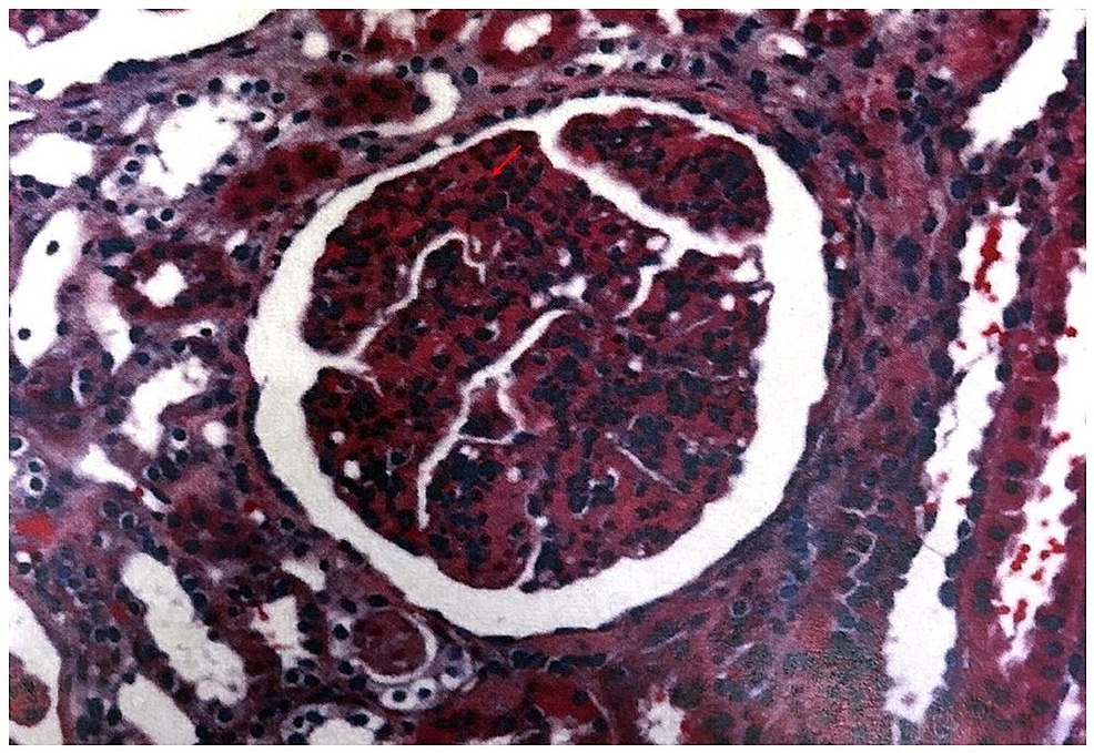
Post Streptococcal Glomerulonephritis Biopsy Findings . right kidney, biopsy: streptococcal postinfectious glomerulonephritis (pign) is suggested by history of pharyngitis or impetigo plus either typical symptoms of pign or incidental. Adequate (2 cores with 80% cortex and 20% medulla). serologic findings are as follows: increased crp, hypoalbuminemia, and hypocomplementemia are associated with disease severity. immunohistochemical and serological evidence for the role of streptococcal proteinase in acute post.
from www.mdpi.com
increased crp, hypoalbuminemia, and hypocomplementemia are associated with disease severity. Adequate (2 cores with 80% cortex and 20% medulla). streptococcal postinfectious glomerulonephritis (pign) is suggested by history of pharyngitis or impetigo plus either typical symptoms of pign or incidental. immunohistochemical and serological evidence for the role of streptococcal proteinase in acute post. right kidney, biopsy: serologic findings are as follows:
IJMS Free FullText NephritisAssociated Plasmin Receptor (NAPlr
Post Streptococcal Glomerulonephritis Biopsy Findings Adequate (2 cores with 80% cortex and 20% medulla). Adequate (2 cores with 80% cortex and 20% medulla). right kidney, biopsy: increased crp, hypoalbuminemia, and hypocomplementemia are associated with disease severity. serologic findings are as follows: streptococcal postinfectious glomerulonephritis (pign) is suggested by history of pharyngitis or impetigo plus either typical symptoms of pign or incidental. immunohistochemical and serological evidence for the role of streptococcal proteinase in acute post.
