Trisomy 21 Vsd . First, the proportion of cases. From 5% to 8% of congenital heart disease patients have a chromosomal disorder. Down syndrome, trisomy 21, congenital heart disease, congenital heart surgery, perioperative. Ventricular septal defect (vsd) (39.2%) was the most common congenital heart defect associated with. Trisomy 21 is common in isolated perimembranous ventricular septal defects undergoing primary repair in. in this review, we discussed the risk of aneuploidy and the outcome of isolated vsd. chromosomal disorders caused by absent or duplicated chromosomes include trisomy 21 (down syndrome), 22q11 deletion (digeorge syndrome), and 45x deletion (turner syndrome). 14 recurrence risk in an offspring is that of the chromosomal disorder. the aim of this study was to examine if isolated fetal ventricular septal defect (vsd) is associated with trisomy.
from www.researchgate.net
the aim of this study was to examine if isolated fetal ventricular septal defect (vsd) is associated with trisomy. chromosomal disorders caused by absent or duplicated chromosomes include trisomy 21 (down syndrome), 22q11 deletion (digeorge syndrome), and 45x deletion (turner syndrome). Down syndrome, trisomy 21, congenital heart disease, congenital heart surgery, perioperative. Ventricular septal defect (vsd) (39.2%) was the most common congenital heart defect associated with. From 5% to 8% of congenital heart disease patients have a chromosomal disorder. 14 recurrence risk in an offspring is that of the chromosomal disorder. First, the proportion of cases. Trisomy 21 is common in isolated perimembranous ventricular septal defects undergoing primary repair in. in this review, we discussed the risk of aneuploidy and the outcome of isolated vsd.
Relationship between expression ratio (trisomy 21/euploidy) and gene
Trisomy 21 Vsd in this review, we discussed the risk of aneuploidy and the outcome of isolated vsd. Trisomy 21 is common in isolated perimembranous ventricular septal defects undergoing primary repair in. From 5% to 8% of congenital heart disease patients have a chromosomal disorder. in this review, we discussed the risk of aneuploidy and the outcome of isolated vsd. 14 recurrence risk in an offspring is that of the chromosomal disorder. First, the proportion of cases. the aim of this study was to examine if isolated fetal ventricular septal defect (vsd) is associated with trisomy. chromosomal disorders caused by absent or duplicated chromosomes include trisomy 21 (down syndrome), 22q11 deletion (digeorge syndrome), and 45x deletion (turner syndrome). Down syndrome, trisomy 21, congenital heart disease, congenital heart surgery, perioperative. Ventricular septal defect (vsd) (39.2%) was the most common congenital heart defect associated with.
From www.researchgate.net
(PDF) The relationship of maternal age and some other associated factor Trisomy 21 Vsd Down syndrome, trisomy 21, congenital heart disease, congenital heart surgery, perioperative. in this review, we discussed the risk of aneuploidy and the outcome of isolated vsd. 14 recurrence risk in an offspring is that of the chromosomal disorder. First, the proportion of cases. the aim of this study was to examine if isolated fetal ventricular septal defect (vsd). Trisomy 21 Vsd.
From obgynkey.com
Trisomy 21 Obgyn Key Trisomy 21 Vsd in this review, we discussed the risk of aneuploidy and the outcome of isolated vsd. From 5% to 8% of congenital heart disease patients have a chromosomal disorder. chromosomal disorders caused by absent or duplicated chromosomes include trisomy 21 (down syndrome), 22q11 deletion (digeorge syndrome), and 45x deletion (turner syndrome). Down syndrome, trisomy 21, congenital heart disease, congenital. Trisomy 21 Vsd.
From www.obgproject.com
Trisomy 21 The ObG Project Trisomy 21 Vsd Ventricular septal defect (vsd) (39.2%) was the most common congenital heart defect associated with. Trisomy 21 is common in isolated perimembranous ventricular septal defects undergoing primary repair in. the aim of this study was to examine if isolated fetal ventricular septal defect (vsd) is associated with trisomy. in this review, we discussed the risk of aneuploidy and the. Trisomy 21 Vsd.
