Orthodontic Misaligned Jaw . Malocclusion of your teeth is typically treated with orthodontic interventions (like braces), while jaw alignment remedies are more varied. Luckily, there are many orthodontic options, like aligners and braces that can correct misaligned jaws, before patients have to consider more serious methods. Braces can put enough pressure on teeth to correct severe misalignment. It can cause discomfort, difficulty chewing, and other issues such as tmj. Braces work to straighten the teeth and correct misalignment by applying pressure to the teeth to gently move them into their. Learn about the different symptoms, causes, and treatment of misaligned teeth in this article. Clear aligner treatment, like invisalign london, can help correct some jaw misalignments without the need for visible braces. “ misaligned jaw ” is a term used to describe a condition where the upper and lower jaws are not properly aligned. Malocclusion is the medical term for misaligned teeth or a jaw. Can you use braces for misaligned jaws? The easiest way to correct a misaligned jaw is to utilize braces.
from www.pinterest.com
Braces work to straighten the teeth and correct misalignment by applying pressure to the teeth to gently move them into their. Malocclusion of your teeth is typically treated with orthodontic interventions (like braces), while jaw alignment remedies are more varied. Luckily, there are many orthodontic options, like aligners and braces that can correct misaligned jaws, before patients have to consider more serious methods. Learn about the different symptoms, causes, and treatment of misaligned teeth in this article. “ misaligned jaw ” is a term used to describe a condition where the upper and lower jaws are not properly aligned. It can cause discomfort, difficulty chewing, and other issues such as tmj. Malocclusion is the medical term for misaligned teeth or a jaw. Clear aligner treatment, like invisalign london, can help correct some jaw misalignments without the need for visible braces. The easiest way to correct a misaligned jaw is to utilize braces. Braces can put enough pressure on teeth to correct severe misalignment.
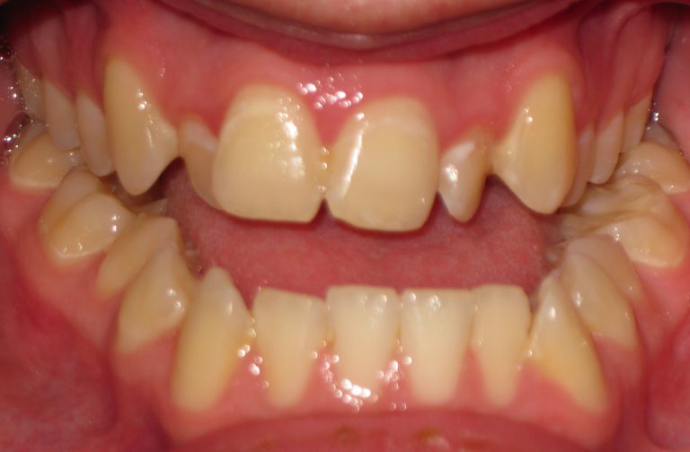
This woman had a severe malocclusion with a narrow upper jaw, an
Orthodontic Misaligned Jaw Clear aligner treatment, like invisalign london, can help correct some jaw misalignments without the need for visible braces. Clear aligner treatment, like invisalign london, can help correct some jaw misalignments without the need for visible braces. It can cause discomfort, difficulty chewing, and other issues such as tmj. Luckily, there are many orthodontic options, like aligners and braces that can correct misaligned jaws, before patients have to consider more serious methods. Learn about the different symptoms, causes, and treatment of misaligned teeth in this article. The easiest way to correct a misaligned jaw is to utilize braces. Malocclusion of your teeth is typically treated with orthodontic interventions (like braces), while jaw alignment remedies are more varied. Braces work to straighten the teeth and correct misalignment by applying pressure to the teeth to gently move them into their. Braces can put enough pressure on teeth to correct severe misalignment. Malocclusion is the medical term for misaligned teeth or a jaw. Can you use braces for misaligned jaws? “ misaligned jaw ” is a term used to describe a condition where the upper and lower jaws are not properly aligned.
From orthodonticsaustralia.org.au
Orthodontics Australia Overjet and Overbite Difference, Causes and Orthodontic Misaligned Jaw It can cause discomfort, difficulty chewing, and other issues such as tmj. Can you use braces for misaligned jaws? Luckily, there are many orthodontic options, like aligners and braces that can correct misaligned jaws, before patients have to consider more serious methods. “ misaligned jaw ” is a term used to describe a condition where the upper and lower jaws. Orthodontic Misaligned Jaw.
