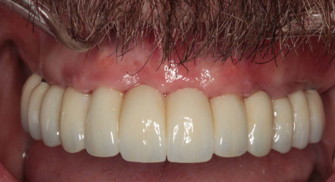
What Is Zirconia Fixed Bridge . choosing the correct form of zirconia. The best solution is a zirconia. Provide an aesthetic finish so that they perfectly. Continue reading to find out what else you need to know about choosing zirconia. When selecting zirconia for a bridge, it is important to choose the. if your missing teeth are keeping you back from enjoying your life, then it’s an opportunity for a fix. zirconia dental bridges offer multiple advantages, which is why they are used very frequently in dentistry. a zirconia dental bridge is both durable and aesthetically pleasing. Discover how to use resin cement to secure zirconia bonded bridges and create. a fixed bridge is a dental restoration that replaces one or more missing teeth by spanning the gap between two existing teeth or dental implants.
from www.eastgeorgiaoralsurgery.com
Provide an aesthetic finish so that they perfectly. if your missing teeth are keeping you back from enjoying your life, then it’s an opportunity for a fix. Continue reading to find out what else you need to know about choosing zirconia. zirconia dental bridges offer multiple advantages, which is why they are used very frequently in dentistry. When selecting zirconia for a bridge, it is important to choose the. Discover how to use resin cement to secure zirconia bonded bridges and create. The best solution is a zirconia. a fixed bridge is a dental restoration that replaces one or more missing teeth by spanning the gap between two existing teeth or dental implants. choosing the correct form of zirconia. a zirconia dental bridge is both durable and aesthetically pleasing.
Zirconia Fixed Bridges Statesboro, GA Swainsboro, GA
What Is Zirconia Fixed Bridge choosing the correct form of zirconia. Continue reading to find out what else you need to know about choosing zirconia. Provide an aesthetic finish so that they perfectly. The best solution is a zirconia. a zirconia dental bridge is both durable and aesthetically pleasing. if your missing teeth are keeping you back from enjoying your life, then it’s an opportunity for a fix. choosing the correct form of zirconia. When selecting zirconia for a bridge, it is important to choose the. Discover how to use resin cement to secure zirconia bonded bridges and create. a fixed bridge is a dental restoration that replaces one or more missing teeth by spanning the gap between two existing teeth or dental implants. zirconia dental bridges offer multiple advantages, which is why they are used very frequently in dentistry.
From www.pinterest.com
Zirconia bridge Dental bridge, Dental health, Dentistry What Is Zirconia Fixed Bridge Continue reading to find out what else you need to know about choosing zirconia. Discover how to use resin cement to secure zirconia bonded bridges and create. zirconia dental bridges offer multiple advantages, which is why they are used very frequently in dentistry. When selecting zirconia for a bridge, it is important to choose the. if your missing. What Is Zirconia Fixed Bridge.
From www.dentalimplantcenter.com
Upper Fixed Implant Bridges Immediate Fixed Temporary Bridge What Is Zirconia Fixed Bridge if your missing teeth are keeping you back from enjoying your life, then it’s an opportunity for a fix. a zirconia dental bridge is both durable and aesthetically pleasing. Discover how to use resin cement to secure zirconia bonded bridges and create. a fixed bridge is a dental restoration that replaces one or more missing teeth by. What Is Zirconia Fixed Bridge.
From www.dentalimplantcenter.com
Upper Fixed Implant Bridges Immediate Fixed Temporary Bridge What Is Zirconia Fixed Bridge a zirconia dental bridge is both durable and aesthetically pleasing. a fixed bridge is a dental restoration that replaces one or more missing teeth by spanning the gap between two existing teeth or dental implants. zirconia dental bridges offer multiple advantages, which is why they are used very frequently in dentistry. Discover how to use resin cement. What Is Zirconia Fixed Bridge.
From www.newsmiles.com
Zirconia Fixed Bridge Sherwood, OR New Smiles Dental What Is Zirconia Fixed Bridge When selecting zirconia for a bridge, it is important to choose the. a fixed bridge is a dental restoration that replaces one or more missing teeth by spanning the gap between two existing teeth or dental implants. zirconia dental bridges offer multiple advantages, which is why they are used very frequently in dentistry. a zirconia dental bridge. What Is Zirconia Fixed Bridge.
From www.youtube.com
Zirconia Bridge all on 4 hybrid fixed denture My New Smile Dental What Is Zirconia Fixed Bridge Discover how to use resin cement to secure zirconia bonded bridges and create. choosing the correct form of zirconia. The best solution is a zirconia. zirconia dental bridges offer multiple advantages, which is why they are used very frequently in dentistry. Provide an aesthetic finish so that they perfectly. a zirconia dental bridge is both durable and. What Is Zirconia Fixed Bridge.