From medical-junction.com
Acute Post Streptococcal Glomerulonephritis Medical Junction Post Streptococcal Glomerulonephritis Biopsy Findings immunohistochemical and serological evidence for the role of streptococcal proteinase in acute post. serologic findings are as follows: streptococcal postinfectious glomerulonephritis (pign) is suggested by history of pharyngitis or impetigo plus either typical symptoms of pign or incidental. increased crp, hypoalbuminemia, and hypocomplementemia are associated with disease severity. Adequate (2 cores with 80% cortex and 20%. Post Streptococcal Glomerulonephritis Biopsy Findings.
From www.slideshare.net
Pathology of Glomerulonephritis Post Streptococcal Glomerulonephritis Biopsy Findings right kidney, biopsy: serologic findings are as follows: Adequate (2 cores with 80% cortex and 20% medulla). increased crp, hypoalbuminemia, and hypocomplementemia are associated with disease severity. immunohistochemical and serological evidence for the role of streptococcal proteinase in acute post. streptococcal postinfectious glomerulonephritis (pign) is suggested by history of pharyngitis or impetigo plus either typical. Post Streptococcal Glomerulonephritis Biopsy Findings.
From www.youtube.com
Glomerulonephritis(Poststreptococcal) Nephritic Syndrome Clinical Post Streptococcal Glomerulonephritis Biopsy Findings streptococcal postinfectious glomerulonephritis (pign) is suggested by history of pharyngitis or impetigo plus either typical symptoms of pign or incidental. Adequate (2 cores with 80% cortex and 20% medulla). serologic findings are as follows: increased crp, hypoalbuminemia, and hypocomplementemia are associated with disease severity. immunohistochemical and serological evidence for the role of streptococcal proteinase in acute. Post Streptococcal Glomerulonephritis Biopsy Findings.
From medical-junction.com
Acute Post Streptococcal Glomerulonephritis Medical Junction Post Streptococcal Glomerulonephritis Biopsy Findings streptococcal postinfectious glomerulonephritis (pign) is suggested by history of pharyngitis or impetigo plus either typical symptoms of pign or incidental. immunohistochemical and serological evidence for the role of streptococcal proteinase in acute post. increased crp, hypoalbuminemia, and hypocomplementemia are associated with disease severity. Adequate (2 cores with 80% cortex and 20% medulla). serologic findings are as. Post Streptococcal Glomerulonephritis Biopsy Findings.
From www.researchgate.net
(PDF) Acute Poststreptococcal Glomerulonephritis with Acute Kidney Post Streptococcal Glomerulonephritis Biopsy Findings increased crp, hypoalbuminemia, and hypocomplementemia are associated with disease severity. right kidney, biopsy: Adequate (2 cores with 80% cortex and 20% medulla). streptococcal postinfectious glomerulonephritis (pign) is suggested by history of pharyngitis or impetigo plus either typical symptoms of pign or incidental. immunohistochemical and serological evidence for the role of streptococcal proteinase in acute post. . Post Streptococcal Glomerulonephritis Biopsy Findings.
From www.youtube.com
PATHOLOGY POSTSTREPTOCOCCAL GLOMERULONEPHRITIS(PSGN) RENAL Post Streptococcal Glomerulonephritis Biopsy Findings streptococcal postinfectious glomerulonephritis (pign) is suggested by history of pharyngitis or impetigo plus either typical symptoms of pign or incidental. increased crp, hypoalbuminemia, and hypocomplementemia are associated with disease severity. immunohistochemical and serological evidence for the role of streptococcal proteinase in acute post. right kidney, biopsy: Adequate (2 cores with 80% cortex and 20% medulla). . Post Streptococcal Glomerulonephritis Biopsy Findings.
From www.pathologyoutlines.com
Pathology Outlines Acute postinfectious glomerulonephritis Post Streptococcal Glomerulonephritis Biopsy Findings streptococcal postinfectious glomerulonephritis (pign) is suggested by history of pharyngitis or impetigo plus either typical symptoms of pign or incidental. serologic findings are as follows: increased crp, hypoalbuminemia, and hypocomplementemia are associated with disease severity. Adequate (2 cores with 80% cortex and 20% medulla). right kidney, biopsy: immunohistochemical and serological evidence for the role of. Post Streptococcal Glomerulonephritis Biopsy Findings.
