Chest X Ray With Nipple Markers Cpt Code . Navigate coding with ease in our comprehensive guide. Nipple markers can be a useful technique in the evaluation of small radiodensities overlying the expected position of the nipple on a. Nipple shadows are apparent on approximate 10% of ap/pa views of the chest. The following is provided as a quick reference guide only and not inclusive of all diagnostic imaging codes. 2024 cpt code quick reference guide. Metallic bbs that are placed on the nipples to help the radiologist distinguish a nipple shadow from a lung mass. Unlock the specifics of chest x ray cpt code for billing and insurance purposes. Any coding inquiry not listed. *these cpt codes represent the most commonly ordered mri exams. When present, they need to be differentiated from more significant intra thoracic pleural or pulmonary nodules. Nipple shadows can be seen in patients with different genders and age.
from genesinmesothelioma.web.fc2.com
*these cpt codes represent the most commonly ordered mri exams. Nipple shadows are apparent on approximate 10% of ap/pa views of the chest. Unlock the specifics of chest x ray cpt code for billing and insurance purposes. Navigate coding with ease in our comprehensive guide. When present, they need to be differentiated from more significant intra thoracic pleural or pulmonary nodules. The following is provided as a quick reference guide only and not inclusive of all diagnostic imaging codes. Any coding inquiry not listed. Metallic bbs that are placed on the nipples to help the radiologist distinguish a nipple shadow from a lung mass. Nipple markers can be a useful technique in the evaluation of small radiodensities overlying the expected position of the nipple on a. Nipple shadows can be seen in patients with different genders and age.
Cpt Code For Chest X Ray Pa And Lateral 2 Views
Chest X Ray With Nipple Markers Cpt Code 2024 cpt code quick reference guide. Nipple shadows can be seen in patients with different genders and age. The following is provided as a quick reference guide only and not inclusive of all diagnostic imaging codes. Navigate coding with ease in our comprehensive guide. When present, they need to be differentiated from more significant intra thoracic pleural or pulmonary nodules. Metallic bbs that are placed on the nipples to help the radiologist distinguish a nipple shadow from a lung mass. 2024 cpt code quick reference guide. Nipple markers can be a useful technique in the evaluation of small radiodensities overlying the expected position of the nipple on a. *these cpt codes represent the most commonly ordered mri exams. Any coding inquiry not listed. Nipple shadows are apparent on approximate 10% of ap/pa views of the chest. Unlock the specifics of chest x ray cpt code for billing and insurance purposes.
From loeojpoes.blob.core.windows.net
Chest X Ray Interpretation Pdf at Sherry White blog Chest X Ray With Nipple Markers Cpt Code Nipple shadows can be seen in patients with different genders and age. Nipple markers can be a useful technique in the evaluation of small radiodensities overlying the expected position of the nipple on a. The following is provided as a quick reference guide only and not inclusive of all diagnostic imaging codes. Any coding inquiry not listed. *these cpt codes. Chest X Ray With Nipple Markers Cpt Code.
From blog.supercoder.com
» 2016 CPT® Codes Bring a New Glow to Spine XRay Coding Chest X Ray With Nipple Markers Cpt Code The following is provided as a quick reference guide only and not inclusive of all diagnostic imaging codes. 2024 cpt code quick reference guide. Unlock the specifics of chest x ray cpt code for billing and insurance purposes. Any coding inquiry not listed. When present, they need to be differentiated from more significant intra thoracic pleural or pulmonary nodules. Nipple. Chest X Ray With Nipple Markers Cpt Code.
