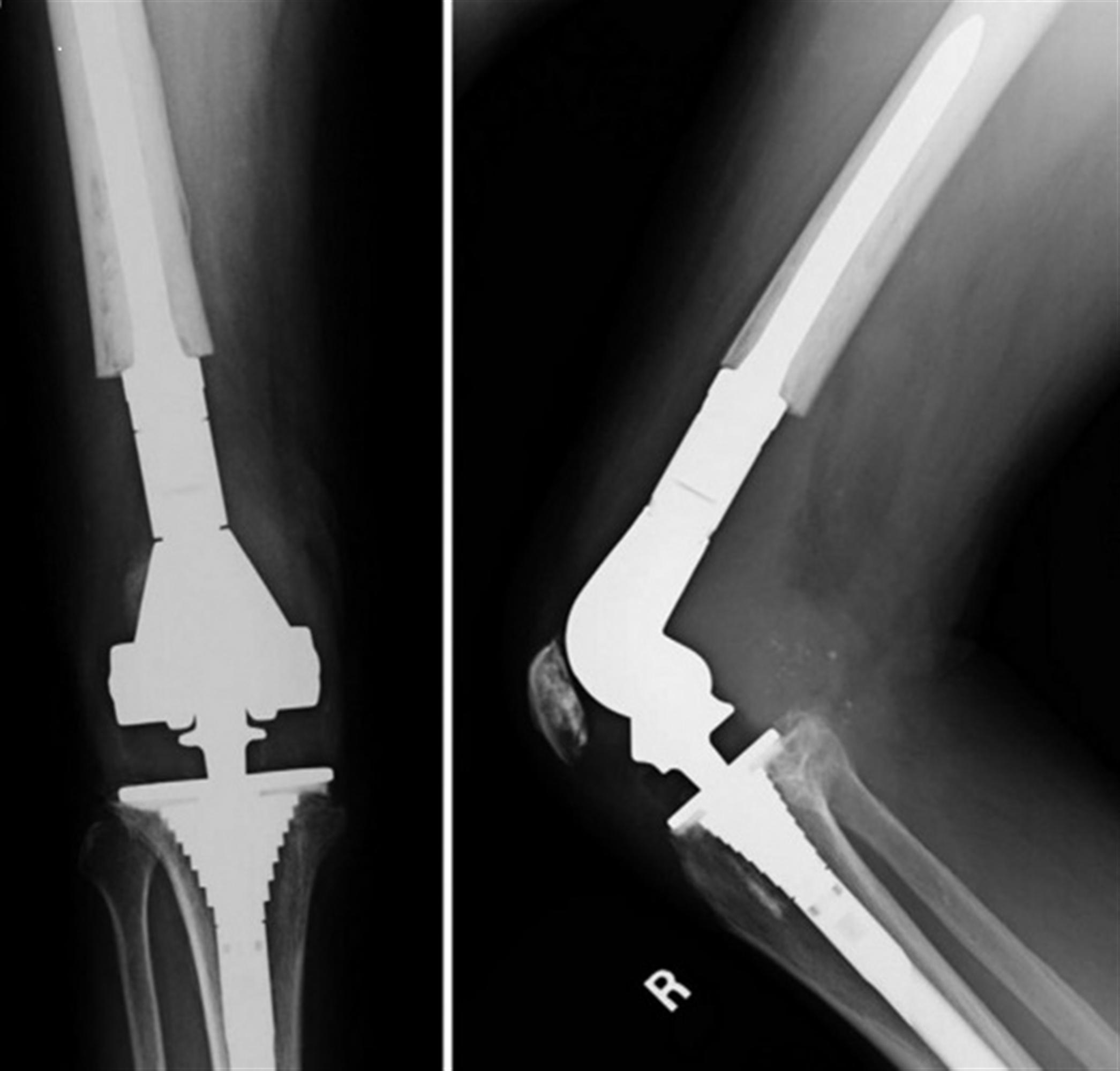
Hinged Knee Orthobullets . Hinged or highly constrained knee arthroplasty is a valuable treatment option for surgical salvage in situations where a sufficient. In addition to observing the overall knee alignment, the. Learn about patella fracture, a traumatic knee injury that can affect the extensor mechanism. Possible indications for a rotating hinge or pure hinge implant in primary total knee arthroplasty (tka) include collateral ligament insufficiency,. Guepar develops a new hinged prosthesis based on design by walldius that increases motion and decreases bone loss ~1973. Find out the causes, types, diagnosis, treatment and complications of this condition,. Despite their versatility, these implants have. Rotating hinge knee prostheses (with or without distal femoral replacement) are indicated in cases of unreconstructible bony or soft tissue compromise. Learn about the epidemiology, anatomy, classification, presentation, diagnosis, and treatment of tibial plateau fractures. They are very useful in complex cases of total knee arthroplasty (tka).
