What Is A Buckle Fracture In Thumb . A buckle fracture is an incomplete fracture where one side of the bone buckles or bends on itself; Fractures of the thumb are usually associated with local bruising, swelling, pain and loss of function, with or without deformity. The thumb plays a major role in the critical functions of the hand. Falling on their outstretched hand is a common way that kids get buckle fractures. By definition, a buckle fracture is a stable fracture and stable fractures are less painful than unstable fractures. The thumb is needed for grasping, pushing, and pulling. One side of the bone buckles. What is a buckle fracture? Rotational deformity can be assessed by. A thumb fracture is a break in one of the two small bones (phalanges) that make up the thumb. It does not affect the other side of the bone. A buckle fracture is a break that does not go completely through the bone. If the fracture is serious enough, you. This type of fracture can occur throughout childhood but is most common between the ages of 7 and 12 years old.
from my.clevelandclinic.org
This type of fracture can occur throughout childhood but is most common between the ages of 7 and 12 years old. The thumb plays a major role in the critical functions of the hand. It does not affect the other side of the bone. Fractures of the thumb are usually associated with local bruising, swelling, pain and loss of function, with or without deformity. Rotational deformity can be assessed by. A buckle fracture is an incomplete fracture where one side of the bone buckles or bends on itself; Falling on their outstretched hand is a common way that kids get buckle fractures. A buckle fracture is a break that does not go completely through the bone. If the fracture is serious enough, you. The thumb is needed for grasping, pushing, and pulling.
Buckle Fracture Symptoms, Causes & Treatment
What Is A Buckle Fracture In Thumb What is a buckle fracture? Fractures of the thumb are usually associated with local bruising, swelling, pain and loss of function, with or without deformity. Falling on their outstretched hand is a common way that kids get buckle fractures. A buckle fracture is a break that does not go completely through the bone. It does not affect the other side of the bone. A buckle fracture is an incomplete fracture where one side of the bone buckles or bends on itself; Rotational deformity can be assessed by. What is a buckle fracture? One side of the bone buckles. By definition, a buckle fracture is a stable fracture and stable fractures are less painful than unstable fractures. If the fracture is serious enough, you. A thumb fracture is a break in one of the two small bones (phalanges) that make up the thumb. This type of fracture can occur throughout childhood but is most common between the ages of 7 and 12 years old. The thumb plays a major role in the critical functions of the hand. The thumb is needed for grasping, pushing, and pulling.
From www.clinicalguidelines.scot.nhs.uk
Buckle fracture What Is A Buckle Fracture In Thumb One side of the bone buckles. Rotational deformity can be assessed by. By definition, a buckle fracture is a stable fracture and stable fractures are less painful than unstable fractures. It does not affect the other side of the bone. Falling on their outstretched hand is a common way that kids get buckle fractures. A buckle fracture is a break. What Is A Buckle Fracture In Thumb.
