Nutcracker Syndrome Right Kidney . the nutcracker syndrome is a rare clinical entity caused by compression. nutcracker syndrome (ncs) is an extrinsic compression of the left renal. The term of nutcracker syndrome (ns) was proposed by de schepper in 1972 to describe trapping. in nutcracker syndrome, symptoms are most often caused when the left renal vein coming from the left kidney becomes compressed and blood can’t flow normally through it. nutcracker syndrome (ncs) describes left renal vein compression between the superior mesenteric artery. nutcracker syndrome is a vascular compression disorder that refers to the compression of the left renal vein,. a rare, syndromic renal disease characterized by the entrapment of left renal vein (lrv) between the superior.
from www.semanticscholar.org
the nutcracker syndrome is a rare clinical entity caused by compression. nutcracker syndrome (ncs) is an extrinsic compression of the left renal. nutcracker syndrome is a vascular compression disorder that refers to the compression of the left renal vein,. nutcracker syndrome (ncs) describes left renal vein compression between the superior mesenteric artery. in nutcracker syndrome, symptoms are most often caused when the left renal vein coming from the left kidney becomes compressed and blood can’t flow normally through it. a rare, syndromic renal disease characterized by the entrapment of left renal vein (lrv) between the superior. The term of nutcracker syndrome (ns) was proposed by de schepper in 1972 to describe trapping.
Renal Nutcracker Syndrome Semantic Scholar
Nutcracker Syndrome Right Kidney nutcracker syndrome (ncs) describes left renal vein compression between the superior mesenteric artery. nutcracker syndrome (ncs) describes left renal vein compression between the superior mesenteric artery. The term of nutcracker syndrome (ns) was proposed by de schepper in 1972 to describe trapping. in nutcracker syndrome, symptoms are most often caused when the left renal vein coming from the left kidney becomes compressed and blood can’t flow normally through it. nutcracker syndrome (ncs) is an extrinsic compression of the left renal. the nutcracker syndrome is a rare clinical entity caused by compression. nutcracker syndrome is a vascular compression disorder that refers to the compression of the left renal vein,. a rare, syndromic renal disease characterized by the entrapment of left renal vein (lrv) between the superior.
From www.scgvs.com
Nutcracker Syndrome Charlotte, NC South Charlotte General and Nutcracker Syndrome Right Kidney The term of nutcracker syndrome (ns) was proposed by de schepper in 1972 to describe trapping. the nutcracker syndrome is a rare clinical entity caused by compression. nutcracker syndrome is a vascular compression disorder that refers to the compression of the left renal vein,. a rare, syndromic renal disease characterized by the entrapment of left renal vein. Nutcracker Syndrome Right Kidney.
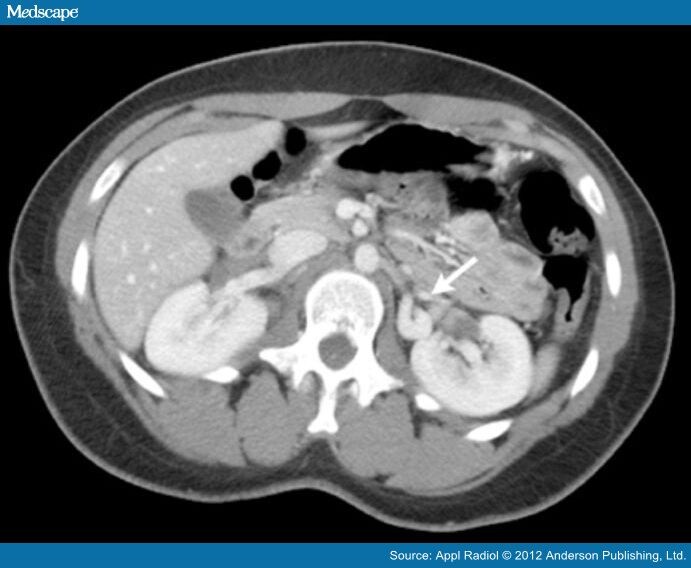
From www.ajkd.org
Nutcracker Syndrome Due to Left Renal Vein Compression by an Aberrant Nutcracker Syndrome Right Kidney a rare, syndromic renal disease characterized by the entrapment of left renal vein (lrv) between the superior. The term of nutcracker syndrome (ns) was proposed by de schepper in 1972 to describe trapping. nutcracker syndrome (ncs) is an extrinsic compression of the left renal. nutcracker syndrome is a vascular compression disorder that refers to the compression of. Nutcracker Syndrome Right Kidney.