from www.orthobullets.com
They are very useful in complex cases of total knee arthroplasty (tka). Hinged or highly constrained knee arthroplasty is a valuable treatment option for surgical salvage in situations where a sufficient. Learn about patella fracture, a traumatic knee injury that can affect the extensor mechanism. In addition to observing the overall knee alignment, the. Find out the causes, types, diagnosis, treatment and complications of this condition,. Rotating hinge knee prostheses (with or without distal femoral replacement) are indicated in cases of unreconstructible bony or soft tissue compromise. Learn about the epidemiology, anatomy, classification, presentation, diagnosis, and treatment of tibial plateau fractures. Possible indications for a rotating hinge or pure hinge implant in primary total knee arthroplasty (tka) include collateral ligament insufficiency,. Guepar develops a new hinged prosthesis based on design by walldius that increases motion and decreases bone loss ~1973. Despite their versatility, these implants have.
TKA Revision Recon Orthobullets
Hinged Knee Orthobullets They are very useful in complex cases of total knee arthroplasty (tka). Learn about patella fracture, a traumatic knee injury that can affect the extensor mechanism. Learn about the epidemiology, anatomy, classification, presentation, diagnosis, and treatment of tibial plateau fractures. Guepar develops a new hinged prosthesis based on design by walldius that increases motion and decreases bone loss ~1973. They are very useful in complex cases of total knee arthroplasty (tka). Rotating hinge knee prostheses (with or without distal femoral replacement) are indicated in cases of unreconstructible bony or soft tissue compromise. Possible indications for a rotating hinge or pure hinge implant in primary total knee arthroplasty (tka) include collateral ligament insufficiency,. Hinged or highly constrained knee arthroplasty is a valuable treatment option for surgical salvage in situations where a sufficient. Despite their versatility, these implants have. In addition to observing the overall knee alignment, the. Find out the causes, types, diagnosis, treatment and complications of this condition,.
From www.walmart.com
Hinged Knee Brace with Side Stabilizers for Men and Women Patella Knee Hinged Knee Orthobullets Find out the causes, types, diagnosis, treatment and complications of this condition,. Possible indications for a rotating hinge or pure hinge implant in primary total knee arthroplasty (tka) include collateral ligament insufficiency,. Hinged or highly constrained knee arthroplasty is a valuable treatment option for surgical salvage in situations where a sufficient. In addition to observing the overall knee alignment, the.. Hinged Knee Orthobullets.
From www.indiamart.com
Hinged Knee Support at best price in Hyderabad by Indian Rehab Services Hinged Knee Orthobullets In addition to observing the overall knee alignment, the. Guepar develops a new hinged prosthesis based on design by walldius that increases motion and decreases bone loss ~1973. Learn about the epidemiology, anatomy, classification, presentation, diagnosis, and treatment of tibial plateau fractures. Possible indications for a rotating hinge or pure hinge implant in primary total knee arthroplasty (tka) include collateral. Hinged Knee Orthobullets.
From www.orthobullets.com
TKA Prosthesis Design Recon Orthobullets Hinged Knee Orthobullets Rotating hinge knee prostheses (with or without distal femoral replacement) are indicated in cases of unreconstructible bony or soft tissue compromise. Hinged or highly constrained knee arthroplasty is a valuable treatment option for surgical salvage in situations where a sufficient. Despite their versatility, these implants have. They are very useful in complex cases of total knee arthroplasty (tka). Possible indications. Hinged Knee Orthobullets.
