What Does Ra Stand For In Radiology . Various imaging modalities help the radiologist and the rheumatologist in making an early diagnosis of. The goal of contemporary rheumatoid arthritis (ra) management is to redefine ra as a disease that is no longer. Rheumatoid arthritis (ra) is a chronic multisystem disease with predominant musculoskeletal manifestations. Imaging findings in rheumatoid arthritis (ra) reflect the pathophysiology of the disease. Learn what types of imaging scans are most effective in detecting and monitoring ra. Imaging tests for rheumatoid arthritis. Rheumatoid arthritis (ra) imaging tests are used to look for signs of ra and to monitor the disease’s progression. Rheumatoid arthritis (ra) is a chronic autoimmune multisystemic inflammatory disease that affects many organs but predominantly attacks the synovial tissues. Ra in radiology commonly refers to radiologist assistant, a healthcare professional who assists.
from radiologyassistant.nl
Rheumatoid arthritis (ra) is a chronic multisystem disease with predominant musculoskeletal manifestations. The goal of contemporary rheumatoid arthritis (ra) management is to redefine ra as a disease that is no longer. Rheumatoid arthritis (ra) imaging tests are used to look for signs of ra and to monitor the disease’s progression. Learn what types of imaging scans are most effective in detecting and monitoring ra. Various imaging modalities help the radiologist and the rheumatologist in making an early diagnosis of. Rheumatoid arthritis (ra) is a chronic autoimmune multisystemic inflammatory disease that affects many organs but predominantly attacks the synovial tissues. Ra in radiology commonly refers to radiologist assistant, a healthcare professional who assists. Imaging findings in rheumatoid arthritis (ra) reflect the pathophysiology of the disease. Imaging tests for rheumatoid arthritis.
The Radiology Assistant Arthritis
What Does Ra Stand For In Radiology Various imaging modalities help the radiologist and the rheumatologist in making an early diagnosis of. The goal of contemporary rheumatoid arthritis (ra) management is to redefine ra as a disease that is no longer. Rheumatoid arthritis (ra) is a chronic multisystem disease with predominant musculoskeletal manifestations. Ra in radiology commonly refers to radiologist assistant, a healthcare professional who assists. Imaging findings in rheumatoid arthritis (ra) reflect the pathophysiology of the disease. Imaging tests for rheumatoid arthritis. Rheumatoid arthritis (ra) imaging tests are used to look for signs of ra and to monitor the disease’s progression. Rheumatoid arthritis (ra) is a chronic autoimmune multisystemic inflammatory disease that affects many organs but predominantly attacks the synovial tissues. Various imaging modalities help the radiologist and the rheumatologist in making an early diagnosis of. Learn what types of imaging scans are most effective in detecting and monitoring ra.
From fyojnewai.blob.core.windows.net
What Does Dr Stand For In Radiology at Aaron Freese blog What Does Ra Stand For In Radiology Ra in radiology commonly refers to radiologist assistant, a healthcare professional who assists. Learn what types of imaging scans are most effective in detecting and monitoring ra. Various imaging modalities help the radiologist and the rheumatologist in making an early diagnosis of. Rheumatoid arthritis (ra) is a chronic multisystem disease with predominant musculoskeletal manifestations. Imaging findings in rheumatoid arthritis (ra). What Does Ra Stand For In Radiology.
From radiopaedia.org
Glenohumeral joint rheumatoid arthritis Radiology Case What Does Ra Stand For In Radiology Ra in radiology commonly refers to radiologist assistant, a healthcare professional who assists. Imaging tests for rheumatoid arthritis. Imaging findings in rheumatoid arthritis (ra) reflect the pathophysiology of the disease. Rheumatoid arthritis (ra) imaging tests are used to look for signs of ra and to monitor the disease’s progression. Rheumatoid arthritis (ra) is a chronic autoimmune multisystemic inflammatory disease that. What Does Ra Stand For In Radiology.
