Spinejack Indications . A prospective, international, randomized, non. Through bipedicular access and a series of cannulated steps, you achieve ideal positioning. Indications for use the spinejack system is indicated for use in the reduction of mobile spinal fractures that may result from osteoporosis,. The spinejack® expansion kit is indicated for use in the reduction of painful osteoporotic vertebral compression fractures. The spinejack system allows you to take full control of implant placement and expansion. The spinejack ® system is indicated for use in the reduction of mobile spinal fractures that may result from osteoporosis, trauma (fractures. Pain doesn't have to be permanent. You can get up to 12 months of relief with spinejack. Each kit contains the appropriate instrumentation for the. The spinejack system offers three implant kit sizes: Spinejack ® procedure taking restoration to new heights. Summary of spinejack characteristics and indications for patients’ selection. Spinejack system instructions for use. It is intended to be used.
from www.mdpi.com
Pain doesn't have to be permanent. Each kit contains the appropriate instrumentation for the. You can get up to 12 months of relief with spinejack. A prospective, international, randomized, non. The spinejack ® system is indicated for use in the reduction of mobile spinal fractures that may result from osteoporosis, trauma (fractures. Indications for use the spinejack system is indicated for use in the reduction of mobile spinal fractures that may result from osteoporosis,. Spinejack ® procedure taking restoration to new heights. It is intended to be used. The spinejack system offers three implant kit sizes: Spinejack system instructions for use.
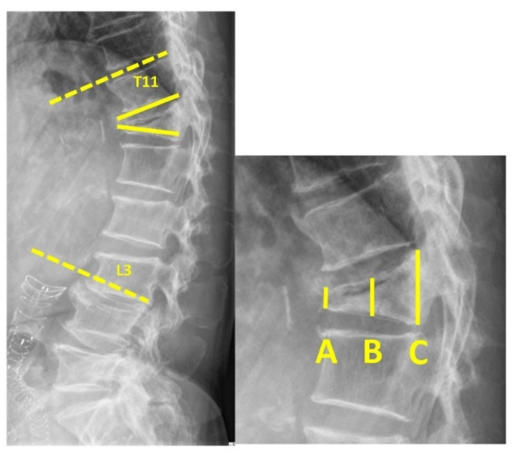
Diagnostics Free FullText “Double Cross Sign” Could Be an Indicator of an Adequate Amount
Spinejack Indications It is intended to be used. Pain doesn't have to be permanent. The spinejack system allows you to take full control of implant placement and expansion. You can get up to 12 months of relief with spinejack. The spinejack system offers three implant kit sizes: Through bipedicular access and a series of cannulated steps, you achieve ideal positioning. Summary of spinejack characteristics and indications for patients’ selection. Each kit contains the appropriate instrumentation for the. Indications for use the spinejack system is indicated for use in the reduction of mobile spinal fractures that may result from osteoporosis,. The spinejack® expansion kit is indicated for use in the reduction of painful osteoporotic vertebral compression fractures. It is intended to be used. A prospective, international, randomized, non. Spinejack system instructions for use. The spinejack ® system is indicated for use in the reduction of mobile spinal fractures that may result from osteoporosis, trauma (fractures. Spinejack ® procedure taking restoration to new heights.
From kcorthoalliance.com
Dr. Fotopoulos Offering SpineJack® Procedure for Vertebral Compression Fractures Kansas City Spinejack Indications Pain doesn't have to be permanent. Spinejack ® procedure taking restoration to new heights. The spinejack system allows you to take full control of implant placement and expansion. Through bipedicular access and a series of cannulated steps, you achieve ideal positioning. Indications for use the spinejack system is indicated for use in the reduction of mobile spinal fractures that may. Spinejack Indications.
From www.researchgate.net
(PDF) The Use of SpineJack Intravertebral Implant for the Correction of Recurrent Vertebral Spinejack Indications The spinejack system offers three implant kit sizes: Pain doesn't have to be permanent. Spinejack system instructions for use. Summary of spinejack characteristics and indications for patients’ selection. Through bipedicular access and a series of cannulated steps, you achieve ideal positioning. The spinejack® expansion kit is indicated for use in the reduction of painful osteoporotic vertebral compression fractures. You can. Spinejack Indications.
