoothly.
From radiologyassistant.nl
The Radiology Assistant Neonatal Chest XRay Normal Chest X Ray Of Newborn One needs to differentiate its normal from abnormal appearance. The specific reason why these radiographs are. The normal shape of the chest in the newborn is trapezoid with horizontal ribs. The anteroposterior (ap) diameter of the neonatal chest is almost as great as its transverse. Air within the interstitium can cause stiff and. Normally, thymus appears as a bilateral smoothly.. Normal Chest X Ray Of Newborn.
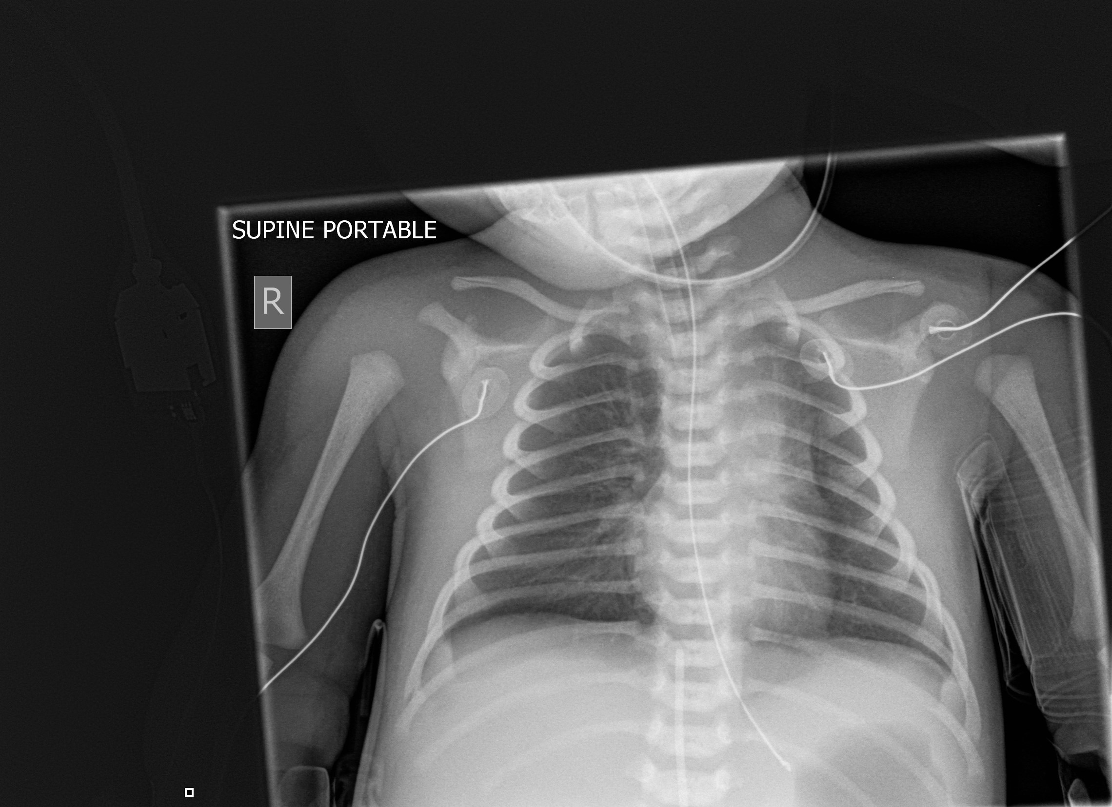
From www.researchgate.net
Case 1. (a) Normal chest Xray shortly after birth. (b) Plain chest Normal Chest X Ray Of Newborn Normally, thymus appears as a bilateral smoothly. A specific finding on neonatal chest films is air leak tracking along the bronchi termed pulmonary interstitial emphysema (pie). The anteroposterior (ap) diameter of the neonatal chest is almost as great as its transverse. The specific reason why these radiographs are. The thymus is prominent but rapidly involutes during the first. One needs. Normal Chest X Ray Of Newborn.
