Medical Term Fundic Gland . The gastric glands are glands in the lining of the stomach that play an essential role in the process of digestion. An organ producing substances which are then secreted to the outside of the gland, sometimes by means of a duct, as in the exocrine glands,. They contain parietal cells that secrete hydrochloric acid and. The meaning of fundic gland is one of the tubular glands of the fundus of the stomach secreting pepsin and mucus. Sporadic fundic gland polyps may. It does not usually store food unless the stomach is. Fundic gland polyps are the most common type of gastric polyp, and they develop in the fundus, the upper part of the stomach. These are the most common stomach polyps, usually appearing sporadically through the upper part of your stomach (the. Branched tubular glands lying in the mucosa of the fundus and body of the stomach. All of the glands have mucus.
from www.slideserve.com
The gastric glands are glands in the lining of the stomach that play an essential role in the process of digestion. It does not usually store food unless the stomach is. These are the most common stomach polyps, usually appearing sporadically through the upper part of your stomach (the. Fundic gland polyps are the most common type of gastric polyp, and they develop in the fundus, the upper part of the stomach. All of the glands have mucus. They contain parietal cells that secrete hydrochloric acid and. An organ producing substances which are then secreted to the outside of the gland, sometimes by means of a duct, as in the exocrine glands,. Branched tubular glands lying in the mucosa of the fundus and body of the stomach. The meaning of fundic gland is one of the tubular glands of the fundus of the stomach secreting pepsin and mucus. Sporadic fundic gland polyps may.
PPT DIGESTIVE SYSTEM PowerPoint Presentation ID6015619
Medical Term Fundic Gland Branched tubular glands lying in the mucosa of the fundus and body of the stomach. Fundic gland polyps are the most common type of gastric polyp, and they develop in the fundus, the upper part of the stomach. They contain parietal cells that secrete hydrochloric acid and. These are the most common stomach polyps, usually appearing sporadically through the upper part of your stomach (the. All of the glands have mucus. The gastric glands are glands in the lining of the stomach that play an essential role in the process of digestion. Sporadic fundic gland polyps may. Branched tubular glands lying in the mucosa of the fundus and body of the stomach. It does not usually store food unless the stomach is. The meaning of fundic gland is one of the tubular glands of the fundus of the stomach secreting pepsin and mucus. An organ producing substances which are then secreted to the outside of the gland, sometimes by means of a duct, as in the exocrine glands,.
From www.slideserve.com
PPT Alimentary Canal (I) PowerPoint Presentation, free download ID9347895 Medical Term Fundic Gland These are the most common stomach polyps, usually appearing sporadically through the upper part of your stomach (the. The gastric glands are glands in the lining of the stomach that play an essential role in the process of digestion. Branched tubular glands lying in the mucosa of the fundus and body of the stomach. Fundic gland polyps are the most. Medical Term Fundic Gland.
From www.researchgate.net
Fundic gland polyp (FGP). Histological variability of FGPs in relation... Download Scientific Medical Term Fundic Gland Branched tubular glands lying in the mucosa of the fundus and body of the stomach. The gastric glands are glands in the lining of the stomach that play an essential role in the process of digestion. They contain parietal cells that secrete hydrochloric acid and. An organ producing substances which are then secreted to the outside of the gland, sometimes. Medical Term Fundic Gland.
From www.slideserve.com
PPT ALIMENTARY TRACT PowerPoint Presentation, free download ID2272322 Medical Term Fundic Gland Sporadic fundic gland polyps may. These are the most common stomach polyps, usually appearing sporadically through the upper part of your stomach (the. The meaning of fundic gland is one of the tubular glands of the fundus of the stomach secreting pepsin and mucus. The gastric glands are glands in the lining of the stomach that play an essential role. Medical Term Fundic Gland.
From en.ppt-online.org
Esophagus stomach online presentation Medical Term Fundic Gland Sporadic fundic gland polyps may. It does not usually store food unless the stomach is. These are the most common stomach polyps, usually appearing sporadically through the upper part of your stomach (the. Fundic gland polyps are the most common type of gastric polyp, and they develop in the fundus, the upper part of the stomach. Branched tubular glands lying. Medical Term Fundic Gland.
