Punch Biopsy Bcc . Your doctor uses a special instrument to take a punch biopsy. They remove a small circle of the full thickness of the skin. For a punch biopsy, the doctor uses a tool that looks like a tiny round cookie cutter to remove a deeper sample of skin. The choice of biopsy technique will be determined by the site, size and shape of the lesion. Occasionally a small punch biopsy will miss the malignant cells in these lesions (a false. Punch biopsy is the preferred method of sampling for most inflammatory dermatoses because it allows the pathologist. Basal cell carcinoma (bcc) is the most common type of cancer in the world. If a bcc or scc is suspected and a biopsy is required, it should be done within four weeks of your first gp appointment or as soon as. The recommended biopsy techniques for bcc are punch biopsy, shave biopsy, and excisional biopsy. This aiom guideline on bcc provides key recommendations for managing basal cell carcinoma.
from www.skintel.co.nz
Occasionally a small punch biopsy will miss the malignant cells in these lesions (a false. The recommended biopsy techniques for bcc are punch biopsy, shave biopsy, and excisional biopsy. Your doctor uses a special instrument to take a punch biopsy. Punch biopsy is the preferred method of sampling for most inflammatory dermatoses because it allows the pathologist. The choice of biopsy technique will be determined by the site, size and shape of the lesion. For a punch biopsy, the doctor uses a tool that looks like a tiny round cookie cutter to remove a deeper sample of skin. They remove a small circle of the full thickness of the skin. Basal cell carcinoma (bcc) is the most common type of cancer in the world. This aiom guideline on bcc provides key recommendations for managing basal cell carcinoma. If a bcc or scc is suspected and a biopsy is required, it should be done within four weeks of your first gp appointment or as soon as.
Basal cell carcinoma The Definitive Guide Skintel
Punch Biopsy Bcc Occasionally a small punch biopsy will miss the malignant cells in these lesions (a false. Occasionally a small punch biopsy will miss the malignant cells in these lesions (a false. Your doctor uses a special instrument to take a punch biopsy. If a bcc or scc is suspected and a biopsy is required, it should be done within four weeks of your first gp appointment or as soon as. The recommended biopsy techniques for bcc are punch biopsy, shave biopsy, and excisional biopsy. They remove a small circle of the full thickness of the skin. For a punch biopsy, the doctor uses a tool that looks like a tiny round cookie cutter to remove a deeper sample of skin. Punch biopsy is the preferred method of sampling for most inflammatory dermatoses because it allows the pathologist. This aiom guideline on bcc provides key recommendations for managing basal cell carcinoma. Basal cell carcinoma (bcc) is the most common type of cancer in the world. The choice of biopsy technique will be determined by the site, size and shape of the lesion.
From www.pinterest.fr
Pin on MOHs Punch Biopsy Bcc Your doctor uses a special instrument to take a punch biopsy. They remove a small circle of the full thickness of the skin. For a punch biopsy, the doctor uses a tool that looks like a tiny round cookie cutter to remove a deeper sample of skin. This aiom guideline on bcc provides key recommendations for managing basal cell carcinoma.. Punch Biopsy Bcc.
From www.slideserve.com
PPT Punch biopsies for the Dermatological Nurse PowerPoint Punch Biopsy Bcc This aiom guideline on bcc provides key recommendations for managing basal cell carcinoma. For a punch biopsy, the doctor uses a tool that looks like a tiny round cookie cutter to remove a deeper sample of skin. If a bcc or scc is suspected and a biopsy is required, it should be done within four weeks of your first gp. Punch Biopsy Bcc.
From www.youtube.com
Jim's Forehead Shave Biopsy for Basal Cell Carcinoma Auburn Medical Punch Biopsy Bcc This aiom guideline on bcc provides key recommendations for managing basal cell carcinoma. If a bcc or scc is suspected and a biopsy is required, it should be done within four weeks of your first gp appointment or as soon as. Occasionally a small punch biopsy will miss the malignant cells in these lesions (a false. The choice of biopsy. Punch Biopsy Bcc.
