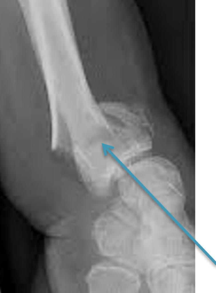
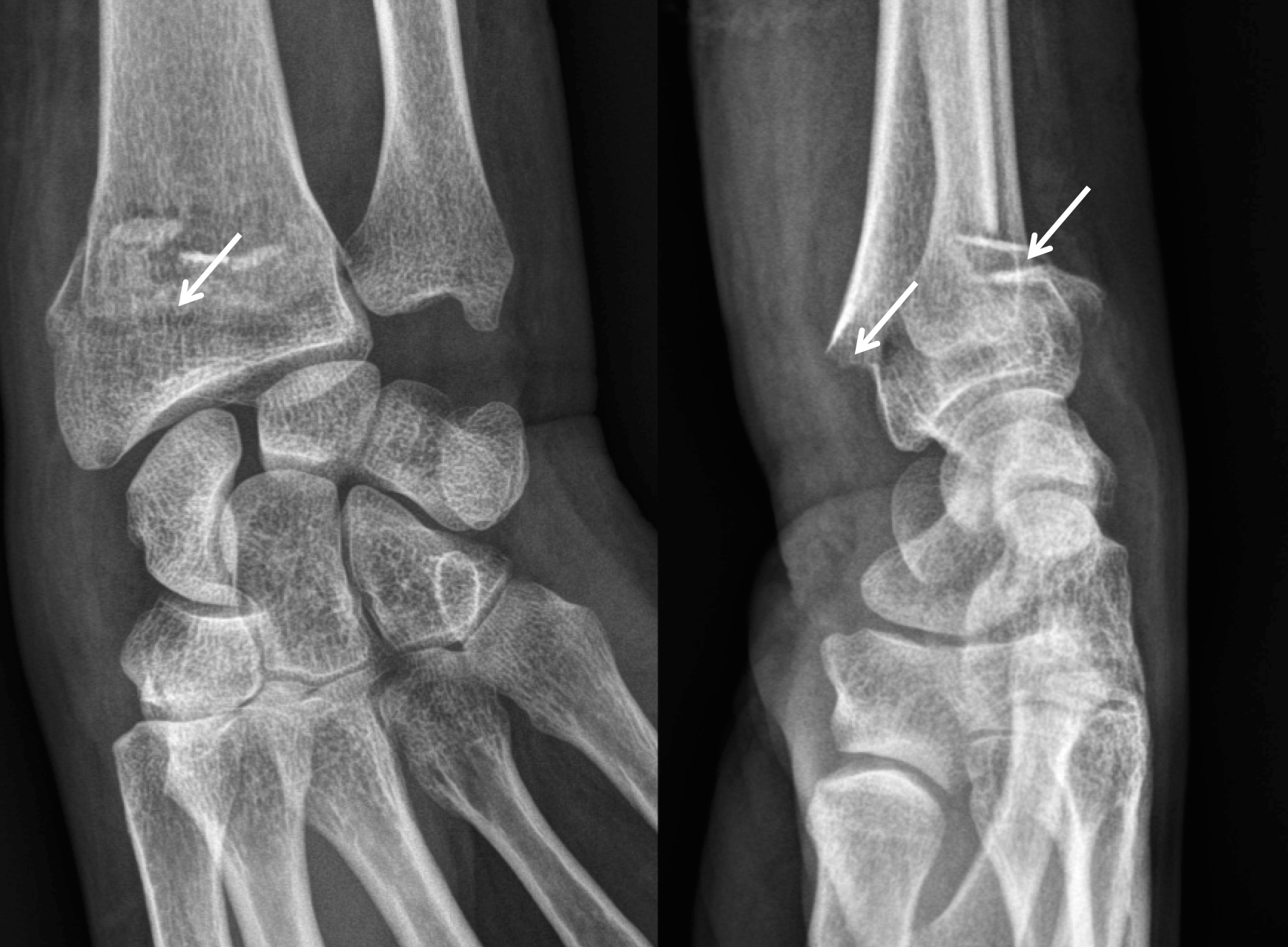
Fracture Poignet Symptome . Douleurs et gonflement du poignet sont les symptômes les plus fréquents de la fracture du poignet. Toutes les définitions santé, symptômes et traitements sont sur docteurclic. Douleur autour du poignet , la main et l'avant. La douleur au poignet s’aggrave dès lors qu’il est sollicité. Une fracture du poignet est malheureusement vite arrivée. Chute, accident de sport ou de travail. Et quels traitements envisager ?. Une douleur intense au niveau du poignet, qui peut irradier vers la main ou. Combien de temps garder le plâtre ? Les symptômes d’une fracture du poignet sont généralement les suivants : C'est surtout l'extrémité du radius ou du scaphoïde qui se casse en cas de fracture au poignet. Si vous vous êtes fracturé le poignet, vous ressentirez ou verrez les symptômes suivants : La radiographie du poignet permet. En règle générale, le patient observe des ecchymoses, une réduction de l’amplitude de mouvement, un gonflement de l’articulation, ainsi qu’une sensibilité lors de la palpation. Fracture concernant les éléments de l'articulation du poignet :
        