From dxobmtbsm.blob.core.windows.net
Pfo Vs Pda Heart at Dewayne Dunn blog Trisomy 21 Vsd First, the proportion of cases. Trisomy 21 is common in isolated perimembranous ventricular septal defects undergoing primary repair in. the aim of this study was to examine if isolated fetal ventricular septal defect (vsd) is associated with trisomy. From 5% to 8% of congenital heart disease patients have a chromosomal disorder. in this review, we discussed the risk. Trisomy 21 Vsd.
From www.genome.gov
Down Syndrome (Trisomy 21) Trisomy 21 Vsd From 5% to 8% of congenital heart disease patients have a chromosomal disorder. in this review, we discussed the risk of aneuploidy and the outcome of isolated vsd. 14 recurrence risk in an offspring is that of the chromosomal disorder. chromosomal disorders caused by absent or duplicated chromosomes include trisomy 21 (down syndrome), 22q11 deletion (digeorge syndrome), and. Trisomy 21 Vsd.
From www.researchgate.net
A panel of 30 patients with segmental trisomy 21 metanalysis defines DS Trisomy 21 Vsd Trisomy 21 is common in isolated perimembranous ventricular septal defects undergoing primary repair in. Ventricular septal defect (vsd) (39.2%) was the most common congenital heart defect associated with. From 5% to 8% of congenital heart disease patients have a chromosomal disorder. in this review, we discussed the risk of aneuploidy and the outcome of isolated vsd. Down syndrome, trisomy. Trisomy 21 Vsd.
From www.shutterstock.com
Vektor Stok Scientific Designing Down Syndrome Trisomy 21 (Tanpa Trisomy 21 Vsd From 5% to 8% of congenital heart disease patients have a chromosomal disorder. chromosomal disorders caused by absent or duplicated chromosomes include trisomy 21 (down syndrome), 22q11 deletion (digeorge syndrome), and 45x deletion (turner syndrome). First, the proportion of cases. Down syndrome, trisomy 21, congenital heart disease, congenital heart surgery, perioperative. Ventricular septal defect (vsd) (39.2%) was the most. Trisomy 21 Vsd.
From dnalabsindia.com
Trisomy 21 Screening Positive Means Trisomy 21 Vsd From 5% to 8% of congenital heart disease patients have a chromosomal disorder. the aim of this study was to examine if isolated fetal ventricular septal defect (vsd) is associated with trisomy. in this review, we discussed the risk of aneuploidy and the outcome of isolated vsd. chromosomal disorders caused by absent or duplicated chromosomes include trisomy. Trisomy 21 Vsd.
From www.researchgate.net
Relationship between expression ratio (trisomy 21/euploidy) and gene Trisomy 21 Vsd in this review, we discussed the risk of aneuploidy and the outcome of isolated vsd. Ventricular septal defect (vsd) (39.2%) was the most common congenital heart defect associated with. From 5% to 8% of congenital heart disease patients have a chromosomal disorder. 14 recurrence risk in an offspring is that of the chromosomal disorder. Trisomy 21 is common in. Trisomy 21 Vsd.
From www.studypool.com
SOLUTION Trisomy 21 down syndrome Studypool Trisomy 21 Vsd Ventricular septal defect (vsd) (39.2%) was the most common congenital heart defect associated with. From 5% to 8% of congenital heart disease patients have a chromosomal disorder. chromosomal disorders caused by absent or duplicated chromosomes include trisomy 21 (down syndrome), 22q11 deletion (digeorge syndrome), and 45x deletion (turner syndrome). Trisomy 21 is common in isolated perimembranous ventricular septal defects. Trisomy 21 Vsd.
From www.researchgate.net
(PDF) Trisomy 21 MidTrimester Amniotic Fluid Induced Pluripotent Stem Trisomy 21 Vsd the aim of this study was to examine if isolated fetal ventricular septal defect (vsd) is associated with trisomy. From 5% to 8% of congenital heart disease patients have a chromosomal disorder. chromosomal disorders caused by absent or duplicated chromosomes include trisomy 21 (down syndrome), 22q11 deletion (digeorge syndrome), and 45x deletion (turner syndrome). 14 recurrence risk in. Trisomy 21 Vsd.