From www.skincancercentres.com.au
Biopsy to Confirm Diagnosis National Skin Cancer Centres Punch Biopsy Bcc For a punch biopsy, the doctor uses a tool that looks like a tiny round cookie cutter to remove a deeper sample of skin. Punch biopsy is the preferred method of sampling for most inflammatory dermatoses because it allows the pathologist. This aiom guideline on bcc provides key recommendations for managing basal cell carcinoma. Basal cell carcinoma (bcc) is the. Punch Biopsy Bcc.
From www.stelizabeth.com
St. Elizabeth Healthcare Article Punch Biopsy Bcc The choice of biopsy technique will be determined by the site, size and shape of the lesion. Punch biopsy is the preferred method of sampling for most inflammatory dermatoses because it allows the pathologist. Your doctor uses a special instrument to take a punch biopsy. Basal cell carcinoma (bcc) is the most common type of cancer in the world. The. Punch Biopsy Bcc.
From universe84a.com
Punch Biopsy Set Introduction, Principle, Test Requirements Punch Biopsy Bcc They remove a small circle of the full thickness of the skin. The choice of biopsy technique will be determined by the site, size and shape of the lesion. Occasionally a small punch biopsy will miss the malignant cells in these lesions (a false. The recommended biopsy techniques for bcc are punch biopsy, shave biopsy, and excisional biopsy. If a. Punch Biopsy Bcc.
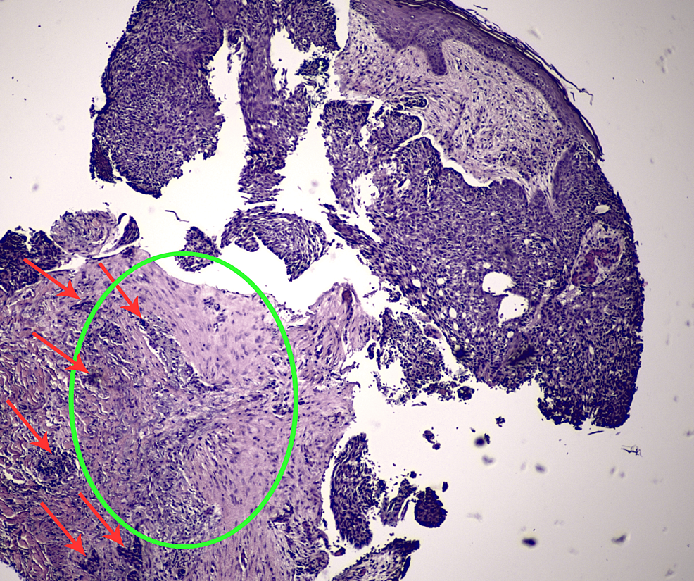
From www.cureus.com
Cureus Annular Basal Cell Carcinoma Expanding Around Central Punch Biopsy Bcc They remove a small circle of the full thickness of the skin. This aiom guideline on bcc provides key recommendations for managing basal cell carcinoma. Punch biopsy is the preferred method of sampling for most inflammatory dermatoses because it allows the pathologist. Occasionally a small punch biopsy will miss the malignant cells in these lesions (a false. For a punch. Punch Biopsy Bcc.
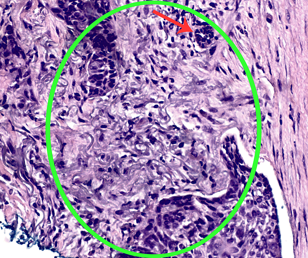
From www.cureus.com
Cureus Annular Basal Cell Carcinoma Expanding Around Central Punch Biopsy Bcc Occasionally a small punch biopsy will miss the malignant cells in these lesions (a false. This aiom guideline on bcc provides key recommendations for managing basal cell carcinoma. The recommended biopsy techniques for bcc are punch biopsy, shave biopsy, and excisional biopsy. Basal cell carcinoma (bcc) is the most common type of cancer in the world. Punch biopsy is the. Punch Biopsy Bcc.