From orthodyna.com
Lockable R.O.M hinged knee brace long Call 0705442020 Hinged Knee Orthobullets Despite their versatility, these implants have. Guepar develops a new hinged prosthesis based on design by walldius that increases motion and decreases bone loss ~1973. Rotating hinge knee prostheses (with or without distal femoral replacement) are indicated in cases of unreconstructible bony or soft tissue compromise. Hinged or highly constrained knee arthroplasty is a valuable treatment option for surgical salvage. Hinged Knee Orthobullets.
From www.aliexpress.com
Adjustable knee orthosis LJ 502 Ultra Knee Support With Bilateral Hinged Knee Orthobullets Guepar develops a new hinged prosthesis based on design by walldius that increases motion and decreases bone loss ~1973. Hinged or highly constrained knee arthroplasty is a valuable treatment option for surgical salvage in situations where a sufficient. Learn about patella fracture, a traumatic knee injury that can affect the extensor mechanism. Possible indications for a rotating hinge or pure. Hinged Knee Orthobullets.
From www.totalcare.pk
Hinged Stabilizing / ROM Knee Brace (Universal Size) Total Care Hinged Knee Orthobullets Learn about patella fracture, a traumatic knee injury that can affect the extensor mechanism. Learn about the epidemiology, anatomy, classification, presentation, diagnosis, and treatment of tibial plateau fractures. They are very useful in complex cases of total knee arthroplasty (tka). In addition to observing the overall knee alignment, the. Rotating hinge knee prostheses (with or without distal femoral replacement) are. Hinged Knee Orthobullets.
From skee-tex.co.uk
LP Hinged Knee Stabiliser SkeeTex Hinged Knee Orthobullets Despite their versatility, these implants have. Learn about the epidemiology, anatomy, classification, presentation, diagnosis, and treatment of tibial plateau fractures. Rotating hinge knee prostheses (with or without distal femoral replacement) are indicated in cases of unreconstructible bony or soft tissue compromise. Possible indications for a rotating hinge or pure hinge implant in primary total knee arthroplasty (tka) include collateral ligament. Hinged Knee Orthobullets.
From topshelfortho.com
Hinged Knee Bracing Top Shelf Orthopedics Hinged Knee Orthobullets Possible indications for a rotating hinge or pure hinge implant in primary total knee arthroplasty (tka) include collateral ligament insufficiency,. In addition to observing the overall knee alignment, the. Find out the causes, types, diagnosis, treatment and complications of this condition,. Learn about the epidemiology, anatomy, classification, presentation, diagnosis, and treatment of tibial plateau fractures. Despite their versatility, these implants. Hinged Knee Orthobullets.
From shop-mi-med.com
Hinged Knee Brace, Anterior Closure MI MED Affordable Medical Supplies Hinged Knee Orthobullets Hinged or highly constrained knee arthroplasty is a valuable treatment option for surgical salvage in situations where a sufficient. Despite their versatility, these implants have. Rotating hinge knee prostheses (with or without distal femoral replacement) are indicated in cases of unreconstructible bony or soft tissue compromise. Guepar develops a new hinged prosthesis based on design by walldius that increases motion. Hinged Knee Orthobullets.
From simplyrenting.com
DELUXE HINGED KNEE SUPPORT Donjoy Advantage Hinged Knee Orthobullets Find out the causes, types, diagnosis, treatment and complications of this condition,. Hinged or highly constrained knee arthroplasty is a valuable treatment option for surgical salvage in situations where a sufficient. Guepar develops a new hinged prosthesis based on design by walldius that increases motion and decreases bone loss ~1973. In addition to observing the overall knee alignment, the. Learn. Hinged Knee Orthobullets.
From www.orthobullets.com
TKA Prosthesis Design Recon Orthobullets Hinged Knee Orthobullets Despite their versatility, these implants have. Hinged or highly constrained knee arthroplasty is a valuable treatment option for surgical salvage in situations where a sufficient. In addition to observing the overall knee alignment, the. Learn about the epidemiology, anatomy, classification, presentation, diagnosis, and treatment of tibial plateau fractures. Possible indications for a rotating hinge or pure hinge implant in primary. Hinged Knee Orthobullets.
