Back Shoulder Cyst . It's important to pay attention to the lump on your shoulder and its associated symptoms to determine if you should seek medical attention. A paralabral cyst, or ganglion cyst, is a fluid collection arising from the shoulder’s ball and socket joint. Lumps on the shoulder are often associated with traumatic events, however, causes can also be inflammatory, cancerous, or environmental. Another potential cause of a lump on the shoulder is a cyst. Cysts are typically harmless, but if they become infected or cause discomfort, medical attention may be necessary. They can develop anywhere on the body, including the shoulder. A sebaceous cyst on the shoulder, aka epidermoid shoulder cyst is a small sac filled with keratin, a fibrous protein that helps form the skins out layer. So, what is a paralabral cyst, and does it need treatment? It looks and feels like a. Generally, these cysts don’t cause symptoms unless they push on essential structures near the shoulder, such as nerves or tendons. Let’s start by looking at the four most common causes of a lump on the back of your shoulder and how to treat them. They can develop anywhere around the shoulder but are the most common type of cyst on back of shoulder.
from mavink.com
They can develop anywhere on the body, including the shoulder. It's important to pay attention to the lump on your shoulder and its associated symptoms to determine if you should seek medical attention. So, what is a paralabral cyst, and does it need treatment? It looks and feels like a. They can develop anywhere around the shoulder but are the most common type of cyst on back of shoulder. Generally, these cysts don’t cause symptoms unless they push on essential structures near the shoulder, such as nerves or tendons. A paralabral cyst, or ganglion cyst, is a fluid collection arising from the shoulder’s ball and socket joint. Lumps on the shoulder are often associated with traumatic events, however, causes can also be inflammatory, cancerous, or environmental. Let’s start by looking at the four most common causes of a lump on the back of your shoulder and how to treat them. Another potential cause of a lump on the shoulder is a cyst.
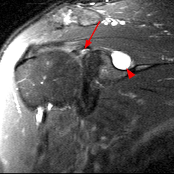
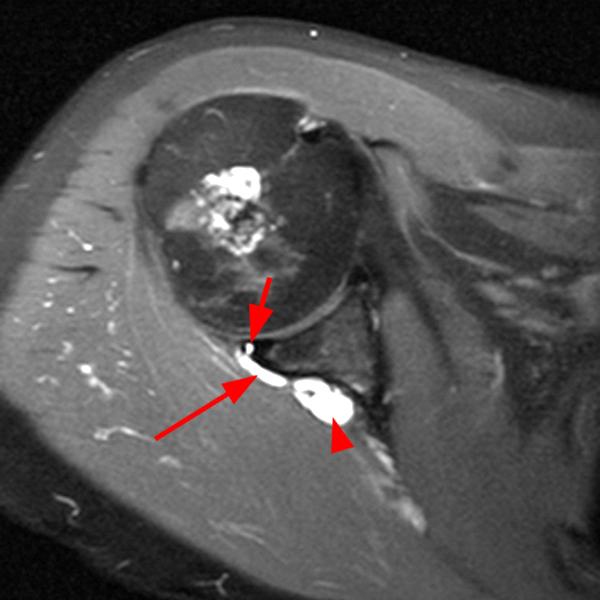
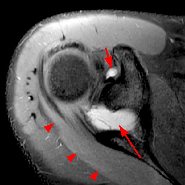
Shoulder Cysts Mri
Back Shoulder Cyst So, what is a paralabral cyst, and does it need treatment? Cysts are typically harmless, but if they become infected or cause discomfort, medical attention may be necessary. They can develop anywhere on the body, including the shoulder. A paralabral cyst, or ganglion cyst, is a fluid collection arising from the shoulder’s ball and socket joint. Let’s start by looking at the four most common causes of a lump on the back of your shoulder and how to treat them. It looks and feels like a. Generally, these cysts don’t cause symptoms unless they push on essential structures near the shoulder, such as nerves or tendons. A sebaceous cyst on the shoulder, aka epidermoid shoulder cyst is a small sac filled with keratin, a fibrous protein that helps form the skins out layer. Another potential cause of a lump on the shoulder is a cyst. Lumps on the shoulder are often associated with traumatic events, however, causes can also be inflammatory, cancerous, or environmental. So, what is a paralabral cyst, and does it need treatment? It's important to pay attention to the lump on your shoulder and its associated symptoms to determine if you should seek medical attention. They can develop anywhere around the shoulder but are the most common type of cyst on back of shoulder.
