What Is A Rice Body . the video reviews the pathogenesis, diagnosis, and management of rice bodies in the articular space of the shoulder and discusses the case. the meaning of rice body is any of the smooth glistening ovoid particles resembling grains of rice that occur in joints and the. They are located in the synovial fluid,.
from www.semanticscholar.org
the video reviews the pathogenesis, diagnosis, and management of rice bodies in the articular space of the shoulder and discusses the case. the meaning of rice body is any of the smooth glistening ovoid particles resembling grains of rice that occur in joints and the. They are located in the synovial fluid,.
Figure 2 from Severe SubAcromial Bursitis with Rice Bodies in a
What Is A Rice Body They are located in the synovial fluid,. the meaning of rice body is any of the smooth glistening ovoid particles resembling grains of rice that occur in joints and the. They are located in the synovial fluid,. the video reviews the pathogenesis, diagnosis, and management of rice bodies in the articular space of the shoulder and discusses the case.
From planthd.com
Rice Concentrate Exploring the Benefits and Uses of this Nutritious What Is A Rice Body the meaning of rice body is any of the smooth glistening ovoid particles resembling grains of rice that occur in joints and the. the video reviews the pathogenesis, diagnosis, and management of rice bodies in the articular space of the shoulder and discusses the case. They are located in the synovial fluid,. What Is A Rice Body.
From www.researchgate.net
(a) Rice bodiesgross specimen. (b) Rice bodiesmicroscopic histology What Is A Rice Body the video reviews the pathogenesis, diagnosis, and management of rice bodies in the articular space of the shoulder and discusses the case. They are located in the synovial fluid,. the meaning of rice body is any of the smooth glistening ovoid particles resembling grains of rice that occur in joints and the. What Is A Rice Body.
From www.reumatologiaclinica.org
Rice Bodies in Tuberculous Tenosynovitis of Wrist Reumatología Clínica What Is A Rice Body the meaning of rice body is any of the smooth glistening ovoid particles resembling grains of rice that occur in joints and the. They are located in the synovial fluid,. the video reviews the pathogenesis, diagnosis, and management of rice bodies in the articular space of the shoulder and discusses the case. What Is A Rice Body.
From www.researchgate.net
Measurement of the rice bodies Download Scientific Diagram What Is A Rice Body the meaning of rice body is any of the smooth glistening ovoid particles resembling grains of rice that occur in joints and the. the video reviews the pathogenesis, diagnosis, and management of rice bodies in the articular space of the shoulder and discusses the case. They are located in the synovial fluid,. What Is A Rice Body.
From www.cureus.com
Rice Bodies by Tenosynovitis of the Wrist A Case Report What Is A Rice Body the meaning of rice body is any of the smooth glistening ovoid particles resembling grains of rice that occur in joints and the. the video reviews the pathogenesis, diagnosis, and management of rice bodies in the articular space of the shoulder and discusses the case. They are located in the synovial fluid,. What Is A Rice Body.
From radiopaedia.org
Rheumatoid arthritis rice bodies Image What Is A Rice Body the meaning of rice body is any of the smooth glistening ovoid particles resembling grains of rice that occur in joints and the. They are located in the synovial fluid,. the video reviews the pathogenesis, diagnosis, and management of rice bodies in the articular space of the shoulder and discusses the case. What Is A Rice Body.
From www.youtube.com
Periarticular Shoulder Rice Bodies Tips and Tricks for Arthroscopic What Is A Rice Body They are located in the synovial fluid,. the meaning of rice body is any of the smooth glistening ovoid particles resembling grains of rice that occur in joints and the. the video reviews the pathogenesis, diagnosis, and management of rice bodies in the articular space of the shoulder and discusses the case. What Is A Rice Body.
From www.semanticscholar.org
Figure 1 from Imaging features of shoulder tuberculosis with rice What Is A Rice Body They are located in the synovial fluid,. the meaning of rice body is any of the smooth glistening ovoid particles resembling grains of rice that occur in joints and the. the video reviews the pathogenesis, diagnosis, and management of rice bodies in the articular space of the shoulder and discusses the case. What Is A Rice Body.
From www.researchgate.net
(a) Rice bodiesgross specimen. (b) Rice bodiesmicroscopic histology What Is A Rice Body They are located in the synovial fluid,. the meaning of rice body is any of the smooth glistening ovoid particles resembling grains of rice that occur in joints and the. the video reviews the pathogenesis, diagnosis, and management of rice bodies in the articular space of the shoulder and discusses the case. What Is A Rice Body.
From www.researchgate.net
Microscopic finding shows a free rice body consists of a collagenous What Is A Rice Body the video reviews the pathogenesis, diagnosis, and management of rice bodies in the articular space of the shoulder and discusses the case. the meaning of rice body is any of the smooth glistening ovoid particles resembling grains of rice that occur in joints and the. They are located in the synovial fluid,. What Is A Rice Body.