From www.slideserve.com
PPT Soft Tissue Surgery PowerPoint Presentation, free download ID Punch Biopsy Bcc Punch biopsy is the preferred method of sampling for most inflammatory dermatoses because it allows the pathologist. If a bcc or scc is suspected and a biopsy is required, it should be done within four weeks of your first gp appointment or as soon as. They remove a small circle of the full thickness of the skin. The recommended biopsy. Punch Biopsy Bcc.
From www.youtube.com
Punch Biopsy on the Upper Lip Basal Cell Carncinoma YouTube Punch Biopsy Bcc They remove a small circle of the full thickness of the skin. For a punch biopsy, the doctor uses a tool that looks like a tiny round cookie cutter to remove a deeper sample of skin. This aiom guideline on bcc provides key recommendations for managing basal cell carcinoma. Punch biopsy is the preferred method of sampling for most inflammatory. Punch Biopsy Bcc.
From www.researchgate.net
H&E stain of left lateral neck punch biopsy at 10x magnification H&E Punch Biopsy Bcc Your doctor uses a special instrument to take a punch biopsy. Punch biopsy is the preferred method of sampling for most inflammatory dermatoses because it allows the pathologist. Basal cell carcinoma (bcc) is the most common type of cancer in the world. The recommended biopsy techniques for bcc are punch biopsy, shave biopsy, and excisional biopsy. Occasionally a small punch. Punch Biopsy Bcc.
From www.researchgate.net
Skin punch biopsy method using a circular punch biopter [67 Punch Biopsy Bcc The choice of biopsy technique will be determined by the site, size and shape of the lesion. Occasionally a small punch biopsy will miss the malignant cells in these lesions (a false. Punch biopsy is the preferred method of sampling for most inflammatory dermatoses because it allows the pathologist. The recommended biopsy techniques for bcc are punch biopsy, shave biopsy,. Punch Biopsy Bcc.
From www.researchgate.net
Diagnostic performance of RCM vs. a punch biopsy in subtyping BCC Punch Biopsy Bcc The recommended biopsy techniques for bcc are punch biopsy, shave biopsy, and excisional biopsy. Occasionally a small punch biopsy will miss the malignant cells in these lesions (a false. The choice of biopsy technique will be determined by the site, size and shape of the lesion. Your doctor uses a special instrument to take a punch biopsy. They remove a. Punch Biopsy Bcc.
From cancerwalls.blogspot.com
Basal Cell Cancer Wide Local Excision CancerWalls Punch Biopsy Bcc They remove a small circle of the full thickness of the skin. Punch biopsy is the preferred method of sampling for most inflammatory dermatoses because it allows the pathologist. Occasionally a small punch biopsy will miss the malignant cells in these lesions (a false. If a bcc or scc is suspected and a biopsy is required, it should be done. Punch Biopsy Bcc.
From mydoctor.kaiserpermanente.org
Skin Biopsy My Doctor Online Punch Biopsy Bcc The choice of biopsy technique will be determined by the site, size and shape of the lesion. The recommended biopsy techniques for bcc are punch biopsy, shave biopsy, and excisional biopsy. They remove a small circle of the full thickness of the skin. If a bcc or scc is suspected and a biopsy is required, it should be done within. Punch Biopsy Bcc.
From shop.patient-education.com
Punch Biopsy Punch Biopsy Bcc If a bcc or scc is suspected and a biopsy is required, it should be done within four weeks of your first gp appointment or as soon as. Basal cell carcinoma (bcc) is the most common type of cancer in the world. For a punch biopsy, the doctor uses a tool that looks like a tiny round cookie cutter to. Punch Biopsy Bcc.
From siteman.wustl.edu
punch biopsy (Patient) Siteman Cancer Center Punch Biopsy Bcc The recommended biopsy techniques for bcc are punch biopsy, shave biopsy, and excisional biopsy. For a punch biopsy, the doctor uses a tool that looks like a tiny round cookie cutter to remove a deeper sample of skin. Your doctor uses a special instrument to take a punch biopsy. The choice of biopsy technique will be determined by the site,. Punch Biopsy Bcc.
