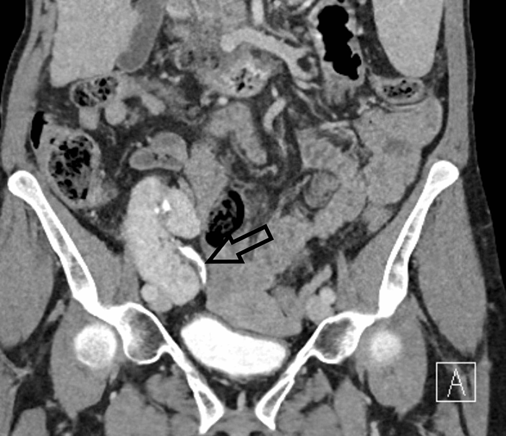
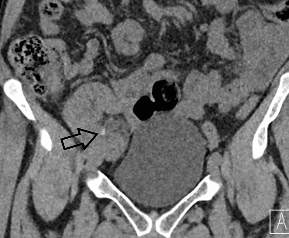
Radiolucent Stone In Ct . Patients with kidney stones who have a urinary ph of 5.5 or less and whose stones are about 500 hounsfield units or less can reliably be diagnosed as having uric acid. Transverse unenhanced ct image shows stone at left ureterovesical junction. Patients may present with the. Kidney stone disease (nephrolithiasis) is a common problem in primary care practice. Pure uric acid calculi are radiolucent on radiography but can be readily identified on ct.
from www.researchgate.net
Patients may present with the. Pure uric acid calculi are radiolucent on radiography but can be readily identified on ct. Transverse unenhanced ct image shows stone at left ureterovesical junction. Patients with kidney stones who have a urinary ph of 5.5 or less and whose stones are about 500 hounsfield units or less can reliably be diagnosed as having uric acid. Kidney stone disease (nephrolithiasis) is a common problem in primary care practice.
A case of impacted upper third left ureteric radiolucent stone managed
Radiolucent Stone In Ct Patients with kidney stones who have a urinary ph of 5.5 or less and whose stones are about 500 hounsfield units or less can reliably be diagnosed as having uric acid. Pure uric acid calculi are radiolucent on radiography but can be readily identified on ct. Patients with kidney stones who have a urinary ph of 5.5 or less and whose stones are about 500 hounsfield units or less can reliably be diagnosed as having uric acid. Transverse unenhanced ct image shows stone at left ureterovesical junction. Kidney stone disease (nephrolithiasis) is a common problem in primary care practice. Patients may present with the.
From pubs.rsna.org
Gallbladder Stones Imaging and Intervention RadioGraphics Radiolucent Stone In Ct Pure uric acid calculi are radiolucent on radiography but can be readily identified on ct. Kidney stone disease (nephrolithiasis) is a common problem in primary care practice. Patients with kidney stones who have a urinary ph of 5.5 or less and whose stones are about 500 hounsfield units or less can reliably be diagnosed as having uric acid. Patients may. Radiolucent Stone In Ct.
From www.researchgate.net
Left ureteric stricture Fig.2. Radiolucent stone Download Scientific Radiolucent Stone In Ct Patients may present with the. Kidney stone disease (nephrolithiasis) is a common problem in primary care practice. Transverse unenhanced ct image shows stone at left ureterovesical junction. Pure uric acid calculi are radiolucent on radiography but can be readily identified on ct. Patients with kidney stones who have a urinary ph of 5.5 or less and whose stones are about. Radiolucent Stone In Ct.
From www.slideshare.net
Mixed radiopaque & radiolucent lesions of jaw Radiolucent Stone In Ct Patients with kidney stones who have a urinary ph of 5.5 or less and whose stones are about 500 hounsfield units or less can reliably be diagnosed as having uric acid. Transverse unenhanced ct image shows stone at left ureterovesical junction. Kidney stone disease (nephrolithiasis) is a common problem in primary care practice. Pure uric acid calculi are radiolucent on. Radiolucent Stone In Ct.
From www.youtube.com
CT IVP IN RADIOLOGY kidney stone calculus ureter ivp Radiolucent Stone In Ct Pure uric acid calculi are radiolucent on radiography but can be readily identified on ct. Patients may present with the. Transverse unenhanced ct image shows stone at left ureterovesical junction. Kidney stone disease (nephrolithiasis) is a common problem in primary care practice. Patients with kidney stones who have a urinary ph of 5.5 or less and whose stones are about. Radiolucent Stone In Ct.
From www.researchgate.net
A case of impacted upper third left ureteric radiolucent stone managed Radiolucent Stone In Ct Kidney stone disease (nephrolithiasis) is a common problem in primary care practice. Patients with kidney stones who have a urinary ph of 5.5 or less and whose stones are about 500 hounsfield units or less can reliably be diagnosed as having uric acid. Patients may present with the. Pure uric acid calculi are radiolucent on radiography but can be readily. Radiolucent Stone In Ct.