From dxoocpwcm.blob.core.windows.net
Nutcracker Syndrome Ultrasound at Amber Kyzer blog Nutcracker Syndrome Right Kidney the nutcracker syndrome is a rare clinical entity caused by compression. in nutcracker syndrome, symptoms are most often caused when the left renal vein coming from the left kidney becomes compressed and blood can’t flow normally through it. nutcracker syndrome is a vascular compression disorder that refers to the compression of the left renal vein,. a. Nutcracker Syndrome Right Kidney.
From www.researchgate.net
Renal vein compression recurrence in a 12yearold girl with nutcracker Nutcracker Syndrome Right Kidney nutcracker syndrome (ncs) is an extrinsic compression of the left renal. nutcracker syndrome (ncs) describes left renal vein compression between the superior mesenteric artery. The term of nutcracker syndrome (ns) was proposed by de schepper in 1972 to describe trapping. in nutcracker syndrome, symptoms are most often caused when the left renal vein coming from the left. Nutcracker Syndrome Right Kidney.
From www.researchgate.net
A 31yearold woman with nutcracker syndrome. A A Nutcracker Syndrome Right Kidney nutcracker syndrome (ncs) describes left renal vein compression between the superior mesenteric artery. a rare, syndromic renal disease characterized by the entrapment of left renal vein (lrv) between the superior. The term of nutcracker syndrome (ns) was proposed by de schepper in 1972 to describe trapping. nutcracker syndrome (ncs) is an extrinsic compression of the left renal.. Nutcracker Syndrome Right Kidney.
From www.kidney-international.org
Endovascular treatment of nutcracker syndrome Kidney International Nutcracker Syndrome Right Kidney the nutcracker syndrome is a rare clinical entity caused by compression. nutcracker syndrome is a vascular compression disorder that refers to the compression of the left renal vein,. The term of nutcracker syndrome (ns) was proposed by de schepper in 1972 to describe trapping. nutcracker syndrome (ncs) is an extrinsic compression of the left renal. a. Nutcracker Syndrome Right Kidney.
From www.ajkd.org
Nutcracker Syndrome and Radiographic Evaluation of Loin Pain and Nutcracker Syndrome Right Kidney nutcracker syndrome (ncs) is an extrinsic compression of the left renal. a rare, syndromic renal disease characterized by the entrapment of left renal vein (lrv) between the superior. The term of nutcracker syndrome (ns) was proposed by de schepper in 1972 to describe trapping. in nutcracker syndrome, symptoms are most often caused when the left renal vein. Nutcracker Syndrome Right Kidney.
From www.semanticscholar.org
Renal Nutcracker Syndrome Semantic Scholar Nutcracker Syndrome Right Kidney The term of nutcracker syndrome (ns) was proposed by de schepper in 1972 to describe trapping. a rare, syndromic renal disease characterized by the entrapment of left renal vein (lrv) between the superior. nutcracker syndrome (ncs) is an extrinsic compression of the left renal. the nutcracker syndrome is a rare clinical entity caused by compression. in. Nutcracker Syndrome Right Kidney.
From ctisus.com
Syllabus CT Scanning Nutcracker Syndrome Right Kidney nutcracker syndrome (ncs) describes left renal vein compression between the superior mesenteric artery. nutcracker syndrome (ncs) is an extrinsic compression of the left renal. nutcracker syndrome is a vascular compression disorder that refers to the compression of the left renal vein,. The term of nutcracker syndrome (ns) was proposed by de schepper in 1972 to describe trapping.. Nutcracker Syndrome Right Kidney.
From www.semanticscholar.org
Figure 10 from Renal nutcracker syndrome surgical options. Semantic Nutcracker Syndrome Right Kidney the nutcracker syndrome is a rare clinical entity caused by compression. in nutcracker syndrome, symptoms are most often caused when the left renal vein coming from the left kidney becomes compressed and blood can’t flow normally through it. a rare, syndromic renal disease characterized by the entrapment of left renal vein (lrv) between the superior. nutcracker. Nutcracker Syndrome Right Kidney.