         
         
        from institut-main-medipole-toulouse.fr 
     
        
        En règle générale, le patient observe des ecchymoses, une réduction de l’amplitude de mouvement, un gonflement de l’articulation, ainsi qu’une sensibilité lors de la palpation. Une fracture du poignet est malheureusement vite arrivée. Une douleur intense au niveau du poignet, qui peut irradier vers la main ou. Toutes les définitions santé, symptômes et traitements sont sur docteurclic. La radiographie du poignet permet. Si vous vous êtes fracturé le poignet, vous ressentirez ou verrez les symptômes suivants : Douleur autour du poignet , la main et l'avant. Les symptômes d’une fracture du poignet sont généralement les suivants : Chute, accident de sport ou de travail. Fracture concernant les éléments de l'articulation du poignet :
    
    	
            
	
		 
	 
         
    Fracture du Institut de la main Medipole Toulouse 
    Fracture Poignet Symptome  En règle générale, le patient observe des ecchymoses, une réduction de l’amplitude de mouvement, un gonflement de l’articulation, ainsi qu’une sensibilité lors de la palpation. Si vous vous êtes fracturé le poignet, vous ressentirez ou verrez les symptômes suivants : Combien de temps garder le plâtre ? Douleur autour du poignet , la main et l'avant. En règle générale, le patient observe des ecchymoses, une réduction de l’amplitude de mouvement, un gonflement de l’articulation, ainsi qu’une sensibilité lors de la palpation. Douleurs et gonflement du poignet sont les symptômes les plus fréquents de la fracture du poignet. Toutes les définitions santé, symptômes et traitements sont sur docteurclic. Chute, accident de sport ou de travail. Et quels traitements envisager ?. C'est surtout l'extrémité du radius ou du scaphoïde qui se casse en cas de fracture au poignet. Une fracture du poignet est malheureusement vite arrivée. Fracture concernant les éléments de l'articulation du poignet : La radiographie du poignet permet. La douleur au poignet s’aggrave dès lors qu’il est sollicité. Les symptômes d’une fracture du poignet sont généralement les suivants : Une douleur intense au niveau du poignet, qui peut irradier vers la main ou.
            
	
		 
	 
         
 
    
         
        From www.docteurpcottias.fr 
                    fracture du ou de l’extremite inferieure du radius pathologies Fracture Poignet Symptome  Fracture concernant les éléments de l'articulation du poignet : La radiographie du poignet permet. Douleur autour du poignet , la main et l'avant. Les symptômes d’une fracture du poignet sont variables. La douleur au poignet s’aggrave dès lors qu’il est sollicité. Une fracture du poignet est malheureusement vite arrivée. Une douleur intense au niveau du poignet, qui peut irradier vers. Fracture Poignet Symptome.
     
    
         
        From cbphysiotherapy.in 
                    What is a Wrist Fracture? Symptoms, Causes, Diagnosis & Physiotherapy Fracture Poignet Symptome  Combien de temps garder le plâtre ? Douleurs et gonflement du poignet sont les symptômes les plus fréquents de la fracture du poignet. Les symptômes d’une fracture du poignet sont variables. La radiographie du poignet permet. C'est surtout l'extrémité du radius ou du scaphoïde qui se casse en cas de fracture au poignet. Les symptômes d’une fracture du poignet sont. Fracture Poignet Symptome.
     
    
         
        From www.dr-sfez-jonathan.com 
                    Fracture du Dr Sfez Chirurgien orthopédiste Fracture Poignet Symptome  Une douleur intense au niveau du poignet, qui peut irradier vers la main ou. En règle générale, le patient observe des ecchymoses, une réduction de l’amplitude de mouvement, un gonflement de l’articulation, ainsi qu’une sensibilité lors de la palpation. Douleur autour du poignet , la main et l'avant. La radiographie du poignet permet. Douleurs et gonflement du poignet sont les. Fracture Poignet Symptome.
     