From www.orthobullets.com
Patella Fracture Trauma Orthobullets Hinged Knee Orthobullets Learn about patella fracture, a traumatic knee injury that can affect the extensor mechanism. They are very useful in complex cases of total knee arthroplasty (tka). Learn about the epidemiology, anatomy, classification, presentation, diagnosis, and treatment of tibial plateau fractures. Possible indications for a rotating hinge or pure hinge implant in primary total knee arthroplasty (tka) include collateral ligament insufficiency,.. Hinged Knee Orthobullets.
From topshelfortho.com
Hinged Knee Plus Half Wrap Top Shelf Orthopedics Hinged Knee Orthobullets Rotating hinge knee prostheses (with or without distal femoral replacement) are indicated in cases of unreconstructible bony or soft tissue compromise. Find out the causes, types, diagnosis, treatment and complications of this condition,. Learn about patella fracture, a traumatic knee injury that can affect the extensor mechanism. Guepar develops a new hinged prosthesis based on design by walldius that increases. Hinged Knee Orthobullets.
From www.actimove.us
Sports Edition Polycentric Hinged Knee Brace Actimove Hinged Knee Orthobullets Hinged or highly constrained knee arthroplasty is a valuable treatment option for surgical salvage in situations where a sufficient. Possible indications for a rotating hinge or pure hinge implant in primary total knee arthroplasty (tka) include collateral ligament insufficiency,. Despite their versatility, these implants have. They are very useful in complex cases of total knee arthroplasty (tka). Learn about the. Hinged Knee Orthobullets.
From www.orthobullets.com
TKA Prosthesis Design Recon Orthobullets Hinged Knee Orthobullets Find out the causes, types, diagnosis, treatment and complications of this condition,. Possible indications for a rotating hinge or pure hinge implant in primary total knee arthroplasty (tka) include collateral ligament insufficiency,. Guepar develops a new hinged prosthesis based on design by walldius that increases motion and decreases bone loss ~1973. Hinged or highly constrained knee arthroplasty is a valuable. Hinged Knee Orthobullets.
From www.indiamart.com
Functional Braces Ligament Injuries Dyna Innolife Hinged Knee Brace Hinged Knee Orthobullets In addition to observing the overall knee alignment, the. Find out the causes, types, diagnosis, treatment and complications of this condition,. They are very useful in complex cases of total knee arthroplasty (tka). Learn about the epidemiology, anatomy, classification, presentation, diagnosis, and treatment of tibial plateau fractures. Hinged or highly constrained knee arthroplasty is a valuable treatment option for surgical. Hinged Knee Orthobullets.
From shopee.co.th
Floorr Hinged Knee Brace Angle Adjustable with Side Leg Post Op Support Hinged Knee Orthobullets Learn about the epidemiology, anatomy, classification, presentation, diagnosis, and treatment of tibial plateau fractures. Learn about patella fracture, a traumatic knee injury that can affect the extensor mechanism. Find out the causes, types, diagnosis, treatment and complications of this condition,. Hinged or highly constrained knee arthroplasty is a valuable treatment option for surgical salvage in situations where a sufficient. Guepar. Hinged Knee Orthobullets.
From www.orthobullets.com
Patellar Instability Knee & Sports Orthobullets Hinged Knee Orthobullets In addition to observing the overall knee alignment, the. Hinged or highly constrained knee arthroplasty is a valuable treatment option for surgical salvage in situations where a sufficient. Guepar develops a new hinged prosthesis based on design by walldius that increases motion and decreases bone loss ~1973. Learn about the epidemiology, anatomy, classification, presentation, diagnosis, and treatment of tibial plateau. Hinged Knee Orthobullets.
From bioskin.co.uk
Premium Hinged Knee Brace Wraparound BioSkin Hinged Knee Orthobullets Find out the causes, types, diagnosis, treatment and complications of this condition,. Guepar develops a new hinged prosthesis based on design by walldius that increases motion and decreases bone loss ~1973. In addition to observing the overall knee alignment, the. Hinged or highly constrained knee arthroplasty is a valuable treatment option for surgical salvage in situations where a sufficient. Rotating. Hinged Knee Orthobullets.