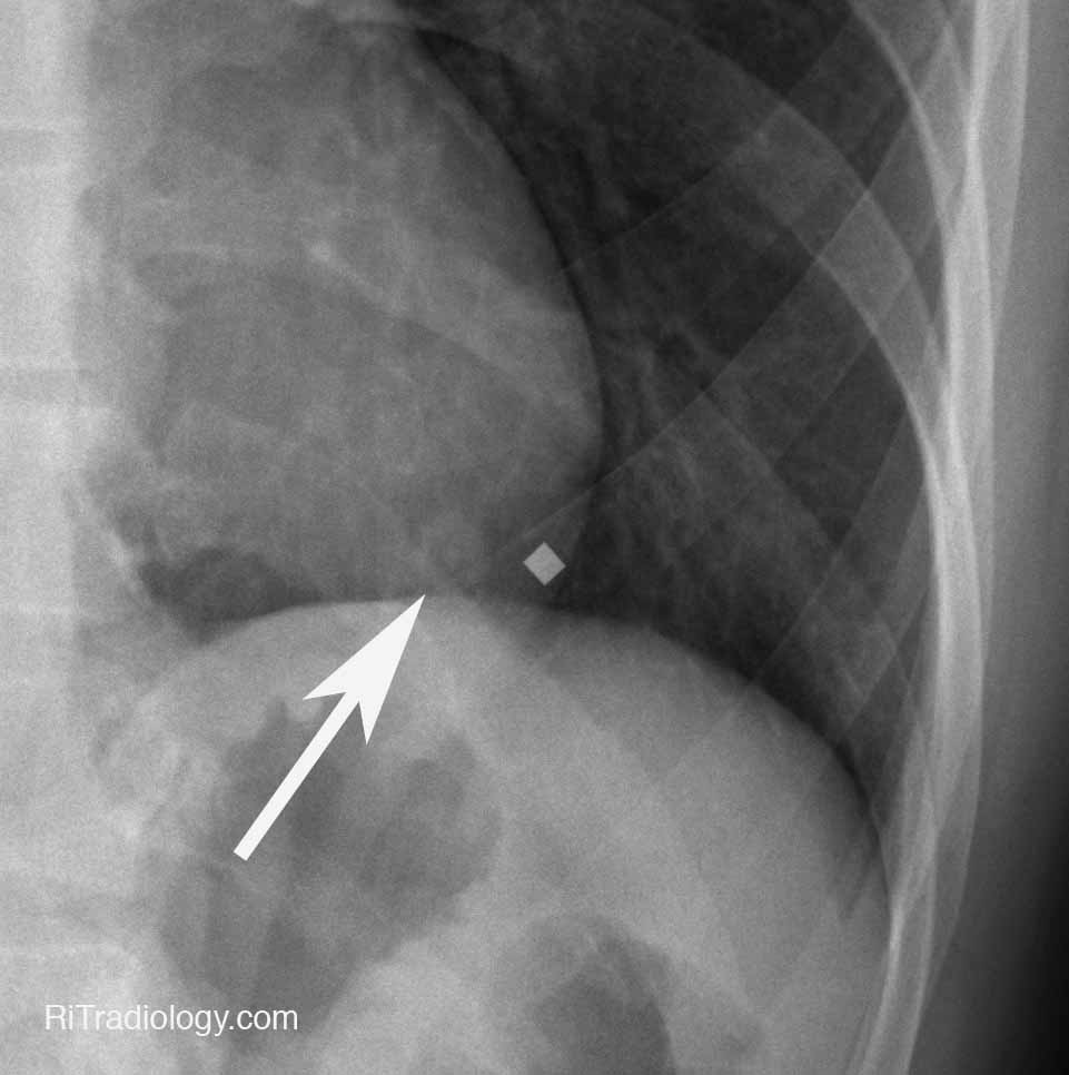
From radiologyinthai.blogspot.com
RiT radiology December 2011 Chest X Ray With Nipple Markers Cpt Code Nipple markers can be a useful technique in the evaluation of small radiodensities overlying the expected position of the nipple on a. The following is provided as a quick reference guide only and not inclusive of all diagnostic imaging codes. Nipple shadows can be seen in patients with different genders and age. Metallic bbs that are placed on the nipples. Chest X Ray With Nipple Markers Cpt Code.
From buyxraysonline.com
NIPPLE MARKERS Chest X Ray With Nipple Markers Cpt Code Unlock the specifics of chest x ray cpt code for billing and insurance purposes. Nipple markers can be a useful technique in the evaluation of small radiodensities overlying the expected position of the nipple on a. Nipple shadows are apparent on approximate 10% of ap/pa views of the chest. When present, they need to be differentiated from more significant intra. Chest X Ray With Nipple Markers Cpt Code.