From www.youtube.com
4mm and 6 mm Punch Biopsy set Demonstration YouTube Punch Biopsy Bcc The choice of biopsy technique will be determined by the site, size and shape of the lesion. The recommended biopsy techniques for bcc are punch biopsy, shave biopsy, and excisional biopsy. Your doctor uses a special instrument to take a punch biopsy. If a bcc or scc is suspected and a biopsy is required, it should be done within four. Punch Biopsy Bcc.
From www.slideserve.com
PPT Common Office Procedures Baby Health Service Lexington, KY Punch Biopsy Bcc This aiom guideline on bcc provides key recommendations for managing basal cell carcinoma. Your doctor uses a special instrument to take a punch biopsy. For a punch biopsy, the doctor uses a tool that looks like a tiny round cookie cutter to remove a deeper sample of skin. Occasionally a small punch biopsy will miss the malignant cells in these. Punch Biopsy Bcc.
From pinterest.com
Punch Biopsy Passion for Medicine Pinterest Punch Biopsy Bcc If a bcc or scc is suspected and a biopsy is required, it should be done within four weeks of your first gp appointment or as soon as. The choice of biopsy technique will be determined by the site, size and shape of the lesion. Basal cell carcinoma (bcc) is the most common type of cancer in the world. Punch. Punch Biopsy Bcc.
From www.spotcheck.clinic
Shave biopsy and excision Spot Check Clinic Punch Biopsy Bcc The recommended biopsy techniques for bcc are punch biopsy, shave biopsy, and excisional biopsy. For a punch biopsy, the doctor uses a tool that looks like a tiny round cookie cutter to remove a deeper sample of skin. If a bcc or scc is suspected and a biopsy is required, it should be done within four weeks of your first. Punch Biopsy Bcc.
From www.dreamstime.com
Punch biopsy procedure stock vector. Illustration of tissue 274704105 Punch Biopsy Bcc For a punch biopsy, the doctor uses a tool that looks like a tiny round cookie cutter to remove a deeper sample of skin. Punch biopsy is the preferred method of sampling for most inflammatory dermatoses because it allows the pathologist. The choice of biopsy technique will be determined by the site, size and shape of the lesion. Basal cell. Punch Biopsy Bcc.
From ad-surgical.com
Disposable Biopsy Punch AD Surgical Punch Biopsy Bcc This aiom guideline on bcc provides key recommendations for managing basal cell carcinoma. If a bcc or scc is suspected and a biopsy is required, it should be done within four weeks of your first gp appointment or as soon as. For a punch biopsy, the doctor uses a tool that looks like a tiny round cookie cutter to remove. Punch Biopsy Bcc.
From www.nejm.org
How to Perform a Punch Biopsy of the Skin NEJM Punch Biopsy Bcc Your doctor uses a special instrument to take a punch biopsy. They remove a small circle of the full thickness of the skin. The choice of biopsy technique will be determined by the site, size and shape of the lesion. This aiom guideline on bcc provides key recommendations for managing basal cell carcinoma. For a punch biopsy, the doctor uses. Punch Biopsy Bcc.
From www.youtube.com
punch biopsy YouTube Punch Biopsy Bcc Punch biopsy is the preferred method of sampling for most inflammatory dermatoses because it allows the pathologist. Your doctor uses a special instrument to take a punch biopsy. They remove a small circle of the full thickness of the skin. The recommended biopsy techniques for bcc are punch biopsy, shave biopsy, and excisional biopsy. Basal cell carcinoma (bcc) is the. Punch Biopsy Bcc.
From www.health.com
Punch Biopsy Purpose, Preparation, Risks, and Results Punch Biopsy Bcc Basal cell carcinoma (bcc) is the most common type of cancer in the world. This aiom guideline on bcc provides key recommendations for managing basal cell carcinoma. Punch biopsy is the preferred method of sampling for most inflammatory dermatoses because it allows the pathologist. They remove a small circle of the full thickness of the skin. The choice of biopsy. Punch Biopsy Bcc.
