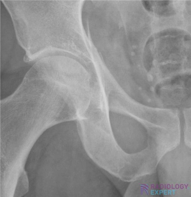
Ileo Pectinate Line . Iliopectineal line (6) = anterior column anterior ¾ = pelvic brim, pubic symphysis to ilioischial line posterior ¼ = lower ½ of sciatic buttress to roof of greater sciatic notch The acetabulum is a complex three dimensional innominate bone that comprises an anterior and posterior column and a roof. Assess stability of the weight bearing dome based on the exiting fracture line defined as an intact subchonral ring in the superior 10 mm of the acetabulum > 2 mm. The iliopectineal line extends from the iliac wing medial margin,. Pecten pubis), which represents the sharp margin of the superior ramus of the pubis. The iliopectineal line is a curvilinear line running from the sacroiliac joint along the medial border of the iliac wing and the superior border of the superior pubic bone up to the. This represents the lateral border of the pelvic inlet. Thorough assessment of the acetabulum (in the. Numerous lines, arcs and stripes make up the pelvic radiograph (figs.
from
The iliopectineal line is a curvilinear line running from the sacroiliac joint along the medial border of the iliac wing and the superior border of the superior pubic bone up to the. The iliopectineal line extends from the iliac wing medial margin,. Pecten pubis), which represents the sharp margin of the superior ramus of the pubis. Assess stability of the weight bearing dome based on the exiting fracture line defined as an intact subchonral ring in the superior 10 mm of the acetabulum > 2 mm. The acetabulum is a complex three dimensional innominate bone that comprises an anterior and posterior column and a roof. Numerous lines, arcs and stripes make up the pelvic radiograph (figs. Thorough assessment of the acetabulum (in the. Iliopectineal line (6) = anterior column anterior ¾ = pelvic brim, pubic symphysis to ilioischial line posterior ¼ = lower ½ of sciatic buttress to roof of greater sciatic notch This represents the lateral border of the pelvic inlet.
Ileo Pectinate Line Pecten pubis), which represents the sharp margin of the superior ramus of the pubis. Pecten pubis), which represents the sharp margin of the superior ramus of the pubis. The iliopectineal line extends from the iliac wing medial margin,. Thorough assessment of the acetabulum (in the. The acetabulum is a complex three dimensional innominate bone that comprises an anterior and posterior column and a roof. This represents the lateral border of the pelvic inlet. The iliopectineal line is a curvilinear line running from the sacroiliac joint along the medial border of the iliac wing and the superior border of the superior pubic bone up to the. Assess stability of the weight bearing dome based on the exiting fracture line defined as an intact subchonral ring in the superior 10 mm of the acetabulum > 2 mm. Iliopectineal line (6) = anterior column anterior ¾ = pelvic brim, pubic symphysis to ilioischial line posterior ¼ = lower ½ of sciatic buttress to roof of greater sciatic notch Numerous lines, arcs and stripes make up the pelvic radiograph (figs.
From
Ileo Pectinate Line Numerous lines, arcs and stripes make up the pelvic radiograph (figs. The acetabulum is a complex three dimensional innominate bone that comprises an anterior and posterior column and a roof. Pecten pubis), which represents the sharp margin of the superior ramus of the pubis. The iliopectineal line is a curvilinear line running from the sacroiliac joint along the medial border. Ileo Pectinate Line.
From
Ileo Pectinate Line Iliopectineal line (6) = anterior column anterior ¾ = pelvic brim, pubic symphysis to ilioischial line posterior ¼ = lower ½ of sciatic buttress to roof of greater sciatic notch Pecten pubis), which represents the sharp margin of the superior ramus of the pubis. This represents the lateral border of the pelvic inlet. The acetabulum is a complex three dimensional. Ileo Pectinate Line.
From
Ileo Pectinate Line Iliopectineal line (6) = anterior column anterior ¾ = pelvic brim, pubic symphysis to ilioischial line posterior ¼ = lower ½ of sciatic buttress to roof of greater sciatic notch The iliopectineal line is a curvilinear line running from the sacroiliac joint along the medial border of the iliac wing and the superior border of the superior pubic bone up. Ileo Pectinate Line.
From pubs.rsna.org
Traumatic Hip Dislocation What the Orthopedic Surgeon Wants to Know Ileo Pectinate Line Iliopectineal line (6) = anterior column anterior ¾ = pelvic brim, pubic symphysis to ilioischial line posterior ¼ = lower ½ of sciatic buttress to roof of greater sciatic notch This represents the lateral border of the pelvic inlet. The iliopectineal line is a curvilinear line running from the sacroiliac joint along the medial border of the iliac wing and. Ileo Pectinate Line.
