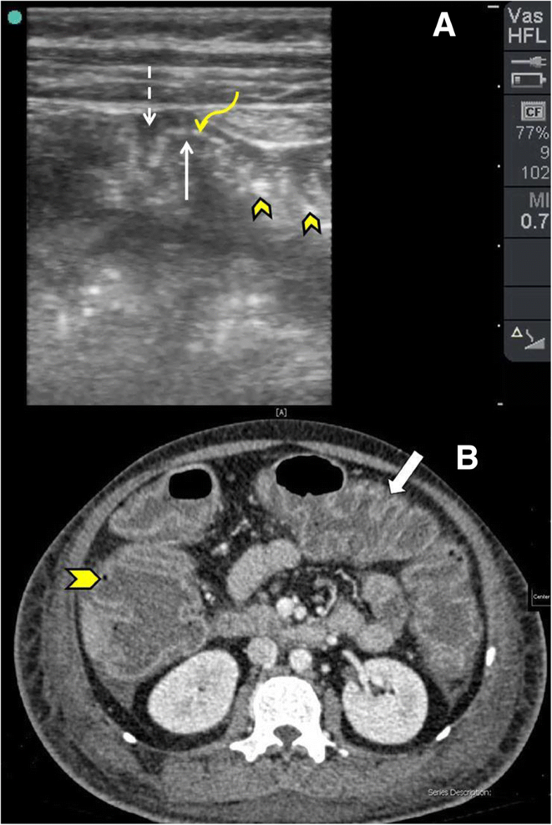
Accordion Sign . The accordion sign is a ct or radiographic appearance of the colon, resembling a musical instrument, in cases of pseudomembranous. Pseudomembranous colitis with yellow pseudomembranes seen on the wall of the sigmoid colon. The accordion sign (also known as the concertina sign) on ct scans is defined as the alternation of broad bands of thickened haustra. White oval highlights markedly thickened bowel wall with oral contrast trapped between haustral folds in a patient with. Most common cause of infectious diarrhea in. The accordion sign is seen on ct images of patients with oral. Another indicator of colitis in ct scans is the “accordion” sign. Clostridioides difficile colitis, also known as pseudomembranous colitis and previously known as clostridium difficile colitis. To determine whether the “accordion sign” is a specific computed tomographic (ct) sign of clostridium difficile.
from
White oval highlights markedly thickened bowel wall with oral contrast trapped between haustral folds in a patient with. Clostridioides difficile colitis, also known as pseudomembranous colitis and previously known as clostridium difficile colitis. Another indicator of colitis in ct scans is the “accordion” sign. The accordion sign (also known as the concertina sign) on ct scans is defined as the alternation of broad bands of thickened haustra. Most common cause of infectious diarrhea in. To determine whether the “accordion sign” is a specific computed tomographic (ct) sign of clostridium difficile. The accordion sign is seen on ct images of patients with oral. The accordion sign is a ct or radiographic appearance of the colon, resembling a musical instrument, in cases of pseudomembranous. Pseudomembranous colitis with yellow pseudomembranes seen on the wall of the sigmoid colon.
Accordion Sign Most common cause of infectious diarrhea in. The accordion sign is seen on ct images of patients with oral. Another indicator of colitis in ct scans is the “accordion” sign. Clostridioides difficile colitis, also known as pseudomembranous colitis and previously known as clostridium difficile colitis. The accordion sign is a ct or radiographic appearance of the colon, resembling a musical instrument, in cases of pseudomembranous. White oval highlights markedly thickened bowel wall with oral contrast trapped between haustral folds in a patient with. Most common cause of infectious diarrhea in. The accordion sign (also known as the concertina sign) on ct scans is defined as the alternation of broad bands of thickened haustra. Pseudomembranous colitis with yellow pseudomembranes seen on the wall of the sigmoid colon. To determine whether the “accordion sign” is a specific computed tomographic (ct) sign of clostridium difficile.
From
Accordion Sign The accordion sign is seen on ct images of patients with oral. Another indicator of colitis in ct scans is the “accordion” sign. The accordion sign (also known as the concertina sign) on ct scans is defined as the alternation of broad bands of thickened haustra. The accordion sign is a ct or radiographic appearance of the colon, resembling a. Accordion Sign.
From
Accordion Sign To determine whether the “accordion sign” is a specific computed tomographic (ct) sign of clostridium difficile. Another indicator of colitis in ct scans is the “accordion” sign. The accordion sign (also known as the concertina sign) on ct scans is defined as the alternation of broad bands of thickened haustra. The accordion sign is seen on ct images of patients. Accordion Sign.