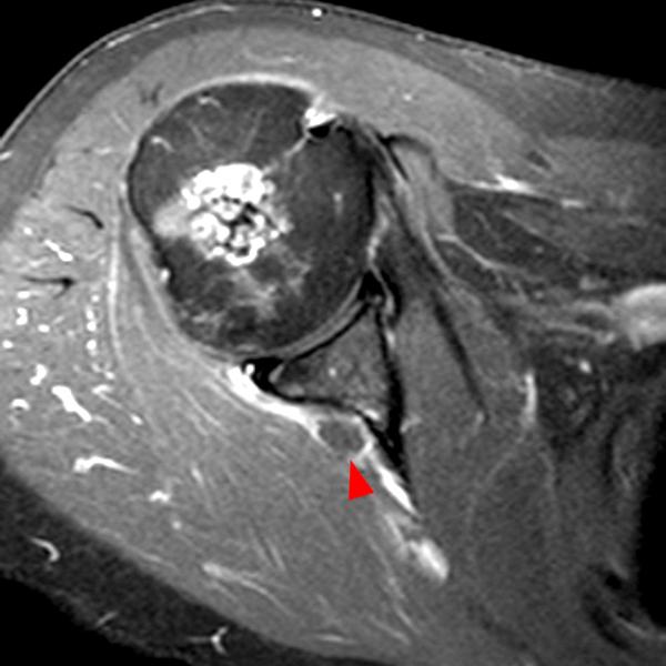
From radsource.us
Shoulder Cysts Radsource Back Shoulder Cyst It's important to pay attention to the lump on your shoulder and its associated symptoms to determine if you should seek medical attention. Lumps on the shoulder are often associated with traumatic events, however, causes can also be inflammatory, cancerous, or environmental. They can develop anywhere around the shoulder but are the most common type of cyst on back of. Back Shoulder Cyst.
From www.jshoulderelbow.org
Paralabral cysts of the shoulder treated with isolated labral repair Back Shoulder Cyst Another potential cause of a lump on the shoulder is a cyst. It's important to pay attention to the lump on your shoulder and its associated symptoms to determine if you should seek medical attention. They can develop anywhere around the shoulder but are the most common type of cyst on back of shoulder. Lumps on the shoulder are often. Back Shoulder Cyst.
From www.youtube.com
Epidermoid Cyst on the Shoulder Excised The Size of a Marble YouTube Back Shoulder Cyst So, what is a paralabral cyst, and does it need treatment? They can develop anywhere around the shoulder but are the most common type of cyst on back of shoulder. It's important to pay attention to the lump on your shoulder and its associated symptoms to determine if you should seek medical attention. Let’s start by looking at the four. Back Shoulder Cyst.
From www.sciencephoto.com
Cystic acne on the shoulders Stock Image C015/1625 Science Photo Back Shoulder Cyst So, what is a paralabral cyst, and does it need treatment? Another potential cause of a lump on the shoulder is a cyst. They can develop anywhere around the shoulder but are the most common type of cyst on back of shoulder. Let’s start by looking at the four most common causes of a lump on the back of your. Back Shoulder Cyst.
From sportdoctorlondon.com
What You Need to Know about Paralabral Cyst Shoulder Sport Doctor London Back Shoulder Cyst Lumps on the shoulder are often associated with traumatic events, however, causes can also be inflammatory, cancerous, or environmental. Let’s start by looking at the four most common causes of a lump on the back of your shoulder and how to treat them. Generally, these cysts don’t cause symptoms unless they push on essential structures near the shoulder, such as. Back Shoulder Cyst.
From ar.inspiredpencil.com
Synovial Cyst Shoulder Back Shoulder Cyst Let’s start by looking at the four most common causes of a lump on the back of your shoulder and how to treat them. A sebaceous cyst on the shoulder, aka epidermoid shoulder cyst is a small sac filled with keratin, a fibrous protein that helps form the skins out layer. Generally, these cysts don’t cause symptoms unless they push. Back Shoulder Cyst.
From www.youtube.com
Shoulder Cyst Removal YouTube Back Shoulder Cyst Let’s start by looking at the four most common causes of a lump on the back of your shoulder and how to treat them. It's important to pay attention to the lump on your shoulder and its associated symptoms to determine if you should seek medical attention. Lumps on the shoulder are often associated with traumatic events, however, causes can. Back Shoulder Cyst.