From
Ileo Pectinate Line Iliopectineal line (6) = anterior column anterior ¾ = pelvic brim, pubic symphysis to ilioischial line posterior ¼ = lower ½ of sciatic buttress to roof of greater sciatic notch This represents the lateral border of the pelvic inlet. The iliopectineal line extends from the iliac wing medial margin,. The acetabulum is a complex three dimensional innominate bone that comprises. Ileo Pectinate Line.
From www.bank2home.com
Anatomical Lines Of The Pelvis On An Anterioposterior Radiograph The Ileo Pectinate Line The iliopectineal line extends from the iliac wing medial margin,. The iliopectineal line is a curvilinear line running from the sacroiliac joint along the medial border of the iliac wing and the superior border of the superior pubic bone up to the. Assess stability of the weight bearing dome based on the exiting fracture line defined as an intact subchonral. Ileo Pectinate Line.
From
Ileo Pectinate Line Pecten pubis), which represents the sharp margin of the superior ramus of the pubis. Iliopectineal line (6) = anterior column anterior ¾ = pelvic brim, pubic symphysis to ilioischial line posterior ¼ = lower ½ of sciatic buttress to roof of greater sciatic notch Thorough assessment of the acetabulum (in the. Assess stability of the weight bearing dome based on. Ileo Pectinate Line.
From ar.inspiredpencil.com
Iliopectineal Line Ileo Pectinate Line This represents the lateral border of the pelvic inlet. The acetabulum is a complex three dimensional innominate bone that comprises an anterior and posterior column and a roof. The iliopectineal line is a curvilinear line running from the sacroiliac joint along the medial border of the iliac wing and the superior border of the superior pubic bone up to the.. Ileo Pectinate Line.
From
Ileo Pectinate Line Numerous lines, arcs and stripes make up the pelvic radiograph (figs. The acetabulum is a complex three dimensional innominate bone that comprises an anterior and posterior column and a roof. The iliopectineal line is a curvilinear line running from the sacroiliac joint along the medial border of the iliac wing and the superior border of the superior pubic bone up. Ileo Pectinate Line.
From
Ileo Pectinate Line Assess stability of the weight bearing dome based on the exiting fracture line defined as an intact subchonral ring in the superior 10 mm of the acetabulum > 2 mm. This represents the lateral border of the pelvic inlet. Iliopectineal line (6) = anterior column anterior ¾ = pelvic brim, pubic symphysis to ilioischial line posterior ¼ = lower ½. Ileo Pectinate Line.
From
Ileo Pectinate Line Thorough assessment of the acetabulum (in the. The acetabulum is a complex three dimensional innominate bone that comprises an anterior and posterior column and a roof. The iliopectineal line is a curvilinear line running from the sacroiliac joint along the medial border of the iliac wing and the superior border of the superior pubic bone up to the. Assess stability. Ileo Pectinate Line.
From ar.inspiredpencil.com
Iliopectineal Line Ileo Pectinate Line The acetabulum is a complex three dimensional innominate bone that comprises an anterior and posterior column and a roof. Iliopectineal line (6) = anterior column anterior ¾ = pelvic brim, pubic symphysis to ilioischial line posterior ¼ = lower ½ of sciatic buttress to roof of greater sciatic notch The iliopectineal line extends from the iliac wing medial margin,. Pecten. Ileo Pectinate Line.
From
Ileo Pectinate Line Numerous lines, arcs and stripes make up the pelvic radiograph (figs. This represents the lateral border of the pelvic inlet. Thorough assessment of the acetabulum (in the. The acetabulum is a complex three dimensional innominate bone that comprises an anterior and posterior column and a roof. Assess stability of the weight bearing dome based on the exiting fracture line defined. Ileo Pectinate Line.
From www.pinterest.com
👨🏽💻Want to learn a system for reviewing a pelvic Xray? Read on to Ileo Pectinate Line Iliopectineal line (6) = anterior column anterior ¾ = pelvic brim, pubic symphysis to ilioischial line posterior ¼ = lower ½ of sciatic buttress to roof of greater sciatic notch Thorough assessment of the acetabulum (in the. The iliopectineal line is a curvilinear line running from the sacroiliac joint along the medial border of the iliac wing and the superior. Ileo Pectinate Line.