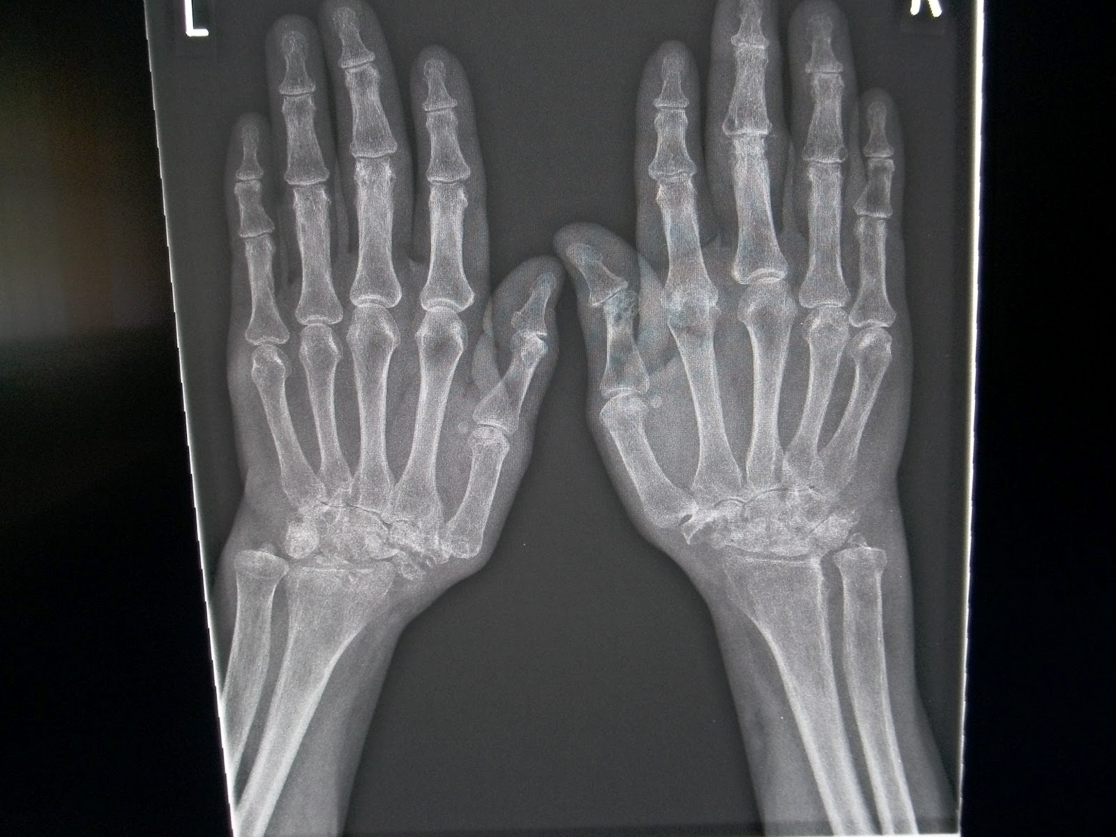
From ar.inspiredpencil.com
Rheumatoid Arthritis Hands X Ray What Does Ra Stand For In Radiology Various imaging modalities help the radiologist and the rheumatologist in making an early diagnosis of. Imaging findings in rheumatoid arthritis (ra) reflect the pathophysiology of the disease. Rheumatoid arthritis (ra) is a chronic autoimmune multisystemic inflammatory disease that affects many organs but predominantly attacks the synovial tissues. Rheumatoid arthritis (ra) imaging tests are used to look for signs of ra. What Does Ra Stand For In Radiology.
From ar.inspiredpencil.com
Rheumatoid Arthritis Hands X Ray What Does Ra Stand For In Radiology Imaging findings in rheumatoid arthritis (ra) reflect the pathophysiology of the disease. Rheumatoid arthritis (ra) is a chronic autoimmune multisystemic inflammatory disease that affects many organs but predominantly attacks the synovial tissues. Rheumatoid arthritis (ra) is a chronic multisystem disease with predominant musculoskeletal manifestations. Various imaging modalities help the radiologist and the rheumatologist in making an early diagnosis of. Rheumatoid. What Does Ra Stand For In Radiology.
From rheumatologe.blogspot.com
Rheumatologe Rheumatoid Arthritis Radiographic Progression What Does Ra Stand For In Radiology Learn what types of imaging scans are most effective in detecting and monitoring ra. Rheumatoid arthritis (ra) imaging tests are used to look for signs of ra and to monitor the disease’s progression. The goal of contemporary rheumatoid arthritis (ra) management is to redefine ra as a disease that is no longer. Rheumatoid arthritis (ra) is a chronic autoimmune multisystemic. What Does Ra Stand For In Radiology.