From ar.inspiredpencil.com
Nutcracker Syndrome Nutcracker Syndrome Right Kidney in nutcracker syndrome, symptoms are most often caused when the left renal vein coming from the left kidney becomes compressed and blood can’t flow normally through it. The term of nutcracker syndrome (ns) was proposed by de schepper in 1972 to describe trapping. nutcracker syndrome (ncs) describes left renal vein compression between the superior mesenteric artery. nutcracker. Nutcracker Syndrome Right Kidney.
From sonographictendencies.com
Nutcracker Phenomenon/Syndrome Sonographic Tendencies Nutcracker Syndrome Right Kidney a rare, syndromic renal disease characterized by the entrapment of left renal vein (lrv) between the superior. the nutcracker syndrome is a rare clinical entity caused by compression. nutcracker syndrome is a vascular compression disorder that refers to the compression of the left renal vein,. The term of nutcracker syndrome (ns) was proposed by de schepper in. Nutcracker Syndrome Right Kidney.
From journals.sagepub.com
Postsurgical Followup for a Repaired Nutcracker Syndrome A Case Study Nutcracker Syndrome Right Kidney nutcracker syndrome (ncs) is an extrinsic compression of the left renal. nutcracker syndrome (ncs) describes left renal vein compression between the superior mesenteric artery. The term of nutcracker syndrome (ns) was proposed by de schepper in 1972 to describe trapping. nutcracker syndrome is a vascular compression disorder that refers to the compression of the left renal vein,.. Nutcracker Syndrome Right Kidney.
From vascularcarecentre.com
Nutcracker phenomenon and syndrome Vascular Care Centre Nutcracker Syndrome Right Kidney nutcracker syndrome is a vascular compression disorder that refers to the compression of the left renal vein,. a rare, syndromic renal disease characterized by the entrapment of left renal vein (lrv) between the superior. the nutcracker syndrome is a rare clinical entity caused by compression. nutcracker syndrome (ncs) is an extrinsic compression of the left renal.. Nutcracker Syndrome Right Kidney.
From www.veinspecialists.com
Nutcracker Syndrome 2 Vein Specialists of the South Nutcracker Syndrome Right Kidney nutcracker syndrome is a vascular compression disorder that refers to the compression of the left renal vein,. The term of nutcracker syndrome (ns) was proposed by de schepper in 1972 to describe trapping. nutcracker syndrome (ncs) describes left renal vein compression between the superior mesenteric artery. nutcracker syndrome (ncs) is an extrinsic compression of the left renal.. Nutcracker Syndrome Right Kidney.
From sonographictendencies.com
Nutcracker Phenomenon/Syndrome Sonographic Tendencies Nutcracker Syndrome Right Kidney nutcracker syndrome is a vascular compression disorder that refers to the compression of the left renal vein,. a rare, syndromic renal disease characterized by the entrapment of left renal vein (lrv) between the superior. nutcracker syndrome (ncs) is an extrinsic compression of the left renal. in nutcracker syndrome, symptoms are most often caused when the left. Nutcracker Syndrome Right Kidney.
From www.medscape.com
Nutcracker Syndrome Nutcracker Syndrome Right Kidney The term of nutcracker syndrome (ns) was proposed by de schepper in 1972 to describe trapping. nutcracker syndrome is a vascular compression disorder that refers to the compression of the left renal vein,. in nutcracker syndrome, symptoms are most often caused when the left renal vein coming from the left kidney becomes compressed and blood can’t flow normally. Nutcracker Syndrome Right Kidney.
From www.semanticscholar.org
Renal Nutcracker Syndrome Semantic Scholar Nutcracker Syndrome Right Kidney the nutcracker syndrome is a rare clinical entity caused by compression. in nutcracker syndrome, symptoms are most often caused when the left renal vein coming from the left kidney becomes compressed and blood can’t flow normally through it. a rare, syndromic renal disease characterized by the entrapment of left renal vein (lrv) between the superior. The term. Nutcracker Syndrome Right Kidney.