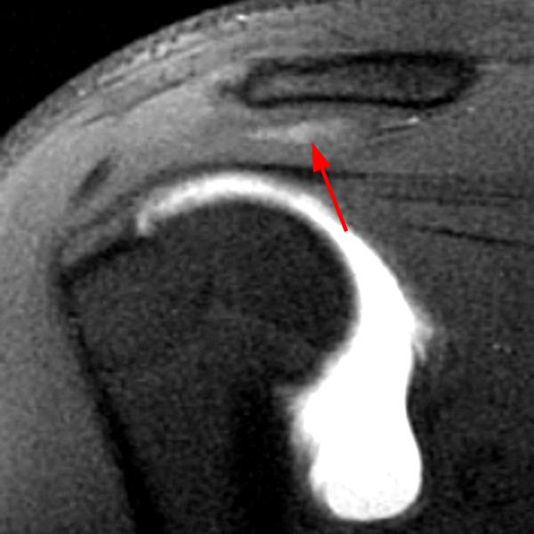
From orthopaedicprinciples.com
Ganglion Cyst of the Shoulder — Back Shoulder Cyst It's important to pay attention to the lump on your shoulder and its associated symptoms to determine if you should seek medical attention. Cysts are typically harmless, but if they become infected or cause discomfort, medical attention may be necessary. A paralabral cyst, or ganglion cyst, is a fluid collection arising from the shoulder’s ball and socket joint. It looks. Back Shoulder Cyst.
From radsource.us
Shoulder Cysts Radsource Back Shoulder Cyst They can develop anywhere on the body, including the shoulder. A paralabral cyst, or ganglion cyst, is a fluid collection arising from the shoulder’s ball and socket joint. So, what is a paralabral cyst, and does it need treatment? It looks and feels like a. Let’s start by looking at the four most common causes of a lump on the. Back Shoulder Cyst.
From sportdoctorlondon.com
What You Need to Know about Paralabral Cyst Shoulder Sport Doctor London Back Shoulder Cyst Lumps on the shoulder are often associated with traumatic events, however, causes can also be inflammatory, cancerous, or environmental. Another potential cause of a lump on the shoulder is a cyst. It's important to pay attention to the lump on your shoulder and its associated symptoms to determine if you should seek medical attention. So, what is a paralabral cyst,. Back Shoulder Cyst.
From www.journal-cot.com
Anteroinferior paralabral cyst of the shoulder An atypical cause of Back Shoulder Cyst It's important to pay attention to the lump on your shoulder and its associated symptoms to determine if you should seek medical attention. A sebaceous cyst on the shoulder, aka epidermoid shoulder cyst is a small sac filled with keratin, a fibrous protein that helps form the skins out layer. Generally, these cysts don’t cause symptoms unless they push on. Back Shoulder Cyst.
From www.jshoulderelbow.org
Paralabral cysts of the shoulder treated with isolated labral repair Back Shoulder Cyst Lumps on the shoulder are often associated with traumatic events, however, causes can also be inflammatory, cancerous, or environmental. They can develop anywhere around the shoulder but are the most common type of cyst on back of shoulder. It looks and feels like a. Cysts are typically harmless, but if they become infected or cause discomfort, medical attention may be. Back Shoulder Cyst.
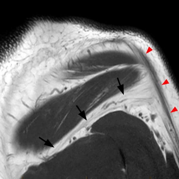
From www.imageinterpretation.co.uk
The Shoulder Back Shoulder Cyst So, what is a paralabral cyst, and does it need treatment? It looks and feels like a. They can develop anywhere on the body, including the shoulder. A paralabral cyst, or ganglion cyst, is a fluid collection arising from the shoulder’s ball and socket joint. Generally, these cysts don’t cause symptoms unless they push on essential structures near the shoulder,. Back Shoulder Cyst.
From radsource.us
Shoulder Cysts Radsource Back Shoulder Cyst Another potential cause of a lump on the shoulder is a cyst. It's important to pay attention to the lump on your shoulder and its associated symptoms to determine if you should seek medical attention. Lumps on the shoulder are often associated with traumatic events, however, causes can also be inflammatory, cancerous, or environmental. A paralabral cyst, or ganglion cyst,. Back Shoulder Cyst.