From www.eurorad.org
Gallstone ileus due to a radiolucent stone Eurorad Radiolucent Stone In Ct Pure uric acid calculi are radiolucent on radiography but can be readily identified on ct. Patients may present with the. Patients with kidney stones who have a urinary ph of 5.5 or less and whose stones are about 500 hounsfield units or less can reliably be diagnosed as having uric acid. Transverse unenhanced ct image shows stone at left ureterovesical. Radiolucent Stone In Ct.
From teachmesurgery.com
Renal Stones Clinical Features Management TeachMeSurgery Radiolucent Stone In Ct Patients may present with the. Pure uric acid calculi are radiolucent on radiography but can be readily identified on ct. Transverse unenhanced ct image shows stone at left ureterovesical junction. Kidney stone disease (nephrolithiasis) is a common problem in primary care practice. Patients with kidney stones who have a urinary ph of 5.5 or less and whose stones are about. Radiolucent Stone In Ct.
From radiopaedia.org
Uric acid calculus Image Radiolucent Stone In Ct Patients may present with the. Kidney stone disease (nephrolithiasis) is a common problem in primary care practice. Pure uric acid calculi are radiolucent on radiography but can be readily identified on ct. Patients with kidney stones who have a urinary ph of 5.5 or less and whose stones are about 500 hounsfield units or less can reliably be diagnosed as. Radiolucent Stone In Ct.
From litfl.com
Abdominal CT renal stones • LITFL • Radiology Library Radiolucent Stone In Ct Pure uric acid calculi are radiolucent on radiography but can be readily identified on ct. Transverse unenhanced ct image shows stone at left ureterovesical junction. Patients may present with the. Kidney stone disease (nephrolithiasis) is a common problem in primary care practice. Patients with kidney stones who have a urinary ph of 5.5 or less and whose stones are about. Radiolucent Stone In Ct.
From www.eurorad.org
Gallstone ileus due to a radiolucent stone Eurorad Radiolucent Stone In Ct Patients may present with the. Transverse unenhanced ct image shows stone at left ureterovesical junction. Patients with kidney stones who have a urinary ph of 5.5 or less and whose stones are about 500 hounsfield units or less can reliably be diagnosed as having uric acid. Kidney stone disease (nephrolithiasis) is a common problem in primary care practice. Pure uric. Radiolucent Stone In Ct.
From www.cureus.com
Cureus Radiolucent Matrix Stones in a Transplanted Kidney A Case Report Radiolucent Stone In Ct Patients with kidney stones who have a urinary ph of 5.5 or less and whose stones are about 500 hounsfield units or less can reliably be diagnosed as having uric acid. Patients may present with the. Kidney stone disease (nephrolithiasis) is a common problem in primary care practice. Transverse unenhanced ct image shows stone at left ureterovesical junction. Pure uric. Radiolucent Stone In Ct.
From www.eurorad.org
Gallstone ileus due to a radiolucent stone Eurorad Radiolucent Stone In Ct Patients with kidney stones who have a urinary ph of 5.5 or less and whose stones are about 500 hounsfield units or less can reliably be diagnosed as having uric acid. Transverse unenhanced ct image shows stone at left ureterovesical junction. Patients may present with the. Pure uric acid calculi are radiolucent on radiography but can be readily identified on. Radiolucent Stone In Ct.
From www.researchgate.net
Left ureteric stricture Fig.2. Radiolucent stone Download Scientific Radiolucent Stone In Ct Kidney stone disease (nephrolithiasis) is a common problem in primary care practice. Pure uric acid calculi are radiolucent on radiography but can be readily identified on ct. Patients may present with the. Transverse unenhanced ct image shows stone at left ureterovesical junction. Patients with kidney stones who have a urinary ph of 5.5 or less and whose stones are about. Radiolucent Stone In Ct.
From www.kidneystoners.org
pediatrickidneystoneCT Radiolucent Stone In Ct Transverse unenhanced ct image shows stone at left ureterovesical junction. Pure uric acid calculi are radiolucent on radiography but can be readily identified on ct. Patients may present with the. Kidney stone disease (nephrolithiasis) is a common problem in primary care practice. Patients with kidney stones who have a urinary ph of 5.5 or less and whose stones are about. Radiolucent Stone In Ct.
From www.reddit.com
Submandibular duct stone on CT r/Radiology Radiolucent Stone In Ct Kidney stone disease (nephrolithiasis) is a common problem in primary care practice. Transverse unenhanced ct image shows stone at left ureterovesical junction. Patients may present with the. Pure uric acid calculi are radiolucent on radiography but can be readily identified on ct. Patients with kidney stones who have a urinary ph of 5.5 or less and whose stones are about. Radiolucent Stone In Ct.
