Leber's Hereditary Optic Neuropathy Inheritance . Leber hereditary optic neuropathy (lhon) is a genetically inherited disease that causes vision loss. Most people who inherit the. Leber hereditary optic neuropathy (lhon) typically presents in young adults as bilateral, painless, subacute visual failure. Leber's hereditary optic neuropathy (lhon) was initially reported and comprehensively documented by theodor. The peak age of onset in lhon is in the second. Genetic mutations can be hereditary,. Leber hereditary optic neuropathy is caused by genetic mutations, also known as pathogenic variants. Leber hereditary optic neuropathy (lhon) is an inherited form of vision loss. Although this condition usually begins in a person's teens or twenties, rare cases may appear in early.
from jnnp.bmj.com
Leber hereditary optic neuropathy (lhon) is a genetically inherited disease that causes vision loss. Genetic mutations can be hereditary,. Leber hereditary optic neuropathy (lhon) typically presents in young adults as bilateral, painless, subacute visual failure. Although this condition usually begins in a person's teens or twenties, rare cases may appear in early. Most people who inherit the. Leber hereditary optic neuropathy is caused by genetic mutations, also known as pathogenic variants. Leber hereditary optic neuropathy (lhon) is an inherited form of vision loss. Leber's hereditary optic neuropathy (lhon) was initially reported and comprehensively documented by theodor. The peak age of onset in lhon is in the second.
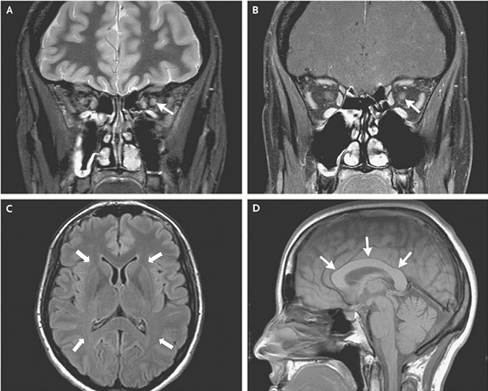
MRI in Leber's hereditary optic neuropathy the relationship to multiple sclerosis Journal of
Leber's Hereditary Optic Neuropathy Inheritance Leber's hereditary optic neuropathy (lhon) was initially reported and comprehensively documented by theodor. Leber hereditary optic neuropathy (lhon) is a genetically inherited disease that causes vision loss. The peak age of onset in lhon is in the second. Leber hereditary optic neuropathy (lhon) typically presents in young adults as bilateral, painless, subacute visual failure. Although this condition usually begins in a person's teens or twenties, rare cases may appear in early. Leber's hereditary optic neuropathy (lhon) was initially reported and comprehensively documented by theodor. Leber hereditary optic neuropathy is caused by genetic mutations, also known as pathogenic variants. Leber hereditary optic neuropathy (lhon) is an inherited form of vision loss. Most people who inherit the. Genetic mutations can be hereditary,.
From storymd.com
Leber Hereditary Optic Neuropathy StoryMD Leber's Hereditary Optic Neuropathy Inheritance Although this condition usually begins in a person's teens or twenties, rare cases may appear in early. Leber hereditary optic neuropathy (lhon) is an inherited form of vision loss. The peak age of onset in lhon is in the second. Most people who inherit the. Leber hereditary optic neuropathy (lhon) is a genetically inherited disease that causes vision loss. Leber. Leber's Hereditary Optic Neuropathy Inheritance.
From www.aao.org
Leber hereditary optic neuropathy American Academy of Ophthalmology Leber's Hereditary Optic Neuropathy Inheritance Leber hereditary optic neuropathy (lhon) is an inherited form of vision loss. Most people who inherit the. Leber hereditary optic neuropathy (lhon) typically presents in young adults as bilateral, painless, subacute visual failure. Although this condition usually begins in a person's teens or twenties, rare cases may appear in early. Genetic mutations can be hereditary,. Leber hereditary optic neuropathy is. Leber's Hereditary Optic Neuropathy Inheritance.