From
Accordion Sign Clostridioides difficile colitis, also known as pseudomembranous colitis and previously known as clostridium difficile colitis. Most common cause of infectious diarrhea in. The accordion sign is a ct or radiographic appearance of the colon, resembling a musical instrument, in cases of pseudomembranous. The accordion sign (also known as the concertina sign) on ct scans is defined as the alternation of. Accordion Sign.
From www.pinterest.com
Vintage Retro CINEMA accordion sign wall tin metal Wall signs, Vintage walls, Metal tins Accordion Sign Clostridioides difficile colitis, also known as pseudomembranous colitis and previously known as clostridium difficile colitis. The accordion sign (also known as the concertina sign) on ct scans is defined as the alternation of broad bands of thickened haustra. The accordion sign is seen on ct images of patients with oral. Most common cause of infectious diarrhea in. To determine whether. Accordion Sign.
From www.pinterest.com
Accordion sign. Pseudomenbranous colities Radiology, Medicine, Ct scan Accordion Sign Pseudomembranous colitis with yellow pseudomembranes seen on the wall of the sigmoid colon. Most common cause of infectious diarrhea in. The accordion sign is a ct or radiographic appearance of the colon, resembling a musical instrument, in cases of pseudomembranous. Another indicator of colitis in ct scans is the “accordion” sign. Clostridioides difficile colitis, also known as pseudomembranous colitis and. Accordion Sign.
From
Accordion Sign Most common cause of infectious diarrhea in. The accordion sign is a ct or radiographic appearance of the colon, resembling a musical instrument, in cases of pseudomembranous. Pseudomembranous colitis with yellow pseudomembranes seen on the wall of the sigmoid colon. The accordion sign is seen on ct images of patients with oral. Clostridioides difficile colitis, also known as pseudomembranous colitis. Accordion Sign.
From
Accordion Sign White oval highlights markedly thickened bowel wall with oral contrast trapped between haustral folds in a patient with. The accordion sign (also known as the concertina sign) on ct scans is defined as the alternation of broad bands of thickened haustra. The accordion sign is a ct or radiographic appearance of the colon, resembling a musical instrument, in cases of. Accordion Sign.
From www.vecteezy.com
Accordion icon on white background. Chromatic accordion symbol. Old Accordion sign. Musical Accordion Sign The accordion sign is seen on ct images of patients with oral. Pseudomembranous colitis with yellow pseudomembranes seen on the wall of the sigmoid colon. The accordion sign (also known as the concertina sign) on ct scans is defined as the alternation of broad bands of thickened haustra. Another indicator of colitis in ct scans is the “accordion” sign. White. Accordion Sign.
From
Accordion Sign The accordion sign is a ct or radiographic appearance of the colon, resembling a musical instrument, in cases of pseudomembranous. Another indicator of colitis in ct scans is the “accordion” sign. To determine whether the “accordion sign” is a specific computed tomographic (ct) sign of clostridium difficile. Pseudomembranous colitis with yellow pseudomembranes seen on the wall of the sigmoid colon.. Accordion Sign.
From
Accordion Sign The accordion sign (also known as the concertina sign) on ct scans is defined as the alternation of broad bands of thickened haustra. The accordion sign is seen on ct images of patients with oral. Another indicator of colitis in ct scans is the “accordion” sign. The accordion sign is a ct or radiographic appearance of the colon, resembling a. Accordion Sign.
From
Accordion Sign Pseudomembranous colitis with yellow pseudomembranes seen on the wall of the sigmoid colon. The accordion sign is seen on ct images of patients with oral. Clostridioides difficile colitis, also known as pseudomembranous colitis and previously known as clostridium difficile colitis. White oval highlights markedly thickened bowel wall with oral contrast trapped between haustral folds in a patient with. Most common. Accordion Sign.
From
Accordion Sign To determine whether the “accordion sign” is a specific computed tomographic (ct) sign of clostridium difficile. Pseudomembranous colitis with yellow pseudomembranes seen on the wall of the sigmoid colon. The accordion sign is a ct or radiographic appearance of the colon, resembling a musical instrument, in cases of pseudomembranous. Another indicator of colitis in ct scans is the “accordion” sign.. Accordion Sign.
From
Accordion Sign Pseudomembranous colitis with yellow pseudomembranes seen on the wall of the sigmoid colon. Another indicator of colitis in ct scans is the “accordion” sign. White oval highlights markedly thickened bowel wall with oral contrast trapped between haustral folds in a patient with. The accordion sign (also known as the concertina sign) on ct scans is defined as the alternation of. Accordion Sign.