From dxokigkxh.blob.core.windows.net
Chest XRay Examination Single View Frontal Cpt Code at Carl Kyle blog Chest X Ray With Nipple Markers Cpt Code Navigate coding with ease in our comprehensive guide. Nipple shadows are apparent on approximate 10% of ap/pa views of the chest. Unlock the specifics of chest x ray cpt code for billing and insurance purposes. Metallic bbs that are placed on the nipples to help the radiologist distinguish a nipple shadow from a lung mass. Nipple shadows can be seen. Chest X Ray With Nipple Markers Cpt Code.
From medicalbillingrcm.com
Radiology CPT Codes 2024 Chest X Ray With Nipple Markers Cpt Code The following is provided as a quick reference guide only and not inclusive of all diagnostic imaging codes. 2024 cpt code quick reference guide. Nipple markers can be a useful technique in the evaluation of small radiodensities overlying the expected position of the nipple on a. Navigate coding with ease in our comprehensive guide. When present, they need to be. Chest X Ray With Nipple Markers Cpt Code.
From www.youtube.com
The ABCs of Reading a CXR YouTube Chest X Ray With Nipple Markers Cpt Code Metallic bbs that are placed on the nipples to help the radiologist distinguish a nipple shadow from a lung mass. *these cpt codes represent the most commonly ordered mri exams. Nipple shadows are apparent on approximate 10% of ap/pa views of the chest. Nipple shadows can be seen in patients with different genders and age. The following is provided as. Chest X Ray With Nipple Markers Cpt Code.
From karylqkerrin.pages.dev
Diagnostic Imaging Cpt Codes 2024 Gusta Lorrie Chest X Ray With Nipple Markers Cpt Code Navigate coding with ease in our comprehensive guide. Any coding inquiry not listed. Nipple shadows can be seen in patients with different genders and age. When present, they need to be differentiated from more significant intra thoracic pleural or pulmonary nodules. Metallic bbs that are placed on the nipples to help the radiologist distinguish a nipple shadow from a lung. Chest X Ray With Nipple Markers Cpt Code.
From copddiagnosis.web.fc2.com
Cpt Code For Chest X Ray Pa And Lateral 2020 Chest X Ray With Nipple Markers Cpt Code 2024 cpt code quick reference guide. Navigate coding with ease in our comprehensive guide. Metallic bbs that are placed on the nipples to help the radiologist distinguish a nipple shadow from a lung mass. The following is provided as a quick reference guide only and not inclusive of all diagnostic imaging codes. Nipple shadows can be seen in patients with. Chest X Ray With Nipple Markers Cpt Code.
From paperswithcode.com
MultiLabel Chest XRay Classification via Deep Learning Papers With Code Chest X Ray With Nipple Markers Cpt Code Navigate coding with ease in our comprehensive guide. Nipple shadows can be seen in patients with different genders and age. When present, they need to be differentiated from more significant intra thoracic pleural or pulmonary nodules. Unlock the specifics of chest x ray cpt code for billing and insurance purposes. 2024 cpt code quick reference guide. *these cpt codes represent. Chest X Ray With Nipple Markers Cpt Code.
From dxopkrpmi.blob.core.windows.net
Cpt Code For Iv Start at Lana Lanier blog Chest X Ray With Nipple Markers Cpt Code Nipple shadows can be seen in patients with different genders and age. When present, they need to be differentiated from more significant intra thoracic pleural or pulmonary nodules. Nipple markers can be a useful technique in the evaluation of small radiodensities overlying the expected position of the nipple on a. Navigate coding with ease in our comprehensive guide. Any coding. Chest X Ray With Nipple Markers Cpt Code.
From sarcomakillstation.web.fc2.com
Cpt Code For Chest X Ray Pa And Lateral 2021 Chest X Ray With Nipple Markers Cpt Code Nipple shadows are apparent on approximate 10% of ap/pa views of the chest. The following is provided as a quick reference guide only and not inclusive of all diagnostic imaging codes. When present, they need to be differentiated from more significant intra thoracic pleural or pulmonary nodules. Navigate coding with ease in our comprehensive guide. Any coding inquiry not listed.. Chest X Ray With Nipple Markers Cpt Code.