From www.cairopedneph.com
PSGN Post Streptococcal Glomerulonephritis Biopsy Findings right kidney, biopsy: streptococcal postinfectious glomerulonephritis (pign) is suggested by history of pharyngitis or impetigo plus either typical symptoms of pign or incidental. Adequate (2 cores with 80% cortex and 20% medulla). increased crp, hypoalbuminemia, and hypocomplementemia are associated with disease severity. immunohistochemical and serological evidence for the role of streptococcal proteinase in acute post. . Post Streptococcal Glomerulonephritis Biopsy Findings.
From www.researchgate.net
Sample key for a case of poststreptococcal glomerulonephritis. The Post Streptococcal Glomerulonephritis Biopsy Findings Adequate (2 cores with 80% cortex and 20% medulla). streptococcal postinfectious glomerulonephritis (pign) is suggested by history of pharyngitis or impetigo plus either typical symptoms of pign or incidental. immunohistochemical and serological evidence for the role of streptococcal proteinase in acute post. increased crp, hypoalbuminemia, and hypocomplementemia are associated with disease severity. serologic findings are as. Post Streptococcal Glomerulonephritis Biopsy Findings.
From www.mdpi.com
IJMS Free FullText NephritisAssociated Plasmin Receptor (NAPlr Post Streptococcal Glomerulonephritis Biopsy Findings streptococcal postinfectious glomerulonephritis (pign) is suggested by history of pharyngitis or impetigo plus either typical symptoms of pign or incidental. right kidney, biopsy: serologic findings are as follows: increased crp, hypoalbuminemia, and hypocomplementemia are associated with disease severity. immunohistochemical and serological evidence for the role of streptococcal proteinase in acute post. Adequate (2 cores with. Post Streptococcal Glomerulonephritis Biopsy Findings.
From europepmc.org
PostStreptococcal Glomerulonephritis Abstract Europe PMC Post Streptococcal Glomerulonephritis Biopsy Findings Adequate (2 cores with 80% cortex and 20% medulla). immunohistochemical and serological evidence for the role of streptococcal proteinase in acute post. streptococcal postinfectious glomerulonephritis (pign) is suggested by history of pharyngitis or impetigo plus either typical symptoms of pign or incidental. right kidney, biopsy: serologic findings are as follows: increased crp, hypoalbuminemia, and hypocomplementemia. Post Streptococcal Glomerulonephritis Biopsy Findings.
From www.ncbi.nlm.nih.gov
PostStreptococcal Glomerulonephritis Streptococcus pyogenes NCBI Post Streptococcal Glomerulonephritis Biopsy Findings Adequate (2 cores with 80% cortex and 20% medulla). increased crp, hypoalbuminemia, and hypocomplementemia are associated with disease severity. right kidney, biopsy: immunohistochemical and serological evidence for the role of streptococcal proteinase in acute post. streptococcal postinfectious glomerulonephritis (pign) is suggested by history of pharyngitis or impetigo plus either typical symptoms of pign or incidental. . Post Streptococcal Glomerulonephritis Biopsy Findings.
From www.slideshare.net
Pathology of Glomerulonephritis Post Streptococcal Glomerulonephritis Biopsy Findings Adequate (2 cores with 80% cortex and 20% medulla). serologic findings are as follows: increased crp, hypoalbuminemia, and hypocomplementemia are associated with disease severity. immunohistochemical and serological evidence for the role of streptococcal proteinase in acute post. streptococcal postinfectious glomerulonephritis (pign) is suggested by history of pharyngitis or impetigo plus either typical symptoms of pign or. Post Streptococcal Glomerulonephritis Biopsy Findings.
From www.youtube.com
Post Streptococcal Glomerulonephritis! (PSGN) YouTube Post Streptococcal Glomerulonephritis Biopsy Findings immunohistochemical and serological evidence for the role of streptococcal proteinase in acute post. Adequate (2 cores with 80% cortex and 20% medulla). streptococcal postinfectious glomerulonephritis (pign) is suggested by history of pharyngitis or impetigo plus either typical symptoms of pign or incidental. right kidney, biopsy: serologic findings are as follows: increased crp, hypoalbuminemia, and hypocomplementemia. Post Streptococcal Glomerulonephritis Biopsy Findings.