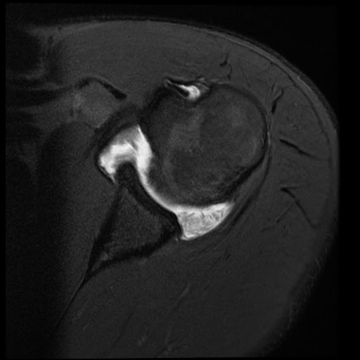
From www.neuroradiologycases.com
Dr Balaji Anvekar FRCR Rice bodies in subdeltoid bursa MRI What Is A Rice Body the video reviews the pathogenesis, diagnosis, and management of rice bodies in the articular space of the shoulder and discusses the case. the meaning of rice body is any of the smooth glistening ovoid particles resembling grains of rice that occur in joints and the. They are located in the synovial fluid,. What Is A Rice Body.
From casereports.bmj.com
‘Rice bodies in the knee’ classic tuberculosis of the knee BMJ Case What Is A Rice Body the video reviews the pathogenesis, diagnosis, and management of rice bodies in the articular space of the shoulder and discusses the case. They are located in the synovial fluid,. the meaning of rice body is any of the smooth glistening ovoid particles resembling grains of rice that occur in joints and the. What Is A Rice Body.
From www.semanticscholar.org
Figure 2 from Subacromial bursitis with rice bodies as the presenting What Is A Rice Body They are located in the synovial fluid,. the video reviews the pathogenesis, diagnosis, and management of rice bodies in the articular space of the shoulder and discusses the case. the meaning of rice body is any of the smooth glistening ovoid particles resembling grains of rice that occur in joints and the. What Is A Rice Body.
From faoj.org
Tuberculous Tenosynovitis of Ankle with Rice Bodies The Foot and What Is A Rice Body the meaning of rice body is any of the smooth glistening ovoid particles resembling grains of rice that occur in joints and the. They are located in the synovial fluid,. the video reviews the pathogenesis, diagnosis, and management of rice bodies in the articular space of the shoulder and discusses the case. What Is A Rice Body.
From radiologycases.blogspot.com
Radiology Cases Rice Bodies in RA What Is A Rice Body They are located in the synovial fluid,. the meaning of rice body is any of the smooth glistening ovoid particles resembling grains of rice that occur in joints and the. the video reviews the pathogenesis, diagnosis, and management of rice bodies in the articular space of the shoulder and discusses the case. What Is A Rice Body.
From radiopaedia.org
Rheumatoid arthritis rice bodies Image What Is A Rice Body They are located in the synovial fluid,. the video reviews the pathogenesis, diagnosis, and management of rice bodies in the articular space of the shoulder and discusses the case. the meaning of rice body is any of the smooth glistening ovoid particles resembling grains of rice that occur in joints and the. What Is A Rice Body.
From www.semanticscholar.org
Rice bodies a rare presentation of tubercular arthritis of the knee What Is A Rice Body the meaning of rice body is any of the smooth glistening ovoid particles resembling grains of rice that occur in joints and the. the video reviews the pathogenesis, diagnosis, and management of rice bodies in the articular space of the shoulder and discusses the case. They are located in the synovial fluid,. What Is A Rice Body.
From www.semanticscholar.org
Figure 2 from Flakeshaped rice bodies Semantic Scholar What Is A Rice Body the video reviews the pathogenesis, diagnosis, and management of rice bodies in the articular space of the shoulder and discusses the case. They are located in the synovial fluid,. the meaning of rice body is any of the smooth glistening ovoid particles resembling grains of rice that occur in joints and the. What Is A Rice Body.
From faoj.org
rice bodies The Foot and Ankle Online Journal What Is A Rice Body the video reviews the pathogenesis, diagnosis, and management of rice bodies in the articular space of the shoulder and discusses the case. They are located in the synovial fluid,. the meaning of rice body is any of the smooth glistening ovoid particles resembling grains of rice that occur in joints and the. What Is A Rice Body.
From www.researchgate.net
Figure2.A Numerous rice bodies were found during surgery. B A What Is A Rice Body They are located in the synovial fluid,. the video reviews the pathogenesis, diagnosis, and management of rice bodies in the articular space of the shoulder and discusses the case. the meaning of rice body is any of the smooth glistening ovoid particles resembling grains of rice that occur in joints and the. What Is A Rice Body.
From www.jrheum.org
Rice Bodies in a Patient with Oligoarticular Juvenile Idiopathic What Is A Rice Body the meaning of rice body is any of the smooth glistening ovoid particles resembling grains of rice that occur in joints and the. the video reviews the pathogenesis, diagnosis, and management of rice bodies in the articular space of the shoulder and discusses the case. They are located in the synovial fluid,. What Is A Rice Body.
From www.researchgate.net
(PDF) RiceBody Formation and Tenosynovitis of the Wrist A Case Report What Is A Rice Body the video reviews the pathogenesis, diagnosis, and management of rice bodies in the articular space of the shoulder and discusses the case. the meaning of rice body is any of the smooth glistening ovoid particles resembling grains of rice that occur in joints and the. They are located in the synovial fluid,. What Is A Rice Body.