From www.researchgate.net
Radiology (a) CT scan coronal view showing the gallbladder filled with Radiolucent Stone In Ct Transverse unenhanced ct image shows stone at left ureterovesical junction. Pure uric acid calculi are radiolucent on radiography but can be readily identified on ct. Kidney stone disease (nephrolithiasis) is a common problem in primary care practice. Patients may present with the. Patients with kidney stones who have a urinary ph of 5.5 or less and whose stones are about. Radiolucent Stone In Ct.
From www.eurorad.org
Gallstone ileus due to a radiolucent stone Eurorad Radiolucent Stone In Ct Kidney stone disease (nephrolithiasis) is a common problem in primary care practice. Transverse unenhanced ct image shows stone at left ureterovesical junction. Pure uric acid calculi are radiolucent on radiography but can be readily identified on ct. Patients may present with the. Patients with kidney stones who have a urinary ph of 5.5 or less and whose stones are about. Radiolucent Stone In Ct.
From radiopaedia.org
Parotid duct stone Image Radiolucent Stone In Ct Patients with kidney stones who have a urinary ph of 5.5 or less and whose stones are about 500 hounsfield units or less can reliably be diagnosed as having uric acid. Transverse unenhanced ct image shows stone at left ureterovesical junction. Kidney stone disease (nephrolithiasis) is a common problem in primary care practice. Pure uric acid calculi are radiolucent on. Radiolucent Stone In Ct.
From radiologykey.com
Renal Calculus Disease Radiology Key Radiolucent Stone In Ct Transverse unenhanced ct image shows stone at left ureterovesical junction. Patients may present with the. Kidney stone disease (nephrolithiasis) is a common problem in primary care practice. Patients with kidney stones who have a urinary ph of 5.5 or less and whose stones are about 500 hounsfield units or less can reliably be diagnosed as having uric acid. Pure uric. Radiolucent Stone In Ct.
From www.researchgate.net
Gall stone in common bile duct. The conventionally radiolucent calculus Radiolucent Stone In Ct Patients may present with the. Kidney stone disease (nephrolithiasis) is a common problem in primary care practice. Patients with kidney stones who have a urinary ph of 5.5 or less and whose stones are about 500 hounsfield units or less can reliably be diagnosed as having uric acid. Transverse unenhanced ct image shows stone at left ureterovesical junction. Pure uric. Radiolucent Stone In Ct.
From www.slideshare.net
Renal Calculi Radiolucent Stone In Ct Transverse unenhanced ct image shows stone at left ureterovesical junction. Patients with kidney stones who have a urinary ph of 5.5 or less and whose stones are about 500 hounsfield units or less can reliably be diagnosed as having uric acid. Pure uric acid calculi are radiolucent on radiography but can be readily identified on ct. Kidney stone disease (nephrolithiasis). Radiolucent Stone In Ct.
From www.ajronline.org
ContrastEnhanced Helical CT of Choledocholithiasis AJR Radiolucent Stone In Ct Patients with kidney stones who have a urinary ph of 5.5 or less and whose stones are about 500 hounsfield units or less can reliably be diagnosed as having uric acid. Kidney stone disease (nephrolithiasis) is a common problem in primary care practice. Pure uric acid calculi are radiolucent on radiography but can be readily identified on ct. Transverse unenhanced. Radiolucent Stone In Ct.
From www.youtube.com
radiolucent GB stone(CT & sono). YouTube Radiolucent Stone In Ct Patients with kidney stones who have a urinary ph of 5.5 or less and whose stones are about 500 hounsfield units or less can reliably be diagnosed as having uric acid. Patients may present with the. Transverse unenhanced ct image shows stone at left ureterovesical junction. Kidney stone disease (nephrolithiasis) is a common problem in primary care practice. Pure uric. Radiolucent Stone In Ct.
From radiopaedia.org
Radiolucent indinavir ureteric calculus Image Radiolucent Stone In Ct Patients may present with the. Pure uric acid calculi are radiolucent on radiography but can be readily identified on ct. Kidney stone disease (nephrolithiasis) is a common problem in primary care practice. Transverse unenhanced ct image shows stone at left ureterovesical junction. Patients with kidney stones who have a urinary ph of 5.5 or less and whose stones are about. Radiolucent Stone In Ct.
From www.cureus.com
Cureus Radiolucent Matrix Stones in a Transplanted Kidney A Case Report Radiolucent Stone In Ct Transverse unenhanced ct image shows stone at left ureterovesical junction. Patients may present with the. Patients with kidney stones who have a urinary ph of 5.5 or less and whose stones are about 500 hounsfield units or less can reliably be diagnosed as having uric acid. Pure uric acid calculi are radiolucent on radiography but can be readily identified on. Radiolucent Stone In Ct.