From radsource.us
Shoulder Cysts Radsource Back Shoulder Cyst A sebaceous cyst on the shoulder, aka epidermoid shoulder cyst is a small sac filled with keratin, a fibrous protein that helps form the skins out layer. So, what is a paralabral cyst, and does it need treatment? Cysts are typically harmless, but if they become infected or cause discomfort, medical attention may be necessary. They can develop anywhere around. Back Shoulder Cyst.
From radsource.us
Shoulder Cysts Radsource Back Shoulder Cyst A paralabral cyst, or ganglion cyst, is a fluid collection arising from the shoulder’s ball and socket joint. They can develop anywhere on the body, including the shoulder. Another potential cause of a lump on the shoulder is a cyst. Let’s start by looking at the four most common causes of a lump on the back of your shoulder and. Back Shoulder Cyst.
From radsource.us
Shoulder Cysts Radsource Back Shoulder Cyst They can develop anywhere around the shoulder but are the most common type of cyst on back of shoulder. Another potential cause of a lump on the shoulder is a cyst. Lumps on the shoulder are often associated with traumatic events, however, causes can also be inflammatory, cancerous, or environmental. A paralabral cyst, or ganglion cyst, is a fluid collection. Back Shoulder Cyst.
From www.jshoulderelbow.org
Paralabral cysts of the shoulder treated with isolated labral repair Back Shoulder Cyst It's important to pay attention to the lump on your shoulder and its associated symptoms to determine if you should seek medical attention. Cysts are typically harmless, but if they become infected or cause discomfort, medical attention may be necessary. A sebaceous cyst on the shoulder, aka epidermoid shoulder cyst is a small sac filled with keratin, a fibrous protein. Back Shoulder Cyst.
From radsource.us
Shoulder Cysts Radsource Back Shoulder Cyst They can develop anywhere around the shoulder but are the most common type of cyst on back of shoulder. Generally, these cysts don’t cause symptoms unless they push on essential structures near the shoulder, such as nerves or tendons. Cysts are typically harmless, but if they become infected or cause discomfort, medical attention may be necessary. Another potential cause of. Back Shoulder Cyst.
From healthjade.com
Epidermoid Cyst, Infected Causes, Symptoms,Treatment Back Shoulder Cyst So, what is a paralabral cyst, and does it need treatment? Cysts are typically harmless, but if they become infected or cause discomfort, medical attention may be necessary. They can develop anywhere around the shoulder but are the most common type of cyst on back of shoulder. It looks and feels like a. Generally, these cysts don’t cause symptoms unless. Back Shoulder Cyst.
From radsource.us
Shoulder Cysts Radsource Back Shoulder Cyst Let’s start by looking at the four most common causes of a lump on the back of your shoulder and how to treat them. It looks and feels like a. They can develop anywhere around the shoulder but are the most common type of cyst on back of shoulder. Cysts are typically harmless, but if they become infected or cause. Back Shoulder Cyst.
From pixels.com
Infected Sebaceous Cyst On Back Photograph by Dr P. Marazzi/science Back Shoulder Cyst Let’s start by looking at the four most common causes of a lump on the back of your shoulder and how to treat them. Cysts are typically harmless, but if they become infected or cause discomfort, medical attention may be necessary. So, what is a paralabral cyst, and does it need treatment? Another potential cause of a lump on the. Back Shoulder Cyst.
From radsource.us
Shoulder Cysts Radsource Back Shoulder Cyst Cysts are typically harmless, but if they become infected or cause discomfort, medical attention may be necessary. They can develop anywhere around the shoulder but are the most common type of cyst on back of shoulder. Lumps on the shoulder are often associated with traumatic events, however, causes can also be inflammatory, cancerous, or environmental. They can develop anywhere on. Back Shoulder Cyst.
From radsource.us
Shoulder Cysts Radsource Back Shoulder Cyst A sebaceous cyst on the shoulder, aka epidermoid shoulder cyst is a small sac filled with keratin, a fibrous protein that helps form the skins out layer. They can develop anywhere around the shoulder but are the most common type of cyst on back of shoulder. They can develop anywhere on the body, including the shoulder. Another potential cause of. Back Shoulder Cyst.
From animalia-life.club
Epidermoid Cyst On Back Back Shoulder Cyst Generally, these cysts don’t cause symptoms unless they push on essential structures near the shoulder, such as nerves or tendons. They can develop anywhere on the body, including the shoulder. Lumps on the shoulder are often associated with traumatic events, however, causes can also be inflammatory, cancerous, or environmental. Cysts are typically harmless, but if they become infected or cause. Back Shoulder Cyst.