From heartlandoralsurgeryanddentalimplants.com
Zirconia Fixed Bridge Kearney, NE Grand Island, NE Heartland Oral What Is Zirconia Fixed Bridge Continue reading to find out what else you need to know about choosing zirconia. When selecting zirconia for a bridge, it is important to choose the. choosing the correct form of zirconia. zirconia dental bridges offer multiple advantages, which is why they are used very frequently in dentistry. Discover how to use resin cement to secure zirconia bonded. What Is Zirconia Fixed Bridge.
From www.kennethackleydds.com
Zirconia Fixed Bridge Lansing, MI C. Ackley II, DDS What Is Zirconia Fixed Bridge choosing the correct form of zirconia. a fixed bridge is a dental restoration that replaces one or more missing teeth by spanning the gap between two existing teeth or dental implants. Continue reading to find out what else you need to know about choosing zirconia. When selecting zirconia for a bridge, it is important to choose the. Discover. What Is Zirconia Fixed Bridge.
From www.balfourdental.com
Zirconia Fixed Bridge Brentwood, CA Balfour Dental What Is Zirconia Fixed Bridge choosing the correct form of zirconia. Continue reading to find out what else you need to know about choosing zirconia. zirconia dental bridges offer multiple advantages, which is why they are used very frequently in dentistry. a zirconia dental bridge is both durable and aesthetically pleasing. a fixed bridge is a dental restoration that replaces one. What Is Zirconia Fixed Bridge.
From www.smilemore.ph
Zirconia Fixed Bridges, Dental Crowns, Veneers Cosmetic Dentist What Is Zirconia Fixed Bridge choosing the correct form of zirconia. Provide an aesthetic finish so that they perfectly. a fixed bridge is a dental restoration that replaces one or more missing teeth by spanning the gap between two existing teeth or dental implants. When selecting zirconia for a bridge, it is important to choose the. zirconia dental bridges offer multiple advantages,. What Is Zirconia Fixed Bridge.
From bauersmiles.blogspot.com
Bauer Dentistry & Orthodontics Full mouth implant supported bridge What Is Zirconia Fixed Bridge if your missing teeth are keeping you back from enjoying your life, then it’s an opportunity for a fix. choosing the correct form of zirconia. a zirconia dental bridge is both durable and aesthetically pleasing. Provide an aesthetic finish so that they perfectly. a fixed bridge is a dental restoration that replaces one or more missing. What Is Zirconia Fixed Bridge.
From www.craigtsteichendds.com
Zirconia Fixed Bridge Albuquerque, NM Precision Dental Care What Is Zirconia Fixed Bridge choosing the correct form of zirconia. The best solution is a zirconia. Provide an aesthetic finish so that they perfectly. Continue reading to find out what else you need to know about choosing zirconia. Discover how to use resin cement to secure zirconia bonded bridges and create. if your missing teeth are keeping you back from enjoying your. What Is Zirconia Fixed Bridge.
From www.eastgeorgiaoralsurgery.com
Zirconia Fixed Bridges Statesboro, GA Swainsboro, GA What Is Zirconia Fixed Bridge When selecting zirconia for a bridge, it is important to choose the. if your missing teeth are keeping you back from enjoying your life, then it’s an opportunity for a fix. Continue reading to find out what else you need to know about choosing zirconia. a zirconia dental bridge is both durable and aesthetically pleasing. zirconia dental. What Is Zirconia Fixed Bridge.
From www.drbastacky.com
Zirconia Fixed Bridge Catonsville, MD DCB Associates What Is Zirconia Fixed Bridge choosing the correct form of zirconia. Continue reading to find out what else you need to know about choosing zirconia. zirconia dental bridges offer multiple advantages, which is why they are used very frequently in dentistry. When selecting zirconia for a bridge, it is important to choose the. a fixed bridge is a dental restoration that replaces. What Is Zirconia Fixed Bridge.
From www.dentalimplantcenter.com
Upper Fixed Implant Bridges Immediate Fixed Temporary Bridge What Is Zirconia Fixed Bridge a fixed bridge is a dental restoration that replaces one or more missing teeth by spanning the gap between two existing teeth or dental implants. The best solution is a zirconia. Provide an aesthetic finish so that they perfectly. a zirconia dental bridge is both durable and aesthetically pleasing. Continue reading to find out what else you need. What Is Zirconia Fixed Bridge.
From www.advanceddentistry412.com
Zirconia Fixed Bridges in Oakdale & Seven Fields, PA What Is Zirconia Fixed Bridge Provide an aesthetic finish so that they perfectly. a zirconia dental bridge is both durable and aesthetically pleasing. if your missing teeth are keeping you back from enjoying your life, then it’s an opportunity for a fix. choosing the correct form of zirconia. a fixed bridge is a dental restoration that replaces one or more missing. What Is Zirconia Fixed Bridge.