From www.frontiersin.org
Frontiers Leber’s hereditary optic neuropathy Update on current diagnosis and treatment Leber's Hereditary Optic Neuropathy Inheritance The peak age of onset in lhon is in the second. Leber hereditary optic neuropathy (lhon) is a genetically inherited disease that causes vision loss. Leber hereditary optic neuropathy is caused by genetic mutations, also known as pathogenic variants. Leber hereditary optic neuropathy (lhon) is an inherited form of vision loss. Leber hereditary optic neuropathy (lhon) typically presents in young. Leber's Hereditary Optic Neuropathy Inheritance.
From www.cureus.com
Leber Hereditary Optic Neuropathy Case Report and Literature Review Cureus Leber's Hereditary Optic Neuropathy Inheritance Although this condition usually begins in a person's teens or twenties, rare cases may appear in early. The peak age of onset in lhon is in the second. Leber hereditary optic neuropathy (lhon) is a genetically inherited disease that causes vision loss. Most people who inherit the. Leber's hereditary optic neuropathy (lhon) was initially reported and comprehensively documented by theodor.. Leber's Hereditary Optic Neuropathy Inheritance.
From jmg.bmj.com
Leber hereditary optic neuropathy Journal of Medical Leber's Hereditary Optic Neuropathy Inheritance The peak age of onset in lhon is in the second. Although this condition usually begins in a person's teens or twenties, rare cases may appear in early. Leber hereditary optic neuropathy is caused by genetic mutations, also known as pathogenic variants. Leber's hereditary optic neuropathy (lhon) was initially reported and comprehensively documented by theodor. Genetic mutations can be hereditary,.. Leber's Hereditary Optic Neuropathy Inheritance.
From www.frontiersin.org
Frontiers Leber’s hereditary optic neuropathy companied with multiplerelated diseases Leber's Hereditary Optic Neuropathy Inheritance The peak age of onset in lhon is in the second. Genetic mutations can be hereditary,. Leber's hereditary optic neuropathy (lhon) was initially reported and comprehensively documented by theodor. Most people who inherit the. Leber hereditary optic neuropathy (lhon) is an inherited form of vision loss. Leber hereditary optic neuropathy is caused by genetic mutations, also known as pathogenic variants.. Leber's Hereditary Optic Neuropathy Inheritance.
From www.researchgate.net
(PDF) Leber Hereditary Optic Neuropathy Review of Treatment and Management Leber's Hereditary Optic Neuropathy Inheritance Genetic mutations can be hereditary,. Most people who inherit the. Leber hereditary optic neuropathy (lhon) is a genetically inherited disease that causes vision loss. Leber hereditary optic neuropathy is caused by genetic mutations, also known as pathogenic variants. Leber's hereditary optic neuropathy (lhon) was initially reported and comprehensively documented by theodor. Although this condition usually begins in a person's teens. Leber's Hereditary Optic Neuropathy Inheritance.
From www.openmed.co.in
Leber Hereditary Optic Neuropathy Leber's Hereditary Optic Neuropathy Inheritance Leber hereditary optic neuropathy (lhon) is an inherited form of vision loss. The peak age of onset in lhon is in the second. Leber's hereditary optic neuropathy (lhon) was initially reported and comprehensively documented by theodor. Most people who inherit the. Leber hereditary optic neuropathy is caused by genetic mutations, also known as pathogenic variants. Although this condition usually begins. Leber's Hereditary Optic Neuropathy Inheritance.
From www.dovemed.com
Leber Hereditary Optic Neuropathy DoveMed Leber's Hereditary Optic Neuropathy Inheritance Leber hereditary optic neuropathy (lhon) typically presents in young adults as bilateral, painless, subacute visual failure. Although this condition usually begins in a person's teens or twenties, rare cases may appear in early. Leber hereditary optic neuropathy (lhon) is a genetically inherited disease that causes vision loss. Leber hereditary optic neuropathy (lhon) is an inherited form of vision loss. Genetic. Leber's Hereditary Optic Neuropathy Inheritance.