    
         
        From iecem.fr 
                    Fracture du chez l’adulte IECEM Fracture Poignet Symptome  Si vous vous êtes fracturé le poignet, vous ressentirez ou verrez les symptômes suivants : Toutes les définitions santé, symptômes et traitements sont sur docteurclic. Douleurs et gonflement du poignet sont les symptômes les plus fréquents de la fracture du poignet. Les symptômes d’une fracture du poignet sont généralement les suivants : Une fracture du poignet est malheureusement vite arrivée.. Fracture Poignet Symptome.
     
    
         
        From docteurghazanfari.com 
                    Fracture du Diagnostic et traitement Fracture Poignet Symptome  Douleurs et gonflement du poignet sont les symptômes les plus fréquents de la fracture du poignet. Une douleur intense au niveau du poignet, qui peut irradier vers la main ou. Fracture concernant les éléments de l'articulation du poignet : Si vous vous êtes fracturé le poignet, vous ressentirez ou verrez les symptômes suivants : Les symptômes d’une fracture du poignet. Fracture Poignet Symptome.
     
    
         
        From www.im2s.mc 
                    Fracture du IM2S Fracture Poignet Symptome  Les symptômes d’une fracture du poignet sont variables. Chute, accident de sport ou de travail. Douleur autour du poignet , la main et l'avant. Les symptômes d’une fracture du poignet sont généralement les suivants : En règle générale, le patient observe des ecchymoses, une réduction de l’amplitude de mouvement, un gonflement de l’articulation, ainsi qu’une sensibilité lors de la palpation.. Fracture Poignet Symptome.
     
    
         
        From orthoticsplus.com.au 
                    Broken Wrist Treatment at Orthotics Plus Melbourne Fracture Poignet Symptome  Si vous vous êtes fracturé le poignet, vous ressentirez ou verrez les symptômes suivants : Toutes les définitions santé, symptômes et traitements sont sur docteurclic. La radiographie du poignet permet. Une douleur intense au niveau du poignet, qui peut irradier vers la main ou. Douleur autour du poignet , la main et l'avant. Fracture concernant les éléments de l'articulation du. Fracture Poignet Symptome.
     
    
         
        From docteurghazanfari.com 
                    Fracture du Diagnostic et traitement Fracture Poignet Symptome  Douleur autour du poignet , la main et l'avant. Douleurs et gonflement du poignet sont les symptômes les plus fréquents de la fracture du poignet. Fracture concernant les éléments de l'articulation du poignet : Toutes les définitions santé, symptômes et traitements sont sur docteurclic. La douleur au poignet s’aggrave dès lors qu’il est sollicité. Une fracture du poignet est malheureusement. Fracture Poignet Symptome.
     
    
         
        From www.centre-osteo-articulaire.fr 
                    Fracture du Clinique Ostéo Articulaire des Cèdres Grenoble Fracture Poignet Symptome  Les symptômes d’une fracture du poignet sont variables. La radiographie du poignet permet. Si vous vous êtes fracturé le poignet, vous ressentirez ou verrez les symptômes suivants : Chute, accident de sport ou de travail. C'est surtout l'extrémité du radius ou du scaphoïde qui se casse en cas de fracture au poignet. La douleur au poignet s’aggrave dès lors qu’il. Fracture Poignet Symptome.
     
    
         
        From docteurghazanfari.com 
                    Fracture du Diagnostic et traitement Fracture Poignet Symptome  En règle générale, le patient observe des ecchymoses, une réduction de l’amplitude de mouvement, un gonflement de l’articulation, ainsi qu’une sensibilité lors de la palpation. Fracture concernant les éléments de l'articulation du poignet : Toutes les définitions santé, symptômes et traitements sont sur docteurclic. Douleur autour du poignet , la main et l'avant. Si vous vous êtes fracturé le poignet,. Fracture Poignet Symptome.
     
    
         
        From www.sosmain.eu 
                    Fracture du Institut Européen de la Main Fracture Poignet Symptome  En règle générale, le patient observe des ecchymoses, une réduction de l’amplitude de mouvement, un gonflement de l’articulation, ainsi qu’une sensibilité lors de la palpation. Si vous vous êtes fracturé le poignet, vous ressentirez ou verrez les symptômes suivants : Douleur autour du poignet , la main et l'avant. Toutes les définitions santé, symptômes et traitements sont sur docteurclic. Combien. Fracture Poignet Symptome.
     