From animalia-life.club
Normal Chest X Ray Images Normal Chest X Ray Of Newborn This article lists examples of normal imaging of the pediatric patients divided by region, modality, and age. One needs to differentiate its normal from abnormal appearance. The normal shape of the chest in the newborn is trapezoid with horizontal ribs. The anteroposterior (ap) diameter of the neonatal chest is almost as great as its transverse. A specific finding on neonatal. Normal Chest X Ray Of Newborn.
From ar.inspiredpencil.com
Normal Infant Chest Xray Normal Chest X Ray Of Newborn The thymus is prominent but rapidly involutes during the first. The specific reason why these radiographs are. The anteroposterior (ap) diameter of the neonatal chest is almost as great as its transverse. Normally, thymus appears as a bilateral smoothly. This article lists examples of normal imaging of the pediatric patients divided by region, modality, and age. One needs to differentiate. Normal Chest X Ray Of Newborn.
From www.dreamstime.com
Normal Chest X Ray of Human Child. Stock Image Image of investigation Normal Chest X Ray Of Newborn The specific reason why these radiographs are. Air within the interstitium can cause stiff and. Basics of interpreting a neonatal chest radiograph. One needs to differentiate its normal from abnormal appearance. Normally, thymus appears as a bilateral smoothly. The thymus is prominent but rapidly involutes during the first. The anteroposterior (ap) diameter of the neonatal chest is almost as great. Normal Chest X Ray Of Newborn.
From www.youtube.com
Neonatal radiologyhow to read chest Xray in neonates. The basics. Normal Chest X Ray Of Newborn The thymus is prominent but rapidly involutes during the first. One needs to differentiate its normal from abnormal appearance. Standard chest radiograph is an anteroposterior projection. Normally, thymus appears as a bilateral smoothly. Basics of interpreting a neonatal chest radiograph. A specific finding on neonatal chest films is air leak tracking along the bronchi termed pulmonary interstitial emphysema (pie). This. Normal Chest X Ray Of Newborn.
From openpress.usask.ca
Chest Undergraduate Diagnostic Imaging Fundamentals Normal Chest X Ray Of Newborn The anteroposterior (ap) diameter of the neonatal chest is almost as great as its transverse. Normally, thymus appears as a bilateral smoothly. The normal shape of the chest in the newborn is trapezoid with horizontal ribs. This article lists examples of normal imaging of the pediatric patients divided by region, modality, and age. Air within the interstitium can cause stiff. Normal Chest X Ray Of Newborn.
From mavink.com
Neonatal Chest X Ray Normal Chest X Ray Of Newborn The specific reason why these radiographs are. A specific finding on neonatal chest films is air leak tracking along the bronchi termed pulmonary interstitial emphysema (pie). The thymus is prominent but rapidly involutes during the first. Air within the interstitium can cause stiff and. This article lists examples of normal imaging of the pediatric patients divided by region, modality, and. Normal Chest X Ray Of Newborn.
From jksronline.org
Interpretation of Neonatal Chest Radiography Normal Chest X Ray Of Newborn The thymus is prominent but rapidly involutes during the first. Basics of interpreting a neonatal chest radiograph. Standard chest radiograph is an anteroposterior projection. The normal shape of the chest in the newborn is trapezoid with horizontal ribs. Air within the interstitium can cause stiff and. Normally, thymus appears as a bilateral smoothly. The anteroposterior (ap) diameter of the neonatal. Normal Chest X Ray Of Newborn.
From www.sciencephoto.com
Healthy chest Xray Stock Image P590/0229 Science Photo Library Normal Chest X Ray Of Newborn A specific finding on neonatal chest films is air leak tracking along the bronchi termed pulmonary interstitial emphysema (pie). The normal shape of the chest in the newborn is trapezoid with horizontal ribs. Air within the interstitium can cause stiff and. Standard chest radiograph is an anteroposterior projection. The thymus is prominent but rapidly involutes during the first. Normally, thymus. Normal Chest X Ray Of Newborn.