From www.youtube.com
What Does "RA" Stand For? YouTube What Does Ra Stand For In Radiology Various imaging modalities help the radiologist and the rheumatologist in making an early diagnosis of. Imaging tests for rheumatoid arthritis. Ra in radiology commonly refers to radiologist assistant, a healthcare professional who assists. The goal of contemporary rheumatoid arthritis (ra) management is to redefine ra as a disease that is no longer. Rheumatoid arthritis (ra) imaging tests are used to. What Does Ra Stand For In Radiology.
From curofy.com
Rheumatoid Arthritis Radiology Insights What Does Ra Stand For In Radiology Learn what types of imaging scans are most effective in detecting and monitoring ra. The goal of contemporary rheumatoid arthritis (ra) management is to redefine ra as a disease that is no longer. Ra in radiology commonly refers to radiologist assistant, a healthcare professional who assists. Imaging findings in rheumatoid arthritis (ra) reflect the pathophysiology of the disease. Rheumatoid arthritis. What Does Ra Stand For In Radiology.
From wiki.cancerimagingarchive.net
Automated Lesion Segmentation in WholeBody FDGPET/CT Challenge What Does Ra Stand For In Radiology Imaging tests for rheumatoid arthritis. Rheumatoid arthritis (ra) is a chronic autoimmune multisystemic inflammatory disease that affects many organs but predominantly attacks the synovial tissues. Various imaging modalities help the radiologist and the rheumatologist in making an early diagnosis of. Rheumatoid arthritis (ra) imaging tests are used to look for signs of ra and to monitor the disease’s progression. Learn. What Does Ra Stand For In Radiology.
From www.svuhradiology.ie
Rheumatoid arthritis elbow Radiology at St. Vincent's University What Does Ra Stand For In Radiology Ra in radiology commonly refers to radiologist assistant, a healthcare professional who assists. Rheumatoid arthritis (ra) is a chronic multisystem disease with predominant musculoskeletal manifestations. Imaging findings in rheumatoid arthritis (ra) reflect the pathophysiology of the disease. Rheumatoid arthritis (ra) is a chronic autoimmune multisystemic inflammatory disease that affects many organs but predominantly attacks the synovial tissues. The goal of. What Does Ra Stand For In Radiology.
From www.researchgate.net
Inspiratory HRCT scans (left) Patient 12 of the RAILD group with What Does Ra Stand For In Radiology Learn what types of imaging scans are most effective in detecting and monitoring ra. Rheumatoid arthritis (ra) is a chronic multisystem disease with predominant musculoskeletal manifestations. Rheumatoid arthritis (ra) imaging tests are used to look for signs of ra and to monitor the disease’s progression. Imaging tests for rheumatoid arthritis. Various imaging modalities help the radiologist and the rheumatologist in. What Does Ra Stand For In Radiology.
From calgaryguide.ucalgary.ca
Rheumatoid arthritis (RA) Xray features Calgary Guide What Does Ra Stand For In Radiology Ra in radiology commonly refers to radiologist assistant, a healthcare professional who assists. Rheumatoid arthritis (ra) is a chronic multisystem disease with predominant musculoskeletal manifestations. Rheumatoid arthritis (ra) imaging tests are used to look for signs of ra and to monitor the disease’s progression. Rheumatoid arthritis (ra) is a chronic autoimmune multisystemic inflammatory disease that affects many organs but predominantly. What Does Ra Stand For In Radiology.
From rheumatologe.blogspot.com
Rheumatologe Rheumatoid Arthritis Radiographic Progression What Does Ra Stand For In Radiology Imaging tests for rheumatoid arthritis. Various imaging modalities help the radiologist and the rheumatologist in making an early diagnosis of. Rheumatoid arthritis (ra) imaging tests are used to look for signs of ra and to monitor the disease’s progression. The goal of contemporary rheumatoid arthritis (ra) management is to redefine ra as a disease that is no longer. Learn what. What Does Ra Stand For In Radiology.