From www.youtube.com
Here’s Why Parboiled Rice Is Good For Human Body! YouTube What Is A Rice Body the video reviews the pathogenesis, diagnosis, and management of rice bodies in the articular space of the shoulder and discusses the case. They are located in the synovial fluid,. the meaning of rice body is any of the smooth glistening ovoid particles resembling grains of rice that occur in joints and the. What Is A Rice Body.
From faoj.org
Tuberculous Tenosynovitis of Ankle with Rice Bodies The Foot and What Is A Rice Body They are located in the synovial fluid,. the meaning of rice body is any of the smooth glistening ovoid particles resembling grains of rice that occur in joints and the. the video reviews the pathogenesis, diagnosis, and management of rice bodies in the articular space of the shoulder and discusses the case. What Is A Rice Body.
From www.healthyoptions.com.ph
What Nutrition Does Rice Provide? News Digest Healthy Options What Is A Rice Body They are located in the synovial fluid,. the meaning of rice body is any of the smooth glistening ovoid particles resembling grains of rice that occur in joints and the. the video reviews the pathogenesis, diagnosis, and management of rice bodies in the articular space of the shoulder and discusses the case. What Is A Rice Body.
From radiopaedia.org
Rice bodies knee synovial chondromatosis Image What Is A Rice Body the video reviews the pathogenesis, diagnosis, and management of rice bodies in the articular space of the shoulder and discusses the case. They are located in the synovial fluid,. the meaning of rice body is any of the smooth glistening ovoid particles resembling grains of rice that occur in joints and the. What Is A Rice Body.
From journalmsr.com
Rice bodies An incidental finding inside a bursa over a hip What Is A Rice Body the meaning of rice body is any of the smooth glistening ovoid particles resembling grains of rice that occur in joints and the. They are located in the synovial fluid,. the video reviews the pathogenesis, diagnosis, and management of rice bodies in the articular space of the shoulder and discusses the case. What Is A Rice Body.
From rawarrior.com
Rheumatoid Arthritis Rice Bodies Rheumatoid Arthritis Warrior What Is A Rice Body They are located in the synovial fluid,. the video reviews the pathogenesis, diagnosis, and management of rice bodies in the articular space of the shoulder and discusses the case. the meaning of rice body is any of the smooth glistening ovoid particles resembling grains of rice that occur in joints and the. What Is A Rice Body.
From casereports.bmj.com
‘Rice bodies in the knee’ classic tuberculosis of the knee BMJ Case What Is A Rice Body They are located in the synovial fluid,. the meaning of rice body is any of the smooth glistening ovoid particles resembling grains of rice that occur in joints and the. the video reviews the pathogenesis, diagnosis, and management of rice bodies in the articular space of the shoulder and discusses the case. What Is A Rice Body.
From www.researchgate.net
(a) Rice bodiesgross specimen. (b) Rice bodiesmicroscopic histology What Is A Rice Body They are located in the synovial fluid,. the meaning of rice body is any of the smooth glistening ovoid particles resembling grains of rice that occur in joints and the. the video reviews the pathogenesis, diagnosis, and management of rice bodies in the articular space of the shoulder and discusses the case. What Is A Rice Body.
From www.semanticscholar.org
Figure 2 from Severe SubAcromial Bursitis with Rice Bodies in a What Is A Rice Body the meaning of rice body is any of the smooth glistening ovoid particles resembling grains of rice that occur in joints and the. They are located in the synovial fluid,. the video reviews the pathogenesis, diagnosis, and management of rice bodies in the articular space of the shoulder and discusses the case. What Is A Rice Body.
From www.researchgate.net
(PDF) Flakeshaped rice bodies What Is A Rice Body They are located in the synovial fluid,. the video reviews the pathogenesis, diagnosis, and management of rice bodies in the articular space of the shoulder and discusses the case. the meaning of rice body is any of the smooth glistening ovoid particles resembling grains of rice that occur in joints and the. What Is A Rice Body.
From www.ajronline.org
Rice bodies in juvenile rheumatoid arthritis. AJR What Is A Rice Body the video reviews the pathogenesis, diagnosis, and management of rice bodies in the articular space of the shoulder and discusses the case. the meaning of rice body is any of the smooth glistening ovoid particles resembling grains of rice that occur in joints and the. They are located in the synovial fluid,. What Is A Rice Body.
From faoj.org
rice bodies The Foot and Ankle Online Journal What Is A Rice Body They are located in the synovial fluid,. the video reviews the pathogenesis, diagnosis, and management of rice bodies in the articular space of the shoulder and discusses the case. the meaning of rice body is any of the smooth glistening ovoid particles resembling grains of rice that occur in joints and the. What Is A Rice Body.
From journalmsr.com
Rice bodies An incidental finding inside a bursa over a hip What Is A Rice Body the video reviews the pathogenesis, diagnosis, and management of rice bodies in the articular space of the shoulder and discusses the case. They are located in the synovial fluid,. the meaning of rice body is any of the smooth glistening ovoid particles resembling grains of rice that occur in joints and the. What Is A Rice Body.