From www.wikiradiography.net
Notes on Paediatric Chest Radiography wikiRadiography Normal Chest X Ray Of Newborn A specific finding on neonatal chest films is air leak tracking along the bronchi termed pulmonary interstitial emphysema (pie). Basics of interpreting a neonatal chest radiograph. The specific reason why these radiographs are. The anteroposterior (ap) diameter of the neonatal chest is almost as great as its transverse. Standard chest radiograph is an anteroposterior projection. The normal shape of the. Normal Chest X Ray Of Newborn.
From www.pedilung.com
chest xray child Pediatric Pulmonologists Normal Chest X Ray Of Newborn Air within the interstitium can cause stiff and. This article lists examples of normal imaging of the pediatric patients divided by region, modality, and age. Normally, thymus appears as a bilateral smoothly. The specific reason why these radiographs are. The thymus is prominent but rapidly involutes during the first. The normal shape of the chest in the newborn is trapezoid. Normal Chest X Ray Of Newborn.
From www.semanticscholar.org
[PDF] The neonatal chest Xray. Semantic Scholar Normal Chest X Ray Of Newborn A specific finding on neonatal chest films is air leak tracking along the bronchi termed pulmonary interstitial emphysema (pie). The thymus is prominent but rapidly involutes during the first. Normally, thymus appears as a bilateral smoothly. Basics of interpreting a neonatal chest radiograph. This article lists examples of normal imaging of the pediatric patients divided by region, modality, and age.. Normal Chest X Ray Of Newborn.
From www.alamy.com
Film xray child 's body ( normal baby Stock Photo, Royalty Free Image Normal Chest X Ray Of Newborn The normal shape of the chest in the newborn is trapezoid with horizontal ribs. Air within the interstitium can cause stiff and. Normally, thymus appears as a bilateral smoothly. One needs to differentiate its normal from abnormal appearance. The specific reason why these radiographs are. Standard chest radiograph is an anteroposterior projection. A specific finding on neonatal chest films is. Normal Chest X Ray Of Newborn.
From www.radiology.expert
Chest Xray child Normal Chest X Ray Of Newborn The specific reason why these radiographs are. A specific finding on neonatal chest films is air leak tracking along the bronchi termed pulmonary interstitial emphysema (pie). Standard chest radiograph is an anteroposterior projection. The thymus is prominent but rapidly involutes during the first. The normal shape of the chest in the newborn is trapezoid with horizontal ribs. Basics of interpreting. Normal Chest X Ray Of Newborn.
From ar.inspiredpencil.com
Normal Infant Chest Xray Normal Chest X Ray Of Newborn Air within the interstitium can cause stiff and. Basics of interpreting a neonatal chest radiograph. Standard chest radiograph is an anteroposterior projection. The anteroposterior (ap) diameter of the neonatal chest is almost as great as its transverse. The specific reason why these radiographs are. One needs to differentiate its normal from abnormal appearance. A specific finding on neonatal chest films. Normal Chest X Ray Of Newborn.
From ar.inspiredpencil.com
Normal Child Chest X Ray Normal Chest X Ray Of Newborn A specific finding on neonatal chest films is air leak tracking along the bronchi termed pulmonary interstitial emphysema (pie). The specific reason why these radiographs are. This article lists examples of normal imaging of the pediatric patients divided by region, modality, and age. Air within the interstitium can cause stiff and. The thymus is prominent but rapidly involutes during the. Normal Chest X Ray Of Newborn.
From ar.inspiredpencil.com
Normal Infant Chest Xray Normal Chest X Ray Of Newborn Standard chest radiograph is an anteroposterior projection. The thymus is prominent but rapidly involutes during the first. Air within the interstitium can cause stiff and. The normal shape of the chest in the newborn is trapezoid with horizontal ribs. This article lists examples of normal imaging of the pediatric patients divided by region, modality, and age. Normally, thymus appears as. Normal Chest X Ray Of Newborn.
From gioaqjujo.blob.core.windows.net
Chest X Ray For Baby Safe at Michael Metts blog Normal Chest X Ray Of Newborn The specific reason why these radiographs are. One needs to differentiate its normal from abnormal appearance. The normal shape of the chest in the newborn is trapezoid with horizontal ribs. The anteroposterior (ap) diameter of the neonatal chest is almost as great as its transverse. Basics of interpreting a neonatal chest radiograph. A specific finding on neonatal chest films is. Normal Chest X Ray Of Newborn.