    
         
        From www.sitedupoignet.com 
                    Les fractures du en France Fracture Poignet Symptome  Fracture concernant les éléments de l'articulation du poignet : La radiographie du poignet permet. Combien de temps garder le plâtre ? Une douleur intense au niveau du poignet, qui peut irradier vers la main ou. Douleur autour du poignet , la main et l'avant. Douleurs et gonflement du poignet sont les symptômes les plus fréquents de la fracture du poignet.. Fracture Poignet Symptome.
     
    
         
        From www.centre-osteo-articulaire.fr 
                    Fracture du Clinique Ostéo Articulaire des Cèdres Grenoble Fracture Poignet Symptome  Fracture concernant les éléments de l'articulation du poignet : Les symptômes d’une fracture du poignet sont variables. Une fracture du poignet est malheureusement vite arrivée. La douleur au poignet s’aggrave dès lors qu’il est sollicité. En règle générale, le patient observe des ecchymoses, une réduction de l’amplitude de mouvement, un gonflement de l’articulation, ainsi qu’une sensibilité lors de la palpation.. Fracture Poignet Symptome.
     
    
         
        From www.sosmain.eu 
                    Fracture du Institut Européen de la Main Fracture Poignet Symptome  Fracture concernant les éléments de l'articulation du poignet : La radiographie du poignet permet. La douleur au poignet s’aggrave dès lors qu’il est sollicité. Et quels traitements envisager ?. Les symptômes d’une fracture du poignet sont variables. En règle générale, le patient observe des ecchymoses, une réduction de l’amplitude de mouvement, un gonflement de l’articulation, ainsi qu’une sensibilité lors de. Fracture Poignet Symptome.
     
    
         
        From maxime-pelissier.fr 
                    Fractures scaphoïde, main Dr Pelissier Chirurgien Fracture Poignet Symptome  La douleur au poignet s’aggrave dès lors qu’il est sollicité. Combien de temps garder le plâtre ? Douleurs et gonflement du poignet sont les symptômes les plus fréquents de la fracture du poignet. Chute, accident de sport ou de travail. Et quels traitements envisager ?. Fracture concernant les éléments de l'articulation du poignet : Si vous vous êtes fracturé le. Fracture Poignet Symptome.
     
    
         
        From www.alphahouserecovery.org 
                    Fracture du droit ou gauche, symptômes et traitement Fracture Poignet Symptome  Les symptômes d’une fracture du poignet sont généralement les suivants : Combien de temps garder le plâtre ? Une douleur intense au niveau du poignet, qui peut irradier vers la main ou. Les symptômes d’une fracture du poignet sont variables. Une fracture du poignet est malheureusement vite arrivée. Si vous vous êtes fracturé le poignet, vous ressentirez ou verrez les. Fracture Poignet Symptome.
     
    
         
        From drrousie.be 
                    Fracture du Dr Maxime Rousié Fracture Poignet Symptome  Douleur autour du poignet , la main et l'avant. Les symptômes d’une fracture du poignet sont généralement les suivants : La radiographie du poignet permet. Une fracture du poignet est malheureusement vite arrivée. C'est surtout l'extrémité du radius ou du scaphoïde qui se casse en cas de fracture au poignet. La douleur au poignet s’aggrave dès lors qu’il est sollicité.. Fracture Poignet Symptome.
     
    
         
        From www.centre-osteo-articulaire.fr 
                    Fracture du Clinique Ostéo Articulaire des Cèdres Grenoble Fracture Poignet Symptome  La radiographie du poignet permet. Combien de temps garder le plâtre ? Les symptômes d’une fracture du poignet sont variables. La douleur au poignet s’aggrave dès lors qu’il est sollicité. Douleurs et gonflement du poignet sont les symptômes les plus fréquents de la fracture du poignet. En règle générale, le patient observe des ecchymoses, une réduction de l’amplitude de mouvement,. Fracture Poignet Symptome.
     
    
         
        From www.la-main.ch 
                    LaMain.ch Fracture du diagnostic et traitement Fracture Poignet Symptome  Combien de temps garder le plâtre ? Une douleur intense au niveau du poignet, qui peut irradier vers la main ou. En règle générale, le patient observe des ecchymoses, une réduction de l’amplitude de mouvement, un gonflement de l’articulation, ainsi qu’une sensibilité lors de la palpation. Chute, accident de sport ou de travail. La douleur au poignet s’aggrave dès lors. Fracture Poignet Symptome.
     