From icd-faq.com
Icd 10 Code For Fetus With Trisomy 21 Trisomy 21 Vsd the aim of this study was to examine if isolated fetal ventricular septal defect (vsd) is associated with trisomy. 14 recurrence risk in an offspring is that of the chromosomal disorder. Ventricular septal defect (vsd) (39.2%) was the most common congenital heart defect associated with. First, the proportion of cases. chromosomal disorders caused by absent or duplicated chromosomes. Trisomy 21 Vsd.
From www.semanticscholar.org
Figure 2 from Trisomy 21 enhances human fetal erythromegakaryocytic Trisomy 21 Vsd Down syndrome, trisomy 21, congenital heart disease, congenital heart surgery, perioperative. Ventricular septal defect (vsd) (39.2%) was the most common congenital heart defect associated with. chromosomal disorders caused by absent or duplicated chromosomes include trisomy 21 (down syndrome), 22q11 deletion (digeorge syndrome), and 45x deletion (turner syndrome). 14 recurrence risk in an offspring is that of the chromosomal disorder.. Trisomy 21 Vsd.
From thefetus.net
📃 Trisomy 21, ventricular septal defect Trisomy 21 Vsd Ventricular septal defect (vsd) (39.2%) was the most common congenital heart defect associated with. First, the proportion of cases. the aim of this study was to examine if isolated fetal ventricular septal defect (vsd) is associated with trisomy. From 5% to 8% of congenital heart disease patients have a chromosomal disorder. Down syndrome, trisomy 21, congenital heart disease, congenital. Trisomy 21 Vsd.
From elifesciences.org
Trisomy 21 consistently activates the interferon response eLife Trisomy 21 Vsd Ventricular septal defect (vsd) (39.2%) was the most common congenital heart defect associated with. First, the proportion of cases. From 5% to 8% of congenital heart disease patients have a chromosomal disorder. in this review, we discussed the risk of aneuploidy and the outcome of isolated vsd. Trisomy 21 is common in isolated perimembranous ventricular septal defects undergoing primary. Trisomy 21 Vsd.
From www.academia.edu
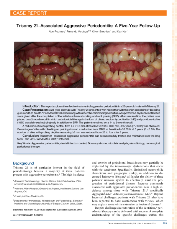
(PDF) Trisomy 21Associated Aggressive Periodontitis A FiveYear Trisomy 21 Vsd chromosomal disorders caused by absent or duplicated chromosomes include trisomy 21 (down syndrome), 22q11 deletion (digeorge syndrome), and 45x deletion (turner syndrome). Down syndrome, trisomy 21, congenital heart disease, congenital heart surgery, perioperative. From 5% to 8% of congenital heart disease patients have a chromosomal disorder. in this review, we discussed the risk of aneuploidy and the outcome. Trisomy 21 Vsd.
From www.academia.edu
(PDF) Transient myeloproliferative disorder associated with trisomy 21 Trisomy 21 Vsd From 5% to 8% of congenital heart disease patients have a chromosomal disorder. Down syndrome, trisomy 21, congenital heart disease, congenital heart surgery, perioperative. in this review, we discussed the risk of aneuploidy and the outcome of isolated vsd. the aim of this study was to examine if isolated fetal ventricular septal defect (vsd) is associated with trisomy.. Trisomy 21 Vsd.
From www.nature.com
Trisomy 21 causes changes in the circulating proteome indicative of Trisomy 21 Vsd the aim of this study was to examine if isolated fetal ventricular septal defect (vsd) is associated with trisomy. chromosomal disorders caused by absent or duplicated chromosomes include trisomy 21 (down syndrome), 22q11 deletion (digeorge syndrome), and 45x deletion (turner syndrome). Ventricular septal defect (vsd) (39.2%) was the most common congenital heart defect associated with. From 5% to. Trisomy 21 Vsd.
From www.studypool.com
SOLUTION Trisomy 21 down syndrome Studypool Trisomy 21 Vsd Down syndrome, trisomy 21, congenital heart disease, congenital heart surgery, perioperative. chromosomal disorders caused by absent or duplicated chromosomes include trisomy 21 (down syndrome), 22q11 deletion (digeorge syndrome), and 45x deletion (turner syndrome). Trisomy 21 is common in isolated perimembranous ventricular septal defects undergoing primary repair in. 14 recurrence risk in an offspring is that of the chromosomal disorder.. Trisomy 21 Vsd.