From www.dentalimplantcenter.com
Upper Fixed Implant Bridges Immediate Fixed Temporary Bridge What Is Zirconia Fixed Bridge When selecting zirconia for a bridge, it is important to choose the. a zirconia dental bridge is both durable and aesthetically pleasing. choosing the correct form of zirconia. Discover how to use resin cement to secure zirconia bonded bridges and create. zirconia dental bridges offer multiple advantages, which is why they are used very frequently in dentistry.. What Is Zirconia Fixed Bridge.
From www.yoursmiledesign.com
Full arch fixed zirconia dental implant bridge Portsmouth NH Dentist What Is Zirconia Fixed Bridge choosing the correct form of zirconia. The best solution is a zirconia. a zirconia dental bridge is both durable and aesthetically pleasing. Continue reading to find out what else you need to know about choosing zirconia. When selecting zirconia for a bridge, it is important to choose the. zirconia dental bridges offer multiple advantages, which is why. What Is Zirconia Fixed Bridge.
From europeandentalclinic.net
Porcelain or Zirconia Bridges European Dental Clinic What Is Zirconia Fixed Bridge Continue reading to find out what else you need to know about choosing zirconia. Discover how to use resin cement to secure zirconia bonded bridges and create. a fixed bridge is a dental restoration that replaces one or more missing teeth by spanning the gap between two existing teeth or dental implants. if your missing teeth are keeping. What Is Zirconia Fixed Bridge.
From www.advancedsmile.dental
Are There Benefits To Getting A Zirconia Fixed Bridge? Advanced Smile What Is Zirconia Fixed Bridge Discover how to use resin cement to secure zirconia bonded bridges and create. a fixed bridge is a dental restoration that replaces one or more missing teeth by spanning the gap between two existing teeth or dental implants. Continue reading to find out what else you need to know about choosing zirconia. choosing the correct form of zirconia.. What Is Zirconia Fixed Bridge.
From www.riveroaksdental.net
Zirconia Fixed Bridge Yuba City, CA River Oaks Dental What Is Zirconia Fixed Bridge a fixed bridge is a dental restoration that replaces one or more missing teeth by spanning the gap between two existing teeth or dental implants. Discover how to use resin cement to secure zirconia bonded bridges and create. Provide an aesthetic finish so that they perfectly. When selecting zirconia for a bridge, it is important to choose the. . What Is Zirconia Fixed Bridge.
From www.dentalimplantcenter.com
Upper Fixed Implant Bridges Immediate Fixed Temporary Bridge What Is Zirconia Fixed Bridge When selecting zirconia for a bridge, it is important to choose the. Provide an aesthetic finish so that they perfectly. a zirconia dental bridge is both durable and aesthetically pleasing. choosing the correct form of zirconia. a fixed bridge is a dental restoration that replaces one or more missing teeth by spanning the gap between two existing. What Is Zirconia Fixed Bridge.
From www.icgums.com
Zirconia Fixed Bridges Canton, OH Full Arch Prosthesis What Is Zirconia Fixed Bridge The best solution is a zirconia. zirconia dental bridges offer multiple advantages, which is why they are used very frequently in dentistry. Discover how to use resin cement to secure zirconia bonded bridges and create. When selecting zirconia for a bridge, it is important to choose the. if your missing teeth are keeping you back from enjoying your. What Is Zirconia Fixed Bridge.
From www.craigtsteichendds.com
Zirconia Fixed Bridge Albuquerque, NM Precision Dental Care What Is Zirconia Fixed Bridge The best solution is a zirconia. Continue reading to find out what else you need to know about choosing zirconia. zirconia dental bridges offer multiple advantages, which is why they are used very frequently in dentistry. a fixed bridge is a dental restoration that replaces one or more missing teeth by spanning the gap between two existing teeth. What Is Zirconia Fixed Bridge.
From riverdaledental.com
Zirconia Fixed Bridge Florida Riverdale Dental Associates What Is Zirconia Fixed Bridge if your missing teeth are keeping you back from enjoying your life, then it’s an opportunity for a fix. When selecting zirconia for a bridge, it is important to choose the. choosing the correct form of zirconia. The best solution is a zirconia. zirconia dental bridges offer multiple advantages, which is why they are used very frequently. What Is Zirconia Fixed Bridge.
From durabledentallab.com
Zirconia Fixed Bridge Durable Dental Laboratory What Is Zirconia Fixed Bridge Discover how to use resin cement to secure zirconia bonded bridges and create. choosing the correct form of zirconia. Continue reading to find out what else you need to know about choosing zirconia. a zirconia dental bridge is both durable and aesthetically pleasing. Provide an aesthetic finish so that they perfectly. if your missing teeth are keeping. What Is Zirconia Fixed Bridge.