    
         
        From www.sosmain.eu 
                    Fracture du scaphoïde Pathologies Institut Européen de la Main Fracture Poignet Symptome  Les symptômes d’une fracture du poignet sont généralement les suivants : La douleur au poignet s’aggrave dès lors qu’il est sollicité. Chute, accident de sport ou de travail. C'est surtout l'extrémité du radius ou du scaphoïde qui se casse en cas de fracture au poignet. Une douleur intense au niveau du poignet, qui peut irradier vers la main ou. En. Fracture Poignet Symptome.
     
    
         
        From www.docteurphilipperoure.com 
                    Fracture du diagnostic et traitement à Paris Dr Roure Fracture Poignet Symptome  Et quels traitements envisager ?. Les symptômes d’une fracture du poignet sont variables. Les symptômes d’une fracture du poignet sont généralement les suivants : C'est surtout l'extrémité du radius ou du scaphoïde qui se casse en cas de fracture au poignet. Douleur autour du poignet , la main et l'avant. Une fracture du poignet est malheureusement vite arrivée. En règle. Fracture Poignet Symptome.
     
    
         
        From docteurghazanfari.com 
                    Fracture du Diagnostic et traitement Fracture Poignet Symptome  Une fracture du poignet est malheureusement vite arrivée. La douleur au poignet s’aggrave dès lors qu’il est sollicité. Les symptômes d’une fracture du poignet sont généralement les suivants : Une douleur intense au niveau du poignet, qui peut irradier vers la main ou. Les symptômes d’une fracture du poignet sont variables. Et quels traitements envisager ?. Fracture concernant les éléments. Fracture Poignet Symptome.
     
    
         
        From maxime-pelissier.fr 
                    Fractures scaphoïde, main Dr Pelissier Chirurgien Fracture Poignet Symptome  La radiographie du poignet permet. Combien de temps garder le plâtre ? Douleur autour du poignet , la main et l'avant. Fracture concernant les éléments de l'articulation du poignet : Toutes les définitions santé, symptômes et traitements sont sur docteurclic. C'est surtout l'extrémité du radius ou du scaphoïde qui se casse en cas de fracture au poignet. Si vous vous. Fracture Poignet Symptome.
     
    
         
        From epaule-main.net 
                    Fracture du Chirurgien de l'épaule et de la main Dr Schlur Fracture Poignet Symptome  En règle générale, le patient observe des ecchymoses, une réduction de l’amplitude de mouvement, un gonflement de l’articulation, ainsi qu’une sensibilité lors de la palpation. Les symptômes d’une fracture du poignet sont variables. Chute, accident de sport ou de travail. Si vous vous êtes fracturé le poignet, vous ressentirez ou verrez les symptômes suivants : Les symptômes d’une fracture du. Fracture Poignet Symptome.
     
    
         
        From healthlifemedia.com 
                    Hand Injuries Wrist fracture Health Life Media Fracture Poignet Symptome  La douleur au poignet s’aggrave dès lors qu’il est sollicité. Combien de temps garder le plâtre ? Douleur autour du poignet , la main et l'avant. Une fracture du poignet est malheureusement vite arrivée. Les symptômes d’une fracture du poignet sont variables. Et quels traitements envisager ?. Une douleur intense au niveau du poignet, qui peut irradier vers la main. Fracture Poignet Symptome.
     
    
         
        From www.we-mag.com 
                    Comment identifier une fracture du symptômes et images Fracture Poignet Symptome  Fracture concernant les éléments de l'articulation du poignet : La douleur au poignet s’aggrave dès lors qu’il est sollicité. Et quels traitements envisager ?. Toutes les définitions santé, symptômes et traitements sont sur docteurclic. Chute, accident de sport ou de travail. Si vous vous êtes fracturé le poignet, vous ressentirez ou verrez les symptômes suivants : La radiographie du poignet. Fracture Poignet Symptome.
     
    
         
        From www.la-main.ch 
                    LaMain.ch Fracture du diagnostic et traitement Fracture Poignet Symptome  La radiographie du poignet permet. Combien de temps garder le plâtre ? En règle générale, le patient observe des ecchymoses, une réduction de l’amplitude de mouvement, un gonflement de l’articulation, ainsi qu’une sensibilité lors de la palpation. Douleur autour du poignet , la main et l'avant. Fracture concernant les éléments de l'articulation du poignet : La douleur au poignet s’aggrave. Fracture Poignet Symptome.
     
