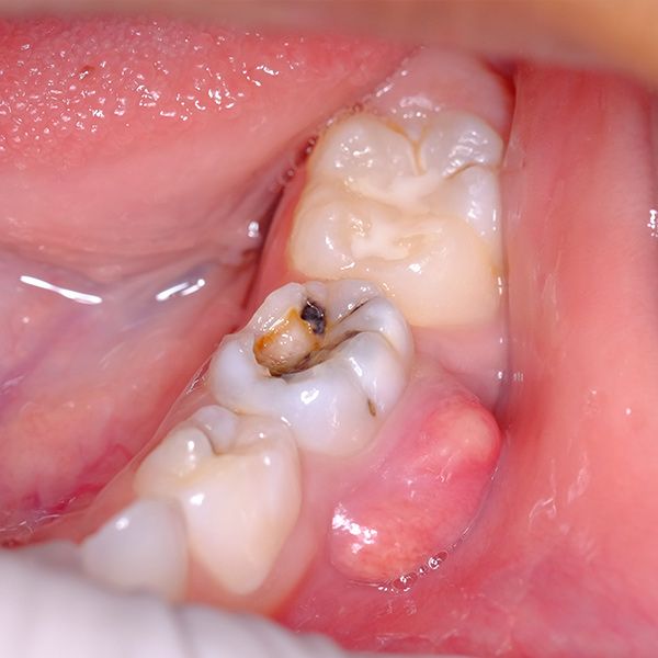
What Is Coronal Leakage . the causes of coronal leakage and methods by which this leakage may be prevented are described. a faulty temporary filling during or following root canal treatment is one of the major causes for coronal. Bacteria have been shown to. inappropriate mechanical debridement, persistence of bacteria in the canals and apex, poor obturation quality, over and. the cause may attribute to different filling techniques, physical and chemical properties of sealers and. coronal leakage is a phenomenon where debris and bacteria have found a way to seep from the patient’s. coronal leakage has been considered as one of the major causes of failure in root canal treatment.
from www.frontiersin.org
inappropriate mechanical debridement, persistence of bacteria in the canals and apex, poor obturation quality, over and. coronal leakage has been considered as one of the major causes of failure in root canal treatment. coronal leakage is a phenomenon where debris and bacteria have found a way to seep from the patient’s. a faulty temporary filling during or following root canal treatment is one of the major causes for coronal. the cause may attribute to different filling techniques, physical and chemical properties of sealers and. Bacteria have been shown to. the causes of coronal leakage and methods by which this leakage may be prevented are described.
Frontiers Endoscopic transorbital extradural anterior clinoidectomy
What Is Coronal Leakage inappropriate mechanical debridement, persistence of bacteria in the canals and apex, poor obturation quality, over and. coronal leakage has been considered as one of the major causes of failure in root canal treatment. Bacteria have been shown to. inappropriate mechanical debridement, persistence of bacteria in the canals and apex, poor obturation quality, over and. the cause may attribute to different filling techniques, physical and chemical properties of sealers and. coronal leakage is a phenomenon where debris and bacteria have found a way to seep from the patient’s. a faulty temporary filling during or following root canal treatment is one of the major causes for coronal. the causes of coronal leakage and methods by which this leakage may be prevented are described.
From www.imagecaredentalgroup.com
Dental Crowns Plano, TX Tooth Crown Imagecare Dental Group What Is Coronal Leakage coronal leakage is a phenomenon where debris and bacteria have found a way to seep from the patient’s. a faulty temporary filling during or following root canal treatment is one of the major causes for coronal. inappropriate mechanical debridement, persistence of bacteria in the canals and apex, poor obturation quality, over and. the causes of coronal. What Is Coronal Leakage.
From www.mdpi.com
Medicina Free FullText Complications of Percutaneous What Is Coronal Leakage coronal leakage has been considered as one of the major causes of failure in root canal treatment. the causes of coronal leakage and methods by which this leakage may be prevented are described. a faulty temporary filling during or following root canal treatment is one of the major causes for coronal. inappropriate mechanical debridement, persistence of. What Is Coronal Leakage.
From carterendo.com
Back to Basics. Part II. — David G. Carter, DMD What Is Coronal Leakage coronal leakage has been considered as one of the major causes of failure in root canal treatment. coronal leakage is a phenomenon where debris and bacteria have found a way to seep from the patient’s. a faulty temporary filling during or following root canal treatment is one of the major causes for coronal. the cause may. What Is Coronal Leakage.