From www.nejm.org
Poststreptococcal Glomerulonephritis without Proteinuria NEJM Post Streptococcal Glomerulonephritis Biopsy Findings right kidney, biopsy: increased crp, hypoalbuminemia, and hypocomplementemia are associated with disease severity. serologic findings are as follows: streptococcal postinfectious glomerulonephritis (pign) is suggested by history of pharyngitis or impetigo plus either typical symptoms of pign or incidental. Adequate (2 cores with 80% cortex and 20% medulla). immunohistochemical and serological evidence for the role of. Post Streptococcal Glomerulonephritis Biopsy Findings.
From www.immunopaedia.org.za
Post streptococcal glomerulonephritis Case Study Immunopaedia Post Streptococcal Glomerulonephritis Biopsy Findings serologic findings are as follows: increased crp, hypoalbuminemia, and hypocomplementemia are associated with disease severity. immunohistochemical and serological evidence for the role of streptococcal proteinase in acute post. streptococcal postinfectious glomerulonephritis (pign) is suggested by history of pharyngitis or impetigo plus either typical symptoms of pign or incidental. Adequate (2 cores with 80% cortex and 20%. Post Streptococcal Glomerulonephritis Biopsy Findings.
From www.youtube.com
Poststreptococcal Glomerulitis Cause Symptom Diagnosis Treatment ASGN Post Streptococcal Glomerulonephritis Biopsy Findings serologic findings are as follows: immunohistochemical and serological evidence for the role of streptococcal proteinase in acute post. increased crp, hypoalbuminemia, and hypocomplementemia are associated with disease severity. streptococcal postinfectious glomerulonephritis (pign) is suggested by history of pharyngitis or impetigo plus either typical symptoms of pign or incidental. Adequate (2 cores with 80% cortex and 20%. Post Streptococcal Glomerulonephritis Biopsy Findings.
From www.youtube.com
Post streptococcal glomerulonephritis PSGN pathogenesis clinical Post Streptococcal Glomerulonephritis Biopsy Findings immunohistochemical and serological evidence for the role of streptococcal proteinase in acute post. Adequate (2 cores with 80% cortex and 20% medulla). increased crp, hypoalbuminemia, and hypocomplementemia are associated with disease severity. streptococcal postinfectious glomerulonephritis (pign) is suggested by history of pharyngitis or impetigo plus either typical symptoms of pign or incidental. right kidney, biopsy: . Post Streptococcal Glomerulonephritis Biopsy Findings.
From www.cairopedneph.com
PSGN Post Streptococcal Glomerulonephritis Biopsy Findings right kidney, biopsy: streptococcal postinfectious glomerulonephritis (pign) is suggested by history of pharyngitis or impetigo plus either typical symptoms of pign or incidental. immunohistochemical and serological evidence for the role of streptococcal proteinase in acute post. Adequate (2 cores with 80% cortex and 20% medulla). increased crp, hypoalbuminemia, and hypocomplementemia are associated with disease severity. . Post Streptococcal Glomerulonephritis Biopsy Findings.
From mungfali.com
IGA Glomerulonephritis Post Streptococcal Glomerulonephritis Biopsy Findings increased crp, hypoalbuminemia, and hypocomplementemia are associated with disease severity. immunohistochemical and serological evidence for the role of streptococcal proteinase in acute post. serologic findings are as follows: streptococcal postinfectious glomerulonephritis (pign) is suggested by history of pharyngitis or impetigo plus either typical symptoms of pign or incidental. right kidney, biopsy: Adequate (2 cores with. Post Streptococcal Glomerulonephritis Biopsy Findings.
From europepmc.org
PostStreptococcal Glomerulonephritis in Two Patients Following Post Streptococcal Glomerulonephritis Biopsy Findings right kidney, biopsy: increased crp, hypoalbuminemia, and hypocomplementemia are associated with disease severity. serologic findings are as follows: streptococcal postinfectious glomerulonephritis (pign) is suggested by history of pharyngitis or impetigo plus either typical symptoms of pign or incidental. Adequate (2 cores with 80% cortex and 20% medulla). immunohistochemical and serological evidence for the role of. Post Streptococcal Glomerulonephritis Biopsy Findings.