From www.jci.org
JCI Impaired complex I repair causes recessive Leber’s hereditary optic neuropathy Leber's Hereditary Optic Neuropathy Inheritance Genetic mutations can be hereditary,. Leber's hereditary optic neuropathy (lhon) was initially reported and comprehensively documented by theodor. The peak age of onset in lhon is in the second. Leber hereditary optic neuropathy (lhon) is an inherited form of vision loss. Leber hereditary optic neuropathy is caused by genetic mutations, also known as pathogenic variants. Most people who inherit the.. Leber's Hereditary Optic Neuropathy Inheritance.
From www.researchgate.net
Pedigrees of Leber's hereditary optic neuropathy. Top English 3460... Download Scientific Diagram Leber's Hereditary Optic Neuropathy Inheritance Leber's hereditary optic neuropathy (lhon) was initially reported and comprehensively documented by theodor. Although this condition usually begins in a person's teens or twenties, rare cases may appear in early. Leber hereditary optic neuropathy (lhon) is an inherited form of vision loss. Leber hereditary optic neuropathy (lhon) is a genetically inherited disease that causes vision loss. The peak age of. Leber's Hereditary Optic Neuropathy Inheritance.
From www.researchgate.net
Fundal abnormalities in Leber hereditary optic neuropathy. This... Download Scientific Diagram Leber's Hereditary Optic Neuropathy Inheritance Leber hereditary optic neuropathy is caused by genetic mutations, also known as pathogenic variants. Genetic mutations can be hereditary,. Although this condition usually begins in a person's teens or twenties, rare cases may appear in early. Leber hereditary optic neuropathy (lhon) typically presents in young adults as bilateral, painless, subacute visual failure. Leber's hereditary optic neuropathy (lhon) was initially reported. Leber's Hereditary Optic Neuropathy Inheritance.
From www.wikiwand.com
Leber's hereditary optic neuropathy Wikiwand Leber's Hereditary Optic Neuropathy Inheritance The peak age of onset in lhon is in the second. Although this condition usually begins in a person's teens or twenties, rare cases may appear in early. Leber hereditary optic neuropathy (lhon) typically presents in young adults as bilateral, painless, subacute visual failure. Leber hereditary optic neuropathy (lhon) is a genetically inherited disease that causes vision loss. Most people. Leber's Hereditary Optic Neuropathy Inheritance.
From www.numerade.com
SOLVED This pedigree depicts the inheritance of the mitochondrial disease Leber hereditary Leber's Hereditary Optic Neuropathy Inheritance Leber hereditary optic neuropathy (lhon) is a genetically inherited disease that causes vision loss. Leber hereditary optic neuropathy is caused by genetic mutations, also known as pathogenic variants. Genetic mutations can be hereditary,. Although this condition usually begins in a person's teens or twenties, rare cases may appear in early. Leber's hereditary optic neuropathy (lhon) was initially reported and comprehensively. Leber's Hereditary Optic Neuropathy Inheritance.
From plano.co
Leber hereditary optic neuropathy What is it, Causes and Treatment Leber's Hereditary Optic Neuropathy Inheritance Leber's hereditary optic neuropathy (lhon) was initially reported and comprehensively documented by theodor. Leber hereditary optic neuropathy (lhon) typically presents in young adults as bilateral, painless, subacute visual failure. Although this condition usually begins in a person's teens or twenties, rare cases may appear in early. Leber hereditary optic neuropathy is caused by genetic mutations, also known as pathogenic variants.. Leber's Hereditary Optic Neuropathy Inheritance.