From www.researchgate.net
Gastric adenocarcinoma of fundicgland type. Endoscopic image by white... Download Scientific Medical Term Fundic Gland Fundic gland polyps are the most common type of gastric polyp, and they develop in the fundus, the upper part of the stomach. The gastric glands are glands in the lining of the stomach that play an essential role in the process of digestion. All of the glands have mucus. Sporadic fundic gland polyps may. It does not usually store. Medical Term Fundic Gland.
From www.researchgate.net
2.A) Higher magnification of the upper part of the fundic glands of the... Download Scientific Medical Term Fundic Gland Branched tubular glands lying in the mucosa of the fundus and body of the stomach. They contain parietal cells that secrete hydrochloric acid and. It does not usually store food unless the stomach is. These are the most common stomach polyps, usually appearing sporadically through the upper part of your stomach (the. All of the glands have mucus. The gastric. Medical Term Fundic Gland.
From www.slideserve.com
PPT DIGESTIVE SYSTEM PowerPoint Presentation ID6015619 Medical Term Fundic Gland It does not usually store food unless the stomach is. Branched tubular glands lying in the mucosa of the fundus and body of the stomach. All of the glands have mucus. They contain parietal cells that secrete hydrochloric acid and. Fundic gland polyps are the most common type of gastric polyp, and they develop in the fundus, the upper part. Medical Term Fundic Gland.
From www.reddit.com
Site Fundus, Clinical Dx "Fundic Gland Polyp" r/pathology Medical Term Fundic Gland The meaning of fundic gland is one of the tubular glands of the fundus of the stomach secreting pepsin and mucus. It does not usually store food unless the stomach is. Sporadic fundic gland polyps may. They contain parietal cells that secrete hydrochloric acid and. An organ producing substances which are then secreted to the outside of the gland, sometimes. Medical Term Fundic Gland.
From doctorlib.info
Overview of Gastrointestinal Function & Regulation Ganong’s Review of Medical Physiology, 24th Medical Term Fundic Gland They contain parietal cells that secrete hydrochloric acid and. These are the most common stomach polyps, usually appearing sporadically through the upper part of your stomach (the. Branched tubular glands lying in the mucosa of the fundus and body of the stomach. All of the glands have mucus. The meaning of fundic gland is one of the tubular glands of. Medical Term Fundic Gland.
From www.kenhub.com
Stomach Anatomy, function, blood supply and innervation Kenhub Medical Term Fundic Gland The meaning of fundic gland is one of the tubular glands of the fundus of the stomach secreting pepsin and mucus. Fundic gland polyps are the most common type of gastric polyp, and they develop in the fundus, the upper part of the stomach. The gastric glands are glands in the lining of the stomach that play an essential role. Medical Term Fundic Gland.
From www.slideserve.com
PPT STOMACH PowerPoint Presentation, free download ID9207510 Medical Term Fundic Gland The gastric glands are glands in the lining of the stomach that play an essential role in the process of digestion. They contain parietal cells that secrete hydrochloric acid and. Sporadic fundic gland polyps may. Branched tubular glands lying in the mucosa of the fundus and body of the stomach. All of the glands have mucus. Fundic gland polyps are. Medical Term Fundic Gland.
From www.istockphoto.com
Fundic Gland Polyps Stock Photo Download Image Now Abdomen, Anatomy, Backgrounds iStock Medical Term Fundic Gland The meaning of fundic gland is one of the tubular glands of the fundus of the stomach secreting pepsin and mucus. It does not usually store food unless the stomach is. Branched tubular glands lying in the mucosa of the fundus and body of the stomach. These are the most common stomach polyps, usually appearing sporadically through the upper part. Medical Term Fundic Gland.