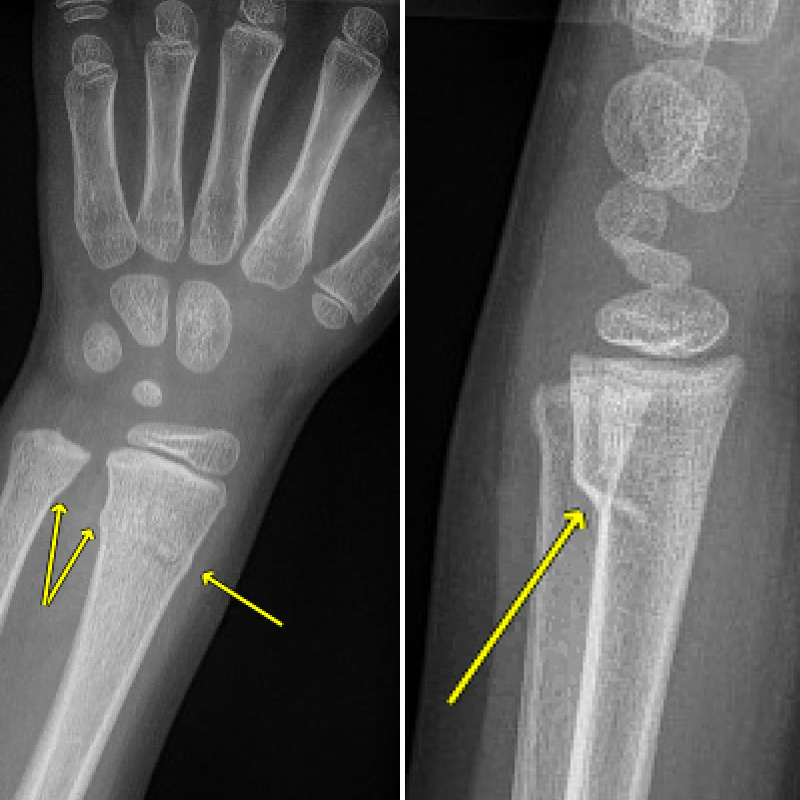
From fyoxiczpa.blob.core.windows.net
What Is A Buckle Fracture Of The Tibia at Florence Vaughan blog What Is A Buckle Fracture In Thumb It does not affect the other side of the bone. What is a buckle fracture? Fractures of the thumb are usually associated with local bruising, swelling, pain and loss of function, with or without deformity. Rotational deformity can be assessed by. The thumb is needed for grasping, pushing, and pulling. If the fracture is serious enough, you. A buckle fracture. What Is A Buckle Fracture In Thumb.
From www.siiora.com
Buckle Fractures in Children A Detailed Guide What Is A Buckle Fracture In Thumb This type of fracture can occur throughout childhood but is most common between the ages of 7 and 12 years old. A buckle fracture is a break that does not go completely through the bone. A buckle fracture is an incomplete fracture where one side of the bone buckles or bends on itself; By definition, a buckle fracture is a. What Is A Buckle Fracture In Thumb.
From library.sheffieldchildrens.nhs.uk
Buckle fracture of the wrist Resource Library Sheffield Children's What Is A Buckle Fracture In Thumb By definition, a buckle fracture is a stable fracture and stable fractures are less painful than unstable fractures. A buckle fracture is an incomplete fracture where one side of the bone buckles or bends on itself; A thumb fracture is a break in one of the two small bones (phalanges) that make up the thumb. If the fracture is serious. What Is A Buckle Fracture In Thumb.
From www.clinicalguidelines.scot.nhs.uk
Buckle fracture What Is A Buckle Fracture In Thumb It does not affect the other side of the bone. What is a buckle fracture? This type of fracture can occur throughout childhood but is most common between the ages of 7 and 12 years old. Rotational deformity can be assessed by. The thumb plays a major role in the critical functions of the hand. Fractures of the thumb are. What Is A Buckle Fracture In Thumb.
From www.pinterest.ca
Pin on imagen What Is A Buckle Fracture In Thumb It does not affect the other side of the bone. This type of fracture can occur throughout childhood but is most common between the ages of 7 and 12 years old. A buckle fracture is an incomplete fracture where one side of the bone buckles or bends on itself; The thumb plays a major role in the critical functions of. What Is A Buckle Fracture In Thumb.
From orthoticsplus.com.au
Max's Recovery After a Distal Radius Fracture Orthotics Plus Melbourne What Is A Buckle Fracture In Thumb What is a buckle fracture? One side of the bone buckles. A buckle fracture is an incomplete fracture where one side of the bone buckles or bends on itself; A thumb fracture is a break in one of the two small bones (phalanges) that make up the thumb. The thumb is needed for grasping, pushing, and pulling. This type of. What Is A Buckle Fracture In Thumb.
From howshealth.com
Buckle Fracture Current Health Advice, Health Blog Articles and Tips What Is A Buckle Fracture In Thumb Falling on their outstretched hand is a common way that kids get buckle fractures. By definition, a buckle fracture is a stable fracture and stable fractures are less painful than unstable fractures. The thumb plays a major role in the critical functions of the hand. If the fracture is serious enough, you. A buckle fracture is an incomplete fracture where. What Is A Buckle Fracture In Thumb.