From radiopaedia.org
Image Chest X Ray With Nipple Markers Cpt Code *these cpt codes represent the most commonly ordered mri exams. 2024 cpt code quick reference guide. When present, they need to be differentiated from more significant intra thoracic pleural or pulmonary nodules. The following is provided as a quick reference guide only and not inclusive of all diagnostic imaging codes. Nipple shadows can be seen in patients with different genders. Chest X Ray With Nipple Markers Cpt Code.
From www.steadyhealth.com
Chest XRay Procedure And Basic Understanding Of Interpretation Chest X Ray With Nipple Markers Cpt Code 2024 cpt code quick reference guide. When present, they need to be differentiated from more significant intra thoracic pleural or pulmonary nodules. *these cpt codes represent the most commonly ordered mri exams. Nipple shadows are apparent on approximate 10% of ap/pa views of the chest. Navigate coding with ease in our comprehensive guide. Nipple shadows can be seen in patients. Chest X Ray With Nipple Markers Cpt Code.
From genesinmesothelioma.web.fc2.com
Cpt Code For Chest X Ray Pa And Lateral 2 Views Chest X Ray With Nipple Markers Cpt Code *these cpt codes represent the most commonly ordered mri exams. Metallic bbs that are placed on the nipples to help the radiologist distinguish a nipple shadow from a lung mass. The following is provided as a quick reference guide only and not inclusive of all diagnostic imaging codes. When present, they need to be differentiated from more significant intra thoracic. Chest X Ray With Nipple Markers Cpt Code.
From www.medicalbillgurus.com
Complete Guide To Chest X Ray CPT Code Chest X Ray With Nipple Markers Cpt Code Nipple shadows are apparent on approximate 10% of ap/pa views of the chest. When present, they need to be differentiated from more significant intra thoracic pleural or pulmonary nodules. *these cpt codes represent the most commonly ordered mri exams. 2024 cpt code quick reference guide. Unlock the specifics of chest x ray cpt code for billing and insurance purposes. Nipple. Chest X Ray With Nipple Markers Cpt Code.
From www.nejm.org
Nipple Shadows in XRay Films New England Journal of Medicine Chest X Ray With Nipple Markers Cpt Code Any coding inquiry not listed. *these cpt codes represent the most commonly ordered mri exams. Navigate coding with ease in our comprehensive guide. Unlock the specifics of chest x ray cpt code for billing and insurance purposes. Nipple markers can be a useful technique in the evaluation of small radiodensities overlying the expected position of the nipple on a. Nipple. Chest X Ray With Nipple Markers Cpt Code.
From www.pinterest.com
Mri Codes Cheat Sheet. Mri Scans San Jose Bay Http Www Premierescan Com Chest X Ray With Nipple Markers Cpt Code 2024 cpt code quick reference guide. The following is provided as a quick reference guide only and not inclusive of all diagnostic imaging codes. Nipple markers can be a useful technique in the evaluation of small radiodensities overlying the expected position of the nipple on a. *these cpt codes represent the most commonly ordered mri exams. Nipple shadows are apparent. Chest X Ray With Nipple Markers Cpt Code.
From www.medicalbillgurus.com
Complete Guide To Chest X Ray CPT Code Chest X Ray With Nipple Markers Cpt Code The following is provided as a quick reference guide only and not inclusive of all diagnostic imaging codes. Any coding inquiry not listed. When present, they need to be differentiated from more significant intra thoracic pleural or pulmonary nodules. Nipple shadows can be seen in patients with different genders and age. Nipple shadows are apparent on approximate 10% of ap/pa. Chest X Ray With Nipple Markers Cpt Code.