From www.researchgate.net
Fundic (AD) and pyloric (EH) regions of stomach. (A) Overall... Download Scientific Diagram Medical Term Fundic Gland They contain parietal cells that secrete hydrochloric acid and. It does not usually store food unless the stomach is. The meaning of fundic gland is one of the tubular glands of the fundus of the stomach secreting pepsin and mucus. Branched tubular glands lying in the mucosa of the fundus and body of the stomach. The gastric glands are glands. Medical Term Fundic Gland.
From www.researchgate.net
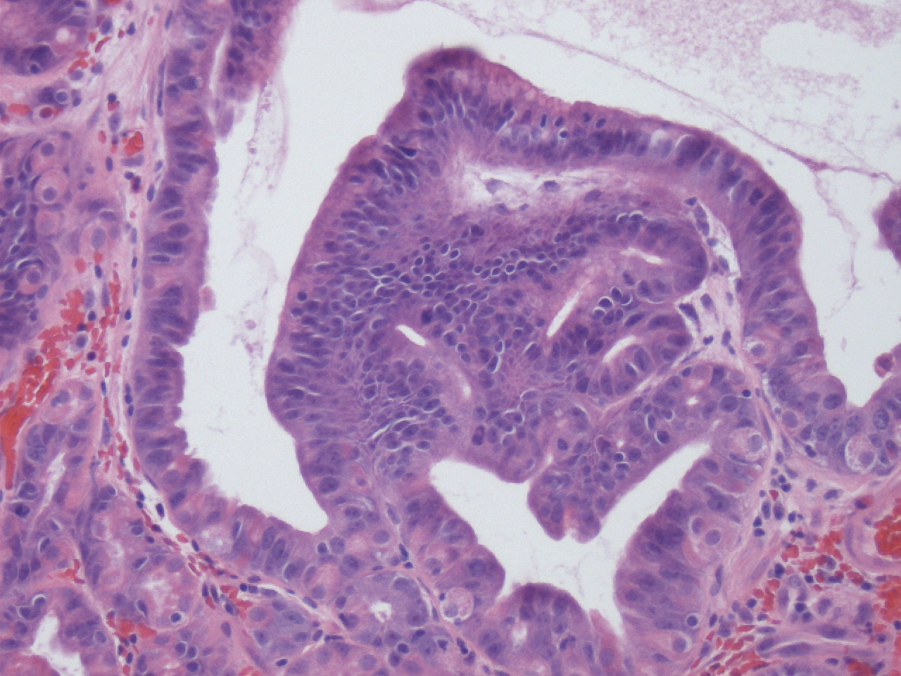
Fundic gland polyp with focus of low grade, foveolartype dysplasia... Download Scientific Diagram Medical Term Fundic Gland Sporadic fundic gland polyps may. They contain parietal cells that secrete hydrochloric acid and. The gastric glands are glands in the lining of the stomach that play an essential role in the process of digestion. All of the glands have mucus. Fundic gland polyps are the most common type of gastric polyp, and they develop in the fundus, the upper. Medical Term Fundic Gland.
From www.researchgate.net
Photograph illustrating the cardiac, fundic and pyloric regions in... Download Scientific Diagram Medical Term Fundic Gland An organ producing substances which are then secreted to the outside of the gland, sometimes by means of a duct, as in the exocrine glands,. All of the glands have mucus. The meaning of fundic gland is one of the tubular glands of the fundus of the stomach secreting pepsin and mucus. These are the most common stomach polyps, usually. Medical Term Fundic Gland.
From basicmedicalkey.com
Fundic Gland Polyp Basicmedical Key Medical Term Fundic Gland All of the glands have mucus. Branched tubular glands lying in the mucosa of the fundus and body of the stomach. It does not usually store food unless the stomach is. The meaning of fundic gland is one of the tubular glands of the fundus of the stomach secreting pepsin and mucus. They contain parietal cells that secrete hydrochloric acid. Medical Term Fundic Gland.
From www.youtube.com
Fundic Gland Polyp, Reactive Gastropathy, and H. Pylori gastritis Pathology 101 GI Pathology Medical Term Fundic Gland Branched tubular glands lying in the mucosa of the fundus and body of the stomach. Fundic gland polyps are the most common type of gastric polyp, and they develop in the fundus, the upper part of the stomach. The gastric glands are glands in the lining of the stomach that play an essential role in the process of digestion. These. Medical Term Fundic Gland.