From radiologykey.com
36 Rheumatoid Arthritis Radiology Key What Does Ra Stand For In Radiology Rheumatoid arthritis (ra) imaging tests are used to look for signs of ra and to monitor the disease’s progression. Learn what types of imaging scans are most effective in detecting and monitoring ra. Imaging findings in rheumatoid arthritis (ra) reflect the pathophysiology of the disease. Ra in radiology commonly refers to radiologist assistant, a healthcare professional who assists. Rheumatoid arthritis. What Does Ra Stand For In Radiology.
From www.sciencephoto.com
Rheumatoid arthritis of the hip, Xray Stock Image C009/5373 What Does Ra Stand For In Radiology Imaging findings in rheumatoid arthritis (ra) reflect the pathophysiology of the disease. Various imaging modalities help the radiologist and the rheumatologist in making an early diagnosis of. Rheumatoid arthritis (ra) imaging tests are used to look for signs of ra and to monitor the disease’s progression. The goal of contemporary rheumatoid arthritis (ra) management is to redefine ra as a. What Does Ra Stand For In Radiology.
From formula.guiarus.com
The Xrays of Arthritis The Comparative Overview Formula GuiaRus 2024 What Does Ra Stand For In Radiology Imaging tests for rheumatoid arthritis. Rheumatoid arthritis (ra) imaging tests are used to look for signs of ra and to monitor the disease’s progression. Rheumatoid arthritis (ra) is a chronic multisystem disease with predominant musculoskeletal manifestations. Learn what types of imaging scans are most effective in detecting and monitoring ra. Imaging findings in rheumatoid arthritis (ra) reflect the pathophysiology of. What Does Ra Stand For In Radiology.
From www.altexsoft.com
Radiology Information System How to Approach RIS Adoption What Does Ra Stand For In Radiology Imaging tests for rheumatoid arthritis. The goal of contemporary rheumatoid arthritis (ra) management is to redefine ra as a disease that is no longer. Rheumatoid arthritis (ra) imaging tests are used to look for signs of ra and to monitor the disease’s progression. Various imaging modalities help the radiologist and the rheumatologist in making an early diagnosis of. Ra in. What Does Ra Stand For In Radiology.
From www.researchgate.net
the spectrum of Raassociated lung disease. a A CT image of a What Does Ra Stand For In Radiology Ra in radiology commonly refers to radiologist assistant, a healthcare professional who assists. Rheumatoid arthritis (ra) is a chronic multisystem disease with predominant musculoskeletal manifestations. Rheumatoid arthritis (ra) imaging tests are used to look for signs of ra and to monitor the disease’s progression. Imaging findings in rheumatoid arthritis (ra) reflect the pathophysiology of the disease. Imaging tests for rheumatoid. What Does Ra Stand For In Radiology.
From americanhealthimaging.com
The Differences Between StandUp and Traditional MRIs • American Health What Does Ra Stand For In Radiology Rheumatoid arthritis (ra) imaging tests are used to look for signs of ra and to monitor the disease’s progression. Imaging tests for rheumatoid arthritis. Various imaging modalities help the radiologist and the rheumatologist in making an early diagnosis of. Ra in radiology commonly refers to radiologist assistant, a healthcare professional who assists. Rheumatoid arthritis (ra) is a chronic multisystem disease. What Does Ra Stand For In Radiology.
From www.animalia-life.club
Pet Brain Scan What Does Ra Stand For In Radiology Imaging tests for rheumatoid arthritis. Learn what types of imaging scans are most effective in detecting and monitoring ra. Rheumatoid arthritis (ra) imaging tests are used to look for signs of ra and to monitor the disease’s progression. Rheumatoid arthritis (ra) is a chronic autoimmune multisystemic inflammatory disease that affects many organs but predominantly attacks the synovial tissues. Ra in. What Does Ra Stand For In Radiology.
From radiologyassistant.nl
The Radiology Assistant Arthritis What Does Ra Stand For In Radiology Imaging tests for rheumatoid arthritis. Learn what types of imaging scans are most effective in detecting and monitoring ra. Rheumatoid arthritis (ra) imaging tests are used to look for signs of ra and to monitor the disease’s progression. Rheumatoid arthritis (ra) is a chronic multisystem disease with predominant musculoskeletal manifestations. The goal of contemporary rheumatoid arthritis (ra) management is to. What Does Ra Stand For In Radiology.