From www.medicalstockimages.net
Punch Biopsy Taking Skin Sample Medical Stock Images Company Punch Biopsy Bcc Occasionally a small punch biopsy will miss the malignant cells in these lesions (a false. If a bcc or scc is suspected and a biopsy is required, it should be done within four weeks of your first gp appointment or as soon as. Basal cell carcinoma (bcc) is the most common type of cancer in the world. The choice of. Punch Biopsy Bcc.
From www.researchgate.net
Diagnostic performance of RCM vs. a punch biopsy in subtyping BCC Punch Biopsy Bcc Punch biopsy is the preferred method of sampling for most inflammatory dermatoses because it allows the pathologist. Basal cell carcinoma (bcc) is the most common type of cancer in the world. Your doctor uses a special instrument to take a punch biopsy. This aiom guideline on bcc provides key recommendations for managing basal cell carcinoma. If a bcc or scc. Punch Biopsy Bcc.
From www.researchgate.net
Diagnostic performance of RCM vs. a punch biopsy in diagnosing BCC Punch Biopsy Bcc Basal cell carcinoma (bcc) is the most common type of cancer in the world. The choice of biopsy technique will be determined by the site, size and shape of the lesion. For a punch biopsy, the doctor uses a tool that looks like a tiny round cookie cutter to remove a deeper sample of skin. This aiom guideline on bcc. Punch Biopsy Bcc.
From www.skintel.co.nz
Basal cell carcinoma The Definitive Guide Skintel Punch Biopsy Bcc For a punch biopsy, the doctor uses a tool that looks like a tiny round cookie cutter to remove a deeper sample of skin. This aiom guideline on bcc provides key recommendations for managing basal cell carcinoma. Basal cell carcinoma (bcc) is the most common type of cancer in the world. The choice of biopsy technique will be determined by. Punch Biopsy Bcc.
From www.podiatrypracticemastery.com
002 How to do more punch biopsies in your practice Punch Biopsy Bcc The recommended biopsy techniques for bcc are punch biopsy, shave biopsy, and excisional biopsy. They remove a small circle of the full thickness of the skin. Occasionally a small punch biopsy will miss the malignant cells in these lesions (a false. This aiom guideline on bcc provides key recommendations for managing basal cell carcinoma. The choice of biopsy technique will. Punch Biopsy Bcc.
From www.barrierhealthcare.co.uk
PUNCH BIOPSY Punch Biopsy Bcc If a bcc or scc is suspected and a biopsy is required, it should be done within four weeks of your first gp appointment or as soon as. This aiom guideline on bcc provides key recommendations for managing basal cell carcinoma. Punch biopsy is the preferred method of sampling for most inflammatory dermatoses because it allows the pathologist. Occasionally a. Punch Biopsy Bcc.
From mydoctor.kaiserpermanente.org
Skin Biopsy My Doctor Online Punch Biopsy Bcc Occasionally a small punch biopsy will miss the malignant cells in these lesions (a false. For a punch biopsy, the doctor uses a tool that looks like a tiny round cookie cutter to remove a deeper sample of skin. They remove a small circle of the full thickness of the skin. The choice of biopsy technique will be determined by. Punch Biopsy Bcc.
From www.freepik.com
Premium Vector Punch biopsy procedure Punch Biopsy Bcc They remove a small circle of the full thickness of the skin. Occasionally a small punch biopsy will miss the malignant cells in these lesions (a false. The choice of biopsy technique will be determined by the site, size and shape of the lesion. For a punch biopsy, the doctor uses a tool that looks like a tiny round cookie. Punch Biopsy Bcc.
From www.skintel.co.nz
Basal cell carcinoma The Definitive Guide Skintel Punch Biopsy Bcc The recommended biopsy techniques for bcc are punch biopsy, shave biopsy, and excisional biopsy. For a punch biopsy, the doctor uses a tool that looks like a tiny round cookie cutter to remove a deeper sample of skin. The choice of biopsy technique will be determined by the site, size and shape of the lesion. Punch biopsy is the preferred. Punch Biopsy Bcc.