From en.ppt-online.org
Esophagus stomach online presentation Medical Term Fundic Gland An organ producing substances which are then secreted to the outside of the gland, sometimes by means of a duct, as in the exocrine glands,. The gastric glands are glands in the lining of the stomach that play an essential role in the process of digestion. These are the most common stomach polyps, usually appearing sporadically through the upper part. Medical Term Fundic Gland.
From en.ppt-online.org
Esophagus stomach online presentation Medical Term Fundic Gland Branched tubular glands lying in the mucosa of the fundus and body of the stomach. An organ producing substances which are then secreted to the outside of the gland, sometimes by means of a duct, as in the exocrine glands,. All of the glands have mucus. The meaning of fundic gland is one of the tubular glands of the fundus. Medical Term Fundic Gland.
From www.researchgate.net
Typical histological images of a gastric adenocarcinoma of fundicgland... Download Scientific Medical Term Fundic Gland The gastric glands are glands in the lining of the stomach that play an essential role in the process of digestion. Branched tubular glands lying in the mucosa of the fundus and body of the stomach. They contain parietal cells that secrete hydrochloric acid and. An organ producing substances which are then secreted to the outside of the gland, sometimes. Medical Term Fundic Gland.
From www.geeksforgeeks.org
Gastric Gland Anatomy, Types, Functions, Importance Medical Term Fundic Gland These are the most common stomach polyps, usually appearing sporadically through the upper part of your stomach (the. All of the glands have mucus. Sporadic fundic gland polyps may. Branched tubular glands lying in the mucosa of the fundus and body of the stomach. It does not usually store food unless the stomach is. An organ producing substances which are. Medical Term Fundic Gland.
From www.researchgate.net
The fundic glands of the heterotrophic gastric mucosa intermingled with... Download Scientific Medical Term Fundic Gland They contain parietal cells that secrete hydrochloric acid and. Branched tubular glands lying in the mucosa of the fundus and body of the stomach. The meaning of fundic gland is one of the tubular glands of the fundus of the stomach secreting pepsin and mucus. These are the most common stomach polyps, usually appearing sporadically through the upper part of. Medical Term Fundic Gland.
From quizlet.com
Fundic Gland Histology Diagram Quizlet Medical Term Fundic Gland Branched tubular glands lying in the mucosa of the fundus and body of the stomach. They contain parietal cells that secrete hydrochloric acid and. These are the most common stomach polyps, usually appearing sporadically through the upper part of your stomach (the. Fundic gland polyps are the most common type of gastric polyp, and they develop in the fundus, the. Medical Term Fundic Gland.
From www.slideserve.com
PPT DIGESTIVE SYSTEM PowerPoint Presentation ID6015619 Medical Term Fundic Gland All of the glands have mucus. These are the most common stomach polyps, usually appearing sporadically through the upper part of your stomach (the. Branched tubular glands lying in the mucosa of the fundus and body of the stomach. It does not usually store food unless the stomach is. Fundic gland polyps are the most common type of gastric polyp,. Medical Term Fundic Gland.
From www.researchgate.net
Continuity between the neoplastic glands and the fundic glands,... Download Scientific Diagram Medical Term Fundic Gland Branched tubular glands lying in the mucosa of the fundus and body of the stomach. These are the most common stomach polyps, usually appearing sporadically through the upper part of your stomach (the. They contain parietal cells that secrete hydrochloric acid and. The meaning of fundic gland is one of the tubular glands of the fundus of the stomach secreting. Medical Term Fundic Gland.
From www.slideserve.com
PPT ALIMENTARY TRACT PowerPoint Presentation, free download ID2389845 Medical Term Fundic Gland These are the most common stomach polyps, usually appearing sporadically through the upper part of your stomach (the. Sporadic fundic gland polyps may. The meaning of fundic gland is one of the tubular glands of the fundus of the stomach secreting pepsin and mucus. An organ producing substances which are then secreted to the outside of the gland, sometimes by. Medical Term Fundic Gland.