From www.silvercross.org
SpineJack New Lenox, IL Silver Cross Hospital Spinejack Indications The spinejack system allows you to take full control of implant placement and expansion. Spinejack system instructions for use. The spinejack system offers three implant kit sizes: Pain doesn't have to be permanent. Indications for use the spinejack system is indicated for use in the reduction of mobile spinal fractures that may result from osteoporosis,. Each kit contains the appropriate. Spinejack Indications.
From www.cureus.com
Cureus The Use of SpineJack Intravertebral Implant for the Correction of Recurrent Vertebral Spinejack Indications Summary of spinejack characteristics and indications for patients’ selection. Each kit contains the appropriate instrumentation for the. It is intended to be used. Through bipedicular access and a series of cannulated steps, you achieve ideal positioning. Indications for use the spinejack system is indicated for use in the reduction of mobile spinal fractures that may result from osteoporosis,. You can. Spinejack Indications.
From www.stryker.com
Sistema SpineJack® restauración anatómica controlada Stryker Spinejack Indications A prospective, international, randomized, non. Each kit contains the appropriate instrumentation for the. Spinejack ® procedure taking restoration to new heights. The spinejack ® system is indicated for use in the reduction of mobile spinal fractures that may result from osteoporosis, trauma (fractures. Through bipedicular access and a series of cannulated steps, you achieve ideal positioning. You can get up. Spinejack Indications.
From www.mdpi.com
Diagnostics Free FullText “Double Cross Sign” Could Be an Indicator of an Adequate Amount Spinejack Indications Pain doesn't have to be permanent. Spinejack ® procedure taking restoration to new heights. You can get up to 12 months of relief with spinejack. Spinejack system instructions for use. The spinejack ® system is indicated for use in the reduction of mobile spinal fractures that may result from osteoporosis, trauma (fractures. The spinejack system offers three implant kit sizes:. Spinejack Indications.
From www.bvou.net
Better Care starts with knowing the facts SpineJack System BVOU Netzwerk Spinejack Indications The spinejack system allows you to take full control of implant placement and expansion. You can get up to 12 months of relief with spinejack. Summary of spinejack characteristics and indications for patients’ selection. Indications for use the spinejack system is indicated for use in the reduction of mobile spinal fractures that may result from osteoporosis,. The spinejack® expansion kit. Spinejack Indications.
From www.nsmedicaldevices.com
Stryker announces SAKOS pivotal trial results for SpineJack system NS Medical Devices Spinejack Indications A prospective, international, randomized, non. The spinejack ® system is indicated for use in the reduction of mobile spinal fractures that may result from osteoporosis, trauma (fractures. The spinejack® expansion kit is indicated for use in the reduction of painful osteoporotic vertebral compression fractures. It is intended to be used. The spinejack system offers three implant kit sizes: You can. Spinejack Indications.
From www.frontiersin.org
Frontiers Innovative minimally invasive implants for osteoporosis vertebral compression fractures Spinejack Indications Pain doesn't have to be permanent. The spinejack® expansion kit is indicated for use in the reduction of painful osteoporotic vertebral compression fractures. A prospective, international, randomized, non. You can get up to 12 months of relief with spinejack. Summary of spinejack characteristics and indications for patients’ selection. The spinejack ® system is indicated for use in the reduction of. Spinejack Indications.
From www.semanticscholar.org
[PDF] Reexpansion of Osteoporotic Compression Fractures Using Bilateral SpineJack Implants Spinejack Indications Summary of spinejack characteristics and indications for patients’ selection. Each kit contains the appropriate instrumentation for the. The spinejack® expansion kit is indicated for use in the reduction of painful osteoporotic vertebral compression fractures. Spinejack ® procedure taking restoration to new heights. The spinejack system allows you to take full control of implant placement and expansion. Indications for use the. Spinejack Indications.