From curofy.com
Rheumatoid Arthritis Radiology Insights What Does Ra Stand For In Radiology Rheumatoid arthritis (ra) is a chronic multisystem disease with predominant musculoskeletal manifestations. Ra in radiology commonly refers to radiologist assistant, a healthcare professional who assists. Imaging findings in rheumatoid arthritis (ra) reflect the pathophysiology of the disease. Rheumatoid arthritis (ra) is a chronic autoimmune multisystemic inflammatory disease that affects many organs but predominantly attacks the synovial tissues. Rheumatoid arthritis (ra). What Does Ra Stand For In Radiology.
From ar.inspiredpencil.com
Rheumatoid Arthritis X Ray What Does Ra Stand For In Radiology Various imaging modalities help the radiologist and the rheumatologist in making an early diagnosis of. The goal of contemporary rheumatoid arthritis (ra) management is to redefine ra as a disease that is no longer. Rheumatoid arthritis (ra) imaging tests are used to look for signs of ra and to monitor the disease’s progression. Imaging findings in rheumatoid arthritis (ra) reflect. What Does Ra Stand For In Radiology.
From curofy.com
Rheumatoid Arthritis Radiology Insights What Does Ra Stand For In Radiology Imaging tests for rheumatoid arthritis. Rheumatoid arthritis (ra) imaging tests are used to look for signs of ra and to monitor the disease’s progression. Ra in radiology commonly refers to radiologist assistant, a healthcare professional who assists. Rheumatoid arthritis (ra) is a chronic autoimmune multisystemic inflammatory disease that affects many organs but predominantly attacks the synovial tissues. Imaging findings in. What Does Ra Stand For In Radiology.
From www.studocu.com
Radiology VT Chest X Ray Ra d i o l o g y V T C h e s t X Ra y CXR What Does Ra Stand For In Radiology Imaging tests for rheumatoid arthritis. Rheumatoid arthritis (ra) is a chronic multisystem disease with predominant musculoskeletal manifestations. Rheumatoid arthritis (ra) imaging tests are used to look for signs of ra and to monitor the disease’s progression. Rheumatoid arthritis (ra) is a chronic autoimmune multisystemic inflammatory disease that affects many organs but predominantly attacks the synovial tissues. The goal of contemporary. What Does Ra Stand For In Radiology.
From www.wikidoc.org
Rheumatoid arthritis x ray wikidoc What Does Ra Stand For In Radiology Learn what types of imaging scans are most effective in detecting and monitoring ra. Ra in radiology commonly refers to radiologist assistant, a healthcare professional who assists. The goal of contemporary rheumatoid arthritis (ra) management is to redefine ra as a disease that is no longer. Various imaging modalities help the radiologist and the rheumatologist in making an early diagnosis. What Does Ra Stand For In Radiology.
From fyojnewai.blob.core.windows.net
What Does Dr Stand For In Radiology at Aaron Freese blog What Does Ra Stand For In Radiology Imaging tests for rheumatoid arthritis. Imaging findings in rheumatoid arthritis (ra) reflect the pathophysiology of the disease. The goal of contemporary rheumatoid arthritis (ra) management is to redefine ra as a disease that is no longer. Ra in radiology commonly refers to radiologist assistant, a healthcare professional who assists. Rheumatoid arthritis (ra) is a chronic autoimmune multisystemic inflammatory disease that. What Does Ra Stand For In Radiology.
From shoulderelbow.org
Elbow Rheumatoid Arthritis Any Good Treatment Options? Shoulder & Elbow What Does Ra Stand For In Radiology Imaging tests for rheumatoid arthritis. Various imaging modalities help the radiologist and the rheumatologist in making an early diagnosis of. Rheumatoid arthritis (ra) is a chronic autoimmune multisystemic inflammatory disease that affects many organs but predominantly attacks the synovial tissues. Ra in radiology commonly refers to radiologist assistant, a healthcare professional who assists. Rheumatoid arthritis (ra) imaging tests are used. What Does Ra Stand For In Radiology.