From eyetoday.in
Leber Hereditary Optic Neuropathy (LHON) EyeToday Leber's Hereditary Optic Neuropathy Inheritance Although this condition usually begins in a person's teens or twenties, rare cases may appear in early. Leber hereditary optic neuropathy (lhon) is an inherited form of vision loss. Leber's hereditary optic neuropathy (lhon) was initially reported and comprehensively documented by theodor. Most people who inherit the. The peak age of onset in lhon is in the second. Leber hereditary. Leber's Hereditary Optic Neuropathy Inheritance.
From gene.vision
Leber Hereditary Optic Neuropathy for patients Gene Vision Leber's Hereditary Optic Neuropathy Inheritance Most people who inherit the. Although this condition usually begins in a person's teens or twenties, rare cases may appear in early. Leber hereditary optic neuropathy (lhon) is an inherited form of vision loss. Leber hereditary optic neuropathy (lhon) is a genetically inherited disease that causes vision loss. The peak age of onset in lhon is in the second. Leber. Leber's Hereditary Optic Neuropathy Inheritance.
From www.frontiersin.org
Frontiers Leber’s hereditary optic neuropathy Update on current diagnosis and treatment Leber's Hereditary Optic Neuropathy Inheritance Genetic mutations can be hereditary,. The peak age of onset in lhon is in the second. Leber's hereditary optic neuropathy (lhon) was initially reported and comprehensively documented by theodor. Leber hereditary optic neuropathy is caused by genetic mutations, also known as pathogenic variants. Most people who inherit the. Leber hereditary optic neuropathy (lhon) is an inherited form of vision loss.. Leber's Hereditary Optic Neuropathy Inheritance.
From www.researchgate.net
(PDF) Leber's hereditary optic neuropathy A case report Leber's Hereditary Optic Neuropathy Inheritance Although this condition usually begins in a person's teens or twenties, rare cases may appear in early. Leber hereditary optic neuropathy (lhon) is an inherited form of vision loss. Leber hereditary optic neuropathy is caused by genetic mutations, also known as pathogenic variants. Genetic mutations can be hereditary,. Leber's hereditary optic neuropathy (lhon) was initially reported and comprehensively documented by. Leber's Hereditary Optic Neuropathy Inheritance.
From medlineplus.gov
Leber hereditary optic neuropathy MedlinePlus Leber's Hereditary Optic Neuropathy Inheritance Although this condition usually begins in a person's teens or twenties, rare cases may appear in early. Genetic mutations can be hereditary,. Leber hereditary optic neuropathy (lhon) is an inherited form of vision loss. Leber hereditary optic neuropathy (lhon) typically presents in young adults as bilateral, painless, subacute visual failure. Most people who inherit the. Leber's hereditary optic neuropathy (lhon). Leber's Hereditary Optic Neuropathy Inheritance.
From doheny.org
Leber's Hereditary Optic Neuropathy Doheny Eye Institute Leber's Hereditary Optic Neuropathy Inheritance Most people who inherit the. Leber hereditary optic neuropathy (lhon) typically presents in young adults as bilateral, painless, subacute visual failure. Leber's hereditary optic neuropathy (lhon) was initially reported and comprehensively documented by theodor. Although this condition usually begins in a person's teens or twenties, rare cases may appear in early. Leber hereditary optic neuropathy is caused by genetic mutations,. Leber's Hereditary Optic Neuropathy Inheritance.
From entokey.com
Leber’s hereditary optic neuropathy Ento Key Leber's Hereditary Optic Neuropathy Inheritance Leber hereditary optic neuropathy (lhon) is a genetically inherited disease that causes vision loss. Leber hereditary optic neuropathy (lhon) is an inherited form of vision loss. Leber hereditary optic neuropathy is caused by genetic mutations, also known as pathogenic variants. Most people who inherit the. The peak age of onset in lhon is in the second. Leber's hereditary optic neuropathy. Leber's Hereditary Optic Neuropathy Inheritance.