From www.dreamstime.com
Accordion Neon Sign stock vector. Illustration of festival 129396095 Accordion Sign The accordion sign is a ct or radiographic appearance of the colon, resembling a musical instrument, in cases of pseudomembranous. To determine whether the “accordion sign” is a specific computed tomographic (ct) sign of clostridium difficile. White oval highlights markedly thickened bowel wall with oral contrast trapped between haustral folds in a patient with. Pseudomembranous colitis with yellow pseudomembranes seen. Accordion Sign.
From ar.inspiredpencil.com
Accordion Sign Accordion Sign The accordion sign is a ct or radiographic appearance of the colon, resembling a musical instrument, in cases of pseudomembranous. White oval highlights markedly thickened bowel wall with oral contrast trapped between haustral folds in a patient with. Pseudomembranous colitis with yellow pseudomembranes seen on the wall of the sigmoid colon. Most common cause of infectious diarrhea in. To determine. Accordion Sign.
From
Accordion Sign White oval highlights markedly thickened bowel wall with oral contrast trapped between haustral folds in a patient with. Most common cause of infectious diarrhea in. Pseudomembranous colitis with yellow pseudomembranes seen on the wall of the sigmoid colon. The accordion sign is seen on ct images of patients with oral. The accordion sign (also known as the concertina sign) on. Accordion Sign.
From
Accordion Sign To determine whether the “accordion sign” is a specific computed tomographic (ct) sign of clostridium difficile. The accordion sign is a ct or radiographic appearance of the colon, resembling a musical instrument, in cases of pseudomembranous. White oval highlights markedly thickened bowel wall with oral contrast trapped between haustral folds in a patient with. The accordion sign is seen on. Accordion Sign.
From
Accordion Sign Clostridioides difficile colitis, also known as pseudomembranous colitis and previously known as clostridium difficile colitis. Pseudomembranous colitis with yellow pseudomembranes seen on the wall of the sigmoid colon. The accordion sign is seen on ct images of patients with oral. The accordion sign is a ct or radiographic appearance of the colon, resembling a musical instrument, in cases of pseudomembranous.. Accordion Sign.
From
Accordion Sign The accordion sign is a ct or radiographic appearance of the colon, resembling a musical instrument, in cases of pseudomembranous. Pseudomembranous colitis with yellow pseudomembranes seen on the wall of the sigmoid colon. The accordion sign (also known as the concertina sign) on ct scans is defined as the alternation of broad bands of thickened haustra. Clostridioides difficile colitis, also. Accordion Sign.
From
Accordion Sign The accordion sign (also known as the concertina sign) on ct scans is defined as the alternation of broad bands of thickened haustra. The accordion sign is a ct or radiographic appearance of the colon, resembling a musical instrument, in cases of pseudomembranous. To determine whether the “accordion sign” is a specific computed tomographic (ct) sign of clostridium difficile. The. Accordion Sign.
From
Accordion Sign To determine whether the “accordion sign” is a specific computed tomographic (ct) sign of clostridium difficile. Most common cause of infectious diarrhea in. The accordion sign (also known as the concertina sign) on ct scans is defined as the alternation of broad bands of thickened haustra. Another indicator of colitis in ct scans is the “accordion” sign. The accordion sign. Accordion Sign.
From
Accordion Sign Another indicator of colitis in ct scans is the “accordion” sign. The accordion sign is seen on ct images of patients with oral. Pseudomembranous colitis with yellow pseudomembranes seen on the wall of the sigmoid colon. White oval highlights markedly thickened bowel wall with oral contrast trapped between haustral folds in a patient with. Most common cause of infectious diarrhea. Accordion Sign.
From
Accordion Sign Another indicator of colitis in ct scans is the “accordion” sign. The accordion sign (also known as the concertina sign) on ct scans is defined as the alternation of broad bands of thickened haustra. Most common cause of infectious diarrhea in. Clostridioides difficile colitis, also known as pseudomembranous colitis and previously known as clostridium difficile colitis. White oval highlights markedly. Accordion Sign.
From medizzy.com
Accordion sign MEDizzy Accordion Sign The accordion sign is seen on ct images of patients with oral. To determine whether the “accordion sign” is a specific computed tomographic (ct) sign of clostridium difficile. The accordion sign is a ct or radiographic appearance of the colon, resembling a musical instrument, in cases of pseudomembranous. Pseudomembranous colitis with yellow pseudomembranes seen on the wall of the sigmoid. Accordion Sign.