From www.svuhradiology.ie
Rheumatoid arthritis hands Radiology at St. Vincent's University What Does Ra Stand For In Radiology Various imaging modalities help the radiologist and the rheumatologist in making an early diagnosis of. Learn what types of imaging scans are most effective in detecting and monitoring ra. Ra in radiology commonly refers to radiologist assistant, a healthcare professional who assists. Imaging tests for rheumatoid arthritis. Rheumatoid arthritis (ra) is a chronic multisystem disease with predominant musculoskeletal manifestations. The. What Does Ra Stand For In Radiology.
From radsource.us
MR Imaging of Rheumatoid Arthritis Radsource What Does Ra Stand For In Radiology Ra in radiology commonly refers to radiologist assistant, a healthcare professional who assists. Learn what types of imaging scans are most effective in detecting and monitoring ra. The goal of contemporary rheumatoid arthritis (ra) management is to redefine ra as a disease that is no longer. Rheumatoid arthritis (ra) is a chronic autoimmune multisystemic inflammatory disease that affects many organs. What Does Ra Stand For In Radiology.
From www.slideserve.com
PPT Rheumatoid Arthritis PowerPoint Presentation, free download ID What Does Ra Stand For In Radiology Imaging tests for rheumatoid arthritis. Rheumatoid arthritis (ra) imaging tests are used to look for signs of ra and to monitor the disease’s progression. Rheumatoid arthritis (ra) is a chronic multisystem disease with predominant musculoskeletal manifestations. Various imaging modalities help the radiologist and the rheumatologist in making an early diagnosis of. Rheumatoid arthritis (ra) is a chronic autoimmune multisystemic inflammatory. What Does Ra Stand For In Radiology.
From www.pinterest.com
Radiological features of RA... Radiology, Ortho, Orthopedics What Does Ra Stand For In Radiology Rheumatoid arthritis (ra) imaging tests are used to look for signs of ra and to monitor the disease’s progression. Rheumatoid arthritis (ra) is a chronic autoimmune multisystemic inflammatory disease that affects many organs but predominantly attacks the synovial tissues. Learn what types of imaging scans are most effective in detecting and monitoring ra. The goal of contemporary rheumatoid arthritis (ra). What Does Ra Stand For In Radiology.
From sybridmd.com
What does PACS Stand for in Radiology? 4 Vital Components What Does Ra Stand For In Radiology The goal of contemporary rheumatoid arthritis (ra) management is to redefine ra as a disease that is no longer. Rheumatoid arthritis (ra) is a chronic autoimmune multisystemic inflammatory disease that affects many organs but predominantly attacks the synovial tissues. Imaging tests for rheumatoid arthritis. Ra in radiology commonly refers to radiologist assistant, a healthcare professional who assists. Rheumatoid arthritis (ra). What Does Ra Stand For In Radiology.
From ar.inspiredpencil.com
Rheumatoid Arthritis X Ray What Does Ra Stand For In Radiology Rheumatoid arthritis (ra) imaging tests are used to look for signs of ra and to monitor the disease’s progression. Imaging tests for rheumatoid arthritis. The goal of contemporary rheumatoid arthritis (ra) management is to redefine ra as a disease that is no longer. Learn what types of imaging scans are most effective in detecting and monitoring ra. Imaging findings in. What Does Ra Stand For In Radiology.
From kikirebeccabond.blogspot.com
rheumatoid arthritis x ray Rebecca Bond What Does Ra Stand For In Radiology Imaging tests for rheumatoid arthritis. Various imaging modalities help the radiologist and the rheumatologist in making an early diagnosis of. Learn what types of imaging scans are most effective in detecting and monitoring ra. The goal of contemporary rheumatoid arthritis (ra) management is to redefine ra as a disease that is no longer. Rheumatoid arthritis (ra) imaging tests are used. What Does Ra Stand For In Radiology.
From www.youtube.com
Image of the Month April 2011 Rheumatoid Arthritis XRay YouTube What Does Ra Stand For In Radiology Imaging tests for rheumatoid arthritis. Ra in radiology commonly refers to radiologist assistant, a healthcare professional who assists. Rheumatoid arthritis (ra) imaging tests are used to look for signs of ra and to monitor the disease’s progression. The goal of contemporary rheumatoid arthritis (ra) management is to redefine ra as a disease that is no longer. Learn what types of. What Does Ra Stand For In Radiology.