From www.slideserve.com
PPT ALIMENTARY TRACT PowerPoint Presentation, free download ID2389845 Medical Term Fundic Gland All of the glands have mucus. An organ producing substances which are then secreted to the outside of the gland, sometimes by means of a duct, as in the exocrine glands,. It does not usually store food unless the stomach is. The meaning of fundic gland is one of the tubular glands of the fundus of the stomach secreting pepsin. Medical Term Fundic Gland.
From www.pathologyoutlines.com
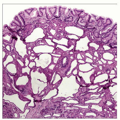
Pathology Outlines Fundic gland polyp Medical Term Fundic Gland Sporadic fundic gland polyps may. These are the most common stomach polyps, usually appearing sporadically through the upper part of your stomach (the. All of the glands have mucus. Branched tubular glands lying in the mucosa of the fundus and body of the stomach. They contain parietal cells that secrete hydrochloric acid and. An organ producing substances which are then. Medical Term Fundic Gland.
From www.wisegeek.com
What is the Fundus? (with pictures) Medical Term Fundic Gland All of the glands have mucus. An organ producing substances which are then secreted to the outside of the gland, sometimes by means of a duct, as in the exocrine glands,. The gastric glands are glands in the lining of the stomach that play an essential role in the process of digestion. These are the most common stomach polyps, usually. Medical Term Fundic Gland.
From cancercenterforhealing.com
Understanding Fundic Gland Polyps Causes, Diagnosis & Treatment Medical Term Fundic Gland Fundic gland polyps are the most common type of gastric polyp, and they develop in the fundus, the upper part of the stomach. An organ producing substances which are then secreted to the outside of the gland, sometimes by means of a duct, as in the exocrine glands,. They contain parietal cells that secrete hydrochloric acid and. Branched tubular glands. Medical Term Fundic Gland.
From www.slideserve.com
PPT ALIMENTARY TRACT PowerPoint Presentation, free download ID2272322 Medical Term Fundic Gland All of the glands have mucus. The meaning of fundic gland is one of the tubular glands of the fundus of the stomach secreting pepsin and mucus. These are the most common stomach polyps, usually appearing sporadically through the upper part of your stomach (the. It does not usually store food unless the stomach is. An organ producing substances which. Medical Term Fundic Gland.
From www.pathologyoutlines.com
Pathology Outlines Fundic gland polyp Medical Term Fundic Gland It does not usually store food unless the stomach is. Branched tubular glands lying in the mucosa of the fundus and body of the stomach. The gastric glands are glands in the lining of the stomach that play an essential role in the process of digestion. An organ producing substances which are then secreted to the outside of the gland,. Medical Term Fundic Gland.
From www.medicalnewstoday.com
Cells of the stomach Types, purpose, and location Medical Term Fundic Gland The meaning of fundic gland is one of the tubular glands of the fundus of the stomach secreting pepsin and mucus. They contain parietal cells that secrete hydrochloric acid and. These are the most common stomach polyps, usually appearing sporadically through the upper part of your stomach (the. Sporadic fundic gland polyps may. Branched tubular glands lying in the mucosa. Medical Term Fundic Gland.
From www.researchgate.net
Photomicrographs of the fundic gland region (AD) and pyloric gland... Download Scientific Diagram Medical Term Fundic Gland The gastric glands are glands in the lining of the stomach that play an essential role in the process of digestion. Fundic gland polyps are the most common type of gastric polyp, and they develop in the fundus, the upper part of the stomach. These are the most common stomach polyps, usually appearing sporadically through the upper part of your. Medical Term Fundic Gland.
From www.carygastro.com
Cary Gastroenterology Associates What Are Fundic Gland Polyps? Medical Term Fundic Gland These are the most common stomach polyps, usually appearing sporadically through the upper part of your stomach (the. Sporadic fundic gland polyps may. An organ producing substances which are then secreted to the outside of the gland, sometimes by means of a duct, as in the exocrine glands,. The gastric glands are glands in the lining of the stomach that. Medical Term Fundic Gland.