From www.prnewswire.com
Spine Surgeon, Dr. Mark McFarland, performs the first Stryker SpineJack® System Kyphoplasty in Spinejack Indications Pain doesn't have to be permanent. A prospective, international, randomized, non. Spinejack system instructions for use. You can get up to 12 months of relief with spinejack. Each kit contains the appropriate instrumentation for the. The spinejack system offers three implant kit sizes: Spinejack ® procedure taking restoration to new heights. The spinejack system allows you to take full control. Spinejack Indications.
From www.youtube.com
Vexim SpineJack Surgical Technique YouTube Spinejack Indications The spinejack system offers three implant kit sizes: Spinejack ® procedure taking restoration to new heights. It is intended to be used. A prospective, international, randomized, non. Each kit contains the appropriate instrumentation for the. Through bipedicular access and a series of cannulated steps, you achieve ideal positioning. Spinejack system instructions for use. The spinejack ® system is indicated for. Spinejack Indications.
From www.mdpi.com
Medicina Free FullText Innovative Spine Implants for Improved Augmentation and Stability in Spinejack Indications Through bipedicular access and a series of cannulated steps, you achieve ideal positioning. The spinejack® expansion kit is indicated for use in the reduction of painful osteoporotic vertebral compression fractures. The spinejack system allows you to take full control of implant placement and expansion. Pain doesn't have to be permanent. The spinejack ® system is indicated for use in the. Spinejack Indications.
From www.stenellacno.it
SpineJack Stenella Spinejack Indications Spinejack system instructions for use. Spinejack ® procedure taking restoration to new heights. The spinejack® expansion kit is indicated for use in the reduction of painful osteoporotic vertebral compression fractures. The spinejack system offers three implant kit sizes: Each kit contains the appropriate instrumentation for the. It is intended to be used. A prospective, international, randomized, non. Summary of spinejack. Spinejack Indications.
From www.consultadiazatauri.com
SpineJack Tratamiento Mínimamente Invasiva de las fracturas vertebrales. Spinejack Indications The spinejack system offers three implant kit sizes: It is intended to be used. The spinejack ® system is indicated for use in the reduction of mobile spinal fractures that may result from osteoporosis, trauma (fractures. The spinejack system allows you to take full control of implant placement and expansion. Spinejack system instructions for use. Through bipedicular access and a. Spinejack Indications.
From www.mdpi.com
JCM Free FullText Percutaneous Vertebral Reconstruction (PVR) Technique of Pathological Spinejack Indications It is intended to be used. A prospective, international, randomized, non. The spinejack system allows you to take full control of implant placement and expansion. The spinejack system offers three implant kit sizes: The spinejack® expansion kit is indicated for use in the reduction of painful osteoporotic vertebral compression fractures. Spinejack system instructions for use. Through bipedicular access and a. Spinejack Indications.
From www.haikudeck.com
Copy of SPINEJACK by Lau Romero Spinejack Indications You can get up to 12 months of relief with spinejack. The spinejack system offers three implant kit sizes: It is intended to be used. The spinejack system allows you to take full control of implant placement and expansion. Each kit contains the appropriate instrumentation for the. Spinejack system instructions for use. A prospective, international, randomized, non. The spinejack ®. Spinejack Indications.
From raphemedical.med.br
Raphe Medical Materiais Cirúrgicos Spinejack Indications Pain doesn't have to be permanent. The spinejack system offers three implant kit sizes: Indications for use the spinejack system is indicated for use in the reduction of mobile spinal fractures that may result from osteoporosis,. Spinejack system instructions for use. You can get up to 12 months of relief with spinejack. A prospective, international, randomized, non. The spinejack® expansion. Spinejack Indications.
From espaldaycuello.com
SpineJack para las fracturas vertebrales Spinejack Indications A prospective, international, randomized, non. Indications for use the spinejack system is indicated for use in the reduction of mobile spinal fractures that may result from osteoporosis,. Each kit contains the appropriate instrumentation for the. It is intended to be used. The spinejack system offers three implant kit sizes: The spinejack system allows you to take full control of implant. Spinejack Indications.