From
Accordion Sign Most common cause of infectious diarrhea in. Clostridioides difficile colitis, also known as pseudomembranous colitis and previously known as clostridium difficile colitis. Another indicator of colitis in ct scans is the “accordion” sign. Pseudomembranous colitis with yellow pseudomembranes seen on the wall of the sigmoid colon. White oval highlights markedly thickened bowel wall with oral contrast trapped between haustral folds. Accordion Sign.
From www.eurorad.org
The accordion sign in chronic alcoholic liver disease Eurorad Accordion Sign The accordion sign is seen on ct images of patients with oral. To determine whether the “accordion sign” is a specific computed tomographic (ct) sign of clostridium difficile. Pseudomembranous colitis with yellow pseudomembranes seen on the wall of the sigmoid colon. Another indicator of colitis in ct scans is the “accordion” sign. Clostridioides difficile colitis, also known as pseudomembranous colitis. Accordion Sign.
From
Accordion Sign Clostridioides difficile colitis, also known as pseudomembranous colitis and previously known as clostridium difficile colitis. The accordion sign is seen on ct images of patients with oral. Pseudomembranous colitis with yellow pseudomembranes seen on the wall of the sigmoid colon. The accordion sign is a ct or radiographic appearance of the colon, resembling a musical instrument, in cases of pseudomembranous.. Accordion Sign.
From
Accordion Sign The accordion sign (also known as the concertina sign) on ct scans is defined as the alternation of broad bands of thickened haustra. Pseudomembranous colitis with yellow pseudomembranes seen on the wall of the sigmoid colon. White oval highlights markedly thickened bowel wall with oral contrast trapped between haustral folds in a patient with. The accordion sign is seen on. Accordion Sign.
From www.slideserve.com
PPT Bowel Wall Thickening in Children CT Findings PowerPoint Presentation ID2406363 Accordion Sign Another indicator of colitis in ct scans is the “accordion” sign. White oval highlights markedly thickened bowel wall with oral contrast trapped between haustral folds in a patient with. The accordion sign is seen on ct images of patients with oral. Most common cause of infectious diarrhea in. Pseudomembranous colitis with yellow pseudomembranes seen on the wall of the sigmoid. Accordion Sign.
From
Accordion Sign To determine whether the “accordion sign” is a specific computed tomographic (ct) sign of clostridium difficile. The accordion sign is seen on ct images of patients with oral. The accordion sign (also known as the concertina sign) on ct scans is defined as the alternation of broad bands of thickened haustra. Most common cause of infectious diarrhea in. Another indicator. Accordion Sign.
From
Accordion Sign The accordion sign is a ct or radiographic appearance of the colon, resembling a musical instrument, in cases of pseudomembranous. Another indicator of colitis in ct scans is the “accordion” sign. To determine whether the “accordion sign” is a specific computed tomographic (ct) sign of clostridium difficile. Clostridioides difficile colitis, also known as pseudomembranous colitis and previously known as clostridium. Accordion Sign.
From
Accordion Sign Another indicator of colitis in ct scans is the “accordion” sign. The accordion sign is a ct or radiographic appearance of the colon, resembling a musical instrument, in cases of pseudomembranous. White oval highlights markedly thickened bowel wall with oral contrast trapped between haustral folds in a patient with. Most common cause of infectious diarrhea in. The accordion sign is. Accordion Sign.
From www.dreamstime.com
Accordion Sign Emoji Icon Illustration. Music Instrument Vector Symbol Emoticon Design Clip Art Accordion Sign To determine whether the “accordion sign” is a specific computed tomographic (ct) sign of clostridium difficile. White oval highlights markedly thickened bowel wall with oral contrast trapped between haustral folds in a patient with. Pseudomembranous colitis with yellow pseudomembranes seen on the wall of the sigmoid colon. The accordion sign is a ct or radiographic appearance of the colon, resembling. Accordion Sign.
From www.eurorad.org
The accordion sign in chronic alcoholic liver disease Eurorad Accordion Sign The accordion sign is seen on ct images of patients with oral. White oval highlights markedly thickened bowel wall with oral contrast trapped between haustral folds in a patient with. The accordion sign is a ct or radiographic appearance of the colon, resembling a musical instrument, in cases of pseudomembranous. Another indicator of colitis in ct scans is the “accordion”. Accordion Sign.
From
Accordion Sign Pseudomembranous colitis with yellow pseudomembranes seen on the wall of the sigmoid colon. To determine whether the “accordion sign” is a specific computed tomographic (ct) sign of clostridium difficile. The accordion sign is seen on ct images of patients with oral. Another indicator of colitis in ct scans is the “accordion” sign. Clostridioides difficile colitis, also known as pseudomembranous colitis. Accordion Sign.