From www.semanticscholar.org
Figure 1 from Oral dissolution therapy for radiolucent kidney stones Radiolucent Stone In Ct Transverse unenhanced ct image shows stone at left ureterovesical junction. Patients with kidney stones who have a urinary ph of 5.5 or less and whose stones are about 500 hounsfield units or less can reliably be diagnosed as having uric acid. Kidney stone disease (nephrolithiasis) is a common problem in primary care practice. Pure uric acid calculi are radiolucent on. Radiolucent Stone In Ct.
From www.youtube.com
CT KUB with stone protocol in radiology medical NCCT YouTube Radiolucent Stone In Ct Patients may present with the. Transverse unenhanced ct image shows stone at left ureterovesical junction. Patients with kidney stones who have a urinary ph of 5.5 or less and whose stones are about 500 hounsfield units or less can reliably be diagnosed as having uric acid. Kidney stone disease (nephrolithiasis) is a common problem in primary care practice. Pure uric. Radiolucent Stone In Ct.
From www.reddit.com
Ureterocele with obstructing stone on CT urogram Radiology Radiolucent Stone In Ct Transverse unenhanced ct image shows stone at left ureterovesical junction. Kidney stone disease (nephrolithiasis) is a common problem in primary care practice. Patients may present with the. Patients with kidney stones who have a urinary ph of 5.5 or less and whose stones are about 500 hounsfield units or less can reliably be diagnosed as having uric acid. Pure uric. Radiolucent Stone In Ct.
From www.ajronline.org
ContrastEnhanced Helical CT of Choledocholithiasis AJR Radiolucent Stone In Ct Kidney stone disease (nephrolithiasis) is a common problem in primary care practice. Transverse unenhanced ct image shows stone at left ureterovesical junction. Patients may present with the. Patients with kidney stones who have a urinary ph of 5.5 or less and whose stones are about 500 hounsfield units or less can reliably be diagnosed as having uric acid. Pure uric. Radiolucent Stone In Ct.
From www.liebertpub.com
Deceived by a CT Scan The Case of the Misrepresented Stone Size Radiolucent Stone In Ct Patients may present with the. Kidney stone disease (nephrolithiasis) is a common problem in primary care practice. Patients with kidney stones who have a urinary ph of 5.5 or less and whose stones are about 500 hounsfield units or less can reliably be diagnosed as having uric acid. Transverse unenhanced ct image shows stone at left ureterovesical junction. Pure uric. Radiolucent Stone In Ct.
From www.researchgate.net
CT scan axial cut showing calculus at the masseteric bend of the right Radiolucent Stone In Ct Patients with kidney stones who have a urinary ph of 5.5 or less and whose stones are about 500 hounsfield units or less can reliably be diagnosed as having uric acid. Pure uric acid calculi are radiolucent on radiography but can be readily identified on ct. Kidney stone disease (nephrolithiasis) is a common problem in primary care practice. Transverse unenhanced. Radiolucent Stone In Ct.
From www.eurorad.org
Gallstone ileus due to a radiolucent stone Eurorad Radiolucent Stone In Ct Transverse unenhanced ct image shows stone at left ureterovesical junction. Patients with kidney stones who have a urinary ph of 5.5 or less and whose stones are about 500 hounsfield units or less can reliably be diagnosed as having uric acid. Patients may present with the. Pure uric acid calculi are radiolucent on radiography but can be readily identified on. Radiolucent Stone In Ct.
From aspneph.org
CT scan coronal view with left ureter 2 mm stone (arrow) American Radiolucent Stone In Ct Patients with kidney stones who have a urinary ph of 5.5 or less and whose stones are about 500 hounsfield units or less can reliably be diagnosed as having uric acid. Kidney stone disease (nephrolithiasis) is a common problem in primary care practice. Pure uric acid calculi are radiolucent on radiography but can be readily identified on ct. Transverse unenhanced. Radiolucent Stone In Ct.
From www.pinterest.com
Radiology Signs Radiology, Pet ct, Signs Radiolucent Stone In Ct Kidney stone disease (nephrolithiasis) is a common problem in primary care practice. Patients may present with the. Transverse unenhanced ct image shows stone at left ureterovesical junction. Pure uric acid calculi are radiolucent on radiography but can be readily identified on ct. Patients with kidney stones who have a urinary ph of 5.5 or less and whose stones are about. Radiolucent Stone In Ct.
From www.eurorad.org
Gallstone ileus due to a radiolucent stone Eurorad Radiolucent Stone In Ct Patients with kidney stones who have a urinary ph of 5.5 or less and whose stones are about 500 hounsfield units or less can reliably be diagnosed as having uric acid. Patients may present with the. Kidney stone disease (nephrolithiasis) is a common problem in primary care practice. Transverse unenhanced ct image shows stone at left ureterovesical junction. Pure uric. Radiolucent Stone In Ct.