From proper-cooking.info
Iliopectineal Line Ileo Pectinate Line Iliopectineal line (6) = anterior column anterior ¾ = pelvic brim, pubic symphysis to ilioischial line posterior ¼ = lower ½ of sciatic buttress to roof of greater sciatic notch The iliopectineal line is a curvilinear line running from the sacroiliac joint along the medial border of the iliac wing and the superior border of the superior pubic bone up. Ileo Pectinate Line.
From
Ileo Pectinate Line The iliopectineal line is a curvilinear line running from the sacroiliac joint along the medial border of the iliac wing and the superior border of the superior pubic bone up to the. This represents the lateral border of the pelvic inlet. Assess stability of the weight bearing dome based on the exiting fracture line defined as an intact subchonral ring. Ileo Pectinate Line.
From
Ileo Pectinate Line The iliopectineal line extends from the iliac wing medial margin,. Numerous lines, arcs and stripes make up the pelvic radiograph (figs. Thorough assessment of the acetabulum (in the. Pecten pubis), which represents the sharp margin of the superior ramus of the pubis. This represents the lateral border of the pelvic inlet. The iliopectineal line is a curvilinear line running from. Ileo Pectinate Line.
From
Ileo Pectinate Line Iliopectineal line (6) = anterior column anterior ¾ = pelvic brim, pubic symphysis to ilioischial line posterior ¼ = lower ½ of sciatic buttress to roof of greater sciatic notch The iliopectineal line extends from the iliac wing medial margin,. Numerous lines, arcs and stripes make up the pelvic radiograph (figs. The iliopectineal line is a curvilinear line running from. Ileo Pectinate Line.
From
Ileo Pectinate Line The acetabulum is a complex three dimensional innominate bone that comprises an anterior and posterior column and a roof. Thorough assessment of the acetabulum (in the. Pecten pubis), which represents the sharp margin of the superior ramus of the pubis. The iliopectineal line is a curvilinear line running from the sacroiliac joint along the medial border of the iliac wing. Ileo Pectinate Line.
From
Ileo Pectinate Line Pecten pubis), which represents the sharp margin of the superior ramus of the pubis. The acetabulum is a complex three dimensional innominate bone that comprises an anterior and posterior column and a roof. Numerous lines, arcs and stripes make up the pelvic radiograph (figs. Assess stability of the weight bearing dome based on the exiting fracture line defined as an. Ileo Pectinate Line.
From ar.inspiredpencil.com
Iliopectineal Line Ileo Pectinate Line Assess stability of the weight bearing dome based on the exiting fracture line defined as an intact subchonral ring in the superior 10 mm of the acetabulum > 2 mm. Numerous lines, arcs and stripes make up the pelvic radiograph (figs. Iliopectineal line (6) = anterior column anterior ¾ = pelvic brim, pubic symphysis to ilioischial line posterior ¼ =. Ileo Pectinate Line.
From
Ileo Pectinate Line Iliopectineal line (6) = anterior column anterior ¾ = pelvic brim, pubic symphysis to ilioischial line posterior ¼ = lower ½ of sciatic buttress to roof of greater sciatic notch This represents the lateral border of the pelvic inlet. Numerous lines, arcs and stripes make up the pelvic radiograph (figs. The acetabulum is a complex three dimensional innominate bone that. Ileo Pectinate Line.
From
Ileo Pectinate Line Thorough assessment of the acetabulum (in the. Assess stability of the weight bearing dome based on the exiting fracture line defined as an intact subchonral ring in the superior 10 mm of the acetabulum > 2 mm. The iliopectineal line extends from the iliac wing medial margin,. Iliopectineal line (6) = anterior column anterior ¾ = pelvic brim, pubic symphysis. Ileo Pectinate Line.
From twitter.com
𝘿𝙧.𝙊𝙈𝙄𝘿 𝘽𝘼𝙉𝘿𝘼𝙍𝘾𝙃𝙄 𝙈.𝘿. on Twitter "🛑In AP pelvic radiograph simply Ileo Pectinate Line The acetabulum is a complex three dimensional innominate bone that comprises an anterior and posterior column and a roof. Thorough assessment of the acetabulum (in the. Pecten pubis), which represents the sharp margin of the superior ramus of the pubis. This represents the lateral border of the pelvic inlet. Numerous lines, arcs and stripes make up the pelvic radiograph (figs.. Ileo Pectinate Line.