From www.semanticscholar.org
Figure 3 from Role of Steroids in Poststreptococcal Glomerulonephritis Post Streptococcal Glomerulonephritis Biopsy Findings serologic findings are as follows: streptococcal postinfectious glomerulonephritis (pign) is suggested by history of pharyngitis or impetigo plus either typical symptoms of pign or incidental. Adequate (2 cores with 80% cortex and 20% medulla). right kidney, biopsy: increased crp, hypoalbuminemia, and hypocomplementemia are associated with disease severity. immunohistochemical and serological evidence for the role of. Post Streptococcal Glomerulonephritis Biopsy Findings.
From www.youtube.com
Post Streptococcal Glomerulonephritis( PSGN) YouTube Post Streptococcal Glomerulonephritis Biopsy Findings right kidney, biopsy: immunohistochemical and serological evidence for the role of streptococcal proteinase in acute post. serologic findings are as follows: increased crp, hypoalbuminemia, and hypocomplementemia are associated with disease severity. Adequate (2 cores with 80% cortex and 20% medulla). streptococcal postinfectious glomerulonephritis (pign) is suggested by history of pharyngitis or impetigo plus either typical. Post Streptococcal Glomerulonephritis Biopsy Findings.
From www.cureus.com
Role of Steroids in Poststreptococcal Glomerulonephritis Without Post Streptococcal Glomerulonephritis Biopsy Findings serologic findings are as follows: immunohistochemical and serological evidence for the role of streptococcal proteinase in acute post. increased crp, hypoalbuminemia, and hypocomplementemia are associated with disease severity. Adequate (2 cores with 80% cortex and 20% medulla). streptococcal postinfectious glomerulonephritis (pign) is suggested by history of pharyngitis or impetigo plus either typical symptoms of pign or. Post Streptococcal Glomerulonephritis Biopsy Findings.
From www.frontiersin.org
Frontiers Case report A pediatric case of MPOANCAassociated Post Streptococcal Glomerulonephritis Biopsy Findings right kidney, biopsy: Adequate (2 cores with 80% cortex and 20% medulla). serologic findings are as follows: increased crp, hypoalbuminemia, and hypocomplementemia are associated with disease severity. immunohistochemical and serological evidence for the role of streptococcal proteinase in acute post. streptococcal postinfectious glomerulonephritis (pign) is suggested by history of pharyngitis or impetigo plus either typical. Post Streptococcal Glomerulonephritis Biopsy Findings.
From www.cureus.com
Morphological Spectrum of Glomerulonephritis in Medical Renal Biopsies Post Streptococcal Glomerulonephritis Biopsy Findings Adequate (2 cores with 80% cortex and 20% medulla). immunohistochemical and serological evidence for the role of streptococcal proteinase in acute post. increased crp, hypoalbuminemia, and hypocomplementemia are associated with disease severity. streptococcal postinfectious glomerulonephritis (pign) is suggested by history of pharyngitis or impetigo plus either typical symptoms of pign or incidental. serologic findings are as. Post Streptococcal Glomerulonephritis Biopsy Findings.
From www.arkanalabs.com
(PSAGN) PostStreptococcal Acute Glomerulonephritis Case 7 Post Streptococcal Glomerulonephritis Biopsy Findings immunohistochemical and serological evidence for the role of streptococcal proteinase in acute post. increased crp, hypoalbuminemia, and hypocomplementemia are associated with disease severity. Adequate (2 cores with 80% cortex and 20% medulla). streptococcal postinfectious glomerulonephritis (pign) is suggested by history of pharyngitis or impetigo plus either typical symptoms of pign or incidental. serologic findings are as. Post Streptococcal Glomerulonephritis Biopsy Findings.
From medical-junction.com
Acute Post Streptococcal Glomerulonephritis Medical Junction Post Streptococcal Glomerulonephritis Biopsy Findings immunohistochemical and serological evidence for the role of streptococcal proteinase in acute post. increased crp, hypoalbuminemia, and hypocomplementemia are associated with disease severity. streptococcal postinfectious glomerulonephritis (pign) is suggested by history of pharyngitis or impetigo plus either typical symptoms of pign or incidental. right kidney, biopsy: Adequate (2 cores with 80% cortex and 20% medulla). . Post Streptococcal Glomerulonephritis Biopsy Findings.