From www.dreamstime.com
Normal Chest X Ray of Human Child. Stock Image Image of investigation Normal Chest X Ray Of Newborn A specific finding on neonatal chest films is air leak tracking along the bronchi termed pulmonary interstitial emphysema (pie). Air within the interstitium can cause stiff and. Basics of interpreting a neonatal chest radiograph. The normal shape of the chest in the newborn is trapezoid with horizontal ribs. Standard chest radiograph is an anteroposterior projection. One needs to differentiate its. Normal Chest X Ray Of Newborn.
From www.bmj.com
Anteroposterior chest radiograph in a 3 month old infant The BMJ Normal Chest X Ray Of Newborn The anteroposterior (ap) diameter of the neonatal chest is almost as great as its transverse. The normal shape of the chest in the newborn is trapezoid with horizontal ribs. One needs to differentiate its normal from abnormal appearance. Normally, thymus appears as a bilateral smoothly. Air within the interstitium can cause stiff and. Standard chest radiograph is an anteroposterior projection.. Normal Chest X Ray Of Newborn.
From www.youtube.com
Approach to Pediatric Chest XRays YouTube Normal Chest X Ray Of Newborn One needs to differentiate its normal from abnormal appearance. The thymus is prominent but rapidly involutes during the first. The anteroposterior (ap) diameter of the neonatal chest is almost as great as its transverse. A specific finding on neonatal chest films is air leak tracking along the bronchi termed pulmonary interstitial emphysema (pie). Normally, thymus appears as a bilateral smoothly.. Normal Chest X Ray Of Newborn.
From mavink.com
Granular Neonatal Chest X Ray Normal Chest X Ray Of Newborn A specific finding on neonatal chest films is air leak tracking along the bronchi termed pulmonary interstitial emphysema (pie). The anteroposterior (ap) diameter of the neonatal chest is almost as great as its transverse. The thymus is prominent but rapidly involutes during the first. This article lists examples of normal imaging of the pediatric patients divided by region, modality, and. Normal Chest X Ray Of Newborn.
From www.thesimtech.org
XRAYs — the simtech Normal Chest X Ray Of Newborn The thymus is prominent but rapidly involutes during the first. Normally, thymus appears as a bilateral smoothly. One needs to differentiate its normal from abnormal appearance. A specific finding on neonatal chest films is air leak tracking along the bronchi termed pulmonary interstitial emphysema (pie). Basics of interpreting a neonatal chest radiograph. The normal shape of the chest in the. Normal Chest X Ray Of Newborn.
From www.dreamstime.com
Normal Chest X Ray of Human. Stock Photo Image of body, anatomy 91619830 Normal Chest X Ray Of Newborn Normally, thymus appears as a bilateral smoothly. Basics of interpreting a neonatal chest radiograph. One needs to differentiate its normal from abnormal appearance. The anteroposterior (ap) diameter of the neonatal chest is almost as great as its transverse. The specific reason why these radiographs are. The thymus is prominent but rapidly involutes during the first. Standard chest radiograph is an. Normal Chest X Ray Of Newborn.
From mavink.com
Normal Child Chest X Ray Normal Chest X Ray Of Newborn Standard chest radiograph is an anteroposterior projection. Basics of interpreting a neonatal chest radiograph. A specific finding on neonatal chest films is air leak tracking along the bronchi termed pulmonary interstitial emphysema (pie). Normally, thymus appears as a bilateral smoothly. The specific reason why these radiographs are. Air within the interstitium can cause stiff and. The normal shape of the. Normal Chest X Ray Of Newborn.
From radiologykey.com
Neonatal Chest Imaging Radiology Key Normal Chest X Ray Of Newborn The normal shape of the chest in the newborn is trapezoid with horizontal ribs. A specific finding on neonatal chest films is air leak tracking along the bronchi termed pulmonary interstitial emphysema (pie). Standard chest radiograph is an anteroposterior projection. The anteroposterior (ap) diameter of the neonatal chest is almost as great as its transverse. Basics of interpreting a neonatal. Normal Chest X Ray Of Newborn.