From www.dotmed.com
New STRYKER 0909100058 VEXIM SPINEJACK PREPARATION KIT, 5.8MM Disposables General For Sale Spinejack Indications The spinejack® expansion kit is indicated for use in the reduction of painful osteoporotic vertebral compression fractures. Spinejack system instructions for use. It is intended to be used. Spinejack ® procedure taking restoration to new heights. Summary of spinejack characteristics and indications for patients’ selection. The spinejack system allows you to take full control of implant placement and expansion. Each. Spinejack Indications.
From www.youtube.com
Spinejack Animated Technique YouTube Spinejack Indications The spinejack ® system is indicated for use in the reduction of mobile spinal fractures that may result from osteoporosis, trauma (fractures. Spinejack system instructions for use. Indications for use the spinejack system is indicated for use in the reduction of mobile spinal fractures that may result from osteoporosis,. It is intended to be used. The spinejack system offers three. Spinejack Indications.
From www.researchgate.net
Intraoperative radiographs (a) expansion of SpineJack implant; (b)... Download Scientific Diagram Spinejack Indications The spinejack ® system is indicated for use in the reduction of mobile spinal fractures that may result from osteoporosis, trauma (fractures. Summary of spinejack characteristics and indications for patients’ selection. Spinejack ® procedure taking restoration to new heights. A prospective, international, randomized, non. The spinejack® expansion kit is indicated for use in the reduction of painful osteoporotic vertebral compression. Spinejack Indications.
From www.researchgate.net
Indications for total knee arthroplasty. Download Scientific Diagram Spinejack Indications The spinejack system offers three implant kit sizes: It is intended to be used. Spinejack ® procedure taking restoration to new heights. The spinejack® expansion kit is indicated for use in the reduction of painful osteoporotic vertebral compression fractures. A prospective, international, randomized, non. The spinejack system allows you to take full control of implant placement and expansion. Spinejack system. Spinejack Indications.
From www.consultadiazatauri.com
SpineJack Tratamiento Mínimamente Invasiva de las fracturas vertebrales. Spinejack Indications The spinejack ® system is indicated for use in the reduction of mobile spinal fractures that may result from osteoporosis, trauma (fractures. Pain doesn't have to be permanent. The spinejack system offers three implant kit sizes: It is intended to be used. Spinejack system instructions for use. Through bipedicular access and a series of cannulated steps, you achieve ideal positioning.. Spinejack Indications.
From www.researchgate.net
SpineJack ® implantation procedure Download Scientific Diagram Spinejack Indications Through bipedicular access and a series of cannulated steps, you achieve ideal positioning. Pain doesn't have to be permanent. Spinejack system instructions for use. Summary of spinejack characteristics and indications for patients’ selection. It is intended to be used. You can get up to 12 months of relief with spinejack. Indications for use the spinejack system is indicated for use. Spinejack Indications.
From www.researchgate.net
Intraoperative radiographs (a) expansion of SpineJack implant; (b)... Download Scientific Diagram Spinejack Indications The spinejack ® system is indicated for use in the reduction of mobile spinal fractures that may result from osteoporosis, trauma (fractures. The spinejack® expansion kit is indicated for use in the reduction of painful osteoporotic vertebral compression fractures. Pain doesn't have to be permanent. Through bipedicular access and a series of cannulated steps, you achieve ideal positioning. The spinejack. Spinejack Indications.
From www.jocn-journal.com
Clinical and safety of the SpineJack vertebral augmentation system for the treatment of Spinejack Indications Spinejack ® procedure taking restoration to new heights. The spinejack system offers three implant kit sizes: The spinejack® expansion kit is indicated for use in the reduction of painful osteoporotic vertebral compression fractures. Through bipedicular access and a series of cannulated steps, you achieve ideal positioning. Summary of spinejack characteristics and indications for patients’ selection. It is intended to be. Spinejack Indications.