From app.achievable.me
Poststreptococcal glomerulonephritis (PSGN) Renal system Renal Post Streptococcal Glomerulonephritis Biopsy Findings Adequate (2 cores with 80% cortex and 20% medulla). serologic findings are as follows: right kidney, biopsy: increased crp, hypoalbuminemia, and hypocomplementemia are associated with disease severity. immunohistochemical and serological evidence for the role of streptococcal proteinase in acute post. streptococcal postinfectious glomerulonephritis (pign) is suggested by history of pharyngitis or impetigo plus either typical. Post Streptococcal Glomerulonephritis Biopsy Findings.
From www.arkanalabs.com
(PSAGN) PostStreptococcal Acute Glomerulonephritis Case 7 Post Streptococcal Glomerulonephritis Biopsy Findings serologic findings are as follows: increased crp, hypoalbuminemia, and hypocomplementemia are associated with disease severity. immunohistochemical and serological evidence for the role of streptococcal proteinase in acute post. right kidney, biopsy: Adequate (2 cores with 80% cortex and 20% medulla). streptococcal postinfectious glomerulonephritis (pign) is suggested by history of pharyngitis or impetigo plus either typical. Post Streptococcal Glomerulonephritis Biopsy Findings.
From www.arkanalabs.com
Acute PostInfectious Glomerulonephritis Teaching Points Arkana Labs Post Streptococcal Glomerulonephritis Biopsy Findings right kidney, biopsy: serologic findings are as follows: increased crp, hypoalbuminemia, and hypocomplementemia are associated with disease severity. Adequate (2 cores with 80% cortex and 20% medulla). immunohistochemical and serological evidence for the role of streptococcal proteinase in acute post. streptococcal postinfectious glomerulonephritis (pign) is suggested by history of pharyngitis or impetigo plus either typical. Post Streptococcal Glomerulonephritis Biopsy Findings.
From www.researchgate.net
Renal Biopsy findings Light Microscopy (LM). Focal Proliferative and Post Streptococcal Glomerulonephritis Biopsy Findings Adequate (2 cores with 80% cortex and 20% medulla). immunohistochemical and serological evidence for the role of streptococcal proteinase in acute post. serologic findings are as follows: increased crp, hypoalbuminemia, and hypocomplementemia are associated with disease severity. streptococcal postinfectious glomerulonephritis (pign) is suggested by history of pharyngitis or impetigo plus either typical symptoms of pign or. Post Streptococcal Glomerulonephritis Biopsy Findings.
From pathology.oit.duke.edu
Duke Pathology Renal & Bladder Post Streptococcal Glomerulonephritis Biopsy Findings immunohistochemical and serological evidence for the role of streptococcal proteinase in acute post. serologic findings are as follows: right kidney, biopsy: Adequate (2 cores with 80% cortex and 20% medulla). increased crp, hypoalbuminemia, and hypocomplementemia are associated with disease severity. streptococcal postinfectious glomerulonephritis (pign) is suggested by history of pharyngitis or impetigo plus either typical. Post Streptococcal Glomerulonephritis Biopsy Findings.
From www.slideserve.com
PPT Acute Poststreptococcal Glomerulonephritis PowerPoint Post Streptococcal Glomerulonephritis Biopsy Findings streptococcal postinfectious glomerulonephritis (pign) is suggested by history of pharyngitis or impetigo plus either typical symptoms of pign or incidental. immunohistochemical and serological evidence for the role of streptococcal proteinase in acute post. Adequate (2 cores with 80% cortex and 20% medulla). right kidney, biopsy: serologic findings are as follows: increased crp, hypoalbuminemia, and hypocomplementemia. Post Streptococcal Glomerulonephritis Biopsy Findings.
From www.medicinekeys.com
Poststreptococcal glomerulonephritis (PSGN) Medicine Keys for MRCPs Post Streptococcal Glomerulonephritis Biopsy Findings immunohistochemical and serological evidence for the role of streptococcal proteinase in acute post. Adequate (2 cores with 80% cortex and 20% medulla). streptococcal postinfectious glomerulonephritis (pign) is suggested by history of pharyngitis or impetigo plus either typical symptoms of pign or incidental. right kidney, biopsy: serologic findings are as follows: increased crp, hypoalbuminemia, and hypocomplementemia. Post Streptococcal Glomerulonephritis Biopsy Findings.