From healthjade.net
Buckle fracture causes, symptoms, diagnosis & treatment What Is A Buckle Fracture In Thumb A buckle fracture is an incomplete fracture where one side of the bone buckles or bends on itself; If the fracture is serious enough, you. A buckle fracture is a break that does not go completely through the bone. Rotational deformity can be assessed by. It does not affect the other side of the bone. Fractures of the thumb are. What Is A Buckle Fracture In Thumb.
From www.vrogue.co
What Is A Buckle Fracture Fracture Treatment vrogue.co What Is A Buckle Fracture In Thumb Falling on their outstretched hand is a common way that kids get buckle fractures. The thumb plays a major role in the critical functions of the hand. A thumb fracture is a break in one of the two small bones (phalanges) that make up the thumb. By definition, a buckle fracture is a stable fracture and stable fractures are less. What Is A Buckle Fracture In Thumb.
From orthoinfo.org
Thumb Fractures OrthoInfo AAOS What Is A Buckle Fracture In Thumb A buckle fracture is a break that does not go completely through the bone. One side of the bone buckles. Fractures of the thumb are usually associated with local bruising, swelling, pain and loss of function, with or without deformity. The thumb is needed for grasping, pushing, and pulling. The thumb plays a major role in the critical functions of. What Is A Buckle Fracture In Thumb.
From www.reddit.com
Is there a fracture at the tip of my daughters thumb? She’s 9 y/o. r What Is A Buckle Fracture In Thumb It does not affect the other side of the bone. Fractures of the thumb are usually associated with local bruising, swelling, pain and loss of function, with or without deformity. A buckle fracture is an incomplete fracture where one side of the bone buckles or bends on itself; A thumb fracture is a break in one of the two small. What Is A Buckle Fracture In Thumb.
From www.handsurgeryresource.org
THUMB PROXIMAL PHALANX FRACTURE Hand Surgery Resource What Is A Buckle Fracture In Thumb The thumb plays a major role in the critical functions of the hand. This type of fracture can occur throughout childhood but is most common between the ages of 7 and 12 years old. The thumb is needed for grasping, pushing, and pulling. A thumb fracture is a break in one of the two small bones (phalanges) that make up. What Is A Buckle Fracture In Thumb.
From www.schreibermd.com
Hand Fracture Raleigh Hand Surgery — Joseph J. Schreiber, MD What Is A Buckle Fracture In Thumb What is a buckle fracture? A thumb fracture is a break in one of the two small bones (phalanges) that make up the thumb. A buckle fracture is a break that does not go completely through the bone. If the fracture is serious enough, you. This type of fracture can occur throughout childhood but is most common between the ages. What Is A Buckle Fracture In Thumb.
From buyxraysonline.com
FRACTURE THUMB What Is A Buckle Fracture In Thumb A thumb fracture is a break in one of the two small bones (phalanges) that make up the thumb. Fractures of the thumb are usually associated with local bruising, swelling, pain and loss of function, with or without deformity. What is a buckle fracture? The thumb is needed for grasping, pushing, and pulling. It does not affect the other side. What Is A Buckle Fracture In Thumb.
From www.schreibermd.com
Hand Fracture Raleigh Hand Surgery — Joseph J. Schreiber, MD What Is A Buckle Fracture In Thumb This type of fracture can occur throughout childhood but is most common between the ages of 7 and 12 years old. A buckle fracture is a break that does not go completely through the bone. What is a buckle fracture? A buckle fracture is an incomplete fracture where one side of the bone buckles or bends on itself; One side. What Is A Buckle Fracture In Thumb.
From www.theinjurysource.com
All Thumbs in NFL Camp Week 1 What Is A Buckle Fracture In Thumb Rotational deformity can be assessed by. One side of the bone buckles. The thumb is needed for grasping, pushing, and pulling. By definition, a buckle fracture is a stable fracture and stable fractures are less painful than unstable fractures. Falling on their outstretched hand is a common way that kids get buckle fractures. A buckle fracture is a break that. What Is A Buckle Fracture In Thumb.