From herringchiropracticclinic.com
Misaligned Jaw? Causes, Symptoms & Top Treatment Options Revealed Orthodontic Misaligned Jaw Braces work to straighten the teeth and correct misalignment by applying pressure to the teeth to gently move them into their. The easiest way to correct a misaligned jaw is to utilize braces. Can you use braces for misaligned jaws? Learn about the different symptoms, causes, and treatment of misaligned teeth in this article. Malocclusion is the medical term for. Orthodontic Misaligned Jaw.
From www.easterndental.com
Misaligned Teeth (Malocclusion) Eastern Dental Orthodontic Misaligned Jaw Malocclusion is the medical term for misaligned teeth or a jaw. “ misaligned jaw ” is a term used to describe a condition where the upper and lower jaws are not properly aligned. Malocclusion of your teeth is typically treated with orthodontic interventions (like braces), while jaw alignment remedies are more varied. Learn about the different symptoms, causes, and treatment. Orthodontic Misaligned Jaw.
From www.reddit.com
Should I get braces? I have a misaligned jaw as seen in the picture Orthodontic Misaligned Jaw Can you use braces for misaligned jaws? Malocclusion of your teeth is typically treated with orthodontic interventions (like braces), while jaw alignment remedies are more varied. Learn about the different symptoms, causes, and treatment of misaligned teeth in this article. The easiest way to correct a misaligned jaw is to utilize braces. It can cause discomfort, difficulty chewing, and other. Orthodontic Misaligned Jaw.
From www.pinterest.com
This woman had a severe malocclusion with a narrow upper jaw, an Orthodontic Misaligned Jaw It can cause discomfort, difficulty chewing, and other issues such as tmj. Can you use braces for misaligned jaws? “ misaligned jaw ” is a term used to describe a condition where the upper and lower jaws are not properly aligned. The easiest way to correct a misaligned jaw is to utilize braces. Learn about the different symptoms, causes, and. Orthodontic Misaligned Jaw.
From kreativedentistry.com
Best Jaw Correction Surgery Jaw Correction Surgery near me Orthodontic Misaligned Jaw “ misaligned jaw ” is a term used to describe a condition where the upper and lower jaws are not properly aligned. Malocclusion of your teeth is typically treated with orthodontic interventions (like braces), while jaw alignment remedies are more varied. It can cause discomfort, difficulty chewing, and other issues such as tmj. Clear aligner treatment, like invisalign london, can. Orthodontic Misaligned Jaw.
From www.alamy.com
Orthodontic treatment concept image with a small girl showing her mouth Orthodontic Misaligned Jaw Malocclusion is the medical term for misaligned teeth or a jaw. Clear aligner treatment, like invisalign london, can help correct some jaw misalignments without the need for visible braces. It can cause discomfort, difficulty chewing, and other issues such as tmj. Learn about the different symptoms, causes, and treatment of misaligned teeth in this article. Luckily, there are many orthodontic. Orthodontic Misaligned Jaw.
From flashaligners.in
Misaligned Jaw Symptoms, Causes and Treatment Options Orthodontic Misaligned Jaw Can you use braces for misaligned jaws? “ misaligned jaw ” is a term used to describe a condition where the upper and lower jaws are not properly aligned. Learn about the different symptoms, causes, and treatment of misaligned teeth in this article. The easiest way to correct a misaligned jaw is to utilize braces. Luckily, there are many orthodontic. Orthodontic Misaligned Jaw.
From www.faceliftdentistry.com
The Misaligned Jaw Symptoms and Treatment Orthodontic Misaligned Jaw Malocclusion of your teeth is typically treated with orthodontic interventions (like braces), while jaw alignment remedies are more varied. Clear aligner treatment, like invisalign london, can help correct some jaw misalignments without the need for visible braces. Learn about the different symptoms, causes, and treatment of misaligned teeth in this article. Malocclusion is the medical term for misaligned teeth or. Orthodontic Misaligned Jaw.