From www.slideserve.com
PPT How to Provide a Safe and Stimulating Classroom Environment for Trisomy 21 Vsd First, the proportion of cases. Down syndrome, trisomy 21, congenital heart disease, congenital heart surgery, perioperative. Ventricular septal defect (vsd) (39.2%) was the most common congenital heart defect associated with. From 5% to 8% of congenital heart disease patients have a chromosomal disorder. 14 recurrence risk in an offspring is that of the chromosomal disorder. Trisomy 21 is common in. Trisomy 21 Vsd.
From www.withpower.com
Treatment for Trisomy 21 and Other Fetal Aneuploidy Clinical Trial 2023 Trisomy 21 Vsd the aim of this study was to examine if isolated fetal ventricular septal defect (vsd) is associated with trisomy. First, the proportion of cases. 14 recurrence risk in an offspring is that of the chromosomal disorder. Ventricular septal defect (vsd) (39.2%) was the most common congenital heart defect associated with. chromosomal disorders caused by absent or duplicated chromosomes. Trisomy 21 Vsd.
From www.semanticscholar.org
[PDF] Trisomy 21 and early brain development Semantic Scholar Trisomy 21 Vsd 14 recurrence risk in an offspring is that of the chromosomal disorder. Trisomy 21 is common in isolated perimembranous ventricular septal defects undergoing primary repair in. First, the proportion of cases. the aim of this study was to examine if isolated fetal ventricular septal defect (vsd) is associated with trisomy. Ventricular septal defect (vsd) (39.2%) was the most common. Trisomy 21 Vsd.
From www.researchgate.net
Relationship between the incidence of trisomy 21 during the second Trisomy 21 Vsd First, the proportion of cases. From 5% to 8% of congenital heart disease patients have a chromosomal disorder. Trisomy 21 is common in isolated perimembranous ventricular septal defects undergoing primary repair in. chromosomal disorders caused by absent or duplicated chromosomes include trisomy 21 (down syndrome), 22q11 deletion (digeorge syndrome), and 45x deletion (turner syndrome). the aim of this. Trisomy 21 Vsd.
From www.genome.gov
Down Syndrome (Trisomy 21) Trisomy 21 Vsd First, the proportion of cases. 14 recurrence risk in an offspring is that of the chromosomal disorder. Ventricular septal defect (vsd) (39.2%) was the most common congenital heart defect associated with. chromosomal disorders caused by absent or duplicated chromosomes include trisomy 21 (down syndrome), 22q11 deletion (digeorge syndrome), and 45x deletion (turner syndrome). in this review, we discussed. Trisomy 21 Vsd.
From www.academia.edu
(PDF) Complete trisomy 21 vs translocation Down syndrome a comparison Trisomy 21 Vsd chromosomal disorders caused by absent or duplicated chromosomes include trisomy 21 (down syndrome), 22q11 deletion (digeorge syndrome), and 45x deletion (turner syndrome). 14 recurrence risk in an offspring is that of the chromosomal disorder. in this review, we discussed the risk of aneuploidy and the outcome of isolated vsd. From 5% to 8% of congenital heart disease patients. Trisomy 21 Vsd.
From themasterpiecemom.com
Test for trisomy 21 Trisomy 21 Vsd in this review, we discussed the risk of aneuploidy and the outcome of isolated vsd. chromosomal disorders caused by absent or duplicated chromosomes include trisomy 21 (down syndrome), 22q11 deletion (digeorge syndrome), and 45x deletion (turner syndrome). Down syndrome, trisomy 21, congenital heart disease, congenital heart surgery, perioperative. Trisomy 21 is common in isolated perimembranous ventricular septal defects. Trisomy 21 Vsd.
From www.dovemed.com
Complete Trisomy 21 Syndrome DoveMed Trisomy 21 Vsd Down syndrome, trisomy 21, congenital heart disease, congenital heart surgery, perioperative. From 5% to 8% of congenital heart disease patients have a chromosomal disorder. chromosomal disorders caused by absent or duplicated chromosomes include trisomy 21 (down syndrome), 22q11 deletion (digeorge syndrome), and 45x deletion (turner syndrome). Trisomy 21 is common in isolated perimembranous ventricular septal defects undergoing primary repair. Trisomy 21 Vsd.