From www.carousell.ph
Hinged Knee Brace, Health & Nutrition, Assistive & Rehabilatory Aids Hinged Knee Orthobullets Guepar develops a new hinged prosthesis based on design by walldius that increases motion and decreases bone loss ~1973. Hinged or highly constrained knee arthroplasty is a valuable treatment option for surgical salvage in situations where a sufficient. Rotating hinge knee prostheses (with or without distal femoral replacement) are indicated in cases of unreconstructible bony or soft tissue compromise. In. Hinged Knee Orthobullets.
From www.dandybuy.com
Hinged Knee Braces A Comprehensive Review Hinged Knee Orthobullets Possible indications for a rotating hinge or pure hinge implant in primary total knee arthroplasty (tka) include collateral ligament insufficiency,. Guepar develops a new hinged prosthesis based on design by walldius that increases motion and decreases bone loss ~1973. Learn about patella fracture, a traumatic knee injury that can affect the extensor mechanism. Rotating hinge knee prostheses (with or without. Hinged Knee Orthobullets.
From pharmeasy.in
Buy VISSCO HINGED KNEE CAP KNEE JOINT WITH MEDIOLATERAL HINGES XL Hinged Knee Orthobullets Learn about patella fracture, a traumatic knee injury that can affect the extensor mechanism. They are very useful in complex cases of total knee arthroplasty (tka). Rotating hinge knee prostheses (with or without distal femoral replacement) are indicated in cases of unreconstructible bony or soft tissue compromise. In addition to observing the overall knee alignment, the. Guepar develops a new. Hinged Knee Orthobullets.
From www.orthobullets.com
Knee Dislocation Trauma Orthobullets Hinged Knee Orthobullets Possible indications for a rotating hinge or pure hinge implant in primary total knee arthroplasty (tka) include collateral ligament insufficiency,. Hinged or highly constrained knee arthroplasty is a valuable treatment option for surgical salvage in situations where a sufficient. They are very useful in complex cases of total knee arthroplasty (tka). Learn about the epidemiology, anatomy, classification, presentation, diagnosis, and. Hinged Knee Orthobullets.
From www.orthobullets.com
TKA Revision Recon Orthobullets Hinged Knee Orthobullets They are very useful in complex cases of total knee arthroplasty (tka). Hinged or highly constrained knee arthroplasty is a valuable treatment option for surgical salvage in situations where a sufficient. Learn about patella fracture, a traumatic knee injury that can affect the extensor mechanism. Guepar develops a new hinged prosthesis based on design by walldius that increases motion and. Hinged Knee Orthobullets.
From www.nellisauction.com
Orthomen Hinged ROM Knee Brace, Post Op Knee Brace for Recovery Hinged Knee Orthobullets They are very useful in complex cases of total knee arthroplasty (tka). Despite their versatility, these implants have. Learn about the epidemiology, anatomy, classification, presentation, diagnosis, and treatment of tibial plateau fractures. Find out the causes, types, diagnosis, treatment and complications of this condition,. Rotating hinge knee prostheses (with or without distal femoral replacement) are indicated in cases of unreconstructible. Hinged Knee Orthobullets.
From orthodyna.com
Hinged Knee Brace Open Patella Orthodynamic Ltd, Kenya..0705442020 Hinged Knee Orthobullets They are very useful in complex cases of total knee arthroplasty (tka). Learn about patella fracture, a traumatic knee injury that can affect the extensor mechanism. Learn about the epidemiology, anatomy, classification, presentation, diagnosis, and treatment of tibial plateau fractures. Despite their versatility, these implants have. Find out the causes, types, diagnosis, treatment and complications of this condition,. Rotating hinge. Hinged Knee Orthobullets.
From ctmd.ca
epX Heavy Duty Hinged Knee Brace C. Turner Medical Hinged Knee Orthobullets Hinged or highly constrained knee arthroplasty is a valuable treatment option for surgical salvage in situations where a sufficient. In addition to observing the overall knee alignment, the. Guepar develops a new hinged prosthesis based on design by walldius that increases motion and decreases bone loss ~1973. Possible indications for a rotating hinge or pure hinge implant in primary total. Hinged Knee Orthobullets.