From sabkadentist.com
How to Understand Orthodontic Options for Teeth Misalignment Orthodontic Misaligned Jaw Braces can put enough pressure on teeth to correct severe misalignment. Braces work to straighten the teeth and correct misalignment by applying pressure to the teeth to gently move them into their. Clear aligner treatment, like invisalign london, can help correct some jaw misalignments without the need for visible braces. Learn about the different symptoms, causes, and treatment of misaligned. Orthodontic Misaligned Jaw.
From www.pinterest.com
Playa Vista Orthodontics focuses on correcting misaligned teeth and Orthodontic Misaligned Jaw Malocclusion is the medical term for misaligned teeth or a jaw. It can cause discomfort, difficulty chewing, and other issues such as tmj. Luckily, there are many orthodontic options, like aligners and braces that can correct misaligned jaws, before patients have to consider more serious methods. Clear aligner treatment, like invisalign london, can help correct some jaw misalignments without the. Orthodontic Misaligned Jaw.
From www.drbrodskysmile.com
Orthodontic Before and After Photos Brodsky Orthodontics Orthodontic Misaligned Jaw Clear aligner treatment, like invisalign london, can help correct some jaw misalignments without the need for visible braces. Can you use braces for misaligned jaws? Malocclusion of your teeth is typically treated with orthodontic interventions (like braces), while jaw alignment remedies are more varied. Luckily, there are many orthodontic options, like aligners and braces that can correct misaligned jaws, before. Orthodontic Misaligned Jaw.
From www.alamy.com
Orthodontic treatment concept image with a small girl showing her mouth Orthodontic Misaligned Jaw Malocclusion of your teeth is typically treated with orthodontic interventions (like braces), while jaw alignment remedies are more varied. Clear aligner treatment, like invisalign london, can help correct some jaw misalignments without the need for visible braces. Learn about the different symptoms, causes, and treatment of misaligned teeth in this article. “ misaligned jaw ” is a term used to. Orthodontic Misaligned Jaw.
From mborthodontics.ca
What Kinds of Misalignments Can Braces Fix? All of These! Orthodontic Misaligned Jaw “ misaligned jaw ” is a term used to describe a condition where the upper and lower jaws are not properly aligned. Malocclusion of your teeth is typically treated with orthodontic interventions (like braces), while jaw alignment remedies are more varied. The easiest way to correct a misaligned jaw is to utilize braces. Can you use braces for misaligned jaws?. Orthodontic Misaligned Jaw.
From theelitedental.com
Misaligned Teeth Causes and Treatment Options Elite Dental Care Orthodontic Misaligned Jaw Braces work to straighten the teeth and correct misalignment by applying pressure to the teeth to gently move them into their. Clear aligner treatment, like invisalign london, can help correct some jaw misalignments without the need for visible braces. The easiest way to correct a misaligned jaw is to utilize braces. Malocclusion of your teeth is typically treated with orthodontic. Orthodontic Misaligned Jaw.
From firstimpressionorthodontics.com
How Misaligned Teeth Affect Your Oral Health First impression Orthodontic Misaligned Jaw Learn about the different symptoms, causes, and treatment of misaligned teeth in this article. Clear aligner treatment, like invisalign london, can help correct some jaw misalignments without the need for visible braces. “ misaligned jaw ” is a term used to describe a condition where the upper and lower jaws are not properly aligned. Braces work to straighten the teeth. Orthodontic Misaligned Jaw.
From burkeredfordorthodontists.com
Misaligned Jaw Treatment Misaligned Jaw Doctor Orthodontic Misaligned Jaw Malocclusion of your teeth is typically treated with orthodontic interventions (like braces), while jaw alignment remedies are more varied. Braces can put enough pressure on teeth to correct severe misalignment. Braces work to straighten the teeth and correct misalignment by applying pressure to the teeth to gently move them into their. “ misaligned jaw ” is a term used to. Orthodontic Misaligned Jaw.
From kincerortho.com
Marietta Surgical Orthodontics Kennesaw Jaw Misalignment Correction Orthodontic Misaligned Jaw Clear aligner treatment, like invisalign london, can help correct some jaw misalignments without the need for visible braces. Braces work to straighten the teeth and correct misalignment by applying pressure to the teeth to gently move them into their. Learn about the different symptoms, causes, and treatment of misaligned teeth in this article. Luckily, there are many orthodontic options, like. Orthodontic Misaligned Jaw.