From www.cureus.com
Cureus The Use of SpineJack Intravertebral Implant for the Correction of Recurrent Vertebral Spinejack Indications A prospective, international, randomized, non. Each kit contains the appropriate instrumentation for the. The spinejack® expansion kit is indicated for use in the reduction of painful osteoporotic vertebral compression fractures. Spinejack system instructions for use. The spinejack ® system is indicated for use in the reduction of mobile spinal fractures that may result from osteoporosis, trauma (fractures. The spinejack system. Spinejack Indications.
From www.mdpi.com
Diagnostics Free FullText “Double Cross Sign” Could Be an Indicator of an Adequate Amount Spinejack Indications A prospective, international, randomized, non. You can get up to 12 months of relief with spinejack. It is intended to be used. Indications for use the spinejack system is indicated for use in the reduction of mobile spinal fractures that may result from osteoporosis,. Spinejack ® procedure taking restoration to new heights. Summary of spinejack characteristics and indications for patients’. Spinejack Indications.
From vdocuments.mx
SpineJack Introducing the Surgical Controlled Anatomical · The extent of fracture reduction Spinejack Indications Pain doesn't have to be permanent. A prospective, international, randomized, non. The spinejack® expansion kit is indicated for use in the reduction of painful osteoporotic vertebral compression fractures. Spinejack ® procedure taking restoration to new heights. Through bipedicular access and a series of cannulated steps, you achieve ideal positioning. Indications for use the spinejack system is indicated for use in. Spinejack Indications.
From www.semanticscholar.org
[PDF] Spine Jack® System for Percutaneous Stabilization of Osteoporotic Vertebral Compression Spinejack Indications The spinejack system allows you to take full control of implant placement and expansion. Each kit contains the appropriate instrumentation for the. Summary of spinejack characteristics and indications for patients’ selection. The spinejack ® system is indicated for use in the reduction of mobile spinal fractures that may result from osteoporosis, trauma (fractures. You can get up to 12 months. Spinejack Indications.
From www.cureus.com
Cureus Treatment of a Highrisk Thoracolumbar Compression Fracture Using Bilateral Expandable Spinejack Indications Through bipedicular access and a series of cannulated steps, you achieve ideal positioning. The spinejack system allows you to take full control of implant placement and expansion. The spinejack® expansion kit is indicated for use in the reduction of painful osteoporotic vertebral compression fractures. Summary of spinejack characteristics and indications for patients’ selection. It is intended to be used. The. Spinejack Indications.
From www.downtownveinvascular.com
Spine Jack Procedure in Brooklyn, New York Vertebroplasty, Kyphoplasty Spinejack Indications A prospective, international, randomized, non. Spinejack system instructions for use. Summary of spinejack characteristics and indications for patients’ selection. The spinejack ® system is indicated for use in the reduction of mobile spinal fractures that may result from osteoporosis, trauma (fractures. The spinejack system offers three implant kit sizes: Spinejack ® procedure taking restoration to new heights. Each kit contains. Spinejack Indications.
From www.myeloma.org
What is the SpineJack and how can it benefit myeloma patients? Int'l Myeloma Fn Spinejack Indications The spinejack system allows you to take full control of implant placement and expansion. The spinejack® expansion kit is indicated for use in the reduction of painful osteoporotic vertebral compression fractures. Through bipedicular access and a series of cannulated steps, you achieve ideal positioning. The spinejack system offers three implant kit sizes: You can get up to 12 months of. Spinejack Indications.
From providers.strykerivs.com
SpineJack procedure Interventional Spine Spinejack Indications Through bipedicular access and a series of cannulated steps, you achieve ideal positioning. Each kit contains the appropriate instrumentation for the. The spinejack ® system is indicated for use in the reduction of mobile spinal fractures that may result from osteoporosis, trauma (fractures. The spinejack system allows you to take full control of implant placement and expansion. Spinejack system instructions. Spinejack Indications.