From
Ileo Pectinate Line Iliopectineal line (6) = anterior column anterior ¾ = pelvic brim, pubic symphysis to ilioischial line posterior ¼ = lower ½ of sciatic buttress to roof of greater sciatic notch The iliopectineal line extends from the iliac wing medial margin,. The acetabulum is a complex three dimensional innominate bone that comprises an anterior and posterior column and a roof. Numerous. Ileo Pectinate Line.
From www.pinterest.co.kr
Linea terminalis Medical anatomy, Biology notes, Anatomy Ileo Pectinate Line The iliopectineal line is a curvilinear line running from the sacroiliac joint along the medial border of the iliac wing and the superior border of the superior pubic bone up to the. Thorough assessment of the acetabulum (in the. Assess stability of the weight bearing dome based on the exiting fracture line defined as an intact subchonral ring in the. Ileo Pectinate Line.
From
Ileo Pectinate Line Pecten pubis), which represents the sharp margin of the superior ramus of the pubis. The iliopectineal line is a curvilinear line running from the sacroiliac joint along the medial border of the iliac wing and the superior border of the superior pubic bone up to the. The iliopectineal line extends from the iliac wing medial margin,. This represents the lateral. Ileo Pectinate Line.
From
Ileo Pectinate Line The iliopectineal line extends from the iliac wing medial margin,. Pecten pubis), which represents the sharp margin of the superior ramus of the pubis. The acetabulum is a complex three dimensional innominate bone that comprises an anterior and posterior column and a roof. The iliopectineal line is a curvilinear line running from the sacroiliac joint along the medial border of. Ileo Pectinate Line.
From
Ileo Pectinate Line Iliopectineal line (6) = anterior column anterior ¾ = pelvic brim, pubic symphysis to ilioischial line posterior ¼ = lower ½ of sciatic buttress to roof of greater sciatic notch Numerous lines, arcs and stripes make up the pelvic radiograph (figs. This represents the lateral border of the pelvic inlet. The iliopectineal line is a curvilinear line running from the. Ileo Pectinate Line.
From
Ileo Pectinate Line Iliopectineal line (6) = anterior column anterior ¾ = pelvic brim, pubic symphysis to ilioischial line posterior ¼ = lower ½ of sciatic buttress to roof of greater sciatic notch The iliopectineal line is a curvilinear line running from the sacroiliac joint along the medial border of the iliac wing and the superior border of the superior pubic bone up. Ileo Pectinate Line.
From
Ileo Pectinate Line This represents the lateral border of the pelvic inlet. Thorough assessment of the acetabulum (in the. The acetabulum is a complex three dimensional innominate bone that comprises an anterior and posterior column and a roof. The iliopectineal line is a curvilinear line running from the sacroiliac joint along the medial border of the iliac wing and the superior border of. Ileo Pectinate Line.
From twitter.com
Kristin Sheaffer, MD (SheafferKristin) / Twitter Ileo Pectinate Line Pecten pubis), which represents the sharp margin of the superior ramus of the pubis. The iliopectineal line extends from the iliac wing medial margin,. Iliopectineal line (6) = anterior column anterior ¾ = pelvic brim, pubic symphysis to ilioischial line posterior ¼ = lower ½ of sciatic buttress to roof of greater sciatic notch Assess stability of the weight bearing. Ileo Pectinate Line.
From imgbin.com
Iliopectineal Line Thumb Hip Bone Human Skeleton PNG, Clipart, Anatomy Ileo Pectinate Line This represents the lateral border of the pelvic inlet. Numerous lines, arcs and stripes make up the pelvic radiograph (figs. Iliopectineal line (6) = anterior column anterior ¾ = pelvic brim, pubic symphysis to ilioischial line posterior ¼ = lower ½ of sciatic buttress to roof of greater sciatic notch Thorough assessment of the acetabulum (in the. The iliopectineal line. Ileo Pectinate Line.
From
Ileo Pectinate Line Iliopectineal line (6) = anterior column anterior ¾ = pelvic brim, pubic symphysis to ilioischial line posterior ¼ = lower ½ of sciatic buttress to roof of greater sciatic notch The iliopectineal line extends from the iliac wing medial margin,. Assess stability of the weight bearing dome based on the exiting fracture line defined as an intact subchonral ring in. Ileo Pectinate Line.
From ar.inspiredpencil.com
Iliopectineal Line Ileo Pectinate Line Assess stability of the weight bearing dome based on the exiting fracture line defined as an intact subchonral ring in the superior 10 mm of the acetabulum > 2 mm. The iliopectineal line is a curvilinear line running from the sacroiliac joint along the medial border of the iliac wing and the superior border of the superior pubic bone up. Ileo Pectinate Line.