From www.alamy.com
Boy getting an orthodontic appliance to correct jaw misalignment Stock Orthodontic Misaligned Jaw Luckily, there are many orthodontic options, like aligners and braces that can correct misaligned jaws, before patients have to consider more serious methods. It can cause discomfort, difficulty chewing, and other issues such as tmj. Braces work to straighten the teeth and correct misalignment by applying pressure to the teeth to gently move them into their. The easiest way to. Orthodontic Misaligned Jaw.
From drdamonsmiles.com
Recognizing And Treating Your Child's Misaligned Jaw Szymanowski Orthodontic Misaligned Jaw “ misaligned jaw ” is a term used to describe a condition where the upper and lower jaws are not properly aligned. The easiest way to correct a misaligned jaw is to utilize braces. Malocclusion of your teeth is typically treated with orthodontic interventions (like braces), while jaw alignment remedies are more varied. It can cause discomfort, difficulty chewing, and. Orthodontic Misaligned Jaw.
From www.pinterest.com
Dental Braces for Misaligned Teeth Dental braces, Orthodontics braces Orthodontic Misaligned Jaw The easiest way to correct a misaligned jaw is to utilize braces. Clear aligner treatment, like invisalign london, can help correct some jaw misalignments without the need for visible braces. Braces can put enough pressure on teeth to correct severe misalignment. Braces work to straighten the teeth and correct misalignment by applying pressure to the teeth to gently move them. Orthodontic Misaligned Jaw.
From desertmaxillofacial.com
Corrective Jaw Surgery Orthognathic Surgery Misaligned Jaws Orthodontic Misaligned Jaw Clear aligner treatment, like invisalign london, can help correct some jaw misalignments without the need for visible braces. Braces work to straighten the teeth and correct misalignment by applying pressure to the teeth to gently move them into their. Malocclusion is the medical term for misaligned teeth or a jaw. Learn about the different symptoms, causes, and treatment of misaligned. Orthodontic Misaligned Jaw.
From ahavaortho.com
Ways To Treat A Misaligned Jaw Ahava Orthodontics Orthodontic Misaligned Jaw Malocclusion is the medical term for misaligned teeth or a jaw. Braces can put enough pressure on teeth to correct severe misalignment. Malocclusion of your teeth is typically treated with orthodontic interventions (like braces), while jaw alignment remedies are more varied. “ misaligned jaw ” is a term used to describe a condition where the upper and lower jaws are. Orthodontic Misaligned Jaw.
From in.pinterest.com
If you are interested in straightening your teeth? Avid Dental offers Orthodontic Misaligned Jaw It can cause discomfort, difficulty chewing, and other issues such as tmj. Can you use braces for misaligned jaws? Learn about the different symptoms, causes, and treatment of misaligned teeth in this article. Malocclusion of your teeth is typically treated with orthodontic interventions (like braces), while jaw alignment remedies are more varied. Malocclusion is the medical term for misaligned teeth. Orthodontic Misaligned Jaw.
From www.londoncosmeticdentistry.co.uk
Can Orthodontics Improve a Misaligned Jaw The London Centre for Orthodontic Misaligned Jaw Learn about the different symptoms, causes, and treatment of misaligned teeth in this article. The easiest way to correct a misaligned jaw is to utilize braces. Clear aligner treatment, like invisalign london, can help correct some jaw misalignments without the need for visible braces. Can you use braces for misaligned jaws? Malocclusion is the medical term for misaligned teeth or. Orthodontic Misaligned Jaw.
From desertmaxillofacial.com
Corrective Jaw Surgery Orthognathic Surgery Misaligned Jaws Orthodontic Misaligned Jaw “ misaligned jaw ” is a term used to describe a condition where the upper and lower jaws are not properly aligned. Malocclusion is the medical term for misaligned teeth or a jaw. Can you use braces for misaligned jaws? Malocclusion of your teeth is typically treated with orthodontic interventions (like braces), while jaw alignment remedies are more varied. The. Orthodontic Misaligned Jaw.
From ismileorthodontics.com.au
Misaligned jaw iSmile Orthodontics, Melbourne, VIC Orthodontic Misaligned Jaw Clear aligner treatment, like invisalign london, can help correct some jaw misalignments without the need for visible braces. Luckily, there are many orthodontic options, like aligners and braces that can correct misaligned jaws, before patients have to consider more serious methods. Learn about the different symptoms, causes, and treatment of misaligned teeth in this article. Braces can put enough pressure. Orthodontic Misaligned Jaw.