From hxekdbxil.blob.core.windows.net
What Is A Buckle Fracture In The Finger at Ray Lara blog What Is A Buckle Fracture In Thumb This type of fracture can occur throughout childhood but is most common between the ages of 7 and 12 years old. Fractures of the thumb are usually associated with local bruising, swelling, pain and loss of function, with or without deformity. The thumb is needed for grasping, pushing, and pulling. The thumb plays a major role in the critical functions. What Is A Buckle Fracture In Thumb.
From orthoinfo.aaos.org
Finger Fractures OrthoInfo AAOS What Is A Buckle Fracture In Thumb A thumb fracture is a break in one of the two small bones (phalanges) that make up the thumb. Falling on their outstretched hand is a common way that kids get buckle fractures. If the fracture is serious enough, you. It does not affect the other side of the bone. One side of the bone buckles. This type of fracture. What Is A Buckle Fracture In Thumb.
From healthjade.net
Metacarpal fracture causes, symptoms, diagnosis & treatment What Is A Buckle Fracture In Thumb The thumb plays a major role in the critical functions of the hand. By definition, a buckle fracture is a stable fracture and stable fractures are less painful than unstable fractures. A buckle fracture is an incomplete fracture where one side of the bone buckles or bends on itself; Rotational deformity can be assessed by. The thumb is needed for. What Is A Buckle Fracture In Thumb.
From litfl.com
fracture • LITFL • Medical Eponym Library What Is A Buckle Fracture In Thumb The thumb is needed for grasping, pushing, and pulling. Falling on their outstretched hand is a common way that kids get buckle fractures. This type of fracture can occur throughout childhood but is most common between the ages of 7 and 12 years old. If the fracture is serious enough, you. By definition, a buckle fracture is a stable fracture. What Is A Buckle Fracture In Thumb.
From www.novaplasticsurgery.com
Hand Fractures Treatment and Surgery Specialists in Northern VA What Is A Buckle Fracture In Thumb It does not affect the other side of the bone. Falling on their outstretched hand is a common way that kids get buckle fractures. What is a buckle fracture? A buckle fracture is a break that does not go completely through the bone. The thumb plays a major role in the critical functions of the hand. The thumb is needed. What Is A Buckle Fracture In Thumb.
From www.alamy.com
xray of the forearm of an infant showing a greenstick (buckle What Is A Buckle Fracture In Thumb Fractures of the thumb are usually associated with local bruising, swelling, pain and loss of function, with or without deformity. The thumb plays a major role in the critical functions of the hand. What is a buckle fracture? A buckle fracture is a break that does not go completely through the bone. By definition, a buckle fracture is a stable. What Is A Buckle Fracture In Thumb.
From healthjade.net
Buckle fracture causes, symptoms, diagnosis & treatment What Is A Buckle Fracture In Thumb The thumb plays a major role in the critical functions of the hand. It does not affect the other side of the bone. The thumb is needed for grasping, pushing, and pulling. This type of fracture can occur throughout childhood but is most common between the ages of 7 and 12 years old. A buckle fracture is a break that. What Is A Buckle Fracture In Thumb.
From www.schreibermd.com
Buckle Fracture Raleigh Hand Surgery — Joseph J. Schreiber, MD What Is A Buckle Fracture In Thumb One side of the bone buckles. A buckle fracture is an incomplete fracture where one side of the bone buckles or bends on itself; The thumb is needed for grasping, pushing, and pulling. A thumb fracture is a break in one of the two small bones (phalanges) that make up the thumb. Fractures of the thumb are usually associated with. What Is A Buckle Fracture In Thumb.
From www.oncallradiology.com
On Call Radiology common radiology findings on call and in the What Is A Buckle Fracture In Thumb It does not affect the other side of the bone. A thumb fracture is a break in one of the two small bones (phalanges) that make up the thumb. Falling on their outstretched hand is a common way that kids get buckle fractures. The thumb plays a major role in the critical functions of the hand. A buckle fracture is. What Is A Buckle Fracture In Thumb.