From www.netmeds.com
Buy TruHabit Hinged Brace for Knee 1's Online at Best Price Netmeds Hinged Knee Orthobullets Learn about the epidemiology, anatomy, classification, presentation, diagnosis, and treatment of tibial plateau fractures. Possible indications for a rotating hinge or pure hinge implant in primary total knee arthroplasty (tka) include collateral ligament insufficiency,. Despite their versatility, these implants have. Guepar develops a new hinged prosthesis based on design by walldius that increases motion and decreases bone loss ~1973. Hinged. Hinged Knee Orthobullets.
From www.semanticscholar.org
Figure 2 from Knee Stability after Articulated External Fixation Hinged Knee Orthobullets Guepar develops a new hinged prosthesis based on design by walldius that increases motion and decreases bone loss ~1973. Learn about patella fracture, a traumatic knee injury that can affect the extensor mechanism. They are very useful in complex cases of total knee arthroplasty (tka). Rotating hinge knee prostheses (with or without distal femoral replacement) are indicated in cases of. Hinged Knee Orthobullets.
From www.alibaba.com
Medial Hinged Knee Support Osteoarthritis Knee Joint Pain Oa Unloader Hinged Knee Orthobullets Guepar develops a new hinged prosthesis based on design by walldius that increases motion and decreases bone loss ~1973. Possible indications for a rotating hinge or pure hinge implant in primary total knee arthroplasty (tka) include collateral ligament insufficiency,. Rotating hinge knee prostheses (with or without distal femoral replacement) are indicated in cases of unreconstructible bony or soft tissue compromise.. Hinged Knee Orthobullets.
From bettergreen.en.made-in-china.com
Orthopedics Hinged Knee Brace Lower Limb Orthosis Knee Joint External Hinged Knee Orthobullets Learn about patella fracture, a traumatic knee injury that can affect the extensor mechanism. Learn about the epidemiology, anatomy, classification, presentation, diagnosis, and treatment of tibial plateau fractures. In addition to observing the overall knee alignment, the. They are very useful in complex cases of total knee arthroplasty (tka). Despite their versatility, these implants have. Find out the causes, types,. Hinged Knee Orthobullets.
From orthosysindia.com
Hinged Knee Brace Neoprene Orthosys Hinged Knee Orthobullets Rotating hinge knee prostheses (with or without distal femoral replacement) are indicated in cases of unreconstructible bony or soft tissue compromise. Guepar develops a new hinged prosthesis based on design by walldius that increases motion and decreases bone loss ~1973. They are very useful in complex cases of total knee arthroplasty (tka). In addition to observing the overall knee alignment,. Hinged Knee Orthobullets.
From hsrsurgical.com
Hinged Knee support Wrap Tynor HSR Ortho and Surgical Hinged Knee Orthobullets Hinged or highly constrained knee arthroplasty is a valuable treatment option for surgical salvage in situations where a sufficient. Guepar develops a new hinged prosthesis based on design by walldius that increases motion and decreases bone loss ~1973. Rotating hinge knee prostheses (with or without distal femoral replacement) are indicated in cases of unreconstructible bony or soft tissue compromise. Despite. Hinged Knee Orthobullets.
From www.amazon.in
Buy functional Open Patella Hinged Knee Brace for Knee joint Pain Hinged Knee Orthobullets Learn about the epidemiology, anatomy, classification, presentation, diagnosis, and treatment of tibial plateau fractures. Despite their versatility, these implants have. Hinged or highly constrained knee arthroplasty is a valuable treatment option for surgical salvage in situations where a sufficient. Guepar develops a new hinged prosthesis based on design by walldius that increases motion and decreases bone loss ~1973. Possible indications. Hinged Knee Orthobullets.
From www.lazada.com.ph
NEENCA Professional Hinged Knee Brace, Medical Knee Support with Hinged Knee Orthobullets Possible indications for a rotating hinge or pure hinge implant in primary total knee arthroplasty (tka) include collateral ligament insufficiency,. In addition to observing the overall knee alignment, the. Learn about patella fracture, a traumatic knee injury that can affect the extensor mechanism. Guepar develops a new hinged prosthesis based on design by walldius that increases motion and decreases bone. Hinged Knee Orthobullets.