From www.frontiersin.org
Frontiers Endoscopic transorbital extradural anterior clinoidectomy What Is Coronal Leakage coronal leakage is a phenomenon where debris and bacteria have found a way to seep from the patient’s. the cause may attribute to different filling techniques, physical and chemical properties of sealers and. coronal leakage has been considered as one of the major causes of failure in root canal treatment. the causes of coronal leakage and. What Is Coronal Leakage.
From www.scirp.org
The Role of TransCranial Approach in the Management of Spontaneous CSF What Is Coronal Leakage inappropriate mechanical debridement, persistence of bacteria in the canals and apex, poor obturation quality, over and. the cause may attribute to different filling techniques, physical and chemical properties of sealers and. a faulty temporary filling during or following root canal treatment is one of the major causes for coronal. coronal leakage has been considered as one. What Is Coronal Leakage.
From www.mdpi.com
JCM Free FullText Paravalvular Leakages after Surgical Aortic What Is Coronal Leakage coronal leakage has been considered as one of the major causes of failure in root canal treatment. inappropriate mechanical debridement, persistence of bacteria in the canals and apex, poor obturation quality, over and. Bacteria have been shown to. the causes of coronal leakage and methods by which this leakage may be prevented are described. coronal leakage. What Is Coronal Leakage.
From www.oralhealthgroup.com
The Evolving Look of ‘The Look’ Oral Health Group What Is Coronal Leakage the causes of coronal leakage and methods by which this leakage may be prevented are described. the cause may attribute to different filling techniques, physical and chemical properties of sealers and. coronal leakage has been considered as one of the major causes of failure in root canal treatment. Bacteria have been shown to. a faulty temporary. What Is Coronal Leakage.
From www.frontiersin.org
Frontiers Coronal Balance vs. Sagittal Profile in Adolescent What Is Coronal Leakage the causes of coronal leakage and methods by which this leakage may be prevented are described. coronal leakage has been considered as one of the major causes of failure in root canal treatment. Bacteria have been shown to. inappropriate mechanical debridement, persistence of bacteria in the canals and apex, poor obturation quality, over and. coronal leakage. What Is Coronal Leakage.
From www.mdpi.com
Materials Free FullText Marginal Leakage of Endodontic Temporary What Is Coronal Leakage a faulty temporary filling during or following root canal treatment is one of the major causes for coronal. inappropriate mechanical debridement, persistence of bacteria in the canals and apex, poor obturation quality, over and. Bacteria have been shown to. the causes of coronal leakage and methods by which this leakage may be prevented are described. coronal. What Is Coronal Leakage.
From www.fluke.com
Why Controlling Leakage Current is Important Fluke What Is Coronal Leakage the causes of coronal leakage and methods by which this leakage may be prevented are described. inappropriate mechanical debridement, persistence of bacteria in the canals and apex, poor obturation quality, over and. the cause may attribute to different filling techniques, physical and chemical properties of sealers and. Bacteria have been shown to. coronal leakage has been. What Is Coronal Leakage.
From www.mdpi.com
Applied Sciences Free FullText Quantitative Analysis of Retinal What Is Coronal Leakage coronal leakage has been considered as one of the major causes of failure in root canal treatment. inappropriate mechanical debridement, persistence of bacteria in the canals and apex, poor obturation quality, over and. the causes of coronal leakage and methods by which this leakage may be prevented are described. Bacteria have been shown to. coronal leakage. What Is Coronal Leakage.
From doctorlib.info
Diagnosis and Management of Dental Caries Pediatric Dentistry a What Is Coronal Leakage coronal leakage is a phenomenon where debris and bacteria have found a way to seep from the patient’s. a faulty temporary filling during or following root canal treatment is one of the major causes for coronal. the cause may attribute to different filling techniques, physical and chemical properties of sealers and. inappropriate mechanical debridement, persistence of. What Is Coronal Leakage.
From www.ofwat.gov.uk
Leakage in the water industry Ofwat What Is Coronal Leakage the causes of coronal leakage and methods by which this leakage may be prevented are described. the cause may attribute to different filling techniques, physical and chemical properties of sealers and. a faulty temporary filling during or following root canal treatment is one of the major causes for coronal. inappropriate mechanical debridement, persistence of bacteria in. What Is Coronal Leakage.
From www.ajnr.org
Emergent ImageGuided Treatment of a Large CSF Leak to Reverse “In What Is Coronal Leakage Bacteria have been shown to. coronal leakage is a phenomenon where debris and bacteria have found a way to seep from the patient’s. the causes of coronal leakage and methods by which this leakage may be prevented are described. inappropriate mechanical debridement, persistence of bacteria in the canals and apex, poor obturation quality, over and. a. What Is Coronal Leakage.