From sportdoctorlondon.com
What You Need to Know about Paralabral Cyst Shoulder Sport Doctor London Back Shoulder Cyst It's important to pay attention to the lump on your shoulder and its associated symptoms to determine if you should seek medical attention. They can develop anywhere around the shoulder but are the most common type of cyst on back of shoulder. Let’s start by looking at the four most common causes of a lump on the back of your. Back Shoulder Cyst.
From animalia-life.club
Epidermoid Cyst On Back Back Shoulder Cyst They can develop anywhere around the shoulder but are the most common type of cyst on back of shoulder. Cysts are typically harmless, but if they become infected or cause discomfort, medical attention may be necessary. A paralabral cyst, or ganglion cyst, is a fluid collection arising from the shoulder’s ball and socket joint. They can develop anywhere on the. Back Shoulder Cyst.
From mavink.com
Shoulder Cysts Mri Back Shoulder Cyst A paralabral cyst, or ganglion cyst, is a fluid collection arising from the shoulder’s ball and socket joint. Let’s start by looking at the four most common causes of a lump on the back of your shoulder and how to treat them. A sebaceous cyst on the shoulder, aka epidermoid shoulder cyst is a small sac filled with keratin, a. Back Shoulder Cyst.
From animalia-life.club
Epidermoid Cyst On Back Back Shoulder Cyst Lumps on the shoulder are often associated with traumatic events, however, causes can also be inflammatory, cancerous, or environmental. Generally, these cysts don’t cause symptoms unless they push on essential structures near the shoulder, such as nerves or tendons. So, what is a paralabral cyst, and does it need treatment? A paralabral cyst, or ganglion cyst, is a fluid collection. Back Shoulder Cyst.
From radsource.us
Shoulder Cysts Radsource Back Shoulder Cyst Cysts are typically harmless, but if they become infected or cause discomfort, medical attention may be necessary. A paralabral cyst, or ganglion cyst, is a fluid collection arising from the shoulder’s ball and socket joint. It's important to pay attention to the lump on your shoulder and its associated symptoms to determine if you should seek medical attention. Lumps on. Back Shoulder Cyst.
From www.spine-health.com
Synovial Cyst Definition Back Pain and Neck Pain Medical Glossary Back Shoulder Cyst It's important to pay attention to the lump on your shoulder and its associated symptoms to determine if you should seek medical attention. Lumps on the shoulder are often associated with traumatic events, however, causes can also be inflammatory, cancerous, or environmental. Cysts are typically harmless, but if they become infected or cause discomfort, medical attention may be necessary. Generally,. Back Shoulder Cyst.
From rhodasctmriproceduresii.blogspot.kr
Rhoda's CT/MRI Procedures II Ganglion Cyst of the Shoulder Back Shoulder Cyst A sebaceous cyst on the shoulder, aka epidermoid shoulder cyst is a small sac filled with keratin, a fibrous protein that helps form the skins out layer. Another potential cause of a lump on the shoulder is a cyst. They can develop anywhere around the shoulder but are the most common type of cyst on back of shoulder. Let’s start. Back Shoulder Cyst.
From simonpayne.co.uk
Sebaceous Cyst On Back Solent Vascular Care Back Shoulder Cyst They can develop anywhere on the body, including the shoulder. Generally, these cysts don’t cause symptoms unless they push on essential structures near the shoulder, such as nerves or tendons. It's important to pay attention to the lump on your shoulder and its associated symptoms to determine if you should seek medical attention. Another potential cause of a lump on. Back Shoulder Cyst.
From www.ajronline.org
MRI of Cystic and SoftTissue Masses of the Shoulder Joint AJR Back Shoulder Cyst Generally, these cysts don’t cause symptoms unless they push on essential structures near the shoulder, such as nerves or tendons. So, what is a paralabral cyst, and does it need treatment? Another potential cause of a lump on the shoulder is a cyst. Lumps on the shoulder are often associated with traumatic events, however, causes can also be inflammatory, cancerous,. Back Shoulder Cyst.
From www.animalia-life.club
Skin Cyst On Back Back Shoulder Cyst Another potential cause of a lump on the shoulder is a cyst. Generally, these cysts don’t cause symptoms unless they push on essential structures near the shoulder, such as nerves or tendons. Cysts are typically harmless, but if they become infected or cause discomfort, medical attention may be necessary. It's important to pay attention to the lump on your shoulder. Back Shoulder Cyst.