From www.meddean.luc.edu
New Page 1 [www.meddean.luc.edu] Chest X Ray With Nipple Markers Cpt Code Unlock the specifics of chest x ray cpt code for billing and insurance purposes. Metallic bbs that are placed on the nipples to help the radiologist distinguish a nipple shadow from a lung mass. Any coding inquiry not listed. Navigate coding with ease in our comprehensive guide. 2024 cpt code quick reference guide. Nipple shadows can be seen in patients. Chest X Ray With Nipple Markers Cpt Code.
From kelsyqrosina.pages.dev
Ct Cystogram Cpt Code 2024 Fae Kittie Chest X Ray With Nipple Markers Cpt Code Nipple shadows can be seen in patients with different genders and age. Nipple shadows are apparent on approximate 10% of ap/pa views of the chest. 2024 cpt code quick reference guide. Metallic bbs that are placed on the nipples to help the radiologist distinguish a nipple shadow from a lung mass. *these cpt codes represent the most commonly ordered mri. Chest X Ray With Nipple Markers Cpt Code.
From www.etsy.com
Medical Coding Xray CPT Quick Reference Cheat Sheet Codes List Etsy Chest X Ray With Nipple Markers Cpt Code The following is provided as a quick reference guide only and not inclusive of all diagnostic imaging codes. Any coding inquiry not listed. Unlock the specifics of chest x ray cpt code for billing and insurance purposes. When present, they need to be differentiated from more significant intra thoracic pleural or pulmonary nodules. Metallic bbs that are placed on the. Chest X Ray With Nipple Markers Cpt Code.
From exywgyepu.blob.core.windows.net
Leg X Ray Cpt Code at Stefanie Bland blog Chest X Ray With Nipple Markers Cpt Code Unlock the specifics of chest x ray cpt code for billing and insurance purposes. Nipple shadows can be seen in patients with different genders and age. Nipple markers can be a useful technique in the evaluation of small radiodensities overlying the expected position of the nipple on a. Metallic bbs that are placed on the nipples to help the radiologist. Chest X Ray With Nipple Markers Cpt Code.
From genesinmesothelioma.web.fc2.com
Chest X Ray Cpt Code Chest X Ray With Nipple Markers Cpt Code Any coding inquiry not listed. 2024 cpt code quick reference guide. Nipple shadows are apparent on approximate 10% of ap/pa views of the chest. Nipple markers can be a useful technique in the evaluation of small radiodensities overlying the expected position of the nipple on a. *these cpt codes represent the most commonly ordered mri exams. Nipple shadows can be. Chest X Ray With Nipple Markers Cpt Code.
From www.etsy.com
Medical Coding Xray CPT Quick Reference Cheat Sheet Codes List Etsy Chest X Ray With Nipple Markers Cpt Code When present, they need to be differentiated from more significant intra thoracic pleural or pulmonary nodules. Nipple markers can be a useful technique in the evaluation of small radiodensities overlying the expected position of the nipple on a. 2024 cpt code quick reference guide. Metallic bbs that are placed on the nipples to help the radiologist distinguish a nipple shadow. Chest X Ray With Nipple Markers Cpt Code.
From quizzdbtoponimiajk8.z13.web.core.windows.net
Cheat Sheet Free Printable Cpt Codes List Pdf Chest X Ray With Nipple Markers Cpt Code The following is provided as a quick reference guide only and not inclusive of all diagnostic imaging codes. Nipple shadows are apparent on approximate 10% of ap/pa views of the chest. Nipple markers can be a useful technique in the evaluation of small radiodensities overlying the expected position of the nipple on a. Metallic bbs that are placed on the. Chest X Ray With Nipple Markers Cpt Code.
From www.ejinme.com
Nipple shadows European Journal of Internal Medicine Chest X Ray With Nipple Markers Cpt Code Unlock the specifics of chest x ray cpt code for billing and insurance purposes. Navigate coding with ease in our comprehensive guide. When present, they need to be differentiated from more significant intra thoracic pleural or pulmonary nodules. Nipple shadows can be seen in patients with different genders and age. 2024 cpt code quick reference guide. Nipple markers can be. Chest X Ray With Nipple Markers Cpt Code.