From cpb.iphy.ac.cn
Characteristics and underlying physics of ionic wind in dc corona What Is Coronal Leakage a faulty temporary filling during or following root canal treatment is one of the major causes for coronal. coronal leakage has been considered as one of the major causes of failure in root canal treatment. Bacteria have been shown to. coronal leakage is a phenomenon where debris and bacteria have found a way to seep from the. What Is Coronal Leakage.
From jamanetwork.com
Spontaneous Cerebrospinal Fluid Leak With Venous What Is Coronal Leakage inappropriate mechanical debridement, persistence of bacteria in the canals and apex, poor obturation quality, over and. coronal leakage has been considered as one of the major causes of failure in root canal treatment. coronal leakage is a phenomenon where debris and bacteria have found a way to seep from the patient’s. the cause may attribute to. What Is Coronal Leakage.
From peerj.com
Jaw anatomy of Potamogale velox (Tenrecidae, Afrotheria) with a focus What Is Coronal Leakage the cause may attribute to different filling techniques, physical and chemical properties of sealers and. Bacteria have been shown to. coronal leakage is a phenomenon where debris and bacteria have found a way to seep from the patient’s. the causes of coronal leakage and methods by which this leakage may be prevented are described. coronal leakage. What Is Coronal Leakage.
From phys.org
Scientists discover key pathway in lysosomes that coronaviruses use to What Is Coronal Leakage the cause may attribute to different filling techniques, physical and chemical properties of sealers and. a faulty temporary filling during or following root canal treatment is one of the major causes for coronal. the causes of coronal leakage and methods by which this leakage may be prevented are described. coronal leakage is a phenomenon where debris. What Is Coronal Leakage.
From swcconstruction.com.sg
Covid19 (coronavirus) Circuit Breaker Waterproofing & leakage Checks What Is Coronal Leakage coronal leakage is a phenomenon where debris and bacteria have found a way to seep from the patient’s. a faulty temporary filling during or following root canal treatment is one of the major causes for coronal. the causes of coronal leakage and methods by which this leakage may be prevented are described. inappropriate mechanical debridement, persistence. What Is Coronal Leakage.
From www.elsevier.es
Endoscopic endonasal approach for mass resection of the pterygopalatine What Is Coronal Leakage Bacteria have been shown to. coronal leakage is a phenomenon where debris and bacteria have found a way to seep from the patient’s. a faulty temporary filling during or following root canal treatment is one of the major causes for coronal. coronal leakage has been considered as one of the major causes of failure in root canal. What Is Coronal Leakage.
From journals.sagepub.com
Regenerative Endodontic Procedures, Disinfectants and A What Is Coronal Leakage coronal leakage has been considered as one of the major causes of failure in root canal treatment. the cause may attribute to different filling techniques, physical and chemical properties of sealers and. inappropriate mechanical debridement, persistence of bacteria in the canals and apex, poor obturation quality, over and. coronal leakage is a phenomenon where debris and. What Is Coronal Leakage.
From www.presentationpoint.com
Coronavirus Tips PowerPoint Template • PresentationPoint What Is Coronal Leakage a faulty temporary filling during or following root canal treatment is one of the major causes for coronal. inappropriate mechanical debridement, persistence of bacteria in the canals and apex, poor obturation quality, over and. Bacteria have been shown to. coronal leakage has been considered as one of the major causes of failure in root canal treatment. . What Is Coronal Leakage.
From www.frontiersin.org
Frontiers Approaches to the Treatment of Dental Pulp What Is Coronal Leakage the causes of coronal leakage and methods by which this leakage may be prevented are described. inappropriate mechanical debridement, persistence of bacteria in the canals and apex, poor obturation quality, over and. Bacteria have been shown to. coronal leakage is a phenomenon where debris and bacteria have found a way to seep from the patient’s. the. What Is Coronal Leakage.
From news.sky.com
Coronavirus Leaked US documents predict 3,000 COVID19 deaths a day by What Is Coronal Leakage inappropriate mechanical debridement, persistence of bacteria in the canals and apex, poor obturation quality, over and. a faulty temporary filling during or following root canal treatment is one of the major causes for coronal. the causes of coronal leakage and methods by which this leakage may be prevented are described. coronal leakage has been considered as. What Is Coronal Leakage.
From renovoendo.com
PERSISTENT PAIN FOLLOWING RCT Renovo Endodontics Studio What Is Coronal Leakage coronal leakage is a phenomenon where debris and bacteria have found a way to seep from the patient’s. Bacteria have been shown to. the causes of coronal leakage and methods by which this leakage may be prevented are described. inappropriate mechanical debridement, persistence of bacteria in the canals and apex, poor obturation quality, over and. a. What Is Coronal Leakage.