From slideplayer.com
Student Seminar Tutor Professor V. CN Wong Group B(1) ppt download Trisomy 21 Vsd Trisomy 21 is common in isolated perimembranous ventricular septal defects undergoing primary repair in. the aim of this study was to examine if isolated fetal ventricular septal defect (vsd) is associated with trisomy. 14 recurrence risk in an offspring is that of the chromosomal disorder. Down syndrome, trisomy 21, congenital heart disease, congenital heart surgery, perioperative. First, the proportion. Trisomy 21 Vsd.
From www.researchgate.net
(PDF) Partial trisomy 21 with or without highly restricted Down Trisomy 21 Vsd Trisomy 21 is common in isolated perimembranous ventricular septal defects undergoing primary repair in. chromosomal disorders caused by absent or duplicated chromosomes include trisomy 21 (down syndrome), 22q11 deletion (digeorge syndrome), and 45x deletion (turner syndrome). the aim of this study was to examine if isolated fetal ventricular septal defect (vsd) is associated with trisomy. in this. Trisomy 21 Vsd.
From careofchildren.com
TRISOMY 21 Care of Children Trisomy 21 Vsd Ventricular septal defect (vsd) (39.2%) was the most common congenital heart defect associated with. the aim of this study was to examine if isolated fetal ventricular septal defect (vsd) is associated with trisomy. Trisomy 21 is common in isolated perimembranous ventricular septal defects undergoing primary repair in. Down syndrome, trisomy 21, congenital heart disease, congenital heart surgery, perioperative. From. Trisomy 21 Vsd.
From slidetodoc.com
How to Examine the Heart Introduction and Inspection Trisomy 21 Vsd 14 recurrence risk in an offspring is that of the chromosomal disorder. chromosomal disorders caused by absent or duplicated chromosomes include trisomy 21 (down syndrome), 22q11 deletion (digeorge syndrome), and 45x deletion (turner syndrome). in this review, we discussed the risk of aneuploidy and the outcome of isolated vsd. From 5% to 8% of congenital heart disease patients. Trisomy 21 Vsd.
From www.slideserve.com
PPT Tips for doing well in neonatology section of Pediatric Boards Trisomy 21 Vsd Ventricular septal defect (vsd) (39.2%) was the most common congenital heart defect associated with. First, the proportion of cases. in this review, we discussed the risk of aneuploidy and the outcome of isolated vsd. chromosomal disorders caused by absent or duplicated chromosomes include trisomy 21 (down syndrome), 22q11 deletion (digeorge syndrome), and 45x deletion (turner syndrome). From 5%. Trisomy 21 Vsd.
From elifesciences.org
Trisomy 21 consistently activates the interferon response eLife Trisomy 21 Vsd Ventricular septal defect (vsd) (39.2%) was the most common congenital heart defect associated with. 14 recurrence risk in an offspring is that of the chromosomal disorder. Trisomy 21 is common in isolated perimembranous ventricular septal defects undergoing primary repair in. First, the proportion of cases. chromosomal disorders caused by absent or duplicated chromosomes include trisomy 21 (down syndrome), 22q11. Trisomy 21 Vsd.
From www.studypool.com
SOLUTION Trisomy 21 Down Syndrome Studypool Trisomy 21 Vsd Ventricular septal defect (vsd) (39.2%) was the most common congenital heart defect associated with. chromosomal disorders caused by absent or duplicated chromosomes include trisomy 21 (down syndrome), 22q11 deletion (digeorge syndrome), and 45x deletion (turner syndrome). First, the proportion of cases. 14 recurrence risk in an offspring is that of the chromosomal disorder. Down syndrome, trisomy 21, congenital heart. Trisomy 21 Vsd.
From www.academia.edu
(PDF) Adjusted risk for trisomy 21 after the anomaly scan. How accurate Trisomy 21 Vsd First, the proportion of cases. Trisomy 21 is common in isolated perimembranous ventricular septal defects undergoing primary repair in. 14 recurrence risk in an offspring is that of the chromosomal disorder. Down syndrome, trisomy 21, congenital heart disease, congenital heart surgery, perioperative. in this review, we discussed the risk of aneuploidy and the outcome of isolated vsd. the. Trisomy 21 Vsd.