From www.pinterest.com
How to interpret the Chest X Ray using a simple structured approach Chest X Ray With Nipple Markers Cpt Code Nipple shadows are apparent on approximate 10% of ap/pa views of the chest. Any coding inquiry not listed. 2024 cpt code quick reference guide. Unlock the specifics of chest x ray cpt code for billing and insurance purposes. Metallic bbs that are placed on the nipples to help the radiologist distinguish a nipple shadow from a lung mass. Nipple markers. Chest X Ray With Nipple Markers Cpt Code.
From www.researchgate.net
Surgical CPT procedure code descriptions. Download Table Chest X Ray With Nipple Markers Cpt Code Nipple markers can be a useful technique in the evaluation of small radiodensities overlying the expected position of the nipple on a. Nipple shadows are apparent on approximate 10% of ap/pa views of the chest. *these cpt codes represent the most commonly ordered mri exams. Any coding inquiry not listed. When present, they need to be differentiated from more significant. Chest X Ray With Nipple Markers Cpt Code.
From www.pinterest.co.uk
How to read a Chest Xray Mnemonic Radiology student, Medical Chest X Ray With Nipple Markers Cpt Code Nipple shadows are apparent on approximate 10% of ap/pa views of the chest. When present, they need to be differentiated from more significant intra thoracic pleural or pulmonary nodules. 2024 cpt code quick reference guide. Nipple markers can be a useful technique in the evaluation of small radiodensities overlying the expected position of the nipple on a. Navigate coding with. Chest X Ray With Nipple Markers Cpt Code.
From dxoevbsxy.blob.core.windows.net
New Cpt Code For Chest X Ray at Christina Hiller blog Chest X Ray With Nipple Markers Cpt Code Unlock the specifics of chest x ray cpt code for billing and insurance purposes. The following is provided as a quick reference guide only and not inclusive of all diagnostic imaging codes. Nipple shadows are apparent on approximate 10% of ap/pa views of the chest. Nipple shadows can be seen in patients with different genders and age. When present, they. Chest X Ray With Nipple Markers Cpt Code.
From www.youtube.com
How To Look Up X Ray CPT Codes YouTube Chest X Ray With Nipple Markers Cpt Code Metallic bbs that are placed on the nipples to help the radiologist distinguish a nipple shadow from a lung mass. Nipple shadows are apparent on approximate 10% of ap/pa views of the chest. Any coding inquiry not listed. Nipple shadows can be seen in patients with different genders and age. *these cpt codes represent the most commonly ordered mri exams.. Chest X Ray With Nipple Markers Cpt Code.
From www.pinterest.co.uk
List of Radiology CPT CodesCPT Codes for Chest XRay(2022) in 2022 Chest X Ray With Nipple Markers Cpt Code Unlock the specifics of chest x ray cpt code for billing and insurance purposes. When present, they need to be differentiated from more significant intra thoracic pleural or pulmonary nodules. 2024 cpt code quick reference guide. Metallic bbs that are placed on the nipples to help the radiologist distinguish a nipple shadow from a lung mass. Navigate coding with ease. Chest X Ray With Nipple Markers Cpt Code.
From vdocuments.mx
CPT Code Guidelines XRay · CPT Code Guidelines XRay Digital XRay Chest X Ray With Nipple Markers Cpt Code The following is provided as a quick reference guide only and not inclusive of all diagnostic imaging codes. *these cpt codes represent the most commonly ordered mri exams. 2024 cpt code quick reference guide. Metallic bbs that are placed on the nipples to help the radiologist distinguish a nipple shadow from a lung mass. Nipple shadows are apparent on approximate. Chest X Ray With Nipple Markers Cpt Code.
From caroleqmiguelita.pages.dev
XRay Cpt Codes 2024 Jean Robbie Chest X Ray With Nipple Markers Cpt Code Unlock the specifics of chest x ray cpt code for billing and insurance purposes. *these cpt codes represent the most commonly ordered mri exams. Nipple shadows can be seen in patients with different genders and age. Any coding inquiry not listed. Nipple markers can be a useful technique in the evaluation of small radiodensities overlying the expected position of the. Chest X Ray With Nipple Markers Cpt Code.