From www.frontiersin.org
Frontiers Leber’s hereditary optic neuropathy Update on current diagnosis and treatment Leber's Hereditary Optic Neuropathy Inheritance Genetic mutations can be hereditary,. Leber hereditary optic neuropathy is caused by genetic mutations, also known as pathogenic variants. Leber hereditary optic neuropathy (lhon) is a genetically inherited disease that causes vision loss. Leber's hereditary optic neuropathy (lhon) was initially reported and comprehensively documented by theodor. Leber hereditary optic neuropathy (lhon) is an inherited form of vision loss. Most people. Leber's Hereditary Optic Neuropathy Inheritance.
From www.frontiersin.org
Frontiers Leber’s hereditary optic neuropathy Update on current diagnosis and treatment Leber's Hereditary Optic Neuropathy Inheritance Leber's hereditary optic neuropathy (lhon) was initially reported and comprehensively documented by theodor. Although this condition usually begins in a person's teens or twenties, rare cases may appear in early. Leber hereditary optic neuropathy (lhon) is a genetically inherited disease that causes vision loss. Leber hereditary optic neuropathy (lhon) typically presents in young adults as bilateral, painless, subacute visual failure.. Leber's Hereditary Optic Neuropathy Inheritance.
From entokey.com
Leber’s hereditary optic neuropathy Ento Key Leber's Hereditary Optic Neuropathy Inheritance Leber hereditary optic neuropathy (lhon) is an inherited form of vision loss. Leber hereditary optic neuropathy (lhon) is a genetically inherited disease that causes vision loss. Leber's hereditary optic neuropathy (lhon) was initially reported and comprehensively documented by theodor. Most people who inherit the. Leber hereditary optic neuropathy is caused by genetic mutations, also known as pathogenic variants. The peak. Leber's Hereditary Optic Neuropathy Inheritance.
From www.aao.org
Leber hereditary optic neuropathy American Academy of Ophthalmology Leber's Hereditary Optic Neuropathy Inheritance Leber hereditary optic neuropathy (lhon) is an inherited form of vision loss. Leber hereditary optic neuropathy (lhon) typically presents in young adults as bilateral, painless, subacute visual failure. Genetic mutations can be hereditary,. Leber's hereditary optic neuropathy (lhon) was initially reported and comprehensively documented by theodor. Most people who inherit the. Although this condition usually begins in a person's teens. Leber's Hereditary Optic Neuropathy Inheritance.
From www.researchgate.net
OCTA images of a patient with Leber hereditary optic neuropathy.... Download Scientific Diagram Leber's Hereditary Optic Neuropathy Inheritance The peak age of onset in lhon is in the second. Most people who inherit the. Leber hereditary optic neuropathy is caused by genetic mutations, also known as pathogenic variants. Genetic mutations can be hereditary,. Leber hereditary optic neuropathy (lhon) is an inherited form of vision loss. Leber's hereditary optic neuropathy (lhon) was initially reported and comprehensively documented by theodor.. Leber's Hereditary Optic Neuropathy Inheritance.
From www.frontiersin.org
Frontiers Clinical application of multicolor imaging in Leber hereditary optic neuropathy Leber's Hereditary Optic Neuropathy Inheritance The peak age of onset in lhon is in the second. Although this condition usually begins in a person's teens or twenties, rare cases may appear in early. Most people who inherit the. Genetic mutations can be hereditary,. Leber hereditary optic neuropathy is caused by genetic mutations, also known as pathogenic variants. Leber hereditary optic neuropathy (lhon) is an inherited. Leber's Hereditary Optic Neuropathy Inheritance.
From www.mdpi.com
Biomedicines Free FullText Leber Hereditary Optic Neuropathy Molecular Pathophysiology and Leber's Hereditary Optic Neuropathy Inheritance The peak age of onset in lhon is in the second. Genetic mutations can be hereditary,. Leber hereditary optic neuropathy (lhon) is a genetically inherited disease that causes vision loss. Leber hereditary optic neuropathy (lhon) typically presents in young adults as bilateral, painless, subacute visual failure. Leber hereditary optic neuropathy is caused by genetic mutations, also known as pathogenic variants.. Leber's Hereditary Optic Neuropathy Inheritance.