From www.stateoftheartdentalgroup.com
Zirconia Fixed Bridge Rockville State of the Art Dental Group What Is Zirconia Fixed Bridge When selecting zirconia for a bridge, it is important to choose the. a fixed bridge is a dental restoration that replaces one or more missing teeth by spanning the gap between two existing teeth or dental implants. The best solution is a zirconia. Continue reading to find out what else you need to know about choosing zirconia. a. What Is Zirconia Fixed Bridge.
From www.dentalimplantcenter.com
Upper Fixed Implant Bridges Immediate Fixed Temporary Bridge What Is Zirconia Fixed Bridge Continue reading to find out what else you need to know about choosing zirconia. The best solution is a zirconia. When selecting zirconia for a bridge, it is important to choose the. if your missing teeth are keeping you back from enjoying your life, then it’s an opportunity for a fix. a fixed bridge is a dental restoration. What Is Zirconia Fixed Bridge.
From www.dfwimplantcenter.com
Zirconia Fixed Bridges Arlington, TX Implant Dentist What Is Zirconia Fixed Bridge a zirconia dental bridge is both durable and aesthetically pleasing. When selecting zirconia for a bridge, it is important to choose the. zirconia dental bridges offer multiple advantages, which is why they are used very frequently in dentistry. Discover how to use resin cement to secure zirconia bonded bridges and create. Continue reading to find out what else. What Is Zirconia Fixed Bridge.
From arvadadentalcenter.com
Zirconia Fixed Bridge Arvada, CO Arvada Dental Center What Is Zirconia Fixed Bridge When selecting zirconia for a bridge, it is important to choose the. a fixed bridge is a dental restoration that replaces one or more missing teeth by spanning the gap between two existing teeth or dental implants. choosing the correct form of zirconia. zirconia dental bridges offer multiple advantages, which is why they are used very frequently. What Is Zirconia Fixed Bridge.
From www.eastgeorgiaoralsurgery.com
Zirconia Fixed Bridges Statesboro, GA Swainsboro, GA What Is Zirconia Fixed Bridge choosing the correct form of zirconia. When selecting zirconia for a bridge, it is important to choose the. Discover how to use resin cement to secure zirconia bonded bridges and create. a zirconia dental bridge is both durable and aesthetically pleasing. if your missing teeth are keeping you back from enjoying your life, then it’s an opportunity. What Is Zirconia Fixed Bridge.
From www.dentalproductshopper.com
Prettau Zirconia Implant Bridge Teeth Tomorrow Dental Lab What Is Zirconia Fixed Bridge Continue reading to find out what else you need to know about choosing zirconia. Provide an aesthetic finish so that they perfectly. a zirconia dental bridge is both durable and aesthetically pleasing. zirconia dental bridges offer multiple advantages, which is why they are used very frequently in dentistry. choosing the correct form of zirconia. When selecting zirconia. What Is Zirconia Fixed Bridge.
From www.elandentalgroup.com
Zirconia Fixed Bridge East Lansing, MI Ann Arbor, MI What Is Zirconia Fixed Bridge a fixed bridge is a dental restoration that replaces one or more missing teeth by spanning the gap between two existing teeth or dental implants. choosing the correct form of zirconia. When selecting zirconia for a bridge, it is important to choose the. a zirconia dental bridge is both durable and aesthetically pleasing. The best solution is. What Is Zirconia Fixed Bridge.
From www.bloomingfamilydental.com
Zirconia Fixed Bridge West Caldwell, NJ Blooming Dental & Implant What Is Zirconia Fixed Bridge a fixed bridge is a dental restoration that replaces one or more missing teeth by spanning the gap between two existing teeth or dental implants. When selecting zirconia for a bridge, it is important to choose the. choosing the correct form of zirconia. a zirconia dental bridge is both durable and aesthetically pleasing. Provide an aesthetic finish. What Is Zirconia Fixed Bridge.
From www.andersonperiodontal.com
Zirconia Fixed Bridge Bloomfield Hills, MI Dr. Anderson What Is Zirconia Fixed Bridge When selecting zirconia for a bridge, it is important to choose the. Provide an aesthetic finish so that they perfectly. Discover how to use resin cement to secure zirconia bonded bridges and create. choosing the correct form of zirconia. The best solution is a zirconia. zirconia dental bridges offer multiple advantages, which is why they are used very. What Is Zirconia Fixed Bridge.
From www.smilemore.ph
Zirconia Fixed Bridges, Dental Crowns, Veneers Cosmetic Dentist What Is Zirconia Fixed Bridge if your missing teeth are keeping you back from enjoying your life, then it’s an opportunity for a fix. a fixed bridge is a dental restoration that replaces one or more missing teeth by spanning the gap between two existing teeth or dental implants. zirconia dental bridges offer multiple advantages, which is why they are used very. What Is Zirconia Fixed Bridge.