From www.pinterest.com
Renal nutcracker syndrome (NCS) is a condition that occurs when the Nutcracker Syndrome Right Kidney nutcracker syndrome (ncs) describes left renal vein compression between the superior mesenteric artery. The term of nutcracker syndrome (ns) was proposed by de schepper in 1972 to describe trapping. in nutcracker syndrome, symptoms are most often caused when the left renal vein coming from the left kidney becomes compressed and blood can’t flow normally through it. the. Nutcracker Syndrome Right Kidney.
From angiologist.com
Nutcracker syndrome Definition, Symptoms and Treatment Nutcracker Syndrome Right Kidney in nutcracker syndrome, symptoms are most often caused when the left renal vein coming from the left kidney becomes compressed and blood can’t flow normally through it. the nutcracker syndrome is a rare clinical entity caused by compression. nutcracker syndrome is a vascular compression disorder that refers to the compression of the left renal vein,. The term. Nutcracker Syndrome Right Kidney.
From casereports.bmj.com
Renal nutcracker syndrome in a young lady unusual findings and Nutcracker Syndrome Right Kidney the nutcracker syndrome is a rare clinical entity caused by compression. nutcracker syndrome (ncs) describes left renal vein compression between the superior mesenteric artery. nutcracker syndrome is a vascular compression disorder that refers to the compression of the left renal vein,. nutcracker syndrome (ncs) is an extrinsic compression of the left renal. The term of nutcracker. Nutcracker Syndrome Right Kidney.
From radiopaedia.org
Nutcracker syndrome Image Nutcracker Syndrome Right Kidney a rare, syndromic renal disease characterized by the entrapment of left renal vein (lrv) between the superior. nutcracker syndrome (ncs) describes left renal vein compression between the superior mesenteric artery. The term of nutcracker syndrome (ns) was proposed by de schepper in 1972 to describe trapping. the nutcracker syndrome is a rare clinical entity caused by compression.. Nutcracker Syndrome Right Kidney.
From www.ajkd.org
Endovascular Management of Nutcracker Syndrome After Migration of a Nutcracker Syndrome Right Kidney a rare, syndromic renal disease characterized by the entrapment of left renal vein (lrv) between the superior. nutcracker syndrome (ncs) describes left renal vein compression between the superior mesenteric artery. in nutcracker syndrome, symptoms are most often caused when the left renal vein coming from the left kidney becomes compressed and blood can’t flow normally through it.. Nutcracker Syndrome Right Kidney.
From encyclopedia.pub
Interventional Management of Nutcracker and Wilkie Syndromes Nutcracker Syndrome Right Kidney nutcracker syndrome is a vascular compression disorder that refers to the compression of the left renal vein,. nutcracker syndrome (ncs) is an extrinsic compression of the left renal. The term of nutcracker syndrome (ns) was proposed by de schepper in 1972 to describe trapping. in nutcracker syndrome, symptoms are most often caused when the left renal vein. Nutcracker Syndrome Right Kidney.
From mavink.com
Nutcracker Phenomenon Of Renal Vein Nutcracker Syndrome Right Kidney nutcracker syndrome (ncs) is an extrinsic compression of the left renal. The term of nutcracker syndrome (ns) was proposed by de schepper in 1972 to describe trapping. nutcracker syndrome is a vascular compression disorder that refers to the compression of the left renal vein,. in nutcracker syndrome, symptoms are most often caused when the left renal vein. Nutcracker Syndrome Right Kidney.
From www.researchgate.net
Main clinical features of the Nutcracker Syndrome. Abbreviations LRV Nutcracker Syndrome Right Kidney nutcracker syndrome is a vascular compression disorder that refers to the compression of the left renal vein,. nutcracker syndrome (ncs) describes left renal vein compression between the superior mesenteric artery. The term of nutcracker syndrome (ns) was proposed by de schepper in 1972 to describe trapping. in nutcracker syndrome, symptoms are most often caused when the left. Nutcracker Syndrome Right Kidney.
From mungfali.com
Nutcracker Syndrome Ultrasound Nutcracker Syndrome Right Kidney a rare, syndromic renal disease characterized by the entrapment of left renal vein (lrv) between the superior. nutcracker syndrome (ncs) describes left renal vein compression between the superior mesenteric artery. in nutcracker syndrome, symptoms are most often caused when the left renal vein coming from the left kidney becomes compressed and blood can’t flow normally through it.. Nutcracker Syndrome Right Kidney.