From clarkandpateloralsurgery.com
Orthognathic Surgery Clark & Patel Oral Surgery Orthodontic Misaligned Jaw Braces can put enough pressure on teeth to correct severe misalignment. Clear aligner treatment, like invisalign london, can help correct some jaw misalignments without the need for visible braces. It can cause discomfort, difficulty chewing, and other issues such as tmj. Can you use braces for misaligned jaws? Malocclusion is the medical term for misaligned teeth or a jaw. Braces. Orthodontic Misaligned Jaw.
From www.orthodontistwilmington.com
Why may some cases of misaligned teeth and jaws need surgery Orthodontic Misaligned Jaw Malocclusion of your teeth is typically treated with orthodontic interventions (like braces), while jaw alignment remedies are more varied. Malocclusion is the medical term for misaligned teeth or a jaw. Can you use braces for misaligned jaws? Braces can put enough pressure on teeth to correct severe misalignment. It can cause discomfort, difficulty chewing, and other issues such as tmj.. Orthodontic Misaligned Jaw.
From www.alamy.com
Boy getting an orthodontic appliance to correct jaw misalignment Stock Orthodontic Misaligned Jaw Learn about the different symptoms, causes, and treatment of misaligned teeth in this article. Braces can put enough pressure on teeth to correct severe misalignment. Can you use braces for misaligned jaws? It can cause discomfort, difficulty chewing, and other issues such as tmj. Malocclusion of your teeth is typically treated with orthodontic interventions (like braces), while jaw alignment remedies. Orthodontic Misaligned Jaw.
From www.putnamorthodontics.com
Jaw Misalignment Causes, Symptoms and Treatment Options Orthodontic Misaligned Jaw Luckily, there are many orthodontic options, like aligners and braces that can correct misaligned jaws, before patients have to consider more serious methods. Can you use braces for misaligned jaws? Malocclusion is the medical term for misaligned teeth or a jaw. Braces can put enough pressure on teeth to correct severe misalignment. It can cause discomfort, difficulty chewing, and other. Orthodontic Misaligned Jaw.
From freyorthocenters.com
Misaligned Jaw Treatments & Options Frey Orthodontics Orthodontic Misaligned Jaw It can cause discomfort, difficulty chewing, and other issues such as tmj. Braces work to straighten the teeth and correct misalignment by applying pressure to the teeth to gently move them into their. Learn about the different symptoms, causes, and treatment of misaligned teeth in this article. Malocclusion of your teeth is typically treated with orthodontic interventions (like braces), while. Orthodontic Misaligned Jaw.
From elaraorthodontics.com
How To Fix A Misaligned Jaw with Orthodontics? Elara Orthodontics Orthodontic Misaligned Jaw It can cause discomfort, difficulty chewing, and other issues such as tmj. Malocclusion of your teeth is typically treated with orthodontic interventions (like braces), while jaw alignment remedies are more varied. Learn about the different symptoms, causes, and treatment of misaligned teeth in this article. Braces can put enough pressure on teeth to correct severe misalignment. “ misaligned jaw ”. Orthodontic Misaligned Jaw.
From www.dentalonthebanks.co.uk
Correcting Bite Function and Jaw Misalignment with Invisalign DOTB Orthodontic Misaligned Jaw Clear aligner treatment, like invisalign london, can help correct some jaw misalignments without the need for visible braces. Malocclusion of your teeth is typically treated with orthodontic interventions (like braces), while jaw alignment remedies are more varied. Luckily, there are many orthodontic options, like aligners and braces that can correct misaligned jaws, before patients have to consider more serious methods.. Orthodontic Misaligned Jaw.
From www.cowichanvalleydental.ca
How to Correct Misaligned Teeth Using Invisalign Treatment? Orthodontic Misaligned Jaw Learn about the different symptoms, causes, and treatment of misaligned teeth in this article. Luckily, there are many orthodontic options, like aligners and braces that can correct misaligned jaws, before patients have to consider more serious methods. It can cause discomfort, difficulty chewing, and other issues such as tmj. Clear aligner treatment, like invisalign london, can help correct some jaw. Orthodontic Misaligned Jaw.