    
         
        From centre-main-sud-loire.fr 
                    La Fracture du Centre Main Sud Loire Fracture Poignet Symptome  Les symptômes d’une fracture du poignet sont généralement les suivants : Si vous vous êtes fracturé le poignet, vous ressentirez ou verrez les symptômes suivants : Les symptômes d’une fracture du poignet sont variables. Douleur autour du poignet , la main et l'avant. Et quels traitements envisager ?. La douleur au poignet s’aggrave dès lors qu’il est sollicité. En règle. Fracture Poignet Symptome.
     
    
         
        From institut-main-medipole-toulouse.fr 
                    Fracture du Institut de la main Medipole Toulouse Fracture Poignet Symptome  En règle générale, le patient observe des ecchymoses, une réduction de l’amplitude de mouvement, un gonflement de l’articulation, ainsi qu’une sensibilité lors de la palpation. Les symptômes d’une fracture du poignet sont variables. Une fracture du poignet est malheureusement vite arrivée. Toutes les définitions santé, symptômes et traitements sont sur docteurclic. Une douleur intense au niveau du poignet, qui peut. Fracture Poignet Symptome.
     
    
         
        From docteurghazanfari.com 
                    Fracture du Diagnostic et traitement Fracture Poignet Symptome  Chute, accident de sport ou de travail. La douleur au poignet s’aggrave dès lors qu’il est sollicité. Les symptômes d’une fracture du poignet sont variables. Une fracture du poignet est malheureusement vite arrivée. Fracture concernant les éléments de l'articulation du poignet : En règle générale, le patient observe des ecchymoses, une réduction de l’amplitude de mouvement, un gonflement de l’articulation,. Fracture Poignet Symptome.
     
    
         
        From www.sosmain.eu 
                    Fracture du Institut Européen de la Main Fracture Poignet Symptome  Les symptômes d’une fracture du poignet sont généralement les suivants : En règle générale, le patient observe des ecchymoses, une réduction de l’amplitude de mouvement, un gonflement de l’articulation, ainsi qu’une sensibilité lors de la palpation. Toutes les définitions santé, symptômes et traitements sont sur docteurclic. La radiographie du poignet permet. Les symptômes d’une fracture du poignet sont variables. C'est. Fracture Poignet Symptome.
     
    
         
        From docteurghazanfari.com 
                    Fracture du Diagnostic et traitement Fracture Poignet Symptome  Chute, accident de sport ou de travail. Les symptômes d’une fracture du poignet sont variables. La radiographie du poignet permet. Les symptômes d’une fracture du poignet sont généralement les suivants : Douleurs et gonflement du poignet sont les symptômes les plus fréquents de la fracture du poignet. Et quels traitements envisager ?. Si vous vous êtes fracturé le poignet, vous. Fracture Poignet Symptome.
     
    
         
        From docteurghazanfari.com 
                    Fracture du Diagnostic et traitement Fracture Poignet Symptome  Une douleur intense au niveau du poignet, qui peut irradier vers la main ou. Une fracture du poignet est malheureusement vite arrivée. Douleur autour du poignet , la main et l'avant. Chute, accident de sport ou de travail. C'est surtout l'extrémité du radius ou du scaphoïde qui se casse en cas de fracture au poignet. Fracture concernant les éléments de. Fracture Poignet Symptome.
     
    
         
        From main-clinique.fr 
                    Fracture du Dr Laurent Thomsen Spécialiste du à Paris Fracture Poignet Symptome  Une fracture du poignet est malheureusement vite arrivée. Les symptômes d’une fracture du poignet sont variables. Fracture concernant les éléments de l'articulation du poignet : Si vous vous êtes fracturé le poignet, vous ressentirez ou verrez les symptômes suivants : La radiographie du poignet permet. Douleurs et gonflement du poignet sont les symptômes les plus fréquents de la fracture du. Fracture Poignet Symptome.
     
    
         
        From www.alamyimages.fr 
                    xray montrant une fracture de l'ulna et le radius Photo Stock Fracture Poignet Symptome  Douleur autour du poignet , la main et l'avant. Et quels traitements envisager ?. Toutes les définitions santé, symptômes et traitements sont sur docteurclic. Une douleur intense au niveau du poignet, qui peut irradier vers la main ou. Chute, accident de sport ou de travail. Les symptômes d’une fracture du poignet sont variables. Les symptômes d’une fracture du poignet sont. Fracture Poignet Symptome.