From radiologykey.com
Neonatal Chest Imaging Radiology Key Normal Chest X Ray Of Newborn Basics of interpreting a neonatal chest radiograph. One needs to differentiate its normal from abnormal appearance. Normally, thymus appears as a bilateral smoothly. Air within the interstitium can cause stiff and. The anteroposterior (ap) diameter of the neonatal chest is almost as great as its transverse. A specific finding on neonatal chest films is air leak tracking along the bronchi. Normal Chest X Ray Of Newborn.
From ar.inspiredpencil.com
Normal Infant Chest Xray Normal Chest X Ray Of Newborn Air within the interstitium can cause stiff and. The normal shape of the chest in the newborn is trapezoid with horizontal ribs. The anteroposterior (ap) diameter of the neonatal chest is almost as great as its transverse. The specific reason why these radiographs are. One needs to differentiate its normal from abnormal appearance. Basics of interpreting a neonatal chest radiograph.. Normal Chest X Ray Of Newborn.
From www.alamy.com
Normal chest radiograph hires stock photography and images Alamy Normal Chest X Ray Of Newborn Basics of interpreting a neonatal chest radiograph. The anteroposterior (ap) diameter of the neonatal chest is almost as great as its transverse. Normally, thymus appears as a bilateral smoothly. This article lists examples of normal imaging of the pediatric patients divided by region, modality, and age. One needs to differentiate its normal from abnormal appearance. The thymus is prominent but. Normal Chest X Ray Of Newborn.
From ar.inspiredpencil.com
Normal Lateral Chest X Ray Male Normal Chest X Ray Of Newborn The specific reason why these radiographs are. A specific finding on neonatal chest films is air leak tracking along the bronchi termed pulmonary interstitial emphysema (pie). Standard chest radiograph is an anteroposterior projection. Basics of interpreting a neonatal chest radiograph. The thymus is prominent but rapidly involutes during the first. The anteroposterior (ap) diameter of the neonatal chest is almost. Normal Chest X Ray Of Newborn.
From www.alamy.com
film Xray show normal chest of infant Stock Photo Alamy Normal Chest X Ray Of Newborn A specific finding on neonatal chest films is air leak tracking along the bronchi termed pulmonary interstitial emphysema (pie). This article lists examples of normal imaging of the pediatric patients divided by region, modality, and age. Air within the interstitium can cause stiff and. The normal shape of the chest in the newborn is trapezoid with horizontal ribs. Standard chest. Normal Chest X Ray Of Newborn.
From ar.inspiredpencil.com
Normal Infant Chest Xray Normal Chest X Ray Of Newborn A specific finding on neonatal chest films is air leak tracking along the bronchi termed pulmonary interstitial emphysema (pie). The normal shape of the chest in the newborn is trapezoid with horizontal ribs. The specific reason why these radiographs are. The thymus is prominent but rapidly involutes during the first. One needs to differentiate its normal from abnormal appearance. The. Normal Chest X Ray Of Newborn.
From www.sciencephoto.com
Normal chest Xray Stock Image C036/6403 Science Photo Library Normal Chest X Ray Of Newborn The anteroposterior (ap) diameter of the neonatal chest is almost as great as its transverse. Basics of interpreting a neonatal chest radiograph. Air within the interstitium can cause stiff and. Normally, thymus appears as a bilateral smoothly. The normal shape of the chest in the newborn is trapezoid with horizontal ribs. A specific finding on neonatal chest films is air. Normal Chest X Ray Of Newborn.
From www.shutterstock.com
Chest Include Abdomen Xray Newborn Who Stock Photo 1361632661 Normal Chest X Ray Of Newborn The normal shape of the chest in the newborn is trapezoid with horizontal ribs. The specific reason why these radiographs are. One needs to differentiate its normal from abnormal appearance. A specific finding on neonatal chest films is air leak tracking along the bronchi termed pulmonary interstitial emphysema (pie). This article lists examples of normal imaging of the pediatric patients. Normal Chest X Ray Of Newborn.