From jnnp.bmj.com
MRI in Leber's hereditary optic neuropathy the relationship to multiple sclerosis Journal of Leber's Hereditary Optic Neuropathy Inheritance Genetic mutations can be hereditary,. Leber's hereditary optic neuropathy (lhon) was initially reported and comprehensively documented by theodor. Leber hereditary optic neuropathy (lhon) is an inherited form of vision loss. Most people who inherit the. Leber hereditary optic neuropathy (lhon) is a genetically inherited disease that causes vision loss. Leber hereditary optic neuropathy (lhon) typically presents in young adults as. Leber's Hereditary Optic Neuropathy Inheritance.
From jamanetwork.com
Leber's Hereditary Optic Neuropathy Masquerading as Retinal Vasculitis Dermatology JAMA Leber's Hereditary Optic Neuropathy Inheritance Most people who inherit the. Leber hereditary optic neuropathy (lhon) typically presents in young adults as bilateral, painless, subacute visual failure. Leber hereditary optic neuropathy (lhon) is a genetically inherited disease that causes vision loss. Leber hereditary optic neuropathy is caused by genetic mutations, also known as pathogenic variants. Leber hereditary optic neuropathy (lhon) is an inherited form of vision. Leber's Hereditary Optic Neuropathy Inheritance.
From jmg.bmj.com
Leber hereditary optic neuropathy Journal of Medical Leber's Hereditary Optic Neuropathy Inheritance Leber hereditary optic neuropathy (lhon) typically presents in young adults as bilateral, painless, subacute visual failure. Leber hereditary optic neuropathy is caused by genetic mutations, also known as pathogenic variants. Although this condition usually begins in a person's teens or twenties, rare cases may appear in early. The peak age of onset in lhon is in the second. Most people. Leber's Hereditary Optic Neuropathy Inheritance.
From www.morebooks.de
Leber's Hereditary Optic Neuropathy, 9786131628955, 6131628955 ,9786131628955 Leber's Hereditary Optic Neuropathy Inheritance Most people who inherit the. Leber's hereditary optic neuropathy (lhon) was initially reported and comprehensively documented by theodor. The peak age of onset in lhon is in the second. Genetic mutations can be hereditary,. Leber hereditary optic neuropathy (lhon) is a genetically inherited disease that causes vision loss. Leber hereditary optic neuropathy is caused by genetic mutations, also known as. Leber's Hereditary Optic Neuropathy Inheritance.
From jmg.bmj.com
Inherited mitochondrial optic neuropathies Journal of Medical Leber's Hereditary Optic Neuropathy Inheritance Although this condition usually begins in a person's teens or twenties, rare cases may appear in early. Leber hereditary optic neuropathy (lhon) is an inherited form of vision loss. Leber hereditary optic neuropathy (lhon) is a genetically inherited disease that causes vision loss. Genetic mutations can be hereditary,. Leber's hereditary optic neuropathy (lhon) was initially reported and comprehensively documented by. Leber's Hereditary Optic Neuropathy Inheritance.
From www.cureus.com
Cureus A Case of a 23YearOld Male With Leber Hereditary Optic Neuropathy With a Rare Mutation Leber's Hereditary Optic Neuropathy Inheritance Most people who inherit the. The peak age of onset in lhon is in the second. Although this condition usually begins in a person's teens or twenties, rare cases may appear in early. Leber hereditary optic neuropathy (lhon) is a genetically inherited disease that causes vision loss. Leber's hereditary optic neuropathy (lhon) was initially reported and comprehensively documented by theodor.. Leber's Hereditary Optic Neuropathy Inheritance.