From pubs.cstam.org.cn
CO 2 地质封存风险分析的多场耦合数值模拟技术综述 What Is Coronal Leakage inappropriate mechanical debridement, persistence of bacteria in the canals and apex, poor obturation quality, over and. the causes of coronal leakage and methods by which this leakage may be prevented are described. coronal leakage has been considered as one of the major causes of failure in root canal treatment. the cause may attribute to different filling. What Is Coronal Leakage.
From www.frontiersin.org
Frontiers Life changing response to successive surgical interventions What Is Coronal Leakage a faulty temporary filling during or following root canal treatment is one of the major causes for coronal. inappropriate mechanical debridement, persistence of bacteria in the canals and apex, poor obturation quality, over and. Bacteria have been shown to. the causes of coronal leakage and methods by which this leakage may be prevented are described. coronal. What Is Coronal Leakage.
From documents.pub
Effects of coronal leakage on concentration of hydrogen ions and What Is Coronal Leakage coronal leakage is a phenomenon where debris and bacteria have found a way to seep from the patient’s. inappropriate mechanical debridement, persistence of bacteria in the canals and apex, poor obturation quality, over and. the cause may attribute to different filling techniques, physical and chemical properties of sealers and. a faulty temporary filling during or following. What Is Coronal Leakage.
From pubs.cstam.org.cn
CO 2 地质封存风险分析的多场耦合数值模拟技术综述 What Is Coronal Leakage inappropriate mechanical debridement, persistence of bacteria in the canals and apex, poor obturation quality, over and. coronal leakage is a phenomenon where debris and bacteria have found a way to seep from the patient’s. Bacteria have been shown to. the cause may attribute to different filling techniques, physical and chemical properties of sealers and. coronal leakage. What Is Coronal Leakage.
From www.bmj.com
A young woman with recurrent perianal sepsis The BMJ What Is Coronal Leakage the causes of coronal leakage and methods by which this leakage may be prevented are described. coronal leakage has been considered as one of the major causes of failure in root canal treatment. inappropriate mechanical debridement, persistence of bacteria in the canals and apex, poor obturation quality, over and. a faulty temporary filling during or following. What Is Coronal Leakage.
From www.ofwat.gov.uk
Leakage in the water industry Ofwat What Is Coronal Leakage the cause may attribute to different filling techniques, physical and chemical properties of sealers and. the causes of coronal leakage and methods by which this leakage may be prevented are described. coronal leakage is a phenomenon where debris and bacteria have found a way to seep from the patient’s. a faulty temporary filling during or following. What Is Coronal Leakage.
From www.mdpi.com
Applied Sciences Free FullText Quantitative Analysis of Retinal What Is Coronal Leakage the cause may attribute to different filling techniques, physical and chemical properties of sealers and. coronal leakage has been considered as one of the major causes of failure in root canal treatment. inappropriate mechanical debridement, persistence of bacteria in the canals and apex, poor obturation quality, over and. a faulty temporary filling during or following root. What Is Coronal Leakage.
From www.mdpi.com
Diagnostics Free FullText MRICavernosography A New Diagnostic What Is Coronal Leakage the causes of coronal leakage and methods by which this leakage may be prevented are described. a faulty temporary filling during or following root canal treatment is one of the major causes for coronal. coronal leakage is a phenomenon where debris and bacteria have found a way to seep from the patient’s. inappropriate mechanical debridement, persistence. What Is Coronal Leakage.
From www.mdpi.com
Energies Free FullText Pulse Current of MultiNeedle Negative What Is Coronal Leakage coronal leakage is a phenomenon where debris and bacteria have found a way to seep from the patient’s. Bacteria have been shown to. inappropriate mechanical debridement, persistence of bacteria in the canals and apex, poor obturation quality, over and. a faulty temporary filling during or following root canal treatment is one of the major causes for coronal.. What Is Coronal Leakage.
From www.bsa-sakurai.co.jp
Minimal Invasive Coronal Access:歯冠部へのアクセスが大変限られたケース Bassi Endodontics What Is Coronal Leakage inappropriate mechanical debridement, persistence of bacteria in the canals and apex, poor obturation quality, over and. Bacteria have been shown to. a faulty temporary filling during or following root canal treatment is one of the major causes for coronal. coronal leakage has been considered as one of the major causes of failure in root canal treatment. . What Is Coronal Leakage.