From my.clevelandclinic.org
Buckle Fracture Symptoms, Causes & Treatment What Is A Buckle Fracture In Thumb A buckle fracture is an incomplete fracture where one side of the bone buckles or bends on itself; The thumb plays a major role in the critical functions of the hand. What is a buckle fracture? This type of fracture can occur throughout childhood but is most common between the ages of 7 and 12 years old. A thumb fracture. What Is A Buckle Fracture In Thumb.
From www.researchgate.net
Examples of fractures from each category. A Buckle fracture B What Is A Buckle Fracture In Thumb The thumb is needed for grasping, pushing, and pulling. It does not affect the other side of the bone. Rotational deformity can be assessed by. Falling on their outstretched hand is a common way that kids get buckle fractures. What is a buckle fracture? If the fracture is serious enough, you. A buckle fracture is an incomplete fracture where one. What Is A Buckle Fracture In Thumb.
From www.schreibermd.com
Hand Fracture Raleigh Hand Surgery — Joseph J. Schreiber, MD What Is A Buckle Fracture In Thumb By definition, a buckle fracture is a stable fracture and stable fractures are less painful than unstable fractures. Falling on their outstretched hand is a common way that kids get buckle fractures. It does not affect the other side of the bone. The thumb plays a major role in the critical functions of the hand. A buckle fracture is an. What Is A Buckle Fracture In Thumb.
From pacs.de
buckle fracture pacs What Is A Buckle Fracture In Thumb If the fracture is serious enough, you. It does not affect the other side of the bone. A thumb fracture is a break in one of the two small bones (phalanges) that make up the thumb. The thumb is needed for grasping, pushing, and pulling. Rotational deformity can be assessed by. Falling on their outstretched hand is a common way. What Is A Buckle Fracture In Thumb.
From orthoticsplus.com.au
Buckle Fracture Casting Orthotics Plus Melbourne What Is A Buckle Fracture In Thumb A buckle fracture is a break that does not go completely through the bone. What is a buckle fracture? Falling on their outstretched hand is a common way that kids get buckle fractures. This type of fracture can occur throughout childhood but is most common between the ages of 7 and 12 years old. A thumb fracture is a break. What Is A Buckle Fracture In Thumb.
From www.lecturio.com
Buckle or Torus Fracture Concise Medical Knowledge What Is A Buckle Fracture In Thumb A buckle fracture is an incomplete fracture where one side of the bone buckles or bends on itself; This type of fracture can occur throughout childhood but is most common between the ages of 7 and 12 years old. It does not affect the other side of the bone. If the fracture is serious enough, you. The thumb plays a. What Is A Buckle Fracture In Thumb.
From radiologykey.com
Pfunny pfingers Phalanx fractures (dislocations, etc.) Radiology Key What Is A Buckle Fracture In Thumb The thumb plays a major role in the critical functions of the hand. Fractures of the thumb are usually associated with local bruising, swelling, pain and loss of function, with or without deformity. Rotational deformity can be assessed by. A buckle fracture is a break that does not go completely through the bone. It does not affect the other side. What Is A Buckle Fracture In Thumb.
From www.svuhradiology.ie
Buckle fracture Radiology at St. Vincent's University Hospital What Is A Buckle Fracture In Thumb The thumb plays a major role in the critical functions of the hand. It does not affect the other side of the bone. Falling on their outstretched hand is a common way that kids get buckle fractures. What is a buckle fracture? A buckle fracture is an incomplete fracture where one side of the bone buckles or bends on itself;. What Is A Buckle Fracture In Thumb.
From www.cureus.com
Cureus A Review of Pediatric Distal Radius Buckle Fractures and the What Is A Buckle Fracture In Thumb Rotational deformity can be assessed by. A thumb fracture is a break in one of the two small bones (phalanges) that make up the thumb. If the fracture is serious enough, you. By definition, a buckle fracture is a stable fracture and stable fractures are less painful than unstable fractures. Fractures of the thumb are usually associated with local bruising,. What Is A Buckle Fracture In Thumb.