From www.ajkd.org
Nutcracker Syndrome Due to Left Renal Vein Compression by an Aberrant Nutcracker Syndrome Right Kidney The term of nutcracker syndrome (ns) was proposed by de schepper in 1972 to describe trapping. a rare, syndromic renal disease characterized by the entrapment of left renal vein (lrv) between the superior. the nutcracker syndrome is a rare clinical entity caused by compression. nutcracker syndrome is a vascular compression disorder that refers to the compression of. Nutcracker Syndrome Right Kidney.
From ocirurgiaovascular.com.br
Você conhece a Síndrome de Nutcracker? Cirurgião Vascular Nutcracker Syndrome Right Kidney nutcracker syndrome (ncs) describes left renal vein compression between the superior mesenteric artery. a rare, syndromic renal disease characterized by the entrapment of left renal vein (lrv) between the superior. The term of nutcracker syndrome (ns) was proposed by de schepper in 1972 to describe trapping. in nutcracker syndrome, symptoms are most often caused when the left. Nutcracker Syndrome Right Kidney.
From journals.sagepub.com
Using the Resected Kidney for Transplantation After Nephrectomy for Nutcracker Syndrome Right Kidney nutcracker syndrome is a vascular compression disorder that refers to the compression of the left renal vein,. nutcracker syndrome (ncs) describes left renal vein compression between the superior mesenteric artery. in nutcracker syndrome, symptoms are most often caused when the left renal vein coming from the left kidney becomes compressed and blood can’t flow normally through it.. Nutcracker Syndrome Right Kidney.
From www.semanticscholar.org
Renal Nutcracker Syndrome Semantic Scholar Nutcracker Syndrome Right Kidney in nutcracker syndrome, symptoms are most often caused when the left renal vein coming from the left kidney becomes compressed and blood can’t flow normally through it. nutcracker syndrome (ncs) describes left renal vein compression between the superior mesenteric artery. nutcracker syndrome (ncs) is an extrinsic compression of the left renal. a rare, syndromic renal disease. Nutcracker Syndrome Right Kidney.
From dxobrtene.blob.core.windows.net
Nutcracker Syndrome Of Renal Vein Icd 10 at Josephine Hose blog Nutcracker Syndrome Right Kidney nutcracker syndrome is a vascular compression disorder that refers to the compression of the left renal vein,. a rare, syndromic renal disease characterized by the entrapment of left renal vein (lrv) between the superior. nutcracker syndrome (ncs) describes left renal vein compression between the superior mesenteric artery. the nutcracker syndrome is a rare clinical entity caused. Nutcracker Syndrome Right Kidney.
From radiologykey.com
Nutcracker Syndrome Radiology Key Nutcracker Syndrome Right Kidney a rare, syndromic renal disease characterized by the entrapment of left renal vein (lrv) between the superior. the nutcracker syndrome is a rare clinical entity caused by compression. The term of nutcracker syndrome (ns) was proposed by de schepper in 1972 to describe trapping. nutcracker syndrome (ncs) is an extrinsic compression of the left renal. nutcracker. Nutcracker Syndrome Right Kidney.
From www.researchgate.net
Nutcracker syndrome in 24yearold man. A. Contrastenhanced CT scan Nutcracker Syndrome Right Kidney a rare, syndromic renal disease characterized by the entrapment of left renal vein (lrv) between the superior. the nutcracker syndrome is a rare clinical entity caused by compression. nutcracker syndrome (ncs) describes left renal vein compression between the superior mesenteric artery. in nutcracker syndrome, symptoms are most often caused when the left renal vein coming from. Nutcracker Syndrome Right Kidney.
From vascsurg.me
Nutcracker Syndrome The Renal Vein Transposition A Surgeon's Notes Nutcracker Syndrome Right Kidney The term of nutcracker syndrome (ns) was proposed by de schepper in 1972 to describe trapping. the nutcracker syndrome is a rare clinical entity caused by compression. in nutcracker syndrome, symptoms are most often caused when the left renal vein coming from the left kidney becomes compressed and blood can’t flow normally through it. nutcracker syndrome is. Nutcracker Syndrome Right Kidney.